Abstract
Scoliosis, characterized by an abnormal lateral curvature of the spine, is predominantly idiopathic, underscoring the need to delve into its underlying causes for effective treatment and preventive strategies. This study investigates a potential correlation between scoliosis and Schmorl’s nodes (intervertebral disc herniations) influenced by Wolff’s law, which posits that bones adapt to external pressures. We analyzed CT scans from 108 juvenile decedents, including 56 with scoliosis and 52 without. After running multiple statistical tests, there was no significance between the mean bone density when compared to having scoliosis. An independent t-test provided a t-value of 0.041, which, when compared to the original significance level of 0.05, is statistically significant, although weak. When compared to the Bonferroni correction level of 0.008, it throws out the significance to give a result of not being statistically significant. It was the same in the cases of L3 (t = 0.103), L2 (t = 0.084), and L1 (t = 0.053). If compared to the regular significance level of 0.05, T12 (t = 0.012) and T11 (t = 0.042) had weak significance, but that was then excluded when the Bonferroni correction was applied. When looking at any significance of densities in different vertebral regions, the results from a one-way ANOVA (p-value = 0.213) suggest that it is likely that the results are due to random variability or chance, and that there is no statistical significance. With a value of 0.273 from a Chi-squared (χ2)/Fisher’s exact test, it suggests that there is no statistically significant correlation or difference between the variables of scoliosis and Schmorl’s nodes. The general pattern seems to follow that as the spine ascends, the density increases, and this is true in both scoliotic and non-scoliotic individuals. As a whole, it is evident that those with scoliosis have a lower vertebral density than those without, in all of the vertebral regions. There is, however, a weak negative linear relationship between bone density and age in both scoliotic and non-scoliotic individuals. A p-value of −0.229 obtained from a Pearson correlation coefficient analysis in non-scoliotic individuals, as well as a p-value of −0.069 in scoliotic individuals, was obtained. Overall, the findings of this study are comparable to some existing studies on similar topics, but there are few results that hold statistical significance and so this would be interesting to research further, potentially using a different dataset or a larger sample size that is more representative.
1. Introduction
Spinal pathologies have significant implications for overall well-being, often leading to mobility limitations, pain, and associated health complications. Despite advancements in medical interventions such as surgery and physiotherapy, these conditions continue to pose challenges. This study aims to investigate the developmental patterns of common spinal pathologies, focusing on the potential relationship between scoliosis, bone density, and the prevalence of Schmorl’s nodes in juveniles.
Scoliosis, a prevalent spinal deformity primarily diagnosed during puberty, affects approximately 80% of diagnosed cases with an idiopathic origin [1]. Adolescent idiopathic scoliosis (AIS), also commonly diagnosed during puberty [2], usually affects otherwise healthy children [3]. Even though the majority of cases are considered idiopathic, some studies cite other potential causes, such as genetics, pre-existing conditions (congenital), the degeneration of the spine, and even vitamin D deficiencies [4]. Scoliosis is a three-dimensional deformity of the spine; it is characterized by an anomalous lateral curvature of the spinal column of at least 10° Cobb, associated with a rotation of the vertebral bodies and with an alteration in the curves on the sagittal plane [5,6]. These deformities often manifest during periods of rapid growth, influencing the mechanical stability of the disc–vertebral body complex [7].
Schmorl’s nodes, resulting from herniated disc material, manifest as defects on the superior and/or inferior vertebral body surfaces [8]. While their exact etiology remains unclear, vertical forces and pressure, such as those associated with lifting or bipedalism, are believed to contribute to their development. Weakened vertebral endplates, associated with conditions like osteoporosis, degenerative disc disease, infections, and tumours, may increase the prevalence of Schmorl’s nodes [9].
While some studies suggest an association between scoliosis and decreased bone density, conflicting evidence exists regarding the correlation between bone mineral density (BMD) and scoliosis severity [10,11,12]. This study seeks to explore whether juveniles with scoliosis exhibit lower bone density, potentially leading to a higher prevalence of Schmorl’s nodes.
Using the New Mexico Decedent Image Database (NMDID), analysis of CT scans from decedents with documented medical histories, allows this study to provide accurate results while mitigating confounding factors such as degenerative skeletal variables. Through this analysis, we aim to elucidate the potential link between scoliosis and Schmorl’s nodes, particularly in cases where bone density is decreased.
2. Materials and Methods
2.1. Materials
Computer Tomography (CT) is a non-invasive imaging tool crucial for investigating internal structures. It utilizes X-rays and detectors to measure attenuation coefficients, creating cross-sectional images through mathematical algorithms like filtered back projection [13,14]. The Beer-Lambert Law links X-ray attenuation to object density with the standard output being in the Hounsfield Unit scale which quantifies tissue density in CT images relative to the density of air and water [15]. The New Mexico Decedent Image Database (NMDID) provides access to over 15,000 documented CT scans, enhancing forensic and medical research. The NMDID’s broad dataset facilitates this investigation into bone density and its association with spinal conditions like scoliosis. The NMDID’s accessibility to a large number of medical–legal cases improves statistical power and supports robust analyses, adding to the scientific rigour of various studies [16].
The NMDID contains over 15,000 CT scans and radiographs from anonymized autopsied individuals collected between 2010 and 2017. Accessible to qualified researchers, it supports forensic anthropology, medical research, and other academic endeavours by offering detailed biological profiles and diverse case scenarios. However, the representativeness of cases needs scrutiny to ensure validity. The decedents on the database can be categorized and filtered. These include things such as medical history, age, sex, drug use, marital status, birth/death date, stage of decomposition, and much more.
For our study, 108 CT scans of individuals aged 0 to 18 were used. Among them, 54 had scoliosis, and 54 served as controls. Two initially selected control individuals were later found to have undiagnosed scoliosis and placed in the correct category. The final sample consisted of 56 individuals with scoliosis and 52 controls. Figure 1 illustrates sample distribution by age and sex.
Figure 1.
Age and sex distribution for scoliotic and non-scoliotic individuals used in the present study.
It is important to note that some medical records are pooled, e.g., individuals can be considered as having a congenital disease, but the database does not have the specific diagnosis. Similarly, an individual with scoliosis is not categorized into what kind, e.g., idiopathic, neuromuscular, congenital, or degenerative. In the case of this study, however, those with diagnosed congenital diseases were avoided, and as the study was performed on a juvenile sample, this limits the potential of any diagnosis being degenerative.
The CT scans were provided by the New Mexico Decedent Image Database; therefore, no CT imaging equipment was needed in this research to gather the images. The machine used by the researchers from the NMDID to perform the scans was a Phillips Brilliance Big Bore with a Radiation Therapy flat carbon fibre top, producing images like the ones shown in Figure 2 and Figure 3.
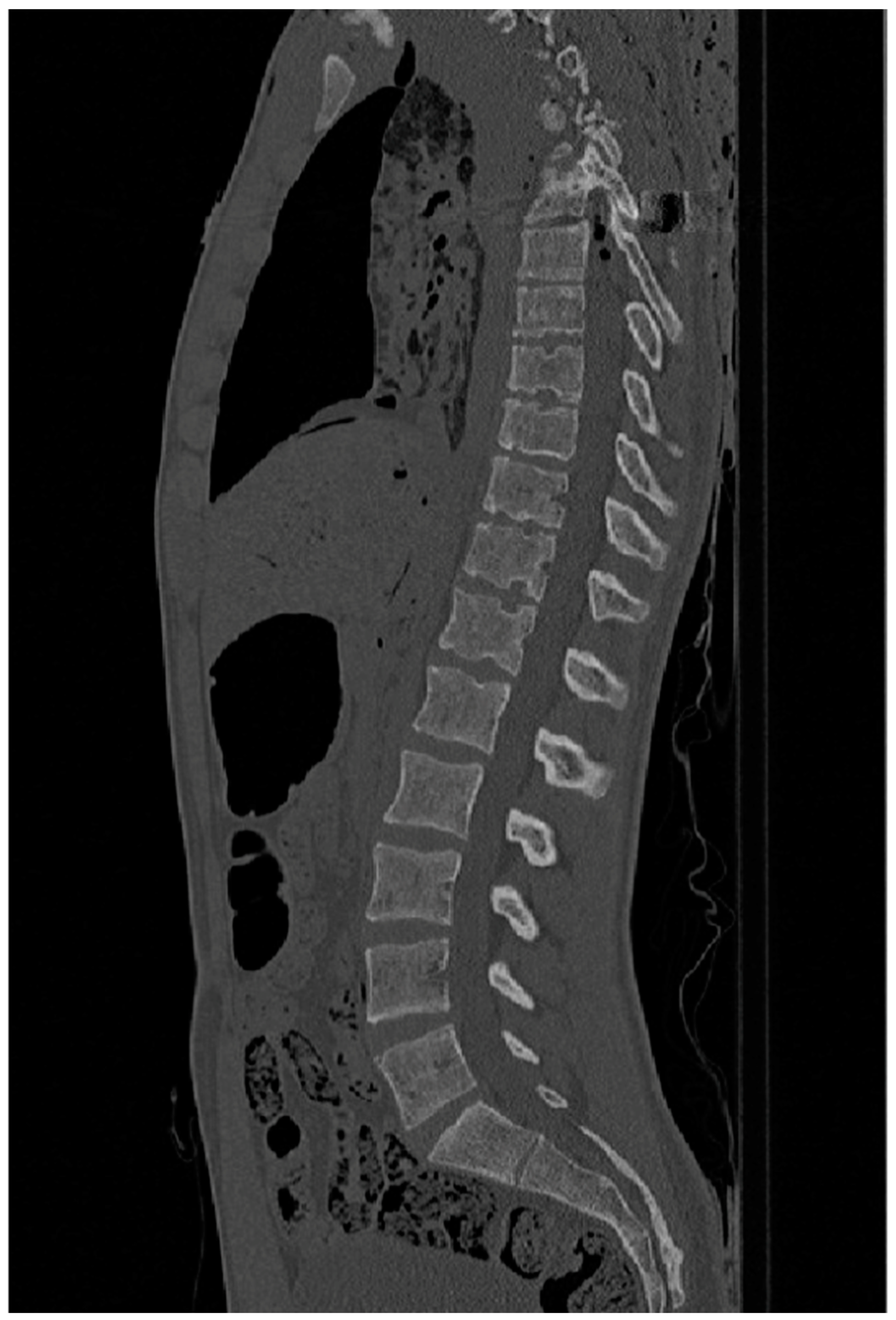
Figure 2.
CT slice from ID 105469 showing Schmorl’s nodes between L1 and T7, manifestig as cirular deviations into adjacent vertebrae. Reprinted with permission from [16].
Figure 3.
CT slice in the transverse plane from ID 105469 used to measure vertebral densities. Reprinted with permission from [16].
Various computer software was utilized in the data collection process, such as Thermo Fisher Scientific’s Avizo Lite software and ImageJ v.1.53. Microsoft Excel v.16.77 and IBM SPSS v.28 were then used for the statistical analysis of the results.
The CT machine in this case had been calibrated; therefore, density can be directly determined from the image rather than having to calculate it. This is because the computer software already considers the Beer–Lambert Law: I = I0e− μL. The calibration is based on relative known densities measured in Hounsfield units (HU), at standard temperature and pressure, where water has a density of 0 HU, and air has a density of −1000 HU. Soft tissue and bone therefore lie within this threshold. The images are then downloaded as DICOM files in which this calibration has already been considered, and so when examining the CT scans, the density viewed on the slice can be changed to view different materials throughout this threshold.
2.2. Methods
To identify the presence of any Schmorl’s nodes, Thermo Fisher Scientific’s Avizo Lite software was used to set the CT scans in different planes to allow for the visualization of the layers. Three-dimensional models were then also constructed from the scans to provide a detailed image. Along with the segmentation images, this was used to identify any Schmorl’s nodes in the individuals (Figure 2 and Figure 3).
To take density values, ImageJ v.1.53 was then used, which allows the layers in certain planes to be viewed. ImageJ is a free software that allows image files to be uploaded and for regions of interest (ROIs) to be created either automatically or manually. The CT scans were uploaded as DICOM files; the transverse plane images were loaded into the software, which allowed the segmentation layers to be scrolled through until vertebrae L3, L2, L1, T12, and T11 were located (Figure 3). These vertebrae were selected due to the high frequency of this region being affected by Schmorl’s nodes and scoliosis [17]. The density of the vertebral bodies was calculated in each case in Hounsfield units and was already calibrated for, as the images were in the DICOM format. Using the oval selection tool within ImageJ, the ROI was created, and measurements of density were taken in the middle of each vertebral body in the centre-most point, from the inferior side. All measurements were within a centimetre of each other as the size did vary with age.
It is worth noting that while this methodology differs from common techniques such as dual-energy X-ray absorptiometry (DEXA) or quantitative computed tomography (QCT), its validity for bone density assessment in this context has been demonstrated in previous studies and has been used in medical and biological image analysis for a long time due to its variety of analysis functions [18,19].
3. Results
There was a fairly even distribution between age, sex, and those with and without scoliosis as shown in Figure 4, but when it came to the distribution of vertebral density across the ages, four individuals had vertebral bone densities that exceeded 550 HU. All four were between the ages of 0 and 1 and therefore started to show a slight correlation between age and increased bone density. A data preparation method called statistical clipping was employed to reduce the number of extreme values or outliers in the dataset. It includes establishing a limit above which data points are “clipped” or reduced to that limit. Data clipping was implemented and so the threshold for these individuals was capped at 400 HU. It makes data more robust by reducing the impact of extreme values, improving model stability, and allowing for parametric statistical tests.
Figure 4.
Sample distribution for age, sex, and scoliosis.
To analyze the distribution, the mean density was used, as shown in Figure 5. As the graph displays a normal distribution, this meant that a parametric statistical test could be ran, which is advantageous as they hold more statistical power than non-parametric tests.
Figure 5.
Normal variance of the sample distribution.
3.1. Analyzing the Relationship between Vertebral Density and Scoliosis
Independent t-tests were run to explore any significant differences between the mean density values in each vertebra in relation to scoliosis.
In this statistical analysis, Bonferroni correction was utilized to adjust the significance level (alpha) for multiple comparisons. Running numerous statistical analyses simultaneously can heighten the risk of a Type I error (false positive). Bonferroni adjustment mitigates this risk. As there are five tests in this set, the new significance level was set at 0.008.
Five vertebrae were examined in this study (L3-T11). This region was selected due to the fact that it is one of the areas of the spine that presents the highest frequencies for both scoliosis and Schmorl’s nodes.
3.2. Mean Density versus Scoliosis
When examining the relationship between the mean density of all vertebral regions and scoliosis, an independent t-test provided a t-value of 0.041, which, when compared to the original significance level of 0.05, is statistically significant, although weak.
However, when Bonferroni correction is applied, the result is no longer significant. Table 1 summarizes the results of the independent t-tests conducted for bone density at different vertebral levels compared to scoliosis, considering both the original significance level of 0.05 and the Bonferroni correction level of 0.008.
Table 1.
t-values and significance between different scoliotic vertebrae and density.
3.3. Analyzing the Relationship between Different Vertebral Densities
A one-way ANOVA was used to identify the significance between different vertebral regions and the density between them.
A test of homogeneity was also run (Levene’s test), in which the significance level based on the mean was 0.987, based on the median was 0.980, based on the median with adjusted df was 0.980, and based on the trimmed mean was 0.984.
This test assesses whether the variances of two or more groups or samples are approximately equal. In all cases, the p-value is high, which indicates that there is no statistically significant evidence to suggest that the variance of the groups is different. A high p-value implies that the assumption of equal variances is upheld, and therefore, an ANOVA can be carried out as intended, without having to worry greatly about heteroscedasticity impairing the validity of the findings.
The results from the ANOVA (p-value = 0.213) suggest that it is likely that the results are due to random variability or chance, rather than actual differences, and that any variations between the group means are not statistically significant.
However, when consulting Figure 6, it appears that there is a clear relationship, even when not statistically significant.
Figure 6.
Relationship between mean density and different vertebrae.
3.4. The Relationship between Scoliosis and Schmorl’s Nodes
A Chi-squared test was used to determine the relationship between scoliosis and Schmorl’s nodes. As there is only a small number of individuals affected by Schmorl’s nodes (7.8%), Fisher’s exact test was also conducted. Fisher’s exact test is used when the chi-squared test’s assumptions become invalid because the predicted cell counts are low. It ensures the validity of the study by offering a more precise judgement of statistical significance in certain circumstances.
The Chi-squared/Fisher’s exact test (p-value 0.273) showed that there is no significant relationship between scoliosis and Schmorl’s nodes.
Figure 7 shows the overall distribution of those with and without scoliosis and Schmorl’s nodes. Although there is no statistical significance, it does show that more individuals with scoliosis displayed Schmorl’s nodes than those without scoliosis.
Figure 7.
Distribution of individuals with and without Schmorl’s nodes and scoliosis.
3.5. The Relationship of Density in Ascending Vertebrae, between Individuals with and without Scoliosis
The general pattern seems to follow that as the spine ascends, the density increases, and this is true in both scoliotic and non-scoliotic individuals (Table 2).
Table 2.
Values for the mean densities in each vertebra between those with scoliosis and without.
As a whole, it is evident that those with scoliosis have a lower vertebral density than those without, in all of the examined vertebrae (Figure 8).
Figure 8.
Relationship between mean vertebral densities in those with and without scoliosis.
By using SPSS regression to predict whether an individual has scoliosis or not based on all the data, more individuals with scoliosis are correctly identified (66.1%) than those without (40.4%). This may be because the variance in densities between the adjacent vertebrae in scoliotic individuals is lower than those without the condition.
For example, those without scoliosis have an average increase of 4.2234 HU between two vertebrae, whereas those with scoliosis have an average variance of 3.4573 HU, meaning the densities are more consistent in those with scoliosis.
3.6. The Relationship between Mean Density and Age/Sex
The p-value of −0.229 obtained from a Pearson correlation coefficient analysis in non-scoliotic individuals indicates a weak negative linear relationship between mean density and age.
It is also the same case for scoliotic individuals, with a p-value of −0.069.
The results show there is a statistically significant correlation between bone density and age, although the link is weak.
The coefficient of determination (R2) provided p-values of 0.052 in non-scoliotic and 0.005 in scoliotic individuals. In the case of scoliotic individuals, the model accounts for a very small proportion of the variance in the data (0.5%), suggesting that the relationship between age and density is very weak. For non-scoliotic individuals, the results indicate that 5.2% of the variability in mean bone density is explained by the linear regression model that was used, which incorporates age as an independent variable to predict mean bone density (Figure 9). This suggests that the variance in mean bone density is most likely caused by additional variables or factors that are not considered in this model.
Figure 9.
Relationship between mean density and age in scoliotic individuals, including R2 values.
This could perhaps be explained by the small sample size, or even clipping of the higher densities in 0/1-year-olds to allow for parametric analysis.
When a partial correlation was carried out to include sex as a variable along with density and scoliosis, the p-value was −0.152, meaning that sex has no significant effect.
4. Discussion
The null hypothesis of this study is that juveniles with scoliosis do not have a significantly lower vertebral bone density compared to those without scoliosis, and therefore, they are not more prone to developing Schmorl’s nodes due to weaker vertebral end plates caused by lower density.
As a whole, general patterns can be seen, which, based on observation alone, may support the hypothesis, such as those with scoliosis having a lower density across all vertebrae in all cases, and those with scoliosis having more Schmorl’s nodes. However, after the statistical analysis, the null hypothesis has been accepted as there are not enough statistically significant conclusions to confidently say that there is a relationship between the variables within this sample.
4.1. Analyzing the Relationship between Vertebral Density and Scoliosis
In the case of vertebral density and scoliosis, there seems to be a weak link between vertebral density and scoliosis when evaluating the t-tests using the normal significance rate of 0.05; however, it is a rather weak link, and when the Bonferroni correction is applied, it then excludes any of them from having statistical significance. However, an observation of the pattern shows that in all cases across all vertebrae, those with scoliosis have a lower density, suggesting that there is a definite trend.
It is interesting to explore whether the decreased BMD value observed in scoliotic patients is a subsequent complication of the back deformity and the related abnormal mechanical loading of the spine and hips, or whether it is the result of another underlying issue.
There are some conflicting opinions on whether having scoliosis is the direct cause of having lower bone density.
When considering papers that also looked at scoliosis is adolescents, one concluded that a systemic low BMD including the cortical bone was demonstrated in AIS patients, and AIS girls may have a disturbance in mineralization and ossification during peripubertal growth. However, the site that was measured was the distal region and the midshaft of non-dominant radius, and therefore, the results are not directly comparable to this study [20].
Another study conducted a comprehensive literature review using articles between 1966 and 2007 and found that there is a link between AIS and low bone mineral status, but concluded that as to whether poor bone quality is an etiologic factor, furthermore extensive research is needed [21].
Individuals with scoliosis show lower bone densities, and although the sample distribution between the two groups is as balanced based on age and sex as it could be, one thing that has not been considered is weight. BMD can also be related to the body mass index, and even if an individual with scoliosis may have a lower bone density, their weight may also be a factor [22]. It is well known that those with scoliosis are often shorter as the curve restricts their height, and thus an individual may end up with a smaller stature than someone else of their age and sex, potentially contributing to the observed variability [23].
4.2. Analyzing the Relationship between Different Vertebral Densities
In the case of vertebral density within different regions, Figure 8 displays not only that those with scoliosis have a lower bone density than those without but also that they follow the same general pattern of becoming denser when ascending the spine.
There seems to be less variation between the vertebrae in those with scoliosis than those without, meaning that the density is more consistent across the whole spine rather than in a certain region.
The lumbar region tends to be the area displaying the highest level of both mechanical stress and load bearing, along with it being responsible for some mobility [24]. The morphology of this region shows its purpose by displaying larger, flatter vertebral bodies to spread the weight. However, despite them carrying a significant load, it does not necessarily mean they have a higher BMD than the lower thoracic vertebrae. This may be due to the trabecular bone within the vertebral body being more porous, which would support the findings of this study, as in addition to giving the spine some flexibility, the trabecular bone is essential for maintaining the structural integrity of the vertebral body. It is crucial for distributing and absorbing mechanical pressures placed on the spine, such as those brought on by weight-bearing exercises and movements. This gives reason for the lumbar vertebrae providing less dense values than the thoracic vertebrae, as the thoracic region contains less trabecular bone. Although still crucial for protecting the rib cage and bearing some weight, the lower thoracic vertebrae do not experience the same level of mechanical stress as the lumbar vertebrae. The thoracic region articulates with the ribs in order to play a crucial role in the protection of vital organs and provides stability to other regions of the spine; it is also the longest region of protection for the spinal cord and so it makes sense that it would be more robust and denser than that of the lumbar.
However, when consulting the related literature, a significant correlation between spinal region and density when looking at the cervical vertebrae was found [25], and there have also been similar findings in other papers where BMD decreased from the rostral to caudal direction along the spinal column [26], supporting the findings in this study.
Slightly differing results have been found in which the lumbar vertebrae had the highest BMD value, which then decreases when ascending the spine before becoming slightly denser in the cervical region than the thoracic region; however, the study only consisted of 18 individuals with a mean age of 66, and so not only may the statistical robustness may be questioned, but the age brackets mean that degradation of the bone may have already started to have occurred, affecting the results [27].
4.3. The Relationship between Scoliosis and Schmorl’s Nodes
In the case of scoliosis and Schmorl’s nodes, there is no statistically significant correlation between the existence of scoliosis and Schmorl’s nodes. It may be that the sample size is not big enough or due to the fact that children do not often develop Schmorl’s nodes.
It was found that Schmorl’s nodes were apparent in 75% of autopsies of all adult ages, and they were more common in males [28]. Alternatively, it was also found that Schmorl’s nodes occurred 50% of the time in individuals over 40 and 85% of the time in individuals over 60 [29]. As there is a positive correlation surrounding prevalence and age, it was always assumed that the juveniles in this study would not present a high number of incidences.
Scoliosis and Schmorl’s nodes do not correlate in this case due to the low prevalence. It is possible that adults with scoliosis could experience mechanical stress on the lumbar region of the spine and sacroiliac joints, which could lead to subsequent alterations [30]. An alternate explanation could be that scoliosis weakens the vertebral discs and increases pressure, which leads to the development of Schmorl’s nodes [31].
Although the majority of these individuals do not present Schmorl’s nodes at their present age, there is no way to predict whether they would have been more prone to developing them as a result of their scoliosis.
Another consideration is the incidence of muscle asymmetry in scoliotic patients as a result of the spine’s misalignment [32]. On one side of the spinal curve, the muscles of the back, such as the M. trapezoid or latissimus dorsi, become overdeveloped, while on the other side, they become underdeveloped. This can occasionally result in a hump on one side of the back. The rotation of the ribs and vertebrae may be the cause of this hump. Degenerative scoliosis may result from this, which would make the problem worsen and progress, meaning that as these individuals would have aged, it is likely that their scoliosis would have gotten worse, potentially increasing the incidence of Schmorl’s nodes.
4.4. The Relationship between Mean Density and Age/Sex
In the context of bone density and age, it is commonly acknowledged that, in adults, there is a universal pattern of decreasing bone density with age, except for a slight increase reported in a specific study [33]. Factors such as mechanical loading and medical conditions may contribute to bone density loss, which is generally associated with ageing. Studies, including [34,35], have identified correlations between bone mineral density (BMD) and weight, suggesting weight-related impacts on BMD decline with age. Osteoporosis and osteopenia, conditions associated with reduced bone density, tend to have higher incidences in older individuals. This study, however, reveals a statistically significant but weak correlation between bone density and age, indicating a slight decrease in bone density as individuals age. An intriguing observation is the presence of five individuals between the ages of 0 and 1 with bone densities exceeding 550 HU before employing a Bonferroni correction, a phenomenon not observed in other age groups. While the related literature explores bone mineral content in newborns, the present study highlights an under-investigated aspect concerning consistently high bone density values in this age group [36]. Given the conventional understanding of lower bone mineral densities in infants and young children, further research on newborn bone density is warranted, as it consistently deviates from expected trends, presenting an opportunity for valuable exploration and insights.
5. Conclusions
This study aimed to explore the potential association between scoliosis, bone density, and the prevalence of Schmorl’s nodes in juveniles. Utilizing CT scans from decedents with documented medical histories, a thorough analysis was conducted to investigate the relationship between scoliosis severity and bone density, specifically focusing on its impact on the development of Schmorl’s nodes. The findings suggest a nuanced relationship, indicating a potential link between scoliosis and decreased bone density, which may contribute to the prevalence of Schmorl’s nodes. However, it is essential to exercise caution due to limitations in the dataset, including sample size and age variability. Future research endeavours should prioritize larger sample sizes and consider factors such as scoliosis severity, employing consistent imaging methods to validate and further explore these findings. Enhancing the understanding of these interconnections holds promise for informing more targeted screening, early intervention, and treatment strategies for spinal pathologies in juveniles, ultimately improving patient outcomes and quality of life.
Author Contributions
Conceptualization E.S. and C.E.; methodology E.S., M.B. and C.E.; investigation E.S. and C.E.; writing—original draft preparation E.S.; writing—review and editing M.B. and C.E.; supervision M.B. and C.E. All authors have read and agreed with the published version of the manuscript.
Funding
This research received no external funding.
Institutional Review Board Statement
Not applicable.
Informed Consent Statement
Not applicable.
Data Availability Statement
The raw data supporting the conclusions of this article will be made available by the authors on request.
Acknowledgments
Thanks is given to the New Mexico Decedent Image Database for providing the CT scans used to make this research possible. We would also like to thank Alex Wilshaw and James Ohman for their guidance with the statistics and the analysis of CT scans, respectively. Many thanks to the three anonymous reviewers who helped to improve this manuscript.
Conflicts of Interest
The authors declare no conflict of interest.
References
- Altaf, F.; Gibson, A.; Dannawi, Z.; Noordeen, H. Adolescent Idiopathic Scoliosis. BMJ 2013, 346, f2508. [Google Scholar] [CrossRef] [PubMed]
- Mo, F.; Cunningham, M.E. Pediatric Scoliosis. Curr. Rev. Musculoskelet. Med. 2011, 4, 175–182. [Google Scholar] [CrossRef] [PubMed]
- Choudhry, M.N.; Ahmad, Z.; Verma, R. Adolescent Idiopathic Scoliosis. Open Orthop. J. 2016, 10, 143–154. [Google Scholar] [CrossRef] [PubMed]
- Ng, S.-Y.; Bettany-Saltikov, J.; Cheung, I.Y.K.; Chan, K.K.Y. The Role of Vitamin D in the Pathogenesis of Adolescent Idiopathic Scoliosis. Asian Spine J. 2018, 12, 1127–1145. [Google Scholar] [CrossRef] [PubMed]
- Trobisch, P.; Suess, O.; Schwab, F. Idiopathic Scoliosis. Dtsch. Aerzteblatt Online 2010. [Google Scholar] [CrossRef]
- Bunnell, W.P. Selective Screening for Scoliosis. Clin. Orthop. Relat. Res. 2005, 434, 40–45. [Google Scholar] [CrossRef] [PubMed]
- Makino, T.; Kaito, T.; Sakai, Y.; Kashii, M.; Yoshikawa, H. Asymmetrical Ossification in the Epiphyseal Ring of Patients with Adolescent Idiopathic Scoliosis. Bone Jt. J. 2016, 98-B, 666–671. [Google Scholar] [CrossRef]
- Abu-Ghanem, S.; Ohana, N.; Abu-Ghanem, Y.; Kittani, M.; Shelef, I. Acute Schmorl Node in Dorsal Spine: An Unusual Cause of a Sudden Onset of Severe Back Pain in a Young Female. Asian Spine J. 2013, 7, 131. [Google Scholar] [CrossRef]
- Dar, G.; Masharawi, Y.; Peleg, S.; Steinberg, N.; May, H.; Medlej, B.; Peled, N.; Hershkovitz, I. Schmorl’s Nodes Distribution in the Human Spine and Its Possible Etiology. Eur. Spine J. 2009, 19, 670–675. [Google Scholar] [CrossRef] [PubMed]
- Ding, W.; Yang, D.; Cao, L.; Sun, Y.; Zhang, W.; Xu, J.; Zhang, Y.; Shen, Y. Intervertebral Disc Degeneration and Bone Density in Degenerative Lumbar Scoliosis: A Comparative Study between Patients with Degenerative Lumbar Scoliosis and Patients with Lumbar Stenosis. Chin. Med. J. 2011, 124, 3875. [Google Scholar] [CrossRef]
- Sadat-Ali, M.; Al-Othman, A.; Bubshait, D.; Al-Dakheel, D. Does Scoliosis Causes Low Bone Mass? A Comparative Study between Siblings. Eur. Spine J. 2008, 17, 944–947. [Google Scholar] [CrossRef]
- Urrutia, J.; Diaz-Ledezma, C.; Espinosa, J.; Berven, S.H. Lumbar Scoliosis in Postmenopausal Women. Spine 2011, 36, 737–740. [Google Scholar] [CrossRef] [PubMed]
- Nelson, R.C.; Feuerlein, S.; Boll, D.T. New Iterative Reconstruction Techniques for Cardiovascular Computed Tomography: How Do They Work, and What Are the Advantages and Disadvantages? J. Cardiovasc. Comput. Tomogr. 2011, 5, 286–292. [Google Scholar] [CrossRef] [PubMed]
- Pan, X.; Sidky, E.Y.; Vannier, M. Why Do Commercial CT Scanners Still Employ Traditional, Filtered Back-Projection for Image Reconstruction? Inverse Probl. 2009, 25, 123009. [Google Scholar] [CrossRef] [PubMed]
- Bürger, B.; Abkai, C.; Hesser, J. Simulation of Dynamic Ultrasound Based on CT Models for Medical Education. Stud. Health Technol. Inf. 2008, 132, 56–61. [Google Scholar]
- Edgar, H.J.H.; Daneshvari Berry, S.; Moes, E.; Adolphi, N.L.; Bridges, P.; Nolte, K.B. New Mexico Decedent Image Database; The Free Access Decedent Database funded by the National Institute of Justice grant number 2016-DN-BX-0144; Office of the Medical Investigator, University of New Mexico: Albuquerque, NM, USA, 2020. [Google Scholar]
- Zhang, N.; Li, F.-C.; Huang, Y.-J.; Teng, C.; Chen, W.-S. Possible Key Role of Immune System in Schmorl’s Nodes. Med. Hypotheses 2010, 74, 552–554. [Google Scholar] [CrossRef]
- Schneider, C.A.; Rasband, W.S.; Eliceiri, K.W. NIH Image to ImageJ: 25 Years of Image Analysis. Nat. Methods 2012, 9, 671–675. [Google Scholar] [CrossRef] [PubMed]
- Abramoff, M.D.; Magalhães Paulo, J.; Ram, S.J. Image Processing with ImageJ. Biophotonics Int. 2024, 11, 36–42. [Google Scholar]
- Yeung, H.Y.; Qin, L.; Hung, V.W.Y.; Lee, K.M.; Guo, X.; Ng, B.W.K.; Cheng, J.C.Y. Lower Degree of Mineralization Found in Cortical Bone of Adolescent Idiopathic Scoliosis (AIS). Stud. Health Technol. Inform. 2006, 123, 599–604. [Google Scholar]
- Li, X.-F.; Li, H.; Liu, Z.-D.; Dai, L.-Y. Low Bone Mineral Status in Adolescent Idiopathic Scoliosis. Eur. Spine J. 2008, 17, 1431–1440. [Google Scholar] [CrossRef]
- Glauber, H.S.; Vollmer, W.M.; Nevitt, M.C.; Ensrud, K.E.; Orwoll, E.S. Body Weight versus Body Fat Distribution, Adiposity, and Frame Size as Predictors of Bone Density. J. Clin. Endocrinol. Metab. 1995, 80, 1118–1123. [Google Scholar] [CrossRef]
- Gardner, A.; Price, A.; Berryman, F.; Pynsent, P. The Use of Growth Standards and Corrective Formulae to Calculate the Height Loss Caused by Idiopathic Scoliosis. Scoliosis Spinal Disord. 2016, 11, 6. [Google Scholar] [CrossRef] [PubMed]
- Panjabi, M.M.; White, A.A.I. Basic Biomechanics of the Spine. Neurosurgery 1980, 7, 76. [Google Scholar] [CrossRef] [PubMed]
- Anderst, W.J.; Thorhauer, E.; Lee, J.; Donaldson, W.; Kang, J. Cervical Spine Bone Mineral Density as a Function of Vertebral Level and Anatomic Location. Spine J. 2011, 11, 659–667. [Google Scholar] [CrossRef]
- Yoganandan, N.; Pintar, F.A.; Stemper, B.D.; Baisden, J.L.; Aktay, R.; Shender, B.S.; Paskoff, G.; Laud, P. Trabecular Bone Density of Male Human Cervical and Lumbar Vertebrae. Bone 2006, 39, 336–344. [Google Scholar] [CrossRef] [PubMed]
- Singer, K.; Edmondston, S.; Day, R.; Breidahl, P.; Price, R. Prediction of Thoracic and Lumbar Vertebral Body Compressive Strength: Correlations with Bone Mineral Density and Vertebral Region. Bone 1995, 17, 167–174. [Google Scholar] [CrossRef] [PubMed]
- Amini, B. Schmorl Nodes|Radiology Reference Article|Radiopaedia.org. Available online: https://radiopaedia.org/articles/schmorl-nodes-3?lang=gb (accessed on 28 March 2022).
- Kyere, K.A.; Than, K.D.; Wang, A.C.; Rahman, S.U.; Valdivia–Valdivia, J.M.; La Marca, F.; Park, P. Schmorl’s Nodes. Eur. Spine J. 2012, 21, 2115–2121. [Google Scholar] [CrossRef] [PubMed]
- Voirin-Hertz, M.; Carvajal Alegria, G.; Garrigues, F.; Simon, A.; Feydy, A.; Reijnierse, M.; van der Heijde, D.; Loeuille, D.; Claudepierre, P.; Marhadour, T.; et al. Associations of Lumbar Scoliosis with Presentation of Suspected Early Axial Spondyloarthritis. Semin. Arthritis Rheum. 2020, 50, 48–53. [Google Scholar] [CrossRef] [PubMed]
- McNaught, J.M. A Clinical and Archaeological Study of Schmorl’s Nodes: Using Clinical Data to Understand the Past. Available online: http://etheses.dur.ac.uk/2689 (accessed on 26 December 2023).
- Kim, H.; Lee, C.-K.; Yeom, J.S.; Lee, J.H.; Cho, J.H.; Shin, S.I.; Lee, H.-J.; Chang, B.-S. Asymmetry of the Cross-Sectional Area of Paravertebral and Psoas Muscle in Patients with Degenerative Scoliosis. Eur. Spine J. 2013, 22, 1332–1338. [Google Scholar] [CrossRef] [PubMed]
- Warming, L.; Hassager, C.; Christiansen, C. Changes in Bone Mineral Density with Age in Men and Women: A Longitudinal Study. Osteoporos. Int. 2002, 13, 105–112. [Google Scholar] [CrossRef] [PubMed]
- May, H.; Murphy, S.; Khaw, K. Aged—Associated Bone Loss in Men and Women and Its Relationship to Weight. Age Ageing 1994, 23, 235–240. [Google Scholar] [CrossRef]
- Melton, L.J.; Khosla, S.; Atkinson, E.J.; O’Fallon, W.M.; Riggs, B.L. Relationship of Bone Turnover to Bone Density and Fractures. J. Bone Miner. Res. 1997, 12, 1083–1091. [Google Scholar] [CrossRef] [PubMed]
- Rupich, R.C.; Specker, B.L.; Lieuw-A-Fa, M.; Ho, M. Gender and Race Differences in Bone Mass during Infancy. Calcif. Tissue Int. 1996, 58, 395–397. [Google Scholar] [CrossRef] [PubMed]
Disclaimer/Publisher’s Note: The statements, opinions and data contained in all publications are solely those of the individual author(s) and contributor(s) and not of MDPI and/or the editor(s). MDPI and/or the editor(s) disclaim responsibility for any injury to people or property resulting from any ideas, methods, instructions or products referred to in the content. |
© 2024 by the authors. Licensee MDPI, Basel, Switzerland. This article is an open access article distributed under the terms and conditions of the Creative Commons Attribution (CC BY) license (https://creativecommons.org/licenses/by/4.0/).








