Circulating Serum miRNA-205 as a Diagnostic Biomarker for Ototoxicity in Mice Treated with Aminoglycoside Antibiotics
Abstract
1. Introduction
2. Results
2.1. The Mice with Ototoxicity Induced by the “One-Shot” Method Are Effective Ototoxicity Models without Kidney Impairment
2.2. Expression of miR-205 in the Serum Is Specific to the Ototoxicity-Induced Mouse Model
2.3. Circulating miR-205 Plays an Important Role in Ototoxicity
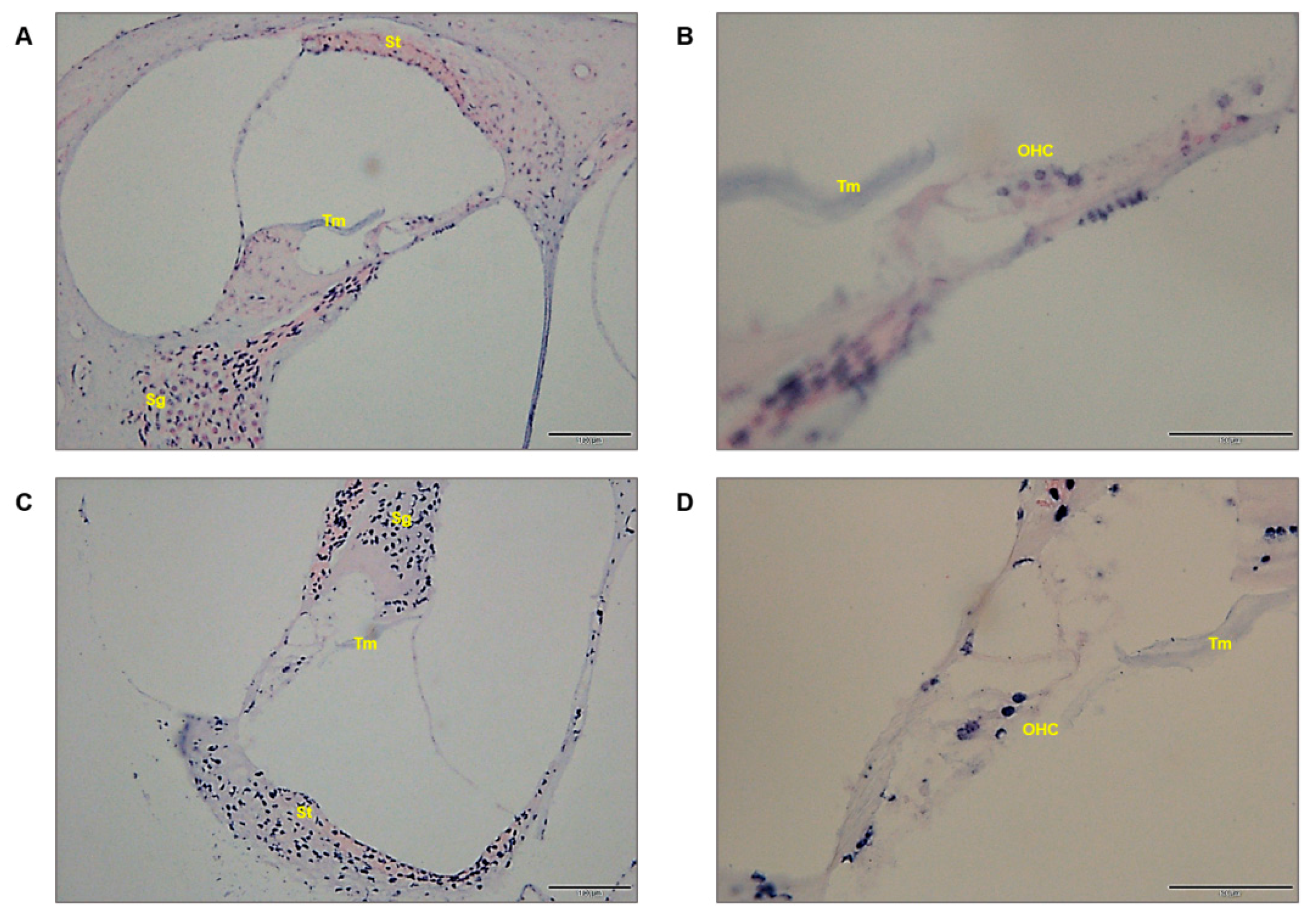
2.4. Circulating miR-205 is a Potential Target Molecule for Ototoxicity-Induced Hearing Loss
3. Discussion
4. Materials and Methods
4.1. Animal Model
4.2. ABR Test for Hearing Thresholds
4.3. Blood Collection
4.4. Microarray
4.5. In Situ Hybridization Analysis
4.6. Statistical Analysis
5. Conclusions
Author Contributions
Funding
Conflicts of Interest
Abbreviations
| AKI | acute kidney injury |
| CEA | Carcino-Embryonic Antigen |
| CA-15-3 | Carcinoma Antigen-15-3 |
| dB | decibel |
| M | modiolus |
| miR | microRNA |
| OC | organ of Corti stria vascularis |
| SV | stria vascularis |
| TDM | Therapeutic drug monitoring |
References
- Whelton, A. Therapeutic initiatives for the avoidance of aminoglycoside toxicity. J. Clin. Pharmacol. 1985, 25, 67–81. [Google Scholar] [CrossRef] [PubMed]
- Ariano, R.E.; Zelenitsky, S.A.; Kassum, D.A. Aminoglycoside-induced vestibular injury: Maintaining a sense of balance. Ann. Pharmacother. 2008, 42, 1282–1289. [Google Scholar] [CrossRef] [PubMed]
- Huth, M.E.; Ricci, A.J.; Cheng, A.G. Mechanisms of Aminoglycoside Ototoxicity and Targets of Hair Cell Protection. Int. J. Otolaryngol. 2011, 2011, 937861. [Google Scholar] [CrossRef] [PubMed]
- Baek, D.; Villén, J.; Shin, C.; Camargo, F.D.; Gygi, S.P.; Bartel, D.P. The impact of microRNAs on protein output. Nature 2008, 455, 64–71. [Google Scholar] [CrossRef] [PubMed]
- Bruneau, B.G. Developmental biology: Tiny brakes for a growing heart. Nature 2005, 436, 181–182. [Google Scholar] [CrossRef] [PubMed]
- De Guire, V.; Robitaille, R.; Tétreault, N.; Guérin, R.; Ménard, C.; Bambace, N.; Sapieha, P. Circulating miRNAs as sensitive and specific biomarkers for the diagnosis and monitoring of human diseases: Promises and challenges. Clin. Biochem. 2013, 46, 846–860. [Google Scholar] [CrossRef] [PubMed]
- Selbach, M.; Schwanhäusser, B.; Thierfelder, N.; Fang, Z.; Khanin, R.; Rajewsky, N. Widespread changes in protein synthesis induced by microRNAs. Nature 2008, 455, 58–63. [Google Scholar] [CrossRef] [PubMed]
- Lawrie, C.H.; Gal, S.; Dunlop, H.M.; Pushkaran, B.; Liggins, A.P.; Pulford, K.; Banham, A.H.; Pezzella, F.; Boultwood, J.; Wainscoat, J.S.; et al. Detection of elevated levels of tumour-associated microRNAs in serum of patients with diffuse large B-cell lymphoma. Br. J. Haematol. 2008, 141, 672–675. [Google Scholar] [CrossRef] [PubMed]
- Gilad, S.; Lithwick-Yanai, G.; Barshack, I.; Benjamin, S.; Krivitsky, I.; Edmonston, T.B.; Bibbo, M.; Thurm, C.; Horowitz, L.; Huang, Y.; et al. Classification of the four main types of lung cancer using a microRNA-based diagnostic assay. J. Mol. Diagn. 2012, 14, 510–517. [Google Scholar] [CrossRef] [PubMed]
- Heneghan, H.M.; Miller, N.; Kelly, R.; Newell, J.; Kerin, M.J. Systemic miRNA-195 differentiates breast cancer from other malignancies and is a potential biomarker for detecting noninvasive and early stage disease. Oncologist 2010, 15, 673–682. [Google Scholar] [CrossRef] [PubMed]
- Ju, H.M.; Lee, S.H.; Choi, J.S.; Seo, Y.J. A simple model for inducing optimal increase of SDF-1 with aminoglycoside ototoxicity. Biomed. Res. Int. 2017, 2017, 4630241. [Google Scholar] [CrossRef] [PubMed]
- Elkan-Miller, T.; Ulitsky, I.; Hertzano, R.; Rudnicki, A.; Dror, A.A.; Lenz, D.R.; Elkon, R.; Irmler, M.; Beckers, J.; Shamir, R.; et al. Integration of transcriptomics, proteomics, and microRNA analyses reveals novel microRNA regulation of targets in the mammalian inner ear. PLoS ONE 2011, 6, e18195. [Google Scholar] [CrossRef] [PubMed]
- Friedman, L.M.; Dror, A.A.; Mor, E.; Tenne, T.; Toren, G.; Satoh, T.; Biesemeier, D.J.; Shomron, N.; Fekete, D.M.; Hornstein, E.; et al. MicroRNAs are essential for development and function of inner ear hair cells in vertebrates. Proc. Natl. Acad. Sci. USA 2009, 106, 7915–7920. [Google Scholar] [CrossRef] [PubMed]
- Rudnicki, A.; Avraham, K.B. microRNAs: The art of silencing in the ear. EMBO Mol. Med. 2012, 4, 849–859. [Google Scholar] [CrossRef] [PubMed]
- Soukup, G.A. Little but loud: Small RNAs have a resounding affect on ear development. Brain Res. 2009, 1277, 104–114. [Google Scholar] [CrossRef] [PubMed]
- Jiang, H.; Sha, S.H.; Forge, A.; Schacht, J. Caspase-independent pathways of hair cell death induced by kanamycin in vivo. Cell Death Differ. 2006, 13, 20–30. [Google Scholar] [CrossRef] [PubMed]
- Mahmoodian Sani, M.R.; Hashemzadeh-Chaleshtori, M.; Saidijam, M.; Jami, M.S.; Ghasemi-Dehkordi, P. MicroRNA-183 family in inner ear: Hair cell development and deafness. J. Audiol. Otol. 2016, 20, 131–138. [Google Scholar] [CrossRef] [PubMed]
- Tan, P.X.; Du, S.S.; Ren, C.; Yao, Q.W.; Zheng, R.; Li, R.; Yuan, Y.W. MicroRNA-207 enhances radiation-induced apoptosis by directly targeting Akt3 in cochlea hair cells. Cell Death Dis. 2014, 5, e1433. [Google Scholar] [CrossRef] [PubMed]
- Lamouille, S.; Xu, J.; Derynck, R. Molecular mechanisms of epithelial-mesenchymal transition. Nat. Rev. Mol. Cell. Biol. 2014, 15, 178–196. [Google Scholar] [CrossRef] [PubMed]
- Wang, X.; Yu, M.; Zhao, K.; He, M.; Ge, W.; Sun, Y.; Wang, Y.; Sun, H.; Hu, Y. Upregulation of MiR-205 under hypoxia promotes epithelial-mesenchymal transition by targeting ASPP2. Cell Death Dis. 2016, 7, e2517. [Google Scholar] [CrossRef] [PubMed]
- Hulf, T.; Sibbritt, T.; Wiklund, E.D.; Patterson, K.; Song, J.Z.; Stirzaker, C.; Qu, W.; Nair, S.; Horvath, L.G.; Armstrong, N.J.; et al. Epigenetic-induced repression of microRNA-205 is associated with MED1 activation and a poorer prognosis in localized prostate cancer. Oncogene 2013, 32, 2891–2899. [Google Scholar] [CrossRef] [PubMed]
- Schacht, J.; Talaska, A.E.; Rybak, L.P. Cisplatin and aminoglycoside antibiotics: hearing loss and its prevention. Anat. Rec. 2012, 295, 1837–1850. [Google Scholar] [CrossRef] [PubMed]
- Ushakov, K.; Rudnicki, A.; Avraham, K.B. MicroRNAs in sensorineural diseases of the ear. Front. Mol. Neurosci. 2013, 6, 52. [Google Scholar] [CrossRef] [PubMed]
- Patel, M.; Cai, Q.; Ding, D.; Salvi, R.; Hu, Z.; Hu, B.H. The miR-183/Taok1 target pair is implicated in cochlear responses to acoustic trauma. PLoS ONE 2013, 8, e58471. [Google Scholar] [CrossRef] [PubMed]
- Karasawa, T.; Steyger, P.S. Intracellular mechanisms of aminoglycoside-induced cytotoxicity. Integr. Biol. 2011, 3, 879–886. [Google Scholar] [CrossRef] [PubMed]
- Liu, H.; Ding, D.L.; Jiang, H.Y.; Wu, X.W.; Salvi, R.; Sun, H. Ototoxic destruction by co-administration of kanamycin and ethacrynic acid in rats. J. Zhejiang Univ. Sci. B 2011, 12, 853–861. [Google Scholar] [CrossRef] [PubMed]
- Yu, L.; Tang, H.; Jiang, X.H.; Tsang, L.L.; Chung, Y.W.; Chan, H.C. Involvement of calpain-I and microRNA34 in kanamycin-induced apoptosis of inner ear cells. Cell Biol. Int. 2010, 34, 1219–1225. [Google Scholar] [CrossRef] [PubMed]
- Lee, S.H.; Choi, J.; Kim, H.; Lee, D.H.; Roh, G.S.; Kim, H.J.; Kang, S.S.; Choi, W.S.; Cho, G.J. FK506 reduces calpain-regulated calcineurin activity in both the cytoplasm and the nucleus. Anat. Cell Biol. 2014, 47, 91–100. [Google Scholar] [CrossRef] [PubMed]





© 2018 by the authors. Licensee MDPI, Basel, Switzerland. This article is an open access article distributed under the terms and conditions of the Creative Commons Attribution (CC BY) license (http://creativecommons.org/licenses/by/4.0/).
Share and Cite
Lee, S.H.; Ju, H.M.; Choi, J.S.; Ahn, Y.; Lee, S.; Seo, Y.J. Circulating Serum miRNA-205 as a Diagnostic Biomarker for Ototoxicity in Mice Treated with Aminoglycoside Antibiotics. Int. J. Mol. Sci. 2018, 19, 2836. https://doi.org/10.3390/ijms19092836
Lee SH, Ju HM, Choi JS, Ahn Y, Lee S, Seo YJ. Circulating Serum miRNA-205 as a Diagnostic Biomarker for Ototoxicity in Mice Treated with Aminoglycoside Antibiotics. International Journal of Molecular Sciences. 2018; 19(9):2836. https://doi.org/10.3390/ijms19092836
Chicago/Turabian StyleLee, Sun Hee, Hyun Mi Ju, Jin Sil Choi, Yeji Ahn, Suhun Lee, and Young Joon Seo. 2018. "Circulating Serum miRNA-205 as a Diagnostic Biomarker for Ototoxicity in Mice Treated with Aminoglycoside Antibiotics" International Journal of Molecular Sciences 19, no. 9: 2836. https://doi.org/10.3390/ijms19092836
APA StyleLee, S. H., Ju, H. M., Choi, J. S., Ahn, Y., Lee, S., & Seo, Y. J. (2018). Circulating Serum miRNA-205 as a Diagnostic Biomarker for Ototoxicity in Mice Treated with Aminoglycoside Antibiotics. International Journal of Molecular Sciences, 19(9), 2836. https://doi.org/10.3390/ijms19092836

