Feedback Regulation of Syk by Protein Kinase C in Human Platelets
Abstract
1. Introduction
2. Results
2.1. ADP, Convulxin, and Echicetin Beads Upregulate Syk S297 Phosphorylation, Which Is Inhibited by Iloprost
2.2. Transient GPVI/GPIbα-Stimulated Syk S297 Phosphorylation Parallels Syk Tyrosine Phosphorylation
2.3. Syk S297 Phosphorylation Is Dependent on Src Family Kinases (SFKs) and Syk Kinase Activity
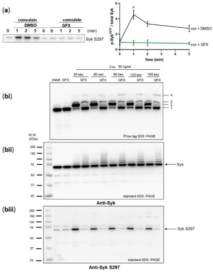
2.4. Convulxin-Induced Syk S297 Phosphorylation Is Stoichiometric and Abolished by Inhibition of PKC
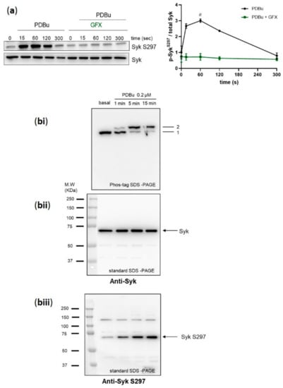
2.5. PKC Activator, PDBu, Stimulates a Stoichiometric Syk S297 Phosphorylation, Which Is Prevented by PKC Inhibition
2.6. PDBu-Mediated S297 Phosphorylation Is Independent of Syk and Only Partially Inhibited by PKA
2.7. PKC Inhibition Abolished cvx/EB-Induced Syk S297 Phosphorylation But Increased Syk Tyrosine 352 and 525/526 Phosphorylation (Hyperphosphorylation)
2.8. PKC Inhibition Caused Hyperphosphorylation of Y-Sites of Syk Substrates
2.9. PKC Inhibition Enhances cvx/EB-Mediated InsP1 Production and Intracellular Ca2+ Mobilization
3. Discussion
- GPVI-and GPIbα-caused Syk S297 phosphorylation is Syk-dependent and requires, at least predominantly, the release of secondary mediators ADP and TxA2.
- GPVI-/GPIbα-induced Syk S297 phosphorylation is blocked by a selective PKC inhibitor (GFX) and mimicked by an established, membrane permeable PKC activator (PDBu).
- The peptide sequence around Syk S297* 9ISRIKSYS*FPKPGHR) in humans (in the murine form S291, ISRIKSYS*FPKPGHK) agrees well with the PKC phosphosite consensus sequence [24] (see also other phosphosite databases).
- (a)
- Syk S297 phosphorylation could alter the structure/properties of Syk, which could make Syk a better substrate for tyrosine phosphatases (e.g., TULA-2).
- (b)
- Syk S297 phosphorylation could recruit adapter proteins to this site (e.g., 14-4-3γ, prohibitin), which could decrease Syk translocation to ITAM proteins and, therefore, diminish Syk tyrosine phosphorylation/activation.
- (c)
- PKC could phosphorylate and activate TULA-2/other tyrosine phosphatases resulting in enhanced Syk tyrosine dephosphorylation. However, there is no evidence for PKC-mediated phosphorylation and activation of TULA-2 [43].
- (d)
- PKC could regulate other proteins, which affect Syk phosphorylation/dephosphorylation.
4. Materials and Methods
4.1. Ethics Approval
4.2. Preparation and Stimulation of Human Platelets
4.3. Platelet Aggregometry
4.4. SDS-PAGE and Western Blot Analysis
4.5. Zn2+-Phos-Tagtm-SDS-PAGE and Western Blot Analysis
4.6. Inositol Monophosphate (InsP1) Measurement
4.7. Intracellular Ca2+-Release Measurement
4.8. Statistical Analysis
Supplementary Materials
Author Contributions
Funding
Acknowledgments
Conflicts of Interest
Abbreviations
| ACK1 | Activated CDC42 kinase 1 |
| ADP | Adenosine diphosphate |
| BCR | B-cell antigen receptor |
| BTK | Bruton-tyrosine kinase |
| cAMP | Cyclic adenosine monophosphate |
| cGMP | Cyclic guanosine monophosphate |
| cvx | Convulxin |
| EB | Echicetin beads |
| GFX | 2-[1-(3-Dimethylaminopropyl)indol-3-yl]-3-(indol-3-yl) maleimide |
| HRP | Horseradish peroxidase |
| InsP1 | Inositol monophosphate |
| InsP3 | Inositol triphosphate |
| ITAM | Immunoreceptor tyrosine-based activation motif |
| JAK | Janus kinase |
| LAT | Linker adaptor for T cells |
| MARCKS | Myristoylated alanine-rich C- kinase substrate |
| PDBu | Phorbol 12, 13-dibutyrate |
| PI3k | Phosphoinositide- 3 kinase |
| PKA | Protein kinase A |
| PKC | Protein kinase C |
| PLCγ2 | Phospholipase Cγ2 |
| S | Serine |
| PAGE | Polyacrylamide gel-electrophoresis |
| SH2 | Src homology 2 |
| Syk | Spleen tyrosine kinase |
| T | Threonine |
| TxA2 | Thromboxane A2 |
| vWF | Von Willebrand factor |
| Y | Tyrosine |
References
- Jurk, K.; Kehrel, B.E. Platelets: Physiology and biochemistry. Semin. Thromb. Hemost. 2005, 31, 381–392. [Google Scholar] [CrossRef] [PubMed]
- Versteeg, H.H.; Heemskerk, J.W.M.; Levi, M.; Reitsma, P.H. New fundamentals in hemostasis. Physiol. Rev. 2013, 93, 327–358. [Google Scholar] [CrossRef] [PubMed]
- Jurk, K. Analysis of platelet function and dysfunction. Hamostaseologie 2015, 35, 60–72. [Google Scholar] [CrossRef] [PubMed]
- Offermanns, S. Activation of platelet function through G protein-coupled receptors. Circ. Res. 2006, 99, 1293–1304. [Google Scholar] [CrossRef]
- Brass, L.F.; Ma, P.; Tomaiuolo, M.; Diamond, S.L.; Stalker, T.J. A Systems Approach to the Platelet Signaling Network and the Hemostatic Response to Injury. In Platelets in Thrombotic and Non-Thrombotic Disorders; Springer: Berlin/Heidelberg, Germany, 2017; pp. 367–378. [Google Scholar]
- Gardiner, E.E.; Andrews, R.K. Platelet Adhesion. In Platelets in Thrombotic and Non-Thrombotic Disorders: Pathophysiology, Pharmacology and Therapeutics: An Update; Gresele, P., Kleiman, N.S., Lopez, J.A., Page, C.P., Eds.; Springer: Cham, Switzerland, 2017; pp. 309–319. [Google Scholar] [CrossRef]
- Rayes, J.; Watson, S.P.; Nieswandt, B. Functional significance of the platelet immune receptors GPVI and CLEC-2. J. Clin. Investig. 2019, 129, 12–23. [Google Scholar] [CrossRef]
- Senis, Y.A.; Mazharian, A.; Mori, J. Src family kinases: At the forefront of platelet activation. Blood 2014, 124, 2013–2024. [Google Scholar] [CrossRef]
- Ozaki, Y.; Suzuki-Inoue, K.; Inoue, O. Platelet receptors activated via mulitmerization: Glycoprotein VI, GPIb-IX-V, and CLEC-2. J. Thromb. Haemost. 2013, 11 (Suppl. S1), 330–339. [Google Scholar] [CrossRef]
- Falati, S.; Edmead, C.E.; Poole, A.W. Glycoprotein Ib-V-IX, a receptor for von Willebrand factor, couples physically and functionally to the Fc receptor gamma-chain, Fyn, and Lyn to activate human platelets. Blood 1999, 94, 1648–1656. [Google Scholar] [CrossRef]
- López, J.A. The Platelet Glycoprotein Ib-IX-V Complex. In Platelets in Thrombotic and Non-Thrombotic Disorders: Pathophysiology, Pharmacology and Therapeutics: An Update; Gresele, P., Kleiman, N.S., Lopez, J.A., Page, C.P., Eds.; Springer: Cham, Switzerland, 2017; pp. 85–97. [Google Scholar] [CrossRef]
- Stegner, D.; Haining, E.J.; Nieswandt, B. Targeting Glycoprotein VI and the Immunoreceptor Tyrosine-Based Activation Motif Signaling Pathway. Arterioscler. Thromb. Vasc. Biol. 2014, 34, 1615–1620. [Google Scholar] [CrossRef]
- Zeiler, M.; Moser, M.; Mann, M. Copy Number Analysis of the Murine Platelet Proteome Spanning the Complete Abundance Range. Mol. Cell. Proteom. 2014, 13, 3435–3445. [Google Scholar] [CrossRef]
- Poole, A.; Gibbins, J.M.; Turner, M.; van Vugt, M.J.; van de Winkel, J.G.J.; Saito, T.; Tybulewicz, V.L.J.; Watson, S.P. The Fc receptor gamma-chain and the tyrosine kinase Syk are essential for activation of mouse platelets by collagen. EMBO J. 1997, 16, 2333–2341. [Google Scholar] [CrossRef] [PubMed]
- Mocsai, A.; Ruland, J.; Tybulewicz, V.L.J. The SYK tyrosine kinase: A crucial player in diverse biological functions. Nat. Rev. Immunol. 2010, 10, 387–402. [Google Scholar] [CrossRef] [PubMed]
- Cheng, A.M.; Rowley, B.; Pao, W.; Hayday, A.; Bolen, J.B.; Pawson, T. Syk tyrosine kinase required for mouse viability and b-cell development. Nature 1995, 378, 303–306. [Google Scholar] [CrossRef] [PubMed]
- van Eeuwijk, J.M.; Stegner, D.; Lamb, D.J.; Kraft, P.; Beck, S.; Thielmann, I.; Kiefer, F.; Walzog, B.; Stoll, G.; Nieswandt, B. The Novel Oral Syk Inhibitor, Bl1002494, Protects Mice From Arterial Thrombosis and Thromboinflammatory Brain Infarction. Arterioscler. Thromb. Vasc. Biol. 2016, 36, 1247–1253. [Google Scholar] [CrossRef] [PubMed]
- Bradshaw, J.M. The Src, Syk, and Tec family kinases: Distinct types of molecular switches. Cell. Signal. 2010, 22, 1175–1184. [Google Scholar] [CrossRef]
- Tsang, E.; Giannetti, A.M.; Shaw, D.; Dinh, M.; Tse, J.K.Y.; Gandhi, S.; Ho, H.D.; Wang, S.; Papp, E.; Bradshaw, J.M. Molecular Mechanism of the Syk Activation Switch. J. Biol. Chem. 2008, 283, 32650–32659. [Google Scholar] [CrossRef]
- Gradler, U.; Schwarz, D.; Dresing, V.; Musil, D.; Bomke, J.; Frech, M.; Greiner, H.; Jakel, S.; Rysiok, T.; Muller-Pompalla, D.; et al. Structural and Biophysical Characterization of the Syk Activation Switch. J. Mol. Biol. 2013, 425, 309–333. [Google Scholar] [CrossRef]
- Sada, K.; Takano, T.; Yanagi, S.; Yamamura, H. Structure and function of Syk protein-tyrosine kinase. J. Biochem. 2001, 130, 177–186. [Google Scholar] [CrossRef]
- Geahlen, R.L. Syk and pTyr’d: Signaling through the B cell antigen receptor. Biochim. Biophys. Acta-Mol. Cell Res. 2009, 1793, 1115–1127. [Google Scholar] [CrossRef]
- Bohnenberger, H.; Oellerich, T.; Engelke, M.; Hsiao, H.H.; Urlaub, H.; Wienands, J. Complex phosphorylation dynamics control the composition of the Syk interactome in B cells. Eur. J. Immunol. 2011, 41, 1550–1562. [Google Scholar] [CrossRef]
- Paris, L.L.; Hu, J.J.; Galan, J.; Ong, S.S.; Martin, V.A.; Ma, H.Y.; Tao, W.A.; Harrison, M.L.; Geahlen, R.L. Regulation of Syk by Phosphorylation on Serine in the Linker Insert. J. Biol. Chem. 2010, 285, 39844–39854. [Google Scholar] [CrossRef] [PubMed]
- Beck, F.; Geiger, J.; Gambaryan, S.; Veit, J.; Vaudel, M.; Nollau, P.; Kohlbacher, O.; Martens, L.; Walter, U.; Sickmann, A.; et al. Time-resolved characterization of cAMP/PKA-dependent signaling reveals that platelet inhibition is a concerted process involving multiple signaling pathways. Blood 2014, 123, e1–e10. [Google Scholar] [CrossRef] [PubMed]
- Beck, F.; Geiger, J.; Gambaryan, S.; Solari, F.A.; Dell’Aica, M.; Loroch, S.; Mattheij, N.J.; Mindukshev, I.; Potz, O.; Jurk, K.; et al. Temporal quantitative phosphoproteomics of ADP stimulation reveals novel central nodes in platelet activation and inhibition. Blood 2017, 129, E1–E12. [Google Scholar] [CrossRef] [PubMed]
- Trabold, K.; Makhoul, S.; Gambaryan, S.; van Ryn, J.; Walter, U.; Jurk, K. The Direct Thrombin Inhibitors Dabigatran and Lepirudin Inhibit GPIbalpha-Mediated Platelet Aggregation. Thromb. Haemost. 2019, 119, 916–929. [Google Scholar] [PubMed]
- Makhoul, S.; Trabold, K.; Gambaryan, S.; Tenzer, S.; Pillitteri, D.; Walter, U.; Jurk, K. cAMP- and cGMP-elevating agents inhibit GPIb alpha-mediated aggregation but not GPIb alpha-stimulated Syk activation in human platelets. Cell Commun. Signal. 2019, 17, 1–10. [Google Scholar] [CrossRef] [PubMed]
- Jurk, K.; Walter, U. New Insights into Platelet Signalling Pathways by Functional and Proteomic Approaches. Hamostaseologie 2019, 39, 140–151. [Google Scholar] [CrossRef]
- Nagy, Z.; Smolenski, A. Cyclic nucleotide-dependent inhibitory signaling interweaves with activating pathways to determine platelet responses. Res. Pract. Thromb. Haemost. 2018, 2, 558–571. [Google Scholar] [CrossRef]
- Kinoshita, E.; Kinoshita-Kikuta, E.; Kubota, Y.; Takekawa, M.; Koike, T. A Phos-tag SDS-PAGE method that effectively uses phosphoproteomic data for profiling the phosphorylation dynamics of MEK1. Proteomics 2016, 16, 1825–1836. [Google Scholar] [CrossRef]
- Kinoshita, E.; Kinoshita-Kikuta, E.; Koike, T. Advances in Phos-tag-based methodologies for separation and detection of the phosphoproteome. Biochim. Biophys. Acta-Proteins Proteom. 2015, 1854, 601–608. [Google Scholar] [CrossRef]
- Dangelmaier, C.A.; Quinter, P.G.; Jin, J.G.; Tsygankov, A.Y.; Kunapuli, S.P.; Daniel, J.L. Rapid ubiquitination of Syk following GPVI activation in platelets. Blood 2005, 105, 3918–3924. [Google Scholar] [CrossRef]
- Thelen, M.; Rosen, A.; Nairn, A.C.; Aderem, A. Regulation by phosphorylation of reversible association of a myristoylated protein kinase C substrate with the plasma membrane. Nature 1991, 351, 320–322. [Google Scholar] [CrossRef] [PubMed]
- Albert, K.A.; Nairn, A.C.; Greengard, P. The 87-KDA protein, a major specific substrate for protein-kinase-C—purification from bovine brain and characterization. Proc. Natl. Acad. Sci. USA 1987, 84, 7046–7050. [Google Scholar] [CrossRef] [PubMed]
- Gilio, K.; Harper, M.T.; Cosemans, J.M.; Konopatskaya, O.; Munnix, I.C.; Prinzen, L.; Leitges, M.; Liu, Q.; Molkentin, J.D.; Heemskerk, J.W.; et al. Functional divergence of platelet protein kinase C (PKC) isoforms in thrombus formation on collagen. J. Biol. Chem. 2010, 285, 23410–23419. [Google Scholar] [PubMed]
- Makhoul, S.; Walter, E.; Pagel, O.; Walter, U.; Sickmann, A.; Gambaryan, S.; Smolenski, A.; Zahedi, R.P.; Jurk, K. Effects of the NO/soluble guanylate cyclase/cGMP system on the functions of human platelets. Nitric Oxide Biol. Chem. 2018, 76, 71–80. [Google Scholar] [CrossRef]
- Burkhart, J.M.; Vaudel, M.; Gambaryan, S.; Radau, S.; Walter, U.; Martens, L.; Geiger, J.; Sickmann, A.; Zahedi, R.P. The first comprehensive and quantitative analysis of human platelet protein composition allows the comparative analysis of structural and functional pathways. Blood 2012, 120, e73–e82. [Google Scholar]
- Kunapuli, S.P.; Bhavanasi, D.; Kostyak, J.C.; Manne, B.K. Platelet Signaling: Protein Phosphorylation. In Platelets in Thrombotic and Non-Thrombotic Disorders: Pathophysiology, Pharmacology and Therapeutics: An Update; Gresele, P., Kleiman, N.S., Lopez, J.A., Page, C.P., Eds.; Springer: Cham, Switzerland, 2017; pp. 297–308. [Google Scholar] [CrossRef]
- Pula, G.; Crosby, D.; Baker, J.; Poole, A.W. Functional interaction of protein kinase C alpha with the tyrosine kinases Syk and Src in human platelets. J. Biol. Chem. 2005, 280, 7194–7205. [Google Scholar] [CrossRef]
- Bijli, K.M.; Fazal, F.; Minhajuddin, M.; Rahman, A. Activation of Syk by protein kinase C-delta regulates thrombin-induced intercellular adhesion molecule-1 expression in endothelial cells via tyrosine phosphorylation of RelA/p65. J. Biol. Chem. 2008, 283, 14674–14684. [Google Scholar] [CrossRef]
- Oh, H.; Ozkirimli, E.; Shah, K.; Harrison, M.L.; Geahlen, R.L. Generation of an analog-sensitive syk tyrosine kinase for the study of signaling dynamics from the B cell antigen receptor. J. Biol. Chem. 2007, 282, 33760–33768. [Google Scholar] [CrossRef]
- Tsygankov, A.Y. TULA proteins as signaling regulators. Cell. Signal. 2019, 65, 109424. [Google Scholar] [CrossRef]
- Thomas, D.H.; Getz, T.M.; Newman, T.N.; Dangelmaier, C.A.; Carpino, N.; Kunapuli, S.P.; Tsygankov, A.Y.; Daniel, J.L. A novel histidine tyrosine phosphatase, TULA-2, associates with Syk and negatively regulates GPVI signaling in platelets. Blood 2010, 116, 2570–2578. [Google Scholar] [CrossRef]
- Reppschlager, K.; Gosselin, J.; Dangelmaier, C.A.; Thomas, D.H.; Carpino, N.; McKenzie, S.E.; Kunapuli, S.P.; Tsygankov, A.Y. TULA-2 Protein Phosphatase Suppresses Activation of Syk through the GPVI Platelet Receptor for Collagen by Dephosphorylating Tyr(P)(346), a Regulatory Site of Syk. J. Biol. Chem. 2016, 291, 22427–22441. [Google Scholar] [CrossRef] [PubMed]
- Buitrago, L.; Bhavanasi, D.; Dangelmaier, C.; Manne, B.K.; Badolia, R.; Borgognone, A.; Tsygankov, A.Y.; McKenzie, S.E.; Kunapuli, S.P. Tyrosine phosphorylation on spleen tyrosine kinase (Syk) is differentially regulated in human and murine platelets by protein kinase C isoforms. J. Biol. Chem. 2013, 288, 29160–29169. [Google Scholar] [CrossRef] [PubMed]
- Kluba, M.; Engelborghs, Y.; Hofkens, J.; Mizuno, H. Inhibition of Receptor Dimerization as a Novel Negative Feedback Mechanism of EGFR Signaling. PLoS ONE 2015, 10, e0139971. [Google Scholar]
- Kang, S.W.; Wahl, M.I.; Chu, J.; Kitaura, J.; Kawakami, Y.; Kato, R.M.; Tabuchi, R.; Tarakhovsky, A.; Kawakami, T.; Turck, C.W.; et al. PKCbeta modulates antigen receptor signaling via regulation of Btk membrane localization. EMBO J. 2001, 20, 5692–5702. [Google Scholar] [CrossRef]
- Geahlen, R.L. Getting Syk: Spleen tyrosine kinase as a therapeutic target. Trends Pharmacol. Sci. 2014, 35, 414–422. [Google Scholar] [CrossRef]
- Cremer, A.; Ellegast, J.M.; Alexe, G.; Frank, E.S.; Ross, L.; Chu, S.H.; Pikman, Y.; Robichaud, A.; Goodale, A.; Haupl, B.; et al. Resistance mechanisms to SYK inhibition in acute myeloid leukemia. Cancer Discov. 2019. [Google Scholar] [CrossRef]
- Fueyo, J.; Alonso, M.M.; Kerrigan, B.C.P.; Gomez-Manzano, C. Linking inflammation and cancer: The unexpected SYK world. Neuro-Oncology 2018, 20, 582–583. [Google Scholar] [CrossRef]
- Szilveszter, K.P.; Nemeth, M.; Mocsai, A. Tyrosine Kinases in Autoimmune and Inflammatory Skin Diseases. Front. Immunol. 2019, 10, 1862. [Google Scholar] [CrossRef]
- Navdaev, A.; Subramanian, H.; Petunin, A.; Clemetson, K.J.; Gambaryan, S.; Walter, U. Echicetin coated polystyrene beads: A novel tool to investigate GPIb-specific platelet activation and aggregation. PLoS ONE 2014, 9, e93569. [Google Scholar]










© 2019 by the authors. Licensee MDPI, Basel, Switzerland. This article is an open access article distributed under the terms and conditions of the Creative Commons Attribution (CC BY) license (http://creativecommons.org/licenses/by/4.0/).
Share and Cite
Makhoul, S.; Dorschel, S.; Gambaryan, S.; Walter, U.; Jurk, K. Feedback Regulation of Syk by Protein Kinase C in Human Platelets. Int. J. Mol. Sci. 2020, 21, 176. https://doi.org/10.3390/ijms21010176
Makhoul S, Dorschel S, Gambaryan S, Walter U, Jurk K. Feedback Regulation of Syk by Protein Kinase C in Human Platelets. International Journal of Molecular Sciences. 2020; 21(1):176. https://doi.org/10.3390/ijms21010176
Chicago/Turabian StyleMakhoul, Stephanie, Stephanie Dorschel, Stepan Gambaryan, Ulrich Walter, and Kerstin Jurk. 2020. "Feedback Regulation of Syk by Protein Kinase C in Human Platelets" International Journal of Molecular Sciences 21, no. 1: 176. https://doi.org/10.3390/ijms21010176
APA StyleMakhoul, S., Dorschel, S., Gambaryan, S., Walter, U., & Jurk, K. (2020). Feedback Regulation of Syk by Protein Kinase C in Human Platelets. International Journal of Molecular Sciences, 21(1), 176. https://doi.org/10.3390/ijms21010176

