- Article
Osseous Changes and Morphometric Measurements in the Temporomandibular Joint in Different Malocclusion Types
- Simge Eşme,
- Kaan Orhan and
- Aslıhan Akbulut
- + 2 authors
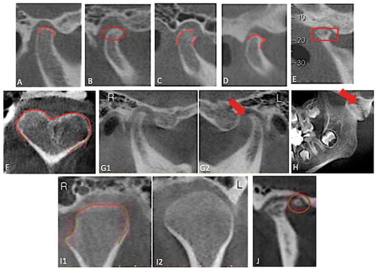
Background/Objectives: The relationship between occlusion and temporomandibular joint is controversial in the scientific literature. The aim of this study is to evaluate the bone changes in the temporomandibular joint and surrounding bone structures and to determine the effect of malocclusions on the temporomandibular joint by making morphometric measurements in different skeletal classes using three-dimensional cone beam computed tomography images. Methods: A total of 90 patients (30 class I, 30 class II and 30 class III) were included in the study. In each skeletal pattern, condylar osseous changes were evaluated and articular eminence inclination and height, condylar diameters were measured. It was also divided into two age groups: 18–29 and 30 and over. Results: Articular eminence inclination measured with the best-fit line method was significantly higher in Class II compared with class I and III, and in individuals aged ≥30 years. Among osseous changes, only condylar flattening showed a significant age-related increase. The mediolateral condylar diameter was greater in males than females, while the anteroposterior diameter was higher in the ≥30-year age group. Conclusions: Temporomandibular joint morphology demonstrates age- and function-related adaptive remodeling, particularly in articular eminence inclination and condylar dimensions. CBCT-based assessment of these morphological features may assist clinicians in diagnosis and treatment planning, although further studies with larger prospective cohorts are warranted.
10 December 2025






