-
Development of Cardiac Computed Tomography for Evaluation of Aortic Valve Stenosis -
Fat Fraction MRI for Longitudinal Assessment of Bone Marrow Heterogeneity in a Mouse Model of Myelofibrosis -
Feasibility of Sodium and Amide Proton Transfer-Weighted Magnetic Resonance Imaging Methods in Mild Steatotic Liver Disease
Journal Description
Tomography
Tomography
is an international, peer-reviewed open access journal on imaging technologies published monthly online by MDPI.
- Open Access— free for readers, with article processing charges (APC) paid by authors or their institutions.
- High Visibility: indexed within Scopus, SCIE (Web of Science), PubMed, MEDLINE, PMC, and other databases.
- Journal Rank: JCR - Q2 (Radiology, Nuclear Medicine and Medical Imaging)
- Rapid Publication: manuscripts are peer-reviewed and a first decision is provided to authors approximately 26.7 days after submission; acceptance to publication is undertaken in 2.7 days (median values for papers published in this journal in the first half of 2025).
- Recognition of Reviewers: APC discount vouchers, optional signed peer review, and reviewer names published annually in the journal.
Impact Factor:
2.2 (2024);
5-Year Impact Factor:
2.2 (2024)
Latest Articles
Clinically Focused Computer-Aided Diagnosis for Breast Cancer Using SE and CBAM with Multi-Head Attention
Tomography 2025, 11(12), 138; https://doi.org/10.3390/tomography11120138 - 10 Dec 2025
Abstract
Background/Objectives: Breast cancer is one of the most common malignancies in women worldwide. Early diagnosis and accurate classification in breast cancer detection are among the most critical factors determining treatment success and patient survival. In this study, a deep learning-based model was developed
[...] Read more.
Background/Objectives: Breast cancer is one of the most common malignancies in women worldwide. Early diagnosis and accurate classification in breast cancer detection are among the most critical factors determining treatment success and patient survival. In this study, a deep learning-based model was developed that can classify benign, malignant, and normal breast tissues from ultrasound images with high accuracy and achieve better results than the methods commonly used in the literature. Methods: The proposed model was trained on a dataset of breast ultrasound images, and its classification performance was evaluated. The model is designed to effectively learn both local textural features and global contextual relationships by combining Squeeze-and-Excitation (SE) blocks, which emphasize channel-level feature importance, and Convolutional Block Attention Module (CBAM) attention mechanisms, which focus on spatial information, with the MHA structure. The model’s performance is compared with three commonly used convolutional neural networks (CNNs) and three Vision Transformer (ViT) architectures. Results: The developed model achieved an accuracy rate of 96.03% in experimental analyses, outperforming both the six compared models and similar studies in the literature. Additionally, the proposed model was tested on a second dataset consisting of histopathological images and achieved an average accuracy of 99.55%. The results demonstrate that the model can effectively learn meaningful spatial and contextual information from ultrasound data and distinguish different tissue types with high accuracy. Conclusions: This study demonstrates the potential of deep learning-based approaches in breast ultrasound-based computer-aided diagnostic systems, providing a reliable, fast, and accurate decision support tool for early diagnosis. The results obtained with the proposed model suggest that it can significantly contribute to patient management by improving diagnostic accuracy in clinical applications.
Full article
(This article belongs to the Special Issue Imaging in Cancer Diagnosis)
►
Show Figures
Open AccessArticle
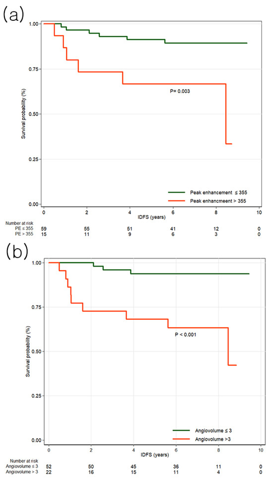
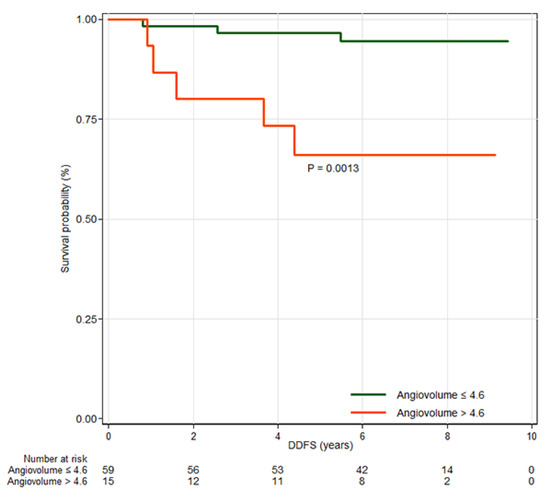
Angiovolume and Peak Enhancement on Preoperative CAD-Derived MRI as Prognostic Factors in Primary Operable Triple-Negative Breast Cancer
by
Bo La Yun, Sun Mi Kim, Sung Ui Shin, Su Min Cho, Yoon Yeong Choi and Mijung Jang
Tomography 2025, 11(12), 137; https://doi.org/10.3390/tomography11120137 - 5 Dec 2025
Abstract
Background/Objectives: To identify preoperative MRI features using computer-assisted diagnosis (CAD) that are associated with invasive disease-free survival (IDFS) and distant metastasis-free survival (DDFS) in patients with primarily operable triple-negative breast cancer (TNBC). Methods: This retrospective study was approved by the institutional review board
[...] Read more.
Background/Objectives: To identify preoperative MRI features using computer-assisted diagnosis (CAD) that are associated with invasive disease-free survival (IDFS) and distant metastasis-free survival (DDFS) in patients with primarily operable triple-negative breast cancer (TNBC). Methods: This retrospective study was approved by the institutional review board with informed consent was waived. Between January 2012 and December 2014, 74 consecutive women with primary TNBC (mean age, 51 years; range, 29–77 years) who underwent preoperative MRI were included and followed until August 2021. Dynamic contrast-enhanced and T2-weighted images were obtained using 3T scanners. Peritumoral edema and central necrosis were evaluated retrospectively. CAD was used to extract 3D diameters, angiovolume, and kinetic parameters, and kinetic heterogeneity was calculated. Cox proportional hazards models were used to assess associations between MRI features and IDFS and DDFS, adjusting for clinicopathologic factors. Results: During a median follow-up of 80.9 months, 12 patients developed invasive disease, and 8 developed distant metastasis. In multivariable analysis, peak enhancement (hazard ratio [HR], 1.40; 95% confidence interval [CI], 1.06–1.84; p = 0.019) and angiovolume (HR, 2.86; 95% CI, 1.26–6.47; p = 0.012) were independently associated with IDFS, whereas angiovolume (HR, 2.47; 95% CI: 1.28–4.78; p = 0.007) was independently associated with DDFS. Conclusions: Preoperative CAD-derived MRI features, particularly peak enhancement and angiovolume, were associated with IDFS in TNBC patients whereas angiovolume alone was associated with DDFS.
Full article
(This article belongs to the Section Cancer Imaging)
►▼
Show Figures

Figure 1
Open AccessArticle
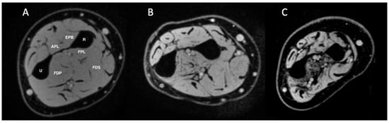
Quantitative Magnetic Resonance Imaging of the Forearm in Myotonic Dystrophy Type 1
by
Sydney Eierle, Tanja Taivassalo, Hyunjun Park, Korey D. Cooke, Zahra Moslemi, Sean C. Forbes, Glenn A. Walter, Krista Vandenborne, S. H. Subramony and Donovan J. Lott
Tomography 2025, 11(12), 136; https://doi.org/10.3390/tomography11120136 - 5 Dec 2025
Abstract
►▼
Show Figures
Introduction: Myotonic dystrophy type 1 is the most prevalent muscular dystrophy in adults, characterized by weakness, impaired functional abilities, and myotonia. However, little is known about the relationship between quantitative MRI measures (fat fraction and T2 relaxation time) and clinical findings of
[...] Read more.
Introduction: Myotonic dystrophy type 1 is the most prevalent muscular dystrophy in adults, characterized by weakness, impaired functional abilities, and myotonia. However, little is known about the relationship between quantitative MRI measures (fat fraction and T2 relaxation time) and clinical findings of the upper extremity. This study assessed forearm muscle structure in patients with myotonic dystrophy using quantitative MRI and correlated these measures with strength, function, and handgrip myotonia. Materials and Methods: Eighteen adults with myotonic dystrophy type 1 underwent MRI using three-point Dixon and T2 spin echo imaging of the forearm. Results: The average fat fraction and T2 relaxation time were greatest in the flexor digitorum profundus (26.7% and 55.6 ms, respectively). Correlations were found between quantitative MRI values and clinical tests of strength (r = −0.61 to −0.92, p < 0.01), function (r = −0.64 to −0.83, p < 0.01), and handgrip myotonia (r = 0.48, p < 0.05). Overall, the anterior forearm fat fraction values showed higher correlations with strength and function compared to those of the posterior forearm. Discussion: Our results support the use of quantitative MRI measures to assess forearm disease pathology and show potential to monitor the effectiveness of therapeutic treatments in patients with myotonic dystrophy type 1.
Full article

Figure 1
Open AccessArticle
Evaluation of Projection Images for Visual Quality Control of Automated Left and Right Lung Segmentations on T1-Weighted MRI in Large-Scale Clinical Cohort Studies
by
Tobias Norajitra, Christopher L. Schlett, Ricarda von Krüchten, Prerana Agarwal, Ashis Ravindran, Thuy Duong Do, Lisa Kausch, Stefan Karrasch, Hans-Ulrich Kauczor, Klaus Maier-Hein and Claudius Melzig
Tomography 2025, 11(12), 135; https://doi.org/10.3390/tomography11120135 - 29 Nov 2025
Abstract
Background/Objectives: To assess diagnostic accuracy of two-dimensional (2D) projection methods for rapid visual quality control of automated volumetric (3D) lung segmentations compared with slice-based 3D review of segmentation results for application in large-scale studies. Methods: Segmentation of right and left lungs
[...] Read more.
Background/Objectives: To assess diagnostic accuracy of two-dimensional (2D) projection methods for rapid visual quality control of automated volumetric (3D) lung segmentations compared with slice-based 3D review of segmentation results for application in large-scale studies. Methods: Segmentation of right and left lungs on T1-weighted MRI of 300 participants of the German National Cohort (NAKO) study was performed using the nnU-NET framework. Three variants of 2D projection images of segmentation masks were created: maximum intensity projection (MIP) using pseudo-chromadepth encoding with different color spectra for right and left lung (Colored_MIP) and standard deviation projection of segmentation mask outlines, encoded in black-and-white (Gray_outline) or using color-encoding (Colored_outline). The worst of two ratings by two independent raters conducting slice-based review for segmentation errors on underlying imaging data and review for mislabeling errors served as the standard of reference. All variants were evaluated by five raters each for identification of segmentation errors and the majority rating was used as index test. The time required for review was recorded and diagnostic accuracies were calculated. Results: Sensitivities of Colored_MIP, Colored_outline and Gray_outline were 88.2% [95%-CI 78.7%; 94.4%], 89.5% [80.3%; 95.3%] and 78.9% [68.1%; 87.5%]; specificities were 98.7% [96.1%; 99.7%], 96.4% [93.1%; 98.5%] and 98.7% [96.1%; 99.7%]; and F1-scores were 0.918, 0.895 and 0.863, respectively. Mean time per case and rater required for evaluation was 2.8 ± 0.9 s for Colored_outline, 1.7 ± 0.1 s for Colored_MIP, and 2.0 ± 0.4 s for Gray_outline. Conclusions: The 2D segmentation mask projection images enabled the detection of segmentation errors of automated 3D segmentations of left and right lungs based on MRI with high diagnostic accuracy, especially when using color-encoding. The method enabled evaluation within a matter of seconds per case. Segmentation mask projection images may assist in visual quality control of automated segmentations in large-scale studies.
Full article
(This article belongs to the Special Issue Cutting-Edge Applications: Artificial Intelligence and Deep Learning Revolutionizing CT and MRI)
►▼
Show Figures

Figure 1
Open AccessArticle
A Question of Dose? Ultra-Low Dose Chest CT on Photon-Counting CT in People with Cystic Fibrosis
by
Marcel Opitz, Matthias Welsner, Halil I. Tazeoglu, Florian Stehling, Sivagurunathan Sutharsan, Dirk Westhölter, Erik Büscher, Christian Taube, Nika Guberina, Denise Bos, Marcel Drews, Daniel Rosok, Sebastian Zensen, Johannes Haubold, Lale Umutlu, Michael Forsting and Marko Frings
Tomography 2025, 11(12), 134; https://doi.org/10.3390/tomography11120134 - 27 Nov 2025
Abstract
Objective: Chest computed tomography (CT) is a key component of the diagnostic assessment of people with cystic fibrosis (PwCF) and is increasingly replacing chest radiography. Due to improvements in life expectancy, radiation exposure has become a growing concern in PwCF. Photon-counting CT (PCCT)
[...] Read more.
Objective: Chest computed tomography (CT) is a key component of the diagnostic assessment of people with cystic fibrosis (PwCF) and is increasingly replacing chest radiography. Due to improvements in life expectancy, radiation exposure has become a growing concern in PwCF. Photon-counting CT (PCCT) has the potential to reduce the risk of radiation-induced malignancies while maintaining diagnostic accuracy. This study aimed to compare the radiation dose and image quality of low-dose high-resolution (LD-HR) and ultra-low-dose high-resolution (ULD-HR) CT protocols using PCCT in PwCF. Methods: This retrospective study included 72 PwCF, with 36 undergoing a LD-HR chest CT protocol and 36 receiving an ULD-HR protocol on a PCCT. The radiation dose and image quality were assessed by comparing the effective dose and signal-to-noise ratio (SNR). Three blinded radiologists evaluated the overall image quality, sharpness, noise, and assessability of the bronchi, bronchial wall thickening, and bronchiolitis using a five-point Likert scale. Results: The ULD-HR PCCT protocol reduced radiation exposure by approximately 65% compared with the LD-HR PCCT protocol (median effective dose: 0.19 vs. 0.55 mSv, p < 0.001). While LD-HR images were consistently rated higher than ULD-HR images (p < 0.001), both protocols maintained diagnostic significance (median image quality rating of “4-good”). The average SNR of the lung parenchyma was significantly lower with ULD-HR PCCT compared to LD-HR PCCT (p < 0.001). Conclusions: ULD-HR PCCT significantly reduced radiation exposure while maintaining good diagnostic image quality in PwCF. The effective dose of ULD-HR PCCT is only twice that of a two-plane chest X-ray, making it a viable low-radiation alternative for routine imaging in PwCF.
Full article
(This article belongs to the Special Issue Medical Image Analysis in CT Imaging)
►▼
Show Figures

Figure 1
Open AccessArticle
Quantitative Ultrasound Grayscale Analysis and Size of Benign and Malignant Solid Thyroid Nodules
by
Salahaden R. Sultan, Faisal Albin Hajji, Abdulrahman Alhazmi, Shahad Alamri, Abrar Alsulami, Ahmed Albukhari, Asseel Filimban, Bander Almutairi, Ahmad Albngali, Reham Kaifi, Mohammad Khayat, Mohammed Alkharaiji, Mohammad Khalil and Abrar Alfatni
Tomography 2025, 11(12), 133; https://doi.org/10.3390/tomography11120133 - 27 Nov 2025
Abstract
Background: Ultrasound is the primary imaging modality for evaluating thyroid nodules, with echogenicity and nodule size serving as parameters for malignancy risk stratification. Though the TI-RADS classification system is standardized, interpretation varies among observers due to subjectivity, and can affect diagnostic consistency. This
[...] Read more.
Background: Ultrasound is the primary imaging modality for evaluating thyroid nodules, with echogenicity and nodule size serving as parameters for malignancy risk stratification. Though the TI-RADS classification system is standardized, interpretation varies among observers due to subjectivity, and can affect diagnostic consistency. This study aimed to evaluate the diagnostic and interobserver agreement of quantitative ultrasound gray-scale analysis and nodule area in differentiating benign from malignant solid thyroid nodules. Methods: This retrospective study reviewed 600 patients who underwent thyroid ultrasound at King Abdulaziz University Hospital, Jeddah, Saudi Arabia, in 2023 and 2024. Of these 600, 107 adult patients with 116 solid thyroid nodules (96 benign and 20 malignant) who subsequently underwent ultrasound-guided fine-needle aspiration were included in the final analysis. From B-mode ultrasound images, the grayscale median (GSM) values of each nodule and adjacent normal thyroid tissue were measured using Adobe Photoshop. The GSM ratio (GSMr) was calculated by dividing nodule GSM by normal tissue GSM. Nodule size, taken as cross-sectional area, was assessed using ImageJ software version 1.53. The Mann–Whitney U test was used to compare GSMr and the area between benign and malignant nodules. Inter-observer agreement was evaluated using the intraclass correlation coefficient (ICC). Results: Malignant nodules had significantly lower GSMr compared to benign nodules (malignant: median 0.76, IQR 0.27; benign: median 0.88, IQR 0.55, p = 0.02). Malignant nodules were also significantly larger than benign nodules (malignant: median 2.77 cm2, IQR: 5.08; benign: median 1.78 cm2, IQR 1.65, p = 0.02). Inter-observer reproducibility was excellent for both GSMr (ICC = 0.998) and area (ICC = 0.997). Conclusions: Quantitative ultrasound assessment of grayscale echogenicity and nodule area provides valuable diagnostic information for differentiating benign from malignant solid thyroid nodules. These objective measures may enhance diagnostic confidence and support more precise clinical decision-making in thyroid nodule evaluation.
Full article
(This article belongs to the Special Issue Imaging in Cancer Diagnosis)
►▼
Show Figures

Figure 1
Open AccessArticle
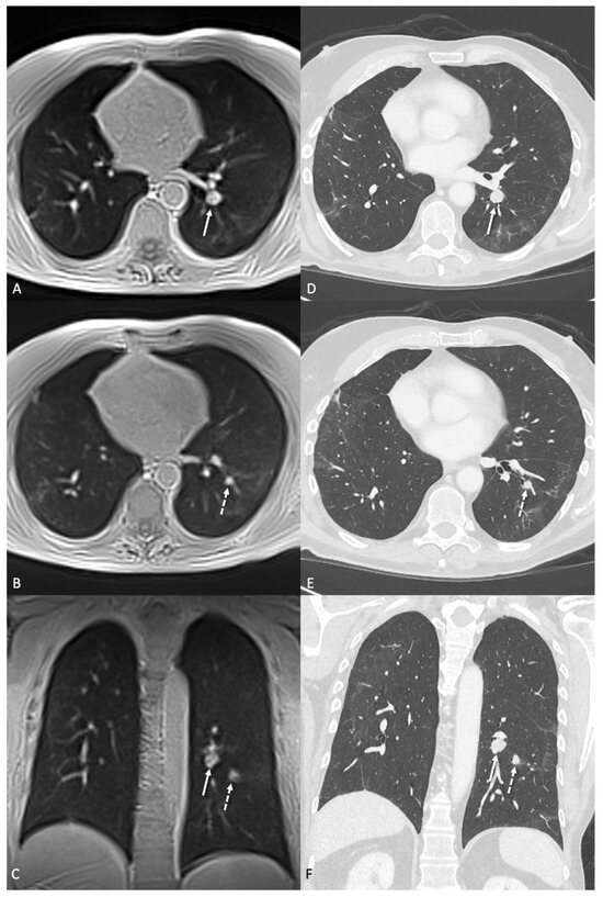
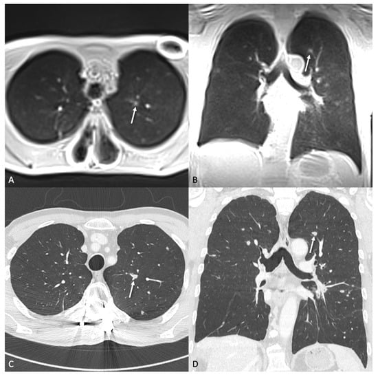
Accuracy of Ultra-Fast Low-Field MRI (0.55 T) for Lung Nodule Detection with Ultra-Short Echo Time Sequences
by
Maximilian Hinsen, Armin Michael Nagel, Nadine Bayerl, Hans-Peter Fautz, Thomas Benkert, Matthias Stefan May, Michael Uder and Rafael Heiss
Tomography 2025, 11(12), 132; https://doi.org/10.3390/tomography11120132 - 26 Nov 2025
Abstract
►▼
Show Figures
Lung nodules are a common radiological finding that can be caused by a variety of reasons, ranging from benign granulomas and scarring to the early stages of primary lung malignancies and metastases [...]
Full article

Figure 1
Open AccessArticle
3D Imaging of Proton FLASH Radiation Using a Multi-Detector Small Animal PET System
by
Wen Li, Yuncheng Zhong, Youfang Lai, Lingshu Yin, Daniel Sforza, Devin Miles, Heng Li and Xun Jia
Tomography 2025, 11(12), 131; https://doi.org/10.3390/tomography11120131 - 26 Nov 2025
Abstract
►▼
Show Figures
Objectives: Ultra-high dose-rate FLASH radiotherapy has demonstrated strong potential in reducing normal tissue toxicity while maintaining effective tumor control. However, its underlying radiobiological mechanisms remain unclear, highlighting the need for novel approaches to probe the effects of radiation during and immediately after delivery.
[...] Read more.
Objectives: Ultra-high dose-rate FLASH radiotherapy has demonstrated strong potential in reducing normal tissue toxicity while maintaining effective tumor control. However, its underlying radiobiological mechanisms remain unclear, highlighting the need for novel approaches to probe the effects of radiation during and immediately after delivery. This study presents the first exploration of 3D PET imaging of positron-emitting nuclei (PENs) generated by a FLASH proton beam. Methods: A home-built 12-panel preclinical small-animal PET system was employed for recording coincidence events. A 142.4 MeV FLASH proton beam with a 100 ms delivery time was directed into a solid water phantom. PET coincidence signals were recorded during the first 1 s and up to 11 min. The system’s capability for 3D localization was also assessed, and Monte Carlo simulations were performed for validation. Results: The PET system successfully recorded coincidence data within the first second, including the 100 ms beam delivery interval. Detector dead-time effects under the high beam flux were observed, leading to underestimated event counts. Following irradiation, the measured activity and decay behavior were consistent with simulations. The PET system accurately reconstructed the spatial distribution of PEN activities, with discrepancies in measured versus calculated line profiles ranging from 3.35–6.85%. Reconstructed PET images enabled reliable 3D localization with sub-millimeter accuracy in both lateral and depth dimensions. Conclusions: Our findings demonstrate that a multi-detector PET system is a promising tool for investigating the radiation effects of FLASH beams.
Full article

Figure 1
Open AccessArticle
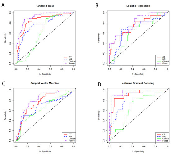
Multimodal CT and MRI Radiomics Integrated with Clinical Models Predict Pathological Complete Response in ESCC Following Neoadjuvant Immunochemotherapy
by
Longgao Liu, Chufeng Zeng, Lizhi Liu, Shumin Zhou, Weihua Wu, Peng Lin, Jianhua Fu, Tiehua Rong, Xu Zhang and Xiaodong Su
Tomography 2025, 11(11), 130; https://doi.org/10.3390/tomography11110130 - 19 Nov 2025
Abstract
►▼
Show Figures
Background: This research focused on evaluating the utility of multimodal radiomics integrated with machine learning to predict pathological complete response (pCR) in a prospective cohort of esophageal squamous cell carcinoma (ESCC) patients undergoing neoadjuvant immunochemotherapy (nICT). Methods: We retrospectively analyzed prospectively collected trial
[...] Read more.
Background: This research focused on evaluating the utility of multimodal radiomics integrated with machine learning to predict pathological complete response (pCR) in a prospective cohort of esophageal squamous cell carcinoma (ESCC) patients undergoing neoadjuvant immunochemotherapy (nICT). Methods: We retrospectively analyzed prospectively collected trial data from 66 ESCC patients. Radiomic features were extracted from computed tomography (CT) and magnetic resonance imaging (MRI) images. Four machine learning algorithms—Random Forest (RF), logistic regression, Support Vector Machine, and Extreme Gradient Boosting (XGBoost)—were applied with leave-one-out cross-validation to predict pCR after nICT. The predictive performance of the models was evaluated using receiver operating characteristic curve analysis. Results: In total, 851 features were identified. Among the four machine learning algorithms, the XGBoost machine learning method demonstrated the best model performance across CT, MRI, and clinical feature-based models. Furthermore, the integrated model demonstrated superior performance compared to individual models based solely on CT, MRI, or clinical features across all machine learning algorithms. Among these, the XGboost-based integrated model achieved the highest performance on the test set, with an AUC of 0.961, a TPR of 84.2%, a TNR of 95.7%, a PPV 88.9% of and a NPV of 93.8%. Decision curve analysis validated the model’s robust clinical utility, with calibration curves demonstrating strong concordance between predicted and observed therapeutic responses. Conclusions: The study demonstrates the potential for predicting pCR in patients with ESCC treated with standardized neoadjuvant chemotherapy and PD-1 inhibitors using machine learning methods that integrate multimodal CT and MRI images with clinical features.
Full article

Figure 1
Open AccessArticle
Clinical Value of Routine Preoperative Ultrasonography in Bariatric Surgery Candidates: A Retrospective Analysis of 1119 Cases
by
Sangar Abdullah, Güney Özkaya, Adnan Gündoğdu and Murat Şendur
Tomography 2025, 11(11), 129; https://doi.org/10.3390/tomography11110129 - 14 Nov 2025
Abstract
Background: Preoperative evaluation in bariatric surgery aims to minimize perioperative risks and identify comorbid abdominal pathologies that may influence surgical planning. The role of routine abdominal ultrasonography (USG) remains debatable. Methods: This retrospective study included 1119 consecutive candidates for bariatric surgery who underwent
[...] Read more.
Background: Preoperative evaluation in bariatric surgery aims to minimize perioperative risks and identify comorbid abdominal pathologies that may influence surgical planning. The role of routine abdominal ultrasonography (USG) remains debatable. Methods: This retrospective study included 1119 consecutive candidates for bariatric surgery who underwent routine preoperative ultrasonography (USG) between January 2022 and October 2024. Patients were stratified by BMI and categorized according to USG findings as normal, incidental, requiring follow-up/concomitant procedures, or necessitating cancellation. Baseline characteristics, USG findings, surgical outcomes, and predictors of cancellation were analyzed using univariate, multivariate, and Firth’s penalized logistic regression analyses. Ultrasonographic findings were further stratified as clinically significant (requiring intervention) or non-clinically significant (not requiring intervention) to standardize interpretation. Results: Abnormal USG findings were present in 77.5% of patients, with hepatic steatosis (60.8% [n = 680]), hepatomegaly (21.5%), and gallstones (13.9%) being the most frequent. Higher BMI was significantly associated with hepatomegaly, steatosis, and gallstones (all p < 0.05), but not with surgical cancellation. Bariatric surgery was cancelled in 11 patients (1.0%) due to critical findings exclusively identified on USG, including large ovarian/uterine masses, choledochal cysts, and suspected malignancies. In multivariate and Firth-adjusted regression, large ovarian/uterine masses (adjusted OR 12.9, 95% CI 3.0–55.2, p = 0.001; Firth OR 11.4, 95% CI 2.5–51.4, p = 0.002) and choledochal cysts (Firth OR 29.7, 95% CI 1.8–489.5, p = 0.048) emerged as independent predictors of cancellation. Conclusions: Although the overall cancellation rate was low, the detection of critical USG findings in 1.0% of patients had major clinical implications, preventing inappropriate or unsafe surgery and enabling timely referral for specialist management. Routine preoperative ultrasonography thus offers a clinically meaningful safeguard in bariatric surgery, supporting its inclusion in preoperative assessment algorithms.
Full article
Open AccessArticle
Comparison of Virtual Dose Simulator and K-Factor Methods for Effective Dose Assessment in Thoracic CT
by
Roch Listz Maurice
Tomography 2025, 11(11), 128; https://doi.org/10.3390/tomography11110128 - 13 Nov 2025
Abstract
►▼
Show Figures
Rationale and Objective: Medical imaging, particularly computed tomography (CT), is the largest man-made contributor to collective radiation exposure. This study compares methods for assessing CT radiation dose, focusing on thoracic examinations. Population investigated: We retrospectively analyzed 3956 non-contrast thoracic CT exams from 1553
[...] Read more.
Rationale and Objective: Medical imaging, particularly computed tomography (CT), is the largest man-made contributor to collective radiation exposure. This study compares methods for assessing CT radiation dose, focusing on thoracic examinations. Population investigated: We retrospectively analyzed 3956 non-contrast thoracic CT exams from 1553 females (mean age 70 ± 12 years) and 2403 males (mean age 69 ± 12 years). Methods: Data were acquired using a Siemens Somatom Force CT-Scanner (installed in 2015). Exposure parameters and patient somatic data were recorded and used as inputs for the Virtual Dose Simulator (VDS), which served as the gold standard for effective dose (EDref) measurement. Additionally, ED was calculated using two ICRP-103 K-factor methods: Shrimpton et al. (EDshr) and Romanyukha et al. (EDrom). Results: Regression analysis demonstrated strong linear relationships between EDref and both weight and BMI (R2 ≥ 0.84), with EDref values ranging from 1.55 to 4.59 mSv. Even stronger linear relationships were observed between EDref and CT scanner tube current, particularly for women (R2 = 0.93) and men (R2 = 0.90). Similar trends emerged for dose-length product (DLP), which showed high correlations for both women (R2 = 0.95) and men (R2 = 0.94). Compared to VDS, EDrom underestimated women’s doses by 10% and slightly overestimated men’s doses by 1%, while EDshr underestimated the effective dose by 18% for women and 9% for men. Conclusion: This study demonstrates that K-factor methods provide a simple, efficient, and clinically practical approach for both individual cumulative dose monitoring (critical for patients requiring repeated imaging) and population-level dose assessment (essential for epidemiological risk evaluation). The high reliability of K-factor-based estimates, as demonstrated in this work, underscores their potential for integration into clinical practice to enhance dose optimization and patient safety.
Full article

Figure 1
Open AccessArticle
Photon-Counting Micro-CT for Bone Morphometry in Murine Models
by
Rohan Nadkarni, Zay Yar Han, Alex J. Allphin, Darin P. Clark, Alexandra Badea and Cristian T. Badea
Tomography 2025, 11(11), 127; https://doi.org/10.3390/tomography11110127 - 13 Nov 2025
Abstract
►▼
Show Figures
Background/Objectives: This study evaluates photon-counting CT (PCCT) for the imaging of mouse femurs and investigates how APOE genotype, sex, and humanized nitric oxide synthase (HN) expression influence bone morphology during aging. Methods: A custom-built micro-CT system with a photon-counting detector (PCD) was used
[...] Read more.
Background/Objectives: This study evaluates photon-counting CT (PCCT) for the imaging of mouse femurs and investigates how APOE genotype, sex, and humanized nitric oxide synthase (HN) expression influence bone morphology during aging. Methods: A custom-built micro-CT system with a photon-counting detector (PCD) was used to acquire dual-energy scans of mouse femur samples. PCCT projections were corrected for tile gain differences, iteratively reconstructed with 20 µm isotropic resolution, and decomposed into calcium and water maps. PCD spatial resolution was benchmarked against an energy-integrating detector (EID) using line profiles through trabecular bone. The contrast-to-noise ratio quantified the effects of iterative reconstruction and material decomposition. Femur features such as mean cortical thickness, mean trabecular spacing (TbSp_mean), and trabecular bone volume fraction (BV/TV) were extracted from calcium maps using BoneJ. The statistical analysis used 57 aged mice representing the APOE22, APOE33, and APOE44 genotypes, including 27 expressing HN. We used generalized linear models (GLMs) to evaluate the main interaction effects of age, sex, genotype, and HN status on femur features and Mann–Whitney U tests for stratified analyses. Results: PCCT outperformed EID-CT in spatial resolution and enabled the effective separation of calcium and water. Female HN mice exhibited reduced BV/TV compared to both male HN and female non-HN mice. While genotype effects were modest, a genotype-by-sex stratified analysis found significant effects of HN status in female APOE22 and APOE44 mice only. Linear regression showed that age significantly decreased cortical thickness and increased TbSp_mean in male mice only. Conclusions: These results demonstrate PCCT’s utility for femur analysis and reveal strong effects of sex/HN interaction on trabecular bone health in mice.
Full article

Figure 1
Open AccessArticle
Prediction of Microsatellite Instability in Colorectal Cancer Using Two Internally Validated Radiomic Models
by
Antonio Galluzzo, Ginevra Danti, Linda Calistri, Diletta Cozzi, Daniele Lavacchi, Daniele Rossini, Lorenzo Antonuzzo, Sebastiano Paolucci, Francesca Castiglione, Luca Messerini, Fabio Cianchi and Vittorio Miele
Tomography 2025, 11(11), 126; https://doi.org/10.3390/tomography11110126 - 13 Nov 2025
Abstract
Objectives: To develop two different radiomic models based on preoperative contrast-enhanced computed tomography (PP CT) to predict microsatellite instability (MSI) in patients with colorectal cancer (CRC) before surgery. Methods: PP CT scans of 115 CC patients were segmented using 3DSlicer (v5.6.1). Model I
[...] Read more.
Objectives: To develop two different radiomic models based on preoperative contrast-enhanced computed tomography (PP CT) to predict microsatellite instability (MSI) in patients with colorectal cancer (CRC) before surgery. Methods: PP CT scans of 115 CC patients were segmented using 3DSlicer (v5.6.1). Model I included images from three different scanners (GE, Siemens, Philips), while Model II used only one scanner (GE). For Model I, 80 patients were used for training and 35 for internal validation; for Model II, 46 and 24 patients were used, respectively. Data on sex, age, tumour location, and MSI genomic status were collected. A total of 107 radiomic features (RFs) were extracted, and 30 and 35 RFs were identified as relevant for Models I and II, respectively, using the t-test or Mann–Whitney test (p < 0.05). The most robust RFs were selected using the LASSO regression method. Both models were internally validated. Results: Model I, based on 2 RFs and 1 clinical feature (LOCATION) achieved an AUC of 0.76 (95% CI: 0.65–0.87) in the training cohort and 0.74 (95% CI: 0.56–0.92) in the validation cohort. Model II, based on 3 RFs, achieved an AUC of 0.85 (95% CI: 0.73–0.96) in the training cohort and 0.72 (95% CI: 0.50–0.94) in the validation cohort. Conclusions: Both radiomic models showed good performance in distinguishing between MSI and non-MSI tumours, potentially reducing the need for invasive histological testing and improving treatment timing. Despite achieving a higher AUC, Model II showed signs of overfitting when compared to Model I, which incorporated two RFs and one clinical feature (LOCATION). Radiomics may function as a non-invasive preoperative screening tool to inform decisions regarding MSI testing and treatment. Building radiomic models on larger, more diverse datasets is preferable to enhance generalizability and reduce overfitting.
Full article
(This article belongs to the Section Abdominal Imaging)
►▼
Show Figures

Figure 1
Open AccessReview
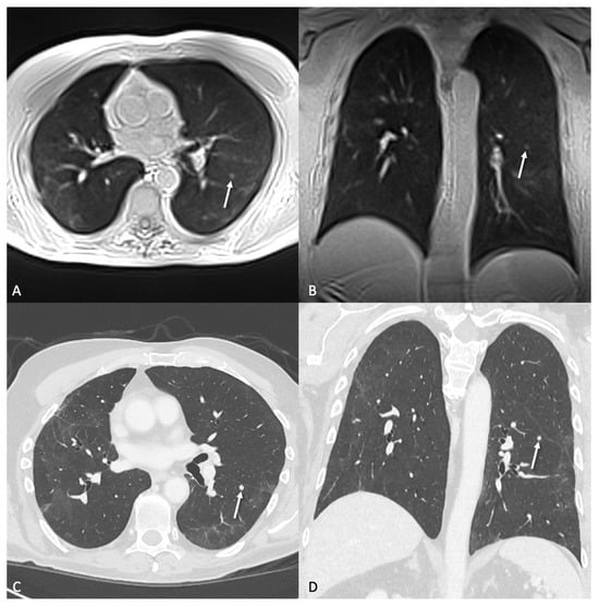
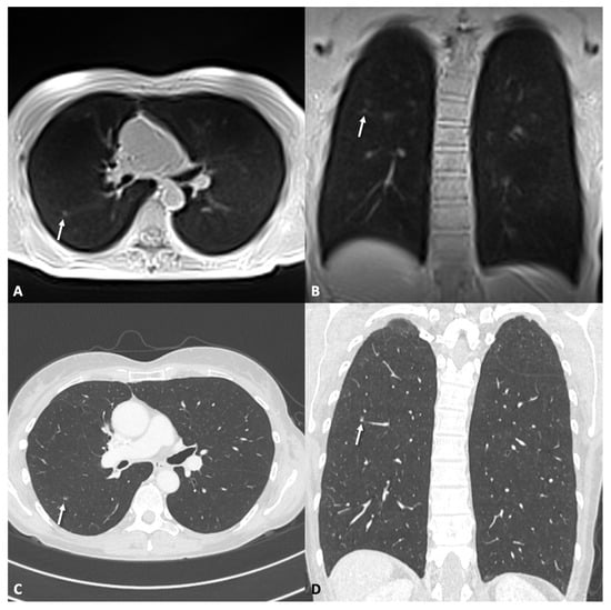
Spontaneous Pneumothorax: A Review of Underlying Etiologies and Diagnostic Imaging Modalities
by
Rupali Jain, Vinay Kandula, Drew A. Torigian and Achala Donuru
Tomography 2025, 11(11), 125; https://doi.org/10.3390/tomography11110125 - 7 Nov 2025
Abstract
This review focuses on the diverse etiologies of secondary spontaneous pneumothorax (SSP) and the crucial role of imaging in their diagnosis. Unlike primary spontaneous pneumothorax (PSP), which is typically due to ruptured blebs, SSP results from a wide array of underlying pulmonary conditions
[...] Read more.
This review focuses on the diverse etiologies of secondary spontaneous pneumothorax (SSP) and the crucial role of imaging in their diagnosis. Unlike primary spontaneous pneumothorax (PSP), which is typically due to ruptured blebs, SSP results from a wide array of underlying pulmonary conditions that can pose significant diagnostic challenges. These include infections like tuberculosis, airway diseases such as chronic obstructive pulmonary disease, malignancies (primary and metastatic), interstitial lung diseases like sarcoidosis, cystic lung diseases such as lymphangioleiomyomatosis, and connective tissue disorders. In women, catamenial pneumothorax secondary to endometriosis should be considered. The role of radiologists is crucial in uncovering these underlying conditions. While chest radiography is the initial imaging modality, computed tomography (CT) provides superior sensitivity for detecting subtle parenchymal abnormalities. Advanced techniques like photon-counting detector CT offer further benefits, including enhanced spatial resolution, reduced noise, and lower radiation dose, potentially revealing underlying causes that might be missed with conventional CT. This enhanced visualization of subtle parenchymal changes, small airways, and vascular structures can be the key to diagnosing the underlying cause of pneumothorax. Recognizing the diverse etiologies of SSP and utilizing advanced imaging techniques is paramount for accurate diagnosis, appropriate management, and improved patient outcomes.
Full article
(This article belongs to the Section Cardiovascular Imaging)
►▼
Show Figures

Figure 1
Open AccessArticle
Comparison of Retinal Thickness Measurements Using Optos Monaco and Heidelberg Spectralis OCT Across ETDRS Sectors in Normal Eyes
by
Kakarla V. Chalam, Lourdes Ceja, Rene Obispo, Minali Prasad and Anny M. S. Cheng
Tomography 2025, 11(11), 124; https://doi.org/10.3390/tomography11110124 - 5 Nov 2025
Abstract
►▼
Show Figures
Purpose: To compare retinal thickness measurements obtained with the Optos Monaco and Heidelberg Spectralis optical coherence tomography (OCT) systems across 9 Early Treatment Diabetic Retinopathy Study (ETDRS) sectors in a cohort comprising normal eyes. Methods: Paired OCT scans from 64 eyes of 32
[...] Read more.
Purpose: To compare retinal thickness measurements obtained with the Optos Monaco and Heidelberg Spectralis optical coherence tomography (OCT) systems across 9 Early Treatment Diabetic Retinopathy Study (ETDRS) sectors in a cohort comprising normal eyes. Methods: Paired OCT scans from 64 eyes of 32 participants with normal retinal findings were acquired on both devices. Thickness measurements were obtained for the central subfield and the inner and outer sectors of the superior, nasal, inferior, and temporal quadrants. Outcomes included mean thickness, mean interdevice difference (Heidelberg minus Monaco), Pearson correlation coefficients, and Bland–Altman analyses. Scatterplots and Bland–Altman plots were constructed to evaluate agreement and assess potential interchangeability. Results: The Heidelberg Spectralis yielded significantly greater retinal thickness values than the Optos Monaco in all ETDRS sectors (p < 0.001), with mean differences ranging from +16.9 µm (outer superior) to +26.8 µm (inner superior). Pearson correlation coefficients indicated strong positive agreement (r ≥ 0.8) for the central subfield and most inner sectors, and moderate to strong positive agreement (r ≥ 0.5) in a single outer sector. Bland–Altman analyses demonstrated a statistically significant systematic bias favoring greater measurements with Heidelberg in most quadrants, with limits of agreement indicating clinically relevant variability. Although the relative agreement was high, absolute differences limit direct interchangeability. Conclusions: Optos Monaco and Heidelberg Spectralis exhibit strong linear correlation in retinal thickness measurements but show significant systematic differences. Interchangeable use requires the application of correction factors where segmentation variability may be greater.
Full article

Figure 1
Open AccessEditorial
AI-Written Scientific Manuscripts
by
Emilio Quaia
Tomography 2025, 11(11), 123; https://doi.org/10.3390/tomography11110123 - 30 Oct 2025
Abstract
This editorial provides insights on AI-written scientific manuscripts which represent an increasingly frequent phenomenon that must be managed by authors, reviewers and journal editors [...]
Full article
Open AccessArticle
Clinical-Oriented Hierarchical Machine Learning Framework for Early Kidney Tumor Detection and Malignant Subtype Classification
by
Mansourah Aljohani
Tomography 2025, 11(11), 122; https://doi.org/10.3390/tomography11110122 - 30 Oct 2025
Abstract
►▼
Show Figures
Objectives: Kidneytumors, particularly renal cell carcinoma (RCC), represent a critical public health concern due to their prevalence and the severe consequences of late diagnosis. Traditional diagnostic techniques, though widely used, are often limited by human error, inter-observer variability, and delayed recognition of malignant
[...] Read more.
Objectives: Kidneytumors, particularly renal cell carcinoma (RCC), represent a critical public health concern due to their prevalence and the severe consequences of late diagnosis. Traditional diagnostic techniques, though widely used, are often limited by human error, inter-observer variability, and delayed recognition of malignant subtypes, underscoring the urgent need for automated, accurate, and reproducible solutions. Methods: To address these challenges, this study introduces a hierarchical, AI-driven framework for early detection and precise classification of kidney tumors from CT scans. At its core, the framework uses a specialized encoder, RAD-DINO-MAIRA-2, to extract highly discriminative imaging features, which are subsequently processed through multiple machine learning classifiers tailored to distinct hierarchical levels of diagnosis. Results: Using benchmark kidney tumor datasets, the framework was rigorously validated across 25 independent trials. Performance was assessed using accuracy, reproducibility, and robustness metrics, with results revealing a maximum accuracy of 98.29% and a mean accuracy of 94.72%. Notably, the Gaussian Process classifier achieved perfect performance in tumor type classification, while the MLP classifier attained flawless results in malignant subtype differentiation. Comparative analyses demonstrate that our hierarchical approach outperforms conventional DL-based pipelines by reducing sensitivity to dataset variability and providing a clinically viable path for integration into diagnostic workflows. Combining state-of-the-art feature extraction with hierarchical classification, the proposed framework delivers a robust and interpretable tool with substantial promise for improving patient outcomes in real-world clinical practice.
Full article

Figure 1
Open AccessArticle
Artificial Intelligence-Assisted Lung Ultrasound for Pneumothorax: Diagnostic Accuracy Compared with CT in Emergency and Critical Care
by
İsmail Dal and Kemal Akyol
Tomography 2025, 11(11), 121; https://doi.org/10.3390/tomography11110121 - 30 Oct 2025
Abstract
►▼
Show Figures
Background: Pneumothorax (PTX) requires rapid recognition in emergency and critical care. Lung ultrasound (LUS) offers a fast, radiation-free alternative to computed tomography (CT), but its accuracy is limited by operator dependence. Artificial intelligence (AI) may standardize interpretation and improve performance. Methods: This retrospective
[...] Read more.
Background: Pneumothorax (PTX) requires rapid recognition in emergency and critical care. Lung ultrasound (LUS) offers a fast, radiation-free alternative to computed tomography (CT), but its accuracy is limited by operator dependence. Artificial intelligence (AI) may standardize interpretation and improve performance. Methods: This retrospective single-center study included 46 patients (23 with CT-confirmed PTX and 23 controls). Sixty B-mode and M-mode frames per patient were extracted using a Clarius C3 HD3 wireless device, yielding 2760 images. CT served as the diagnostic reference. Experimental studies were conducted within the framework of three scenarios. Transformer-based models, Vision Transformer (ViT) and DINOv2, were trained and tested under two scenarios: random frame split and patient-level split. Also, Random Forest (RF) and eXtreme Gradient Boosting (XGBoost) classifiers were trained on the feature maps extracted by using Video Vision Transformer (ViViT) for ultrasound video sequences in Scenario 3. Model performance was evaluated using accuracy, sensitivity, specificity, F1-score, and area under the ROC curve (AUC). Results: Both transformers achieved high diagnostic accuracy, with B-mode images outperforming M-mode inputs in the first two scenarios. In Scenario 1, ViT reached 99.1% accuracy, while DINOv2 achieved 97.3%. In Scenario 2, which avoided data leakage, DINOv2 performed best in the B-mode region (90% accuracy, 80% sensitivity, 100% specificity, F1-score 88.9%). ROC analysis confirmed strong discriminative ability, with AUC values of 0.973 for DINOv2 and 0.964 for ViT on B-mode images. Also, both RF and XGBoost classifiers trained on the ViViT feature maps reached 90% accuracy on the video sequences. Conclusions: AI-assisted LUS substantially improves PTX detection, with transformers—particularly DINOv2—achieving near-expert accuracy. Larger multicenter datasets are required for validation and clinical integration.
Full article

Graphical abstract
Open AccessArticle
Electron Density and Effective Atomic Number as Quantitative Biomarkers for Differentiating Malignant Brain Tumors: An Exploratory Study with Machine Learning
by
Tsubasa Nakano, Daisuke Hirahara, Tomohito Hasegawa, Kiyohisa Kamimura, Masanori Nakajo, Junki Kamizono, Koji Takumi, Masatoyo Nakajo, Fumitaka Ejima, Ryota Nakanosono, Ryoji Yamagishi, Fumiko Kanzaki, Hiroki Muraoka, Nayuta Higa, Hajime Yonezawa, Ikumi Kitazono, Jihun Kwon, Gregor Pahn, Eran Langzam, Ko Higuchi and Takashi Yoshiuraadd
Show full author list
remove
Hide full author list
Tomography 2025, 11(11), 120; https://doi.org/10.3390/tomography11110120 - 29 Oct 2025
Abstract
►▼
Show Figures
Objectives: The potential use of electron density (ED) and effective atomic number (Zeff) derived from dual-energy computed tomography (DECT) as novel quantitative imaging biomarkers for differentiating malignant brain tumors was investigated. Methods: Data pertaining to 136 patients with a pathological diagnosis of brain
[...] Read more.
Objectives: The potential use of electron density (ED) and effective atomic number (Zeff) derived from dual-energy computed tomography (DECT) as novel quantitative imaging biomarkers for differentiating malignant brain tumors was investigated. Methods: Data pertaining to 136 patients with a pathological diagnosis of brain metastasis (BM), glioblastoma, and primary central nervous system lymphoma (PCNSL) were retrospectively reviewed. The 10th percentile, mean and 90th percentile values of conventional 120-kVp CT value (CTconv), ED, Zeff, and relative apparent diffusion coefficient derived from diffusion-weighted magnetic resonance imaging (rADC: ADC of lesion divided by ADC of normal-appearing white matter) within the contrast-enhanced tumor region were compared across the three groups. Furthermore, machine learning (ML)-based diagnostic models were developed to maximize diagnostic performance for each tumor classification using the indices of DECT parameters and rADC. Machine learning models were developed using the AutoGluon-Tabular framework with rigorous patient-level data splitting into training (60%), validation (20%), and independent test sets (20%). Results: The 10th percentile of Zeff was significantly higher in glioblastomas than in BMs (p = 0.02), and it was the only index with a significant difference between BMs and glioblastomas. In the comparisons including PCNSLs, all indices of CTconv, Zeff, and rADC exhibited significant differences (p < 0.001–0.02). DECT-based ML models exhibited high area under the receiver operating characteristic curves (AUC) for all pairwise differentiations (BMs vs. Glioblastomas: AUC = 0.83; BMs vs. PCNSLs: AUC = 0.91; Glioblastomas vs. PCNSLs: AUC = 0.82). Combined models of DECT and rADC demonstrated excellent diagnostic performance between BMs and PCNSLs (AUC = 1) and between Glioblastomas and PCNSLs (AUC = 0.93). Conclusion: This study suggested the potential of DECT-derived ED and Zeff as novel quantitative imaging biomarkers for differentiating malignant brain tumors.
Full article

Figure 1
Open AccessArticle
Dose-Dependent Analysis of Image Quality in Pediatric Head CT Scans Across Different Scanners to Optimize Clinical Protocols Using Phantom-Based Assessment
by
Hiroshi Kuwahara, Mitsuaki Ojima, Tsuneko Kawamura, Daisuke Saitou, Kazunari Andou, Eiji Ariga, Kotaro Hasegawa and Michiaki Kai
Tomography 2025, 11(11), 119; https://doi.org/10.3390/tomography11110119 - 27 Oct 2025
Abstract
►▼
Show Figures
Background/Objectives: Optimization of pediatric head computed tomography (CT) protocols is essential to minimize radiation exposure while maintaining diagnostic image quality. Previous studies mainly relied on phantom-based measurements or visual assessments, and validation using clinical images remains limited. This study aimed to establish quantitative
[...] Read more.
Background/Objectives: Optimization of pediatric head computed tomography (CT) protocols is essential to minimize radiation exposure while maintaining diagnostic image quality. Previous studies mainly relied on phantom-based measurements or visual assessments, and validation using clinical images remains limited. This study aimed to establish quantitative thresholds for noise and contrast-to-noise ratio (CNR) in pediatric head CT by integrating multicenter clinical data with phantom evaluations. Methods: A multicenter retrospective study was conducted using CT systems from eight hospitals, combined with Catphan phantom experiments and pediatric head CT data. Scan parameters, automatic exposure control settings, and reconstruction methods were collected. Image quality was quantified by the standard deviation (SD) of noise and CNR obtained from regions of interest in gray and white matter. Radiation dose was represented by CTDIvol. Relationships among CTDIvol, SD, and CNR were analyzed across scanners from three manufacturers (Canon, FUJI, and GE). Results: Consistent dose–response trends were observed across institutions and manufacturers. Image noise decreased as CTDIvol increased, but reached a plateau at higher doses. CNR improved with dose escalation, then stabilized. Both phantom experiments and clinical analyses identified a target SD of 5 and CNR of 2 as optimal indicators for pediatric head CT. Conclusions: Quantitative thresholds were determined as practical indicators for balancing diagnostic image quality with dose reduction. Further reduction may be achieved through advanced reconstruction methods, such as deep learning-based algorithms. These findings may contribute to standardizing pediatric head CT protocols and supporting safer and more effective diagnostic imaging.
Full article

Graphical abstract
Journal Menu
► ▼ Journal Menu-
- Tomography Home
- Aims & Scope
- Editorial Board
- Reviewer Board
- Topical Advisory Panel
- Instructions for Authors
- Special Issues
- Topics
- Sections
- Article Processing Charge
- Indexing & Archiving
- Editor’s Choice Articles
- Most Cited & Viewed
- Journal Statistics
- Journal History
- Journal Awards
- Conferences
- Editorial Office
- 10th Anniversary
Journal Browser
► ▼ Journal BrowserHighly Accessed Articles
Latest Books
E-Mail Alert
News
Topics
Topic in
Anatomia, Biomedicines, IJMS, Medicina, Tomography
Human Anatomy and Pathophysiology, 3rd Edition
Topic Editors: Francesco Cappello, Mugurel Constantin RusuDeadline: 31 May 2026
Conferences
Special Issues
Special Issue in
Tomography
Emergent Perspectives in Oncology Imaging
Guest Editors: Mariano Scaglione, Leandra PiscopoDeadline: 30 December 2025
Special Issue in
Tomography
Orthopaedic Radiology: Clinical Diagnosis and Application
Guest Editor: Olumide A. DanisaDeadline: 31 December 2025
Special Issue in
Tomography
Cutting-Edge Applications: Artificial Intelligence and Deep Learning Revolutionizing CT and MRI
Guest Editor: Giovanni FotiDeadline: 25 March 2026
Special Issue in
Tomography
Oncogenic Risk Related to Ionizing Radiation and Environmental Impact in Radiology
Guest Editor: Emilio QuaiaDeadline: 31 March 2026




