Silver Nanoparticles as a Tool for the Study of Spontaneous Aggregation of Immunoglobulin Monoclonal Free Light Chains
Abstract
1. Introduction
2. Results
2.1. Characteristics of Silver Nanoparticles
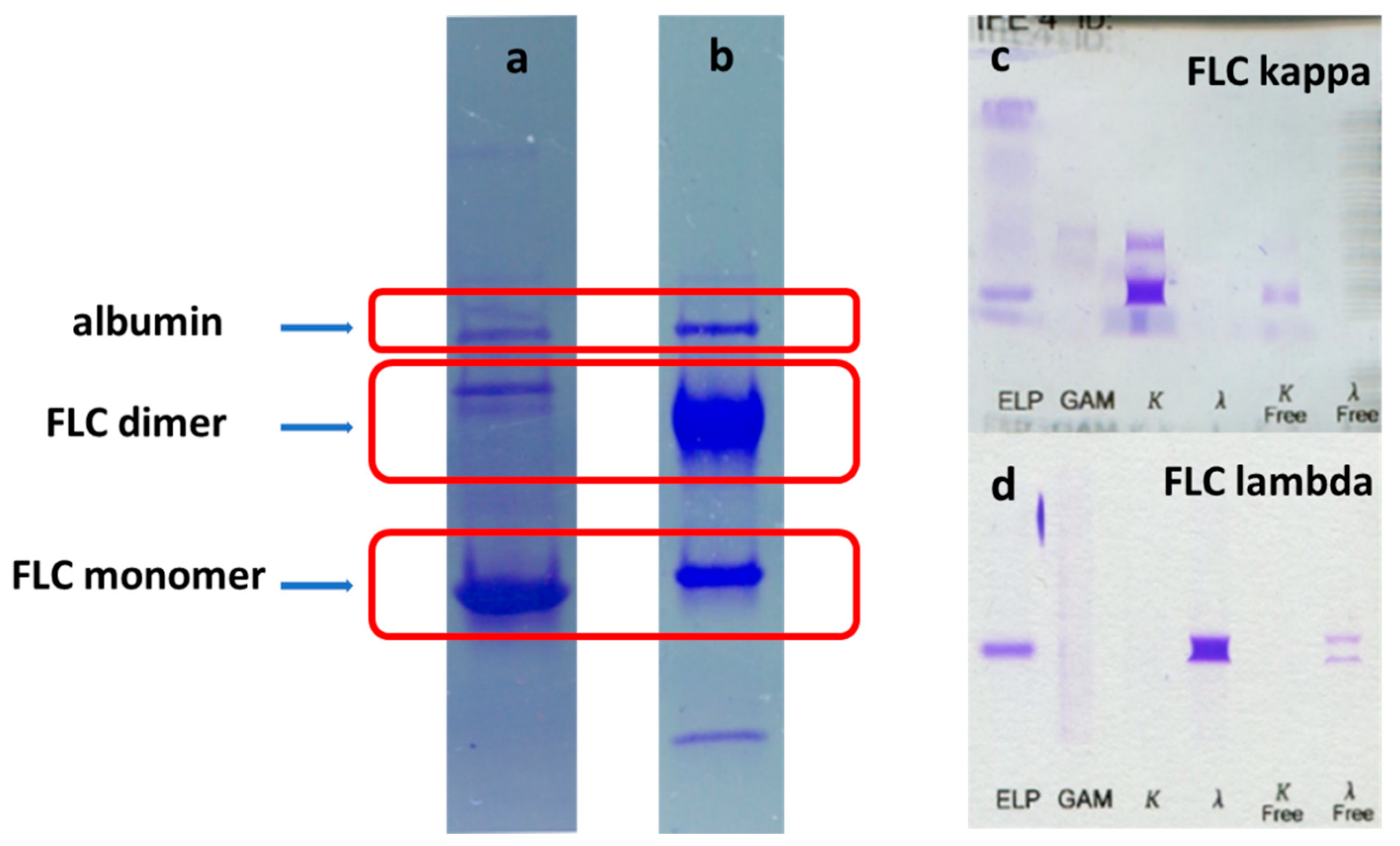
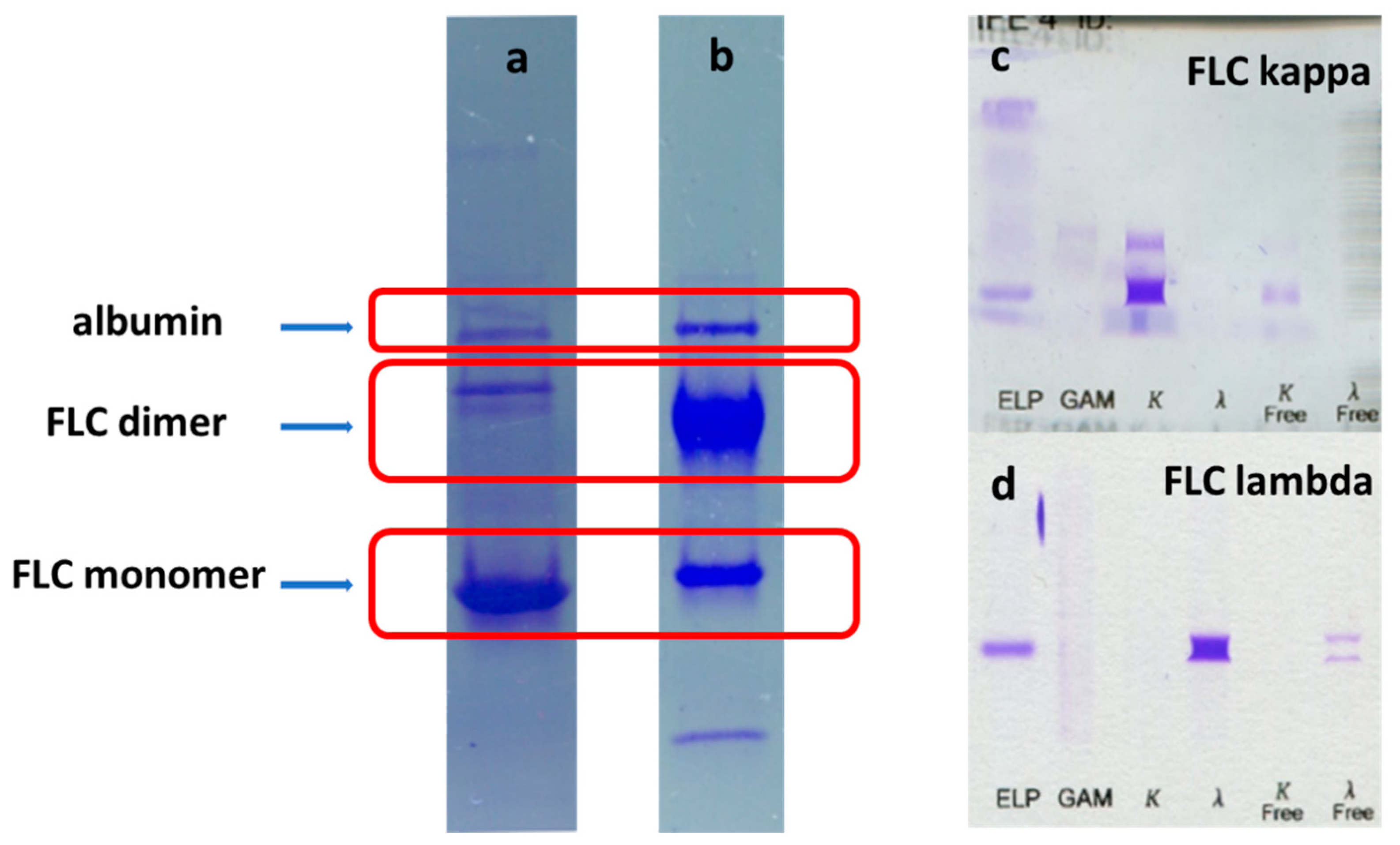
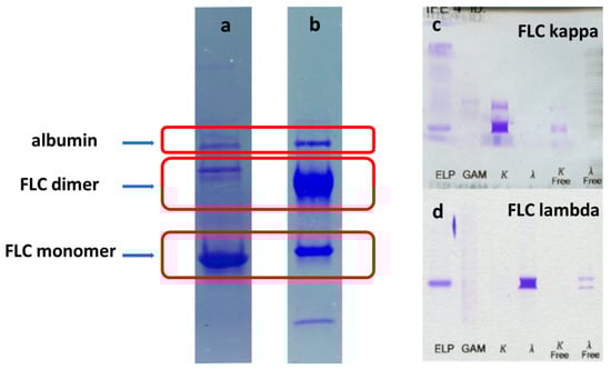
2.2. The Use of Silver Nanoparticles to Study the Process of Interaction of Free Monoclonal Light Chains of Immunoglobulins
3. Discussion
4. Materials and Methods
4.1. Materials
4.2. Synthesis of Silver Nanoparticles
4.3. Characterization of Urine Samples
4.4. Functionalization of AgNPs with FLC
4.5. UV/Vis Spectroscopy
4.6. Transmission Electron Microscopy
4.7. Laser Light Scattering
5. Conclusions
Author Contributions
Funding
Institutional Review Board Statement
Informed Consent Statement
Data Availability Statement
Conflicts of Interest
References
- Khurana, R.; Gillespie, J.R.; Talapatra, A.; Minert, L.J.; Ionescu-Zanetti, C.; Millett, I.; Fink, A.L. Partially Folded Intermediates as Critical Precursors of Light Chain Amyloid Fibrils and Amorphous Aggregates. Biochemistry 2001, 40, 3525–3535. [Google Scholar] [CrossRef] [PubMed]
- Palladini, G.; Merlini, G. What Is New in Diagnosis and Management of Light Chain Amyloidosis? Blood J. Am. Soc. Hematol. 2016, 128, 159–168. [Google Scholar] [CrossRef] [PubMed]
- Wechalekar, A.D.; Gillmore, J.D.; Hawkins, P.N. Systemic Amyloidosis. Lancet 2016, 387, 2641–2654. [Google Scholar] [CrossRef]
- Sipe, J.D.; Benson, M.D.; Buxbaum, J.N.; Ikeda, S.I.; Merlini, G.; Saraiva, M.J.M.; Westermark, P. Amyloid Fibril Proteins and Amyloidosis: Chemical Identification and Clinical Classification International Society of Amyloidosis 2016 Nomenclature Guidelines. Amyloid 2016, 23, 209–213. [Google Scholar] [CrossRef] [PubMed]
- Vaxman, I.; Gertz, M. Recent Advances in the Diagnosis, Risk Stratification, and Management of Systemic Light-Chain Amyloidosis. Acta Haematol. 2019, 141, 93–106. [Google Scholar] [CrossRef] [PubMed]
- Koike, H.; Katsuno, M. The Ultrastructure of Tissue Damage by Amyloid Fibrils. Molecules 2021, 26, 4611. [Google Scholar] [CrossRef] [PubMed]
- Lousada, I.; Comenzo, R.L.; Landau, H.; Guthrie, S.; Merlini, G. Light Chain Amyloidosis: Patient Experience Survey from the Amyloidosis Research Consortium. Adv. Ther. 2015, 32, 920–928. [Google Scholar] [CrossRef] [PubMed]
- Arosio, P.; Owczarz, M.; Müller-Späth, T.; Rognoni, P.; Beeg, M.; Wu, H.; Salmona, M.; Morbidelli, M. In Vitro Aggregation Behavior of a Non-Amyloidogenic λ Light Chain Dimer Deriving from U266 Multiple Myeloma Cells. PLoS ONE 2012, 7, e33372. [Google Scholar] [CrossRef][Green Version]
- Weiss, B.M.; Abadie, J.; Verma, P.; Howard, R.S.; Kuehl, W.M. A Monoclonal Gammopathy Precedes Multiple Myeloma in Most Patients. Blood J. Am. Soc. Hematol. 2009, 113, 5418–5422. [Google Scholar] [CrossRef]
- Muchtar, E.; Buadi, F.K.; Dispenzieri, A.; Gertz, M.A. Immunoglobulin Light-Chain Amyloidosis: From Basics to New Developments in Diagnosis, Prognosis and Therapy. Acta Haematol. 2016, 135, 172–190. [Google Scholar] [CrossRef]
- Lee, S.H.; Jun, B.H. Silver Nanoparticles: Synthesis and Application for Nanomedicine. Int. J. Mol. Sci. 2019, 20, 865. [Google Scholar] [CrossRef]
- Lizoń, A.; Wytrwal-Sarna, M.; Gajewska, M.; Drozdz, R. Silver Nanoparticle-Based Assay for the Detection of Immunoglobulin Free Light Chains. Materials 2019, 12, 2981. [Google Scholar] [CrossRef]
- Park, S.J. Protein–Nanoparticle Interaction: Corona Formation and Conformational Changes in Proteins on Nanoparticles. Int. J. Nanomed. 2020, 15, 5783–5802. [Google Scholar] [CrossRef] [PubMed]
- Najahi-Missaoui, W.; Arnold, R.D.; Cummings, B.S. Safe Nanoparticles: Are We There Yet? Int. J. Mol. Sci. 2021, 22, 385. [Google Scholar] [CrossRef] [PubMed]
- Zhang, D.; Neumann, O.; Wang, H.; Yuwono, V.M.; Barhoumi, A.; Perham, M.; Hartgerink, J.D.; Wittung-Stafshede, P.; Halas, N.J. Gold Nanoparticles Can Induce the Formation of Protein-Based Aggregates at Physiological PH. Nano Lett. 2009, 9, 666–671. [Google Scholar] [CrossRef]
- Shang, L.; Wang, Y.; Jiang, J.; Dong, S. PH-Dependent Protein Conformational Changes in Albumin: Gold Nanoparticle Bioconjugates: A Spectroscopic Study. Langmuir 2007, 23, 2714–2721. [Google Scholar] [CrossRef] [PubMed]
- Merlini, G.; Bellotti, V. Mechanisms of Disease by Amyloid. N. Engl. J. Med. 2003, 349, 583–596. [Google Scholar] [CrossRef] [PubMed]
- Auer, S.; Trovato, A.; Vendruscolo, M. A Condensation-Ordering Mechanism in Nanoparticle-Catalyzed Peptide Aggregation. PLoS Comput. Biol. 2009, 5, e1000458. [Google Scholar] [CrossRef]
- Linse, S.; Cabaleiro-Lago, C.; Xue, W.F.; Lynch, I.; Lindman, S.; Thulin, E.; Radford, S.E.; Dawson, K.A. Nucleation of Protein Fibrillation by Nanoparticles. Proc. Natl. Acad. Sci. USA 2007, 104, 8691–8696. [Google Scholar] [CrossRef] [PubMed]
- Zhang, W.; Qiao, X.; Chen, Q.; Cai, Y.; Chen, H. The Influence of Synthesis Condition and Aging Process of Silver Nanocrystals on the Formation of Silver Nanorods. Appl. Surf. Sci. 2012, 258, 5909–5913. [Google Scholar] [CrossRef]
- Paramelle, D.; Sadovoy, A.; Gorelik, S.; Free, P.; Hobley, J.; Fernig, D.G. A Rapid Method to Estimate the Concentration of Citrate Capped Silver Nanoparticles from UV-Visible Light Spectra. Analyst 2014, 139, 4855–4861. [Google Scholar] [CrossRef]
- Poshusta, T.L.; Katoh, N.; Gertz, M.A.; Dispenzieri, A.; Ramirez-Alvarado, M. Thermal Stability Threshold for Amyloid Formation in Light Chain Amyloidosis. Int. J. Mol. Sci. 2013, 14, 22604–22617. [Google Scholar] [CrossRef] [PubMed]
- Diemert, M.C.; Musset, L.; Gaillard, O.; Escolano, S.; Baumelou, A.; Rousselet, F.; Galli, J. Electrophoretic Study of the Physico-Chemical Characteristics of Bence-Jones Proteinuria and Its Association with Kidney Damage. J. Clin. Pathol. 1994, 47, 1090–1097. [Google Scholar] [CrossRef]
- Mukhopadhyay, A.; Basu, S.; Singha, S.; Patra, H.K. Inner-View of Nanomaterial Incited Protein Conformational Changes: Insights into Designable Interaction. Research 2018, 2018, 9712832. [Google Scholar] [CrossRef] [PubMed]
- Qin, Z.; Hu, D.; Zhu, M.; Fink, A.L. Structural Characterization of the Partially Folded Intermediates of an Immunoglobulin Light Chain Leading to Amyloid Fibrillation and Amorphous Aggregation. Biochemistry 2007, 46, 3521–3531. [Google Scholar] [CrossRef] [PubMed]
- Kim, Y.S.; Wall, J.S.; Meyer, J.; Murphy, C.; Randolph, T.W.; Manning, M.C.; Solomon, A.; Carpenter, J.F. Thermodynamic Modulation of Light Chain Amyloid Fibril Formation. J. Biol. Chem. 2000, 275, 1570–1574. [Google Scholar] [CrossRef] [PubMed]
- Merlini, G.; Stone, M.J. Dangerous Small B Cell Clones. Blood 2006, 108, 2520–2530. [Google Scholar] [CrossRef]
- Yakupova, E.I.; Bobyleva, L.G.; Vikhlyantsev, I.M.; Bobylev, A.G. Congo Red and Amyloids: History and Relationship. Biosci. Rep. 2019, 39, BSR20181415. [Google Scholar] [CrossRef] [PubMed]
- Merlini, G. AL Amyloidosis: From Molecular Mechanisms to Targeted Therapies; American Society of Hematology: Washington, DC, USA, 2017; Volume 1, pp. 1–12. [Google Scholar]
- Martin, D.J.; Ramirez-Alvarado, M. Comparison of Amyloid Fibril Formation by Two Closely Related Immunoglobulin Light Chain Variable Domains. Amyloid 2010, 17, 129–136. [Google Scholar] [CrossRef]
- Blancas-Mejía, L.M.; Hammernik, J.; Marin-Argany, M.; Ramirez-Alvarado, M. Differential Effects on Light Chain Amyloid Formation Depend on Mutations and Type of Glycosaminoglycans. J. Biol. Chem. 2015, 290, 4953–4965. [Google Scholar] [CrossRef]
- Dobson, C.M. The Fundamental Mechanism of Protein Folding. Nature 2003, 426, 884–890. [Google Scholar] [CrossRef]
- Chiti, F.; Dobson, C.M. Protein Misfolding, Amyloid Formation, and Human Disease: A Summary of Progress over the Last Decade. Annu. Rev. Biochem. 2017, 86, 27–68. [Google Scholar] [CrossRef]
- Misra, P.; Blancas-Mejia, L.M.; Ramirez-Alvarado, M. Mechanistic Insights into the Early Events in the Aggregation of Immunoglobulin Light Chains. Biochemistry 2019, 58, 3155–3168. [Google Scholar] [CrossRef]
- Rostagno, A.; Vidal, R.; Kaplan, B.; Chuba, J.; Kumar, A.; Elliott, J.I.; Frangione, B.; Gallo, G.; Ghiso, J. PH-Dependent Fibrillogenesis of a V(κ)III Bence Jones Protein. Br. J. Haematol. 1999, 107, 835–843. [Google Scholar] [CrossRef] [PubMed]
- Wang, F.; Chen, B.; Yan, B.; Yin, Y.; Hu, L.; Liang, Y.; Song, M.; Jiang, G. Scattered Light Imaging Enables Real-Time Monitoring of Label-Free Nanoparticles and Fluorescent Biomolecules in Live Cells. J. Am. Chem. Soc. 2019, 141, 14043–14047. [Google Scholar] [CrossRef] [PubMed]
- Li, T.; Wu, X.; Liu, F.; Li, N. Analytical Methods Based on the Light-Scattering of Plasmonic Nanoparticles at the Single Particle Level with Dark-Field Microscopy Imaging. Analyst 2017, 142, 248–256. [Google Scholar] [CrossRef] [PubMed]
- Cheng, J.; Liu, Y.; Cheng, X.; He, Y.; Yeung, E.S. Real Time Observation of Chemical Reactions of Individual Metal Nanoparticles with High-Throughput Single Molecule Spectral Microscopy. Anal. Chem. 2010, 82, 8744–8749. [Google Scholar] [CrossRef]
- Cheng, X.; Dai, D.; Yuan, Z.; Peng, L.; He, Y.; Yeung, E.S. Color Difference Amplification between Gold Nanoparticles in Colorimetric Analysis with Actively Controlled Multiband Illumination. Anal. Chem. 2014, 86, 7584–7592. [Google Scholar] [CrossRef]
- Gilan, S.S.T.; Rayat, D.Y.; Mustafa, T.A.; Aziz, F.M.; Shahpasand, K.; Akhtari, K.; Salihi, A.; Abou-Zied, O.K.; Falahati, M. α-Synuclein Interaction With Zero-Valent Iron Nanoparticles Accelerates Structural Rearrangement Into Amyloid-Susceptible Structure With Increased Cytotoxic Tendency. Int. J. Nanomed. 2019, 14, 4637–4648. [Google Scholar] [CrossRef]
- Ban, D.K.; Paul, S. Protein Corona over Silver Nanoparticles Triggers Conformational Change of Proteins and Drop in Bactericidal Potential of Nanoparticles: Polyethylene Glycol Capping as Preventive Strategy. Colloids Surf. B Biointerfaces 2016, 146, 577–584. [Google Scholar] [CrossRef]
- Vertegel, A.A.; Siegel, R.W.; Dordick, J.S. Silica Nanoparticle Size Influences the Structure and Enzymatic Activity of Adsorbed Lysozyme. Langmuir 2004, 20, 6800–6807. [Google Scholar] [CrossRef]
- Zaman, M.; Ahmad, E.; Qadeer, A.; Rabbani, G.; Khan, R.H. Nanoparticles in Relation to Peptide and Protein Aggregation. Int. J. Nanomed. 2014, 9, 899–912. [Google Scholar]
- Colvin, V.L.; Kulinowski, K.M. Nanoparticles as Catalysts for Protein Fibrillation. Proc. Natl. Acad. Sci. USA 2007, 104, 8679–8680. [Google Scholar] [CrossRef]
- Wagner, S.C.; Roskamp, M.; Pallerla, M.; Araghi, R.R.; Schlecht, S.; Koksch, B. Nanoparticle-Induced Folding and Fibril Formation of Coiled-Coil-Based Model Peptides. Small 2010, 6, 1321–1328. [Google Scholar] [CrossRef]
- Creighton, J.A.; Blatchford, C.G.; Albrecht, M.G. Plasma Resonance Enhancement of Raman Scattering by Pyridine Adsorbed on Silver or Gold Sol Particles of Size Comparable to the Excitation Wavelength. J. Chem. Soc. Faraday Trans. 2 Mol. Chem. Phys. 1979, 75, 790–798. [Google Scholar] [CrossRef]







Publisher’s Note: MDPI stays neutral with regard to jurisdictional claims in published maps and institutional affiliations. |
© 2021 by the authors. Licensee MDPI, Basel, Switzerland. This article is an open access article distributed under the terms and conditions of the Creative Commons Attribution (CC BY) license (https://creativecommons.org/licenses/by/4.0/).
Share and Cite
Lizoń, A.; Tisończyk, J.; Gajewska, M.; Drożdż, R. Silver Nanoparticles as a Tool for the Study of Spontaneous Aggregation of Immunoglobulin Monoclonal Free Light Chains. Int. J. Mol. Sci. 2021, 22, 9703. https://doi.org/10.3390/ijms22189703
Lizoń A, Tisończyk J, Gajewska M, Drożdż R. Silver Nanoparticles as a Tool for the Study of Spontaneous Aggregation of Immunoglobulin Monoclonal Free Light Chains. International Journal of Molecular Sciences. 2021; 22(18):9703. https://doi.org/10.3390/ijms22189703
Chicago/Turabian StyleLizoń, Anna, Joanna Tisończyk, Marta Gajewska, and Ryszard Drożdż. 2021. "Silver Nanoparticles as a Tool for the Study of Spontaneous Aggregation of Immunoglobulin Monoclonal Free Light Chains" International Journal of Molecular Sciences 22, no. 18: 9703. https://doi.org/10.3390/ijms22189703
APA StyleLizoń, A., Tisończyk, J., Gajewska, M., & Drożdż, R. (2021). Silver Nanoparticles as a Tool for the Study of Spontaneous Aggregation of Immunoglobulin Monoclonal Free Light Chains. International Journal of Molecular Sciences, 22(18), 9703. https://doi.org/10.3390/ijms22189703

