Sign in to use this feature.

Years

Between: -

Subjects

remove_circle_outline
remove_circle_outline
remove_circle_outline
remove_circle_outline
remove_circle_outline
remove_circle_outline
remove_circle_outline
remove_circle_outline
remove_circle_outline

Journals

remove_circle_outline
remove_circle_outline
remove_circle_outline
remove_circle_outline

Article Types

Countries / Regions

Search Results (190)

Search Parameters:
Keywords = multi-directional diffusion

Order results
Result details
Results per page
Select all
Export citation of selected articles as:
27 pages, 6214 KB  
Review
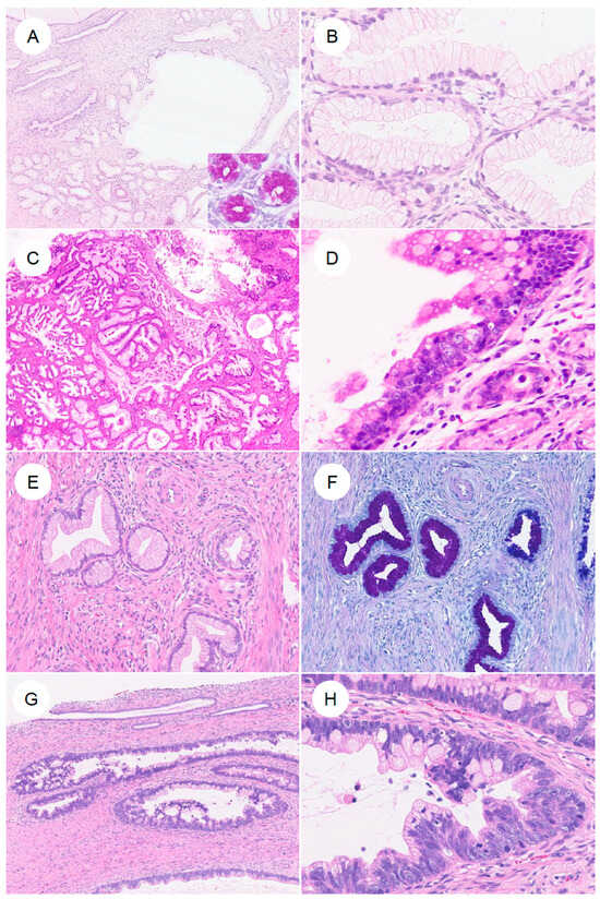
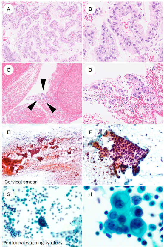
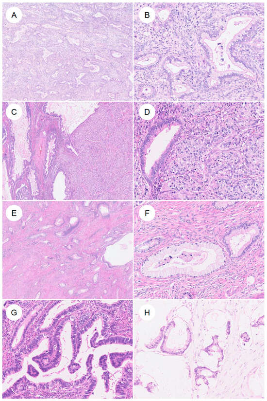
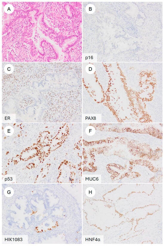
Gastric-Type Cervical Adenocarcinoma: Clinicopathologic Features, Molecular Landscape, and Therapeutic Challenges
by Hiroshi Yoshida, Daiki Higuchi, Waku Takigawa, Nao Kikkawa, Taro Yamanaka, Ayaka Nagao, Mayumi Kobayashi-Kato, Masaya Uno, Mitsuya Ishikawa and Kouya Shiraishi
J. Pers. Med. 2026, 16(2), 72; https://doi.org/10.3390/jpm16020072 (registering DOI) - 31 Jan 2026
Abstract
Endocervical adenocarcinoma is now classified within an etiologic framework based on the presence or absence of high-risk human papillomavirus (HPV) infection. Gastric-type endocervical adenocarcinoma (GAS) is the prototypical HPV-independent subtype, accounting for up to 25% of endocervical adenocarcinomas and showing a particularly high [...] Read more.
Endocervical adenocarcinoma is now classified within an etiologic framework based on the presence or absence of high-risk human papillomavirus (HPV) infection. Gastric-type endocervical adenocarcinoma (GAS) is the prototypical HPV-independent subtype, accounting for up to 25% of endocervical adenocarcinomas and showing a particularly high frequency in East Asia. GAS is typically diagnosed at a more advanced stage than usual-type HPV-associated endocervical adenocarcinoma (UEA); exhibits deep stromal and parametrial invasion, lymphovascular space invasion, and a strong propensity for ovarian and peritoneal metastasis; and is associated with markedly worse survival, even in stage I disease. Radiological evaluation is challenging because of diffuse infiltrative growth, prominent mucin production, and frequent underestimation of extra-cervical spread. Histologically, GAS shows gastric-type (pyloric) differentiation, ranging from minimal deviation adenocarcinoma to poorly differentiated forms, and often overlaps with precursor lesions such as atypical lobular endocervical glandular hyperplasia and gastric-type adenocarcinoma in situ. Immunophenotypically, GAS is typically p16-negative, ER/PR-negative, and frequently exhibits mutant-type p53 and expression of gastric markers including MUC6, HIK1083, and claudin 18.2. Recent next-generation sequencing and multi-omics studies have revealed recurrent alterations in TP53, CDKN2A, STK11, KRAS, ARID1A, KMT2D, and homologous recombination-related genes, together with the activation of PI3K/AKT, WNT/β-catenin, TGF-β, and EMT pathways and characteristic metabolic reprogramming. GAS is highly resistant to conventional chemotherapy and radiotherapy, and its current management follows guidelines for squamous and usual-type adenocarcinoma. Emerging data support precision-medicine approaches targeting HER2/HER3, PD-1/PD-L1, and claudin 18.2, and suggest a role for PARP inhibition and other genotype-directed therapies in selected subsets. Given its aggressive biology and rising relative incidence in the HPV-vaccination era, GAS represents a critical unmet need in gynecologic oncology. Future progress hinges on developing reliable diagnostic biomarkers, refining imaging protocols, and validating targeted therapies through international clinical trials. Full article
(This article belongs to the Special Issue Molecular Pathology in Cancer Research)
Show Figures

Figure 1

29 pages, 229050 KB  
Article
DiffusionNet++: A Robust Framework for High-Resolution 3D Dental Mesh Segmentation
by Kaixin Zhang, Changying Wang and Shengjin Wang
Appl. Sci. 2026, 16(3), 1415; https://doi.org/10.3390/app16031415 - 30 Jan 2026
Abstract
Accurate segmentation of 3D dental structures is essential for oral diagnosis, orthodontic planning, and digital dentistry. With the rapid advancement of 3D scanning and modeling technologies, high-resolution dental data have become increasingly common. However, existing approaches still struggle to process such high-resolution data [...] Read more.
Accurate segmentation of 3D dental structures is essential for oral diagnosis, orthodontic planning, and digital dentistry. With the rapid advancement of 3D scanning and modeling technologies, high-resolution dental data have become increasingly common. However, existing approaches still struggle to process such high-resolution data efficiently. Current models often suffer from excessive parameter counts, slow inference, high computational overhead, and substantial GPU memory usage. These limitations compel many studies to downsample the input data to reduce training and inference costs—an operation that inevitably diminishes critical geometric details, blurs tooth boundaries, and compromises both fine-grained structural accuracy and model robustness. To address these challenges, this study proposes DiffusionNet++, an end-to-end segmentation framework capable of operating directly on raw high-resolution dental data. Building upon the standard DiffusionNet architecture, our method introduces a normal-enhanced multi-feature input strategy together with a lightweight SE channel-attention mechanism, enabling the model to effectively exploit local directional cues, curvature variations, and other higher-order geometric attributes while adaptively emphasizing discriminative feature channels. Experimental results demonstrate that the coordinates + normal feature configuration consistently delivers the best performance. DiffusionNet++ achieves substantial improvements in overall accuracy (OA), mean Intersection over Union (mIoU), and individual class IoU across all data types, while maintaining strong robustness and generalization on challenging cases, such as missing teeth and partially scanned data. Qualitative visualizations further corroborate these findings, showing superior boundary consistency, finer structural preservation, and enhanced recovery of incomplete regions. Overall, DiffusionNet++ offers an efficient, stable, and highly accurate solution for high-resolution 3D tooth segmentation, providing a powerful foundation for automated digital dentistry research and real-world clinical applications. Full article
Show Figures

Figure 1

48 pages, 3621 KB  
Review
Mining the Hidden Pharmacopeia: Fungal Endophytes, Natural Products, and the Rise of AI-Driven Drug Discovery
by Ruqaia Al Shami and Walaa K. Mousa
Int. J. Mol. Sci. 2026, 27(3), 1365; https://doi.org/10.3390/ijms27031365 - 29 Jan 2026
Abstract
Emerging from millions of years of evolutionary optimization, Natural products (NPs) remain unique, unparalleled sources of bioactive scaffolds. Unlike synthetic molecules engineered around single therapeutic targets, NPs often exhibit multi-target, system-level bioactivity, aligned with the principles of network pharmacology, which modulates pathways in [...] Read more.
Emerging from millions of years of evolutionary optimization, Natural products (NPs) remain unique, unparalleled sources of bioactive scaffolds. Unlike synthetic molecules engineered around single therapeutic targets, NPs often exhibit multi-target, system-level bioactivity, aligned with the principles of network pharmacology, which modulates pathways in a coordinated, non-disruptive manner. This approach reduces resistance, buffers compensatory feedback loops, and enhances therapeutic resilience. Fungal endophytes represent one of the most chemically diverse and biologically sophisticated NP reservoirs known, producing polyketides, alkaloids, terpenoids, and peptides with intricate three-dimensional architectures and emergent bioactivity patterns that remain exceptionally difficult to design de novo. Advances in artificial intelligence (AI), machine learning, deep learning, and multi-omics integration have redefined the discovery landscape, transforming previously intractable fungal metabolomes and cryptic biosynthetic gene clusters (BGCs) into tractable, predictable, and engineerable systems. AI accelerates genome mining, metabolomic annotation, BGC-metabolite linking, structure prediction, and activation of silent pathways. Generative AI and diffusion models now enable de novo design of NP-inspired scaffolds while preserving biosynthetic feasibility, opening new opportunities for direct evolution, pathway refactoring, and precision biomanufacturing. This review synthesizes the chemical and biosynthetic diversity of major NP classes from fungal endophytes and maps them onto the rapidly expanding ecosystem of AI-driven tools. We outline how AI transforms NP discovery from empirical screening into a predictive, hypothesis-driven discipline with direct industrial implications for drug discovery and synthetic biology. By coupling evolutionarily refined chemistry with modern computational intelligence, the field is poised for a new era in which natural-product leads are not only rediscovered but systematically expanded, engineered, and industrialized to address urgent biomedical and sustainability challenges. Full article
(This article belongs to the Section Bioactives and Nutraceuticals)
Show Figures

Figure 1

24 pages, 2079 KB  
Article
Differences in Carbon Emissions and Spatial Spillover in Typical Urban Agglomerations in China
by Yihan Zhang, Gaoneng Lai, Shanshan Li and Dan Li
Geosciences 2026, 16(1), 41; https://doi.org/10.3390/geosciences16010041 - 12 Jan 2026
Viewed by 345
Abstract
This study investigates the spatial patterns and drivers of carbon emissions across China’s three major urban agglomerations—Beijing–Tianjin–Hebei (BTH), the Yangtze River Delta (YRD), and the Pearl River Delta (PRD)—from 2011 to 2020. A sequential analytical framework was employed to examine emission inequality, spatial [...] Read more.
This study investigates the spatial patterns and drivers of carbon emissions across China’s three major urban agglomerations—Beijing–Tianjin–Hebei (BTH), the Yangtze River Delta (YRD), and the Pearl River Delta (PRD)—from 2011 to 2020. A sequential analytical framework was employed to examine emission inequality, spatial dependence, dynamic transitions, and multi-scale drivers. Specifically, the Gini and Theil indices were used to quantify and decompose regional disparities. Spatial clustering patterns and heterogeneity were then identified through global and local Moran’s I analysis. Following this, spatial Markov chains modeled state transitions and neighborhood spillover effects. Finally, the Spatial Durbin Model (SDM) was applied to distinguish between the direct and indirect effects of key socioeconomic drivers. The findings reveal that disparities in emissions are largely driven by factors within each region. In BTH, heavy industrial lock-in accounts for 47.1% of the within-group inequality. By contrast, the YRD and PRD show noticeable convergence, achieved through industrial synergy and technological restructuring, respectively. The mechanisms of spatial spillover also differ across regions. In the YRD, emissions exhibit strong clustering tied to geographic proximity, with Moran’s I consistently above 0.6. In BTH, policy linkages play a more central role in shaping emission patterns. Meanwhile, in the PRD, widespread technological diffusion weakens the conventional distance-decay effect. The influence of key drivers varies notably among the urban agglomerations. Economic growth has the strongest scale effect in the PRD, reflected by a coefficient of 0.556. Industrial transformation significantly lowers emissions in the YRD, with a coefficient of −0.115. Technology investment reduces emissions in BTH (−0.124) and the PRD (−0.076), but is associated with a slight rebound in the YRD (0.037). Overall, these results highlight the persistent path dependence and distinct spatial interdependencies of carbon emissions in each region. This underscores the need for tailored mitigation strategies that are coordinated across administrative boundaries. Full article
(This article belongs to the Section Climate and Environment)
Show Figures

Figure 1

31 pages, 7927 KB  
Review
Research Progress of High-Entropy Ceramic Films via Arc Ion Plating
by Haoran Chen, Baosen Mi, Jingjing Wang, Tianju Chen, Xun Ma, Ping Liu and Wei Li
Coatings 2026, 16(1), 82; https://doi.org/10.3390/coatings16010082 - 9 Jan 2026
Viewed by 432
Abstract
High-entropy ceramic (HEC) thin films generally refer to multi-component solid solutions composed of multiple metallic and non-metallic elements, existing in forms such as carbides, nitrides, and borides. Benefiting from the high-entropy effect, lattice distortion, sluggish diffusion, and cocktail effect of high-entropy systems, HEC [...] Read more.
High-entropy ceramic (HEC) thin films generally refer to multi-component solid solutions composed of multiple metallic and non-metallic elements, existing in forms such as carbides, nitrides, and borides. Benefiting from the high-entropy effect, lattice distortion, sluggish diffusion, and cocktail effect of high-entropy systems, HEC thin films form simple amorphous or nanocrystalline structures while exhibiting high hardness/elastic modulus, excellent tribological properties, and thermal stability. Although the mixing entropy increases with the number of elements in the system, a higher number of elements does not guarantee improved performance. In addition to system configuration, the regulation of preparation methods and processes is also a key factor in enhancing performance. Arc ion plating (AIP) has emerged as one of the mainstream techniques for fabricating high-entropy ceramic (HEC) thin films, which is attributed to its high ionization efficiency, flexible multi-target configuration, precise control over process parameters, and high deposition rate. Through rational design of the compositional system and optimization of key process parameters—such as the substrate bias voltage, gas flow rates, and arc current—HEC thin films with high hardness/toughness, wear resistance, high-temperature oxidation resistance, and electrochemical performance can be fabricated, and several of these properties can even be simultaneously achieved. Against the backdrop of AIP deposition, this review focuses on discussions grounded in the thermodynamic principles of high-entropy systems. It systematically discusses how process parameters influence the microstructure and, consequently, the mechanical, tribological, electrochemical, and high-temperature oxidation behaviors of HEC thin films under various complex service conditions. Finally, the review outlines prospective research directions for advancing the AIP-based synthesis of high-entropy ceramic coatings. Full article
Show Figures

Figure 1

22 pages, 2074 KB  
Article
Traffic Flow Prediction Model Based on Attention Mechanism Spatio-Temporal Graph Convolutional Network on U.S. Highways
by Ruiying Zhang and Yin Han
Appl. Sci. 2026, 16(1), 559; https://doi.org/10.3390/app16010559 - 5 Jan 2026
Viewed by 287
Abstract
Traffic flow prediction is a fundamental component of intelligent transportation systems and plays a critical role in traffic management and autonomous driving. However, accurately modeling highway traffic remains challenging due to dynamic congestion propagation, lane-level heterogeneity, and non-recurrent traffic events. To address these [...] Read more.
Traffic flow prediction is a fundamental component of intelligent transportation systems and plays a critical role in traffic management and autonomous driving. However, accurately modeling highway traffic remains challenging due to dynamic congestion propagation, lane-level heterogeneity, and non-recurrent traffic events. To address these challenges, this paper proposes an improved attention-mechanism spatio-temporal graph convolutional network, termed AMSGCN, for highway traffic flow prediction. AMSGCN introduces an adaptive adjacency matrix learning mechanism to overcome the limitations of static graphs and capture time-varying spatial correlations and congestion propagation paths. A hierarchical multi-scale spatial attention mechanism is further designed to jointly model local congestion diffusion and long-range bottleneck effects, enabling an adaptive spatial receptive field under congested conditions. To enhance temporal modeling, a gating-based fusion strategy dynamically balances periodic patterns and recent observations, allowing effective prediction under both regular and abnormal traffic scenarios. In addition, direction-aware encoding is incorporated to suppress interference from opposite-direction lanes, which is essential for directional highway traffic systems. Extensive experiments on multiple benchmark datasets, including PeMS and PEMSF, demonstrate the effectiveness and robustness of AMSGCN. In particular, on the I-24 MOTION dataset, AMSGCN achieves an RMSE reduction of 11.0% compared to ASTGCN and 17.4% relative to the strongest STGCN baseline. Ablation studies further confirm that dynamic and multi-scale spatial attention provides the primary performance gains, while temporal gating and direction-aware modeling offer complementary improvements. These results indicate that AMSGCN is a robust and effective solution for highway traffic flow prediction. Full article
Show Figures

Figure 1

13 pages, 5447 KB  
Article
The Effects of Sn, Mn, Er and Zr on Homogenized Microstructure and Mechanical Properties of 6082 Aluminum Alloy
by Jiayi Zhang, Yi Lu, Shengping Wen, Xiaolan Wu, Kunyuan Gao, Li Rong, Wu Wei, Hui Huang and Zuoren Nie
Coatings 2026, 16(1), 60; https://doi.org/10.3390/coatings16010060 - 5 Jan 2026
Viewed by 286
Abstract
This research systematically investigates the influence of multi-microalloying with Sn, Mn, Er, and Zr on the homogenized microstructure, aging behavior, and mechanical properties of a 6082 Al-Mg-Si alloy. The optimization of the homogenization treatment for the alloy was based on isochronal aging curves [...] Read more.
This research systematically investigates the influence of multi-microalloying with Sn, Mn, Er, and Zr on the homogenized microstructure, aging behavior, and mechanical properties of a 6082 Al-Mg-Si alloy. The optimization of the homogenization treatment for the alloy was based on isochronal aging curves and conductivity measurements. The results show that the addition of Mn, Er, and Zr can precipitate thermally stable Al(Fe,Mn)Si dispersoids and Al(Er,Zr) dispersoids. The three-stage homogenization treatment resulted in the precipitation of more heat-resistant dispersoids, thereby achieving the best thermal stability. During direct artificial aging, the initial hardening rate of the Mn-containing alloy was slightly delayed, but its peak hardness was significantly increased. This is due to the dispersoids offering additional heterogeneous nucleation sites for the strengthening precipitates. Meanwhile, the Sn atoms release their trapped vacancies at the aging temperature, thereby promoting atomic diffusion. However, short-term natural aging before artificial aging accelerated the early-stage aging response of the Sn-containing alloy but resulted in a reduced peak hardness. Notably, the co-microalloying with Mn and Sn led to a higher peak hardness during direct artificial aging, while it caused a more significant hardness loss when a natural aging preceded artificial aging, revealing a distinct synergistic negative effect. The reason for the negative synergy effect might be related to the weakened ability of Sn to release vacancies after natural aging. This study clarifies the process dependence of microalloying effects, providing a theoretical basis for optimizing aluminum alloy properties through the synergistic design of composition and processing routes. Full article
(This article belongs to the Special Issue Manufacturing and Surface Engineering, 5th Edition)
Show Figures

Figure 1

26 pages, 3943 KB  
Review
Review of Numerical Simulation of Overburden Grouting in Foundation Improvement
by Pengfei Guo, Weiquan Zhao, Linxiu Qu, Xifeng Li, Yahui Ma and Pan Li
Geotechnics 2026, 6(1), 3; https://doi.org/10.3390/geotechnics6010003 - 1 Jan 2026
Viewed by 367
Abstract
Overburden layers, composed of unconsolidated sediments, are widely distributed in construction, transportation, and water conservancy projects, but their inherent defects (e.g., developed pores, low strength) easily induce engineering disasters. Grouting is a core reinforcement technology, yet traditional design relying on empirical formulas and [...] Read more.
Overburden layers, composed of unconsolidated sediments, are widely distributed in construction, transportation, and water conservancy projects, but their inherent defects (e.g., developed pores, low strength) easily induce engineering disasters. Grouting is a core reinforcement technology, yet traditional design relying on empirical formulas and on-site trials suffers from high costs and low prediction accuracy. Numerical simulation has become a key bridge connecting grouting theory and practice. This study systematically reviews the numerical simulation of overburden grouting based on 82 core articles screened via the PRISMA framework. First, the theoretical system is clarified: core governing equations for seepage, stress, grout diffusion, and chemical fields, as well as their coupling mechanisms (e.g., HM coupling via effective stress principle), are sorted out, and the advantages/disadvantages of different equations are quantified. The material parameter characterization focuses on grout rheological models (Newtonian, power-law, Bingham) and overburden heterogeneity modeling. Second, numerical methods and engineering applications are analyzed: discrete (DEM) and continuous (FEM/FDM) methods, as well as their coupling modes, are compared; the simulation advantages (visualization of diffusion mechanisms, parameter controllability, low-cost risk prediction) are verified by typical cases. Third, current challenges and trends are identified: bottlenecks include the poor adaptability of models in heterogeneous strata, unbalanced accuracy–efficiency, insufficient rheological models for complex grouts, and theoretical limitations of multi-field coupling. Future directions involve AI-driven parameter optimization, cross-scale simulation, HPC-enhanced computing efficiency, and targeted models for environmentally friendly grouts. The study concludes that overburden grouting simulation has formed a complete “theory–parameter–method–application” system, evolving from a “theoretical tool” to the “core of engineering decision-making”. The core contradiction lies in the conflict between refinement requirements and technical limitations, and breakthroughs rely on the interdisciplinary integration of AI, multi-scale simulation, and HPC. This review provides a clear technical context for researchers and practical reference for engineering technicians. Full article
(This article belongs to the Special Issue Recent Advances in Geotechnical Engineering (3rd Edition))
Show Figures

Figure 1

50 pages, 1835 KB  
Review
Overview of the Energy Conservation and Sustainable Transformation of Aerospace Systems with Advanced Ejector Technology
by Yiqiao Li, Hao Huang, Siyuan Liu, Caijing Ge, Jing Huang, Shengqiang Shen, Yali Guo and Yong Yang
Energies 2026, 19(1), 221; https://doi.org/10.3390/en19010221 - 31 Dec 2025
Viewed by 280
Abstract
As an energy-saving fluid machinery component, the ejector holds significant potential for promoting energy conservation and sustainable transformation in aerospace. This review synthesizes recent progress, identifies persistent challenges, and outlines future directions for ejector technology in this field, addressing a gap in existing [...] Read more.
As an energy-saving fluid machinery component, the ejector holds significant potential for promoting energy conservation and sustainable transformation in aerospace. This review synthesizes recent progress, identifies persistent challenges, and outlines future directions for ejector technology in this field, addressing a gap in existing reviews. (1) In aero-engine systems, performance faces constraints from high-speed compression effects and flow losses. These systems require optimized design across a wide range of speeds. A mixed configuration incorporating a blade mixer achieved a 5~7% thrust increase under static conditions. (2) In high-altitude test facilities, transient start-up and flow instability under off-design conditions demand more precise models and control strategies. An alternative solution using a second throat exhaust diffuser reduced the start-up time by 50~70%. (3) In rocket-based combined cycle engines, development is limited by thermal choking, mode transition, and combustion-flow coupling issues. Optimization of the rocket layout and geometric throat increased the bypass ratio in ejector mode by 35% and improved the specific impulse by 12.5%. Future efforts should focus on constructing multi-physics coupling numerical simulation models for ejectors, analyzing unsteady flow behavior and thermal effects within ejectors, and developing performance optimization strategies based on intelligent control. These approaches are expected to enhance the engineering applicability and system efficiency of ejector technology in the aerospace field, which is increasingly focused on energy conservation and sustainable transformation. Full article
Show Figures

Figure 1

18 pages, 3576 KB  
Article
External Annular Air Curtain to Mitigate Aerosol Pollutants in Wet-Mix Shotcrete Processes
by Kunhua Liu, Shu Wang, Zhen Guo, Longzhe Jin and Junyong Cui
Buildings 2026, 16(1), 110; https://doi.org/10.3390/buildings16010110 - 25 Dec 2025
Viewed by 285
Abstract
Dust generation from wet-mix shotcrete (WMS) is a major source of aerosol pollutants in underground construction. However, research on aerosol pollutant control equipment during the WMS process is still scarce. To achieve effective control of aerosol pollution during WMS production, this study introduced [...] Read more.
Dust generation from wet-mix shotcrete (WMS) is a major source of aerosol pollutants in underground construction. However, research on aerosol pollutant control equipment during the WMS process is still scarce. To achieve effective control of aerosol pollution during WMS production, this study introduced and applied air curtain dust suppression technology. A multi-dimensional jet test platform was used to investigate the dust suppression effects of a direct air curtain, an inner ring wall-attached air curtain, and an outer ring wall-attached air curtain during WMS production. By analyzing the variation characteristics of the dust concentration curve, key characteristic points were determined, and the diffusion phase and sedimentation phase were demarcated. With the incorporation of a K-C air curtain, the range reduction rates for the diffusion and sedimentation phases reached 51.92% and 80.85%, respectively, with an aerosol control efficiency of 57.10%. Additionally, numerical simulation was conducted to investigate the flow field characteristics during WMS production. It was found that the radial velocity gradient of the entire flow field in the spatial coordinate system was reduced, with a maximum reduction rate of 57% at (Y-axis = 560 mm). Furthermore, the affected area of the vorticity in the main jet shear layer was significantly reduced. Full article
(This article belongs to the Section Building Energy, Physics, Environment, and Systems)
Show Figures

Figure 1

29 pages, 1444 KB  
Systematic Review
Diffusion Models for MRI Reconstruction: A Systematic Review of Standard, Hybrid, Latent and Cold Diffusion Approaches
by Marija Habijan, Zdravko Krpić, Juraj Perić and Irena Galić
Electronics 2026, 15(1), 76; https://doi.org/10.3390/electronics15010076 - 24 Dec 2025
Viewed by 767
Abstract
Diffusion models have recently emerged as a new paradigm to solve inverse problems in magnetic resonance imaging (MRI). This paper systematically categorizes forty representative studies that use diffusion models for MRI reconstruction. The studies are systematically divided into three dimensional categories: (1) model [...] Read more.
Diffusion models have recently emerged as a new paradigm to solve inverse problems in magnetic resonance imaging (MRI). This paper systematically categorizes forty representative studies that use diffusion models for MRI reconstruction. The studies are systematically divided into three dimensional categories: (1) model type distribution that includes standard, score-based diffusion, hybrid and physics-informed diffusion, latent diffusion and cold diffusion; (2) application domain distribution that includes accelerated, motion-corrected, dynamic, quantitative and cross-modal MRI; and (3) domain of reconstruction distribution that includes image-space, k-space, latent-space and hybrid approaches. In this context, diffusion-driven methods represent a significant methodological shift, evolving from purely data-driven denoising toward unified, physics-aligned reconstruction frameworks. Hybrid and cold diffusion approaches further integrate probabilistic generative priors with explicit MRI acquisition physics, which enables improved fidelity, artifact suppression and enhanced generalization across sampling regimes and anatomical domains. This study reviews current advances in the field of MRI reconstruction methods and gives future research directions, emphasizing the need for interpretable, data-efficient and multi-domain generative models that are capable of robustly addressing the diverse challenges of MRI reconstruction. Full article
Show Figures

Figure 1

33 pages, 4350 KB  
Review
Laser Processing Methods in Precision Silicon Carbide Wafer Exfoliation: A Review
by Tuğrul Özel and Faik Derya Ince
J. Manuf. Mater. Process. 2026, 10(1), 2; https://doi.org/10.3390/jmmp10010002 - 19 Dec 2025
Viewed by 993
Abstract
The rapid advancement of high-performance electronics has intensified the demand for wide-bandgap semiconductor materials capable of operating under high-power and high-temperature conditions. Among these, silicon carbide (SiC) has emerged as a leading candidate due to its superior thermal conductivity, chemical stability, and mechanical [...] Read more.
The rapid advancement of high-performance electronics has intensified the demand for wide-bandgap semiconductor materials capable of operating under high-power and high-temperature conditions. Among these, silicon carbide (SiC) has emerged as a leading candidate due to its superior thermal conductivity, chemical stability, and mechanical strength. However, the high cost and complexity of SiC wafer fabrication, particularly in slicing and exfoliation, remain significant barriers to its widespread adoption. Conventional methods such as wire sawing suffer from considerable kerf loss, surface damage, and residual stress, reducing material yield and compromising wafer quality. Additionally, techniques like smart-cut ion implantation, though capable of enabling thin-layer transfer, are limited by long thermal annealing durations and implantation-induced defects. To overcome these limitations, ultrafast laser-based processing methods, including laser slicing and stealth dicing (SD), have gained prominence as non-contact, high-precision alternatives for SiC wafer exfoliation. This review presents the current state of the art and recent advances in laser-based precision SiC wafer exfoliation processes. Laser slicing involves focusing femtosecond or picosecond pulses at a controlled depth parallel to the beam path, creating internal damage layers that facilitate kerf-free wafer separation. In contrast, stealth dicing employs laser-induced damage tracks perpendicular to the laser propagation direction for chip separation. These techniques significantly reduce material waste and enable precise control over wafer thickness. The review also reports that recent studies have further elucidated the mechanisms of laser–SiC interaction, revealing that femtosecond pulses offer high machining accuracy due to localized energy deposition, while picosecond lasers provide greater processing efficiency through multipoint refocusing but at the cost of increased amorphous defect formation. The review identifies multiphoton ionization, internal phase explosion, and thermal diffusion key phenomena that play critical roles in microcrack formation and structural modification during precision SiC wafer laser processing. Typical ultrafast-laser operating ranges include pulse durations from 120–450 fs (and up to 10 ps), pulse energies spanning 5–50 µJ, focal depths of 100–350 µm below the surface, scan speeds ranging from 0.05–10 mm/s, and track pitches commonly between 5–20 µm. In addition, the review provides quantitative anchors including representative wafer thicknesses (250–350 µm), typical laser-induced crack or modified-layer depths (10–40 µm and extending up to 400–488 µm for deep subsurface focusing), and slicing efficiencies derived from multi-layer scanning. The review concludes that these advancements, combined with ongoing progress in ultrafast laser technology, represent research opportunities and challenges in transformative shifts in SiC wafer fabrication, offering pathways to high-throughput, low-damage, and cost-effective production. This review highlights the comparative advantages of laser-based methods, identifies the research gaps, and outlines the challenges and opportunities for future research in laser processing for semiconductor applications. Full article
Show Figures

Figure 1

30 pages, 5640 KB  
Article
Data-Driven Distributionally Robust Collaborative Optimization Operation Strategy for Multi-Integrated Energy Systems Considers Energy Trading
by Wenyuan Sun, Nan Jiang, Tianqi Wang, Shuailing Ma, Yingai Jin and Firoz Alam
Sustainability 2025, 17(24), 11377; https://doi.org/10.3390/su172411377 - 18 Dec 2025
Viewed by 383
Abstract
The strong uncertainty of renewable energy poses significant reliability and safety challenges for the coordinated operation of multi-integrated energy systems (MIES). To address this, a data-driven two-stage distributed robust collaborative optimization scheduling model for MIES is proposed, based on a spatiotemporal fusion conditional [...] Read more.
The strong uncertainty of renewable energy poses significant reliability and safety challenges for the coordinated operation of multi-integrated energy systems (MIES). To address this, a data-driven two-stage distributed robust collaborative optimization scheduling model for MIES is proposed, based on a spatiotemporal fusion conditional diffusion model (STF-CDM). First, to more accurately capture the uncertainty in renewable energy output, the model utilizes a scenario set generated by the STF-CDM model and reduced via the K-means clustering algorithm as the initial renewable energy scenarios for the distributed robust optimization set. The STF-CDM model employs a Temporal module component (TMC) unit composed of Transformer time-series modules and a Spatial module component (SMC) unit composed of CNN neural networks for feature extraction and fusion of time-series and spatial-series data. Second, a benefit allocation method based on multi-energy trading contribution rates is proposed to achieve equitable distribution of cooperative gains. Finally, to protect participant privacy and enhance computational efficiency, an alternating direction multiplier method (ADMM) coupled with parallelizable column and constraint generation (C&CG) is employed to solve the energy trading problem. The case analysis results demonstrate that the STF-CDM model proposed in this study exhibits superior performance in addressing the uncertainty of renewable energy output. Concurrently, the asymmetric Nash game mechanism and the ADMM-C&CG solution algorithm proposed in this study achieve a fair and reasonable distribution of benefits among all participants when handling energy transactions and cooperative gains. This is accomplished while ensuring system robustness, economic efficiency, and privacy. Full article
(This article belongs to the Section Energy Sustainability)
Show Figures

Figure 1

55 pages, 3943 KB  
Review
Latest Advancements and Mechanistic Insights into High-Entropy Alloys: Design, Properties and Applications
by Anthoula Poulia and Alexander E. Karantzalis
Materials 2025, 18(24), 5616; https://doi.org/10.3390/ma18245616 - 14 Dec 2025
Cited by 1 | Viewed by 1405
Abstract
High-entropy alloys (HEAs) are a class of multi-principal element materials composed of five or more elements in near-equimolar ratios. This unique compositional design generates high configurational entropy, which stabilizes simple solid solution phases and reduces the tendency for intermetallic compound formation. Unlike conventional [...] Read more.
High-entropy alloys (HEAs) are a class of multi-principal element materials composed of five or more elements in near-equimolar ratios. This unique compositional design generates high configurational entropy, which stabilizes simple solid solution phases and reduces the tendency for intermetallic compound formation. Unlike conventional alloys, HEAs exhibit a combination of properties that are often mutually exclusive, such as high strength and ductility, excellent thermal stability, superior corrosion and oxidation resistance. The exceptional mechanical performance of HEAs is attributed to mechanisms including lattice distortion strengthening, sluggish diffusion, and multiple active deformation pathways such as dislocation slip, twinning, and phase transformation. Advanced characterization techniques such as transmission electron microscopy (TEM), atom probe tomography (APT), and in situ mechanical testing have revealed the complex interplay between microstructure and properties. Computational approaches, including CALPHAD modeling, density functional theory (DFT), and machine learning, have significantly accelerated HEA design, allowing prediction of phase stability, mechanical behavior, and environmental resistance. Representative examples include the FCC-structured CoCrFeMnNi alloy, known for its exceptional cryogenic toughness, Al-containing dual-phase HEAs, such as AlCoCrFeNi, which exhibit high hardness and moderate ductility and refractory HEAs, such as NbMoTaW, which maintain ultra-high strength at temperatures above 1200 °C. Despite these advances, challenges remain in controlling microstructural homogeneity, understanding long-term environmental stability, and developing cost-effective manufacturing routes. This review provides a comprehensive and analytical study of recent progress in HEA research (focusing on literature from 2022–2025), covering thermodynamic fundamentals, design strategies, processing techniques, mechanical and chemical properties, and emerging applications, through highlighting opportunities and directions for future research. In summary, the review’s unique contribution lies in offering an up-to-date, mechanistically grounded, and computationally informed study on the HEAs research-linking composition, processing, structure, and properties to guide the next phase of alloy design and application. Full article
(This article belongs to the Special Issue New Advances in High Entropy Alloys)
Show Figures

Graphical abstract

22 pages, 10664 KB  
Article
Performance Enhancement of Low-Altitude Intelligent Network Communications Using Spherical-Cap Reflective Intelligent Surfaces
by Hengyi Sun, Xingcan Feng, Weili Guo, Xiaochen Zhang, Yuze Zeng, Guoshen Tan, Yong Tan, Changjiang Sun, Xiaoping Lu and Liang Yu
Electronics 2025, 14(24), 4848; https://doi.org/10.3390/electronics14244848 - 9 Dec 2025
Viewed by 437
Abstract
Unmanned Aerial Vehicles (UAVs) are integral components of future 6G networks, offering rapid deployment, enhanced line-of-sight communication, and flexible coverage extension. However, UAV communications in low-altitude environments face significant challenges, including rapid link variations due to attitude instability, severe signal blockage by urban [...] Read more.
Unmanned Aerial Vehicles (UAVs) are integral components of future 6G networks, offering rapid deployment, enhanced line-of-sight communication, and flexible coverage extension. However, UAV communications in low-altitude environments face significant challenges, including rapid link variations due to attitude instability, severe signal blockage by urban obstacles, and critical sensitivity to transmitter–receiver alignment. While traditional planar reconfigurable intelligent surfaces (RIS) show promise for mitigating these issues, they exhibit inherent limitations such as angular sensitivity and beam squint in wideband scenarios, compromising reliability in dynamic UAV scenarios. To address these shortcomings, this paper proposes and evaluates a spherical-cap reflective intelligent surface (ScRIS) specifically designed for dynamic low-altitude communications. The intrinsic curvature of the ScRIS enables omnidirectional reflection capabilities, significantly reducing sensitivity to UAV attitude variations. A rigorous analytical model founded on Generalized Sheet Transition Conditions (GSTCs) is developed to characterize the electromagnetic scattering of the curved metasurface. Three distinct 1-bit RIS unit cell coding arrangements, namely alternate, chessboard, and random, are investigated via numerical simulations utilizing CST Microwave Studio and experimental validation within a mechanically stirred reverberation chamber. Our results demonstrate that all tested ScRIS coding patterns markedly enhance electromagnetic field uniformity within the chamber and reduce the lowest usable frequency (LUF) by approximately 20% compared to a conventional metallic spherical reflector. Notably, the random coding pattern maximizes phase entropy, achieves the most uniform scattering characteristics and substantially reduces spatial field autocorrelation. Furthermore, the combined curvature and coding functionality of the ScRIS facilitates simultaneous directional focusing and diffuse scattering, thereby improving multipath diversity and spatial coverage uniformity. This effectively mitigates communication blind spots commonly encountered in UAV applications, providing a resilient link environment despite UAV orientation changes. To validate these findings in a practical context, we conduct link-level simulations based on a reproducible system model at 3.5 GHz, utilizing electromagnetic scale invariance to bridge the fundamental scattering properties observed in the RC to the application band. The results confirm that the ScRIS architecture can enhance link throughput by nearly five-fold at a 10 km range compared to a baseline scenario without RIS. We also propose a practical deployment strategy for urban blind-spot compensation, discuss hybrid planar-curved architectures, and conduct an in-depth analysis of a DRL-based adaptive control framework with explicit convergence and complexity analysis. Our findings validate the significant potential of ScRIS as a passive, energy-efficient solution for enhancing communication stability and coverage in multi-band 6G networks. Full article
(This article belongs to the Special Issue 5G Technology for Internet of Things Applications)
Show Figures

Figure 1

Back to TopTop