Abstract
We aimed to determine the potential damage mechanisms of exposure to widely used sodium hypochlorite (NaOCl) and the effects of Thymus vulgaris on this exposure. Rats were divided into six groups: control, T. vulgaris, 4% NaOCl, 4% NaOCl + T. vulgaris, 15% NaOCl, and 15% NaOCl + T. vulgaris. Serum and lung tissue samples were taken after applying NaOCl and T. vulgaris by inhalation twice a day for 30 min for four weeks. The samples were examined biochemically (TAS/TOS), histopathologically, and immunohistochemically (TNF-α). In serum TOS values, the mean of 15% NaOCl was significantly higher than in 15% NaOCl + T. vulgaris. This was the opposite in terms of serum TAS values. Histopathologically, there was a significant increase in lung injury in 15% NaOCl; significant improvement was observed in 15% NaOCl + T. vulgaris. Immunohistochemically, there was a significant increase in TNF-α expression in both 4% NaOCl and 15% NaOCl; significant decreases were observed in both 4% NaOCl + T. vulgaris and 15% NaOCl + T. vulgaris. The use of sodium hypochlorite, which is harmful to the lungs and is widely used in homes and industries, should be limited. In addition, using T. vulgaris essential oil by inhalation may protect against the harmful effects of sodium hypochlorite.
1. Introduction
Sodium hypochlorite (NaOCl) is a chemical compound composed of sodium, oxygen, and chlorine. It is used in the food industry, health care, purification of drinking water, endodontic treatment, disinfection, and bleaching [1,2]. It was used at 3–5% concentration in household disinfectants (bleach) [3], 0.5–10% in endodontic treatment [4], and 10–25% in fabric bleaching [5]. Household disinfectants are especially easy to access and widely used. Due to its strong oxidizing properties, NaOCl can cause significant risks from long-term exposure [6]. NaOCl has been proven to cause renal, gastrointestinal, haematological, and pulmonary toxicity [6], but studies demonstrating the adverse effects of NaOCl inhalation are insufficient [5]. Sodium hypochlorite inhalation exposure is common in households and industry due to using as a disinfectant. For this reason, there is a need for studies that reveal the harmful effects of exposure at different doses, taking into account the common usage areas of NaOCl.
It is stated that NaOCl has harmful effects on the pulmonary system [6]. In women with asthma, long-term use of cleansers containing NaOCl has been reported to increase the neutrophil count and cause airway symptoms [7]. NaOCl combines with the water in the mucous membranes of the respiratory tract to form hypochlorous acid. Hypochlorous acid rapidly produces hydrochloric acid and free oxygen radicals [8]. Despite this mechanism, there are mainly case reports in the literature on NaOCl. Information on inhalation exposure is very limited [5]. Inhalation of NaOCl has been reported to cause symptoms such as upper respiratory tract irritation, nausea and vomiting, coughing, irritation of the eyes and nose, dizziness, shortness of breath, and headaches [9]. Long-term use of bleach can cause asthma-like symptoms in some users without a history of allergy [7].
Plant extracts with positive physiological functions are used to eliminate the negative effects of various agents [10,11,12]. It is known that the components in essential oils (carvacrol, carvone, cinnamaldehyde, citral, psimen, eugenol, limonene, menthol, and thymol) do not pose a health risk for the consumer (Everything Added to Food in the US list) [13]. Thymus vulgaris (TV) is a perennial herb from the Lamiaceae family without significant side effects, found in central and southern Europe, Africa, and Asia [14]. The most effective components are thymol and carvacrol. Thymol (2-isopropyl-5-methyl phenol) is a monoterpene phenol, also known as “hydroxy cymene” [13]. Carvacrol (C6H3CH3) is a monoterpenoid phenol and has the characteristic odor of thyme. Carvacrol is safe to consume and is used as a natural additive to replace synthetic antioxidative food additives [15].
The aromatic oil of the T. vulgaris plant is thyme oil. It is used in traditional medicine to treat dyspepsia, chronic gastritis, diarrhea, and enuresis. It has antispasmodic, anthelmintic, antibacterial, antifungal, antiviral, anti-protozoan, anti-inflammatory, and antioxidant effects [16,17,18]. It also has antiasthmatic, bronchodilator, and expectorant effects on the respiratory system. In this respect, it is widely used to treat respiratory system diseases such as bronchopulmonary disorders [19].
NaOCl causes an increase in free oxygen radicals in tissues [7], and T. vulgaris oil has antioxidant, anti-inflammatory, etc. effects. It is known to positively affect the respiratory system [20]. For this reason, we aimed to determine the potential damage mechanisms of exposure to widely used NaOCl and the effects of T. vulgaris oil on this exposure by biochemical [total antioxidant status (TAS) and total oxidant status (TOS)], histopathological, and immunohistochemical (TNF-α) methods.
2. Results
The analysis certificate information of T. vulgaris, which is used as a preservative against sodium hypochlorite application, is shown in Table 1.
Table 1.
Certificate of analysis of T. vulgaris.
2.1. Biochemical Findings
TAS/TOS and OSI measurements showed a significant statistical difference between the groups (p < 0.05). According to the results of the Tukey test performed to determine which group the difference originated from, the following were found.
For the TAS measurement, the means of CG, TVG, and 15% N + TVG were statistically significantly higher than that of 15% NG. For the TOS measurement, the mean of 15% NG was statistically significantly higher than all other groups. For the OSI measurement, the mean of 15% NG was statistically significantly higher than all other groups (Table 2).
Table 2.
Statistical analysis of biochemical results between groups.
2.2. Histopathological Findings
In hematoxylin–eosin (HE) examinations of lung tissue sections, normal lung tissue histology was observed in CG and TVG. While mild fibrosis and inflammation were observed in the lung tissue in 4% NG, significant inflammation and fibrosis were observed in 15% NG. In 4% N + TVG, no significant change was observed in alveolar enlargement and fibrous band formation due to the lesser damage in 4% NG. A significant improvement was observed in 15% N + TVG regarding alveolar enlargement and fibrous band formation compared with 15% NG (Figure 1).
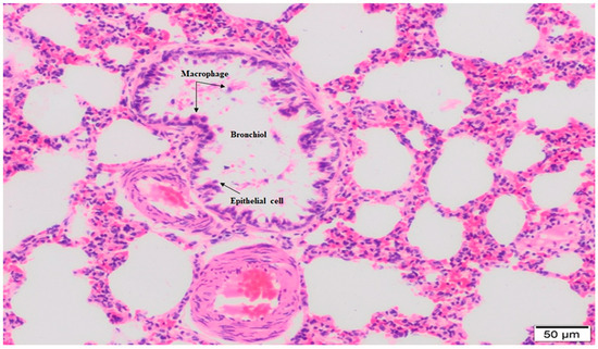
Figure 1.
In control and T. vulgaris group samples, mostly normal connective tissue formation was observed around the bronchioles. Mild fibrosis was observed in the 4% NaOCl group, and intense fibrosis in the 15% NaOCl group. In addition, inflammatory cells in the alveolar lumens of the lung tissue and inflammatory thickening in the interalveolar septum were detected in the 15% NaOCl group. These findings were not evident in the 4% NaOCl group. It was observed that intense fibrosis, inflammation, and other deterioration in the 15% NaOCl group were significantly reduced with T. vulgaris application.
In the lung tissue, 15% NG showed localized degeneration of the squamous and cubic cells lining the alveoli, epithelial eruptions in the alveolar spaces, and irregular enlargement due to the merging of the alveolar spaces. In addition, inflammatory thickening and destruction of the interalveolar septum, inflammatory cells in the alveolar lumens, diffuse macrophages, and neutrophils were observed. Intense fibrosis in the lung, significant edema in the bronchiolar epithelium, and the perivascular areas of the vessels accompanying the bronchioles were observed (Figure 2). Although similar histopathological findings were seen in 4% NG, they were not as significant as in 15% NG.
Figure 2.
Based on 15% NaOCl application in lung histology, fibrosis was observed in the connective tissue around the vessels, bronchi, and bronchioles. Deteriorations were observed in the terminal and respiratory bronchioles, epithelial and subepithelial connective tissue, and muscle cells below. More peripherally, alveoli were lined with squamous and cuboidal epithelium, and interalveolar septa were found to be of increased thickness. There was local congestion in the veins. Macrophages were occasionally observed in the interalveolar spaces (10× magnification).
In the lung tissue of 15% NG examined at large magnification, thickening of the interalveolar septum, increased vessels showing edema and congestion, stasis in the blood vessels, and cell infiltration in the interstitial area were observed. Diffuse interalveolar edema and irregular enlargement were observed in some areas due to the destruction and effacement of interalveolar septa and the merging of alveolar spaces. Type 2 pneumocytes and macrophages spilled into the alveoli were seen. Erythrocytes were observed in many capillary lumens (Figure 3).
Figure 3.
In the lung histology of the 15% NaOCl group, alveolar disruption, infiltrative cells around the vessels, and, in the alveolar area, interalveolar macrophages and neutrophils were observed. Hemorrhage, edema in the interstitial area, and disruption in the interalveolar septum were observed. It was observed that the alveoli were full, the continuity of the epithelium of the respiratory bronchioles was disrupted, and there was an increase in interstitial cells between the alveoli and edema around the vessels (20× magnification).
In the damage scoring between the groups, a significant increase was found, especially in 15% NG, and this damage was decreased with T. vulgaris application (Figure 4).
Figure 4.
Damage scoring and comparisons of the groups included in the study.
This difference between the groups was statistically significant between CG and 15% NG, TVG and 15% NG, 4% NG and 15% NG, and 15% NG and 15% N + TVG (Table 3).
Table 3.
Statistical analysis of biochemical results between groups.
2.3. Immunohistochemical Findings
As a result of immunohistochemical staining with TNF-α, mild expression was observed in the lung tissue of the control group and T. vulgaris group. In NaOCl-treated groups (4% NG and 15% NG), TNF-α expression was higher in the alveolar, bronchial, and bronchiolar epithelium, as well as in inflammatory cells, especially in alveolar macrophages. TNF-α expression was moderate in 4% NG and intense in 15% NG (Figure 5). TNF-α expression was significantly decreased in 4% N + TVG compared with 4% NG. Similarly, TNF-α expression was significantly decreased in 15% N + TVG compared with 15% NG (Figure 6).
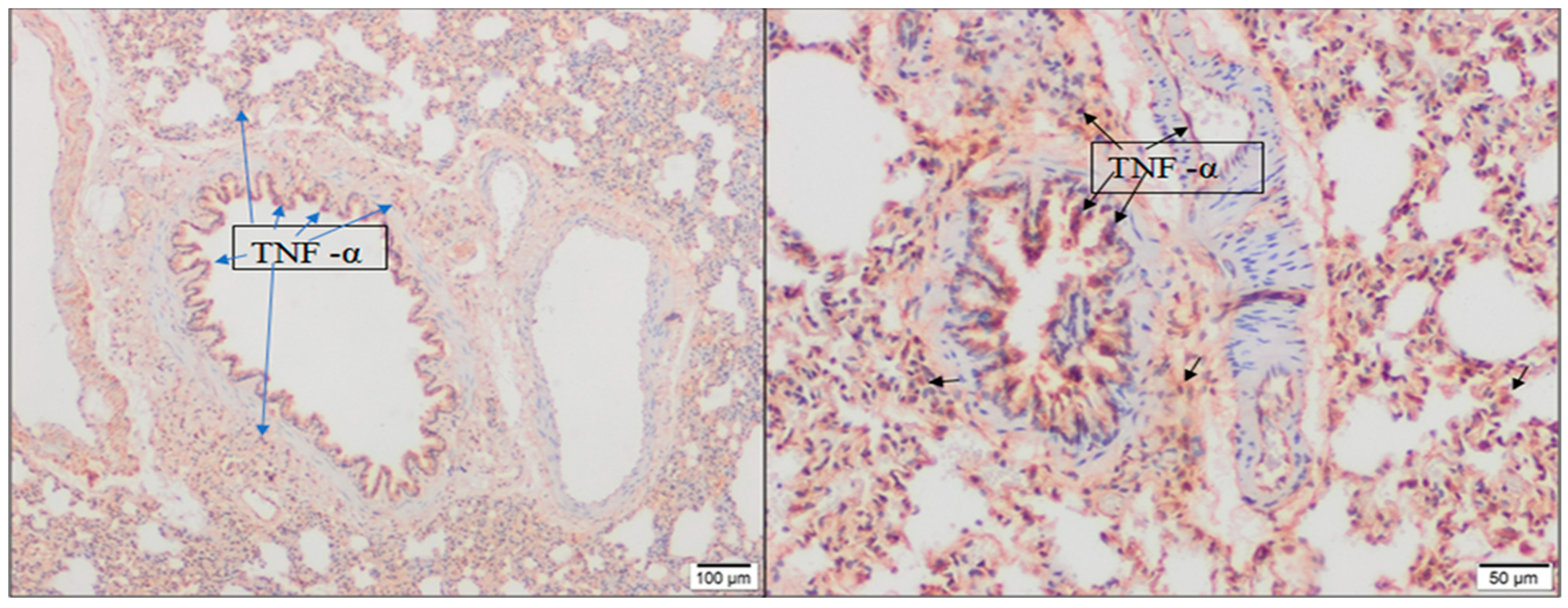
Figure 5.
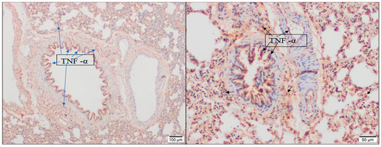
Intense TNF-α expression in alveoli, bronchial and bronchiolar epithelium, inflammatory cells (short black arrow) in lung tissue sections (10× and 20× magnification, respectively) in 15% NaOCl group.
Figure 6.
In CG and TVG, mild TNF-α expression was observed in the bronchiolar epithelium. In 4% NG and 15% NG, moderate and intense levels of TNF-α expression were observed in bronchiolar epithelium and macrophages in the alveolar lumen, respectively. 4% N + TVG and 15% N + TVG showed significant decreases in TNF-α expression.
In the H-scoring, in which the differences between the groups were evaluated, a significant expression increase was found in 4% NG and 15% NG, and it was observed that the expression levels were significantly decreased in 4% N + TVG and 15% N + TVG (Figure 7).
Figure 7.
Analysis of the groups in the study with H-score.
This difference between the groups was statistically significant between CG and 4% NG, TVG and 4% NG, CG and 15% NG, TVG and 15% NG, 4% NG and 4% N + TVG, and 15% NG and 15% N + TVG (Table 4).
Table 4.
Statistical analysis of H-scoring between groups.
3. Discussion
It is important to investigate the protective effects of natural aromatic oils such as T. vulgaris, which are known to have reparative effects on the respiratory system, on the potential damage mechanisms of NaOCl exposure due to inhalation in homes and industries. This study, in which we administered 4% and 15% NaOCl by inhalation, showed that NaOCl negatively affects lung tissue. The protective effect of T. vulgaris was examined by looking at rat lung tissues and blood serum levels. Biochemical, histopathological, and immunohistochemical positive effects of T. vulgaris application were detected in the 15% NaOCl-treated group. The positive effect of the same application in the group with 4% NaOCl was found to be only immunohistochemically significant.
NaOCl, widespread due to the COVID-19 pandemic, causes side effects in many systems, especially the respiratory system. Long-term exposure, especially to NaOCl inhalation, has been reported to cause severe lower respiratory tract symptoms [21]. NaOCl causes the formation of hydrochloric acid and free oxygen radicals in the mucous membranes of the respiratory tract. This situation causes cytotoxic damage by disrupting cellular proteins [8]. In this study, in accordance with the literature, it was observed that the application of 15% NaOCl statistically increased the TOS level in the serum (p < 0.05). Although there was an increase in TOS levels in the 4% NaOCl group, it was not statistically significant. The dose-dependent increase in TOS values in NaOCl exposure suggests that this exposure will cause more damage to the pulmonary system over time.
It is known that exposure to some agents has damaging effects on lung tissue [22,23]. It has been reported that NaOCl inhalation, which can be frequently encountered in routine life, causes mild irritation in the upper respiratory tract at low concentrations; at high concentrations, it causes serious side effects such as pulmonary edema and respiratory distress [5]. In addition, a study investigating the effect of NaOCl inhalation on the trachea found that 4% NaOCl administration caused reversible histopathological effects on the tracheal mucosa [24]. In our study, in accordance with the literature, low-dose NaOCl (4%) inhalation exposure did not cause significant histopathological changes in the lung tissue. Histopathologically, there was a significant increase in the findings of interstitial fibrosis and inflammation in the lung tissues of the group treated with high-dose NaOCl (15%) (p < 0.05). In addition, deterioration and irregular enlargement of the alveoli, disruption of the continuity of the bronchi and bronchiole epithelium, hemorrhage, and edema in the interstitial area were observed. Although some histopathological findings were observed in the 4% NaOCl group compared with the control group, it was not as significant as in the 15% NaOCl group. This situation makes us think that NaOCl application in lung tissue can be partially tolerated histopathologically at low doses, but this tolerance disappears when the dose is increased. Therefore, it can be said that the effect on the lung tissue will vary according to the NaOCl application time and concentration.
Although some agents used for various purposes today have beneficial effects, it has been proven by immunohistochemical methods that they cause side effects on some tissues [25]. On the other hand, studies showing the immunohistochemical effects of inhaled NaOCl on lung tissue were not found in the available literature. In our study, the immunohistochemical effects of NaOCl, widely used in households (4%) and industry (15%), on rat lungs were demonstrated by looking at TNF-α expression. A significant increase in expression was detected in both groups (15% group more prominent). This shows that NaOCl causes inflammatory effects at both low and high doses. That the more intense TNF-α expression immunohistochemically in the 15% NaOCl group was accompanied by more prominent histopathological findings (infiltrative cells in the alveolar lumens, inflammatory thickening in the interalveolar septum, widespread macrophages, and neutrophils) supports our opinion.
It is important to take protective measures or develop remedial practices against NaOCl exposure, which has negative effects and is frequently used in daily life. At this point, essential oils with antioxidant properties, such as T. vulgaris [22], can protect against the strong oxidizing effect of NaOCl [6]. It has been stated that the main components of T. vulgaris, thymol and carvacrol, have beneficial effects on the respiratory system. Thymol is excreted by respiration, and its free form is not found in plasma and urine. This component is known to be used in treating respiratory diseases [26,27]. Carvacrol, a powerful antioxidant, effectively prevents many diseases [28]. Studies have shown that, in addition to its antioxidant properties, carvacrol has anti-inflammatory, antitumor, analgesic, antihepatotoxic and antimicrobial effects [29].
It is stated that T. vulgaris can be used by inhalation in respiratory system diseases [27,30]. Thymus vulgaris inhalation therapy has increased oxygen saturation in mechanically ventilated patients. This method decreased the concentration of airway secretions and maximum airway pressure. In addition to these, the increase in ciliary activity and gas exchange in the respiratory tract in patients [31] suggests that these applications cause improvement at histopathological appearance.
In our study in which T. vulgaris treatment was applied against 4% NaOCl injury, it was observed that T. vulgaris had an anti-inflammatory effect on lung tissue. TNF-α expression, which was observed at moderate levels in the 4% NaOCl-treated group, showed a significant decrease with the administration of T. vulgaris. However, no significant histopathologic and biochemical differences were observed between these groups. This may be because the harmful effects of NaOCl on lung tissue are more dominant in terms of inflammation. Indeed, in a study investigating the antibacterial effect of T. vulgaris essential oil on Clavibacter michiganensis subsp. michiganensis, it was stated that this essential oil could be used as an antibacterial agent [32]. Another reason may be that the oxidative evaluation was examined in serum. Because NaOCl was administered by inhalation in our study, it can be thought that the first affected tissue will be the lung, and then the blood level will be affected. To understand this, new studies in which TAS and TOS levels will be evaluated in lung tissue can be planned.
In our study, significant improvements were observed in all parameters in the group treated with T. vulgaris and 15% NaOCl compared with the group treated with 15% NaOCl. This situation makes us think T. vulgaris has reparative effects against tissue damage. The decrease in the histopathological findings in the lung in the 15% NaOCl group with the administration of T. vulgaris supports our view. In addition, the decrease in inflammatory (TNF-α expression) and oxidative (TOS) findings in the group given 15% NaOCl, together with the administration of T. vulgaris, shows that this essential oil has strong anti-inflammatory and antioxidant effects on lung tissue. The significant increase in TAS values in the serum in 15% NaOCl + T. vulgaris group also supports this situation. The healing effects of thymol in T. vulgaris on the respiratory system [27] and carvacrol’s antioxidant and anti-inflammatory properties [29] may explain the reason for these positive effects.
4. Materials and Methods
4.1. Experimental Animals
The entire experimental study was carried out in accordance with the “Guide for the Care and Use of Laboratory Animals,” with the approval of Mersin University animal experiments local ethics committee, numbered 2021/19.
Thirty Wistar albino female rats weighing 200–250 g were used in the experiment. The animals were kept in plastic cages (200 × 350 × 450 mm3 in size) in a suitable room prepared for the experiment, providing a constant temperature of 24–25 °C and a twelve-hour (12 h) light-dark cycle. The animals were provided with access to water and standard feed ad libitum. Experiments were started after the animals were kept for one week to adapt to the environment.
4.2. Experimental Design
Before the experiment, the experimental animals (5 rats in each cage were randomly selected) were divided into six groups.
The control group (CG) was exposed to water vapor inhalation at a flow rate of 6 L/min for 30 min twice a day for four weeks.
The T. vulgaris group (TVG) was exposed to 0.25 mL T. vulgaris inhalation at a flow rate of 6 L/min for 30 min twice a day for four weeks.
The 4% NaOCl group (4% NG) was exposed to NaOCl (4% concentration) inhalation at a flow rate of 6 L/min for 30 min twice daily for four weeks.
The 4% NaOCl + T. vulgaris group (4% N + TVG) was exposed to inhalation of NaOCl (4% concentration) at a flow rate of 6 L/min and 0.25 mL of T. vulgaris 6 L/min for 30 min twice daily for four weeks.
The 15% NaOCl group (15% NG) was exposed to NaOCl (15% concentration) inhalation at a flow rate of 6 L/min for 30 min twice daily for four weeks.
The 15% NaOCl + T. vulgaris group (15% N + TVG) was exposed to NaOCl (15% concentration) at a flow rate of 6 L/min and 0.25 mL of T. vulgaris 6 L/min inhalation for 30 min twice a day for four weeks.
At the end of four weeks, rats in the experimental groups were administered ketamine hydrochloride at a dose of 80 mg/kg intramuscularly. Following intracardiac blood sampling, rats were sacrificed by cervical dislocation. During the sacrifice, 5 mL of blood was collected from all rats in plain biochemistry tubes with gels, centrifuged at 5000 rpm for 5–10 min, separated into sera, and stored in Eppendorf tubes at −80 °C until the day of analysis. In addition, rat lung tissue samples were removed for histologic examinations after sacrification and fixed in 10% formaldehyde.
4.3. NaOCI Preparation and Application
NaOCl (BRTR Chemistry Company, İzmir, Turkey) was prepared at 4% and 15% concentrations and administered twice a day, at 8.30 and 16.30, for 30 min (6 L/min), by inhalation using a nebulizer. Inhalation using a nebulizer has long been used to deliver various substances into the airways and lungs [33].
4.4. Preparation and Application of Thymus vulgaris Oil
Thymus vulgaris, a perennial medicinal plant, is used for nutrapharmaceutical purposes. This plant, which grows mostly in warm temperate and mountainous regions, occurs in parts of Asia, Europe, and northern Africa [34].
Essential oils such as thyme oil are usually used by inhalation, due to their volatile properties. This process is carried out directly or indirectly through the respiratory tract. Due to its irritating and spasmolytic properties on the respiratory tract, the administration of essential oils with a diffuser is a preferred method [35]. Considering similar studies [31], pure T. vulgaris oil (Talya Company, Antalya, Turkey), was prepared in 5 drops of 10 mL distilled water and administered by inhalation (TVG, 4% N + TVG and 15% N + TVG groups) using a nebulizer twice a day for 30 min (6 L/min) at 8.30 and 16.30.
Two specially designed cages were used during inhalation procedures [33]. The small cage dimensions were 235 × 325 × 170 mm3, and the large cage dimensions were 292 × 440 × 200 mm3. Rats were placed in the small cage, the large cage was closed on top of the small cage, and a nebulizer was placed inside the large cage. After the nebulizer was placed in the large cage and subjected for about 5 min, the rats were placed in the large cage together with the small cage.
4.5. Biochemical Applications and Laboratory Analysis
Serum samples were thawed on the day of the experiment, and TAS/TOS levels were measured and OSI (oxidative stress index) parameters were calculated according to the procedure below. Serum TAS (Unit: μmol Trolox Eq/L) level analysis was analyzed colorimetrically in a Siemens Advia 2400 brand automatic analyzer at 660 nm using commercial kits (Rel Assay Diagnostics brand, TEST KIT Catalog no. RL0017 LOT.: RL024) suitable for rats. Serum TOS (Unit: μmol H2O2 Eq/L) level analysis was analyzed colorimetrically in a Siemens Advia 2400 brand automatic analyzer at 530 nm using commercial kits (Rel Assay Diagnostics brand, ASSAY KIT Catalog no. RL0024 LOT: RL026) suitable for rats. The TOS values of the samples were proportioned to the TAS values in percent and the OSI values were calculated [OSI (arbitrary unit, AU) = (TOS, μmol H2O2 Eq/L)/(TAS, μmol Trolox Eq/L)].
4.6. Histopathological Tissue Follow-Up
Lung tissue samples were first fixed in a 10% neutral buffer formaldehyde solution for light microscopic examination. After fixation, tissue samples were placed in cassettes and washed under running water for 2 h. To remove water, tissues were passed through a series of increasing degrees of alcohol (60%, 70%, 80%, 90%, 96%, and 100%). The tissues were then passed through xylol for transparency and then embedded in paraffin. Sections were taken from the paraffin-embedded tissues with a rotary microtome (RM 2135, Leica Instruments, Nussloch, Germany).
4.7. Staining and Damage Scoring with Hematoxylin-Eosin
Sections taken from the experimental groups were kept in an oven at 60 °C for 60 min, and then they were removed from xylol for 3 × 5 min and cleared of paraffin. Afterward, laminas were passed through decreasing series of alcohol (100%, 96%, 90%, 70%) and washed in running water for 1 min, then stained in Harris hematoxylin for 2 min and washed in running water for 2 × 2 min. They were dipped in a 1% ammonia-water mixture and washed in running water for 1 min. Laminas were kept in eosin for 2 min, passed through a series of increasing grades of alcohol (70%, 80%, 96%, 100%), taken into xylol for 2 × 1 min, and closed with entellan. Then, the groups were evaluated by examining them under a light microscope.
Blinded scoring was performed to evaluate the pulmonary lesion. The degree of fibrosis in the lung parenchyma was determined. Fibrosis in the lung interstitium was graded as: 0 = “normal lung”; Grade 1 = “minimal fibrous thickening of the alveolar or bronchial walls”; Grades 2 and 3 = “moderate thickening of the lung walls with no obvious damage to the lung”; Grades 4 and 5 = “increasing fibrosis and fibrous band formation with significant damage to the lung structure”; Grades 6 and 7 = “large fibrous areas and severe structural distortion in the lung” and “honeycomb appearance in the lung”; and Grade 8 = “fibrotic obliteration in the total area” [36]. The difference between the findings obtained and the groups were determined by the one-way-ANOVA test, and p < 0.05 was considered statistically significant.
4.8. Immunohistochemical Staining
Sections of 4 μm thickness were taken from the lung tissue paraffin blocks on laminas. After the sections were kept in an oven at 60 °C for 1 h, they were deparaffinized by taking xylol for 3 × 5 min. Afterward, laminas were passed through decreasing series of alcohols and rehydrated (100%, 96%, 80%, 70%). The sections were rinsed with distilled water twice for 1 min to purify them from alcohol. In order to unmask the antigen, 1/10 diluted CitratBuffer (PH:6) (AP-9003-999, Thermo Fisher Scientific, Waltham, MA, USA) was applied with the PT Module (A80400012 LabVision, București, Romania). In the IHC Stainer, the laminas were attached to the rack slots and the cover plate. Washing was done with PBS for 5 min. The endogenous peroxidase activity of lung tissues left active with 3% hydrogen peroxide (TA-125-HP, Thermo Scientific, Fremont, CA, USA) for 10 min was blocked. It was washed with PBS. Protein was blocked (TA-125-PBQ, Thermo Fisher Scientific, USA) for 10 min. It was incubated with anti-TNF-α antibody (ab269772 Abcam, Cambridge, UK) (Dilue:1/100) for 2 h. Washing was done with PBS for 5 min. It was incubated in Amplifier Quanto (TL-125-QPB, Thermo Fisher Scientific, Waltham, MA, USA) for 20 min and incubated in HRP Polymer Quanto (TL-125-QPH, Thermo Fisher Scientific, MA, USA) for 30 min. Washing was done with PBS at each step. Staining was performed with DAB Chromogen (TA-125-HA, Thermo Scientific, USA) to identify positive cells. Hematoxylin (HHS32, Chemical Co., St. Louis, MO, USA) was applied for 1 min for floor staining. It was washed with distilled water for 2 × 1 min. The laminas were passed through a series of ascending grades of alcohol (70%, 80%, 96%, 100%), taken into xylol for 2 × 1 min, and closed with entellan.
Immunohistochemical staining results were analyzed with the H-score (possible range 0–300), and the staining rate was graded semiquantitatively. H SCORE = ∑Pi(I + 1). Here, ‘I’ represents the staining intensity (0 = no expression, 1 = light, 2 = medium, 3 = intense), and Pi is the percentage of cells stained for each intensity. Then, the total score was calculated with the formula “(1 + staining intensity/3) × staining ratio” [37].
4.9. Statistical Analysis
The conformity of the measurements obtained to the normal distribution was examined with the Kolmogorov–Smirnov test. The means of the measurements according to the groups and whether the difference between these averages was significant was examined by one-way analysis of variance. The Tukey test was used to determine the group that made a significant difference. Analyses were performed with SPSS 20.0 software (IBM, Chicago, IL, USA) at the 95% confidence level.
5. Limitations
Since the study was conducted on experimental animals, the number of groups and the duration of the study were limited. Regarding the reliability of the results, the study can be made more comprehensive by increasing the number and study time. Secondly, the study used TNF-α immunohistochemically, and TAS and TOS parameters were used biochemically. The study can be enriched using different inflammatory, oxidant, and antioxidant parameters. Thirdly, the best protective dose can be determined by trying different doses of T. vulgaris applications against 4% and 15% NaOCl damage.
6. Conclusions
In our study, we showed immunohistochemically that NaOCl has inflammatory effects in lung tissue at both low and high doses. At the same time, it was demonstrated by histopathological and biochemical (TAS and TOS) parameters that NaOCl causes lung tissue damage and oxidation at high doses. In response to these effects of NaOCl, we found that T. vulgaris has anti-inflammatory, antioxidant, and tissue damage-reducing effects. In this context, the study is valuable in showing the damage to the lung tissue in NaOCl inhalation exposure and reducing this damage by T. vulgaris. In light of these data, we believe that it is important to reconsider the concentrations of NaOCl-containing products commonly used in industry and at home and raise clinicians’ awareness about the complications that may occur against this agent.
Author Contributions
All authors contributed to the study conception and design. G.B.: Project development, Data collection, Manuscript writing. F.T.: Data collection, Manuscript writing. N.Ö.A.: Project development, Data analysis. All authors have read and agreed to the published version of the manuscript.
Funding
The study was supported by the Siirt University Scientific Research Project Office (No: 2021-SIÜTIP-061).
Institutional Review Board Statement
The study was carried out with the approval of Mersin University Animal Experiments Local Ethics Committee on 12.04.2021 with the number ‘19’. All applications were carried out taking into account the ethical rules and the Declaration of Helsinki.
Informed Consent Statement
Informed consent was obtained from all individual participants included in the study.
Data Availability Statement
The datasets used during the current study are available from the corresponding author upon reasonable request.
Conflicts of Interest
The authors declare no conflict of interest.
Sample Availability
Samples of the compounds are not available from the authors.
References
- Racioppi, F.; Daskaleros, P.A.; Besbelli, N. Household bleaches based on sodium hypochlorite: Review of acute toxicology and poison control center experience. Food Chem. Toxicol. 1994, 32, 845–861. [Google Scholar] [CrossRef] [PubMed]
- Guivarc’H, M.; Ordioni, U.; Ahmed, H.M.A.; Cohen, S.; Catherine, J.-H.; Bukiet, F. Sodium hypochlorite accident: A systematic review. J. Endod. 2017, 43, 16–24. [Google Scholar] [CrossRef] [PubMed]
- Piskin, B.; Turkun, M. Stability of various sodium hypochlorite solutions. J. Endod. 1995, 21, 253–255. [Google Scholar] [CrossRef] [PubMed]
- Frais, S.; Ng, Y.L.; Gulabivala, K. Some factors affecting the concentration of available chlorine in commercial sources of sodium hypochlorite. Int. Endod. J. 2001, 34, 206–215. [Google Scholar] [CrossRef] [PubMed]
- Slaughter, R.J.; Watts, M.; Vale, J.A.; Grieve, J.R.; Schep, L.J. The clinical toxicology of sodium hypochlorite. Clin. Toxicol. 2019, 57, 303–311. [Google Scholar] [CrossRef]
- Peck, B.; Workeneh, B.; Kadikoy, H.; Patel, S.J.; Abdellatif, A. Spectrum of sodium hypochlorite toxicity in man also a concern for nephrologists. Nephrol. Dial. Transpl. 2011, 4, 231–235. [Google Scholar] [CrossRef]
- Matulonga, B.; Rava, M.; Siroux, V.; Bernard, A.; Dumas, O.; Pin, I.; Zock, J.-P.; Nadif, R.; Leynaert, B.; Le Moual, N. Women using bleach for home cleaning are at increased risk of non-allergic asthma. Respir. Med. 2016, 117, 264–271. [Google Scholar] [CrossRef]
- Agabiti, N.; Ancona, C.; Forastiere, F.; Di Napoli, A.; Presti, E.L.; Corbo, G.M.; D’Orsi, F.; A Perucci, C. Short term respiratory effects of acute exposure to chlorine due to a swimming pool accident. Occup. Environ. Med. 2001, 58, 399–404. [Google Scholar] [CrossRef]
- Stedtler, U.; Hermanns-Clausen, M. Inhalation injury by chlorine generated by mixtures of hypochlorite. Clin. Toxicol. 2016, 4, 396–399. [Google Scholar]
- Motevasel, M.; Okhovat, A.; Zomorodian, K.; Farshad, S. Antibacterial Effect of Zataria multiflora Extract on MRSA. Iran. South Med. J. 2014, 17, 900–906. [Google Scholar]
- Sigaroodi, F.; Jarvandi, S. Therapeutic indication of medicinal plants. Arjmand 2015, 4, 264. [Google Scholar]
- Momeni, T.; Shahrokhi, N. (Eds.) Essential Oils and Their Therapeutic Effects; Tehran University Press: Tehran, Iran, 1998; pp. 1–8. [Google Scholar]
- Marchese, A.; Orhan, I.E.; Daglia, M.; Barbieri, R.; Di Lorenzo, A.; Nabavi, S.F.; Gortzi, O.; Izadi, M. Antibacterial and antifungal activities of thymol: A brief review of the literature. Food Chem. 2016, 210, 402–414. [Google Scholar] [CrossRef]
- Figueiredo, A.C.; Barroso, J.G.; Pedro, L.G.; Salgueiro, L.; Miguel, M.G.; Faleiro, M.L. Thymbra and Thymus species volatiles: Chemical composition and biological activities. Curr. Pharm. Des. 2008, 14, 3120–3140. [Google Scholar] [CrossRef]
- Burt, S. Essential oils: Their antibacterial properties and potential applications in foods—A review. Int. J. Food Microbiol. 2004, 94, 223–253. [Google Scholar] [CrossRef]
- Rustaiyan, A.; Masoudi, S.; Monfared, A.; Kamalinejad, M.; Lajevardi, T.; Sedaghat, S.; Yari, M. Volatile constituents of three Thymus species grown wild in Iran. Planta Med. 2000, 66, 197–198. [Google Scholar] [CrossRef]
- Milovanovic, S.; Stamenic, M.; Markovic, D.; Radetic, M.; Zizovic, I. Solubility of thymol in supercritical carbon dioxide and its impregnation on cotton gauze. J. Supercrit. Fluids 2013, 84, 173–181. [Google Scholar] [CrossRef]
- Zhu, P.; Chen, Y.; Fang, J.; Wang, Z.; Xie, C.; Hou, B.; Chen, W.; Xu, F. Solubility and solution thermodynamics of thymol in six pure organic solvents. J. Chem. 2016, 92, 198–206. [Google Scholar] [CrossRef]
- Pina-Vaz, C.; Rodrigues, A.G.; Pinto, E.; Costa-De-Oliveira, S.; Tavares, C.; Salgueiro, L.; Cavaleiro, C.; Goncalves, M.; Martinez-De-Oliveira, J. Antifungal activity of Thymus oils and their major compounds. J. Eur. Acad. Derm. 2004, 18, 73–78. [Google Scholar] [CrossRef]
- Miura, K.; Kikuzaki, H.; Nakatani, N. Antioxidant activity of chemical components from sage (Salvia officinalis L.) and thyme (Thymus vulgaris L.) measured by the oil stability index method. J. Agric. Food Chem. 2002, 50, 1845–1851. [Google Scholar] [CrossRef]
- Chung, I.; Ryu, H.; Yoon, S.-Y.; Ha, J.C. Health effects of sodium hypochlorite: Review of published case reports. Environmental Analysis. Health Toxicol. 2022, 37, 15–21. [Google Scholar]
- Pandur, E.; Micalizzi, G.; Mondello, L.; Horváth, A.; Sipos, K.; Horváth, G. Antioxidant and Anti-Inflammatory Effects of Thyme (Thymus vulgaris L.) Essential Oils Prepared at Different Plant Phenophases on Pseudomonas aeruginosa LPS-Activated THP-1 Macrophages. Antioxidants 2022, 11, 1330. [Google Scholar] [CrossRef] [PubMed]
- Gedikli, S.; Erbaş, E. Protective Effects of Naringin on Lung Toxicity Induced by 5-Fluorouracil in Rats. Kocatepe Vet. J. 2021, 14, 16–25. [Google Scholar] [CrossRef]
- Isaac, M.R.; Rady, H.Y.; Saad, S.A. Effect of Sodium Hypochlorite Inhalation on the Structure of Tracheal Mucosa in Adult Male Albino Rats and the Possible Reversibility upon Recovery. Egypt. J. Histol. 2022, 5, 68–74. [Google Scholar] [CrossRef]
- Kaymak, E.; Karabulut, D.; Öztürk, E.; Akin, A.T.; Kuloğlu, N.; Yakan, B. Vitamin B12 Alleviates Methotrexate-Induced Lung Injury In Rat: A Histopathological, Immunohistochemical, And Biochemical Study. Turk. Bull. Hyg. Exp. Biol. 2022, 79, 81–92. [Google Scholar] [CrossRef]
- Kohlert, C.; Schindler, G.; März, R.; Abel, G.; Brinkhaus, B.; Derendorf, H.; Gräfe, E.-U.; Veit, M. Systemic availability and pharmacokinetics of thymol in humans. J. Clin. Pharm. 2002, 42, 731–737. [Google Scholar] [CrossRef]
- Smejkal, K.; Rjaskova, V. Use of plant extracts as an efficient alternative therapy of respiratory tract infections. Ceska Slov. Farm. 2016, 65, 139–160. [Google Scholar]
- Liang, W.Z.; Lu, C.H. Carvacrol-induced [Ca2+] i rise and apoptosis in human glioblastoma cells. Life Sci. 2012, 90, 703–711. [Google Scholar] [CrossRef]
- Melusova, M.; Slamenova, D.; Kozics, K.; Jantova, S.; Horvathova, E. Carvacrol and rosemary essential oil manifest cytotoxic, DNA-protective and pro-apoptotic effect having no effect on DNA repair. Neoplasma 2014, 6, 690–699. [Google Scholar] [CrossRef]
- Boskabady, M.H.; Aslani, M.R.; Kiani, S. Relaxant effect of Thymus vulgaris on guinea-pig trachealchains and its possible mechanism(s). Phytother. Res. 2006, 20, 28–33. [Google Scholar] [CrossRef]
- Ghahremani-Chabok, A.; Bagheri-Nesami, M.; Shorofi, S.; Mousavinasab, S.; Gholipour-Baradari, A.; Saeedi, M. The effects of Thymus vulgaris inhalation therapy on airway status and oxygen saturation of patients under mechanical ventilation: A randomized clinical trial. Adv. Integr. Med. 2020, 2, 86–91. [Google Scholar] [CrossRef]
- Belgüzar, S.; Yılar, M.; Yanar, Y.; Doğar, G. Antibacterial activities of Thymus vulgaris L.(Thyme) extract and essential oil againt Clavibacter michiganensis subsp. michiganensis. Turk. J. Weed Sci. 2016, 19, 20–27. [Google Scholar]
- Ueno, H.; Suemitsu, S.; Murakami, S.; Kitamura, N.; Wani, K.; Takahashi, Y.; Matsumoto, Y.; Okamoto, M.; Ishihara, T. Behavioural effects of inhalation exposure to dizocilpine (MK-801) in mice. Biomed. Pharmacother. 2019, 117, 109038. [Google Scholar] [CrossRef]
- Farooq Anwar, M.; Mehmood, T.; Qadir, R.; Riaz, M. Phenolics profiling and biological activities of different solvent extracts from aerial parts of wild thyme (Thymus vulgaris L.). J. Food Meas. Charact. 2022, 16, 610–618. [Google Scholar]
- Kurt, N.C.; Çankaya, İ.İ. Aromatherapy Applications and Essential Oils. Lokman Hekim J. Hist. Med. Folk Med. 2021, 11, 230–241. [Google Scholar]
- Bahri, S.; Mlika, M.; Nahdi, A.; Ben Ali, R.; Jameleddine, S. Thymus Vulgaris Inhibit Lung Fibrosis Progression and Oxidative Stress Induced by Bleomycin in Wistar Rats. Nutr. Cancer 2021, 74, 1420–1430. [Google Scholar] [CrossRef]
- Agarwal, S.; Kardam, S.; Chatterjee, P.; Kumar, C.; Boruah, M.; Sharma, M.C.; Tabin, M.; Ramakrishnan, L. CaSR expression in normal parathyroid and PHPT: New insights into pathogenesis from an autopsy-based study. J. Endocrinol. Investig. 2022, 45, 337–346. [Google Scholar] [CrossRef]
Disclaimer/Publisher’s Note: The statements, opinions and data contained in all publications are solely those of the individual author(s) and contributor(s) and not of MDPI and/or the editor(s). MDPI and/or the editor(s) disclaim responsibility for any injury to people or property resulting from any ideas, methods, instructions or products referred to in the content. |
© 2023 by the authors. Licensee MDPI, Basel, Switzerland. This article is an open access article distributed under the terms and conditions of the Creative Commons Attribution (CC BY) license (https://creativecommons.org/licenses/by/4.0/).






