PM2.5 Exacerbates Oxidative Stress and Inflammatory Response through the Nrf2/NF-κB Signaling Pathway in OVA-Induced Allergic Rhinitis Mouse Model
Abstract
1. Introduction
2. Results
2.1. Effect of PM2.5 on the Allergic Symptoms in OVA-Induced AR Mouse
2.2. Effect of PM2.5 on the Infiltration of Total and Inflammatory Cells in NALF and BALF of OVA-Induced AR Mouse
2.3. Effect of PM2.5 on the Allergic Responses with OVA-Specific Antibodies Level in Serum of OVA-Induced AR Mouse
2.4. Effect of PM2.5 on the Alveolar Macrophage function in BALF and Lung Tissue of OVA-Induced AR Mouse
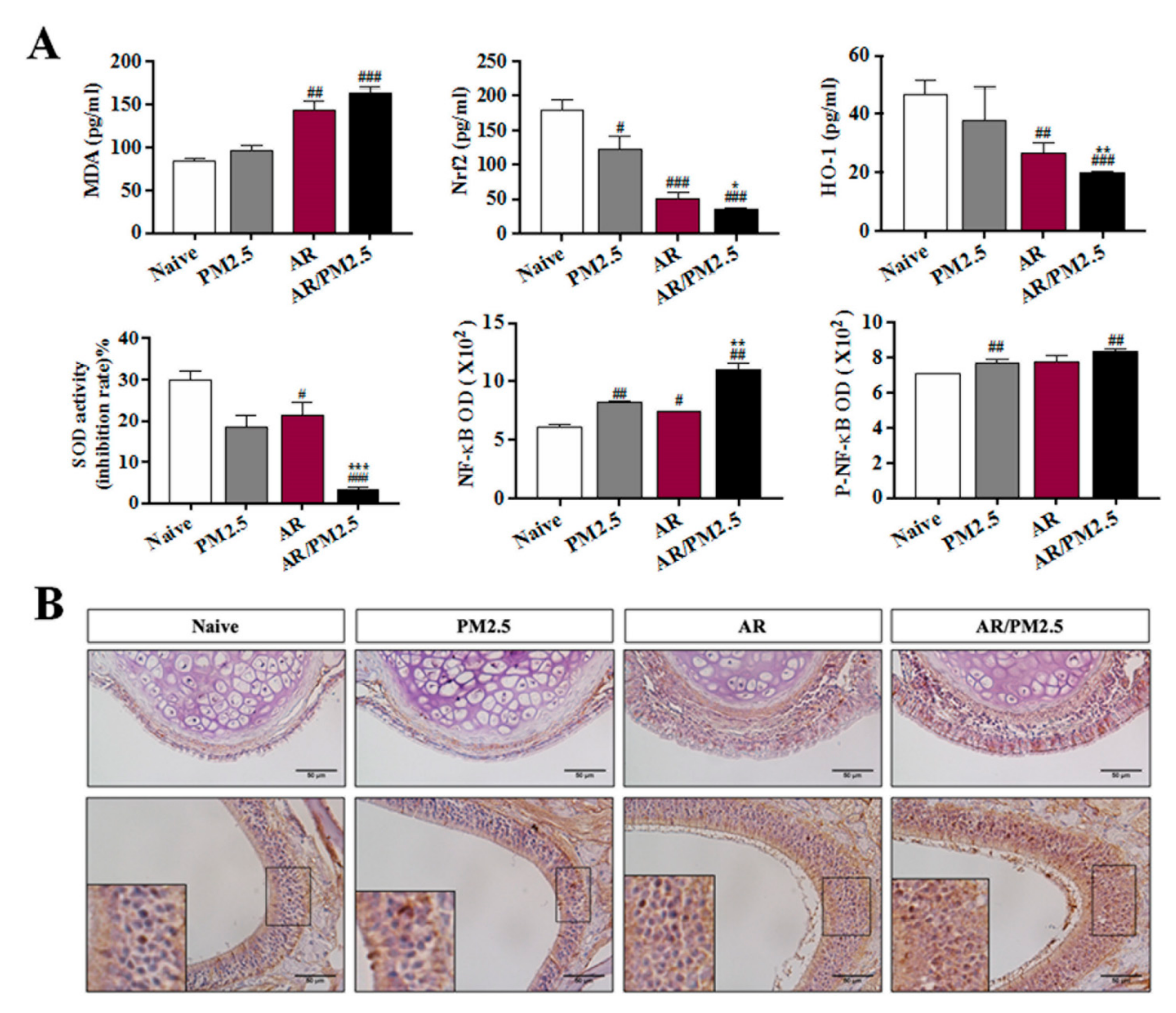
2.5. Effect of PM2.5 on the Oxidative Stress and Nrf2/NF-κB Signaling Pathway in OVA-Induced AR Mouse
2.6. Effect of PM2.5 on the Histological Changes in the Nasal and Lung Tissues of OVA-Induced AR Mouse
2.7. Effect of PM2.5 on the Differentiation Helper T cells Responses in NALF of OVA-Induced AR Mouse
3. Discussion
4. Materials and Methods
4.1. Animals
4.2. PM2.5 Sample Preparation and Chemical Analysis
4.3. Mouse Model of AR and PM2.5
4.4. Allergic Symptom Scores
4.5. Collection and Analysis of Nasal Lavage Fluid (NALF) and Bronchoalveolar Lavage Fluid (BALF)
4.6. PM2.5 Content of Airway Macrophage
4.7. Collection and Measurement of Serum
4.8. Tissue Preparation
4.9. Histological Examinations
4.10. Immunohistochemistry
4.11. Enzyme-Linked Immunosorbent Assay (ELISA)
4.12. Statistical Analysis
5. Conclusions
Author Contributions
Funding
Institutional Review Board Statement
Informed Consent Statement
Data availability statement
Conflicts of Interest
References
- Alghamdi, M.A.; Shamy, M.; Redal, M.A.; Khoder, M.; Awad, A.H.; Elserougy, S. Microorganisms associated particulate matter: A preliminary study. Sci. Total Environ. 2014, 479–480, 109–116. [Google Scholar] [CrossRef] [PubMed]
- Zanobetti, A.; Franklin, M.; Koutrakis, P.; Schwartz, J. Fine particulate air pollution and its components in association with cause-specific emergency admissions. Environ. Health 2009, 8, 58. [Google Scholar] [CrossRef]
- Deng, Q.; Deng, L.; Miao, Y.; Guo, X.; Li, Y. Particle deposition in the human lung: Health implications of particulate matter from different sources. Environ. Res. 2019, 169, 237–245. [Google Scholar] [CrossRef]
- Shi, J.; Chen, R.; Yang, C.; Lin, Z.; Cai, J.; Xia, Y.; Wang, C.; Li, H.; Johnson, N.; Xu, X.; et al. Association between fine particulate matter chemical constituents and airway inflammation: A panel study among healthy adults in China. Environ. Res. 2016, 150, 264–268. [Google Scholar] [CrossRef] [PubMed]
- Guan, W.J.; Zheng, X.Y.; Chung, K.F.; Zhong, N.S. Impact of air pollution on the burden of chronic respiratory diseases in China: Time for urgent action. Lancet 2016, 388, 1939–1951. [Google Scholar] [CrossRef]
- Dockery, D.W.; Pope, C.A., 3rd; Xu, X.; Spengler, J.D.; Ware, J.H.; Fay, M.E.; Ferris, B.G., Jr.; Speizer, F.E. An association between air pollution and mortality in six U.S. cities. N. Engl. J. Med. 1993, 329, 1753–1759. [Google Scholar] [CrossRef]
- Mehta, M.; Chen, L.C.; Gordon, T.; Rom, W.; Tang, M.S. Particulate matter inhibits DNA repair and enhances mutagenesis. Mutat. Res. 2008, 657, 116–121. [Google Scholar] [CrossRef] [PubMed]
- Kim, H.Y.; Jee, H.; Yeom, J.H.; Jeong, H.J.; Kim, H.M. The ameliorative effect of AST2017-01 in an ovalbumin-induced allergic rhinitis animal model. Inflamm. Res. 2019, 68, 387–395. [Google Scholar] [CrossRef] [PubMed]
- Togias, A.G. Systemic immunologic and inflammatory aspects of allergic rhinitis. J. Allergy Clin. Immunol. 2000, 106, S247–S250. [Google Scholar] [CrossRef]
- Holguin, F. Oxidative stress in airway diseases. Ann. Am. Thorac. Soc. 2013, 10, S150–S157. [Google Scholar] [CrossRef] [PubMed]
- Nguyen, T.; Nioi, P.; Pickett, C.B. The Nrf2-antioxidant response element signaling pathway and its activation by oxidative stress. J. Biol. Chem. 2009, 284, 13291–13295. [Google Scholar] [CrossRef]
- Tak, P.P.; Firestein, G.S. NF-kappaB: A key role in inflammatory diseases. J. Clin. Investig. 2001, 107, 7–11. [Google Scholar] [CrossRef]
- Li, W.; Khor, T.O.; Xu, C.; Shen, G.; Jeong, W.S.; Yu, S.; Kong, A.N. Activation of Nrf2-antioxidant signaling attenuates NFkappaB-inflammatory response and elicits apoptosis. Biochem. Pharm. 2008, 76, 1485–1489. [Google Scholar] [CrossRef]
- Kohen, R.; Nyska, A. Oxidation of biological systems: Oxidative stress phenomena, antioxidants, redox reactions, and methods for their quantification. Toxicol. Pathol. 2002, 30, 620–650. [Google Scholar] [CrossRef]
- Egea, J.; Gonzalez-Rodriguez, A.; Gomez-Guerrero, C.; Moreno, J.A. Editorial: Role of Nrf2 in Disease: Novel Molecular Mechanisms and Therapeutic Approaches. Front. Pharm. 2019, 10, 1149. [Google Scholar] [CrossRef]
- Deng, X.; Rui, W.; Zhang, F.; Ding, W. PM2.5 induces Nrf2-mediated defense mechanisms against oxidative stress by activating PIK3/AKT signaling pathway in human lung alveolar epithelial A549 cells. Cell. Biol. Toxicol. 2013, 29, 143–157. [Google Scholar] [CrossRef] [PubMed]
- Guo, Z.Q.; Zhao, R.W.; Zhang, R.X.; Dong, W.Y.; Deng, C.R.; Zhuang, G.S. The effect of PM2.5 on mucus secretion and ultrastructureof nasal mucosa in allergic rhinitis model. Lin Chung Er Bi Yan Hou Tou Jing Wai Ke Za Zhi 2018, 32, 1632–1635. [Google Scholar] [PubMed]
- Wang, S.B.; Deng, Y.Q.; Ren, J.; Xiao, B.K.; Liu, Z.; Tao, Z.Z. Exogenous interleukin-10 alleviates allergic inflammation but inhibits local interleukin-10 expression in a mouse allergic rhinitis model. BMC Immunol. 2014, 15, 9. [Google Scholar] [CrossRef][Green Version]
- Greiner, A.N.; Hellings, P.W.; Rotiroti, G.; Scadding, G.K. Allergic rhinitis. Lancet 2011, 378, 2112–2122. [Google Scholar] [CrossRef]
- Chafe, Z.A.; Brauer, M.; Klimont, Z.; Van Dingenen, R.; Mehta, S.; Rao, S.; Riahi, K.; Dentener, F.; Smith, K.R. Household cooking with solid fuels contributes to ambient PM2.5 air pollution and the burden of disease. Environ. Health Perspect. 2014, 122, 1314–1320. [Google Scholar] [CrossRef]
- Konishi, S.; Ng, C.F.; Stickley, A.; Nishihata, S.; Shinsugi, C.; Ueda, K.; Takami, A.; Watanabe, C. Particulate matter modifies the association between airborne pollen and daily medical consultations for pollinosis in Tokyo. Sci. Total Environ. 2014, 499, 125–132. [Google Scholar] [CrossRef]
- Kzhyshkowska, J.; Neyen, C.; Gordon, S. Role of macrophage scavenger receptors in atherosclerosis. Immunobiology 2012, 217, 492–502. [Google Scholar] [CrossRef] [PubMed]
- Piao, M.J.; Kang, K.A.; Zhen, A.X.; Fernando, P.; Ahn, M.J.; Koh, Y.S.; Kang, H.K.; Yi, J.M.; Choi, Y.H.; Hyun, J.W. Particulate Matter 2.5 Mediates Cutaneous Cellular Injury by Inducing Mitochondria-Associated Endoplasmic Reticulum Stress: Protective Effects of Ginsenoside Rb1. Antioxidants 2019, 8, 383. [Google Scholar] [CrossRef] [PubMed]
- Riva, D.R.; Magalhaes, C.B.; Lopes, A.A.; Lancas, T.; Mauad, T.; Malm, O.; Valenca, S.S.; Saldiva, P.H.; Faffe, D.S.; Zin, W.A. Low dose of fine particulate matter (PM2.5) can induce acute oxidative stress, inflammation and pulmonary impairment in healthy mice. Inhal. Toxicol. 2011, 23, 257–267. [Google Scholar] [CrossRef] [PubMed]
- Yoon, Y.P.; Lee, H.J.; Lee, D.U.; Lee, S.K.; Hong, J.H.; Lee, C.J. Effects of Lupenone, Lupeol, and Taraxerol Derived from Adenophora triphylla on the Gene Expression and Production of Airway MUC5AC Mucin. Tuberc. Respir. Dis. 2015, 78, 210–217. [Google Scholar] [CrossRef] [PubMed]
- Henderson, W.R., Jr.; Chi, E.Y.; Teo, J.L.; Nguyen, C.; Kahn, M. A small molecule inhibitor of redox-regulated NF-kappa B and activator protein-1 transcription blocks allergic airway inflammation in a mouse asthma model. J. Immunol. 2002, 169, 5294–5299. [Google Scholar] [CrossRef]
- Dagher, Z.; Garcon, G.; Billet, S.; Verdin, A.; Ledoux, F.; Courcot, D.; Aboukais, A.; Shirali, P. Role of nuclear factor-kappa B activation in the adverse effects induced by air pollution particulate matter (PM2.5) in human epithelial lung cells (L132) in culture. J. Appl. Toxicol. 2007, 27, 284–290. [Google Scholar] [CrossRef]
- Shen, Y.; Zhang, Z.H.; Hu, D.; Ke, X.; Gu, Z.; Zou, Q.Y.; Hu, G.H.; Song, S.H.; Kang, H.Y.; Hong, S.L. The airway inflammation induced by nasal inoculation of PM2.5 and the treatment of bacterial lysates in rats. Sci. Rep. 2018, 8, 9816. [Google Scholar] [CrossRef]
- Fontenot, J.D.; Gavin, M.A.; Rudensky, A.Y. Foxp3 programs the development and function of CD4+CD25+ regulatory T cells. Nat. Immunol. 2003, 4, 330–336. [Google Scholar] [CrossRef]
- Khattri, R.; Cox, T.; Yasayko, S.A.; Ramsdell, F. An essential role for Scurfin in CD4+CD25+ T regulatory cells. Nat. Immunol. 2003, 4, 337–342. [Google Scholar] [CrossRef] [PubMed]
- Huang, X.; Chen, Y.; Zhang, F.; Yang, Q.; Zhang, G. Peripheral Th17/Treg cell-mediated immunity imbalance in allergic rhinitis patients. Braz. J. Otorhinolaryngol. 2014, 80, 152–155. [Google Scholar] [CrossRef] [PubMed]
- Jiang, H.; Wu, X.; Zhu, H.; Xie, Y.; Tang, S.; Jiang, Y. FOXP3(+)Treg/Th17 cell imbalance in lung tissues of mice with asthma. Int. J. Clin. Exp. Med. 2015, 8, 4158–4163. [Google Scholar]
- Makihara, S.; Okano, M.; Fujiwara, T.; Noda, Y.; Higaki, T.; Miyateke, T.; Kanai, K.; Haruna, T.; Kariya, S.; Nishizaki, K. Local expression of interleukin-17a is correlated with nasal eosinophilia and clinical severity in allergic rhinitis. Allergy Rhinol. 2014, 5, 22–27. [Google Scholar] [CrossRef] [PubMed]
- Georas, S.N.; Rezaee, F. Epithelial barrier function: At the front line of asthma immunology and allergic airway inflammation. J. Allergy Clin. Immunol. 2014, 134, 509–520. [Google Scholar] [CrossRef]
- Kumar, R.K.; Shadie, A.M.; Bucknall, M.P.; Rutlidge, H.; Garthwaite, L.; Herbert, C.; Halliburton, B.; Parsons, K.S.; Wark, P.A. Differential injurious effects of ambient and traffic-derived particulate matter on airway epithelial cells. Respirology 2015, 20, 73–79. [Google Scholar] [CrossRef]
- Guo, Z.Q.; Dong, W.Y.; Xu, J.; Hong, Z.C.; Zhao, R.W.; Deng, C.R.; Zhuang, G.S.; Zhang, R.X. T-helper type 1-T-helper type 2 shift and nasal remodeling after fine particulate matter exposure in a rat model of allergic rhinitis. Am. J. Rhinol. Allergy 2017, 31, 148–155. [Google Scholar] [CrossRef] [PubMed]
- Kulkarni, N.S.; Prudon, B.; Panditi, S.L.; Abebe, Y.; Grigg, J. Carbon loading of alveolar macrophages in adults and children exposed to biomass smoke particles. Sci. Total Environ. 2005, 345, 23–30. [Google Scholar] [CrossRef] [PubMed]







| PAHs | Mass Fraction (mg/kg) | Nitro-PAHs | Mass Fraction (mg/kg) |
|---|---|---|---|
| 2-Methylphenanthrene | 2.22 ± 0.21 | 9-Nitrophenanthrene | 0.466 ± 0.013 |
| 1-Methylphenanthrene | 0.923 ± 0.057 | 3-Nitrophenanthrene | 0.190 ± 0.007 |
| Triphenylene | 5.32 ± 0.24 | 2-Nitrofluoranthene | 0.231 ± 0.032 |
| Benzo[j]fluoranthene | 0.819 ± 0.093 | 3-Nitrofluoranthene | 3.80 ± 0.24 |
| Benzo[a]fluoranthene | 0.066 ± 0.007 | 1-Nitropyrene | 35.2 ± 2.2 |
| Dibenz[a]anthracene | 0.523 ± 0.047 | 7-Nitrobenz[a]anthracene | 3.57 ± 0.32 |
| Picene | 0.902 ± 0.091 | 6-Notrochrysene | 2.45 ±0.33 |
| Dibenzo[a,e]pyrene | 0.599 ± 0.024 | ||
| Dibenzo[b,k]fluoranthene | 2.54 ± 0.08 |
Publisher’s Note: MDPI stays neutral with regard to jurisdictional claims in published maps and institutional affiliations. |
© 2021 by the authors. Licensee MDPI, Basel, Switzerland. This article is an open access article distributed under the terms and conditions of the Creative Commons Attribution (CC BY) license (https://creativecommons.org/licenses/by/4.0/).
Share and Cite
Piao, C.H.; Fan, Y.; Nguyen, T.V.; Shin, H.S.; Kim, H.T.; Song, C.H.; Chai, O.H. PM2.5 Exacerbates Oxidative Stress and Inflammatory Response through the Nrf2/NF-κB Signaling Pathway in OVA-Induced Allergic Rhinitis Mouse Model. Int. J. Mol. Sci. 2021, 22, 8173. https://doi.org/10.3390/ijms22158173
Piao CH, Fan Y, Nguyen TV, Shin HS, Kim HT, Song CH, Chai OH. PM2.5 Exacerbates Oxidative Stress and Inflammatory Response through the Nrf2/NF-κB Signaling Pathway in OVA-Induced Allergic Rhinitis Mouse Model. International Journal of Molecular Sciences. 2021; 22(15):8173. https://doi.org/10.3390/ijms22158173
Chicago/Turabian StylePiao, Chun Hua, Yanjing Fan, Thi Van Nguyen, Hee Soon Shin, Hyoung Tae Kim, Chang Ho Song, and Ok Hee Chai. 2021. "PM2.5 Exacerbates Oxidative Stress and Inflammatory Response through the Nrf2/NF-κB Signaling Pathway in OVA-Induced Allergic Rhinitis Mouse Model" International Journal of Molecular Sciences 22, no. 15: 8173. https://doi.org/10.3390/ijms22158173
APA StylePiao, C. H., Fan, Y., Nguyen, T. V., Shin, H. S., Kim, H. T., Song, C. H., & Chai, O. H. (2021). PM2.5 Exacerbates Oxidative Stress and Inflammatory Response through the Nrf2/NF-κB Signaling Pathway in OVA-Induced Allergic Rhinitis Mouse Model. International Journal of Molecular Sciences, 22(15), 8173. https://doi.org/10.3390/ijms22158173

