Acute Phase Extrapulmonary Effects of a High-Dose Influenza A Virus Infection in a Mouse Model of Obesity
Simple Summary
Abstract
1. Introduction
2. Materials and Methods
2.1. Animals
2.2. Glucose Tolerance Test (GTT)
2.3. Measurement of Serum Leptin and Total Cholesterol
2.4. Mouse Infection with the Influenza Virus
2.5. Quantitation of Virus Titers
2.6. Histopathology
2.7. Multiplex Cytokine and Chemokine Analysis in Lung Homogenates and Plasma Samples
2.8. Quantitative Reverse Transcription PCR (qRT-PCR) for Cytokines/Chemokines
2.9. Statistical Analysis
3. Results
3.1. As Expected, the High-Fat Diet (HFD) Treatment for a 14-Week Duration Induced Obesity in C57BL/6J Mice
3.2. High-Dose IAV Infection Caused Inflammatory Changes in the Lungs of Both Groups
3.3. Cytokines/Chemokine Alterations in Plasma After IAV Infection Between Mice with or Without Obesity
3.4. Inflammatory Changes in the Adipose Tissues
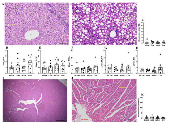
3.5. Inflammatory Changes in the Liver and the Heart
3.6. Inflammatory Changes in the Kidney and Spleen
4. Discussion
5. Conclusions
Author Contributions
Funding
Institutional Review Board Statement
Informed Consent Statement
Data Availability Statement
Acknowledgments
Conflicts of Interest
Correction Statement
References
- Mena, I.; Nelson, M.I.; Quezada-Monroy, F.; Dutta, J.; Cortes-Fernández, R.; Lara-Puente, J.H.; Castro-Peralta, F.; Cunha, L.F.; Trovão, N.S.; Lozano-Dubernard, B.; et al. Origins of the 2009 H1N1 influenza pandemic in swine in Mexico. eLife 2016, 5, e16777. [Google Scholar] [CrossRef]
- Peacock, T.P.; Moncla, L.; Dudas, G.; VanInsberghe, D.; Sukhova, K.; Lloyd-Smith, J.O.; Worobey, M.; Lowen, A.C.; Nelson, M.I. The global H5N1 influenza panzootic in mammals. Nature 2025, 637, 304–313. [Google Scholar] [CrossRef] [PubMed]
- WHO. Influenza (Seasonal) Fact Sheet. Available online: https://www.who.int/news-room/fact-sheets/detail/influenza-(seasonal) (accessed on 11 August 2025).
- Zhao, X.; Gang, X.; He, G.; Li, Z.; Lv, Y.; Han, Q.; Wang, G. Obesity Increases the Severity and Mortality of Influenza and COVID-19: A Systematic Review and Meta-Analysis. Front. Endocrinol. 2020, 11, 595109. [Google Scholar] [CrossRef]
- Vitoratou, D.I.; Milas, G.P.; Korovessi, P.; Kostaridou, S.; Koletsi, P. Obesity as a risk factor for severe influenza infection in children and adolescents: A systematic review and meta-analysis. Eur. J. Pediatr. 2023, 182, 363–374. [Google Scholar] [CrossRef]
- Dhakal, S.; Klein, S.L. Host Factors Impact Vaccine Efficacy: Implications for Seasonal and Universal Influenza Vaccine Programs. J. Virol. 2019, 93, 10-1128. [Google Scholar] [CrossRef]
- Honce, R.; Schultz-Cherry, S. Impact of Obesity on Influenza A Virus Pathogenesis, Immune Response, and Evolution. Front. Immunol. 2019, 10, 1071. [Google Scholar] [CrossRef] [PubMed]
- Kalil, A.C.; Thomas, P.G. Influenza virus-related critical illness: Pathophysiology and epidemiology. Crit. Care 2019, 23, 258. [Google Scholar] [CrossRef]
- Sellers, S.A.; Hagan, R.S.; Hayden, F.G.; Fischer Ii, W.A. The hidden burden of influenza: A review of the extra-pulmonary complications of influenza infection. Influenza Other Respir. Viruses 2017, 11, 372–393. [Google Scholar] [CrossRef]
- Froggatt, H.M.; Heaton, N.S. Nonrespiratory sites of influenza-associated disease: Mechanisms and experimental systems for continued study. FEBS J. 2022, 289, 4038–4060. [Google Scholar] [CrossRef]
- Shaikh, S.R.; MacIver, N.J.; Beck, M.A. Obesity Dysregulates the Immune Response to Influenza Infection and Vaccination Through Metabolic and Inflammatory Mechanisms. Annu. Rev. Nutr. 2022, 42, 67–89. [Google Scholar] [CrossRef] [PubMed]
- Andrade, F.B.; Gualberto, A.; Rezende, C.; Percegoni, N.; Gameiro, J.; Hottz, E.D. The Weight of Obesity in Immunity from Influenza to COVID-19. Front. Cell. Infect. Microbiol. 2021, 11, 638852. [Google Scholar] [CrossRef]
- Ayari, A.; Rosa-Calatrava, M.; Lancel, S.; Barthelemy, J.; Pizzorno, A.; Mayeuf-Louchart, A.; Baron, M.; Hot, D.; Deruyter, L.; Soulard, D.; et al. Influenza infection rewires energy metabolism and induces browning features in adipose cells and tissues. Commun. Biol. 2020, 3, 237. [Google Scholar] [CrossRef]
- Alarcon, P.C.; Ulanowicz, C.J.; Damen, M.S.M.A.; Eom, J.; Sawada, K.; Chung, H.; Alahakoon, T.; Oates, J.R.; Wayland, J.L.; Stankiewicz, T.E.; et al. Obesity Uncovers the Presence of Inflammatory Lung Macrophage Subsets With an Adipose Tissue Transcriptomic Signature in Influenza Virus Infection. J. Infect. Dis. 2024, 231, e317–e327. [Google Scholar] [CrossRef] [PubMed]
- Cole, K.A. Adipose Tissue Inflammation is Associated with Immune Dysfunction During Influenza Virus Infection. Ph.D. Thesis, The University of North Carolina, Chapel Hill, NC, USA, 2008. [Google Scholar]
- Hornung, F.; Schulz, L.; Köse-Vogel, N.; Häder, A.; Grießhammer, J.; Wittschieber, D.; Autsch, A.; Ehrhardt, C.; Mall, G.; Löffler, B.; et al. Thoracic adipose tissue contributes to severe virus infection of the lung. Int. J. Obes. 2023, 47, 1088–1099. [Google Scholar] [CrossRef] [PubMed]
- Meliopoulos, V.; Honce, R.; Livingston, B.; Hargest, V.; Freiden, P.; Lazure, L.; Brigleb, P.H.; Karlsson, E.; Sheppard, H.; Allen, E.K.; et al. Diet-induced obesity affects influenza disease severity and transmission dynamics in ferrets. Sci. Adv. 2024, 10, eadk9137. [Google Scholar] [CrossRef]
- Short, K.R.; Veeris, R.; Leijten, L.M.; van den Brand, J.M.; Jong, V.L.; Stittelaar, K.; Osterhaus, A.D.M.E.; Andeweg, A.; van Riel, D. Proinflammatory Cytokine Responses in Extra-Respiratory Tissues During Severe Influenza. J. Infect. Dis. 2017, 216, 829–833. [Google Scholar] [CrossRef]
- Alarcon, P.C.; Damen, M.; Ulanowicz, C.J.; Sawada, K.; Oates, J.R.; Toth, A.; Wayland, J.L.; Chung, H.; Stankiewicz, T.E.; Moreno-Fernandez, M.E.; et al. Obesity amplifies influenza virus-driven disease severity in male and female mice. Mucosal Immunol. 2023, 16, 843–858. [Google Scholar] [CrossRef]
- Siegers, J.Y.; Novakovic, B.; Hulme, K.D.; Marshall, R.J.; Bloxham, C.J.; Thomas, W.G.; Reichelt, M.E.; Leijten, L.; van Run, P.; Knox, K.; et al. A High-Fat Diet Increases Influenza A Virus-Associated Cardiovascular Damage. J. Infect. Dis. 2020, 222, 820–831. [Google Scholar] [CrossRef] [PubMed]
- Dhakal, S.; Wolfe, B.W.; Pantha, S.; Vijayakumar, S. Sex Differences during Influenza A Virus Infection and Vaccination and Comparison of Cytokine and Antibody Responses between Plasma and Serum Samples. Pathogens 2024, 13, 468. [Google Scholar] [CrossRef]
- Dhakal, S.; Park, H.-S.; Seddu, K.; Lee, J.S.; Creisher, P.S.; Seibert, B.; Davis, K.M.; Hernandez, I.R.; Maul, R.W.; Klein, S.L. Estradiol mediates greater germinal center responses to influenza vaccination in female than male mice. mBio 2024, 15, e00326-24. [Google Scholar] [CrossRef]
- Vom Steeg, L.G.; Dhakal, S.; Woldetsadik, Y.A.; Park, H.S.; Mulka, K.R.; Reilly, E.C.; Topham, D.J.; Klein, S.L. Androgen receptor signaling in the lungs mitigates inflammation and improves the outcome of influenza in mice. PLoS Pathog. 2020, 16, e1008506. [Google Scholar] [CrossRef]
- Dhakal, S.; Deshpande, S.; McMahon, M.; Strohmeier, S.; Krammer, F.; Klein, S.L. Female-biased effects of aging on a chimeric hemagglutinin stalk-based universal influenza virus vaccine in mice. Vaccine 2022, 40, 1624–1633. [Google Scholar] [CrossRef]
- Dhakal, S.; Loube, J.; Misplon, J.A.; Lo, C.Y.; Creisher, P.S.; Mulka, K.R.; Deshpande, S.; Mitzner, W.; Klein, S.L.; Epstein, S.L. Effect of an Adenovirus-Vectored Universal Influenza Virus Vaccine on Pulmonary Pathophysiology in a Mouse Model. J. Virol. 2021, 95, 10-1128. [Google Scholar] [CrossRef]
- Jofre-Monseny, L.; Loboda, A.; Wagner, A.E.; Huebbe, P.; Boesch-Saadatmandi, C.; Jozkowicz, A.; Minihane, A.-M.; Dulak, J.; Rimbach, G. Effects of apoE genotype on macrophage inflammation and heme oxygenase-1 expression. Biochem. Biophys. Res. Commun. 2007, 357, 319–324. [Google Scholar] [CrossRef]
- Kim, Y.-H.; Kim, J.-K.; Kim, D.-J.; Nam, J.-H.; Shim, S.-M.; Choi, Y.-K.; Lee, C.-H.; Poo, H. Diet-Induced Obesity Dramatically Reduces the Efficacy of a 2009 Pandemic H1N1 Vaccine in a Mouse Model. J. Infect. Dis. 2011, 205, 244–251. [Google Scholar] [CrossRef]
- Huang, R.; Liu, J.; Liang, W.; Wang, A.; Liu, Z.; Yang, Y.; Lv, J.; Bao, Y.; Gao, Y.; Miao, Z.; et al. Response profiles of cytokines and chemokines against avian H9N2 influenza virus within the mouse lung. Med. Microbiol. Immunol. 2014, 203, 109–114. [Google Scholar] [CrossRef] [PubMed]
- Dhakal, S.; Renu, S.; Ghimire, S.; Shaan Lakshmanappa, Y.; Hogshead, B.T.; Feliciano-Ruiz, N.; Lu, F.; HogenEsch, H.; Krakowka, S.; Lee, C.W.; et al. Mucosal Immunity and Protective Efficacy of Intranasal Inactivated Influenza Vaccine Is Improved by Chitosan Nanoparticle Delivery in Pigs. Front. Immunol. 2018, 9, 934. [Google Scholar] [CrossRef] [PubMed]
- Hoffler, U.; Hobbie, K.; Wilson, R.; Bai, R.; Rahman, A.; Malarkey, D.; Travlos, G.; Ghanayem, B.I. Diet-induced obesity is associated with hyperleptinemia, hyperinsulinemia, hepatic steatosis, and glomerulopathy in C57Bl/6J mice. Endocrine 2009, 36, 311–325. [Google Scholar] [CrossRef]
- Appiakannan, H.S.; Rasimowicz, M.L.; Harrison, C.B.; Weber, E.T. Differential effects of high-fat diet on glucose tolerance, food intake, and glucocorticoid regulation in male C57BL/6J and BALB/cJ mice. Physiol. Behav. 2020, 215, 112773. [Google Scholar] [CrossRef]
- Lefebvre, C.; Tiffay, A.; Breemeersch, C.-E.; Dreux, V.; Bôle-Feysot, C.; Guérin, C.; Breton, J.; Maximin, E.; Monnoye, M.; Déchelotte, P.; et al. Sex-dependent effects of a high fat diet on metabolic disorders, intestinal barrier function and gut microbiota in mouse. Sci. Rep. 2024, 14, 19835. [Google Scholar] [CrossRef] [PubMed]
- Milner, J.J.; Rebeles, J.; Dhungana, S.; Stewart, D.A.; Sumner, S.C.J.; Meyers, M.H.; Mancuso, P.; Beck, M.A. Obesity Increases Mortality and Modulates the Lung Metabolome during Pandemic H1N1 Influenza Virus Infection in Mice. J. Immunol. 2015, 194, 4846–4859. [Google Scholar] [CrossRef]
- Chandrasekaran, R.; Morris, C.R.; Butzirus, I.M.; Mark, Z.F.; Kumar, A.; Souza De Lima, D.; Daphtary, N.; Aliyeva, M.; Poynter, M.E.; Anathy, V.; et al. Obesity exacerbates influenza-induced respiratory disease via the arachidonic acid-p38 MAPK pathway. Front. Pharmacol. 2023, 14, 1248873. [Google Scholar] [CrossRef]
- van der Heijden, R.A.; Sheedfar, F.; Morrison, M.C.; Hommelberg, P.P.; Kor, D.; Kloosterhuis, N.J.; Gruben, N.; Youssef, S.A.; de Bruin, A.; Hofker, M.H.; et al. High-fat diet induced obesity primes inflammation in adipose tissue prior to liver in C57BL/6j mice. Aging 2015, 7, 256–268. [Google Scholar] [CrossRef] [PubMed]
- Weiner, J.; Dommel, S.; Gebhardt, C.; Hanschkow, M.; Popkova, Y.; Krause, K.; Klöting, N.; Blüher, M.; Schiller, J.; Heiker, J.T. Differential expression of immunoregulatory cytokines in adipose tissue and liver in response to high fat and high sugar diets in female mice. Front. Nutr. 2023, 10, 1275160. [Google Scholar] [CrossRef] [PubMed]
- Wu, X.-X.; Tang, S.-J.; Yao, S.-H.; Zhou, Y.-Q.; Xiao, L.-L.; Cheng, L.-F.; Liu, F.-M.; Wu, N.-P.; Yao, H.-P.; Li, L.-J. The viral distribution and pathological characteristics of BALB/c mice infected with highly pathogenic Influenza H7N9 virus. Virol. J. 2021, 18, 237. [Google Scholar] [CrossRef] [PubMed]






Disclaimer/Publisher’s Note: The statements, opinions and data contained in all publications are solely those of the individual author(s) and contributor(s) and not of MDPI and/or the editor(s). MDPI and/or the editor(s) disclaim responsibility for any injury to people or property resulting from any ideas, methods, instructions or products referred to in the content. |
© 2025 by the authors. Licensee MDPI, Basel, Switzerland. This article is an open access article distributed under the terms and conditions of the Creative Commons Attribution (CC BY) license (https://creativecommons.org/licenses/by/4.0/).
Share and Cite
Vijayakumar, S.; Pantha, S.; Wolfe, B.; Zhang, Q.; Budha Magar, S.; Aboellail, T.; Dhakal, S. Acute Phase Extrapulmonary Effects of a High-Dose Influenza A Virus Infection in a Mouse Model of Obesity. Zoonotic Dis. 2025, 5, 31. https://doi.org/10.3390/zoonoticdis5040031
Vijayakumar S, Pantha S, Wolfe B, Zhang Q, Budha Magar S, Aboellail T, Dhakal S. Acute Phase Extrapulmonary Effects of a High-Dose Influenza A Virus Infection in a Mouse Model of Obesity. Zoonotic Diseases. 2025; 5(4):31. https://doi.org/10.3390/zoonoticdis5040031
Chicago/Turabian StyleVijayakumar, Saranya, Saurav Pantha, Brian Wolfe, Qi Zhang, Shristy Budha Magar, Tawfik Aboellail, and Santosh Dhakal. 2025. "Acute Phase Extrapulmonary Effects of a High-Dose Influenza A Virus Infection in a Mouse Model of Obesity" Zoonotic Diseases 5, no. 4: 31. https://doi.org/10.3390/zoonoticdis5040031
APA StyleVijayakumar, S., Pantha, S., Wolfe, B., Zhang, Q., Budha Magar, S., Aboellail, T., & Dhakal, S. (2025). Acute Phase Extrapulmonary Effects of a High-Dose Influenza A Virus Infection in a Mouse Model of Obesity. Zoonotic Diseases, 5(4), 31. https://doi.org/10.3390/zoonoticdis5040031

