Metformin Alleviates Left Ventricular Diastolic Dysfunction in a Rat Myocardial Ischemia Reperfusion Injury Model
Abstract
1. Introduction
2. Results
2.1. Body Weight and Heart Changes
2.2. Echocardiographic Results
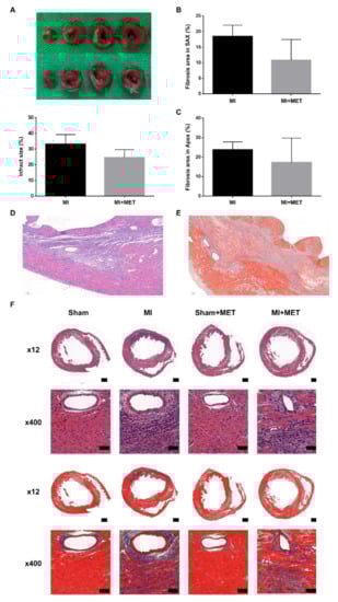
2.3. Myocardial Infarct Size and Histopathological Analysis
2.4. Metformin Treatment Results in Changes of Multiple Cellular Processes in the Rat Myocardial I/R Injury Model
3. Discussion
4. Materials and Methods
4.1. Animals, Husbandry and Experimental Design
4.2. Induction of Myocardial Ischemia/Reperfusion Injury
4.3. Echocardiographic Analysis
4.4. Myocardial Infarct Size and Histopathological Analysis
4.5. mRNA Sequencing
4.6. Analysis of mRNA Sequencing Data
4.7. Statistical Analysis
Supplementary Materials
Author Contributions
Funding
Acknowledgments
Conflicts of Interest
Abbreviations
| LAD | left anterior descending |
| MET | metformin |
| MI | myocardial infarction |
| PD | per oral |
| RO | reverse osmosis |
| EF, | ejection fraction |
| FS | fractional shortening |
| PWD | pulse wave doppler |
| TDI | tissue doppler imaging. |
| SV | stroke volume |
| CO | cardiac output |
| LVIDd | left ventricular internal diameter at diastole |
| LVIDs | left ventricular internal diameter at systole |
| IVSd | interventricular septal thickness at diastole |
| IVSs | interventricular septal thickness at systole |
| LVPWd | left ventricular posterior wall thickness at diastole |
| LVPWs | left ventricular posterior wall thickness at systole |
| DEG | differentially expressed gene |
| GOBP | gene ontology biological process |
References
- Jayaraj, J.C.; Davatyan, K.; Subramanian, S.S.; Priya, J. Epidemiology of myocardial infarction. In Myocardial Infarction; Pamukçu, B., Ed.; IntechOpen: London, UK, 2018. [Google Scholar]
- Di Napoli, P.; Taccardi, A.A.; De Caterina, R.; Barsotti, A. Pathophysiology of ischemia-reperfusion injury: Experimental data. Ital. Heart J. 2002, 3 (Suppl. S4), 24S–28S. [Google Scholar] [PubMed]
- Thygesen, K.; Alpert, J.S.; Jaffe, A.S.; Simoons, M.L.; Chaitman, B.R.; White, H.D. Task Force for the Universal Definition of Myocardial Infarction Third universal definition of myocardial infarction. Nat. Rev. Cardiol. 2012, 9, 620–633. [Google Scholar] [CrossRef]
- Bassien-Capsa, V.; Fouron, J.C.; Comte, B.; Chorvatova, A. Structural, functional and metabolic remodeling of rat left ventricular myocytes in normal and in sodium-supplemented pregnancy. Cardiovasc. Res. 2006, 69, 423–431. [Google Scholar] [CrossRef] [PubMed]
- Lee, K.S.; Marwick, T.H.; Cook, S.A.; Go, R.T.; Fix, J.S.; James, K.B.; Sapp, S.K.; MacIntyre, W.J.; Thomas, J.D. Prognosis of patients with left ventricular dysfunction, with and without viable myocardium after myocardial infarction. Relative efficacy of medical therapy and revascularization. Circulation 1994, 90, 2687–2694. [Google Scholar] [CrossRef]
- Sanders, D.; Dudley, M.; Groban, L. Diastolic dysfunction, cardiovascular aging, and the anesthesiologist. Anesthesiol. Clin. 2009, 27, 497–517. [Google Scholar] [CrossRef]
- Xu, J.; Zhang, C.; Khanna, A. Wideband high-frequency echocardiography to evaluate myocardial infarct size. J. Ultrasound Med. 2009, 28, 1527–1534. [Google Scholar] [CrossRef]
- Cootney, R.W. Ultrasound imaging: Principles and applications in rodent research. ILAR J. 2001, 42, 233–247. [Google Scholar] [CrossRef]
- Holinski, S.; Knebel, F.; Heinze, G.; Konertz, W.; Baumann, G.; Borges, A.C. Noninvasive monitoring of cardiac function in a chronic ischemic heart failure model in the rat: Assessment with tissue Doppler and non-Doppler 2D strain echocardiography. Cardiovasc. Ultrasound 2011, 9, 15. [Google Scholar] [CrossRef]
- Watson, L.E.; Sheth, M.; Denyer, R.F.; Dostal, D.E. Baseline echocardiographic values for adult male rats. J. Am. Soc. Echocardiogr. 2004, 17, 161–167. [Google Scholar] [CrossRef]
- Gao, X.R.; Xu, H.J.; Wang, L.F.; Liu, C.B.; Yu, F. Mesenchymal stem cell transplantation carried in SVVYGLR modified self-assembling peptide promoted cardiac repair and angiogenesis after myocardial infarction. Biochem. Biophys. Res. Commun. 2017, 491, 112–118. [Google Scholar] [CrossRef]
- Li, X.; Dai, Y.; Yan, S.; Shi, Y.; Han, B.; Li, J.; Cha, L.; Mu, J. Down-regulation of lncRNA KCNQ1OT1 protects against myocardial ischemia/reperfusion injury following acute myocardial infarction. Biochem. Biophys. Res. Commun. 2017, 491, 1026–1033. [Google Scholar] [CrossRef]
- Sun, L.; Cui, M.; Wang, Z.; Feng, X.; Mao, J.; Chen, P.; Kangtao, M.; Chen, F.; Zhou, C. Mesenchymal stem cells modified with angiopoietin-1 improve remodeling in a rat model of acute myocardial infarction. Biochem. Biophys. Res. Commun. 2007, 357, 779–784. [Google Scholar] [CrossRef]
- Wang, N.P.; Wang, Z.F.; Tootle, S.; Philip, T.; Zhao, Z.Q. Curcumin promotes cardiac repair and ameliorates cardiac dysfunction following myocardial infarction. Br. J. Pharmacol. 2012, 167, 1550–1562. [Google Scholar] [CrossRef]
- Inzucchi, S.E.; Bergenstal, R.M.; Buse, J.B.; Diamant, M.; Ferrannini, E.; Nauck, M.; Peters, A.L.; Tsapas, A.; Wender, R.; Matthews, D.R. Management of hyperglycemia in type 2 diabetes, 2015: A patient-centered approach: Update to a position statement of the American Diabetes Association and the European Association for the Study of Diabetes. Diabetes Care 2014, 38, 140–149. [Google Scholar] [CrossRef]
- Abbasi, F.; Chu, J.W.; McLaughlin, T.; Lamendola, C.; Leary, E.T.; Reaven, G.M. Effect of metformin treatment on multiple cardiovascular disease risk factors in patients with type 2 diabetes mellitus. Metabolism 2004, 53, 159–164. [Google Scholar] [CrossRef]
- Zhao, J.L.; Fan, C.M.; Yang, Y.J.; You, S.I.; Gao, X.; Zhou, Q.; Pei, W.D. Chronic pretreatment of metformin is associated with the reduction of the no-reflow phenomenon in patients with diabetes mellitus after primary angioplasty for acute myocardial infarction. Cardiovasc. Ther. 2013, 31, 60–64. [Google Scholar] [CrossRef]
- Soraya, H.; Farajnia, S.; Khani, S.; Rameshrad, M.; Khorrami, A.; Banani, A.; Maleki-Dizaji, N.; Garjani, A. Short-term treatment with metformin suppresses toll like receptors (TLRs) activity in isoproterenol-induced myocardial infarction in rat: Are AMPK and TLRs connected? Int. Immunopharmacol. 2012, 14, 785–791. [Google Scholar] [CrossRef]
- Kessler, E.L.; Rivaud, M.R.; Vos, M.A.; Veen, T.A. Sex-specific influence on cardiac structural remodeling and therapy in cardiovascular disease. Biol. Sex. Differ. 2019, 10, 7. [Google Scholar]
- Ting, L.; Xianli, Z.; Wengi, Y.; Yuelan, Z. Treatment with metformin prevents myocardial ischemia-reperfusion injury via STEAP4 signaling pathway. Anatol. J. Cardiol. 2019, 21, 261–271. [Google Scholar]
- Calvert, J.W.; Gundewar, S.; Jha, S.; Greer, J.J.; Bestermann, W.H.; Tian, R.; Lefer, D.J. Acute metforin therapy confers cardioprotection against myocardial infarction via AMPK-eNOS-mediated signaling. Diabetes 2008, 57, 696–705. [Google Scholar] [CrossRef]
- Nagueh, S.F.; Lakkis, N.M.; Middleton, K.J.; Spencer, W.H., 3rd; Zoghbi, W.A.; Quinones, M.A. Doppler estimation of left ventricular filling pressures in patients with hypertrophic cardiomyopathy. Circulation 1999, 99, 254–261. [Google Scholar] [CrossRef] [PubMed]
- Nagueh, S.F.; Mikati, I.; Kopelen, H.A.; Middleton, K.J.; Quinones, M.A.; Zoghbi, W.A. Doppler estimation of left ventricular filling pressure in sinus tachycardia. A new application of tissue doppler imaging. Circulation 1998, 98, 1644–1650. [Google Scholar] [CrossRef] [PubMed]
- Jo, W.; Lee, H.Y.; Kim, S.J.; Son, W.C.; Song, S.; Kim, H. Sustained left ventricular diastolic dysfunction following ischemia reperfusion injury in an acute myocardial infarction rat model. Jpn. J. Vet. Res. 2018, 66, 281–288. [Google Scholar]
- Moller, J.E.; Pellikka, P.A.; Hillis, G.S.; Oh, J.K. Prognostic importance of diastolic function and filling pressure in patients with acute myocardial infarction. Circulation 2006, 114, 438–444. [Google Scholar] [CrossRef]
- Moller, J.E.; Sondergaard, E.; Poulsen, S.H.; Egstrup, K. Pseudonormal and restrictive filling patterns predict left ventricular dilation and cardiac death after a first myocardial infarction: A serial color M-mode Doppler echocardiographic study. J. Am. Coll. Cardiol. 2000, 36, 1841–1846. [Google Scholar] [CrossRef]
- Chang, J.; Nair, V.; Luk, A.; Butany, J. Pathology of myocardial infarction. Diagn. Histopathol. 2013, 19, 7–12. [Google Scholar] [CrossRef]
- Rojas, L.B.; Gomes, M.B. Metformin: An old but still the best treatment for type 2 diabetes. Diabetol. Metab. Syndr. 2013, 5, 6. [Google Scholar] [CrossRef]
- Bailey, C.J. Metformin: The Gold Standard: A Scientific Handbook; John Wiley & Sons: Hoboken, NJ, USA, 2008. [Google Scholar]
- Pala, L.; Rotella, C.M. The “slower” the better. J. Endocrinol. Investig. 2014, 37, 497–498. [Google Scholar] [CrossRef]
- Scheen, A.J. Will delayed release metformin provide better management of diabetes type 2? Expert Opin. Pharmacother. 2016, 17, 627–630. [Google Scholar] [CrossRef][Green Version]
- DeFronzo, R.; Fleming, G.A.; Chen, K.; Bicsak, T.A. Metformin-associated lactic acidosis: Current perspectives on causes and risk. Metabolism 2016, 65, 20–29. [Google Scholar] [CrossRef]
- McCreight, L.J.; Bailey, C.J.; Pearson, E.R. Metformin and the gastrointestinal tract. Diabetologia 2016, 59, 426–435. [Google Scholar] [CrossRef] [PubMed]
- Fujita, Y.; Inagaki, N. Metformin: New preparations and nonglycemic benefits. Curr. Diab. Rep. 2017, 17, 5. [Google Scholar] [CrossRef] [PubMed]
- Holman, R.R.; Paul, S.K.; Bethel, M.A.; Matthews, D.R.; Neil, H.A.W. 10-year follow-up of intensive glucose control in type 2 diabetes. N. Engl. J. Med. 2008, 359, 1577–1589. [Google Scholar] [CrossRef] [PubMed]
- UK Prospective Diabetes Study (UKPDS). Group Effect of intensive blood-glucose control with metformin on complications in overweight patients with type 2 diabetes (UKPDS 34). Lancet 1998, 352, 854–865. [Google Scholar] [CrossRef]
- Anabtawi, A.; Miles, J.M. Metformin: Nonglycemic effects and potential novel indications. Endocr. Pract. 2016, 22, 999–1007. [Google Scholar] [CrossRef]
- Mair, W.; Dillin, A. Aging and survival: The genetics of life span extension by dietary restriction. Annu. Rev. Biochem. 2008, 77, 727–754. [Google Scholar] [CrossRef]
- Masoro, E.J.; Yu, B.P.; Bertrand, H.A. Action of food restriction in delaying the aging process. Proc. Natl. Acad. Sci. USA 1982, 79, 4239–4241. [Google Scholar] [CrossRef]
- Walker, G.; Houthoofd, K.; Vanfleteren, J.R.; Gems, D. Dietary restriction in C. elegans: From rate-of-living effects to nutrient sensing pathways. Mech. Ageing Dev. 2005, 126, 929–937. [Google Scholar] [CrossRef]
- Novelle, M.G.; Ali, A.; Dieguez, C.; Bernier, M.; de Cabo, R. Metformin: A hopeful promise in aging research. Cold Spring Harb. Perspect. Med. 2016, 6, a025932. [Google Scholar] [CrossRef]
- Kao, J.; Tobis, J.; McClelland, R.L.; Heaton, M.R.; Davis, B.R.; Holmes, D.R., Jr.; Currier, J.W. Investigators in the Prevention of Restenosis With Tranilast and Its Outcomes Trial Relation of metformin treatment to clinical events in diabetic patients undergoing percutaneous intervention. Am. J. Cardiol. 2004, 93, 1347–1350. [Google Scholar] [CrossRef][Green Version]
- Gorcsan, J., 3rd; Tanaka, H. Echocardiographic assessment of myocardial strain. J. Am. Coll. Cardiol. 2011, 58, 1401–1413. [Google Scholar] [CrossRef] [PubMed]
- Mor-Avi, V.; Lang, R.M.; Badano, L.P.; Belohlavek, M.; Cardim, N.M.; Derumeaux, G.; Galderisi, M.; Marwick, T.; Nagueh, S.F.; Sengupta, P.P.; et al. Current and evolving echocardiographic techniques for the quantitative evaluation of cardiac mechanics: ASE/EAE consensus statement on methodology and indications endorsed by the Japanese Society of Echocardiography. Eur. J. Echocardiogr. 2011, 12, 167–205. [Google Scholar] [CrossRef] [PubMed]
- Dobin, A.; Davis, C.A.; Schlesinger, F.; Drenkow, J.; Zaleski, C.; Jha, S.; Batut, P.; Chaisson, M.; Gingeras, T.R. STAR: Ultrafast universal RNA-seq aligner. Bioinformatics 2013, 29, 15–21. [Google Scholar] [CrossRef] [PubMed]
- Anders, S.; Pyl, P.T.; Huber, W. HTSeq—A Python framework to work with high-throughput sequencing data. Bioinformatics 2015, 15, 166–169. [Google Scholar] [CrossRef]
- Mark, D.R.; Alicia, O. A scaling normalization method for differential expression analysis of RNA-seq. data. Genome Biol. 2010, 11, R25. [Google Scholar]
- Chae, S.; Ahn, B.Y.; Byun, K.; Cho, Y.M.; Yu, M.H.; Lee, B.; Hwang, D.; Park, K.S. A systems approach for decoding mitochondrial retrograde signaling pathways. Sci. Signal. 2013, 6, rs4. [Google Scholar] [CrossRef]
- Huang, D.W.; Sherman, B.T.; Lempicki, R.A. Systematic and integrative analysis of large gene lists using DAVID bioinformatics resources. Nat. Protoc. 2009, 4, 44–57. [Google Scholar] [CrossRef]




| Cardiac Function | Day 1 | Day 3 | Day 7 | |||||||||
|---|---|---|---|---|---|---|---|---|---|---|---|---|
| Sham | MI | Sham + MET | MI + MET | Sham | MI | Sham + MET | MI + MET | Sham | MI | Sham + MET | MI + MET | |
| EF, % | *58.79 ± 1.65 | 51.60 ± 7.43 | *58.64 ± 4.14 | 56.36 ± 3.01 | **58.65 ± 2.38 | 50.17 ± 6.37 | **59.12 ± 2.37 | 55.86 ± 1.82 | ***56.79 ± 2.52 | 47.44 ± 6.92 | ****61.04 ± 2.39 | *54.63 ± 1.91 |
| FS, % | **32.52 ± 1.22 | 27.55 ± 4.90 | **32.48 ± 2.94 | 30.56 ± 2.00 | **32.41 ± 1.65 | 26.70 ± 3.86 | ***32.73 ± 1.70 | *30.54 ± 1.18 | ***31.16 ± 1.71 | 25.11 ± 4.13 | ****34.70 ± 1.72 | *29.73 ± 1.31 |
| SV, µL | ****237.16 ± 25.70 | 162.13 ± 20.91 | 162.97 ± 13.01 | 163.64 ± 14.13 | **228.59 ± 19.43 | 185.49 ± 22.62 | **227.65 ± 2037 | *218.79 ± 18.72 | 235.95 ± 24.19 | 208.30 ± 21.03 | 222.30 ± 26.28 | **247.02 ± 29.44 |
| CO, mL/min | ****62.42 ± 7.03 | 50.42 ± 13.71 | 63.80 ± 9.31 | 55.77 ± 7.38 | **60.82 ± 7.43 | 48.30 ± 8.02 | **63.81 ± 5.59 | *69.43 ± 10.22 | 60.58 ± 6.73 | 63.23 ± 23.69 | 56.10 ± 9.15 | **63.17 ± 8.30 |
| LVIDd, mm | *8.38 ± 0.31 | **7.60 ± 0.53 | 8.50 ± 0.35 | 7.36 ± 0.33 | 8.33 ± 0.41 | 8.30 ± 0.56 | 8.36 ± 0.39 | 8.38 ± 0.32 | 8.58 ± 0.54 | 8.81 ± 0.85 | *8.08 ± 0.52 | 8.92 ± 0.39 |
| LVIDs, mm | 5.70 ± 0.31 | 5.46 ± 0.73 | 5.89 ± 0.51 | 5.11 ± 0.49 | 5.60 ± 0.36 | 6.00 ± 0.84 | 5.73 ± 0.28 | 5.82 ± 0.29 | *5.92 ± 0.58 | 6.74 ± 0.91 | ***5.53 ± 0.43 | 6.35 ± 0.34 |
| IVSd, mm | 1.44 ± 0.17 | 1.51 ± 0.16 | 1.41 ± 0.16 | 1.68 ± 0.24 | 1.39 ± 0.13 | 1.29 ± 0.05 | 1.37 ± 0.15 | 1.47 ± 0.24 | 1.40 ± 0.21 | 1.49 ± 0.50 | 1.38 ± 0.12 | 1.45 ± 0.15 |
| IVSs, mm | 2.30 ± 0.24 | 1.98 ± 0.22 | 2.18 ± 0.15 | *2.48 ± 0.30 | 2.22 ± 0.24 | 1.94 ± 0.28 | 2.32 ± 0.24 | *2.44 ± 0.43 | 2.33 ± 0.32 | 2.10 ± 0.37 | 2.21 ± 0.22 | 2.26 ± 0.44 |
| LVPWd, mm | 1.58 ± 0.17 | 1.60 ± 0.17 | 1.58 ± 0.15 | **1.83 ± 0.09 | 1.50 ± 0.09 | 1.56 ± 0.04 | 1.53 ± 0.11 | 1.66 ± 0.14 | 1.53 ± 0.15 | 1.63 ± 0.14 | 1.57 ± 0.09 | 1.64 ± 0.09 |
| LVPWs, mm | 2.36 ± 0.19 | 2.27 ± 0.19 | 2.33 ± 0.19 | *2.56 ± 0.18 | *2.50 ± 0.19 | 2.23 ± 0.17 | 2.29 ± 0.18 | *2.49 ± 0.16 | 2.27 ± 0.25 | 2.11 ± 0.18 | *2.39 ± 0.20 | *2.41 ± 0.12 |
| E’, mm/s | **39.90 ± 2.63 | 30.67 ± 2.24 | ****44.70 ± 5.09 | 30.67 ± 2.59 | ****46.00 ± 8.18 | 33.14 ± 1.89 | ***43.53 ± 4.14 | 34.31 ± 1.91 | **42.49 ± 4.35 | 33.20 ± 4.78 | 36.91 ± 1.27 | 38.21 ± 6.22 |
| E/A ratio | 1.69 ± 0.25 | 1.92 ± 0.24 | 2.08 ± 0.80 | 1.46 ± 0.26 | 2.16 ± 0.66 | 2.34 ± 0.41 | 1.69 ± 0.29 | 1.56 ± 0.30 | 2.58 ± 0.90 | 1.81 ± 0.42 | 1.54 ± 0.17 | 2.05 ± 1.49 |
| E/E’ ratio | ****20.20 ± 1.15 | 25.99 ± 2.15 | ****21.77 ± 1.27 | ***22.29 ± 1.42 | ****19.44 ± 1.39 | 23.81 ± 1.97 | *21.37 ± 1.46 | ****19.77 ± 1.15 | *20.79 ± 0.82 | 23.08 ± 2.18 | *20.93 ± 1.14 | *20.39 ± 1.72 |
| Histopathological Change | MI | MI + MET | ||
|---|---|---|---|---|
| SAX | Apex | SAX | Apex | |
| Lesions (n) | 3 | 3 | 3 | 3 |
| Coagulation necrosis, myocardial | 3.33 ± 0.58 | 3.33 ± 0.58 | 2.67 ± 0.58 | 2.67 ± 0.58 |
| Inflammatory cells infiltration, epicardial | 2.33 ± 0.58 | 2.67 ± 1.15 | 2.00 ± 1.00 | 1.67 ± 0.58 |
| Inflammatory cells infiltration, myocardial | 3.33 ± 0.58 | 3.67 ± 0.58 | 2.67 ± 0.58 | 3.33 ± 0.58 |
| Inflammatory cells infiltration, endocardial | 2.33 ± 0.58 | 1.67 ± 0.58 | 1.33 ± 0.58 | 1.33 ± 0.58 |
| Fibrosis, epicardial | 2.67 ± 1.15 | 2.33 ± 1.53 | 2.33 ± 1.15 | 2.00 ± 1.00 |
| Fibrosis, myocardial | 3.67 ± 0.58 | 3.67 ± 0.58 | 2.67 ± 0.58 | 2.33 ± 0.58 |
| Fibrosis, endocardial | 2.33 ± 0.58 | 2.00 ± 1.73 | 1.67 ± 1.15 | 1.00 ± 0.00 |
| Total | 2.86 ± 0.57 | 2.76 ± 0.81 | * 2.19 ± 0.54 | 2.05 ± 0.80 |
© 2020 by the authors. Licensee MDPI, Basel, Switzerland. This article is an open access article distributed under the terms and conditions of the Creative Commons Attribution (CC BY) license (http://creativecommons.org/licenses/by/4.0/).
Share and Cite
Jo, W.; Kang, K.-K.; Chae, S.; Son, W.-C. Metformin Alleviates Left Ventricular Diastolic Dysfunction in a Rat Myocardial Ischemia Reperfusion Injury Model. Int. J. Mol. Sci. 2020, 21, 1489. https://doi.org/10.3390/ijms21041489
Jo W, Kang K-K, Chae S, Son W-C. Metformin Alleviates Left Ventricular Diastolic Dysfunction in a Rat Myocardial Ischemia Reperfusion Injury Model. International Journal of Molecular Sciences. 2020; 21(4):1489. https://doi.org/10.3390/ijms21041489
Chicago/Turabian StyleJo, Woori, Kyung-Ku Kang, Sehyun Chae, and Woo-Chan Son. 2020. "Metformin Alleviates Left Ventricular Diastolic Dysfunction in a Rat Myocardial Ischemia Reperfusion Injury Model" International Journal of Molecular Sciences 21, no. 4: 1489. https://doi.org/10.3390/ijms21041489
APA StyleJo, W., Kang, K.-K., Chae, S., & Son, W.-C. (2020). Metformin Alleviates Left Ventricular Diastolic Dysfunction in a Rat Myocardial Ischemia Reperfusion Injury Model. International Journal of Molecular Sciences, 21(4), 1489. https://doi.org/10.3390/ijms21041489

