Next Article in Journal
Absence of PD-L1 Protein Expression in Classic Dermatofibrosarcoma Protuberans
Next Article in Special Issue
Clinical Evaluation of Fractional Microneedling with Radiofrequency for Inflammatory Acne Vulgaris: Report of 5 Cases
Previous Article in Journal
An Overview of Small Intestinal Bacterial Overgrowth and Gut Microbiota in Patients with Rosacea
Previous Article in Special Issue
Cutaneous Marginal Zone Lymphoproliferation Arising from Circumorificial Plasmacytosis During Nivolumab Therapy for Urothelial Carcinoma
 
 
Font Type:
Arial Georgia Verdana
Font Size:
Aa Aa Aa
Line Spacing:
Column Width:
Background:
Case Report

Rare Myxoid Liposarcoma of the Thigh: A Case Report

University of Miami Holycross Health General Surgery Residency Program, 4725 N Federal Hwy, Fort Lauderdale, FL 33308, USA
*
Author to whom correspondence should be addressed.
Dermato 2026, 6(1), 10; https://doi.org/10.3390/dermato6010010
Submission received: 23 December 2025 / Revised: 28 February 2026 / Accepted: 11 March 2026 / Published: 23 March 2026
(This article belongs to the Special Issue What Is Your Diagnosis?—Case Report Collection)

Abstract

Introduction: Myxoid liposarcoma (MLPS) is a rare soft tissue sarcoma comprising 5–10% of adult cases, most often in the thigh. Diagnosis is challenging due to nonspecific imaging findings and resemblance to benign lesions. Case Report: A 42-year-old male presented with a painless, enlarging upper right medial thigh mass. CT and ultrasound suggested a complex solid lesion, possibly benign. Outpatient surgical excision revealed a red, gelatinous, non-encapsulated mass. Frozen section suggested a myxomatous spindle cell tumor. Final pathology confirmed MLPS FNCLCC grade 2 (intermediate grade) with DDIT3 rearrangement on fluorescence in situ hybridization (FISH). Margins were negative but close. Postoperative PET scan and Signatera MRD assay were negative for metastasis. Given the tumor’s size (>10 cm) and known radiosensitivity, adjuvant radiotherapy (60–66 Gy) was initiated. Discussion: MLPS features myxoid stroma, plexiform vasculature, and, in high-grade tumors, a round cell component. The FUS::DDIT3 fusion gene is diagnostic. While MRI offers superior soft tissue characterization, definitive diagnosis requires pathology and molecular testing. Surgical excision with negative margins remains standard, with radiotherapy recommended for large tumors or close margins to reduce recurrence. This case highlights the limitations of preoperative imaging and the value of intraoperative pathology in guiding management. Conclusions: Early recognition, accurate diagnosis, and tailored multimodal treatment are essential for MLPS. Given the potential for recurrence, late extrapulmonary metastases, long-term surveillance with imaging, and molecular assays are critical for optimizing outcomes.

1. Introduction

Sarcomas are a diverse group of tumors that develop from mesenchymal tissues such as bone and soft tissue. Their exact cause remains unclear, and their classification is often challenging due to their biological diversity. Soft tissue sarcomas (STSs) are particularly rare, representing about 1% of all adult cancers. Myxoid liposarcoma (MLPS) is a rare and distinctive subtype, constituting approximately 5–10% of all adult STS, making it the second most common type of liposarcoma [1]. The incidence of liposarcoma itself is about two per million in the world, and MLPS accounts for about 30% of these cases [1]. Its peak incidence occurs in individuals in their fourth to fifth decades, with no significant sex predilection. Age is an independent prognostic factor, with age greater than 65 affecting local and distant recurrence, as well as overall survival [2].
Histologically, MLPS is characterized by a myxoid matrix with a delicate capillary network and scattered lipoblasts, often lacking significant cellular atypia in low-grade forms [3]. A defining molecular feature is the chromosomal translocation t(12;16)(q13;p11), which results in the FUS::DDIT3 fusion gene. This genetic alteration interferes with adipocytic differentiation and contributes to tumorigenesis [3,4]. Clinically, MLPS tends to follow an indolent course, but it carries a risk of local recurrence and distant metastasis, often to extrapulmonary sites such as the soft tissues, retroperitoneum, and bone [5,6]. These metastatic patterns distinguish it from other liposarcoma subtypes and emphasize the need for ongoing surveillance and comprehensive management. Early and accurate diagnosis remains challenging, as MLPS can closely mimic benign lipomatous lesions on imaging and gross pathology [7]. Magnetic resonance imaging (MRI) typically shows a well-circumscribed lesion with variable fat content and myxoid areas of high signal intensity, but histopathologic and molecular analysis are essential for confirmation [1,7].
Here, we report a rare case of an MLPS of the thigh in a 42-year-old male. It underscores how preoperative work-up, including point-of-care ultrasound or computed tomography (CT) scans, can be helpful but may not always align with the final diagnosis. It also emphasizes the critical role of intraoperative and postoperative pathological evaluation in ensuring diagnostic accuracy and guiding appropriate management, which may differ substantially.

2. Case Report

In this case, we have a 42-year-old male with no past medical history, and surgical history of an appendectomy 15 years ago having presented with a progressively enlarging mass in the upper right inner thigh. The patient noticed the mass six months prior but initially attributed it to weight gain. He denied any history of trauma, pain, or redness. He reported that the mass was initially asymptomatic, however as it became larger it exerted pressure on his right testicle causing discomfort. Upon physical examination, the mass was noted to be larger than 10 cm in size, however soft, mobile, and nontender. There were no signs of induration, skin changes, or inguinal lymphadenopathy.
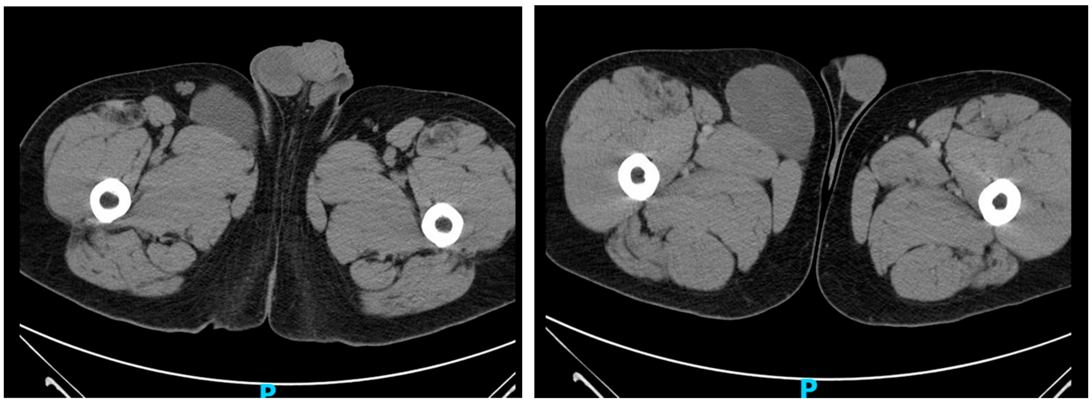
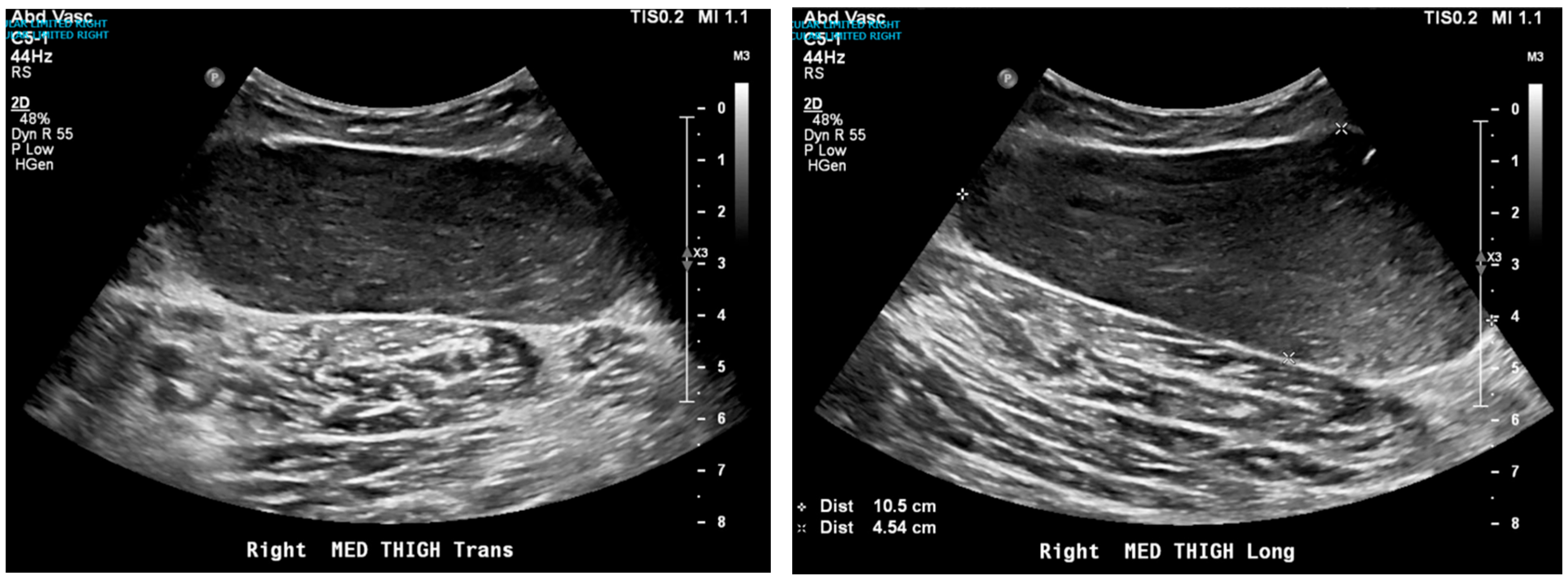
A contrast-enhanced CT scan of the abdomen and pelvis revealed an incompletely imaged, circumscribed, low-attenuation lesion within the medial aspect of the right thigh subcutaneous soft tissue measuring 7.3 × 5.6 cm (Figure 1). This was of uncertain etiology and could reflect a complex cystic lesion, thus ultrasound correlation was advised. An ultrasound of the region further characterized the lesion as a complex hypoechoic, likely solid mass, with dimensions of 10.5 cm × 4.5 cm × 9.4 cm (Figure 2). The differential diagnosis at this point included a neoplasm, though a benign process could not be excluded.
The patient was referred to general surgery at this time. There was discussion with the patient regarding the benign appearance of the mass, and the collective decision was made to proceed with surgical excision as an outpatient. An oblique incision about 10 cm long was performed on the right upper medial thigh. The incision was carried down to the fascia, and the mass was immediately identified.
The mass did not resemble a typical lipoma. It was a red, soft, gelatinous, and non-encapsulated mass (Figure 3). The mass was easily dissected from surrounding structures using blunt and sharp dissection. All vascular structures were ligated with sutures and hemostatic clips before completely excising the mass. Given the unexpected findings, a frozen section was performed, and the preliminary report suggested a myxomatous spindle cell tumor. The operation was completed without intraoperative complications. Estimated blood loss was minimal, less than 25 mL. The mass was located within the subfascial plane, abutting but not invading surrounding musculature. He was discharged home with standard analgesia and instructions to follow up in clinic within one week. The patient recovered well postoperatively, with no signs of wound infection or seroma formation. Given the intraoperative findings, the patient was also referred to oncology for a postoperative follow up and recommendations.
The mass was also sent for pathological evaluation to a tertiary center, and the final pathology report confirmed the diagnosis of a MLPS FNCLCC grade 2 (intermediate grade). The mass was found to have a fibrous pseudocapsule approximately 0.1 cm in thickness that was not considered an adequate margin although the inked surgical margins are negative. The surrounding tissue were normal and free of any microscopic tumor invasion. Neoplastic spindle shaped cells comprising the tumor were embedded within myxoid stroma with a background plexiform vascular network. There was no evidence of nuclear pleomorphism, increased mitotic activity, or necrosis (Figure 4). A round cell component was not identified. Immunohistochemical staining showed that the tumor cells were positive for DDIT3, and fluorescence in situ hybridization (FISH) revealed a rearrangement of the DDIT3 gene, further supporting the diagnosis of MLPS. According to the AJCC 8th Edition staging system for soft tissue sarcoma of the extremity, the tumor was staged as cT3N0M0, corresponding to Stage IIIA disease, based on tumor size and intermediate histologic grade.
Postoperatively, the patient underwent a PET scan to rule out metastasis, which was found to be negative. Signatera Genome MRD was negative as well. Given the findings, the patient was referred for a second opinion at the tertiary center regarding the need for adjuvant therapy. Ultimately it was decided that the patient would undergo postoperative adjuvant radiation with a recommended dose of 60–66 Gy. This was to minimize the risk of recurrence especially given MLPS’ known favorable response to radiation.

3. Discussion

Mesenchymal tumors represent one of the most complex areas in diagnostic pathology. Refining classification systems is pivotal for improving diagnostic accuracy and expanding therapeutic options [8]. MLPS typically presents as a slow-growing, painless, deep-seated mass, commonly located in the lower extremities. Due to its indolent nature, these tumors are often diagnosed when they have reached a considerable size, and metastatic disease is detected in approximately 6% of patients at diagnosis [4].
MLPS is characterized by myxoid stroma, a paucity of mature adipocytes, and a unique molecular signature. The FUS::DDIT3 fusion protein, resulting from the chromosomal translocation t(12;16)(q13;p11) is present in over 90% of cases. This fusion protein impedes adipocyte differentiation and acts as an aberrant transcription factor, promoting tumor growth [3].
While fine needle aspiration biopsy can be diagnostic for soft tissue sarcomas, it is less accurate for distinguishing MLPS subtypes, particularly those containing round cell components [4,5]. Imaging modalities, including computed tomography (CT) and magnetic resonance imaging (MRI) are valuable in assessing and staging MLPS. MRI offers superior soft tissue contrast and can identify subtle fatty components within the lesion, aiding in making a presumptive diagnosis in up to 78–95% of cases. However, the specificity of these imaging findings is limited, and definitive diagnosis often remains challenging [5,6,7]. MLPS also shows a predilection for extrapulmonary metastases, emphasizing the need for thorough surveillance with both physical examination and whole-body imaging [5,9].
To minimize diagnostic errors in MLPS, pathologists often rely on expert consultations and collaborative networks for second opinions [10]. This case illustrates the inherent diagnostic challenges associated with MLPS. Preoperative imaging, including a CT scan, revealed a well-circumscribed, low-attenuation lesion while ultrasound showed a complex, hypoechoic, likely solid mass, both suggesting a benign lipomatous lesion. Intraoperatively, however, the mass was found to be red, soft, gelatinous, and non-encapsulated, features inconsistent with a lipoma. Frozen section analysis revealed a myxomatous spindle cell tumor, and the final histopathological evaluation confirmed the diagnosis of MLPS FNCLCC grade 2 (intermediate grade), which was also positive for DDIT3.
Surgical resection with negative margins remains the cornerstone of treatment for MLPS [11]. Achieving an R0 resection is critical, as studies have demonstrated that patients with R0 resections experience significantly lower rates of local recurrence compared to those with R1 resections [1,11]. Achieving an R0 resection significantly reduces local recurrence rates, though the definition of margin adequacy can vary across studies [10]. According to NCCN and other sarcoma management guidelines, adjuvant radiotherapy is considered for large (>10 cm) or high-grade tumors, and for cases with close or microscopically positive margins [1,9]. Historically, amputation was the standard of care for extremity soft tissue sarcomas, but advances in imaging, radiotherapy, and limb-sparing surgery have shifted management toward function-preserving approaches [9,11,12]. This has been a game changer for both patients and surgeons as it has historically been a challenge to achieve R0 resections while preserving postoperative physical functionality.
Preoperative radiotherapy may facilitate resection by reducing tumor size and has been associated with improved local control [9,12,13]. In cases of positive-margin resection, patients typically require repeat excision combined with brachytherapy, boost therapy, or chemotherapy [1].
MLPS is distinguishable from other STSs due to its susceptibility to radiation. Given the tumor’s known high radiosensitivity, adjuvant radiation therapy (RT) may be beneficial, particularly when achieving wide margins is challenging or when the tumor size exceeds 10 cm [1].
Engström et al. reported a median 52% reduction in MLPS volume following preoperative radiotherapy, and subsequent studies have demonstrated excellent local control rates due to the tumor’s radiosensitivity [9,12,14]. RT has been shown to prevent local relapse (p < 0.001) and to induce a sevenfold reduction in the five-year local recurrence rate among patients with positive margins (p < 0.05), according to Moreau et al. [9]. Fiore et al. reported that patients who received perioperative RT had lower local recurrence rates compared to those who underwent surgery alone, and multivariate analysis confirmed postoperative RT as an independent factor associated with improved local control [12]. The decision between pre- versus postoperative radiation remains individualized and should be guided by tumor size, location, and margin status. In our case, adjuvant radiation was selected given the tumor size (>10 cm) and postoperative diagnosis. In our case, because the diagnosis of MLPS was not established until after surgery, adjuvant therapy was the only feasible option. However, one could argue that this patient would also have been a candidate for neoadjuvant radiation, particularly given the tumor’s size.
Chemotherapy has also been used in both neoadjuvant and adjuvant settings for the management of MLPS. It may be considered for patients with high-risk features such as the presence of round cell components, older age, or metastatic disease [1]. Combined chemoradiotherapy regimens have shown promise in reducing recurrence risk and may offer synergistic effects for tumor control [13].
This case underscores the need for a broad differential diagnosis for soft tissue masses and highlights the complementary roles of advanced imaging, molecular diagnostics, and multidisciplinary management in optimizing patient outcomes. While fine needle aspiration biopsy can be diagnostic for soft tissue sarcomas, it is less accurate for distinguishing MLPS subtypes, particularly those containing round cell components [4,5]. MLPS also shows a predilection for extrapulmonary metastases, emphasizing the need for thorough surveillance with both physical examination and whole-body imaging [5,9]. We have summarized our review of the literature including the clinical findings, histopathology, immunohistochemistry, molecular diagnostics, management and prognosis for MLPS (Table 1).

4. Conclusions

MLPS is a rare STS with unique histopathologic and molecular features that often present diagnostic challenges, particularly when clinical or radiographic findings mimic benign lesions. This case illustrates how MLPS can be misinterpreted preoperatively, underscoring the importance of maintaining a broad differential diagnosis and involving a multidisciplinary team early in the evaluation process.
Histologically, MLPS is characterized by a myxoid stroma, a plexiform vascular network, and uniform spindle to ovoid cells. High-grade MLPS contains >5% round-cell component, associated with a significantly worse prognosis and greater risk of metastasis. The FUS::DDIT3 fusion gene confirms diagnosis and helps distinguish MLPS from other myxoid or round cell sarcomas.
Surgical excision with negative margins (R0) remains the cornerstone of treatment. However, the distinct radiosensitivity of MLPs makes it uniquely responsive to radiation therapy, supporting its use in the adjuvant setting, especially in tumors > 10 cm or with close margins. This approach has significantly improved limb preservation compared to historical amputation strategies. Our patient underwent a successful resection with negative margins and was referred for adjuvant radiation based on size and grade.
Postoperative surveillance is essential, as MLPS can metastasize late and often to extrapulmonary sites. Advanced imaging and circulating tumor DNA–based assays, such as Signatera, enhance monitoring and facilitate the early detection of recurrence.
This case highlights the limitations of preoperative imaging and the critical role of pathology, molecular diagnostics, and multidisciplinary input in management. As research continues to evolve, particularly regarding novel therapeutics such as trabectedin in combination with radiation, individualized treatment strategies are expected to further improve outcomes in patients with MLPS. Early diagnosis, accurate grading, and tailored treatment remain vital to optimizing long-term outcomes in this rare but clinically significant sarcoma.

Author Contributions

N.C. served as the primary author and was responsible for the initial drafting of the manuscript. M.K., J.G., L.M., A.A., and K.M. contributed to the drafting and critical revision of the manuscript for important intellectual content. F.B. served as the attending supervisor, providing oversight, guidance, and final approval of the manuscript for publication. All authors have read and agreed to the published version of the manuscript.

Funding

This research received no external funding.

Institutional Review Board Statement

This case report is a retrospective analysis of one clinical case and does not meet the definition of human subjects research; therefore, IRB approval is not required.

Informed Consent Statement

Informed consent has been obtained from the patient(s) to publish this paper.

Data Availability Statement

All data supporting the findings of this study are publicly available from PubMed (https://pubmed.ncbi.nlm.nih.gov/, accessed on 29 March 2025).

Acknowledgments

I would like to acknowledge the support of the attending supervisor, Francisco Bermudez, who supported the production of this manuscript.

Conflicts of Interest

The authors declare no conflicts of interest.

Abbreviations

The following abbreviations are used in this manuscript:
CTComputed Tomography
DDIT3DNA Damage Inducible Transcript 3
EBLEstimated Blood Loss
EBVEpstein–Barr Virus
FISHFluorescence In Situ Hybridization
GyGray (unit of radiation dose)
MLPSMyxoid Liposarcoma
MRIMagnetic Resonance Imaging
MRDMinimal Residual Disease
NCCNNational Comprehensive Cancer Network
PETPositron Emission Tomography
PMIDPubMed Identifier
RC-LPSRound Cell Liposarcoma
RCCRound Cell Component
R0Negative Surgical Margins (no residual tumor)
R1Microscopic Residual Tumor
R2Macroscopic Residual Tumor
RTRadiation Therapy
STSSoft Tissue Sarcoma

References

  1. Tfayli, Y.; Baydoun, A.; Naja, A.S.; Saghieh, S. Management of myxoid liposarcoma of the extremity (Review). Oncol. Lett. 2021, 22, 596. [Google Scholar] [CrossRef] [PubMed]
  2. Nishida, Y.; Tsukushi, S.; Nakashima, H.; Ishiguro, N. Clinicopathologic prognostic factors of pure myxoid liposarcoma of the extremities and trunk wall. Clin. Orthop. Relat. Res. 2010, 468, 3041–3046. [Google Scholar] [CrossRef] [PubMed]
  3. Hou, X.; Shi, W.; Luo, W.; Luo, Y.; Huang, X.; Li, J.; Ji, N.; Chen, Q. FUS::DDIT3 fusion protein in the development of myxoid liposarcoma and possible implications for therapy. Biomolecules 2024, 14, 1297. [Google Scholar] [CrossRef] [PubMed]
  4. Abaricia, S.; Hirbe, A.C. Diagnosis and treatment of myxoid liposarcomas: Histology matters. Curr. Treat. Options Oncol. 2018, 19, 64. [Google Scholar] [CrossRef] [PubMed]
  5. Ho, T.P. Myxoid liposarcoma: How to stage and follow. Curr. Treat. Options Oncol. 2023, 24, 292–299. [Google Scholar] [CrossRef]
  6. Saifuddin, A.; Andrei, V.; Rajakulasingam, R.; Oliveira, I.; Seddon, B. Magnetic resonance imaging of trunk and extremity myxoid liposarcoma: Diagnosis, staging, and response to treatment. Skelet. Radiol. 2021, 50, 1963–1980. [Google Scholar] [CrossRef] [PubMed]
  7. Jelinek, J.S.; Kransdorf, M.J.; Shmookler, B.M.; Aboulafia, A.J.; Malawer, M.M. Liposarcoma of the extremities: MR and CT findings in the histologic subtypes. Radiology 1993, 186, 455–459. [Google Scholar] [CrossRef] [PubMed]
  8. Sbaraglia, M.; Dei Tos, A.P. The pathology of soft tissue sarcomas. Radiol. Med. 2019, 124, 266–281. [Google Scholar] [CrossRef] [PubMed]
  9. Moreau, L.C.; Turcotte, R.; Ferguson, P.; Wunder, J.; Clarkson, P.; Masri, B.; Isler, M.; Dion, N.; Werier, J.; Ghert, M.; et al. Myxoid/round cell liposarcoma (MRCLS) revisited: An analysis of 418 primarily managed cases. Ann. Surg. Oncol. 2012, 19, 1081–1088. [Google Scholar] [CrossRef] [PubMed]
  10. Sbaraglia, M.; Bellan, E.; Dei Tos, A.P. The 2020 WHO Classification of Soft Tissue Tumours: News and perspectives. Pathologica 2021, 113, 70–84. [Google Scholar] [CrossRef] [PubMed]
  11. Zheng, K.; Yu, X.; Xu, M.; Yang, Y. Surgical outcomes and prognostic factors of myxoid liposarcoma in extremities: A retrospective study. Orthop. Surg. 2019, 11, 1020–1028. [Google Scholar] [CrossRef] [PubMed]
  12. Fiore, M.; Grosso, F.; Lo Vullo, S.; Pennacchioli, E.; Stacchiotti, S.; Ferrari, A.; Collini, P.; Lozza, L.; Mariani, L.; Casali, P.G.; et al. Myxoid/round cell and pleomorphic liposarcomas: Prognostic factors and survival in a series of patients treated at a single institution. Cancer 2007, 109, 2522–2531. [Google Scholar] [CrossRef] [PubMed]
  13. Gronchi, A.; Hindi, N.; Cruz, J.; Blay, J.-Y.; Lopez-Pousa, A.; Italiano, A.; Alvarez, R.; Gutierrez, A.; Rincón, I.; Sangalli, C.; et al. Trabectedin and radiotherapy in soft tissue sarcoma (TRASTS): Results of a phase I study in myxoid liposarcoma from Spanish (GEIS), Italian (ISG), French (FSG) sarcoma groups. eClinicalMedicine 2019, 9, 35–43. [Google Scholar] [CrossRef] [PubMed]
  14. Chung, P.W.; Deheshi, B.M.; Ferguson, P.C.; Wunder, J.S.; Griffin, A.M.; Catton, C.N.; Bell, R.S.; White, L.M.; Kandel, R.A.; O’Sullivan, B. Radiosensitivity translates into excellent local control in extremity myxoid liposarcoma: A comparison with other soft tissue sarcomas. Cancer 2009, 115, 3254–3261. [Google Scholar] [CrossRef] [PubMed]
Figure 1. CT Abdomen and Pelvis incompletely imaged the circumscribed low-attenuation lesion within the medial aspect of the right thigh subcutaneous soft tissues measuring 7.3 × 5.6 cm. This lesion demonstrates CT Hospital units averaging 19 which cannot be characterized as a simple cystic fluid with certainty.
Figure 1. CT Abdomen and Pelvis incompletely imaged the circumscribed low-attenuation lesion within the medial aspect of the right thigh subcutaneous soft tissues measuring 7.3 × 5.6 cm. This lesion demonstrates CT Hospital units averaging 19 which cannot be characterized as a simple cystic fluid with certainty.
Dermato 06 00010 g001
Figure 2. Ultrasound showing complex hypoechoic likely solid mass in the upper anteromedial soft tissues of the thigh measuring 10.5 cm × 4.5 cm × 9.4 cm. Neoplasm cannot be excluded.
Figure 2. Ultrasound showing complex hypoechoic likely solid mass in the upper anteromedial soft tissues of the thigh measuring 10.5 cm × 4.5 cm × 9.4 cm. Neoplasm cannot be excluded.
Dermato 06 00010 g002
Figure 3. Intraoperative findings of red, soft, gelatinous mass.
Figure 3. Intraoperative findings of red, soft, gelatinous mass.
Dermato 06 00010 g003
Figure 4. (AC): Moderately cellular and composed of uniform spindle and stellate cells with dark staining oval nuclei and amphophilic cytoplasm enmeshed in a prominent myxoid stroma that contains a plexiform supportive vascular tree. There are infrequent lipoblasts and adipocytes throughout the mass. (A) 10× (B) 10× (C) 40×.
Figure 4. (AC): Moderately cellular and composed of uniform spindle and stellate cells with dark staining oval nuclei and amphophilic cytoplasm enmeshed in a prominent myxoid stroma that contains a plexiform supportive vascular tree. There are infrequent lipoblasts and adipocytes throughout the mass. (A) 10× (B) 10× (C) 40×.
Dermato 06 00010 g004
Table 1. Clinical characteristics, diagnostic approach, and molecular findings based on the studies reviewed.
Table 1. Clinical characteristics, diagnostic approach, and molecular findings based on the studies reviewed.
CategorySummarized Findings for MLPS
Clinical FindingsPeak incidence in 4–5th decades.
No significant sex predilection.
Typically, large > 10 cm, circumscribed, multinodular, intramuscular.
Most commonly in deep soft tissues in extremities, i.e., thigh.
Nontender, painless.
Etiology is unknown.
HistopathologyModerately cellular, lobulated tumors with peripheral hypercellularity and uniform small ovoid cells lacking adipocytic differentiation.
Abundant light basophilic myxoid stroma with a plexiform capillary network and perivascular tumor cell clustering.
Minimal atypia, mitotic activity, and spindling.
Small, often univacuolated or bivacuolated lipoblasts that may be sparse or absent.
High-grade MLPS show >5% of tumor has cellular overlap, diminished myxoid matrix, less apparent capillary vasculature, elevated nuclear grade and increased mitotic activity. It may closely resemble other round cell sarcomas requiring molecular genetic studies for diagnosis.
ImmunohistochemistryPlays little role in diagnosis of MLPS but may help distinguish from other myxoid sarcomas and high grade MLPS from various round cell sarcomas.
Diagnostic Molecular
Pathology
FUS and EWSR1 can substitute for each other and occur in other sarcomas, whereas DDIT3 is unique to MLPS.
FISH directed at DDIT3 are a sensitive, specific strategy.
ManagementSurgical resection with adjuvant radiotherapy or chemotherapy is the primary management option.
PrognosisLocal recurrence can occur in 15–25% of cases.
Distant metastasis may develop in approximately 30–60%, sometimes years after initial diagnosis and may progress slowly.
MLPS often metastasize to other soft tissue sites and bone.
Histologically high-grade tumors have a significant higher rate of metastasis or death from disease.
Disclaimer/Publisher’s Note: The statements, opinions and data contained in all publications are solely those of the individual author(s) and contributor(s) and not of MDPI and/or the editor(s). MDPI and/or the editor(s) disclaim responsibility for any injury to people or property resulting from any ideas, methods, instructions or products referred to in the content.

Share and Cite

MDPI and ACS Style

Correa, N.; Kumar, M.; Gonzalez, J.; Martinez, L.; Alexander, A.; Manzur, K.; Bermudez, F. Rare Myxoid Liposarcoma of the Thigh: A Case Report. Dermato 2026, 6, 10. https://doi.org/10.3390/dermato6010010

AMA Style

Correa N, Kumar M, Gonzalez J, Martinez L, Alexander A, Manzur K, Bermudez F. Rare Myxoid Liposarcoma of the Thigh: A Case Report. Dermato. 2026; 6(1):10. https://doi.org/10.3390/dermato6010010

Chicago/Turabian Style

Correa, Natalia, Maya Kumar, Jessica Gonzalez, Lynell Martinez, Ashli Alexander, Karen Manzur, and Francisco Bermudez. 2026. "Rare Myxoid Liposarcoma of the Thigh: A Case Report" Dermato 6, no. 1: 10. https://doi.org/10.3390/dermato6010010

APA Style

Correa, N., Kumar, M., Gonzalez, J., Martinez, L., Alexander, A., Manzur, K., & Bermudez, F. (2026). Rare Myxoid Liposarcoma of the Thigh: A Case Report. Dermato, 6(1), 10. https://doi.org/10.3390/dermato6010010

Article Metrics

Back to TopTop