Molecular Interaction Studies and Phytochemical Characterization of Mentha pulegium L. Constituents with Multiple Biological Utilities as Antioxidant, Antimicrobial, Anticancer and Anti-Hemolytic Agents
Abstract
1. Introduction
2. Results and Discussion
2.1. GC-MS and HPLC Analysis of M. pulegium Extract
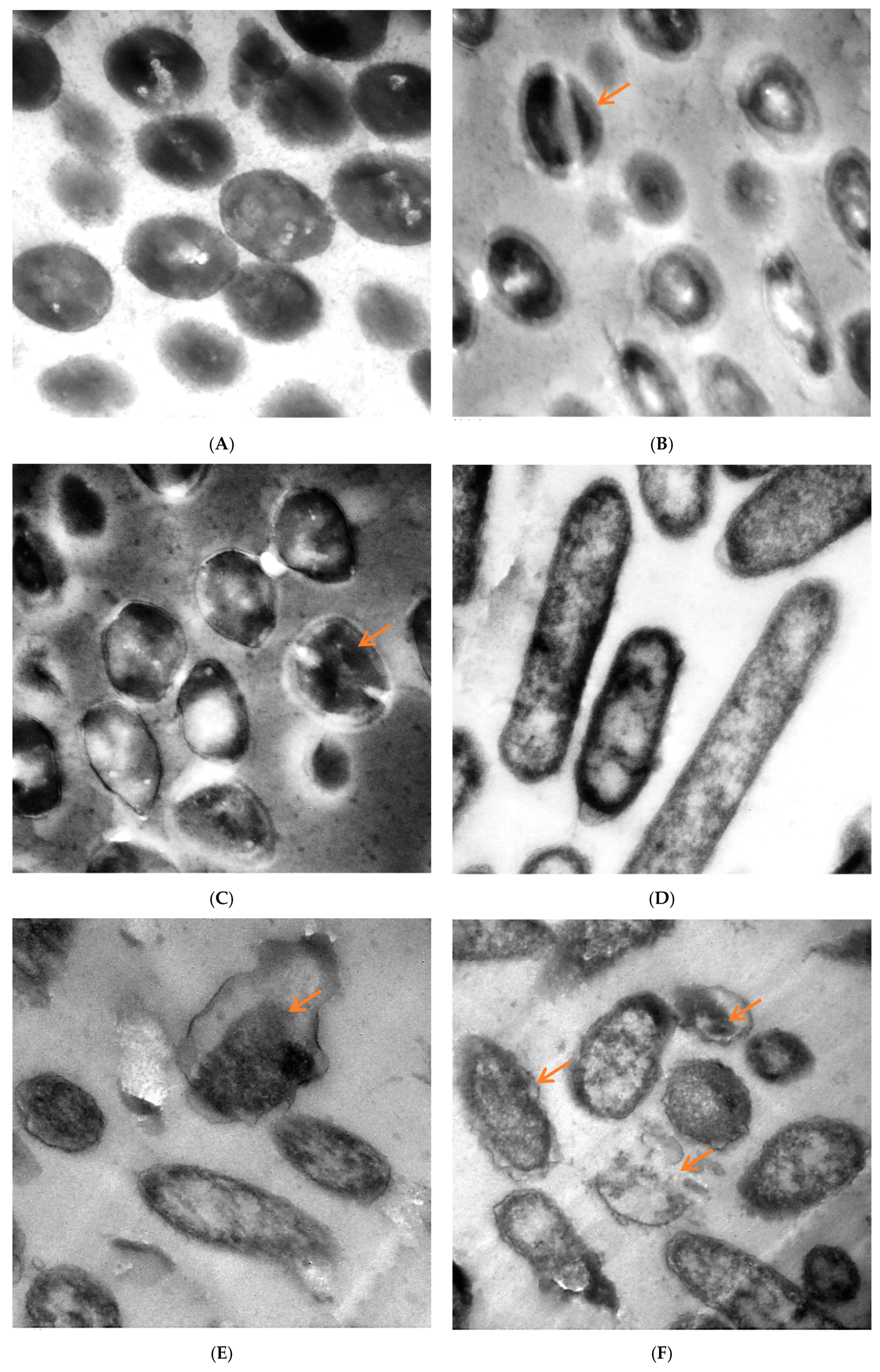
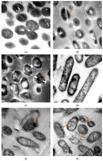
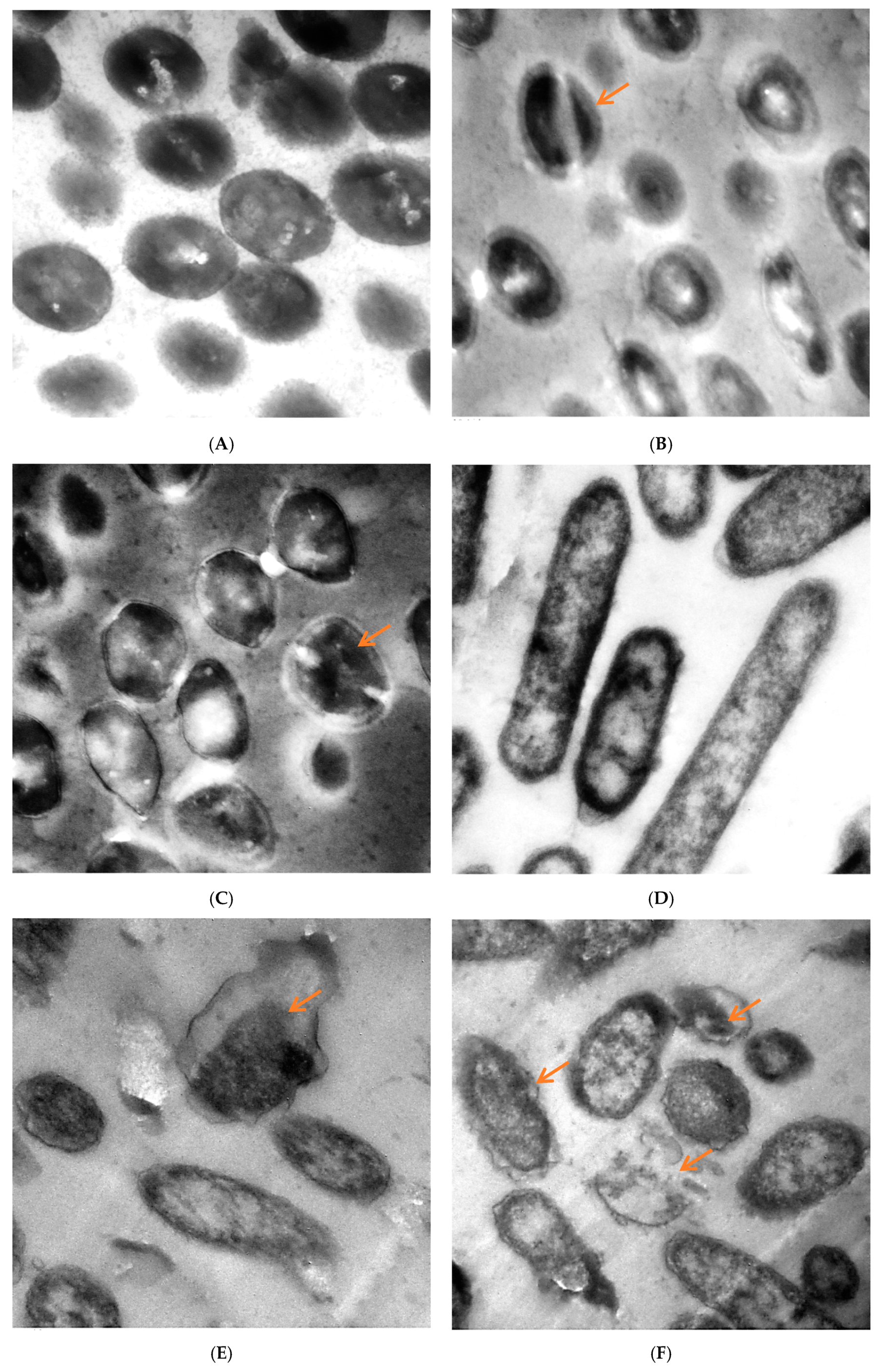
2.2. Antimicrobial Potential of M. pulegium Extract
2.3. Antioxidant Activity of M. pulegium Extract
2.4. Hemolysis Inhibition by M. pulegium Extract
2.5. Anticancer Activity of M. pulegium Extract
2.6. Molecular Modeling: Docking Study
3. Material and Methods
3.1. Collected Plant Samples and Process of Extraction
3.2. Analysis of M. pulegium Extract by Gas Chromatography-Mass Spectrometry (GC-MS)
3.3. High-Performance Liquid Chromatography (HPLC) for Flavonoid and Phenolic Contents Determination
3.4. Antimicrobial Potential of M. pulegium Extract
3.5. Antioxidant Activity of M. pulegium Extract
3.6. Anti-Hemolytic Activity Evaluation of M. pulegium Extract In Vitro
3.7. Coagulate Activity Evaluation of M. pulegium Extract In Vitro
3.8. Antitumor Assay and Morphological Characteristics of the Treated Cancer Cells
3.9. Molecular Docking
- Removing the water molecules and co-ligand from the active site of the protein.
- Addition of hydrogen atoms to the structure, with standard geometry.
- Using the MOE site finder to generate the active binding sites, to create the dummy sites as the binding pocket.
- Saving the obtained pocket was saved in MOE, to be used for predicting the ligand protein.
3.10. Statistical Analysis
4. Conclusions
Author Contributions
Funding
Institutional Review Board Statement
Informed Consent Statement
Data Availability Statement
Acknowledgments
Conflicts of Interest
Sample Availability
Abbreviations
| HPLC | High-performance liquid chromatography |
| GC-MS | Gas Chromatography-Mass Spectrometry |
| RT | Retention Time |
| MIC | Minimum inhibitory concentration |
| DPPH | 2-Diphenyl-1-picryl-hydrazyl-hydrate |
| PT | Prothrombin time |
| APTT | Activated partial thromboplastin time |
| IZ | Inhibition zone |
| DMSO | Dimethyl sulfoxide |
| TEM | Transmission Electron Microscopy |
| SD | Standard deviation |
| SE | Standard error |
| AD1 | Absorbance of treated sample in the isotonic solution |
| AD2 | Absorbance of treated sample in the hypotonic solution |
| PBS | phosphate buffered saline |
| AD3 | Absorbance of control treated sample in the hypotonic solution |
| O.D | Optical density |
| RPMI | Roswell Park Memorial Institute |
| MCF7 | Michigan Cancer Foundation-7 |
| PC3 | Prostate cancer cell |
| MOE | Molecular Operating Environment |
| RMSD | Root mean square deviation |
| GBVI/WSA | Generalized-Born Volume Integral/Weighted Surface area |
References
- Abdelghany, T.M.; Eman, M.E.T.; El-Sheikh, H.H. Efficacy of fungal rust disease on willow plant in Egypt. Aust. J. Basic Appl. Sci. 2009, 3, 1527–1539. [Google Scholar]
- Abdelghany, T.M. Eco-friendly and safe role of Juniperus procera in controlling of fungal growth and secondary metabolites. J. Plant Pathol. Microbiol. 2014, 5, 231. [Google Scholar]
- Abdelghany, T.M. Safe food additives: A review. J. Biol. Chem. Res. 2015, 32, 402–437. [Google Scholar]
- Brahmi, F.; Khodir, M.; Mohamed, C.; Pierre, D. Chemical Composition and Biological Activities of Mentha Species. In Aromatic and Medicinal Plants-Back to Nature; London, UK, 2017; pp. 47–49. Available online: https://www.intechopen.com/books/5612 (accessed on 19 July 2022).
- Marzouk, M.M.; Hussein, S.R.; Elkhateeb, A.; El-shabrawy, M.; Abdel-Hameed, E.S.; Kawashty, S.A. Comparative study of Mentha species growing wild in Egypt: LC-ESI-MS analysis and chemosystematic significance. J. App. Pharm. Sci. 2018, 8, 116–122. [Google Scholar] [CrossRef][Green Version]
- Teixeira, B.; Marques, A.; Ramos, C.; Batista, I.; Serrano, C.; Matos, O.; Neng, N.R.; Nogueira, J.M.; Saraiva, J.A.; Nunes, M.L. European pennyroyal (Mentha pulegium) from Portugal: Chemical composition of essential oil and antioxidant and antimicrobial properties of extracts and essential oil. Ind. Crop. Prod. 2012, 36, 81–87. [Google Scholar] [CrossRef]
- Caputo, L.; Cornara, L.; Raimondo, F.; De Feo, V.; Vanin, S.; Denaro, M.; Trombetta, D.; Smeriglio, A. Mentha pulegium L.: A Plant Underestimated for Its Toxicity to Be Recovered from the Perspective of the Circular Economy. Molecules 2021, 26, 2154. [Google Scholar] [CrossRef] [PubMed]
- Boukhebti, H.; Chaker, A.N.; Belhadj, H.; Sahli, F.; Ramdhani, M.; Laouer, H.; Harzallah, D. Chemical composition and antibacterial activity of Mentha pulegium L. and Mentha spicata L. essential oils. Der Pharm. Lett. 2011, 3, 267–275. [Google Scholar]
- Baali, F.; Boumerfeg, S.; Napoli, E.; Boudjelal, A.; Righi, N.; Deghima, A.; Baghiani, A.; Ruberto, G. Chemical Composition and Biological Activities of Essential Oils from Two Wild Algerian Medicinal Plants: Mentha pulegium L. and Lavandula stoechas L. J. Essent. Oil Bear. Plants 2019, 22, 821–837. [Google Scholar] [CrossRef]
- Patti, F.; Palmioli, A.; Vitalini, S.; Bertazza, L.; Redaelli, M.; Zorzan, M.; Rubin, B.; Mian, C.; Bertolini, C.; Iacobone, M.; et al. Anticancer Effects of Wild Mountain Mentha longifolia Extract in Adrenocortical Tumor Cell Models. Front. Pharmacol. 2020, 10, 1647. [Google Scholar] [CrossRef] [PubMed]
- Alharbi, N.K.; Naghmouchi, S.; Al-Zaban, M. Evaluation of Antimicrobial Potential and Comparison of HPLC Composition, Secondary Metabolites Count, and Antioxidant Activity of Mentha rotundifolia and Mentha pulegium Extracts. Evid.-Based Complement. Altern. Med. 2021, 2021, 9081536. [Google Scholar] [CrossRef]
- Sebai, E.; Serairi, R.; Saratsi, K.; Abidi, A.; Sendi, N.; Darghouth, M.A.; Wilson, M.S.; Sotiraki, S.; Akkari, H. Hydro-Ethanolic Extract of Mentha pulegium Exhibit Anthelmintic and Antioxidant Proprieties In Vitro and In Vivo. Acta Parasitol. 2020, 65, 375–387. [Google Scholar] [CrossRef] [PubMed]
- El Hassani, F.Z. Characterization, activities, and ethnobotanical uses of Mentha species in Morocco. Heliyon 2020, 6, e05480. [Google Scholar] [CrossRef] [PubMed]
- Piras, A.; Porcedda, S.; Falconieri, D.; Maxia, A.; Gonçalves, M.; Cavaleiro, C.; Salgueiroet, L. Antifungal activity of essential oil from Mentha spicata L. and Mentha pulegium L. growing wild in Sardinia island (Italy). Nat. Prod. Res. 2021, 35, 993–999. [Google Scholar] [CrossRef] [PubMed]
- Bektašević, M.; Politeo, O.; Carev, I. Comparative Study of Chemical Composition, Cholinesterase Inhibition and Antioxidant Potential of Mentha pulegium L. Essential Oil. Chem. Biodivers. 2021, 18, e2000935. [Google Scholar] [CrossRef] [PubMed]
- Garcia-Oliveira, P.; Otero, P.; Pereira, A.; Chamorro, F.; Carpena, M.; Echave, J.; Fraga-Corral, M.; Simal-Gandara, J.; Prieto, M. Status and Challenges of Plant-Anticancer Compounds in Cancer Treatment. Pharmaceuticals 2021, 14, 157. [Google Scholar] [CrossRef] [PubMed]
- Bakri, M.M.; El-Naggar, M.A.; Helmy, E.A.; Ashoor, M.S.; Ghany, T.M.A. Efficacy of Juniperus procera Constituents with Silver Nanoparticles Against Aspergillus fumigatus and Fusarium chlamydosporum. BioNanoScience 2020, 10, 62–72. [Google Scholar] [CrossRef]
- Abdelghany, T.; Yahya, R.; Bakri, M.M.; Ganash, M.; Amin, B.H.; Qanash, H. Effect of Thevetia peruviana Seeds Extract for Microbial Pathogens and Cancer Control. Int. J. Pharmacol. 2021, 17, 643–655. [Google Scholar] [CrossRef]
- Cao, X.; He, Y.; Kong, Y.; Mei, X.; Huo, Y.; He, Y.; Liu, J. Elucidating the interaction mechanism of eriocitrin with β-casein by multi-spectroscopic and molecular simulation methods. Food Hydrocoll. 2019, 94, 63–70. [Google Scholar] [CrossRef]
- Lokhande, K.B.; Ballav, S.; Yadav, R.S.; Swamy, K.V.; Basu, S. Probing intermolecular interactions and binding stability of kaempferol, quercetin and resveratrol derivatives with PPAR-γ: Docking, molecular dynamics and MM/GBSA approach to reveal potent PPAR-γ agonist against cancer. J. Biomol. Struct. Dyn. 2020, 40, 971–981. [Google Scholar] [CrossRef]
- Yahya, R.; Al-Rajhi, A.M.H.; Alzaid, S.Z.; Al Abboud, M.A.; Almuhayawi, M.S.; Al Jaouni, S.K.; Selim, S.; Ismail, K.S.; Abdelghany, T.M. Molecular Docking and Efficacy of Aloe vera Gel Based on Chitosan Nanoparticles against Helicobacter pylori and Its Antioxidant and Anti-Inflammatory Activities. Polymers 2022, 14, 2994. [Google Scholar] [CrossRef]
- Al Abboud, M.A.; Al-Rajhi, A.M.; Shater, A.R.; Alawlaqi, M.M.; Mashraqi, A.; Selim, S.; Al Jaouni, S.K.; Ghany, T.M. Halostability and Thermostability of Chitinase Produced by Fungi Isolated from Salt Marsh Soil in Subtropical Region of Saudi Arabia. BioResources 2022, 17, 4763–4780. [Google Scholar] [CrossRef]
- Lokhande, K.B.; Ballav, S.; Thosar, N.; Swamy, K.V.; Basu, S. Exploring conformational changes of PPAR-Ɣ complexed with novel kaempferol, quercetin, and resveratrol derivatives to understand binding mode assessment: A small-molecule checkmate to cancer therapy. J. Mol. Model. 2020, 26, 242. [Google Scholar] [CrossRef] [PubMed]
- Qanash, H.; Yahya, R.; Bakri, M.M.; Bazaid, A.S.; Qanash, S.; Shater, A.F.; Abdelghany, T.M. Anticancer, antioxidant, antiviral and antimicrobial activities of Kei Apple (Dovyalis caffra) fruit. Sci. Rep. 2022, 12, 5914. [Google Scholar] [CrossRef] [PubMed]
- Al-Rajhi, A.M.H.; Yahya, R.; Abdelghany, T.M.; Fareid, M.A.; Mohamed, A.M.; Amin, B.H.; Masrahi, A.S. Anticancer, Anticoagulant, Antioxidant and Antimicrobial Activities of Thevetia peruviana Latex with Molecular Docking of Antimicrobial and Anticancer Activities. Molecules 2022, 27, 3165. [Google Scholar] [CrossRef]
- Venkata, R.B.; Samuel, L.A.; Pardha Saradhi, M. Antibacterial, antioxidant activity and GC-MS analysis of Eupatorium odoratum. Asian J. Pharm. Clin. Res. 2012, 5, 99–106. [Google Scholar]
- Mustapa, A.N.; Martín, A.; Mato, R.B.; Cocero, M.J. Extraction of phytocompounds from the medicinal plant Clinacanthus nutans Lindau by microwave-assisted extraction and supercritical carbon dioxide extraction. Ind. Crops Prod. 2015, 74, 83–94. [Google Scholar] [CrossRef]
- Moon, D.-O.; Kim, M.-O.; Choi, Y.H.; Kim, G.-Y. β-Sitosterol induces G2/M arrest, endoreduplication, and apoptosis through the Bcl-2 and PI3K/Akt signaling pathways. Cancer Lett. 2008, 264, 181–191. [Google Scholar] [CrossRef]
- Sujatha, S.; Anand, S.; Sangeetha, K.; Shilpa, K.; Lakshmi, J.; Balakrishnan, A.; Lakshmi, B. Biological evaluation of (3β)-STIGMAST-5-EN-3-OL as potent anti-diabetic agent in regulating glucose transport using in vitro model. Int. J. Diabetes Mellit. 2010, 2, 101–109. [Google Scholar] [CrossRef]
- Uddin, M.S.; Ferdosh, S.; Akanda, J.H.; Ghafoor, K.; Rukshana, A.H.; Ali, E.; Kamaruzzaman, B.Y.; Fauzi, M.B.; Hadijah, S.; Shaarani, S.; et al. Techniques for the extraction of phytosterols and their benefits in human health: A review. Sep. Sci. Technol. 2018, 53, 2206–2223. [Google Scholar]
- Raju, L.; Lipin, R.; Eswaran, R. Identification, ADMET evaluation and molecular docking analysis of Phytosterols from Banaba (Lagerstroemia speciosa (L.)Pers) seed extract against breast cancer. Silico Pharmacol. 2021, 9, 43. [Google Scholar] [CrossRef] [PubMed]
- Al-Rubaye, A.F.; Kadhim, M.J.; Hameed, I.H. Determination of Bioactive Chemical Composition of Methanolic Leaves Extract of Sinapis arvensis Using GC-MS Technique. Int. J. Toxicol. Pharmacol. Res. 2017, 9, 163–178. [Google Scholar] [CrossRef]
- Lima, T.C.; Mota, M.M.; Barbosa-Filho, J.M.; Dos Santos, M.R.V.; de Sousa, D. Structural relationships and vasorelaxant activity of monoterpenes. DARU J. Pharm. Sci. 2012, 20, 23. [Google Scholar] [CrossRef] [PubMed]
- Raza, A.; Muhammad, F.; de Sousa, D.P.; Khaliq, T.; Aslam, B.; Andrade, L.; Bashir, S.; Anwar, M.I.; Shahid, M.; Qamar, M. In vitro and in vivo toxicological evaluations of methyl ferulate, methyl p-coumarate, and pulegone 1,2-epoxide. Pharm. Biol. 2016, 54, 523–529. [Google Scholar] [CrossRef] [PubMed]
- Pinedo-Espinoza, J.M.; Gutiérrez-Tlahque, J.; Saenz, Y.O.S.; Aguirre-Mancilla, C.L.; Reyes-Fuentes, M.; López-Palestina, C.U. Nutritional Composition, Bioactive Compounds and Antioxidant Activity of Wild Edible Flowers Consumed in Semiarid Regions of Mexico. Mater. Veg. 2020, 75, 413–419. [Google Scholar] [CrossRef]
- Nithya, T.G.; Jayanthi, J.; Raghunathan, M.G. Phytochemical, antibacterial and GC MS analysis of a floating fern Salvinia molesta D.S.Mitchell (1972). Int. J. PharmTech Res. 2015, 8, 85–90. [Google Scholar]
- Ćavar, Z.S.; Šišková, J.; Komzáková, K.; De Diego, N.; Kaffková, K.; Tarkowski, P. Phenolic Compounds and Biological Activity of Selected Mentha Species. Plants 2021, 10, 550. [Google Scholar] [CrossRef]
- Tahira, R.; Naeemullah, M.; Akbar, F.; Masood, M.S. Major phenolic acids of local and exotic mint germplasm grown in Islamabad. Pak. J. Bot. 2011, 43, 151–154. [Google Scholar]
- Shalaby, N.M.M.; Moharram, F.A.; El-Toumy, S.A.A.; Marzoyk, M.S.A.; Ahmed, A.A.E. Phytochemical and Pharmacological Studies of Mentha Pulegium L. Bull. Fac. Pharm. 2000, 38, 143–151. [Google Scholar]
- Proestos, C.; Chorianopoulos, N.; Nychas, G.J.E.; Komaitis, M. RP-HPLC analysis of the phenolic compounds of plant extracts: Investigation of their antioxidant capacity and antimicrobial activity. J. Agric. Food Chem. 2005, 53, 1190–1195. [Google Scholar] [CrossRef]
- Fatiha, B.; Didier, H.; Naima, G.; Khodir, M.; Martin, K.; Léocadie, K.; Caroline, S.; Mohamed, C.; Pierre, D. Phenolic composition, in vitro antioxidant effects and tyrosinase inhibitory activity of three Algerian Mentha species: M. spicata (L.) M. pulegium (L.) and M. rotundifolia (L.) Huds (Lamiaceae). Ind. Crops Prod. 2015, 74, 722–730. [Google Scholar] [CrossRef]
- Erenler, R.; Telci, I.; Elmastaş, M.; Aksit, H.; Gül, F.; Tüfekçi, A.R.; Demirtaş, I.; Kayir, O. Quantification of flavonoids isolated from Mentha spicata in selected clones of Turkish mint landraces. Turk. J. Chem. 2018, 42, 1695–1705. [Google Scholar] [CrossRef]
- Barreca, D.; Mandalari, G.; Calderaro, A.; Smeriglio, A.; Trombetta, D.; Felice, M.R.; Gattuso, G. Citrus Flavones: An Update on Sources, Biological Functions, and Health Promoting Properties. Plants 2020, 9, 288. [Google Scholar] [CrossRef] [PubMed]
- Wei, W.; He, J.; Ruan, H.; Wang, Y. In vitro and in vivo cytotoxic effects of chrysoeriol in human lung carcinoma are facilitated through activation of autophagy, sub-G1/G0 cell cycle arrest, cell migration and invasion inhibition and modulation of MAPK/ERK signaling pathway. J. BUON 2019, 24, 936–942. [Google Scholar] [PubMed]
- Sharma, N.; Biswas, S.; Al-Dayan, N.; Alhegaili, A.S.; Sarwat, M. Antioxidant role of kaempferol in prevention of hepatocellular carcinoma. Antioxidants 2021, 10, 1419. [Google Scholar] [CrossRef]
- Abbou, F.; Azzi, R.; Ouffai, K.; El Haci, I.A.; Belyagoubi-Benhammou, N.; Bensouici, C.; Benamar, H. Phenolic profile, antioxidant and enzyme inhibitory properties of phenolic-rich fractions from the aerial parts of Mentha pulegium L. S. Afr. J. Bot. 2022, 146, 196–204. [Google Scholar] [CrossRef]
- Baali, F.; Boumerfeg, S.; Boudjelal, A.; Denaro, M.; Ginestra, G.; Baghiani, A.; Righi, N.; Deghima, A.; Benbacha, F.; Smeriglio, A.; et al. Wound-healing activity of Algerian Lavandula stoechas and Mentha pulegium extracts: From traditional use to scientific validation. Plant Biosyst.—Int. J. Deal. All Asp. Plant Biol. 2021, 156, 427–439. [Google Scholar] [CrossRef]
- Aimad, A.; Sanae, R.; Anas, F.; Abdelfattah, E.M.; Bourhia, M.; Salamatullah, A.M.; Alzahrani, A.; Alyahya, H.K.; Albadr, N.A.; Abdelkrim, A.; et al. Chemical Characterization and Antioxidant, Antimicrobial, and Insecticidal Properties of Essential Oil from Mentha pulegium L. Evid.-Based Complement. Altern. Med. 2021, 2021, 1108133. [Google Scholar] [CrossRef]
- Ceyhan-Güvensen, N.; Keskin, D. Chemical content and antimicrobial properties of three different extracts of Mentha pulegium leaves from Mugla Region, Turkey. J. Environ. Biol. 2016, 37, 1341–1346. [Google Scholar]
- Bouhdid, S.; Abrini, J.; Amensour, M.; Zhiri, A.; Espuny, M.J.; Manresa, A. Functional and ultrastructural changes in Pseudomonas aeruginosa and Staphylococcus aureus cells induced by Cinnamomum verum essential oil. J. Appl. Microbiol. 2010, 109, 1139–1149. [Google Scholar] [CrossRef] [PubMed]
- Rocha, J.; Direito, R.; Lima, A.; Mota, J.; Gonçalves, M.; Duarte, M.P.; Solas, J.; Peniche, B.F.; Fernandes, A.; Pinto, R.; et al. Reduction of inflammation and colon injury by a Pennyroyal phenolic extract in experimental inflammatory bowel disease in mice. Biomed. Pharmacother. 2019, 118, 109351. [Google Scholar] [CrossRef]
- Yang, Q.; Liu, Q.; Lv, H.; Wang, F.; Liu, R.; Zeng, N. Effect of pulegone on the NLPR3 inflammasome during inflammatory activation of THP-1 cells. Exp. Ther. Med. 2019, 19, 1304–1312. [Google Scholar] [CrossRef] [PubMed]
- Leite, P.M.; Freitas, A.; Amorim, J.; Figueiredo, R.C.D.; Bertolucci, S.; Faraco, A.; Martins, M.; Carvalho, M.G.; Castilho, R. In vitro anticoagulant activity of selected medicinal plants: Potential interactions with warfarin and development of new anticoagulants. J. Basic Clin. Physiol. Pharmacol. 2021. [Google Scholar] [CrossRef]
- Ku, S.-K.; Bae, J.-S. Antiplatelet and antithrombotic activities of purpurogallin in vitro and in vivo. BMB Rep. 2014, 47, 376–381. [Google Scholar] [CrossRef]
- Mohebi, A.; Yazdani, H.; Nourian, S.; Torabi Godarzi, R.; Sarveahrabi, Y. Cytotoxicity of hydroalcoholic extracts of Mentha pulegium L. and Satureja hortensis L. on human breast cancer cell lines (MCF-7 and MCF-10). Navid No 2021, 24, 50–58. [Google Scholar] [CrossRef]
- Farnam, G.; Aryanpour, N.; Behtaj, R.; Shirazi, H. Cytotoxic and cell progression effects of Mentha pulegium L. extract on selected cancer cell lines. Iran. J. Pharm. Sci. 2020, 16, 27–34. [Google Scholar]
- Mizzi, L.; Chatzitzika, C.; Gatt, R.; Valdramidis, V. HPLC Analysis of Phenolic Compounds and Flavonoids with Overlapping Peaks. Food Technol. Biotechnol. 2020, 58, 12–19. [Google Scholar] [CrossRef]
- Abdelghany, T.M. Stachybotrys chartarum: A novel biological agent for the extracellular synthesis of silver nanoparticles and their antimicrobial activity. Indonesian. J. Biotechnol. 2013, 18, 75–82. [Google Scholar]
- Abdelghany, T.M.; Ganash, M.; Alawlaqi, M.M.; Al-Rajhi, A.M.H. Antioxidant, Antitumor, Antimicrobial Activities Evaluation of Musa paradisiaca L. Pseudostem Exudate Cultivated in Saudi Arabia. BioNanoScience 2019, 9, 172–178. [Google Scholar] [CrossRef]
- Meziti, H.; Bouriche, H.; Kada, S.; Demirtas, I.; Murat Kizil, M.; Senator, A. Phytochemical analysis, and antioxidant, anti-hemolytic and genoprotective effects of Quercus ilex L. and Pinus halepensis Mill. methanolic extracts. J. Pharm. Pharmacogn. Res. 2019, 7, 260–272. [Google Scholar]
- Lokhande, K.B.; Nagar, S.; Swamy, K.V. Molecular interaction studies of Deguelin and its derivatives with Cyclin D1 and Cyclin E in cancer cell signaling pathway: The computational approach. Sci. Rep. 2019, 9, 1778. [Google Scholar] [CrossRef]














| Phyto-Constituent | RT * | Area % | Molecular Formula | Molecular Weight |
|---|---|---|---|---|
| Pulegone-1,2-epoxide (oxygenated terpene) | 14.18 | 0.52 | C10H14O2 | 166 |
| Methyl tridecanoate | 23.80 | 0.69 | C14H28O2 | 228 |
| Neophytadiene (Diterpenoid) | 24.72 | 1.07 | C20H38 | 278 |
| 2-cis-9-Octadecenyloxyethano | 25.56 | 0.36 | C20H40O2 | 312 |
| Methyl hexadecanoate | 26.54 | 4.56 | C17H34O2 | 270 |
| Hexadecanoic acid | 28.30 | 20.88 | C16H32O2 | 256 |
| 2,3-Dihydroxypropyl palmi | 29.34 | 0.32 | C19H38O4 | 330 |
| Linolelaidic acid, methyl ester | 29.62 | 0.87 | C19H34O2 | 294 |
| Elaidic acid, methyl ester | 29.78 | 4.17 | C19H36O2 | 296 |
| cis-11-Octadecenoic acid, methyl ester | 29.90 | 2.80 | C19H36O2 | 296 |
| Isochiapin B | 30.01 | 0.32 | C19H22O6 | 346 |
| Octadecanoic acid, methyl ester | 30.27 | 3.94 | C19H38O2 | 298 |
| Methyl (7E,10E)-7,10-octadecadienoate | 30.55 | 2.06 | C19H34O2 | 294 |
| Ethyl linoleate | 30.80 | 0.65 | C21H38O2 | 322 |
| Oleic acid | 30.99 | 0.79 | C18H34O2 | 282 |
| 6-Octadecenoic acid | 31.39 | 3.58 | C18H34O2 | 282 |
| cis-13-Octadecenoic acid | 31.57 | 6.84 | C18H34O2 | 282 |
| Stearic acid | 31.81 | 4.87 | C18H36O2 | 284 |
| 19-nor-4-androstenediol (Phytosterol) | 31.94 | 1.39 | C18H28O2 | 276 |
| Androstan-17-one (Phytosterol) | 32.08 | 1.20 | C21H34O2 | 318 |
| cis-13-Eicosenoic acid | 32.36 | 0.52 | C20H38O2 | 310 |
| Oxiraneoctanoic acid, 3-octyl-methyl ester | 33.00 | 4.72 | C19H36O3 | 312 |
| Methyl 10-ketostearate | 33.50 | 10.84 | C19H36O3 | 312 |
| Arachidic acid methyl ester | 33.71 | 1.00 | C21H42O2 | 326 |
| 7,7,8,8,9,9,10,10,10-Nonafluorodecane-1,2-Diol | 34.24 | 2.10 | C10H13F9O2 | 336 |
| Dasycarpidan-1-methanol, acetate (ester) | 34.56 | 0.75 | C20H26N2O2 | 326 |
| 6,7-Dimethoxy-1,2-Dimethyl-1,2,3,4-Tetrahydro-5-isoquinolinol | 35.39 | 0.95 | C13H19NO3 | 237 |
| Hahnfett | 35.48 | 0.34 | ND ** | ND ** |
| 2,3-Dihydroxypropyl elaidate | 35.29 | 0.79 | C21H40O4 | 356 |
| Dotriacontane | 36.29 | 0.84 | C32H66 | 450 |
| Di-2-Benzothiazole Disulfane | 36.80 | 0.36 | C14H8N2S4 | 332 |
| 1,2-Benzenedicarboxylic acid | 37.09 | 3.60 | C24H38O4 | 390 |
| Heptacosane | 37.78 | 0.96 | C27H56 | 380 |
| Docosanoic acid, 1,2,3-propanetriylester | 38.29 | 0.31 | C69H134O6 | 1058 |
| Docosanoic acid, methylester | 39.71 | 0.49 | C23H46O2 | 354 |
| Cholesterol margarate(Phytosterol) | 41.65 | 0.42 | C44H78O2 | 638 |
| 6,8-DI-C-á-Glucosylluteolin | 41.95 | 0.39 | C27H30O16 | 610 |
| Stigmast-5-EN-3-OL (Phytosterol) | 43.06 | 0.48 | C28H44O4 | 444 |
| Flavonoids | Phenolic Acids | ||||
|---|---|---|---|---|---|
| RT * | Compound | Concentration (µg/mL) | RT * | Compound | Concentration (µg/mL) |
| 7.8 | Kaempferol | 11.14 | 6 | p-Coumaric acid | 5.06 |
| 8.7 | Luteolin | 2.36 | 8 | Caffeic acid | 11.45 |
| 9.8 | Hesperidin | 3.05 | 9 | Pyrogallol | 9.36 |
| 11 | 7-OH flavone | 10.14 | 11 | Ferulic acid | 13.19 |
| 12 | Catechin | 4.11 | 12 | Salicylic acid | 4.17 |
| 15 | Chrysoeriol | 15.36 | 13 | Cinnamic acid | 12.69 |
| Tested Microorganisms | Inhibition Zone (mm) | |||
|---|---|---|---|---|
| Extract (100 µL) | Control * | MIC *** µg/mL | ||
| Gram-positive bacteria | S. aureus | 23 | 21 | 62.50 |
| B. subtilis | 27 | 25 | 45.25 | |
| Gram-negative bacteria | E. coli | 26 | 20 | 33.60 |
| P. aeruginosa | 19 | 14 | 15.62 | |
| Fungi | C. albicans | 25 | 22 | 65.20 |
| M. circinelloides | 0.0 | 11 | ND ** | |
| Concentration (μg/mL) | O.D * Mean | DPPH Scavenging (%) | SD ** | SE *** |
|---|---|---|---|---|
| 1000 | 0.172 | 88.1 | 0.003 | 0.001 |
| 500 | 0.215 | 85.1 | 0.004 | 0.001 |
| 250 | 0.307 | 78.7 | 0.002 | 0.001 |
| 125 | 0.419 | 70.9 | 0.003 | 0.001 |
| 62.5 | 0.529 | 63.3 | 0.003 | 0.001 |
| 31.25 | 0.653 | 54.7 | 0.005 | 0.001 |
| 15.62 | 0.762 | 47.1 | 0.006 | 0.002 |
| IC50 of M. pulegium extract | 18 μg/mL | |||
| IC50 of ascorbic acid | 15.0 μg/mL | |||
| Concentration (μg/mL) | Hypotonic O.D * | Hemolysis Inhibition % | SD ** | SE *** |
|---|---|---|---|---|
| Control | 1.038 | 0 | 0.003 | 0.001 |
| 1000 | 0.301 | 79.8 | 0.009 | 0.003 |
| 800 | 0.417 | 67.9 | 0.005 | 0.002 |
| 600 | 0.527 | 55.8 | 0.008 | 0.003 |
| 400 | 0.641 | 43.8 | 0.002 | 0.001 |
| 200 | 0.766 | 31.2 | 0.004 | 0.001 |
| 100 | 0.822 | 25.3 | 0.008 | 0.002 |
| Indomethacin at 200 μg/mL | 0.130 | 91.0 | 0.005 | 0.002 |
| Concentration µg/mL | PC3 | MCF7 | ||||||
|---|---|---|---|---|---|---|---|---|
| Mean O.D * | SE ** | Viability % | Toxicity % | Mean O.D * | SE ** | Viability % | Toxicity % | |
| Control | 0.554 | 0.010 | 100 | 0.0 | 0.476 | 0.01 | 100 | 0.0 |
| 31.25 | 0.55 | 0.007 | 99.40 | 0.60 | 0.43 | 0.005 | 89.57 | 10.43 |
| 62.5 | 0.39 | 0.008 | 71.12 | 28.88 | 0.25 | 0.016 | 51.547 | 48.46 |
| 125 | 0.18 | 0.007 | 32.31 | 67.69 | 0.11 | 0.010 | 23.53 | 76.47 |
| 250 | 0.11 | 0.005 | 19.19 | 80.81 | 0.05 | 0.007 | 10.85 | 89.15 |
| 500 | 0.06 | 0.001 | 2.83 | 97.17 | 0.02 | 0.001 | 3.29 | 96.71 |
| 1000 | 0.02 | 0.001 | 3.13 | 96.87 | 0.02 | 0.001 | 3.71 | 96.29 |
| IC50 | 97.99 µg/mL | 80.21 µg/mL | ||||||
| Compound | Receptor | mseq | S | rmsd_refne | E_conf | E_place | E_score1 | E_refne | E_score2 |
|---|---|---|---|---|---|---|---|---|---|
| Neophytadiene | 7BCZ | 1 | −7.1580 | 1.2822 | 24.5600 | −57.8312 | −7.8518 | −31.7035 | −7.1580 |
| Neophytadiene | 7BCZ | 1 | −6.9125 | 2.3982 | 13.1121 | −49.8856 | −8.0566 | −31.8298 | −6.9125 |
| Neophytadiene | 7BCZ | 1 | −6.8013 | 1.3756 | 26.6025 | −54.2040 | −7.6831 | −27.2223 | −6.8013 |
| Neophytadiene | 7BCZ | 1 | −6.7640 | 1.1550 | 86.2092 | −72.2128 | −8.5950 | −31.8384 | −6.7640 |
| Neophytadiene | 7BCZ | 1 | −6.6269 | 1.8035 | 10.0713 | −39.6643 | −7.4382 | −32.7957 | −6.6269 |
| Luteolin | 7C7N | 1 | −5.2683 | 1.2104 | −30.1027 | −53.0515 | −10.7811 | −21.5450 | −5.2683 |
| Luteolin | 7C7N | 1 | −5.2098 | 1.0321 | −33.5362 | −58.5419 | −10.8163 | −25.1026 | −5.2098 |
| Luteolin | 7C7N | 1 | −5.1764 | 2.0993 | −31.8830 | −50.5262 | −9.9086 | −23.7861 | −5.1764 |
| Luteolin | 7C7N | 1 | −5.0736 | 1.1214 | −34.9514 | −74.7281 | −10.4863 | −24.8905 | −5.0736 |
| Luteolin | 7C7N | 1 | −5.0535 | 0.6345 | −30.7855 | −62.0186 | −9.5565 | −20.9379 | −5.0535 |
| Chrysoeriol | 3QUM | 1 | −6.3350 | 1.0946 | −15.0487 | −75.6312 | −11.4227 | −36.8350 | −6.3350 |
| Chrysoeriol | 3QUM | 1 | −6.2655 | 1.7381 | −20.6640 | −84.1280 | −11.5780 | −37.1195 | −6.2655 |
| Chrysoeriol | 3QUM | 1 | −6.2171 | 0.7234 | −14.4679 | −76.0750 | −11.4356 | −33.1380 | −6.2171 |
| Chrysoeriol | 3QUM | 1 | −6.1692 | 2.1441 | −15.4071 | −78.4542 | −11.5705 | −36.1058 | −6.1692 |
| Chrysoeriol | 3QUM | 1 | −6.1571 | 1.1044 | −15.2604 | −84.8887 | −11.8802 | −35.8331 | −6.1571 |
| Chrysoeriol | 1JNX | 1 | −5.0644 | 1.7265 | −17.5303 | −62.1961 | −9.9634 | −25.0239 | −5.0644 |
| Chrysoeriol | 1JNX | 1 | −5.0101 | 0.9227 | −15.7642 | −42.2704 | −9.1471 | −24.0765 | −5.0101 |
| Chrysoeriol | 1JNX | 1 | −4.9971 | 1.6559 | −14.5476 | −43.9988 | −9.2024 | −23.3186 | −4.9971 |
| Chrysoeriol | 1JNX | 1 | −4.9616 | 1.4387 | −16.8284 | −44.6490 | −9.6921 | −23.2991 | −4.9616 |
| Chrysoeriol | 1JNX | 1 | −4.8836 | 2.0835 | −17.2031 | −52.3723 | −9.3292 | −24.7783 | −4.8836 |
| Kaempferol | 3QUM | 1 | −6.3593 | 1.7518 | −54.3337 | −63.8852 | −12.2329 | −35.5105 | −6.3593 |
| Kaempferol | 3QUM | 1 | −6.2456 | 1.7957 | −53.7207 | −84.7006 | −11.2066 | −33.4084 | −6.2456 |
| Kaempferol | 3QUM | 1 | −5.9016 | 1.4734 | −50.9818 | −65.7556 | −11.2285 | −27.7261 | −5.9016 |
| Kaempferol | 3QUM | 1 | −5.8823 | 1.1136 | −48.9402 | −68.5376 | −11.2814 | −31.7357 | −5.8823 |
| Kaempferol | 3QUM | 1 | −5.8293 | 1.7911 | −50.1359 | −67.1079 | −11.2273 | −31.8993 | −5.8293 |
| Kaempferol | 1JNX | 1 | −5.2916 | 3.4082 | −57.8566 | −54.0164 | −7.9325 | −25.2956 | −5.2916 |
| Kaempferol | 1JNX | 1 | −5.2264 | 1.3456 | −58.4060 | −23.5095 | −7.0560 | −24.2946 | −5.2264 |
| Kaempferol | 1JNX | 1 | −4.9339 | 2.1388 | −58.0519 | −35.5016 | −6.9689 | −23.3973 | −4.9339 |
| Kaempferol | 1JNX | 1 | −4.9124 | 2.8442 | −58.3635 | −31.1941 | −7.3013 | −22.9019 | −4.9124 |
| Kaempferol | 1JNX | 1 | −4.8548 | 1.5679 | −59.0462 | −43.3097 | −8.0880 | −23.1065 | −4.8548 |
| Neophytadiene Interaction with 7BCZ Protein | ||||
| Neophytadiene | Receptor | Interaction | Distance | E (kcal/mol) |
| C 1 | 6-ring PHE 191 (A) | Pi-H | 4.73 | −0.5 |
| Luteolin interaction with 7C7N protein | ||||
| Luteolin | Receptor | Interaction | Distance | E (kcal/mol) |
| O 28 | OD2 ASP 45 (A) | H-donor | 3.26 | −1.7 |
| Chrysoeriol interaction with 3QUM protein | ||||
| Chrysoeriol | Receptor | Interaction | Distance | E (kcal/mol) |
| O 23 | SG CYS 220 (P) | H-donor | 4.29 | −1.0 |
| O 26 | OE2 GLU 21 (P) | H-donor | 2.85 | −2.0 |
| 6-ring | N GLY 19 (P) | Pi-H | 4.40 | −0.6 |
| Chrysoeriol interaction with 1JNX protein | ||||
| Chrysoeriol | Receptor | Interaction | Distance | E (kcal/mol) |
| 6-ring | CB HIS 1673 (X) | Pi-H | 3.65 | −0.5 |
| Kaempferol Interaction with 3QUM protein | ||||
| Kaempferol | Receptor | Interaction | Distance | E (kcal/mol) |
| O 28 | OE2 GLU 21 (P) | H-donor | 3.26 | −0.9 |
| O 27 | N LYS 154 (P) | H-acceptor | 3.01 | −3.1 |
| O 27 | CE LYS 154 (P) | H-acceptor | 3.18 | −2.6 |
| 6-ring | N GLY 19 (P) | Pi-H | 4.38 | −1.5 |
| Kaempferol interaction with 1JNX protein | ||||
| Kaempferol | Receptor | Interaction | Distance | E (kcal/mol) |
| 6-ring | CA THR 1675 (X) | Pi-H | 4.09 | −1.1 |
Publisher’s Note: MDPI stays neutral with regard to jurisdictional claims in published maps and institutional affiliations. |
© 2022 by the authors. Licensee MDPI, Basel, Switzerland. This article is an open access article distributed under the terms and conditions of the Creative Commons Attribution (CC BY) license (https://creativecommons.org/licenses/by/4.0/).
Share and Cite
Al-Rajhi, A.M.H.; Qanash, H.; Almuhayawi, M.S.; Al Jaouni, S.K.; Bakri, M.M.; Ganash, M.; Salama, H.M.; Selim, S.; Abdelghany, T.M. Molecular Interaction Studies and Phytochemical Characterization of Mentha pulegium L. Constituents with Multiple Biological Utilities as Antioxidant, Antimicrobial, Anticancer and Anti-Hemolytic Agents. Molecules 2022, 27, 4824. https://doi.org/10.3390/molecules27154824
Al-Rajhi AMH, Qanash H, Almuhayawi MS, Al Jaouni SK, Bakri MM, Ganash M, Salama HM, Selim S, Abdelghany TM. Molecular Interaction Studies and Phytochemical Characterization of Mentha pulegium L. Constituents with Multiple Biological Utilities as Antioxidant, Antimicrobial, Anticancer and Anti-Hemolytic Agents. Molecules. 2022; 27(15):4824. https://doi.org/10.3390/molecules27154824
Chicago/Turabian StyleAl-Rajhi, Aisha M. H., Husam Qanash, Mohammed S. Almuhayawi, Soad K. Al Jaouni, Marwah M. Bakri, Magdah Ganash, Hanaa M. Salama, Samy Selim, and Tarek M. Abdelghany. 2022. "Molecular Interaction Studies and Phytochemical Characterization of Mentha pulegium L. Constituents with Multiple Biological Utilities as Antioxidant, Antimicrobial, Anticancer and Anti-Hemolytic Agents" Molecules 27, no. 15: 4824. https://doi.org/10.3390/molecules27154824
APA StyleAl-Rajhi, A. M. H., Qanash, H., Almuhayawi, M. S., Al Jaouni, S. K., Bakri, M. M., Ganash, M., Salama, H. M., Selim, S., & Abdelghany, T. M. (2022). Molecular Interaction Studies and Phytochemical Characterization of Mentha pulegium L. Constituents with Multiple Biological Utilities as Antioxidant, Antimicrobial, Anticancer and Anti-Hemolytic Agents. Molecules, 27(15), 4824. https://doi.org/10.3390/molecules27154824

