Increased iNOS and Nitrosative Stress in Dopaminergic Neurons of MDMA-Exposed Rats
Abstract
1. Introduction
2. Results
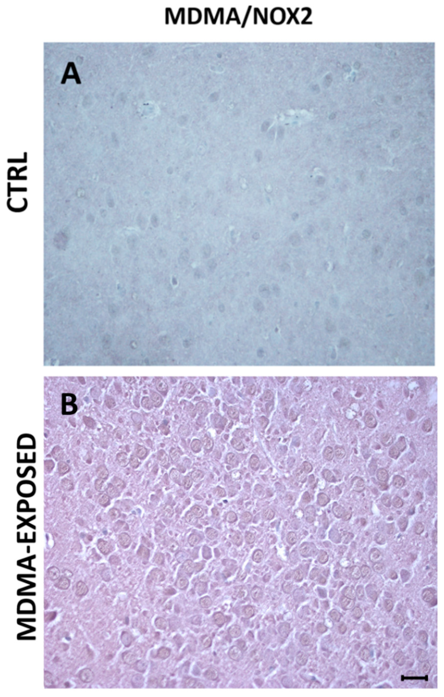
2.1. MDMA Administration Did Not Affect NADPH Oxidase Immunoreactivity
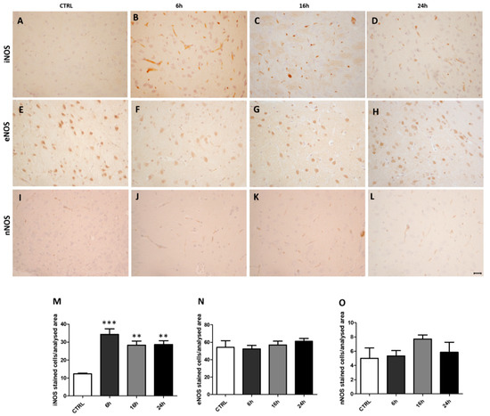
2.2. MDMA Administration Induced an Increase in iNOS Immunoreactivity
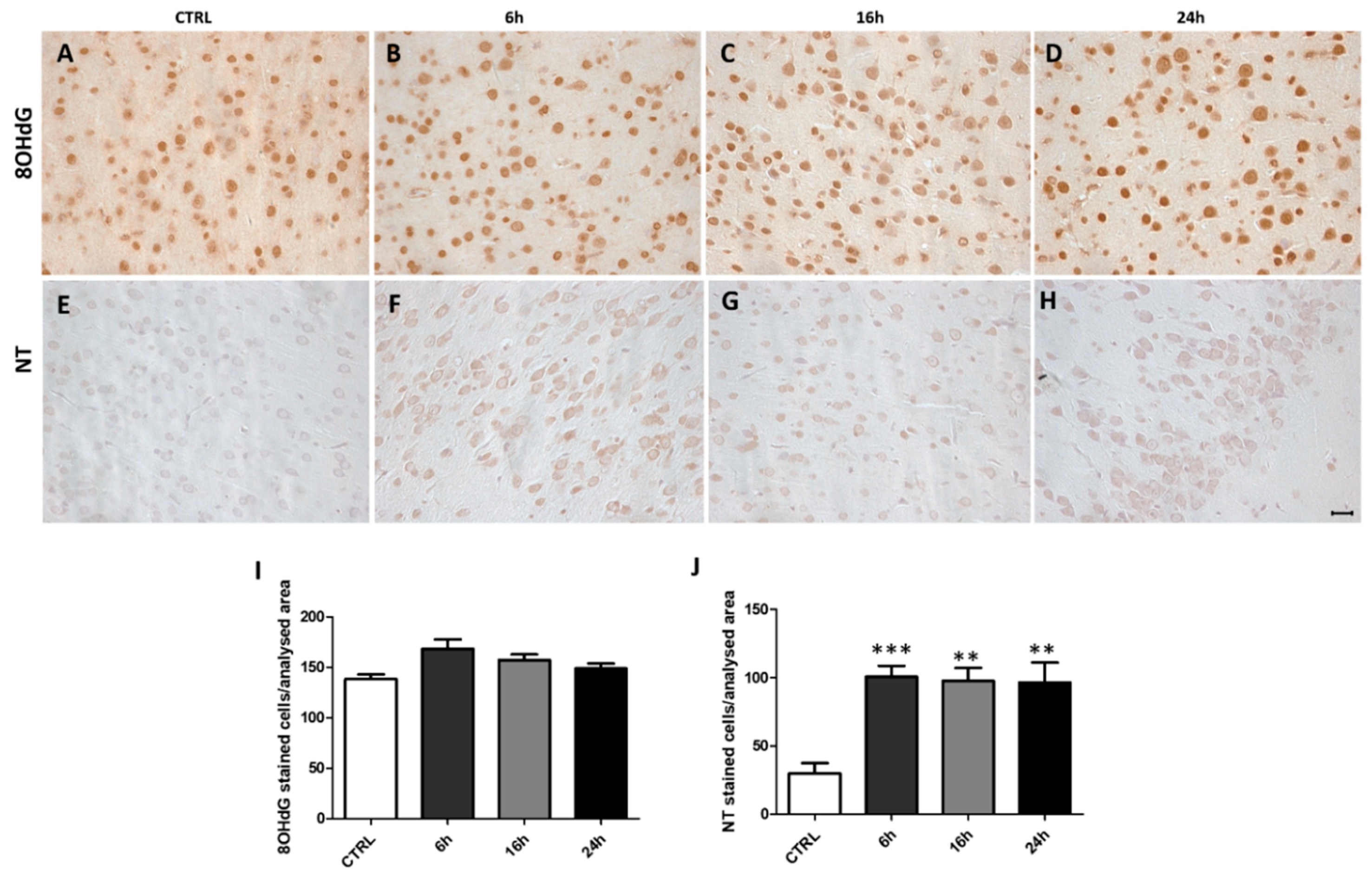
2.3. MDMA Administration Induced an Increase in NT Immunoreactivity
2.4. MDMA and NT Were Localized in Dopaminergic Neurons
2.5. MDMA and NT Were Not Localized in Glia Cells
3. Discussion
4. Materials and Methods
4.1. Animals
4.2. MDMA Administration and Experimental Protocol
4.3. Immunohistochemical Analyses
4.4. Blindness of the Study
4.5. Statistical Analysis
5. Conclusions
Supplementary Materials
Author Contributions
Funding
Acknowledgments
Conflicts of Interest
References
- Michael, W.C. How MDMA’s pharmacology and pharmacokinetics drive desired effects and harms. J. Clin. Pharmacol. 2014, 54, 245–252. [Google Scholar] [CrossRef] [PubMed]
- Parrott, A.C. Human psychobiology of MDMA or ‘Ecstasy’: An overview of 25 years of empirical research. Hum. Psychopharmacol. 2013, 28, 289–307. [Google Scholar] [CrossRef] [PubMed]
- Parrott, A.C. Human research on MDMA (3,4-methylene-dioxymethamphetamine) neurotoxicity: Cognitive and behavioural indices of change. Neuropsychobiology 2000, 42, 17–24. [Google Scholar] [CrossRef] [PubMed]
- Halpin, L.E.; Collins, S.A.; Yamamoto, B.K. Neurotoxicity of methamphetamine and 3,4-methylenedioxymethamphetamine. Life Sci. 2014, 97, 37–44. [Google Scholar] [CrossRef] [PubMed]
- Benningfield, M.M.; Cowan, R.L. Brain serotonin function in MDMA (ecstasy) users: Evidence for persisting neurotoxicity. Neuropsychopharmacology 2013, 38, 253–255. [Google Scholar] [CrossRef] [PubMed]
- Karuppagounder, S.S.; Bhattacharya, D.; Ahuja, M.; Suppiramaniam, V.; Deruiter, J.; Clark, R.; Dhanasekaran, M. Elucidating the neurotoxic effects of MDMA and its analogs. Life Sci. 2014, 101, 37–42. [Google Scholar] [CrossRef] [PubMed]
- Peraile, I.; Torres, E.; Mayado, A.; Izco, M.; Lopez-Jimenez, A.; Lopez-Moreno, J.A.; Colado, M.I.; O’Shea, E. Dopamine transporter down-regulation following repeated cocaine: Implications for 3,4-methylenedioxymethamphetamine-induced acute effects and long-term neurotoxicity in mice. Br. J. Pharmacol. 2010, 159, 201–211. [Google Scholar] [CrossRef] [PubMed]
- Costa, G.; Frau, L.; Wardas, J.; Pinna, A.; Plumitallo, A.; Morelli, M. MPTP-induced dopamine neuron degeneration and glia activation is potentiated in MDMA-pretreated mice. Mov. Disorders 2013, 28, 1957–1965. [Google Scholar] [CrossRef] [PubMed]
- Costa, G.; Morelli, M.; Simola, N. Progression and Persistence of Neurotoxicity Induced by MDMA in Dopaminergic Regions of the Mouse Brain and Association with Noradrenergic, GABAergic, and Serotonergic Damage. Neurotox. Res. 2017, 32, 563–574. [Google Scholar] [CrossRef] [PubMed]
- Nirenberg, M.J.; Vaughan, R.A.; Uhl, G.R.; Kuhar, M.J.; Pickel, V.M. The dopamine transporter is localized to dendritic and axonal plasma membranes of nigrostriatal dopaminergic neurons. J. Neurosci. 1996, 16, 436–447. [Google Scholar] [CrossRef]
- Zhu, J.; Reith, M.E. Role of the dopamine transporter in the action of psychostimulants, nicotine, and other drugs of abuse. CNS Neurol. Disord. Drug Targets 2008, 7, 393–409. [Google Scholar] [CrossRef] [PubMed]
- Reneman, L.; Booij, J.; Lavalaye, J.; de Bruin, K.; Reitsma, J.B.; Gunning, B.; den Heeten, G.J.; van den Brink, W. Use of amphetamine by recreational users of ecstasy (MDMA) is associated with reduced striatal dopamine transporter densities: A [123I]β-CIT SPECT study—Preliminary report. Psychopharmacology 2002, 159, 335–340. [Google Scholar] [CrossRef] [PubMed]
- Fumagalli, F.; Gainetdinov, R.R.; Valenzano, K.J.; Caron, M.G. Role of dopamine transporter in methamphetamine-induced neurotoxicity: Evidence from mice lacking the transporter. J. Neurosci. 1998, 18, 4861–4869. [Google Scholar] [CrossRef] [PubMed]
- Biezonski, D.K.; Piper, B.J.; Shinday, N.M.; Kim, P.J.; Ali, S.F.; Meyer, J.S. Effects of a short-course MDMA binge on dopamine transporter binding and on levels of dopamine and its metabolites in adult male rats. Eur. J. Pharmacol. 2013, 701, 176–180. [Google Scholar] [CrossRef] [PubMed]
- Dela Pena, I.; Gevorkiana, R.; Shi, W.X. Psychostimulants affect dopamine transmission through both dopamine transporter-dependent and independent mechanisms. Eur. J. Pharmacol. 2015, 764, 562–570. [Google Scholar] [CrossRef] [PubMed]
- Quednow, B.B.; Jessen, F.; Kuhn, K.U.; Maier, W.; Daum, I.; Wagner, M. Memory deficits in abstinent MDMA (ecstasy) users: Neuropsychological evidence of frontal dysfunction. J. Psychopharmacol. 2006, 20, 373–384. [Google Scholar] [CrossRef] [PubMed]
- Petschner, P.; Tamasi, V.; Adori, C.; Kirilly, E.; Ando, R.D.; Tothfalusi, L.; Bagdy, G. Gene expression analysis indicates reduced memory and cognitive functions in the hippocampus and increase in synaptic reorganization in the frontal cortex 3 weeks after MDMA administration in Dark Agouti rats. BMC Genom. 2018, 19, 580. [Google Scholar] [CrossRef] [PubMed]
- Gorska, A.M.; Noworyta-Sokolowska, K.; Golembiowska, K. The effect of caffeine on MDMA-induced hydroxyl radical production in the mouse striatum. Pharmacol. Rep. 2014, 66, 718–721. [Google Scholar] [CrossRef] [PubMed]
- Gorska, A.M.; Golembiowska, K. The role of adenosine A1 and A2A receptors in the caffeine effect on MDMA-induced DA and 5-HT release in the mouse striatum. Neurotox. Res. 2015, 27, 229–245. [Google Scholar] [CrossRef] [PubMed]
- Puerta, E.; Hervias, I.; Goni-Allo, B.; Zhang, S.F.; Jordan, J.; Starkov, A.A.; Aguirre, N. Methylenedioxymethamphetamine inhibits mitochondrial complex I activity in mice: A possible mechanism underlying neurotoxicity. Br. J. Pharmacol. 2010, 160, 233–245. [Google Scholar] [CrossRef] [PubMed]
- Capela, J.P.; Meisel, A.; Abreu, A.R.; Branco, P.S.; Ferreira, L.M.; Lobo, A.M.; Remiao, F.; Bastos, M.L.; Carvalho, F. Neurotoxicity of Ecstasy metabolites in rat cortical neurons, and influence of hyperthermia. J. Pharmacol. Exp. Ther. 2006, 316, 53–61. [Google Scholar] [CrossRef] [PubMed]
- Yamamoto, B.K.; Moszczynska, A.; Gudelsky, G.A. Amphetamine toxicities: Classical and emerging mechanisms. Ann. N. Y. Acad. Sci. 2010, 1187, 101–121. [Google Scholar] [CrossRef] [PubMed]
- Sorce, S.; Krause, K.H. NOX enzymes in the central nervous system: From signaling to disease. Antioxid. Redox Signal. 2009, 11, 2481–2504. [Google Scholar] [CrossRef] [PubMed]
- Schiavone, S.; Trabace, L. Pharmacological targeting of redox regulation systems as new therapeutic approach for psychiatric disorders: A literature overview. Pharmacol. Res. 2016, 107, 195–204. [Google Scholar] [CrossRef] [PubMed]
- Schiavone, S.; Neri, M.; Mhillaj, E.; Pomara, C.; Trabace, L.; Turillazzi, E. The role of the NADPH oxidase derived brain oxidative stress in the cocaine-related death associated with excited delirium: A literature review. Toxicol. Lett. 2016, 258, 29–35. [Google Scholar] [CrossRef] [PubMed]
- Schiavone, S.; Riezzo, I.; Turillazzi, E.; Trabace, L. Involvement of the NADPH Oxidase NOX2-Derived Brain Oxidative Stress in an Unusual Fatal Case of Cocaine-Related Neurotoxicity Associated With Excited Delirium Syndrome. J. Clin. Psychopharmacol. 2016, 36, 513–517. [Google Scholar] [CrossRef] [PubMed]
- Sorce, S.; Schiavone, S.; Tucci, P.; Colaianna, M.; Jaquet, V.; Cuomo, V.; Dubois-Dauphin, M.; Trabace, L.; Krause, K.H. The NADPH oxidase NOX2 controls glutamate release: A novel mechanism involved in psychosis-like ketamine responses. J. Neurosci. 2010, 30, 11317–11325. [Google Scholar] [CrossRef] [PubMed]
- Behrens, M.M.; Ali, S.S.; Dao, D.N.; Lucero, J.; Shekhtman, G.; Quick, K.L.; Dugan, L.L. Ketamine-induced loss of phenotype of fast-spiking interneurons is mediated by NADPH-oxidase. Science 2007, 318, 1645–1647. [Google Scholar] [CrossRef] [PubMed]
- Kumar, A.; Chanana, P. Role of Nitric Oxide in Stress-Induced Anxiety: From Pathophysiology to Therapeutic Target. Vitam. Horm. 2017, 103, 147–167. [Google Scholar] [PubMed]
- Koriyama, Y.; Furukawa, A. S-Nitrosylation Regulates Cell Survival and Death in the Central Nervous System. Neurochem. Res. 2018, 43, 41–49. [Google Scholar] [CrossRef] [PubMed]
- Chong, C.M.; Ai, N.; Ke, M.; Tan, Y.; Huang, Z.; Li, Y.; Lu, J.H.; Ge, W.; Su, H. Roles of Nitric Oxide Synthase Isoforms in Neurogenesis. Mol. Neurobiol. 2017, 55, 2645–2652. [Google Scholar] [CrossRef]
- Maia-de-Oliveira, J.P.; Kandratavicius, L.; Nunes, E.A.; Machado-de-Sousa, J.P.; Hallak, J.E.; Dursun, S.M. Nitric Oxide’s Involvement in the Spectrum of Psychotic Disorders. Curr. Med. Chem. 2016, 23, 2680–2691. [Google Scholar] [CrossRef] [PubMed]
- Jimenez-Jimenez, F.J.; Alonso-Navarro, H.; Herrero, M.T.; Garcia-Martin, E.; Agundez, J.A. An Update on the Role of Nitric Oxide in the Neurodegenerative Processes of Parkinson’s Disease. Curr. Med. Chem. 2016, 23, 2666–2679. [Google Scholar] [CrossRef] [PubMed]
- Calcia, M.A.; Bonsall, D.R.; Bloomfield, P.S.; Selvaraj, S.; Barichello, T.; Howes, O.D. Stress and neuroinflammation: A systematic review of the effects of stress on microglia and the implications for mental illness. Psychopharmacology 2016, 233, 1637–1650. [Google Scholar] [CrossRef] [PubMed]
- Hol, E.M.; Pekny, M. Glial fibrillary acidic protein (GFAP) and the astrocyte intermediate filament system in diseases of the central nervous system. Curr. Opin. Cell Biol. 2015, 32, 121–130. [Google Scholar] [CrossRef] [PubMed]
- Neri, M.; Bello, S.; Bonsignore, A.; Centini, F.; Fiore, C.; Foldes-Papp, Z.; Turillazzi, E.; Fineschi, V. Myocardial expression of TNF-α, IL-1β, IL-6, IL-8, IL-10 and MCP-1 after a single MDMA dose administered in a rat model. Curr. Pharm. Biotechnol. 2010, 11, 413–420. [Google Scholar] [CrossRef] [PubMed]
- Cerretani, D.; Bello, S.; Cantatore, S.; Fiaschi, A.I.; Montefrancesco, G.; Neri, M.; Pomara, C.; Riezzo, I.; Fiore, C.; Bonsignore, A.; et al. Acute administration of 3,4-methylenedioxymethamphetamine (MDMA) induces oxidative stress, lipoperoxidation and TNFα-mediated apoptosis in rat liver. Pharmacol. Res. 2011, 64, 517–527. [Google Scholar] [CrossRef] [PubMed]
- Turillazzi, E.; Riezzo, I.; Neri, M.; Bello, S.; Fineschi, V. MDMA toxicity and pathological consequences: A review about experimental data and autopsy findings. Curr. Pharm. Biotechnol. 2010, 11, 500–509. [Google Scholar] [CrossRef] [PubMed]
- Riezzo, I.; Cerretani, D.; Fiore, C.; Bello, S.; Centini, F.; D’Errico, S.; Fiaschi, A.I.; Giorgi, G.; Neri, M.; Pomara, C.; et al. Enzymatic-nonenzymatic cellular antioxidant defense systems response and immunohistochemical detection of MDMA, VMAT2, HSP70, and apoptosis as biomarkers for MDMA (Ecstasy) neurotoxicity. J. Neurosci. Res. 2010, 88, 905–916. [Google Scholar] [CrossRef]
- Cerretani, D.; Riezzo, I.; Fiaschi, A.I.; Centini, F.; Giorgi, G.; D’Errico, S.; Fiore, C.; Karch, S.B.; Neri, M.; Pomara, C.; et al. Cardiac oxidative stress determination and myocardial morphology after a single ecstasy (MDMA) administration in a rat model. Int. J. Leg. Med. 2008, 122, 461–469. [Google Scholar] [CrossRef]
- Peraile, I.; Granado, N.; Torres, E.; Gutierrez-Lopez, M.D.; Moratalla, R.; Colado, M.I.; O’Shea, E. Cocaine potentiates MDMA-induced oxidative stress but not dopaminergic neurotoxicity in mice: Implications for the pathogenesis of free radical-induced neurodegenerative disorders. Psychopharmacology 2013, 230, 125–135. [Google Scholar] [CrossRef] [PubMed]
- Ros-Simo, C.; Moscoso-Castro, M.; Ruiz-Medina, J.; Ros, J.; Valverde, O. Memory impairment and hippocampus specific protein oxidation induced by ethanol intake and 3,4-methylenedioxymethamphetamine (MDMA) in mice. J. Neurochem. 2013, 125, 736–746. [Google Scholar] [CrossRef] [PubMed]
- Franzese, S.; Capasso, A. The effects of the 3,4-methylenedioxymethamphetamine (Ecstasy) in some cerebral areas: Role of the oxidative stress. Drug Metab. Lett. 2008, 2, 95–99. [Google Scholar] [CrossRef] [PubMed]
- Valavanidis, A.; Vlachogianni, T.; Fiotakis, C. 8-hydroxy-2′-deoxyguanosine (8-OHdG): A critical biomarker of oxidative stress and carcinogenesis. J. Environ. Sci. Health Part C 2009, 27, 120–139. [Google Scholar] [CrossRef]
- Barbosa, D.J.; Capela, J.P.; Feio-Azevedo, R.; Teixeira-Gomes, A.; Bastos Mde, L.; Carvalho, F. Mitochondria: Key players in the neurotoxic effects of amphetamines. Arch. Toxicol. 2015, 89, 1695–1725. [Google Scholar] [CrossRef] [PubMed]
- Barros-Minones, L.; Goni-Allo, B.; Suquia, V.; Beitia, G.; Aguirre, N.; Puerta, E. Contribution of dopamine to mitochondrial complex I inhibition and dopaminergic deficits caused by methylenedioxymethamphetamine in mice. Neuropharmacology 2015, 93, 124–133. [Google Scholar] [CrossRef] [PubMed]
- Alves, E.; Summavielle, T.; Alves, C.J.; Custodio, J.B.; Fernandes, E.; de Lourdes Bastos, M.; Tavares, M.A.; Carvalho, F. Ecstasy-induced oxidative stress to adolescent rat brain mitochondria in vivo: Influence of monoamine oxidase type A. Addict. Biol. 2009, 14, 185–193. [Google Scholar] [CrossRef] [PubMed]
- Taghizadeh, G.; Pourahmad, J.; Mehdizadeh, H.; Foroumadi, A.; Torkaman-Boutorabi, A.; Hassani, S.; Naserzadeh, P.; Shariatmadari, R.; Gholami, M.; Rouini, M.R.; et al. Protective effects of physical exercise on MDMA-induced cognitive and mitochondrial impairment. Free Radic. Biol. Med. 2016, 99, 11–19. [Google Scholar] [CrossRef] [PubMed]
- Hiramatsu, M.; Kumagai, Y.; Unger, S.E.; Cho, A.K. Metabolism of methylenedioxymethamphetamine: Formation of dihydroxymethamphetamine and a quinone identified as its glutathione adduct. J. Pharmacol. Exp. Ther. 1990, 254, 521–527. [Google Scholar] [PubMed]
- Itzhak, Y.; Ali, S.F. Role of nitrergic system in behavioral and neurotoxic effects of amphetamine analogs. Pharmacol. Ther. 2006, 109, 246–262. [Google Scholar] [CrossRef] [PubMed]
- Garcia-Pardo, M.P.; Rodriguez-Arias, M.; Minarro, J.; Aguilar, M.A. Role of nitric oxide pathway in the conditioned rewarding effects of MDMA in mice. Behav. Brain Res. 2017, 330, 75–77. [Google Scholar] [CrossRef]
- Sarkar, S.; Schmued, L. Neurotoxicity of ecstasy (MDMA): An overview. Curr. Pharm. Biotechnol. 2010, 11, 460–469. [Google Scholar] [CrossRef]
- Byun, J.S.; Lee, S.H.; Jeon, S.H.; Kwon, Y.S.; Lee, H.J.; Kim, S.S.; Kim, Y.M.; Kim, M.J.; Chun, W. Kainic Acid-induced Neuronal Death is Attenuated by Aminoguanidine but Aggravated by l-NAME in Mouse Hippocampus. Korean J. Physiol. Pharmacol. 2009, 13, 265–271. [Google Scholar] [CrossRef]
- Hewett, S.J.; Muir, J.K.; Lobner, D.; Symons, A.; Choi, D.W. Potentiation of oxygen-glucose deprivation-induced neuronal death after induction of iNOS. Strok 1996, 27, 1586–1591. [Google Scholar] [CrossRef]
- Mander, P.; Borutaite, V.; Moncada, S.; Brown, G.C. Nitric oxide from inflammatory-activated glia synergizes with hypoxia to induce neuronal death. J. Neurosci. Res. 2005, 79, 208–215. [Google Scholar] [CrossRef]
- Itzhak, Y.; Anderson, K.L.; Ali, S.F. Differential response of nNOS knockout mice to MDMA (“ecstasy”)-and methamphetamine-induced psychomotor sensitization and neurotoxicity. Ann. N. Y. Acad. Sci. 2004, 1025, 119–128. [Google Scholar] [CrossRef]
- Granado, N.; O’Shea, E.; Bove, J.; Vila, M.; Colado, M.I.; Moratalla, R. Persistent MDMA-induced dopaminergic neurotoxicity in the striatum and substantia nigra of mice. J. Neurochem. 2008, 107, 1102–1112. [Google Scholar] [CrossRef]
- Frau, L.; Costa, G.; Porceddu, P.F.; Khairnar, A.; Castelli, M.P.; Ennas, M.G.; Madeddu, C.; Wardas, J.; Morelli, M. Influence of caffeine on 3,4-methylenedioxymethamphetamine-induced dopaminergic neuron degeneration and neuroinflammation is age-dependent. J. Neurochem. 2016, 136, 148–162. [Google Scholar] [CrossRef] [PubMed]
- Puerta, E.; Hervias, I.; Goni-Allo, B.; Lasheras, B.; Jordan, J.; Aguirre, N. Phosphodiesterase 5 inhibitors prevent 3,4-methylenedioxymethamphetamine-induced 5-HT deficits in the rat. J. Neurochem. 2009, 108, 755–766. [Google Scholar] [CrossRef] [PubMed]
- Galijasevic, S.; Saed, G.M.; Diamond, M.P.; Abu-Soud, H.M. Myeloperoxidase up-regulates the catalytic activity of inducible nitric oxide synthase by preventing nitric oxide feedback inhibition. Proc. Natl. Acad. Sci. USA 2003, 100, 14766–14771. [Google Scholar] [CrossRef] [PubMed]
- Pontes, H.; Sousa, C.; Silva, R.; Fernandes, E.; Carmo, H.; Remiao, F.; Carvalho, F.; Bastos, M.L. Synergistic toxicity of ethanol and MDMA towards primary cultured rat hepatocytes. Toxicology 2008, 254, 42–50. [Google Scholar] [CrossRef] [PubMed]
- Vegting, Y.; Reneman, L.; Booij, J. The effects of ecstasy on neurotransmitter systems: A review on the findings of molecular imaging studies. Psychopharmacology 2016, 233, 3473–3501. [Google Scholar] [CrossRef] [PubMed]
- Cadoni, C.; Pisanu, A.; Simola, N.; Frau, L.; Porceddu, P.F.; Corongiu, S.; Dessi, C.; Sil, A.; Plumitallo, A.; Wardas, J.; et al. Widespread reduction of dopamine cell bodies and terminals in adult rats exposed to a low dose regimen of MDMA during adolescence. Neuropharmacology 2017, 123, 385–394. [Google Scholar] [CrossRef] [PubMed]
- Fletcher, P.J.; Korth, K.M.; Robinson, S.R.; Baker, G.B. Multiple 5-HT receptors are involved in the effects of acute MDMA treatment: Studies on locomotor activity and responding for conditioned reinforcement. Psychopharmacology 2002, 162, 282–291. [Google Scholar] [CrossRef] [PubMed]
- Parrott, A.C. MDMA and 5-HT neurotoxicity: The empirical evidence for its adverse effects in humans—No need for translation. Br. J. Pharmacol. 2012, 166, 1518–1520, discussion 1521–1522. [Google Scholar] [CrossRef] [PubMed]
- Anneken, J.H.; Cunningham, J.I.; Collins, S.A.; Yamamoto, B.K.; Gudelsky, G.A. MDMA increases glutamate release and reduces parvalbumin-positive GABAergic cells in the dorsal hippocampus of the rat: Role of cyclooxygenase. J. Neuroimmune Pharmacol. 2013, 8, 58–65. [Google Scholar] [CrossRef] [PubMed]
- Pachmerhiwala, R.; Bhide, N.; Straiko, M.; Gudelsky, G.A. Role of serotonin and/or norepinephrine in the MDMA-induced increase in extracellular glucose and glycogenolysis in the rat brain. Eur. J. Pharmacol. 2010, 644, 67–72. [Google Scholar] [CrossRef] [PubMed]
- Wei, C.; Han, X.; Weng, D.; Feng, Q.; Qi, X.; Li, J.; Luo, M. Response dynamics of midbrain dopamine neurons and serotonin neurons to heroin, nicotine, cocaine, and MDMA. Cell Discov. 2018, 4, 60. [Google Scholar] [CrossRef] [PubMed]
- Moratalla, R.; Khairnar, A.; Simola, N.; Granado, N.; Garcia-Montes, J.R.; Porceddu, P.F.; Tizabi, Y.; Costa, G.; Morelli, M. Amphetamine-related drugs neurotoxicity in humans and in experimental animals: Main mechanisms. Prog. Neurobiol. 2017, 155, 149–170. [Google Scholar] [CrossRef] [PubMed]
- Thomas, D.M.; Dowgiert, J.; Geddes, T.J.; Francescutti-Verbeem, D.; Liu, X.; Kuhn, D.M. Microglial activation is a pharmacologically specific marker for the neurotoxic amphetamines. Neurosci. Lett. 2004, 367, 349–354. [Google Scholar] [CrossRef] [PubMed]
- Herndon, J.M.; Cholanians, A.B.; Lau, S.S.; Monks, T.J. Glial cell response to 3,4-(+/−)-methylenedioxymethamphetamine and its metabolites. Toxicol. Sci. 2014, 138, 130–138. [Google Scholar] [CrossRef] [PubMed]
- Mayado, A.; Torres, E.; Gutierrez-Lopez, M.D.; Colado, M.I.; O’Shea, E. Increased interleukin-1β levels following low dose MDMA induces tolerance against the 5-HT neurotoxicity produced by challenge MDMA. J. Neuroinflammation 2011, 8, 165. [Google Scholar] [CrossRef] [PubMed]
- Torres, E.; Gutierrez-Lopez, M.D.; Mayado, A.; Rubio, A.; O’Shea, E.; Colado, M.I. Changes in interleukin-1 signal modulators induced by 3,4-methylenedioxymethamphetamine (MDMA): Regulation by CB2 receptors and implications for neurotoxicity. J. Neuroinflammation 2011, 8, 53. [Google Scholar] [CrossRef] [PubMed]
- Goni-Allo, B.; O’Mathúna, B.; Segura, M.; Puerta, E.; Lasheras, B.; de la Torre, R.; Aguirre, N. The relationship between core body temperature and 3,4-methylenedioxymethamphetamine metabolism in rats: Implications for neurotoxicity. Psychopharmacology 2008, 197, 263–278. [Google Scholar] [CrossRef] [PubMed]
- Teixeira-Gomes, A.; Costa, V.M.; Feio-Azevedo, R.; Bastos Mde, L.; Carvalho, F.; Capela, J.P. The neurotoxicity of amphetamines during the adolescent period. Int. J. Dev. Neurosci. 2015, 41, 44–62. [Google Scholar] [CrossRef] [PubMed]
- Kiyatkin, E.A.; Kim, A.H.; Wakabayashi, K.T.; Baumann, M.H.; Shaham, Y. Critical role of peripheral vasoconstriction in fatal brain hyperthermia induced by MDMA (Ecstasy) under conditions that mimic human drug use. J. Neurosci. 2014, 34, 7754–7762. [Google Scholar] [CrossRef]
- Brown, P.L.; Kiyatkin, E.A. Brain hyperthermia induced by MDMA (ecstasy): Modulation by environmental conditions. Eur. J. Neurosci. 2004, 20, 51–58. [Google Scholar] [CrossRef] [PubMed]
- Ischiropoulos, H. Biological tyrosine nitration: A pathophysiological function of nitric oxide and reactive oxygen species. Arch. Biochem. Biophys. 1998, 356, 1–11. [Google Scholar] [CrossRef] [PubMed]
- D’Apolito, M.; Colia, A.L.; Lasalvia, M.; Capozzi, V.; Falcone, M.P.; Pettoello-Mantovani, M.; Brownlee, M.; Maffione, A.B.; Giardino, I. Urea-induced ROS accelerate senescence in endothelial progenitor cells. Atherosclerosis 2017, 263, 127–136. [Google Scholar] [CrossRef]
- Cho, H.J.; Lee, W.H.; Hwang, O.M.H.; Sonntag, W.E.; Lee, Y.W. Role of NADPH oxidase in radiation-induced pro-oxidative and pro-inflammatory pathways in mouse brain. Int. J. Radiat. Biol. 2017, 93, 1257–1266. [Google Scholar] [CrossRef]
- Wilhelm, J.; Vytasek, R.; Uhlik, J.; Vajner, L. Oxidative Stress in the Developing Rat Brain due to Production of Reactive Oxygen and Nitrogen Species. Oxidative Med. Cell. Longev. 2016, 2016, 5057610. [Google Scholar] [CrossRef]
- Zielonka, J.; Lambeth, J.D.; Kalyanaraman, B. On the use of L-012, a luminol-based chemiluminescent probe, for detecting superoxide and identifying inhibitors of NADPH oxidase: A reevaluation. Free Radic. Biol. Med. 2013, 65, 1310–1314. [Google Scholar] [CrossRef]
- Qin, Y.Y.; Li, M.; Feng, X.; Wang, J.; Cao, L.; Shen, X.K.; Chen, J.; Sun, M.; Sheng, R.; Han, F.; et al. Combined NADPH and the NOX inhibitor apocynin provides greater anti-inflammatory and neuroprotective effects in a mouse model of stroke. Free Radic. Biol. Med. 2017, 104, 333–345. [Google Scholar] [CrossRef]
- Muller, C.P. Animal models of psychoactive drug use and addiction—Present problems and future needs for translational approaches. Behav. Brain Res. 2018, 352, 109–115. [Google Scholar] [CrossRef]
- Pieretti, S.; Mastriota, M.; Tucci, P.; Battaglia, G.; Trabace, L.; Nicoletti, F.; Scaccianoce, S. Brain nerve growth factor unbalance induced by anabolic androgenic steroids in rats. Med. Sci. Sports Exerc. 2013, 45, 29–35. [Google Scholar] [CrossRef]
- Conceicao, C.Q.; Engi, S.A.; Cruz, F.C.; Planeta, C.S. Behavioral cross-sensitization between testosterone and fenproporex in adolescent and adult rats. Braz. J. Med Biol. Res. 2017, 51, e6388. [Google Scholar] [CrossRef]
- Cagiano, R.; Bera, I.; Sabatini, R.; Flace, P.; Vermesan, D.; Vermesan, H.; Dragulescu, S.I.; Bottalico, L.; Santacroce, L. Effects on rat sexual behaviour of acute MDMA (ecstasy) alone or in combination with loud music. Eur. Rev. Med. Pharmacol. Sci. 2008, 12, 285–292. [Google Scholar]
- Cox, B.M.; Shah, M.M.; Cichon, T.; Tancer, M.E.; Galloway, M.P.; Thomas, D.M.; Perrine, S.A. Behavioral and neurochemical effects of repeated MDMA administration during late adolescence in the rat. Prog. Neuro-Psychopharmacol. Biol. Psychiatry 2014, 48, 229–235. [Google Scholar] [CrossRef]
- Fone, K.C.; Beckett, S.R.; Topham, I.A.; Swettenham, J.; Ball, M.; Maddocks, L. Long-term changes in social interaction and reward following repeated MDMA administration to adolescent rats without accompanying serotonergic neurotoxicity. Psychopharmacology 2002, 159, 437–444. [Google Scholar] [CrossRef]
- Gilhotra, N.; Jain, H.; Dhingra, D. Differential effects of nitric oxide synthase inhibitors on anxiety in unstressed and stressed mice. Indian J. Exp. Biol. 2010, 48, 365–372. [Google Scholar]
- Hull, E.M.; Lumley, L.A.; Matuszewich, L.; Dominguez, J.; Moses, J.; Lorrain, D.S. The roles of nitric oxide in sexual function of male rats. Neuropharmacology 1994, 33, 1499–1504. [Google Scholar] [CrossRef]
- Skurlova, M.; Stofkova, A.; Jurcovicova, J. Anxiety-like behavior in the elevated-plus maze tests and enhanced IL-1beta, IL-6, NADPH oxidase-1, and iNOS mRNAs in the hippocampus during early stage of adjuvant arthritis in rats. Neurosci. Lett. 2011, 487, 250–254. [Google Scholar] [CrossRef]
- Palamar, J.J.; Kamboukos, D. An examination of sociodemographic correlates of ecstasy use among high school seniors in the United States. Subst. Use Misuse 2014, 49, 1774–1783. [Google Scholar] [CrossRef]
- Palamar, J.J.; Mauro, P.M.; Han, B.H.; Martins, S.S. Shifting characteristics of ecstasy users ages 12–34 in the United States, 2007–2014. Drug Alcohol Depend. 2017, 181, 20–24. [Google Scholar] [CrossRef]
- Amoroso, T. The spurious relationship between ecstasy use and neurocognitive deficits: A Bradford Hill review. Int. J. Drug Policy 2018, 64, 47–53. [Google Scholar] [CrossRef]
- Colado, M.I.; Green, A.R. A study of the mechanism of MDMA (‘ecstasy’)-induced neurotoxicity of 5-HT neurones using chlormethiazole, dizocilpine and other protective compounds. Br. J. Pharmacol. 1994, 111, 131–136. [Google Scholar] [CrossRef]
- Schiavone, S.; Sorce, S.; Dubois-Dauphin, M.; Jaquet, V.; Colaianna, M.; Zotti, M.; Cuomo, V.; Trabace, L.; Krause, K.H. Involvement of NOX2 in the development of behavioral and pathologic alterations in isolated rats. Biol. Psychiatry 2009, 66, 384–392. [Google Scholar] [CrossRef]
- Colaianna, M.; Schiavone, S.; Zotti, M.; Tucci, P.; Morgese, M.G.; Backdahl, L.; Holmdahl, R.; Krause, K.H.; Cuomo, V.; Trabace, L. Neuroendocrine profile in a rat model of psychosocial stress: Relation to oxidative stress. Antioxid. Redox Signal. 2013, 18, 1385–1399. [Google Scholar] [CrossRef]
- Schiavone, S.; Mhillaj, E.; Neri, M.; Morgese, M.G.; Tucci, P.; Bove, M.; Valentino, M.; di Giovanni, G.; Pomara, C.; Turillazzi, E.; et al. Early Loss of Blood-Brain Barrier Integrity Precedes NOX2 Elevation in the Prefrontal Cortex of an Animal Model of Psychosis. Mol. Neurobiol. 2017, 54, 2031–2044. [Google Scholar] [CrossRef]
- Clark, D.P.Q.; Perreau, V.M.; Shultz, S.R.; Brady, R.D.; Lei, E.; Dixit, S.; Taylor, J.M.; Beart, P.M.; Boon, W.C. Inflammation in Traumatic Brain Injury: Roles for Toxic A1 Astrocytes and Microglial-Astrocytic Crosstalk. Neurochem. Res. 2019. [Google Scholar] [CrossRef]
- Khoshdel-Sarkarizi, H.; Hami, J.; Mohammadipour, A.; Sadr-Nabavi, A.; Mahmoudi, M.; Kheradmand, H.; Peyvandi, M.; Nourmohammadi, E.; Haghir, H. Developmental regulation and lateralization of GABA receptors in the rat hippocampus. Int. J. Dev. Neurosci. 2019. [Google Scholar] [CrossRef]
- Grzelka, K.; Gawlak, M.; Czarzasta, K.; Szulczyk, P. Effects of beta3-adrenergic receptor stimulation on the resting holding current of medial prefrontal cortex pyramidal neurons in young rats. Neurosci. Lett. 2019, 698, 192–197. [Google Scholar] [CrossRef]
- Schiavone, S.; Neri, M.; Trabace, L.; Turillazzi, E. The NADPH oxidase NOX2 mediates loss of parvalbumin interneurons in traumatic brain injury: Human autoptic immunohistochemical evidence. Sci. Rep. 2017, 7, 8752. [Google Scholar] [CrossRef]
- Schiavone, S.; Neri, M.; Mhillaj, E.; Morgese, M.G.; Cantatore, S.; Bove, M.; Riezzo, I.; Tucci, P.; Pomara, C.; Turillazzi, E.; et al. The NADPH oxidase NOX2 as a novel biomarker for suicidality: Evidence from human post mortem brain samples. Transl. Psychiatry 2016, 6, e813. [Google Scholar] [CrossRef]







| Antibodies | Colors | 
| MDMA/DT1 | Red/Blue-grey | 
| NT/DT1 | Purple/Blue-grey | 
| MDMA/NOX2 | Purple/Blue-grey | 
© 2019 by the authors. Licensee MDPI, Basel, Switzerland. This article is an open access article distributed under the terms and conditions of the Creative Commons Attribution (CC BY) license (http://creativecommons.org/licenses/by/4.0/).
Share and Cite
Schiavone, S.; Neri, M.; Maffione, A.B.; Frisoni, P.; Morgese, M.G.; Trabace, L.; Turillazzi, E. Increased iNOS and Nitrosative Stress in Dopaminergic Neurons of MDMA-Exposed Rats. Int. J. Mol. Sci. 2019, 20, 1242. https://doi.org/10.3390/ijms20051242
Schiavone S, Neri M, Maffione AB, Frisoni P, Morgese MG, Trabace L, Turillazzi E. Increased iNOS and Nitrosative Stress in Dopaminergic Neurons of MDMA-Exposed Rats. International Journal of Molecular Sciences. 2019; 20(5):1242. https://doi.org/10.3390/ijms20051242
Chicago/Turabian StyleSchiavone, Stefania, Margherita Neri, Angela Bruna Maffione, Paolo Frisoni, Maria Grazia Morgese, Luigia Trabace, and Emanuela Turillazzi. 2019. "Increased iNOS and Nitrosative Stress in Dopaminergic Neurons of MDMA-Exposed Rats" International Journal of Molecular Sciences 20, no. 5: 1242. https://doi.org/10.3390/ijms20051242
APA StyleSchiavone, S., Neri, M., Maffione, A. B., Frisoni, P., Morgese, M. G., Trabace, L., & Turillazzi, E. (2019). Increased iNOS and Nitrosative Stress in Dopaminergic Neurons of MDMA-Exposed Rats. International Journal of Molecular Sciences, 20(5), 1242. https://doi.org/10.3390/ijms20051242
 
        



 
       