Revealing the Potential Application of EC-Synthetic Retinoid Analogues in Anticancer Therapy
Abstract
1. Introduction
2. Results
2.1. EC19 and EC23 Induce Cell Death In Vitro
2.2. Synergistic Effect of Retinoids and 5-Fluorouracil (5-FU) in Caco-2 Cells
2.3. Apoptotic Effects of Retinoids in Caco-2 Cells
2.4. Synthetic Retinoids Induce Cell Cycle Arrest and Reduce Cellular Proliferation
2.5. Effect of ATRA and Synthetic Retinoids on Cell Invasion
2.6. EC19 Reduced Intracellular Glutamate in Caco-2 Cells
2.7. EC19 and EC23 Reduce the Antioxidant Capacity of Caco-2 Cells
2.8. Gene Expression Analysis of Multiple Signaling Genes Affected by ATRA and EC-Synthetic Retinoids Treatments in Caco-2 Cells
2.8.1. Gene Expression Analysis of Retinoic Acid Receptors (RARs)
2.8.2. Gene Expression Analysis of Key Apoptosis-Related Genes
2.8.3. Gene Expression Analysis of Retinoic Acid-Induced 2 (RAI2) Expression in Caco-2 Cells
2.8.4. Gene Expression Analysis of WRN Expression in Caco-2 Cells
2.8.5. Gene Expression of Migration-Related Genes in Caco-2 Cells
2.9. Western Blotting Analysis of Key Apoptosis-Related Proteins
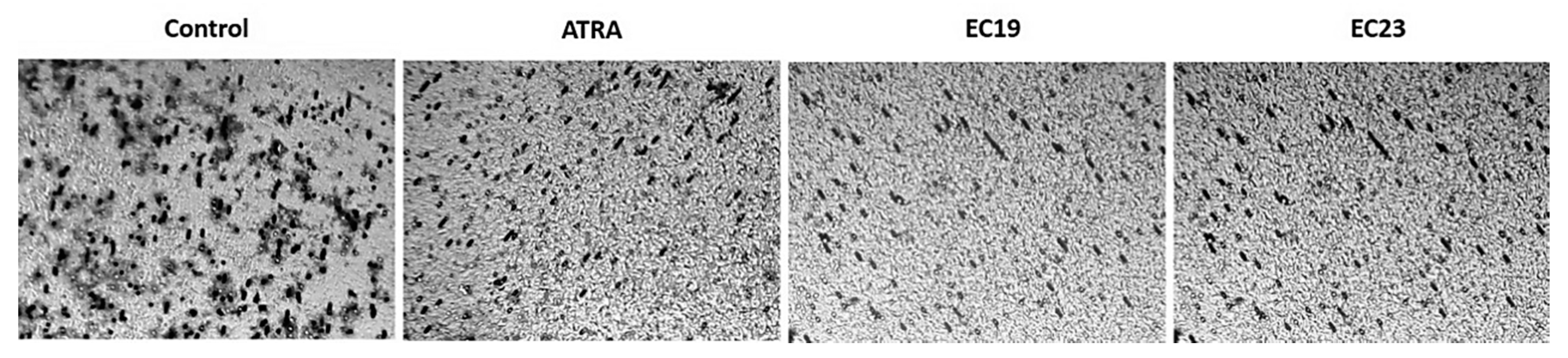
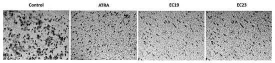
2.10. Morphological and Immunocytochemistry Analysis of Caco-2 Cells Treated with Synthetic EC-Retinoids
3. Discussion
3.1. Potent Antiproliferation with Minimal Cytotoxicity of EC-Synthetic Retinoids
3.2. Caco-2 Cells is In Vitro Model for Further Anticancer Screening
3.3. A Promising Synergistic Combination with 5-FU in Caco-2 Cells
3.4. The Antiproliferative Effect of EC19 and EC23 in Caco-2 Cells is Due to Early Apoptosis and Cell Cycle Arrest
3.5. Differential Transactivation of RARs Explains the Differential Sensitivity of Caco-2 Cells
3.6. Phenotypic Perturbations Seen under Microscope are Pertinent to Apoptosis Induction
3.7. The Molecular Changes of EC-Synthetic Retinoids on Transcriptomic and Proteomic Levels
3.8. The Modulation of Cyt-C Expression with EC-Synthetic Retinoids Treatment is Indicative of Intrinsic Apoptosis Induction
3.9. EC19-Induced Apoptosis in Caco-2 Cells Involves the Induction of p53 Protein Expression
3.10. The Reduction of the Intracellular Glutamate Pool May Further Explain the Superior Activity of EC19 over EC23 in Caco-2 Cells
3.11. EC-Synthetic Retinoids are Pro-Oxidants that Promote Cellular Vulnerability to Oxidative Stress
3.12. Retinoids Reduce the Metastatic Potential of Caco-2 Cells via Modifying the Expression of Relevant Genes
4. Materials and Methods
4.1. Retinoids Solution
4.2. Cell Culture
4.3. Antiproliferation assay and Selectivity Index (SI) Calculation
4.4. Isobologram Analysis of Combined Drug Effect
4.5. Detection of Apoptosis Using Annexin V (AV)/Propidium Iodide (PI) Assay
4.6. Cell Cycle Analysis
4.7. Gene Expression Analysis of Multiple Signaling Key Genes
4.8. Western Blotting
4.9. Cell Invasion Assay
4.10. Measurement of Intracellular and Secreted Glutamate
4.11. Total Antioxidant Capacity (TAC)
4.12. Immunocytochemistry (ICC) and Detection of Morphological Changes
4.13. Statistical Analysis
5. Conclusions
Supplementary Materials
Author Contributions
Funding
Institutional Review Board Statement
Informed Consent Statement
Data Availability Statement
Conflicts of Interest
Sample Availability
References
- Das, B.C.; Thapa, P.; Karki, R.; Das, S.; Mahapatra, S.; Liu, T.C.; Torregroza, I.; Wallace, D.P.; Kambhampati, S.; Van Veldhuizen, P.; et al. Retinoic acid signaling pathways in development and diseases. Bioorg. Med. Chem. 2014, 22, 673–683. [Google Scholar] [CrossRef] [PubMed]
- Marill, J.; Idres, N.; Capron, C.C.; Nguyen, E.; Chabot, G.G. Retinoic acid metabolism and mechanism of action: A review. Curr. Drug Metab. 2003, 4, 1–10. [Google Scholar] [PubMed]
- Soprano, D.R.; Harnish, D.C.; Soprano, K.J.; Kochhar, D.M.; Jiang, H. Correlations of RAR isoforms and cellular retinoid-binding proteins mRNA levels with retinoid-induced teratogenesis. J. Nutr. 1993, 123, 367–371. [Google Scholar] [CrossRef] [PubMed]
- Nagpal, I.; Wei, L.-N. All-trans retinoic acid as a versatile cytosolic signal modulator mediated by CRABP1. Int. J. Mol. Sci. 2019, 20, 3610–3620. [Google Scholar]
- Li, Y.; Wongsiriroj, N.; Blaner, W.S. The multifaceted nature of retinoid transport and metabolism. Hepatobiliary Surg. Nutr. 2014, 3, 126–139. [Google Scholar]
- De Vos, S.; Koeffler, H.P. Differentiation Induction in Leukemia and Lymphoma. Nutritional Oncol. 2006, 491. [Google Scholar] [CrossRef]
- Riahi, R.R.; Bush, A.E.; Cohen, P.R. Topical retinoids: Therapeutic mechanisms in the treatment of photodamaged skin. Am. J. Clin. Dermatol. 2016, 17, 265–276. [Google Scholar]
- Kubilus, J.; Rand, R.; Baden, H.P. Effects of retinoic acid and other retinoids on the gowth and differentiation of 3t3 supported human keratinocytes. In Vitro 1981, 17, 786–795. [Google Scholar] [CrossRef]
- Carratu, M.; Marasco, C.; Mangialardi, G.; Vacca, A. Retinoids: Novel immunomodulators and tumour-suppressive agents? Br. J. Pharmacol. 2012, 167, 483–492. [Google Scholar]
- Cao, X. Retinoids Induced Cancer Stem Cell Differentiation and Apoptosis for Cancer Therapies. Mol. Cell Ther. 2019, 7, 1–8. [Google Scholar]
- Abdel-Samad, R.; Aouad, P.; Darwiche, N. Natural and synthetic retinoids in preclinical colorectal cancer models. Anti-Cancer Drugs 2019, 30, 655–669. [Google Scholar] [CrossRef] [PubMed]
- Lage, H. An overview of cancer multidrug resistance: A still unsolved problem. Cell Mol. Life Sci. 2008, 65, 3145–3167. [Google Scholar] [PubMed]
- Wen, L.; Liang, C.; Chen, E.; Chen, W.; Liang, F.; Zhi, X.; Wei, T.; Xue, F.; Li, G.; Yang, Q.; et al. Regulation of Multi-drug Resistance in hepatocellular carcinoma cells is TRPC6/Calcium Dependent. Sci. Rep. 2016, 6, 1–14. [Google Scholar] [CrossRef] [PubMed]
- Wilson, W.R.; Hay, M.P. Targeting hypoxia in cancer therapy. Nat. Rev. Cancer 2011, 11, 393–410. [Google Scholar]
- Dobrotkova, V.; Chlapek, P.; Mazanek, P.; Sterba, J.; Veselska, R. Traffic lights for retinoids in oncology: Molecular markers of retinoid resistance and sensitivity and their use in the management of cancer differentiation therapy. BMC Cancer 2018, 18, 1059–1070. [Google Scholar] [CrossRef]
- Muindi, J.; Frankel, S.R.; Miller, W.H., Jr.; Jakubowski, A.; Scheinberg, D.A.; Young, C.W.; Dmitrovsky, E.; Warrell, R.P., Jr. Continuous treatment with all-trans retinoic acid causes a progressive reduction in plasma drug concentrations: Implications for relapse and retinoid “resistance” in patients with acute promyelocytic leukemia. Blood 1992, 79, 299–303. [Google Scholar]
- Muindi, J.R.; Frankel, S.R.; Huselton, C.; DeGrazia, F.; Garland, W.A.; Young, C.W.; Warrell, R.P., Jr. Clinical pharmacology of oral all-trans retinoic acid in patients with acute promyelocytic leukemia. Cancer Res. 1992, 52, 2138–2142. [Google Scholar]
- Adedoyin, A.; Stiff, D.D.; Smith, D.C.; Romkes, M.; Bahnson, R.C.; Day, R.; Hofacker, J.; Branch, R.A.; Trump, D.L. All-trans-retinoic acid modulation of drug-metabolizing enzyme activities: Investigation with selective metabolic drug probes. Cancer Chemother. Pharmacol. 1998, 41, 133–139. [Google Scholar] [CrossRef]
- Trump, D.L.; Smith, D.C.; Stiff, D.; Adedoyin, A.; Day, R.; Bahnson, R.R.; Hofacker, J.; Branch, R.A. A phase II trial of all-trans-retinoic acid in hormone-refractory prostate cancer: A clinical trial with detailed pharmacokinetic analysis. Cancer Chemother. Pharmacol. 1997, 39, 349–356. [Google Scholar]
- Koskela, K.; Pelliniemi, T.T.; Pulkki, K.; Remes, K. Treatment of multiple myeloma with all-trans retinoic acid alone and in combination with chemotherapy: A phase I/II trial. Leuk. Lymphoma. 2004, 45, 749–754. [Google Scholar]
- Gallagher, R.E. Retinoic acid resistance in acute promyelocytic leukemia. Leukemia 2002, 16, 1940–1958. [Google Scholar] [CrossRef] [PubMed]
- Murayama, A.; Suzuki, T.; Matsui, M. Photoisomerization of retinoic acids in ethanol under room light: A warning for cell biological study of geometrical isomers of retinoids. J. Nutr. Sci. Vitaminol (Tokyo) 1997, 43, 167–176. [Google Scholar] [CrossRef] [PubMed]
- Bempong, D.K.; Honigberg, I.L.; Meltzer, N.M. Normal phase LC-MS determination of retinoic acid degradation products. J. Pharm. Biomed. Anal. 1995, 13, 285–291. [Google Scholar] [CrossRef]
- Han, G.; Chang, B.; Connor, M.J.; Sidell, N. Enhanced potency of 9-cis versus all-trans-retinoic acid to induce the differentiation of human neuroblastoma cells. Differentiation 1995, 59, 61–69. [Google Scholar] [CrossRef]
- Lansink, M.; van Bennekum, A.M.; Blaner, W.S.; Kooistra, T. Differences in metabolism and isomerization of all-trans-retinoic acid and 9-cis-retinoic acid between human endothelial cells and hepatocytes. Eur. J. Biochem. 1997, 247, 596–604. [Google Scholar] [CrossRef]
- Christie, V.B.; Barnard, J.H.; Batsanov, A.S.; Bridgens, C.E.; Cartmell, E.B.; Collings, J.C.; Maltman, D.J.; Redfern, C.P.F.; Marder, T.B.; Przyborski, S.; et al. Synthesis and evaluation of synthetic retinoid derivatives as inducers of stem cell differentiation. Org. Biomol. Chem. 2008, 6, 3497–3507. [Google Scholar] [CrossRef] [PubMed]
- Haffez, H.; Khatib, T.; McCaffery, P.; Przyborski, S.; Redfern, C.; Whiting, A. Neurogenesis in response to synthetic retinoids at different temporal scales. Mol. Neurobiol. 2018, 55, 1942–1950. [Google Scholar] [CrossRef] [PubMed]
- Haffez, H.; Chisholm, D.R.; Valentine, R.; Pohl, E.; Redfern, C.; Whiting, A. The molecular basis of the interactions between synthetic retinoic acid analogues and the retinoic acid receptors. Medchemcomm 2017, 8, 578–592. [Google Scholar] [CrossRef]
- Christie, V.B.; Maltman, D.J.; Henderson, A.P.; Whiting, A.; Marder, T.B.; Lako, M.; Przyborski, S.A. Retinoid supplementation of differentiating human neural progenitors and embryonic stem cells leads to enhanced neurogenesis in vitro. J. Neurosci. Methods. 2010, 193, 239–245. [Google Scholar] [CrossRef]
- Lopez-Real, R.; Budge, J.; Marder, T.; Whiting, A.; Hunt, P.; Przyborski, S.A. Application of synthetic photostable retinoids induces novel limb and facial phenotypes during chick embryogenesis in vivo. J. Anat. 2014, 224, 392–411. [Google Scholar] [CrossRef]
- Sebaugh, J.; McCray, P. Defining the linear portion of a sigmoid-shaped curve: Bend points. Pharm. Stat. 2003, 2, 167–174. [Google Scholar] [CrossRef]
- Sebaugh, J. Guidelines for accurate EC50/IC50 estimation. Pharm. Stat. 2011, 10, 128–134. [Google Scholar] [CrossRef]
- Koch, A.; Tamez, P.; Pezzuto, J.; Soejarto, D. Evaluation of plants used for antimalarial treatment by the Maasai of Kenya. J. Ethnopharmacol. 2005, 101, 95–99. [Google Scholar] [CrossRef] [PubMed]
- Badisa, R.B.; Ayuk-Takem, L.T.; Ikediobi, C.O.; Walker, E.H. Selective Anticancer Activity of Pure Licamichauxiioic-B Acid in Cultured Cell Lines. Pharm. Biol. 2008, 44, 141–145. [Google Scholar] [CrossRef]
- Rusdi, M.; Alam, G.; Manggau, M.A. Selective Cytotoxicity evaluation in Anticancer drug screening of Boehmeria virgata (Forst) Guill leaves to several human cell lines: HeLa, WiDr, T47D and Vero. Dhaka Univ. J. Pharm. Sci. 2013, 12, 87–90. [Google Scholar]
- Vermes, I.; Haanen, C.; Reutelingsperger, C. Flow cytometry of apoptotic cell death. J. Immunol. Methods. 2000, 243, 167–190. [Google Scholar] [CrossRef]
- Kalikaki, A.; Koutsopoulos, A.; Trypaki, M.; Souglakos, J.; Stathopoulos, E.; Georgoulias, V.; Mavroudis, D.; Voutsina, A. Comparison of EGFR and K-RAS gene status between primary tumours and corresponding metastases in NSCLC. Br. J. Cancer 2008, 99, 923–929. [Google Scholar] [CrossRef] [PubMed]
- Jan, R. Understanding apoptosis and apoptotic pathways targeted cancer therapeutics. Adv. Pharm. Bull. 2019, 9, 205–218. [Google Scholar] [CrossRef] [PubMed]
- Cai, J.; Yang, J.; Jones, D. Mitochondrial control of apoptosis: The role of cytochrome c. Biochim. Biophys. Acta Bioenerg. 1998, 1366, 139–149. [Google Scholar] [CrossRef]
- Yan, W.; Wu, K.; Herman, J.G.; Xu, X.; Yang, Y.; Dai, G.; Guo, M. Retinoic acid-induced 2 (RAI2) is a novel tumor suppressor, and promoter region methylation of RAI2 is a poor prognostic marker in colorectal cancer. Clin. Epigenetics 2018, 10, 69–82. [Google Scholar] [CrossRef]
- Lee, H.; Flaherty, P.; Ji, H.P. Systematic genomic identification of colorectal cancer genes delineating advanced from early clinical stage and metastasis. BMC Med. Genom. 2013, 6, 54–58. [Google Scholar] [CrossRef] [PubMed]
- Agrelo, R.; Cheng, W.H.; Setien, F.; Ropero, S.; Espada, J.; Fraga, M.F.; Herranz, M.; Paz, M.F.; Sanchez-Cespedes, M.; Artiga, M.J.; et al. Epigenetic inactivation of the premature aging Werner syndrome gene in human cancer. Proc. Natl. Acad. Sci. USA 2006, 103, 8822–8827. [Google Scholar] [CrossRef] [PubMed]
- Han, M.; Song, Y.; Zhang, X. Quercetin suppresses the migration and invasion in human colon cancer Caco-2 cells through regulating toll-like receptor 4/nuclear factor-kappa B pathway. Pharmacogn. Mag. 2016, 12, 237–244. [Google Scholar]
- Su, J.; Liang, H.; Yao, W.; Wang, N.; Zhang, S.; Yan, X.; Feng, H.; Pang, W.; Wang, Y.; Wang, X.; et al. MiR-143 and MiR-145 regulate IGF1R to suppress cell proliferation in colorectal cancer. PLoS ONE 2014, 9, e114420. [Google Scholar] [CrossRef]
- Basson, M.D.; Modlin, I.M.; Madri, J. Human enterocyte (Caco-2) migration is modulated in vitro by extracellular matrix composition and epidermal growth factor. J. Clin. Investig. 1992, 90, 15–23. [Google Scholar] [CrossRef]
- Liu, Y.; Kong, X.; Li, H.; Shao, J.; Jiang, Z. SGK2 is overexpressed in colon cancer and promotes epithelial-mesenchymal transition in colon cancer cells. Eur. J. Surg. Oncol. 2020, 46, 1912–1917. [Google Scholar] [CrossRef]
- Xu, J.; Zhou, J.; Dai, H.; Liu, F.; Li, W.; Wang, W.; Guo, F. CHIP functions as an oncogene by promoting colorectal cancer metastasis via activation of MAPK and AKT signaling and suppression of E-cadherin. J. Transl. Med. 2018, 16, 1–19. [Google Scholar] [CrossRef]
- Huang, K.; Gao, N.; Bian, D.; Zhai, Q.; Yang, P.; Li, M.; Wang, X. Correlation between FAK and EGF-Induced EMT in Colorectal Cancer Cells. J. Oncol. 2020, 2020. [Google Scholar] [CrossRef]
- Palchaudhuri, R.; Lambrecht, M.J.; Botham, R.C.; Partlow, K.C.; Van Ham, T.J.; Putt, K.S.; Nguyen, L.T.; Kim, S.-H.; Peterson, R.T.; Fan, T.M.; et al. A small molecule that induces intrinsic pathway apoptosis with unparalleled speed. Cell Rep. 2015, 13, 2027–2036. [Google Scholar] [CrossRef]
- Heimer, S.; Knoll, G.; Schulze-Osthoff, K.; Ehrenschwender, M. Raptinal bypasses BAX, BAK, and BOK for mitochondrial outer membrane permeabilization and intrinsic apoptosis. Cell Death Dis. 2019, 10, 1–13. [Google Scholar] [CrossRef]
- Khazaei, S.; Hamid, R.A.; Esa, N.M.; Ramachandran, V.; Aalam, G.T.F.; Etemad, A.; Ismail, P. Promotion of HepG2 cell apoptosis by flower of Allium atroviolaceum and the mechanism of action. BMC Complement. Altern. Med. 2017, 17, 104–116. [Google Scholar] [CrossRef] [PubMed]
- Chao, X.; Wang, G.; Tang, Y.; Dong, C.; Li, H.; Wang, B.; Wu, J.; Zhao, J. The effects and mechanism of peiminine-induced apoptosis in human hepatocellular carcinoma HepG2 cells. PLoS ONE 2019, 14, e0201864. [Google Scholar] [CrossRef] [PubMed]
- Kuwana, T.; King, L.E.; Cosentino, K.; Suess, J.; Garcia-Saez, A.J.; Gilmore, A.P.; Newmeyer, D.D. Mitochondrial residence of the apoptosis inducer BAX is more important than BAX oligomerization in promoting membrane permeabilization. J. Biol. Chem. 2020, 295, 1623–1636. [Google Scholar] [CrossRef]
- Anderson, C.D.; Belous, A.; Pierce, J.; Nicoud, I.B.; Knox, C.; Wakata, A.; Pinson, C.W.; Chari, R.S. Mitochondrial calcium uptake regulates cold preservation-induced Bax translocation and early reperfusion apoptosis. Am. J. Transplant. 2004, 4, 352–362. [Google Scholar] [CrossRef] [PubMed]
- Waterhouse, N.; Trapani, J. A new quantitative assay for cytochrome c release in apoptotic cells. Cell Death Differ. 2003, 10, 853–855. [Google Scholar] [CrossRef] [PubMed]
- Shilkaitis, A.; Green, A.; Christov, K. Retinoids induce cellular senescence in breast cancer cells by RAR-β dependent and independent pathways: Potential clinical implications. Int. J. Oncol. 2015, 47, 35–42. [Google Scholar] [CrossRef] [PubMed]
- Qureshi-Baig, K.; Ullmann, P.; Haan, S.; Letellier, E. Tumor-Initiating Cells: A criTICal review of isolation approaches and new challenges in targeting strategies. Mol. Cancer 2017, 16, 40–55. [Google Scholar] [CrossRef]
- Frankel, S.R.; Eardley, A.; Lauwers, G.; Weiss, M.; Warrell, R.P., Jr. The “retinoic acid syndrome” in acute promyelocytic leukemia. Ann. Intern. Med. 1992, 117, 292–296. [Google Scholar] [CrossRef]
- Palleria, C.; Di Paolo, A.; Giofrè, C.; Caglioti, C.; Leuzzi, G.; Siniscalchi, A.; De Sarro, G.; Gallelli, L. Pharmacokinetic drug-drug interaction and their implication in clinical management. J. Res. Med. Sci. 2013, 18, 601–610. [Google Scholar]
- Vodenkova, S.; Buchler, T.; Cervena, K.; Veskrnova, V.; Vodicka, P.; Vymetalkova, V. 5-fluorouracil and other fluoropyrimidines in colorectal cancer: Past, present and future. Pharmacol. Ther. 2020, 206, 107447–107465. [Google Scholar] [CrossRef]
- Blondy, S.; David, V.; Verdier, M.; Mathonnet, M.; Perraud, A.; Christou, N. 5-Fluorouracil resistance mechanisms in colorectal cancer: From classical pathways to promising processes. Cancer Sci. 2020, 111, 3142–3154. [Google Scholar] [CrossRef] [PubMed]
- He, L.; Zhu, H.; Zhou, S.; Wu, T.; Wu, H.; Yang, H.; Mao, H.; SekharKathera, C.; Janardhan, A.; Edick, A.M.; et al. Wnt pathway is involved in 5-FU drug resistance of colorectal cancer cells. Exp. Mol. Med. 2018, 50, 1–12. [Google Scholar] [CrossRef] [PubMed]
- Zhu, Y.-H.; Ye, N.; Tang, X.-F.; Khan, M.I.; Liu, H.-L.; Shi, N.; Hang, L.-F. Synergistic Effect of Retinoic Acid Polymeric Micelles and Prodrug for the Pharmacodynamic Evaluation of Tumor Suppression. Front. Pharmacol. 2019, 10, 447–457. [Google Scholar] [CrossRef] [PubMed]
- Shougao, H.; Zhongsheng, X. Influences of ATRA and 5-FU on telomerase activity of gastric cancer cells and their antitumor effects. Zhongshan yi ke da xue xue bao= Zhongshan Yike Daxue Xuebao= Acad. J. Sun Yat-sen Univ. Med Sci. 2000, 21, 325–329. [Google Scholar]
- Huang, R.-Y.; Pei, L.L.; Liu, Q.J.; Chen, S.Q.; Dou, H.B.; Shu, G.; Yuan, Z.-X.; Lin, J.C.; Peng, G.N.; Zhang, W.; et al. Isobologram Analysis: A Comprehensive Review of Methodology and Current Research. Front. Pharmacol. 2019, 10, 1222–1233. [Google Scholar] [CrossRef]
- Schenk, T.; Stengel, S.; Zelent, A. Unlocking the potential of retinoic acid in anticancer therapy. Br. J. Cancer 2014, 111, 2039–2045. [Google Scholar] [CrossRef]
- Szondy, Z.; Reichert, U.; Bernardon, J.-M.; Michel, S.; Tóth, R.; Ancian, P.; Ajzner, E.; Fesus, L. Induction of apoptosis by retinoids and retinoic acid receptor γ-selective compounds in mouse thymocytes through a novel apoptosis pathway. Mol. Pharmacol. 1997, 51, 972–982. [Google Scholar] [CrossRef]
- Aggarwal, S.; Kim, S.-W.; Cheon, K.; Tabassam, F.H.; Yoon, J.-H.; Koo, J.S. Nonclassical action of retinoic acid on the activation of the cAMP response element-binding protein in normal human bronchial epithelial cells. Mol. Biol. Cell. 2006, 17, 566–575. [Google Scholar] [CrossRef]
- Gluyas, J.B.; Burschka, C.; Dörrich, S.; Vallet, J.; Gronemeyer, H.; Tacke, R. Disila-analogues of the synthetic retinoids EC23 and TTNN: Synthesis, structure and biological evaluation. Org. Biomol. Chem. 2012, 10, 6914–6929. [Google Scholar] [CrossRef]
- Nelson, A.M.; Gilliland, K.L.; Cong, Z.; Thiboutot, D.M. 13-cis Retinoic acid induces apoptosis and cell cycle arrest in human SEB-1 sebocytes. J. Investig. Dermatol. 2006, 126, 2178–2189. [Google Scholar] [CrossRef]
- Zouboulis, C.C. Isotretinoin revisited: Pluripotent effects on human sebaceous gland cells. J. Investig. Dermatol. 2006, 126, 2154–2156. [Google Scholar] [CrossRef] [PubMed]
- Fontana, J.; Rishi, A. Classical and novel retinoids: Their targets in cancer therapy. Leukemia 2002, 16, 463–472. [Google Scholar] [CrossRef] [PubMed]
- Chen, Q.; Ross, A.C. Retinoic acid regulates cell cycle progression and cell differentiation in human monocytic THP-1 cells. Exp. Cell. Res. 2004, 297, 68–81. [Google Scholar] [CrossRef] [PubMed]
- Liu, Y.; Wen, Q.; Chen, X.-L.; Yang, S.-J.; Gao, L.; Gao, L.; Zhang, C.; Li, J.-L.; Xiang, X.-X.; Wan, K.; et al. All-trans retinoic acid arrests cell cycle in leukemic bone marrow stromal cells by increasing intercellular communication through connexin 43-mediated gap junction. J. Hematol. Oncol. 2015, 8, 110–118. [Google Scholar] [CrossRef]
- Hu, Z.; Long, T.; Ma, Y.; Zhu, J.; Gao, L.; Zhong, Y.; Wang, X.; Wang, X.; Li, Z. Downregulation of GLYR1 contributes to microsatellite instability colorectal cancer by targeting p21 via the p38MAPK and PI3K/AKT pathways. J. Exp. Clin. Cancer Res. 2020, 39, 1–15. [Google Scholar]
- Gianni, M.; Ponzanelli, I.; Mologni, L.; Reichert, U.; Rambaldi, A.; Terao, M.; Garattini, E. Retinoid-dependent growth inhibition, differentiation and apoptosis in acute promyelocytic leukemia cells. Expression and activation of caspases. Cell Death Differ. 2000, 7, 447–460. [Google Scholar] [CrossRef]
- Watabe, H.; Soma, Y.; Ito, M.; Kawa, Y.; Mizoguchi, M. All-trans retinoic acid induces differentiation and apoptosis of murine melanocyte precursors with induction of the microphthalmia-associated transcription factor. J. Investig. Dermatol. 2002, 118, 35–42. [Google Scholar] [CrossRef]
- Bartolini, G.; Ammar, K.; Mantovani, B.; Scanabissi, F.; Ferreri, A.M.; Rocchi, P.; Orlandi, M. Retinoids and cancer: Antitumor effect of ATRA and of a new derivative of retinoic acid, IIF, on colon carcinoma cell lines CaCo-2 and HT-29. Anticancer Res. 2004, 24, 1779–1783. [Google Scholar]
- McCormack, S.A.; Viar, M.J.; Tague, L.; Johnson, L.R. Altered distribution of the nuclear receptor RAR beta accompanies proliferation and differentiation changes caused by retinoic acid in Caco-2 cells. In Vitro Cell Dev. Biol. Anim. 1996, 32, 53–61. [Google Scholar] [CrossRef]
- Spurling, C.C.; Suhl, J.A.; Boucher, N.; Nelson, C.E.; Rosenberg, D.W.; Giardina, C. The short chain fatty acid butyrate induces promoter demethylation and reactivation of RARbeta2 in colon cancer cells. Nutr. Cancer 2008, 60, 692–702. [Google Scholar] [CrossRef]
- Imajo, M.; Kondoh, K.; Yamamoto, T.; Nakayama, K.; Nakajima-Koyama, M.; Nishida, E. Antagonistic interactions between extracellular signal-regulated kinase mitogen-activated protein kinase and retinoic acid receptor signaling in colorectal cancer cells. Mol. Cell Biol. 2017, 37. [Google Scholar] [CrossRef] [PubMed]
- Lee, M.-O.; Han, S.-Y.; Jiang, S.; Park, J.H.; Kim, S.J. Differential effects of retinoic acid on growth and apoptosis in human colon cancer cell lines associated with the induction of retinoic acid receptor β. Biochem. Pharmacol. 2000, 59, 485–496. [Google Scholar] [CrossRef]
- Chu, J.H.; Gao, Z.H.; Qu, X.J. Down-regulation of sphingosine kinase 2 (SphK2) increases the effects of all-trans-retinoic acid (ATRA) on colon cancer cells. Biomed. Pharmacother. 2014, 68, 1089–1097. [Google Scholar] [CrossRef]
- Gumireddy, K.; Sutton, L.N.; Phillips, P.C.; Reddy, C.D. All-trans-retinoic acid-induced apoptosis in human medulloblastoma: Activation of caspase-3/poly (ADP-ribose) polymerase 1 pathway. Clin. Cancer Res. 2003, 9, 4052–4059. [Google Scholar] [PubMed]
- Hong, W.K.; Sporn, M.B. Recent advances in chemoprevention of cancer. Science 1997, 278, 1073–1077. [Google Scholar] [CrossRef] [PubMed]
- Toma, S.; Raffo, P.; Isnardi, L.; Palumbo, R. Retinoids in lung cancer chemoprevention and treatment. Ann. Oncol. 1999, 10, 95–102. [Google Scholar] [CrossRef] [PubMed]
- Wang, C.; Youle, R.J. The role of mitochondria in apoptosis. Annu. Rev. Genet. 2009, 43, 95–118. [Google Scholar] [CrossRef]
- Haupt, S.; Berger, M.; Goldberg, Z.; Haupt, Y. Apoptosis-the p53 network. J. Cell Sci. 2003, 116, 4077–4085. [Google Scholar] [CrossRef]
- Cohen, G.M. Caspases: The executioners of apoptosis. Biochem. J. 1997, 326, 1–16. [Google Scholar] [CrossRef]
- Wang, R.-A.; Li, Z.-S.; Yan, Q.-G.; Bian, X.-W.; Ding, Y.-Q.; Du, X.; Sun, B.-C.; Sun, Y.-T.; Zhang, X.-H. Resistance to apoptosis should not be taken as a hallmark of cancer. Chin. J. Cancer. 2014, 33, 47–50. [Google Scholar] [CrossRef]
- Hassan, M.; Watari, H.; AbuAlmaaty, A.; Ohba, Y.; Sakuragi, N. Apoptosis and molecular targeting therapy in cancer. Biomed. Res. Int. 2014, 2014. [Google Scholar] [CrossRef] [PubMed]
- Jiang, H.; Zhao, P.J.; Su, D.; Feng, J.; Ma, S.L. Paris saponin I induces apoptosis via increasing the Bax/Bcl-2 ratio and caspase-3 expression in gefitinib-resistant non-small cell lung cancer in vitro and in vivo. Mol. Med. Rep. 2014, 9, 2265–2272. [Google Scholar] [CrossRef] [PubMed]
- Gazzaniga, P.; Gradilone, A.; Vercillo, R.; Gandini, O.; Silvestri, I.; Napolitano, M.; Albonici, L.; Vincenzoni, A.; Gallucci, M.; Frati, L.; et al. bcl-2/bax mRNA expression ratio as prognostic factor in low-grade urinary bladder cancer. Int. J. Cancer 1996, 69, 100–104. [Google Scholar] [CrossRef]
- Shimizu, S.; Narita, M.; Tsujimoto, Y. Bcl-2 family proteins regulate the release of apoptogenic cytochrome c by the mitochondrial channel VDAC. Nature 1999, 399, 483–487. [Google Scholar] [CrossRef]
- McIlwain, D.R.; Berger, T.; Mak, T.W. Caspase functions in cell death and disease. Cold Spring Harb. Perspect. Biol. 2015, 7. [Google Scholar] [CrossRef]
- Vogel, C.; Marcotte, E.M. Insights into the regulation of protein abundance from proteomic and transcriptomic analyses. Nat. Rev. Genet. 2012, 13, 227–232. [Google Scholar] [CrossRef]
- Maximov, G.; Maximov, K. The role of p53 tumor-suppressor protein in apoptosis and cancerogenesis. Biotechnol. Biotechnol. Equip. 2008, 22, 664–668. [Google Scholar] [CrossRef]
- Fridman, J.S.; Lowe, S.W. Control of apoptosis by p53. Oncogene 2003, 22, 9030–9040. [Google Scholar] [CrossRef]
- Sexton, R.E.; Hachem, A.H.; Assi, A.A.; Bukhsh, M.A.; Gorski, D.H.; Speyer, C.L. Metabotropic glutamate receptor-1 regulates inflammation in triple negative breast cancer. Sci. Rep. 2018, 8, 1–11. [Google Scholar] [CrossRef]
- Luo, W.Y.; Xing, S.Q.; Zhu, P.; Zhang, C.G.; Yang, H.M.; Van Halm-Lutterodt, N.; Gu, L.; Zhang, H. PDZ Scaffold Protein CAL Couples with Metabotropic Glutamate Receptor 5 to Protect Against Cell Apoptosis and Is a Potential Target in the Treatment of Parkinson’s Disease. Neurotherapeutics 2019, 16, 761–783. [Google Scholar] [CrossRef]
- Stepulak, A.; Rola, R.; Polberg, K.; Ikonomidou, C. Glutamate and its receptors in cancer. J. Neural. Transm. (Vienna) 2014, 121, 933–944. [Google Scholar] [CrossRef] [PubMed]
- Khan, A.J.; LaCava, S.; Mehta, M.; Schiff, D.; Thandoni, A.; Jhawar, S.; Danish, S.; Haffty, B.G.; Chen, S. The glutamate release inhibitor riluzole increases DNA damage and enhances cytotoxicity in human glioma cells, in vitro and in vivo. Oncotarget 2019, 10, 2824–2834. [Google Scholar] [CrossRef] [PubMed]
- Yu, D.; Shi, X.; Meng, G.; Chen, J.; Yan, C.; Jiang, Y.; Wei, J.; Ding, Y. Kidney-type glutaminase (GLS1) is a biomarker for pathologic diagnosis and prognosis of hepatocellular carcinoma. Oncotarget 2015, 6, 7619–7631. [Google Scholar] [CrossRef] [PubMed]
- Choi, Y.-K.; Park, K.-G. Targeting glutamine metabolism for cancer treatment. Biomol. Ther. 2018, 26, 19–28. [Google Scholar] [CrossRef]
- Alberghina, L.; Gaglio, D. Redox control of glutamine utilization in cancer. Cell Death Dis. 2014, 5, e1561. [Google Scholar] [CrossRef]
- Altman, B.J.; Stine, Z.E.; Dang, C.V. From Krebs to clinic: Glutamine metabolism to cancer therapy. Nat. Rev. Cancer. 2016, 16, 619–634. [Google Scholar] [CrossRef]
- Matés, J.M.; Campos-Sandoval, J.A.; Santos-Jiménez, J.L.; Márquez, J. Dysregulation of glutaminase and glutamine synthetase in cancer. Cancer Lett. 2019, 467, 29–39. [Google Scholar] [CrossRef]
- Katt, W.P.; Cerione, R.A. Glutaminase regulation in cancer cells: A druggable chain of events. Drug Discov. Today 2014, 19, 450–457. [Google Scholar] [CrossRef]
- Budczies, J.; Pfitzner, B.M.; Györffy, B.; Winzer, K.J.; Radke, C.; Dietel, M.; Fiehn, O.; Denkert, C. Glutamate enrichment as new diagnostic opportunity in breast cancer. Int. J. Cancer 2015, 136, 1619–1628. [Google Scholar] [CrossRef]
- Willard, S.S.; Koochekpour, S. Glutamate signaling in benign and malignant disorders: Current status, future perspectives, and therapeutic implications. Int. J. Biol. Sci. 2013, 9, 728–742. [Google Scholar] [CrossRef]
- Tudek, B.; Speina, E. Oxidatively damaged DNA and its repair in colon carcinogenesis. Mutat. Res. 2012, 736, 82–92. [Google Scholar] [CrossRef] [PubMed]
- Han, C.; Wang, Z.; Xu, Y.; Chen, S.; Han, Y.; Li, L.; Wang, M.; Jin, X. Roles of Reactive Oxygen Species in Biological Behaviors of Prostate Cancer. Biomed. Res. Int. 2020, 2020. [Google Scholar] [CrossRef]
- Sedlak, T.W.; Paul, B.D.; Parker, G.M.; Hester, L.D.; Snowman, A.M.; Taniguchi, Y.; Kamiya, A.; Snyder, S.H.; Sawa, A. The glutathione cycle shapes synaptic glutamate activity. Proc. Natl. Acad. Sci. USA 2019, 116, 2701–2706. [Google Scholar] [CrossRef] [PubMed]
- Lu, S.C. Regulation of glutathione synthesis. Mol. Asp. Med. 2009, 30, 42–59. [Google Scholar] [CrossRef]
- Kumar, J.; Liddle, E.B.; Fernandes, C.C.; Palaniyappan, L.; Hall, E.L.; Robson, S.E.; Simmonite, M.; Fiesal, J.; Katshu, M.Z.; Qureshi, A.; et al. Glutathione and glutamate in schizophrenia: A 7T MRS study. Mol. Psychiatry 2018, 25, 1–10. [Google Scholar] [CrossRef] [PubMed]
- van Zijl, F.; Krupitza, G.; Mikulits, W. Initial steps of metastasis: Cell invasion and endothelial transmigration. Mutat. Res. 2011, 728, 23–34. [Google Scholar] [CrossRef]
- Edward, M. Effect of retinoids on tumour invasion and metastasis. Pathobiology 1992, 60, 271–277. [Google Scholar] [CrossRef]
- Park, E.Y.; Wilder, E.T.; Lane, M.A. Retinol Inhibits the Invasion of Retinoic Acid–Resistant Colon Cancer Cells In Vitro and Decreases Matrix Metalloproteinase MRNA, Protein, and Activity Levels. Nutr. Cancer 2007, 57, 66–77. [Google Scholar] [CrossRef]
- Sun, J.; Lu, Z.; Deng, Y.; Wang, W.; He, Q.; Yan, W.; Wang, A. Up-regulation of INSR/IGF1R by C-myc promotes TSCC tumorigenesis and metastasis through the NF-κB pathway. Biochim. Biophys. Acta Mol. Basis Dis. 2018, 1864, 1873–1882. [Google Scholar] [CrossRef]
- Wang, S.-Q.; Yang, X.-Y.; Yu, X.-F.; Cui, S.-X.; Qu, X.-J. Knockdown of IGF-1R triggers viral RNA sensor MDA5-and RIG-I-mediated mitochondrial apoptosis in colonic cancer cells. Mol. Ther. Nucleic Acids. 2019, 16, 105–117. [Google Scholar] [CrossRef]
- Cui, J.; Gong, M.; He, Y.; Li, Q.; He, T.; Bi, Y. All-trans retinoic acid inhibits proliferation, migration, invasion and induces differentiation of hepa1–6 cells through reversing EMT in vitro. Int. J. Oncol. 2015, 48, 349–357. [Google Scholar] [CrossRef] [PubMed]
- Kuczynski, E.A.; Viloria-Petit, A.M.; Coomber, B.L. Colorectal carcinoma cell production of transforming growth factor beta decreases expression of endothelial cell vascular endothelial growth factor receptor 2. Cancer 2011, 117, 5601–5611. [Google Scholar] [CrossRef] [PubMed]
- Massagué, J.; Gomis, R.R. The logic of TGFβ signaling. FEBS Lett. 2006, 580, 2811–2820. [Google Scholar]
- Levy, L.; Hill, C.S. Alterations in components of the TGF-β superfamily signaling pathways in human cancer. Cytokine Growth Factor Rev. 2006, 17, 41–58. [Google Scholar] [CrossRef]
- Daulagala, A.C.; Bridges, M.C.; Kourtidis, A. E-cadherin Beyond Structure: A Signaling Hub in Colon Homeostasis and Disease. Int. J. Mol. Sci. 2019, 20, 2756. [Google Scholar] [CrossRef]
- El-Bahrawy, M.; Poulsom, S.R.; Rowan, A.J.; Tomlinson, I.T.; Alison, M.R. Characterization of the E-cadherin/catenin complex in colorectal carcinoma cell lines. Int. J. Exp. Pathol. 2004, 85, 65–74. [Google Scholar] [CrossRef]
- Werner, S.; Brors, B.; Eick, J.; Marques, E.; Pogenberg, V.; Parret, A.; Kemming, D.; Wood, A.W.; Edgren, H.; Neubauer, H.; et al. Suppression of early hematogenous dissemination of human breast cancer cells to bone marrow by retinoic Acid-induced 2. Cancer Discov. 2015, 5, 506–519. [Google Scholar] [CrossRef]
- Esposito, M.; Kang, Y. RAI2: Linking retinoic acid signaling with metastasis suppression. Cancer Discov. 2015, 5, 466–468. [Google Scholar] [CrossRef]
- Hickson, I.D. RecQ helicases: Caretakers of the genome. Nat. Rev. Cancer 2003, 3, 169–178. [Google Scholar] [CrossRef]
- Yamamoto, K.; Imakiire, A.; Miyagawa, N.; Kasahara, T. A report of two cases of Werner’s syndrome and review of the literature. J. Orthop. Surg. (Hong Kong) 2003, 11, 224–233. [Google Scholar] [CrossRef]
- Smith, J.A.; Ndoye, A.M.; Geary, K.; Lisanti, M.P.; Igoucheva, O.; Daniel, R. A role for the Werner syndrome protein in epigenetic inactivation of the pluripotency factor Oct4. Aging Cell. 2010, 9, 580–591. [Google Scholar] [CrossRef] [PubMed]
- Blander, G.; Kipnis, J.; Leal, J.F.; Yu, C.E.; Schellenberg, G.D.; Oren, M. Physical and functional interaction between p53 and the Werner’s syndrome protein. J. Biol. Chem. 1999, 274, 29463–29469. [Google Scholar] [CrossRef] [PubMed]
- Haffez, H.; Taha, H.; Rabie, M.A.; Awad, S.M.; Zohny, Y.M. Synthesis, Biological Evaluation and Molecular Docking Studies of Novel Thiopyrimidine Analogue as Apoptotic Agent with Potential Anticancer Activity. Bioorg. Chem. 2020, 104, 104249. [Google Scholar] [CrossRef] [PubMed]
- Peña-Morán, O.A.; Villarreal, M.L.; Álvarez-Berber, L.; Meneses-Acosta, A.; Rodríguez-López, V. Cytotoxicity, post-treatment recovery, and selectivity analysis of naturally occurring podophyllotoxins from Bursera fagaroides var. fagaroides on breast cancer cell lines. Molecules 2016, 21, 1013. [Google Scholar] [CrossRef]
- Braga, C.B.; Kido, L.A.; Lima, E.N.; Lamas, C.A.; Cagnon, V.r.H.; Ornelas, C.; Pilli, R.A. Enhancing the Anticancer Activity and Selectivity of Goniothalamin Using pH-Sensitive Acetalated Dextran (Ac-Dex) Nanoparticles: A Promising Platform for Delivery of Natural Compounds. ACS Biomater. Sci. Eng. 2020, 6, 2929–2942. [Google Scholar] [CrossRef]
- Ye, L.; Tao, K.; Yu, Y.; Wang, G. Reduction of G0 phase cells of colon cancer caco-2 cells may enhance 5-fluorouracil efficacy. J. Biomed. Res. 2010, 24, 64–68. [Google Scholar] [CrossRef]
- Handali, S.; Moghimipour, E.; Rezaei, M.; Ramezani, Z.; Kouchak, M.; Amini, M.; Angali, K.A.; Saremy, S.; Dorkoosh, F.A. A novel 5-Fluorouracil targeted delivery to colon cancer using folic acid conjugated liposomes. Biomed. Pharmacother. 2018, 108, 1259–1273. [Google Scholar] [CrossRef]
- Chou, T.C.; Talalay, P. Generalized equations for the analysis of inhibitions of Michaelis-Menten and higher-order kinetic systems with two or more mutually exclusive and nonexclusive inhibitors. Eur. J. Biochem. 1981, 115, 207–216. [Google Scholar] [CrossRef]
- Chou, T.C.; Talalay, P. Quantitative analysis of dose-effect relationships: The combined effects of multiple drugs or enzyme inhibitors. Adv. Enzyme Regul. 1984, 22, 27–55. [Google Scholar] [CrossRef]
- Huang, L.; Jiang, Y.; Chen, Y. Predicting drug combination index and simulating the network-regulation dynamics by mathematical modeling of drug-targeted EGFR-ERK signaling pathway. Sci. Rep. 2017, 7, 40752–40760. [Google Scholar] [CrossRef] [PubMed]
- Wali, V.B.; Sylvester, P.W. Synergistic antiproliferative effects of gamma-tocotrienol and statin treatment on mammary tumor cells. Lipids 2007, 42, 1113–1123. [Google Scholar] [CrossRef] [PubMed]
- Erdem, S.S.; Obeidin, V.A.; Yigitbasi, T.; Tumer, S.S.; Yigit, P. Verteporfin mediated sequence dependent combination therapy against ovarian cancer cell line. J. Photochem. Photobiol. B. 2018, 183, 266–274. [Google Scholar] [CrossRef] [PubMed]
- Ji, Y.; Yu, M.; Qi, Z.; Cui, D.; Xin, G.; Wang, B.; Jia, W.; Chang, L. Study on apoptosis effect of human breast cancer cell MCF-7 induced by lycorine hydrochloride via death receptor pathway. Saudi Pharm. J. 2017, 25, 633–637. [Google Scholar] [CrossRef] [PubMed]
- Merchant, S.H.; Gonchoroff, N.J.; Hutchison, R.E. Apoptotic index by Annexin V flow cytometry: Adjunct to morphologic and cytogenetic diagnosis of myelodysplastic syndromes. Cytometry 2001, 46, 28–32. [Google Scholar] [CrossRef]
- Potten, C.S. What is an apoptotic index measuring? A commentary. Br. J. Cancer 1996, 74, 1743–1748. [Google Scholar] [CrossRef]
- Livak, K.J.; Schmittgen, T.D. Analysis of relative gene expression data using real-time quantitative PCR and the 2(-Delta Delta C(T)) Method. Methods 2001, 25, 402–408. [Google Scholar] [CrossRef]
- Burnette, W.N. “Western Blotting”: Electrophoretic transfer of proteins from sodium dodecyl sulfate-polyacrylamide gels to unmodified nitrocellulose and radiographic detection with antibody and radioiodinated protein A. Anal. Biochem. 1981, 112, 195–203. [Google Scholar] [CrossRef]
- Sambrook, H. Molecular Cloning: A Laboratory Manual; Cold Spring Harb.: Plainview, NY, USA, 1989. [Google Scholar]
- Fazzari, J.; Lin, H.; Murphy, C.; Ungard, R.; Singh, G. Inhibitors of glutamate release from breast cancer cells; new targets for cancer-induced bone-pain. Sci. Rep. 2015, 5, 8380–8386. [Google Scholar] [CrossRef]
- Zhang, Z.; Liu, J.; Fan, C.; Mao, L.; Xie, R.; Wang, S.; Yang, M.; Yuan, H.; Yang, X.; Sun, J.; et al. The GluN1/GluN2B NMDA receptor and metabotropic glutamate receptor 1 negative allosteric modulator has enhanced neuroprotection in a rat subarachnoid hemorrhage model. Exp. Neurol. 2018, 301, 13–25. [Google Scholar] [CrossRef]
- Zhu, C.; Xu, Q.; Wang, C.; Mao, Z.; Lin, N. Evidence that CA3 is underling the comorbidity between pain and depression and the co-curation by Wu-Tou decoction in neuropathic pain. Sci. Rep. 2017, 7, 1–14. [Google Scholar] [CrossRef]
- Mishra, P.-S.; Vijayalakshmi, K.; Nalini, A.; Sathyaprabha, T.; Kramer, B.; Alladi, P.A.; Raju, T. Etiogenic factors present in the cerebrospinal fluid from amyotrophic lateral sclerosis patients induce predominantly pro-inflammatory responses in microglia. J. Neuroinflamm. 2017, 14, 1–18. [Google Scholar] [CrossRef] [PubMed]
- Polletta, L.; Vernucci, E.; Carnevale, I.; Arcangeli, T.; Rotili, D.; Palmerio, S.; Steegborn, C.; Nowak, T.; Schutkowski, M.; Pellegrini, L.; et al. SIRT5 regulation of ammonia-induced autophagy and mitophagy. Autophagy 2015, 11, 253–270. [Google Scholar] [CrossRef] [PubMed]
- Koracevic, D.; Koracevic, G.; Djordjevic, V.; Andrejevic, S.; Cosic, V. Method for the measurement of antioxidant activity in human fluids. J. Clin. Pathol. 2001, 54, 356–361. [Google Scholar] [CrossRef] [PubMed]










| Cell Line | * IC50 (µM) ± SEM and Corresponding SI | |||||
|---|---|---|---|---|---|---|
| ATRA | EC19 | EC23 | ||||
| IC50 | SI | IC50 | SI | IC50 | SI | |
| WI-38 | 34.0 ± 1.1 | 1 | 48.4 ± 1.2 | 1 | 8.01 ± 0.13 | 1 |
| Vero | >100 | 1 | >100 | 1 | 35.23 ± 1.02 | 1 |
| HepG2 | 36.2 ± 1.9 | 0.94 ± 0.02 | 42.2 ± 0.92 | 1.2 ± 0.002 | 0.74 ± 0.001 | 10.82 ± 1.0 |
| Huh7 | >100 | <1 | >100 | 0.14 ±0.01 | >100 | 0.02 ± 0.001 |
| Caco-2 | 58.0 ± 1.0 | 0.59 ± 0.01 | 10.8 ± 0.1 | 4.5 ± 0.01 | 14.7 ± 0.73 | 0.54 ±0.01 |
| HCT-116 | >100 | <1 | >100 | <1 | 44.46 ± 1.1 | 0.18 ± 0.003 |
| HT-29 | 0.002 ± 0.01 | >1 | >100 | <1 | >100 | <1 |
| MCF-7 | 99 ± 0.26 | 0.34 ± 0.01 | 9.4 ± 0.13 | 5.18 ± 0.1 | 5.56 ± 0.01 | 1.44 ± 0.004 |
| MDA-MB 231 | >100 | <1 | >100 | <1 | >100 | <1 |
| DU-145 | >100 | <1 | 86.9 ± 2.0 | 0.56 ± 0.001 | >100 | <1 |
| PC3 | >100 | <1 | >100 | <1 | >100 | <1 |
| A549 | 84.7 ± 3.2 | 0.4 ± 0.01 | >100 | <1 | >100 | <1 |
| Drug | IC50 (µM) | ×IC50 (µM) (Combination) with 5-FU | Individual IC50 (µM) (Combination) | DRI | CI | |
|---|---|---|---|---|---|---|
| 5-FU | Retinoid | |||||
| 5-FU | 18.4 ± 0.6 | ---------------------------------------------------------- | ||||
| ATRA | 58 ± 1.0 | 0.15 ± 0.01 | 2.8 ± 0.3 | 8.7 ± 0.9 | 6.9 ± 0.7 | 0.29 ± 0.03 ** |
| EC19 | 10.8 ± 0.1 | 0.229 ± 0.03 | 4.21 ± 0.6 | 2.47 ± 0.3 | 4.5 ± 0.6 | 0.46 ± 0.06 ** |
| EC23 | 14.7 ± 0.7 | 0.136 ± 0.02 | 2.5 ± 0.3 | 2 ± 0.2 | 7.5 ± 0.8 | 0.27 ± 0.03 ** |
| Apoptosis Analysis of Caco-2 Cell Line | 12 h Treatment | 24 h Treatment | ||||||
|---|---|---|---|---|---|---|---|---|
| Control | ATRA | EC19 | EC23 | Control | ATRA | EC19 | EC23 | |
| % viable cells (C−−) | 80.30 ± 7.9 | 87.99 ± 15.0 | 93.65 ± 14.0 | 91.61 ± 13.7 | 78.83 ± 6.4 | 52.4 ± 11.5 * | 24.5 ± 11.8 *** | 34.4 ± 18.3 *** |
| % early apoptotic cells (C+−) | 19.61 ± 5.5 | 11.99 ± 1.9 | 6.30 ± 1.1 | 8.34 ± 1.1 | 20.20 ± 2.8 | 47.4 ± 2.5 ** | 75.3 ± 13.8 *** | 65.4 ± 18.4 *** |
| % late apoptotic cells (C−+) | 0.00 | 0.00 | 0.01 | 0.01 | 0.0 | 0.0 | 0.0 | 0.0 |
| % necrotic cells (C++) | 0.08 | 0.01 | 0.4 ± 0.1 | 0.05 | 0.95 ± 0.18 | 0.28± 0.17 | 0.18 ± 0.05 | 0.16 ± 0.14 |
| % Apoptotic index (AI) | 20 | 12 | 6.3 | 8.3 | 18 | 63 | 84 | 89 |
| Cell Cycle Analysis of Caco-2 Cell Line | Control | 12 h Treatment | 24 h Treatment | ||||
|---|---|---|---|---|---|---|---|
| ATRA | EC19 | EC23 | ATRA | EC19 | EC23 | ||
| % SubG0-G1 | 0.24 ± 0.1 | 0.14 ± 0.1 | 0.29 ± 0.1 | 0.46 ± 0.1 | 1.6 ± 0.19 *** | 4.5 ± 0.6 *** | 3.9 ± 0.43 *** |
| % G0-G1 | 67.2 ± 10.1 | 26.1 ± 3.6 | 39.1 ± 6.7 | 58.7 ± 8.2 | 37.1 ± 4.5 | 29.0 ± 4.1 | 32.7 ± 4.6 |
| % S | 30.8 ± 1.1 | 57.5 ± 8.1 * | 51.5 ± 7.2 * | 34.0 ± 4.1 | 29.5 ± 3.5 | 44.0 ± 8.2 ** | 47.6 ± 9.1 ** |
| % G2M | 1.74 ± 10.1 | 16.3 ± 1.9 * | 9.1 ± 1.3 * | 6.8 ± 0.8 * | 31.8 ± 4.8 *** | 22.5 ± 3.1 *** | 15.8 ± 1.9 *** |
| %G2M/G0-G1 | 2.6 ± 0.2 | 62.5 ± 8.8 ** | 23.4 ± 2.8 * | 11.6 ± 1.7 * | 85.7 ± 16.3 *** | 77.6 ± 10.8 *** | 48.3 ± 6.8 ** |
Publisher’s Note: MDPI stays neutral with regard to jurisdictional claims in published maps and institutional affiliations. |
© 2021 by the authors. Licensee MDPI, Basel, Switzerland. This article is an open access article distributed under the terms and conditions of the Creative Commons Attribution (CC BY) license (http://creativecommons.org/licenses/by/4.0/).
Share and Cite
Abdelaal, M.R.; Soror, S.H.; Elnagar, M.R.; Haffez, H. Revealing the Potential Application of EC-Synthetic Retinoid Analogues in Anticancer Therapy. Molecules 2021, 26, 506. https://doi.org/10.3390/molecules26020506
Abdelaal MR, Soror SH, Elnagar MR, Haffez H. Revealing the Potential Application of EC-Synthetic Retinoid Analogues in Anticancer Therapy. Molecules. 2021; 26(2):506. https://doi.org/10.3390/molecules26020506
Chicago/Turabian StyleAbdelaal, Mohamed R., Sameh H. Soror, Mohamed R. Elnagar, and Hesham Haffez. 2021. "Revealing the Potential Application of EC-Synthetic Retinoid Analogues in Anticancer Therapy" Molecules 26, no. 2: 506. https://doi.org/10.3390/molecules26020506
APA StyleAbdelaal, M. R., Soror, S. H., Elnagar, M. R., & Haffez, H. (2021). Revealing the Potential Application of EC-Synthetic Retinoid Analogues in Anticancer Therapy. Molecules, 26(2), 506. https://doi.org/10.3390/molecules26020506

