Cytoplasmic and Nuclear Forms of Thyroid Hormone Receptor β1 Are Inversely Associated with Survival in Primary Breast Cancer
Abstract
1. Introduction
2. Results
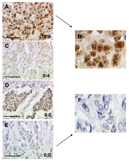
2.1. THRβ1 Expression in Primary Breast Cancers
2.2. Correlation with Nuclear Receptor and Related Coregulators
2.3. Correlation with Clinicopathological Parameters
2.4. Correlation between THR Expression and Patient Outcome
2.5. Nuclear and Cytoplasmic THRβ1 Expression as Independent Prognostic Parameters for OS
3. Discussion
4. Materials and Methods
4.1. Patient Cohort
4.2. Immunohistochemistry (IHC)
4.3. Immunoreactive Score (IRS)
4.4. Statistical and Survival Analysis
5. Conclusions
Supplementary Materials
Author Contributions
Funding
Acknowledgments
Conflicts of Interest
Abbreviations
| AhR | aryl hydrocarbon receptor |
| BC | breast cancer |
| CI | confidence interval |
| DCIS | ductal carcinoma in situ |
| ER | estrogen receptor |
| FISH | fluorescence in situ hybridization |
| HER2 | human epidermal growth factor receptor 2 |
| HR | hazard ratio |
| IHC | immunohistochemistry |
| IRS | immunoreactive score |
| LCoR | ligand-dependent corepressor |
| LMU | Ludwig-Maximilians-University |
| LN | lymph node |
| LXR | liver X receptor |
| NR | nuclear receptor |
| NST | non-special type |
| OS | overall survival |
| PBS | phosphate buffered saline |
| pN | primary lymph node |
| PPARγ | peroxisome proliferator-activated receptor γ |
| PR | progesterone receptor |
| pT | primary tumor size |
| RFS | relapse free survival |
| RIP140 | receptor interacting protein of 140 kDa |
| ROC-curve | receiver operating characteristic curve |
| RXR | retinoid X receptor |
| TH | thyroid hormone |
| THR | thyroid hormone receptor |
| VDR | vitamin D receptor |
References
- Bray, F.; Ferlay, J.; Soerjomataram, I.; Siegel, R.L.; Torre, L.A.; Jemal, A. Global cancer statistics 2018: GLOBOCAN estimates of incidence and mortality worldwide for 36 cancers in 185 countries. CA Cancer J. Clin. 2018, 68, 394–424. [Google Scholar] [CrossRef] [PubMed]
- Tao, Z.; Shi, A.; Lu, C.; Song, T.; Zhang, Z.; Zhao, J. Breast Cancer: Epidemiology and Etiology. Cell Biochem. Biophys. 2015, 72, 333–338. [Google Scholar] [CrossRef] [PubMed]
- Harbeck, N.; Penault-Llorca, F.; Cortes, J.; Gnant, M.; Houssami, N.; Poortmans, P.; Ruddy, K.; Tsang, J.; Cardoso, F. Breast cancer. Nat. Rev. Dis. Primers 2019, 5, 66. [Google Scholar] [CrossRef] [PubMed]
- Liu, C.Y.; Wu, C.Y.; Petrossian, K.; Huang, T.T.; Tseng, L.M.; Chen, S. Treatment for the endocrine resistant breast cancer: Current options and future perspectives. J. Steroid. Biochem. Mol. Biol. 2017, 172, 166–175. [Google Scholar] [CrossRef] [PubMed]
- Doan, T.B.; Graham, J.D.; Clarke, C.L. Emerging functional roles of nuclear receptors in breast cancer. J. Mol. Endocrinol. 2017, 58, R169–R190. [Google Scholar] [CrossRef]
- Ditsch, N.; Mayr, D.; Lenhard, M.; Strauss, C.; Vodermaier, A.; Gallwas, J.; Stoeckl, D.; Graeser, M.; Weissenbacher, T.; Friese, K.; et al. Correlation of thyroid hormone, retinoid X, peroxisome proliferator-activated, vitamin D and oestrogen/progesterone receptors in breast carcinoma. Oncol. Lett. 2012, 4, 665–671. [Google Scholar] [CrossRef]
- Jalaguier, S.; Teyssier, C.; Nait Achour, T.; Lucas, A.; Bonnet, S.; Rodriguez, C.; Elarouci, N.; Lapierre, M.; Cavailles, V. Complex regulation of LCoR signaling in breast cancer cells. Oncogene 2017, 36, 4790–4801. [Google Scholar] [CrossRef]
- Zhang, X.; Harbeck, N.; Jeschke, U.; Doisneau-Sixou, S. Influence of vitamin D signaling on hormone receptor status and HER2 expression in breast cancer. J. Cancer Res. Clin. Oncol. 2017, 143, 1107–1122. [Google Scholar] [CrossRef]
- Sixou, S.; Muller, K.; Jalaguier, S.; Kuhn, C.; Harbeck, N.; Mayr, D.; Engel, J.; Jeschke, U.; Ditsch, N.; Cavailles, V. Importance of RIP140 and LCoR Sub-Cellular Localization for Their Association With Breast Cancer Aggressiveness and Patient Survival. Transl. Oncol. 2018, 11, 1090–1096. [Google Scholar] [CrossRef]
- Jeschke, U.; Zhang, X.; Kuhn, C.; Jalaguier, S.; Colinge, J.; Pfender, K.; Mayr, D.; Ditsch, N.; Harbeck, N.; Mahner, S.; et al. The Prognostic Impact of the Aryl Hydrocarbon Receptor (AhR) in Primary Breast Cancer Depends on the Lymph Node Status. Int. J. Mol. Sci. 2019, 20, 1016. [Google Scholar] [CrossRef]
- Flamant, F.; Gauthier, K. Thyroid hormone receptors: The challenge of elucidating isotype-specific functions and cell-specific response. Biochim. Biophys. Acta 2013, 1830, 3900–3907. [Google Scholar] [CrossRef] [PubMed]
- Anyetei-Anum, C.S.; Roggero, V.R.; Allison, L.A. Thyroid hormone receptor localization in target tissues. J. Endocrinol. 2018, 237, R19–R34. [Google Scholar] [CrossRef] [PubMed]
- Morte, B.; Bernal, J. Thyroid hormone action: Astrocyte-neuron communication. Front. Endocrinol. 2014, 5, 82. [Google Scholar] [CrossRef] [PubMed]
- Silva, J.M.; Dominguez, G.; Gonzalez-Sancho, J.M.; Garcia, J.M.; Silva, J.; Garcia-Andrade, C.; Navarro, A.; Munoz, A.; Bonilla, F. Expression of thyroid hormone receptor/erbA genes is altered in human breast cancer. Oncogene 2002, 21, 4307–4316. [Google Scholar] [CrossRef] [PubMed]
- Bonamy, G.M.; Allison, L.A. Oncogenic conversion of the thyroid hormone receptor by altered nuclear transport. Nucl. Recept. Signal. 2006, 4, e008. [Google Scholar] [CrossRef]
- Flamant, F.; Cheng, S.Y.; Hollenberg, A.N.; Moeller, L.C.; Samarut, J.; Wondisford, F.E.; Yen, P.M.; Refetoff, S. Thyroid Hormone Signaling Pathways: Time for a More Precise Nomenclature. Endocrinology 2017, 158, 2052–2057. [Google Scholar] [CrossRef]
- Shering, S.G.; Zbar, A.P.; Moriarty, M.; McDermott, E.W.; O’Higgins, N.J.; Smyth, P.P. Thyroid disorders and breast cancer. Eur. J. Cancer Prev. 1996, 5, 504–506. [Google Scholar] [CrossRef][Green Version]
- Smyth, P.P. The thyroid and breast cancer: A significant association? Ann. Med. 1997, 29, 189–191. [Google Scholar] [CrossRef]
- Ditsch, N.; Liebhardt, S.; Von Koch, F.; Lenhard, M.; Vogeser, M.; Spitzweg, C.; Gallwas, J.; Toth, B. Thyroid function in breast cancer patients. Anticancer Res. 2010, 30, 1713–1717. [Google Scholar]
- Moeller, L.C.; Fuhrer, D. Thyroid hormone, thyroid hormone receptors, and cancer: A clinical perspective. Endocr. Relat. Cancer 2013, 20, R19–R29. [Google Scholar] [CrossRef]
- Lemaire, M.; Baugnet-Mahieu, L. Nuclear thyroid hormone receptors in human cancer tissues. Anticancer Res. 1986, 6, 695–700. [Google Scholar] [CrossRef]
- Muscat, G.E.; Eriksson, N.A.; Byth, K.; Loi, S.; Graham, D.; Jindal, S.; Davis, M.J.; Clyne, C.; Funder, J.W.; Simpson, E.R.; et al. Research resource: Nuclear receptors as transcriptome: Discriminant and prognostic value in breast cancer. Mol. Endocrinol. 2013, 27, 350–365. [Google Scholar] [CrossRef] [PubMed]
- Charalampoudis, P.; Agrogiannis, G.; Kontzoglou, K.; Kouraklis, G.; Sotiropoulos, G.C. Thyroid hormone receptor alpha (TRa) tissue expression in ductal invasive breast cancer: A study combining quantitative immunohistochemistry with digital slide image analysis. Eur. J. Surg. Oncol. 2017, 43, 1428–1432. [Google Scholar] [CrossRef] [PubMed]
- Gu, G.; Gelsomino, L.; Covington, K.R.; Beyer, A.R.; Wang, J.; Rechoum, Y.; Huffman, K.; Carstens, R.; Ando, S.; Fuqua, S.A. Targeting thyroid hormone receptor beta in triple-negative breast cancer. Breast Cancer Res. Treat. 2015, 150, 535–545. [Google Scholar] [CrossRef]
- Li, Z.; Meng, Z.H.; Chandrasekaran, R.; Kuo, W.L.; Collins, C.C.; Gray, J.W.; Dairkee, S.H. Biallelic inactivation of the thyroid hormone receptor beta1 gene in early stage breast cancer. Cancer Res. 2002, 62, 1939–1943. [Google Scholar]
- Jerzak, K.J.; Cockburn, J.G.; Dhesy-Thind, S.K.; Pond, G.R.; Pritchard, K.I.; Nofech-Mozes, S.; Sun, P.; Narod, S.A.; Bane, A. Thyroid hormone receptor beta-1 expression in early breast cancer: A validation study. Breast Cancer Res. Treat. 2018, 171, 709–717. [Google Scholar] [CrossRef]
- Doan, T.B.; Eriksson, N.A.; Graham, D.; Funder, J.W.; Simpson, E.R.; Kuczek, E.S.; Clyne, C.; Leedman, P.J.; Tilley, W.D.; Fuller, P.J.; et al. Breast cancer prognosis predicted by nuclear receptor-coregulator networks. Mol. Oncol. 2014, 8, 998–1013. [Google Scholar] [CrossRef]
- Heublein, S.; Mayr, D.; Meindl, A.; Kircher, A.; Jeschke, U.; Ditsch, N. Vitamin D receptor, Retinoid X receptor and peroxisome proliferator-activated receptor gamma are overexpressed in BRCA1 mutated breast cancer and predict prognosis. J. Exp. Clin. Cancer Res. 2017, 36, 57. [Google Scholar] [CrossRef][Green Version]
- Weissenbacher, T.; Hirte, E.; Kuhn, C.; Janni, W.; Mayr, D.; Karsten, U.; Rack, B.; Friese, K.; Jeschke, U.; Heublein, S.; et al. Multicentric and multifocal versusunifocal breast cancer: Differences in the expression of E-cadherin suggest differences in tumor biology. BMC Cancer 2013, 13, 361. [Google Scholar] [CrossRef]
- Ditsch, N.; Vrekoussis, T.; Lenhard, M.; Ruhl, I.; Gallwas, J.; Weissenbacher, T.; Friese, K.; Mayr, D.; Makrigiannakis, A.; Jeschke, U. Retinoid X receptor alpha (RXRalpha) and peroxisome proliferator-activated receptor gamma (PPARgamma) expression in breast cancer: An immunohistochemical study. In Vivo 2012, 26, 87–92. [Google Scholar]
- Yang, F.; Xu, J.; Tang, L.; Guan, X. Breast cancer stem cell: The roles and therapeutic implications. Cell Mol. Life Sci. 2017, 74, 951–966. [Google Scholar] [CrossRef] [PubMed]
- Brugnoli, F.; Grassilli, S.; Al-Qassab, Y.; Capitani, S.; Bertagnolo, V. CD133 in Breast Cancer Cells: More than a Stem Cell Marker. J. Oncol. 2019, 2019, 7512632. [Google Scholar] [CrossRef] [PubMed]
- Ashaie, M.A.; Chowdhury, E.H. Cadherins: The Superfamily Critically Involved in Breast Cancer. Curr. Pharm. Des. 2016, 22, 616–638. [Google Scholar] [CrossRef] [PubMed]
- Bock, C.; Kuhn, C.; Ditsch, N.; Krebold, R.; Heublein, S.; Mayr, D.; Doisneau-Sixou, S.; Jeschke, U. Strong correlation between N-cadherin and CD133 in breast cancer: Role of both markers in metastatic events. J. Cancer Res. Clin. Oncol. 2014, 140, 1873–1881. [Google Scholar] [CrossRef] [PubMed]
- Bunn, C.F.; Neidig, J.A.; Freidinger, K.E.; Stankiewicz, T.A.; Weaver, B.S.; McGrew, J.; Allison, L.A. Nucleocytoplasmic shuttling of the thyroid hormone receptor alpha. Mol. Endocrinol. 2001, 15, 512–533. [Google Scholar] [CrossRef]
- Flamini, M.I.; Uzair, I.D.; Pennacchio, G.E.; Neira, F.J.; Mondaca, J.M.; Cuello-Carrion, F.D.; Jahn, G.A.; Simoncini, T.; Sanchez, A.M. Thyroid Hormone Controls Breast Cancer Cell Movement via Integrin alphaV/beta3/SRC/FAK/PI3-Kinases. Horm. Cancer 2017, 8, 16–27. [Google Scholar] [CrossRef]
- Conde, I.; Paniagua, R.; Zamora, J.; Blanquez, M.J.; Fraile, B.; Ruiz, A.; Arenas, M.I. Influence of thyroid hormone receptors on breast cancer cell proliferation. Ann. Oncol. 2006, 17, 60–64. [Google Scholar] [CrossRef]
- Lopez-Mateo, I.; Alonso-Merino, E.; Suarez-Cabrera, C.; Park, J.W.; Cheng, S.Y.; Alemany, S.; Paramio, J.M.; Aranda, A. The thyroid hormone receptor beta inhibits self-renewal capacity of breast cancer stem cells. Thyroid 2019. [Google Scholar] [CrossRef]
- Ditsch, N.; Toth, B.; Himsl, I.; Lenhard, M.; Ochsenkuhn, R.; Friese, K.; Mayr, D.; Jeschke, U. Thyroid hormone receptor (TR)alpha and TRbeta expression in breast cancer. Histol. Histopathol. 2013, 28, 227–237. [Google Scholar] [CrossRef]
- Jerzak, K.J.; Cockburn, J.; Pond, G.R.; Pritchard, K.I.; Narod, S.A.; Dhesy-Thind, S.K.; Bane, A. Thyroid hormone receptor alpha in breast cancer: Prognostic and therapeutic implications. Breast Cancer Res. Treat. 2015, 149, 293–301. [Google Scholar] [CrossRef]
- Elston, E.W.; Ellis, I.O. Method for grading breast cancer. J. Clin. Pathol. 1993, 46, 189–190. [Google Scholar] [CrossRef] [PubMed]
- Harbeck, N.; Gnant, M. Breast cancer. Lancet 2017, 389, 1134–1150. [Google Scholar] [CrossRef]
- Muller, K.; Sixou, S.; Kuhn, C.; Jalaguier, S.; Mayr, D.; Ditsch, N.; Weissenbacher, T.; Harbeck, N.; Mahner, S.; Cavailles, V.; et al. Prognostic relevance of RIP140 and ERbeta expression in unifocal versus multifocal breast cancers: A preliminary report. Int. J. Mol. Sci. 2019, 20, 418. [Google Scholar] [CrossRef] [PubMed]


| Clinical and Pathological Characteristics a | % | |
|---|---|---|
| Median age (years, n = 274) b | 57.00 | range 34.79–94.62 |
| Median follow up (months, n = 274) b | 126 | range 4–153 |
| Histology c (n = 260) | ||
| No Special Type (NST) | 139 | 53.46% |
| NST with DCIS | 74 | 28.46% |
| Other invasive | 47 | 18.08% |
| ER status (n = 272) | ||
| Positive | 219 | 80.51% |
| Negative | 53 | 19.49% |
| PR status (n = 272) | ||
| Positive | 160 | 58.82% |
| Negative | 112 | 41.18% |
| HER2 status (n = 273) | ||
| Positive | 27 | 9.89% |
| Negative | 246 | 90.11% |
| Molecular subtype (n = 273) | ||
| Luminal A (Ki-67 ≤ 14%) | 152 | 55.68% |
| Luminal B (Ki-67 > 14%) | 60 | 21.98% |
| HER2 positive luminal | 20 | 7.33% |
| HER2 positive non luminal | 7 | 2.56% |
| Triple negative | 34 | 12.45% |
| Grade (n = 152) | ||
| I | 13 | 8.55% |
| II | 95 | 62.50% |
| III | 44 | 28.95% |
| Tumor size (n = 261) | ||
| pT1 | 169 | 64.75% |
| pT2 | 78 | 29.89% |
| pT3 | 4 | 1.53% |
| pT4 | 10 | 3.83% |
| Lymph node metastasis (n = 256) | ||
| Yes | 112 | 43.75% |
| No | 144 | 56.25% |
| Distant metastases d (n = 261) | ||
| Yes | 54 | 20.69% |
| No | 207 | 79.31% |
| Local recurrence (n = 261) | ||
| Yes | 39 | 14.94% |
| No | 222 | 85.06% |
| Nuclear | Cytoplasmic | |
|---|---|---|
| Mean IRS ± SE | 1.41 ± 0.11 | 1.30 * ± 0.11 |
| Median IRS | 1 | 0 |
| IRS range | 0–12 | 0–8 |
| Number of samples with negative expression ** | 104 (39.54%) | 149 (56.65%) |
| Number of samples with positive expression ** | 159 (60.46%) | 114 (43.35%) |
| n | References | Nuclear | Cytoplasmic | |
|---|---|---|---|---|
| RXR | 246 | [28,30] | 0.256 ** | 0.186 ** |
| ER | 262 | 0.043 | −0.115 | |
| PR | 262 | 0.085 | −0.014 | |
| PPARγ | 247 | [28,30] | 0.315 ** | 0.247 ** |
| VDR | 248 | [28] | −0.097 | −0.155 * |
| LCoR | 257 | [9] | ||
| Nuclear | 0.011 | −0.060 | ||
| Cytoplasmic | 0.110 | 0.221 ** | ||
| RIP140 | 258 | [9] | ||
| Nuclear | 262 | 0.027 | −0.046 | |
| Cytoplasmic | 262 | −0.009 | 0.029 |
| n | Nuclear | Cytoplasmic | |
|---|---|---|---|
| pT | 251 | −0.023 | −0.151 * |
| pN | 247 | 0.044 | −0.066 |
| Grade | 145 | 0.128 | 0.101 |
| HER2 status | 262 | 0.080 | 0.131 * |
| Triple negative | 263 | −0.052 | 0.031 |
| Ki67 | 204 | 0.089 | 0.225 ** |
| CD133 | 240 | 0.183 ** | 0.178 ** |
| NCAD | 244 | 0.342 ** | 0.327 ** |
| Variable | p-Value | HR (95% CI) |
|---|---|---|
| Age | 0.000007 *** | 1.042 (1.023–1.061) |
| pT | 0.0000002 *** | 3.701 (2.256–6.073) |
| ER | 0.001 ** | 0.408 (0.242–0.687) |
| HER2 | 0.209 | 1.566 (0.778–3.153) |
| Cytoplasmic THRβ1 | 0.048 * | 0.545 (0.299–0.995) |
| Nuclear THRβ1 | 0.0004 ** | 2.860 (1.597–5.119) |
© 2020 by the authors. Licensee MDPI, Basel, Switzerland. This article is an open access article distributed under the terms and conditions of the Creative Commons Attribution (CC BY) license (http://creativecommons.org/licenses/by/4.0/).
Share and Cite
Shao, W.; Kuhn, C.; Mayr, D.; Ditsch, N.; Kailuweit, M.; Wolf, V.; Harbeck, N.; Mahner, S.; Jeschke, U.; Cavaillès, V.; et al. Cytoplasmic and Nuclear Forms of Thyroid Hormone Receptor β1 Are Inversely Associated with Survival in Primary Breast Cancer. Int. J. Mol. Sci. 2020, 21, 330. https://doi.org/10.3390/ijms21010330
Shao W, Kuhn C, Mayr D, Ditsch N, Kailuweit M, Wolf V, Harbeck N, Mahner S, Jeschke U, Cavaillès V, et al. Cytoplasmic and Nuclear Forms of Thyroid Hormone Receptor β1 Are Inversely Associated with Survival in Primary Breast Cancer. International Journal of Molecular Sciences. 2020; 21(1):330. https://doi.org/10.3390/ijms21010330
Chicago/Turabian StyleShao, Wanting, Christina Kuhn, Doris Mayr, Nina Ditsch, Magdalena Kailuweit, Verena Wolf, Nadia Harbeck, Sven Mahner, Udo Jeschke, Vincent Cavaillès, and et al. 2020. "Cytoplasmic and Nuclear Forms of Thyroid Hormone Receptor β1 Are Inversely Associated with Survival in Primary Breast Cancer" International Journal of Molecular Sciences 21, no. 1: 330. https://doi.org/10.3390/ijms21010330
APA StyleShao, W., Kuhn, C., Mayr, D., Ditsch, N., Kailuweit, M., Wolf, V., Harbeck, N., Mahner, S., Jeschke, U., Cavaillès, V., & Sixou, S. (2020). Cytoplasmic and Nuclear Forms of Thyroid Hormone Receptor β1 Are Inversely Associated with Survival in Primary Breast Cancer. International Journal of Molecular Sciences, 21(1), 330. https://doi.org/10.3390/ijms21010330

