Journal Description
Dermato
Dermato
is an international, peer-reviewed, open access journal on skin science published quarterly online by MDPI.
- Open Access— free for readers, with article processing charges (APC) paid by authors or their institutions.
- High Visibility: indexed within Scopus and other databases.
- Rapid Publication: manuscripts are peer-reviewed and a first decision is provided to authors approximately 37.2 days after submission; acceptance to publication is undertaken in 8.8 days (median values for papers published in this journal in the second half of 2025).
- Recognition of Reviewers: APC discount vouchers, optional signed peer review, and reviewer names published annually in the journal.
Latest Articles
NAD-Mediated Protection by Nicotinamide Against UVB-Induced Oxidative Damage in HaCaT Cells
Dermato 2026, 6(1), 7; https://doi.org/10.3390/dermato6010007 - 3 Feb 2026
Abstract
Background/Objectives. Ultraviolet B (UVB) radiation is a key etiological factor for skin cancer, inducing oxidative stress, DNA damage and apoptosis. Nicotinamide (NAM), a NAD+ precursor, has shown photoprotective properties, although the mechanisms underlying this effect have not been fully elucidated. This study
[...] Read more.
Background/Objectives. Ultraviolet B (UVB) radiation is a key etiological factor for skin cancer, inducing oxidative stress, DNA damage and apoptosis. Nicotinamide (NAM), a NAD+ precursor, has shown photoprotective properties, although the mechanisms underlying this effect have not been fully elucidated. This study sought to elucidate the role of NAM in counteracting UVB-induced oxidative damage in HaCaT cells and to assess the contribution of NAD+ metabolism to these effects. Methods. HaCaT were exposed to low-dose UVB irradiation (40 mJ/cm2) and treated with NAM (25 μM), alone or in combination with the NAMPT inhibitor FK866 (1 nM) for 4 and 24 h. Oxidative stress, lipid peroxidation and DNA damage were evaluated by DCFDA assay, TBARS assay and comet assay, respectively. Cell proliferation, cell cycle progression and apoptosis were assessed using Ki67 immunofluorescence, flow cytometry analysis and Annexin V/PI staining. Transcriptional activity for oxidative stress- and apoptosis-related markers was analyzed by RT-qPCR. Results. NAM significantly reduced UVB-induced ROS production at both 4 and 24 h post-irradiation in an NAD+-dependent manner, as demonstrated by the reversal of its effects following NAMPT inhibition. NAM also decreased oxidative DNA damage accompanied by reduced OGG1 expression, a marker of oxidative stress. Moreover, NAM restored HaCaT proliferation and reduced early apoptosis, particularly at 24 h post-UVB exposure. These protective effects were mediated by NAD+. Conclusions. Our results show that NAM confers robust protection to HaCaT cells from UVB-induced oxidative stress and cellular damage, largely mediated by NAD+-dependent pathways, supporting its potential role as a systemic photoprotective agent in skin cancer prevention.
Full article
(This article belongs to the Special Issue Systemic Photoprotection: New Insights and Novel Approaches)
►
Show Figures
Open AccessReview
Melanoma Beyond the Microscope in the Era of AI and Integrated Diagnostics
by
Serra Aksoy, Pinar Demircioglu and Ismail Bogrekci
Dermato 2026, 6(1), 6; https://doi.org/10.3390/dermato6010006 - 3 Feb 2026
Abstract
Background/Objectives: Melanoma remains one of the most malignant types of skin cancer with rising incidence numbers, despite the progress made in the prevention and management of the disease. Recent technological advancements, such as developments in the field of molecular biology, imaging, and artificial
[...] Read more.
Background/Objectives: Melanoma remains one of the most malignant types of skin cancer with rising incidence numbers, despite the progress made in the prevention and management of the disease. Recent technological advancements, such as developments in the field of molecular biology, imaging, and artificial intelligence (AI), have led to a paradigm shift in the diagnosis, assessment, and management of melanoma. The current review aims to integrate current research on melanoma, moving beyond the boundaries of conventional histological analysis. Methods: This is a critical appraisal narrative review that focuses on recent studies in the areas of translation research and digital health with regard to melanoma. This research particularly targeted recent studies within the last five years, with landmark studies implicated when appropriate. Evidence was synthesized within the major categories that include epidemiology, early diagnosis, histopathology, predictive biomarkers, genetic/epigenetic changes, AI-assisted diagnostic platforms, and novel therapeutic platforms & targets. Results: Early detection techniques, innovative imaging, and biomarker-guided risk adjustment can improve diagnostic accuracy and prognostic stratification. The potential of AI in dermoscopy, digital pathology, and decision analytical systems is evident, although validation, bias, and integration issues need to be addressed. Advances in immunotherapy, targeted therapies, and novel molecular/immunological targets are expanding and facilitating integrated and personalized management. Conclusions: There is a trend in melanoma research to shift towards an integrated diagnostic platform that involves the use of AI, molecular characterization, and clinical inputs to enable more accurate and personalized diagnoses. To realize this potential, there is a need to validate, collaborate, and address ethics and implementation.
Full article
(This article belongs to the Collection Artificial Intelligence in Dermatology)
►▼
Show Figures

Graphical abstract
Open AccessSystematic Review
Narrowband UVB Compared to Psoralen Associated with UVA or UVB in the Repigmentation of Vitiligo: A Systematic Review
by
Giulia de Lara Quagliotto, Nathalia Bakes Teodoro, Cristiane Buzanello Donin, Gladson Ricardo Flor Bertolini and Márcia Rosângela Buzanello
Dermato 2026, 6(1), 5; https://doi.org/10.3390/dermato6010005 - 2 Feb 2026
Abstract
Background/Aims: This study aimed to undertake a systematic literature review to compare the effectiveness of narrowband UVB (nb-UVB) therapy with Psoralen + UVA (PUVA) or Psoralen + UVB treatments in individuals with vitiligo. Methods: A comprehensive search was executed across multiple electronic databases
[...] Read more.
Background/Aims: This study aimed to undertake a systematic literature review to compare the effectiveness of narrowband UVB (nb-UVB) therapy with Psoralen + UVA (PUVA) or Psoralen + UVB treatments in individuals with vitiligo. Methods: A comprehensive search was executed across multiple electronic databases (PubMed, Embase, Cochrane, Scopus, Web of Science, LILACS) and grey literature repositories (Google Scholar, LIVIVO, OpenGrey, ProQuest). Methodological quality was independently assessed by two reviewers employing the Cochrane RoB 2 tool; consensus was achieved through consultation with a third reviewer when necessary. The main efficacy endpoint was repigmentation. Results: From 4758 initial records, four randomized controlled trials that satisfied the inclusion criteria were identified. The aggregated results from these studies indicated that nb-UVB, either alone or combined with psoralen (P-nbUVB), produced better repigmentation outcomes compared to PUVA. Conclusions: Nb-UVB phototherapy demonstrated superior repigmentation efficacy, improved color matching, and a faster clinical response relative to PUVA. The addition of psoralen (P-nbUVB) further enhanced therapeutic outcomes, particularly in VASI scores and in areas typically less exposed to resunlight.
Full article
(This article belongs to the Special Issue Reviews in Dermatology: Current Advances and Future Directions)
►▼
Show Figures

Figure 1
Open AccessSystematic Review
Incipient and In Situ Merkel Cell Carcinoma of the Skin: A Review
by
Saeed Ali Alshehri, Toka Mahmoud R. Abdelwahed Hussein and Mahmoud Rezk Abdelwahed Hussein
Dermato 2026, 6(1), 4; https://doi.org/10.3390/dermato6010004 - 21 Jan 2026
Abstract
Background and Objectives: Merkel cell carcinoma (MCC) is a rare, aggressive, invasive cutaneous neuroendocrine carcinoma. It commonly affects the skin of the extremities and head and neck regions in elderly patients. In situ MMC represents MMC confined to the epidermis. Incipient MCC is
[...] Read more.
Background and Objectives: Merkel cell carcinoma (MCC) is a rare, aggressive, invasive cutaneous neuroendocrine carcinoma. It commonly affects the skin of the extremities and head and neck regions in elderly patients. In situ MMC represents MMC confined to the epidermis. Incipient MCC is a descriptive term that represents in situ MCC with early focal dermal microinvasion. In situ MCC and incipient MCC have a much better prognosis than MCC. In this study, we aimed to address the clinicopathologic features of early lesions of MCCs, including both incipient and in situ forms. Methods: We conducted a PubMed search using the following keywords: (“Merkel cell carcinoma” OR “Merkel carcinoma” OR “Merkel” OR “MCC”) AND (“in situ” OR “incipient” OR “intraepidermal”) AND (“skin” OR “cutaneous”. The inclusion criteria included (i) human studies, and (ii) case reports and series published in the English language with the above-mentioned search keywords. Studies not meeting all inclusion criteria were excluded. Results: Incipient and in situ MCCs are extremely rare events (15 case reports). They usually appear as tiny (2 mm to 6 mm) erythematous papules or nodules over the skin. Immunohistology (for CK20, EMA, and neuroendocrine markers) was required to establish the diagnosis of these lesions. Conclusions: MCCs carry a significantly high mortality rate due to their aggressive nature. However, for in situ MCC and incipient MCC, local surgical excision is usually curative, and the prognosis is excellent. Therefore, dermatologists and dermatopathologists should remain vigilant for these forms of early lesions of MCCs. This will help with early detection and prompt treatment.
Full article
(This article belongs to the Special Issue Reviews in Dermatology: Current Advances and Future Directions)
►▼
Show Figures

Figure 1
Open AccessReview
Drug-Induced Acute Generalized Exanthematous Pustulosis: Mechanisms, Diagnosis, and Clinical Differentiation from Other Pustular Eruptions
by
Esteban Zavaleta-Monestel, Audry Escudero-Correa, Jeaustin Mora-Jiménez, Andy Jesús Hernández-Vásquez, Luis Carlos Monge-Bogantes, Josephine Hernández-López and Sebastián Arguedas-Chacón
Dermato 2026, 6(1), 3; https://doi.org/10.3390/dermato6010003 - 15 Jan 2026
Abstract
Background/Objectives: Acute generalized exanthematous pustulosis (AGEP) is a severe drug-induced cutaneous reaction characterized by the abrupt onset of sterile pustules, fever, neutrophilia, and a T cell-mediated type IVd hypersensitivity response. This narrative review synthesizes current evidence on pharmacological triggers, immunopathogenic mechanisms, diagnostic criteria,
[...] Read more.
Background/Objectives: Acute generalized exanthematous pustulosis (AGEP) is a severe drug-induced cutaneous reaction characterized by the abrupt onset of sterile pustules, fever, neutrophilia, and a T cell-mediated type IVd hypersensitivity response. This narrative review synthesizes current evidence on pharmacological triggers, immunopathogenic mechanisms, diagnostic criteria, and differential diagnosis to provide a clinically oriented framework. Methods: A comprehensive literature search was conducted in PubMed/MEDLINE, Scopus, ScienceDirect, and SpringerLink for studies published between 2000 and 2025, complemented by selected clinical reference sources. Studies addressing clinical features, immunological pathways, pharmacovigilance signals, and diagnostic tools for AGEP were included. Synthesis of Evidence: β-lactam antibiotics remain the most frequent triggers, while increasing associations have been reported with hydroxychloroquine, targeted therapies, immune checkpoint inhibitors, psychotropic agents, and vaccines. Immunopathogenesis is driven by IL-36 activation, CXCL8/IL-8–mediated neutrophil recruitment, and IL36RN mutations, explaining overlap with pustular psoriasis. Diagnostic accuracy improves through integration of drug latency, clinical morphology, histopathology, biomarkers, and standardized tools such as the EuroSCAR score. Conclusions: AGEP is a complex pustular reaction induced by diverse drugs and amplified by IL-36-mediated inflammation. Accurate diagnosis requires a multidimensional approach supported by structured algorithms and robust pharmacovigilance to identify evolving drug-associated patterns.
Full article
(This article belongs to the Special Issue Reviews in Dermatology: Current Advances and Future Directions)
►▼
Show Figures

Figure 1
Open AccessArticle
Medication Adherence in Acne Vulgaris Patients Attending Dermatology Clinic at a Tertiary Hospital: A Cross-Sectional Study
by
Saud Aleissa, Ahmed Baabdullah, Bader Zimmo, Mohammed H. Abduljabbar, Jehad Hariri, Yara Alghamdi, Samia N. Almutairi and Sahar Alsifri
Dermato 2026, 6(1), 2; https://doi.org/10.3390/dermato6010002 - 5 Jan 2026
Abstract
►▼
Show Figures
Background/Objectives: Acne is a common skin condition that is characterized by the manifestation of comedones, erythematous papules, pustules, and nodules over follicular areas. A huge contributing factor in the pathogenesis is colonization by Cutibacterium acnes (C. acnes) (formerly Propionibacterium acnes).
[...] Read more.
Background/Objectives: Acne is a common skin condition that is characterized by the manifestation of comedones, erythematous papules, pustules, and nodules over follicular areas. A huge contributing factor in the pathogenesis is colonization by Cutibacterium acnes (C. acnes) (formerly Propionibacterium acnes). Conventional treatments for acne range from topical to systemic agents with variable side effects and safety profiles. Adherence to prescribed treatments for acne is a huge challenge. Method: A quantitative cross-sectional study was conducted among 198 patients with dermatologist-confirmed acne vulgaris at King Abdulaziz University Hospital, Jeddah. Eligible participants had received topical and/or systemic treatment for at least one month. Exclusion criteria included other acne variants and inflammatory follicular disorders. Data on sociodemographics, medical and treatment history, and clinical characteristics were collected using a structured questionnaire. Treatment adherence was assessed with the validated ECOB scale. Associations between adherence and relevant variables were analyzed using Chi-squared and Mann–Whitney tests in SPSS v26, with significance set at p ≤ 0.05. Results: Non-adherence to anti-acne medications was 50.5% and was significantly associated with experiencing side effects, particularly skin dryness, and with moderate acne severity and topical treatment (p ≤ 0.05). No significant associations were found between adherence and demographic or medical history variables. Conclusions: Adherence to acne treatment remains a significant challenge for many patients. Improving patient education, addressing concerns about side effects, and providing practical support may help patients follow their prescribed therapies more consistently. Incorporating tools like the ECOB questionnaire into routine dermatology visits can support ongoing assessment and better management of treatment adherence.
Full article

Figure 1
Open AccessArticle
Assessment of IL-13, IL-31 Levels and Disease Severity in Children with Atopic Dermatitis
by
Sara Missaoui, Imane Abbari, Halima Kholaiq, Zahra Aadam, Khaoula Oussama, Abdelrrahmane Errami, Fatima Ailal, Ibtihal Benhsaien, Bouchra Baghad, Jalila El Bakkouri and Ahmed Aziz Bousfiha
Dermato 2026, 6(1), 1; https://doi.org/10.3390/dermato6010001 - 24 Dec 2025
Abstract
►▼
Show Figures
Introduction: Atopic dermatitis (AD) is driven by complex pathways that mediate inflammation and pruritus. The pathophysiology of AD’s disease involves multiple pathways. Interleukin-13 (IL-13) is considered a major cytokine in Th2-type inflammation, responsible for changing the epidermal barrier and producing chronic inflammation,
[...] Read more.
Introduction: Atopic dermatitis (AD) is driven by complex pathways that mediate inflammation and pruritus. The pathophysiology of AD’s disease involves multiple pathways. Interleukin-13 (IL-13) is considered a major cytokine in Th2-type inflammation, responsible for changing the epidermal barrier and producing chronic inflammation, whereas interleukin-31 (IL-31) is considered a major inducer of pruritus. The exact correlation of each of these cytokines with disease severity in children with AD appears to vary across studies. This study was therefore designed to evaluate whether IL-13 and IL-31 levels contribute complementarily or independently to the overall clinical severity of AD in the Moroccan pediatric population and to analyze the correlation between serum IL-13 and IL-31 levels and investigate their correlation with disease severity in a pediatric cohort. Methods: A total of 52 children with moderate to severe AD were included. The severity of the disease was measured using the SCORing Atopic Dermatitis (SCORAD) index. Serum levels of IL-13 and IL-31 were measured by Enzyme-Linked Immunosorbent Assay (ELISA). Results: The IL-13 serum level showed a considerable positive correlation with the SCORAD score (rs = 0.7, p < 0.0001). On the other hand, IL-31 levels revealed no correlation with SCORAD (rs = 0.07, p = 0.62) but were positively correlated with pruritus intensity (rs = 0.91, p < 0.001). Conclusion: Our results support the presence of different pathophysiological axes in pediatric AD, where IL-13 functions as a reliable biomarker of inflammatory severity. IL-31 acts as a systemic marker of the pruritic pathway.
Full article

Graphical abstract
Open AccessOpinion
Medico-Legal Considerations on the Clinico-Instrumental Correlation and the Role of Expertise in the Dermatological Diagnostic Pathway
by
Andrea Michelerio, Livio P. Tronconi, Giuseppe Basile, Valeria Brazzelli and Vittorio Bolcato
Dermato 2025, 5(4), 24; https://doi.org/10.3390/dermato5040024 - 9 Dec 2025
Abstract
Italian Court of Cassation Ruling Decree 30032 of 30 October 2023 discusses a medical malpractice case concerning the diagnosis of dermatofibrosarcoma protuberans and the alleged diagnostic and therapeutic delay. By examining how the ruling frames the role of histopathology in proving pathology benignity,
[...] Read more.
Italian Court of Cassation Ruling Decree 30032 of 30 October 2023 discusses a medical malpractice case concerning the diagnosis of dermatofibrosarcoma protuberans and the alleged diagnostic and therapeutic delay. By examining how the ruling frames the role of histopathology in proving pathology benignity, authors prompt to reflect on diagnostic path, the allocation of the burden of proof, and the role of dermatologist’s expertise in professional liability issues. Over a four-year period, five health professionals were involved in a claim concerning an initial diagnosis of an epidermoid cyst and a subsequent diagnosis of dermatofibrosarcoma protuberans. The plaintiff questioned the delay in diagnosis, and the Court of Cassation found two physicians liable because they could not prove that the treated pathology was initially benign. We argue that equating diagnostic correctness exclusively with histological confirmation is unnecessary, both clinically and legally, in typical cases, if the reasoning and findings are adequately documented. Additionally, we examine the value of dermatologists’ experience and the scope of professional competence as measures of liability. Finally, we outline the minimum standards of clinical documentation necessary to make the diagnostic pathway traceable and verifiable. The diagnostic process is a discretionary effort that integrates multiple sources of information, both instrumental and experiential, to reach the most reasonable hypothesis. While histopathology is a crucial tool, it is not the sole gateway to a correct diagnosis of every cutaneous alteration. Adequate disclosure and structured documentation of the diagnostic reasoning are fundamental to the care process and fair assessment of professional responsibility.
Full article
Open AccessCase Report
Cutaneous Marginal Zone Lymphoproliferation Arising from Circumorificial Plasmacytosis During Nivolumab Therapy for Urothelial Carcinoma
by
Thilo Gambichler, Heinz-Wolfram Bernd, Sera Weyer-Fahlbusch, Anke Lücke, Johann Lorenzen and Laura Susok
Dermato 2025, 5(4), 23; https://doi.org/10.3390/dermato5040023 - 3 Dec 2025
Abstract
Immune checkpoint inhibitors (ICIs), particularly PD-1/PD-L1 antibodies, have significantly improved outcomes in a variety of solid tumors, including urothelial carcinoma. However, their use is frequently associated with immune-related adverse events (irAEs) which frequently affect the skin and mucous membranes. Among these, plasma-cell-rich infiltrates
[...] Read more.
Immune checkpoint inhibitors (ICIs), particularly PD-1/PD-L1 antibodies, have significantly improved outcomes in a variety of solid tumors, including urothelial carcinoma. However, their use is frequently associated with immune-related adverse events (irAEs) which frequently affect the skin and mucous membranes. Among these, plasma-cell-rich infiltrates are exceptionally rare. Circumorificial plasmacytosis (COP) is a rare, predominantly reactive condition typically involving mucosal transition zones, with histologic features characterized by dense, polyclonal plasma cell infiltrates and a benign clinical course. Only two case reports have described COP in association with ICI therapy and, to date, transformation or overlap with lymphoproliferative disorders such as marginal zone lymphoma has not been documented. We report the case of an 86-year-old male with urothelial carcinoma who developed a progressive, ulcerated, bleeding lesion of the lower lip during adjuvant nivolumab therapy. Histologic examination revealed a dense subepithelial infiltrate of mature plasma cells and lymphocytes. Direct and indirect immunofluorescence studies were negative, excluding autoimmune blistering disorders. Immunohistochemistry showed a predominance of CD138-positive plasma cells with a moderate kappa light-chain shift, CD19 expression, and absence of CD56, Cyclin-D1, and CD117, arguing against a plasma cell neoplasm. Molecular analysis via multiplex PCR revealed a clonal B-cell population with distinct IgH rearrangements, and some EBV-positive cells were also identified by EBER in situ hybridization. The histopathologic and molecular findings suggested a marginal zone lymphoma-like, plasmacytic proliferation arising in the setting of COP. This case illustrates a rare and diagnostically challenging constellation at the intersection of reactive and clonal B-cell proliferations in the context of ICI therapy. Although the lesion demonstrated features of clonality, the overall low B-cell content, indolent clinical course, and lack of systemic involvement support a reactive, immunodeficiency-associated lymphoproliferation rather than overt lymphoma. This case expands the known spectrum of mucocutaneous irAEs and highlights the need for careful clinicopathologic correlation, including immunophenotyping and molecular diagnostics. Awareness of such rare presentations is essential to avoid overdiagnosis and unnecessary systemic treatment in patients with otherwise indolent lesions.
Full article
(This article belongs to the Special Issue What Is Your Diagnosis?—Case Report Collection)
►▼
Show Figures

Figure 1
Open AccessCase Report
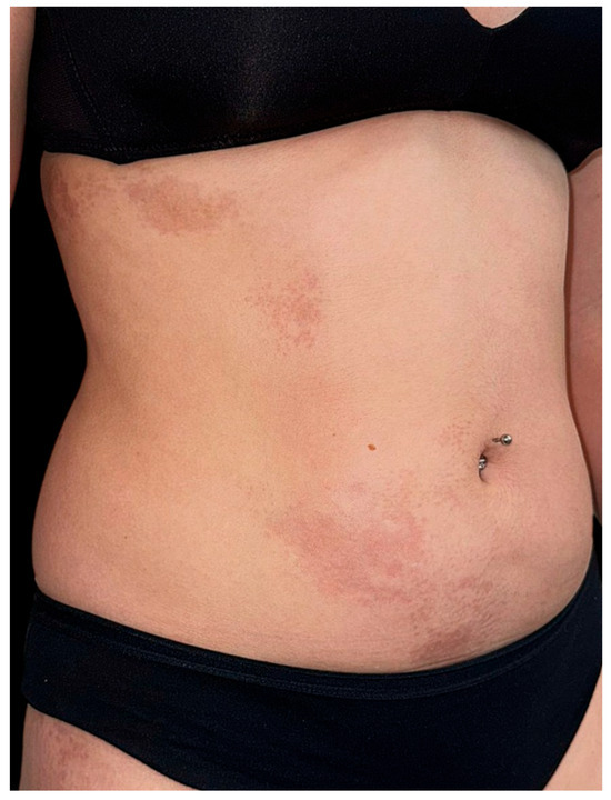
Linear Atrophoderma of Moulin: A Rare Blaschkoid Dermatosis
by
Luis Alonso-Mtz de Salinas and Emilio Berna-Rico
Dermato 2025, 5(4), 22; https://doi.org/10.3390/dermato5040022 - 29 Nov 2025
Abstract
Linear atrophoderma of Moulin (LAM) is a rare, benign dermatosis characterized by unilateral, hyperpigmented, slightly atrophic plaques distributed along Blaschko’s lines. We report the case of an 18-year-old woman with a four-year history of asymptomatic lesions on the right abdomen, thigh, and foot.
[...] Read more.
Linear atrophoderma of Moulin (LAM) is a rare, benign dermatosis characterized by unilateral, hyperpigmented, slightly atrophic plaques distributed along Blaschko’s lines. We report the case of an 18-year-old woman with a four-year history of asymptomatic lesions on the right abdomen, thigh, and foot. Histopathology revealed basal layer hyperpigmentation, mild collagen thickening, and a sparse perivascular lymphocytic infiltrate, without sclerosis. The clinical and histological findings confirmed the diagnosis of LAM. Given the stable course and absence of symptoms, a conservative approach with follow-up was adopted. This case underscores the importance of recognizing LAM’s distinctive presentation to avoid unnecessary treatments.
Full article
(This article belongs to the Special Issue What Is Your Diagnosis?—Case Report Collection)
►▼
Show Figures

Figure 1
Open AccessFeature PaperReview
Understanding the Impact of the Skin Microbiome on Dermatological Assessments and Therapeutic Innovation
by
Jéssica Ferreira Xavier-Souza, Raquel Allen Garcia Barbeto Siqueira, Beatriz Silva Moreira, Stephany Garcia Barbosa, Estella Souza Nascimento Mariano, Layra Inês Marinotti, Isabelle Gomes Costa, Bruna Sousa Requena, Thais Porta Lima, Iveta Hradkova, Vânia Rodrigues Leite-Silva, Newton Andréo-Filho and Patricia Santos Lopes
Dermato 2025, 5(4), 21; https://doi.org/10.3390/dermato5040021 - 11 Nov 2025
Abstract
The human skin microbiome, defined as a multifaceted ecosystem comprising bacteria, fungi, viruses, and mites, plays a pivotal role in maintaining skin homeostasis and regulating immune responses. In recent years, an increasing amount of evidence has illuminated the considerable influence exerted by microbiomes
[...] Read more.
The human skin microbiome, defined as a multifaceted ecosystem comprising bacteria, fungi, viruses, and mites, plays a pivotal role in maintaining skin homeostasis and regulating immune responses. In recent years, an increasing amount of evidence has illuminated the considerable influence exerted by microbiomes on the pathophysiology of dermatological ailments. This review provides a comprehensive synthesis of contemporary findings concerning the microbiome’s role in acne, aging, hyperpigmentation, and hair disorders, while also addressing the emerging concept of the gut–skin axis and how it could interfere in these skin disorders. Alterations in microbial composition, referred to as dysbiosis, have been associated with inflammatory processes and barrier dysfunction, thereby contributing to the severity and chronicity of diseases. Distinct microbial profiles have been identified as correlating with specific skin conditions. For instance, variations in Cutibacterium acnes phylotypes have been associated with the development of acne, whereas alterations in Corynebacterium and Staphylococcus species have been linked to the processes of aging and pigmentation patterns. Furthermore, the composition of the microbiome is examined in relation to its impact on cosmetic outcomes. It also engages with increasing interest in the modulation of microbiota through the topical application of bioactive compounds. The incorporation of prebiotics, probiotics, and postbiotics into cosmetic formulations constitutes a novel strategy aimed at enhancing skin health. In the domain of dermatological therapies, postbiotics have emerged as a significant class of substances, particularly due to their remarkable stability, safety, and immunomodulatory properties. These characteristics position them as promising candidates for incorporation into dermatological treatments. Recent studies have underscored the significance of microbiome-informed strategies within the domains of therapeutic and preventive dermatology, emphasizing the potential of such approaches to positively influence patient outcomes. As our understanding of this field continues to evolve, skin microbiomes are poised to emerge as a pivotal area of focus in the realm of personalized skin care and treatment. This development presents novel and innovative approaches for the management of skin conditions, characterized by enhanced specificity and efficacy.
Full article
(This article belongs to the Special Issue Reviews in Dermatology: Current Advances and Future Directions)
►▼
Show Figures

Graphical abstract
Open AccessFeature PaperArticle
Orthorhombically Packed Cosmetic Oils or Formulations Could Ensure Skin Lipid Barrier Stability—An Ex Vivo Porcine Skin Study
by
Yerin Yun and Seol-Hoon Lee
Dermato 2025, 5(4), 20; https://doi.org/10.3390/dermato5040020 - 3 Nov 2025
Abstract
►▼
Show Figures
Background: The lipid components of the skin barrier have the strongest structure when arranged in an orthorhombic packing. This structure can be influenced by the external supply of lipophilic ingredients. While the benefits of ceramide supplementation are well-documented, the effects of the
[...] Read more.
Background: The lipid components of the skin barrier have the strongest structure when arranged in an orthorhombic packing. This structure can be influenced by the external supply of lipophilic ingredients. While the benefits of ceramide supplementation are well-documented, the effects of the cosmetic formulation’s oil-based ingredients have been less explored. Methods: The packing structures of commonly used oil and wax ingredients in cosmetics were analyzed using FT-IR. These components were then combined to formulate a cosmetic composition with an orthorhombic packing structure. The strength of the skin barrier was assessed by measuring transepidermal water loss (TEWL), and the lipid packing of the porcine skin was analyzed using FT-IR. Results: In cosmetic oil ingredients, structurally simple oils such as mineral oil and squalane exhibited orthorhombic lipid packing, while more complex oils like isopropyl myristate (IPM) and isononyl isononanoate (ININ) showed hexagonal packing. Based on these structural characteristics, cosmetic formulations were designed by selectively combining oils, waxes, and emulsifiers to achieve a desired packing structure. Formulations incorporating orthorhombically packed oils successfully resulted in orthorhombic overall structures, whereas those including hexagonally packed oils tended to form hexagonal packing. The orthorhombic oils and formulation effectively maintained the structure and function of the porcine skin lipid barrier without disruption. Conclusions: This study demonstrated that orthorhombic oils and emulsions with orthorhombic packing effectively maintained skin barrier integrity, unlike hexagonal structures.
Full article

Figure 1
Open AccessArticle
Modulation of Piceatannol Skin Diffusion by Spilanthol and UV Filters: Insights from the Strat-M™ Model
by
Gisláine C. da Silva, Rodney A. F. Rodrigues and Carla B. G. Bottoli
Dermato 2025, 5(4), 19; https://doi.org/10.3390/dermato5040019 - 7 Oct 2025
Abstract
Background: currently, there is a growing trend toward multifunctional cosmetics, which combine several active ingredients in a single product to enhance efficacy and user convenience. As ingredients may influence one another, it is important to study the behavior of mixing multiple compounds in
[...] Read more.
Background: currently, there is a growing trend toward multifunctional cosmetics, which combine several active ingredients in a single product to enhance efficacy and user convenience. As ingredients may influence one another, it is important to study the behavior of mixing multiple compounds in complex formulations, especially regarding their interaction with the skin. Piceatannol, for instance, is a naturally occurring stilbene recognized for its in vitro potent antioxidant, anti-inflammatory, and anti-aging activities, making it a promising candidate for dermocosmetic use in suncare. But despite its beneficial biological activities, its cutaneous permeation remains poorly understood, particularly when delivered from complex formulations containing multiple ingredients. Objectives: in this sense, this study aimed to evaluate the in vitro skin diffusion profile of piceatannol from a passion fruit seed extract (Pext) incorporated into a topical base (Bem) or an organic sunscreen emulsion (Oem), with or without a spilanthol-rich Acmella oleracea extract (Jext) used as a natural permeation enhancer. Methods: due to ethical and variability issues with human and animal skins, the Strat-M™ synthetic membrane was chosen as a standardized model for the in vitro skin permeation assays. Piceatannol localization within membrane layers was examined by confocal Raman microscopy (CRM), while compound identification in donor and receptor compartments was performed via UHPLC-DAD. Results: piceatannol from Bem was detected up to 140 µm from the Strat-M™ surface and exceeded 180 µm in depth when Jext and organic sunscreens were included in the formulation. Notably, formulations containing Jext and those based on Oem promoted enhanced accumulation in both the stratum corneum and deeper skin layers, suggesting an improved delivery potential in lipid-rich vehicles. Conclusions: even though some instability issues were observed, piceatannol penetration into Strat-M™ from the proposed formulations was confirmed, and the results provide a foundation for further research on its topical delivery, supporting the rational development of formulations capable of harnessing its demonstrated biological properties.
Full article
(This article belongs to the Special Issue Systemic Photoprotection: New Insights and Novel Approaches)
►▼
Show Figures

Figure 1
Open AccessCase Report
Recurrent Cutaneous Leiomyosarcoma: A Histopathological Perspective and the Quest for Complete Excision
by
Andreea Cătălina Tinca, Bianca Andreea Lazar, Andreea-Raluca Cozac-Szőke and Ovidiu Simion Cotoi
Dermato 2025, 5(4), 18; https://doi.org/10.3390/dermato5040018 - 3 Oct 2025
Abstract
Cutaneous leiomyosarcoma is a rare, malignant tumor that arises from smooth muscle cells, accounting for less than 3% of all cutaneous sarcomas. Our case report details a 63-year-old male patient who presented with a rapidly growing, painful nodule in the popliteal region. The
[...] Read more.
Cutaneous leiomyosarcoma is a rare, malignant tumor that arises from smooth muscle cells, accounting for less than 3% of all cutaneous sarcomas. Our case report details a 63-year-old male patient who presented with a rapidly growing, painful nodule in the popliteal region. The patient underwent initial surgical excision in September 2021, followed by three subsequent resections until March 2022 due to local recurrence. Histopathological analysis of all specimens revealed a dermal neoplasm composed of spindle cells arranged in intersecting fascicles with storiform patterns. The immunohistochemistry profile showed strong positivity for the markers SMA and desmin, confirming the diagnosis. Despite early interventions, the deep surgical margins were positive, and further surgeries were required until tumor-free margins were achieved. This case emphasizes the morphological characteristics, clinical behavior, and therapeutic challenges in managing cutaneous leiomyosarcoma. A favorable prognosis is achieved with long-term follow-up and a multidisciplinary approach.
Full article
(This article belongs to the Special Issue What Is Your Diagnosis?—Case Report Collection)
►▼
Show Figures

Figure 1
Open AccessArticle
Whole Genome Deep Sequencing of the Oral Microbiome in Epidermolysis Bullosa
by
Mark Cannon, Sabrina Baghaie, Lara Guzman, Ashlee Cosantino and Brian Maurer
Dermato 2025, 5(3), 17; https://doi.org/10.3390/dermato5030017 - 12 Sep 2025
Abstract
►▼
Show Figures
Background/Objectives: Epidermolysis bullosa (EB) is a rare genetic disease often requiring extensive dental interventions. Whole genome sequencing of the oral microbiome may provide essential information on the pathogenic shifts reported in the literature, resulting in significant plaque development. Methods: Three EB patients had
[...] Read more.
Background/Objectives: Epidermolysis bullosa (EB) is a rare genetic disease often requiring extensive dental interventions. Whole genome sequencing of the oral microbiome may provide essential information on the pathogenic shifts reported in the literature, resulting in significant plaque development. Methods: Three EB patients had a proprietary whole genome sequencing completed. The samples were deidentified and compared to a library of 30,000 bacterial genomes. Results: The oral microbiome of the three individuals was significantly different from normotypical samples. Although a commonality was presented between the three individuals, differences were also noted. Neisseria sicca is present across all samples with relatively high percentiles (>95th percentile in all 3). Streptococcus mitis is also present in all samples, with its percentile and abundance differing significantly. With one sample, BHU, Morococcus cerebrosus was the top species with 19.74% relative abundance (100th percentile), an outlier compared to the other samples, and present in the highest concentration yet noted in the database. All three samples had at least one Actinomyces species in the 70th percentile or greater. Conclusions: Within the limitations of this small sampling, the oral microbiome of patients with Epidermolysis bullosa may be unique and require further investigation with the study of preventatives capable of inhibiting inflammation and overgrowth of pathogens.
Full article

Figure 1
Open AccessArticle
Comparative Study of Azelaic Acid Peeling vs. Tranexamic Acid Microneedling for the Treatment of Melasma
by
Guilherme dos Anjos Camargo, Daniella Woinarovicz Menegheti, Leticia Simeoni Avais, Evelyn Assis de Andrade, Patrícia Mathias Döll Boscardin and Giovani Marino Favero
Dermato 2025, 5(3), 16; https://doi.org/10.3390/dermato5030016 - 4 Sep 2025
Abstract
►▼
Show Figures
Melasma is an acquired hyperpigmentation that is more common in women and mainly affects the face. It can significantly reduce quality of life due to its chronic nature and resistance to treatment. Objectives: This study aimed to compare the clinical efficacy of azelaic
[...] Read more.
Melasma is an acquired hyperpigmentation that is more common in women and mainly affects the face. It can significantly reduce quality of life due to its chronic nature and resistance to treatment. Objectives: This study aimed to compare the clinical efficacy of azelaic acid peeling and combined tranexamic acid microneedling in patients with melasma, evaluating the impact of these therapies on skin depigmentation. Methods: This was a prospective clinical trial with a split-face design, using a convenience sample. Patients were recruited and divided into two groups for comparative treatment. Microneedling with 4 mg/mL tranexamic acid was applied to the right hemiface and 30% azelaic acid peeling to the left hemiface. The protocol included five sessions with a 15-day interval. Photographic records were taken before treatment, in the fifth session, and 15 days after the last session. The Melasma Area and Severity Index (MASI) and non-parametric tests were used to analyze the results. Results: The study included 10 patients, of whom 9 completed the treatment. The average age was 42 years. The most common skin phototype was type III (50%) and the predominant locations were the central facial area, forehead, and cheeks (55.6%). The photographic evaluation and MASI showed a significant improvement on both sides of the face, with the final values better than the initial ones. It was possible to observe that the azelaic acid peeling showed a significant whitening after the fourth session when compared to the other method. Conclusions: The clinical study of hemifaces concluded that both the azelaic acid peeling and microneedling with tranexamic acid are effective in the treatment of melasma, with the azelaic acid peeling showing results after the fourth session. Further studies with larger, randomized samples are recommended.
Full article

Graphical abstract
Open AccessEditor’s ChoiceSystematic Review
Overall Survival of Patients with Melanoma of Unknown Primary Versus Melanoma of Known Primary Under Immunotherapy and Targeted Therapy: A Systematic Review and Meta-Analysis
by
Thilo Gambichler, Priyanka C. Gaertner, Nessr Abu Rached, Laura Susok and Sera S. Weyer-Fahlbusch
Dermato 2025, 5(3), 15; https://doi.org/10.3390/dermato5030015 - 22 Aug 2025
Abstract
Background: Melanoma of unknown primary (MUP) is a rare and distinct clinical subtype of metastatic melanoma, in which no identifiable primary tumor is found. The prognosis of MUP compared to melanoma with known primary (MKP) remains unclear, especially in the era of novel
[...] Read more.
Background: Melanoma of unknown primary (MUP) is a rare and distinct clinical subtype of metastatic melanoma, in which no identifiable primary tumor is found. The prognosis of MUP compared to melanoma with known primary (MKP) remains unclear, especially in the era of novel therapies like immune checkpoint inhibitors (ICIs) and targeted therapies. This meta-analysis aims to compare the overall survival (OS) of MUP and MKP patients under these therapies. Methods: This systematic review was conducted in line with the Preferred Reporting Items for Systematic reviews and Meta-Analyses (PRISMA). A systematic search of major databases was conducted, yielding six eligible studies (nine study arms) that assessed the survival outcomes of MUP and MKP patients treated with immunotherapies and targeted therapies. We pooled the hazard ratios (HRs) for OS using both fixed and random effects models. Heterogeneity was assessed with the I2 statistic followed by a Baujat plot, and publication bias was evaluated using funnel plots and Egger’s test. Results: Our analysis revealed a borderline significant HR of 0.90 (95% CI: [0.81, 1.00], p = 0.04) under the fixed effect model, suggesting a potential survival benefit for MUP patients. However, the random effects model, accounting for study heterogeneity, showed no significant difference in OS between MUP and MKP (HR = 0.87, 95% CI: [0.73, 1.05], p = 0.15). Significant heterogeneity (I2 = 66.9%, p = 0.0022) was observed across studies. No substantial publication bias was detected. Conclusion: While the trend observed in the fixed effect model suggests a potential benefit for MUP patients, the random effects analysis indicates no significant difference between MUP and MKP in terms of OS. These findings underscore the importance of accounting for study heterogeneity and highlight the need for further prospective studies to better understand the impact of novel therapies on MUP.
Full article
(This article belongs to the Special Issue Reviews in Dermatology: Current Advances and Future Directions)
►▼
Show Figures

Figure 1
Open AccessArticle
Increased Detection of Merkel Cell Polyomavirus in Non-Melanoma Skin Cancer and Its Association with Host Immunogenetic Profile
by
Leonardo Ribeiro Alves de Souza, Camila Freze Baez, Thiago Rubim Bellott, Milena Siqueira Pereira, Marianna Tavares Venceslau Gonçalves, Maria Angelica Arpon Marandino Guimarães, Flávio Barbosa Luz and Rafael Brandão Varella
Dermato 2025, 5(3), 14; https://doi.org/10.3390/dermato5030014 - 7 Aug 2025
Abstract
►▼
Show Figures
Background: Merkel cell polyomavirus (MCPyV) has been established as an etiological agent in Merkel cell carcinoma (MCC), yet its role in other cutaneous neoplasms remains under investigation. The impact of the host’s immunogenetic characteristics on the persistence of Merkel cell polyomavirus (MCPyV) in
[...] Read more.
Background: Merkel cell polyomavirus (MCPyV) has been established as an etiological agent in Merkel cell carcinoma (MCC), yet its role in other cutaneous neoplasms remains under investigation. The impact of the host’s immunogenetic characteristics on the persistence of Merkel cell polyomavirus (MCPyV) in non-melanoma skin cancer (NMSC) is not yet well understood. Objective: Our aim was to investigate the presence of MCPyV in various skin lesions, particularly NMSC, and its association with cytokine gene polymorphisms related to immune regulation. Methods: We analyzed 274 skin biopsies (lesional, perilesional, and healthy skin) from 84 patients undergoing dermatological evaluation. MCPyV DNA and polymorphisms in IL-6, IL-10, IFN-γ, and TNF-α genes were detected using PCR-based assays. Results: MCPyV was significantly more prevalent in NMSC and non-cancerous lesions than in surgical margins or healthy skin (p = 0.050 and 0.048, respectively). Concordance between lesion and margin samples was low (κ = 0.305), suggesting microenvironment-specific viral persistence. Notably, high-expression IL-10 genotypes (-1082 GG) and low-expression IL-6 genotypes (-174 AA) were significantly associated with MCPyV detection (p = 0.048 and p = 0.015, respectively). Conclusions: MCPyV preferentially localizes to NMSC lesions, particularly in individuals with immunogenetic profiles favoring viral persistence. Since the role of MCPyV in the pathogenesis of NMSC remains uncertain, our results highlight the need for further studies to clarify whether the lesion’s microenvironment supports viral persistence or indicates a more intricate interaction between the virus and the host, which could be significant for the development of skin cancer.
Full article

Figure 1
Open AccessReview
The Sleep–Skin Axis: Clinical Insights and Therapeutic Approaches for Inflammatory Dermatologic Conditions
by
Alana Sadur, Lucie Joerg, Amelia Stapleton Van Doren, Ellen T. Lee, Dia Shah, Aniket K. Asees and Sonal Choudhary
Dermato 2025, 5(3), 13; https://doi.org/10.3390/dermato5030013 - 31 Jul 2025
Cited by 3
Abstract
Sleep is crucial to overall health and plays a significant role in skin function. While the circadian rhythm has been extensively researched for its impact on the body’s optimal functioning, the skin also possesses an independent circadian system that serves many important functions.
[...] Read more.
Sleep is crucial to overall health and plays a significant role in skin function. While the circadian rhythm has been extensively researched for its impact on the body’s optimal functioning, the skin also possesses an independent circadian system that serves many important functions. Sleep disruptions or deprivation can significantly affect skin conditions, by compromising the skin barrier and impairing processes such as collagen production, cellular repair, and wound healing. Given the commonality of sleep disturbances, it is crucial to understand the connection between sleep, circadian regulation, and skin health. This is particularly important in understudied populations, such as those with occupational sleep disruption and individuals with hormone-related conditions like PCOS and menopause. Bidirectional relationships have been established between sleep and several inflammatory skin conditions, including atopic dermatitis, psoriasis, rosacea, and hidradenitis suppurativa. While acne is influenced by sleep, the reverse relationship, how acne affects sleep quality, has not been well established. Chronic sleep disruption can increase cortisol levels and oxidative stress, both of which contribute to skin aging and the progression of autoimmune skin conditions, including systemic lupus erythematosus. As sleep is a modifiable risk factor, it is crucial to consider therapeutic options and interventions to prevent or alleviate skin conditions. This review discusses various therapeutic approaches, including melatonin, L-Theanine, Magnesium-L-threonate, Inositol, Cinnamomi cortex, nervous system regulation, and proper sleep hygiene. These therapeutic options have been studied for their impact on sleep, and importantly, several have been evaluated for their utility as adjuncts for treating skin conditions. Overall, the relationship between sleep and skin health is clear, and incorporating sleep-focused therapeutic interventions offers potential to improve both sleep quality and skin health in individuals with a variety of skin conditions.
Full article
(This article belongs to the Special Issue Reviews in Dermatology: Current Advances and Future Directions)
►▼
Show Figures

Figure 1
Open AccessSystematic Review
Comparison of the Excimer Lamp vs. Narrowband Ultraviolet (Nb-Uvb) Lamp or 308 nm Excimer Laser in Vitiligo Repigmentation: A Systematic Review
by
Nathalia Bakes Teodoro, Giulia De Lara Quagliotto, Gladson Ricardo Flor Bertolini, Cristiane Buzanello Donin and Márcia Rosângela Buzanello
Dermato 2025, 5(3), 12; https://doi.org/10.3390/dermato5030012 - 2 Jul 2025
Abstract
Objective: To conduct a systematic review of the literature evaluating the efficacy of the 308 nm excimer lamp in comparison to narrowband ultraviolet B (NB-UVB) and the 308 nm excimer laser for inducing repigmentation in vitiligo. Methods: A comprehensive search was performed in
[...] Read more.
Objective: To conduct a systematic review of the literature evaluating the efficacy of the 308 nm excimer lamp in comparison to narrowband ultraviolet B (NB-UVB) and the 308 nm excimer laser for inducing repigmentation in vitiligo. Methods: A comprehensive search was performed in PubMed, Embase, Cochrane Library, Scopus, Web of Science, and LILACS databases, as well as in gray literature sources including Google Scholar, OpenGrey, Livivo, and ProQuest. Risk of bias was assessed independently by two blinded reviewers using the Cochrane RoB 2 tool, with disagreements resolved by a third reviewer. The primary outcome was the degree of repigmentation. Results: Of 3825 records identified, four randomized controlled trials met the inclusion criteria. The findings suggest that the 308 nm excimer lamp provides superior repigmentation outcomes compared to NB-UVB and demonstrates comparable efficacy to the 308 nm excimer laser. Conclusions: Phototherapy using the 308 nm excimer lamp appears effective in promoting repigmentation in vitiligo patients and is associated with minimal adverse effects. Nevertheless, variations in treatment protocols and potential bias across studies warrant cautious interpretation of the results.
Full article
(This article belongs to the Special Issue Reviews in Dermatology: Current Advances and Future Directions)
►▼
Show Figures

Figure 1
Highly Accessed Articles
Latest Books
E-Mail Alert
News
Topics
Topic in
Cells, Immuno, IJMS, JCM, Allergies, Dermato
Skin Barrier Function and Immune Mediators as Key Therapeutic Targets of Main Inflammatory Diseases
Topic Editors: Marco Manfredini, Carlo PincelliDeadline: 31 August 2026
Conferences
Special Issues
Special Issue in
Dermato
Reviews in Dermatology: Current Advances and Future Directions
Guest Editors: Emmanouil Karampinis, Efterpi Zafiriou, Angeliki-Victoria Roussaki-SchulzeDeadline: 31 March 2026
Special Issue in
Dermato
Systemic Photoprotection: New Insights and Novel Approaches
Guest Editors: Lara Camillo, Paola Savoia, Elisa ZavattaroDeadline: 31 March 2026
Special Issue in
Dermato
What Is Your Diagnosis?—Case Report Collection
Guest Editors: Jose Manuel Lopes, Robert GniadeckiDeadline: 30 June 2026
Special Issue in
Dermato
Dermoscopy in Skin Cancer
Guest Editors: Elisa Zavattaro, Paola SavoiaDeadline: 31 August 2026
Topical Collections
Topical Collection in
Dermato
Artificial Intelligence in Dermatology
Collection Editor: Alexander Navarini-Meury



