Glycine Betaine Levels and BADH Activity of Juvenile Shrimp Litopenaeus vannamei in Response to Vibrio Bacterial Infection and Sudden Hyperosmotic Stress
Abstract
1. Introduction
2. Materials and Methods
2.1. Animal Maintenance
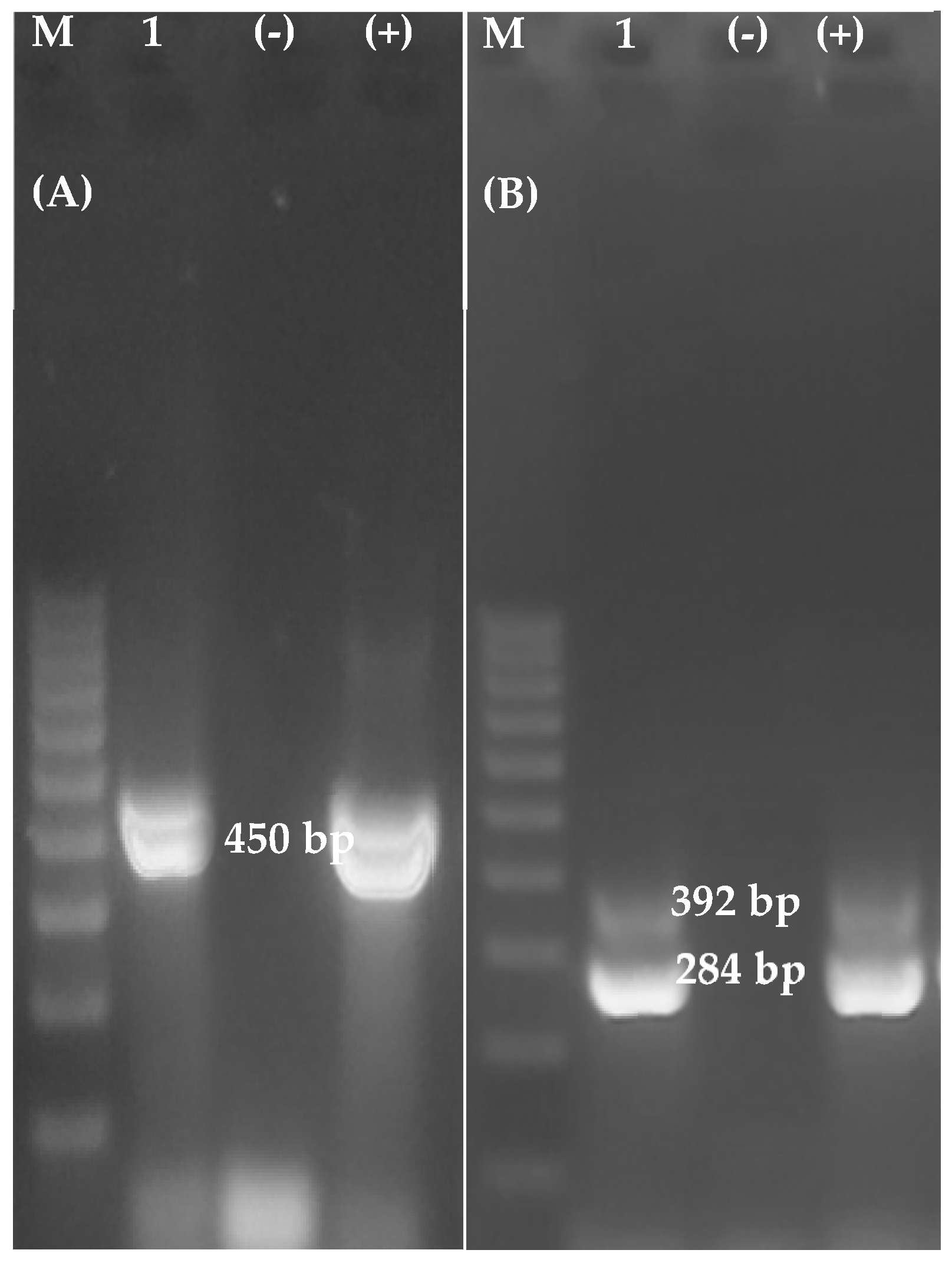
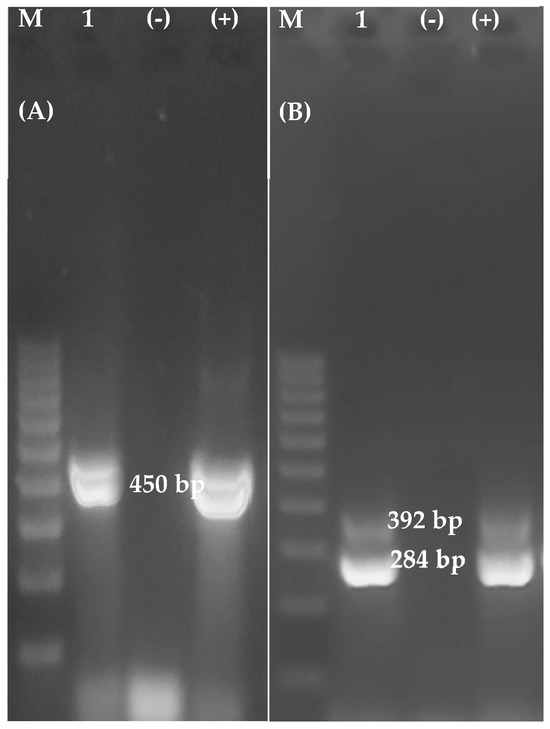
2.2. Vibrio parahaemolyticus Strain
2.3. Vibrio Bacterial Infection
2.4. Hyperosmotic Stress (Infection Experimental Groups and Control)
2.5. Animal Sampling
2.6. Crude Extract Preparation
2.7. Glycine Betaine Quantification
2.8. BADH Activity Assay
2.9. Statistics
3. Results
4. Discussion
5. Conclusions
Supplementary Materials
Author Contributions
Funding
Institutional Review Board Statement
Data Availability Statement
Conflicts of Interest
References
- Aranguren Caro, L.F.; Mai, H.N.; Noble, B.; Dhar, A.K. Acute Hepatopancreatic Necrosis Disease (VPAHPND), a Chronic Disease in Shrimp (Penaeus vannamei) Population Raised in Latin America. J. Invertebr. Pathol. 2020, 174, 107424. [Google Scholar] [CrossRef]
- Bao, S.; Gao, S.; Zhang, M.; Wang, Y. Characterization of Toxicity and Structure of PirABvc-like Proteins That Are Structurally Almost Identical to Shrimp AHPND-causing PirAB Toxin. J. Fish Dis. 2022, 45, 315–326. [Google Scholar] [CrossRef] [PubMed]
- Jaffer, Y.D.; Saraswathy, R.; Ishfaq, M.; Antony, J.; Bundela, D.S.; Sharma, P.C. Effect of Low Salinity on the Growth and Survival of Juvenile Pacific White Shrimp, Penaeus vannamei: A Revival. Aquaculture 2020, 515, 734561. [Google Scholar] [CrossRef]
- Chen, K.; Li, E.; Xu, C.; Wang, X.; Li, H.; Qin, J.G.; Chen, L. Growth and Metabolomic Responses of Pacific White Shrimp (Litopenaeus vannamei) to Different Dietary Fatty Acid Sources and Salinity Levels. Aquaculture 2019, 499, 329–340. [Google Scholar] [CrossRef]
- Li, J.; Kültz, D. Proteomics of Osmoregulatory Responses in Threespine Stickleback Gills. Integr. Comp. Biol. 2020, 60, 304–317. [Google Scholar] [CrossRef] [PubMed]
- Paital, B.; Chainy, G.B.N. Antioxidant Defenses and Oxidative Stress Parameters in Tissues of Mud Crab (Scylla serrata) with Reference to Changing Salinity. Comp. Biochem. Physiol. Part C Toxicol. Pharmacol. 2010, 151, 142–151. [Google Scholar] [CrossRef] [PubMed]
- Bal, A.; Panda, F.; Pati, S.G.; Das, K.; Agrawal, P.K.; Paital, B. Modulation of Physiological Oxidative Stress and Antioxidant Status by Abiotic Factors Especially Salinity in Aquatic Organisms. Comp. Biochem. Physiol. Part C Toxicol. Pharmacol. 2021, 241, 108971. [Google Scholar] [CrossRef] [PubMed]
- Rojo-Arreola, L.; García-Carreño, F.; Romero, R.; Díaz Dominguez, L. Proteolytic Profile of Larval Developmental Stages of Penaeus vannamei: An Activity and mRNA Expression Approach. PLoS ONE 2020, 15, e0239413. [Google Scholar] [CrossRef]
- Castille, F.L.; Lawrence, A.L. The Effect of Salinity on the Osmotic, Sodium and Chloride Concentrations in the Hemolymph of Euryhaline Shrimp of the Genus Penaeus. Comp. Biochem. Physiol. A Physiol. 1981, 68, 75–80. [Google Scholar] [CrossRef]
- Pan, L.-Q.; Zhang, L.-J.; Liu, H.-Y. Effects of Salinity and pH on Ion-Transport Enzyme Activities, Survival and Growth of Litopenaeus vannamei Postlarvae. Aquaculture 2007, 273, 711–720. [Google Scholar] [CrossRef]
- Petty, C.N.; Lucero, M.T. Characterization of a Na+ -Dependent Betaine Transporter With Cl− Channel Properties in Squid Motor Neurons. J. Neurophysiol. 1999, 81, 1567–1574. [Google Scholar] [CrossRef][Green Version]
- Schock, T.B.; Duke, J.; Goodson, A.; Weldon, D.; Brunson, J.; Leffler, J.W.; Bearden, D.W. Evaluation of Pacific White Shrimp (Litopenaeus vannamei) Health during a Superintensive Aquaculture Growout Using NMR-Based Metabolomics. PLoS ONE 2013, 8, e59521. [Google Scholar] [CrossRef]
- Yancey, P.H. Nitrogen Compounds as Osmolytes. In Fish Physiology; Elsevier: Amsterdam, The Netherlands, 2001; Volume 20, pp. 309–341. ISBN 978-0-12-350444-9. [Google Scholar]
- Du Vigneaud, V.; Simmonds, S.; Chandler, J.P.; Cohn, M. A further investigation of the rôle of betaine in transmethylation reactions in vivo. J. Biol. Chem. 1946, 165, 639–648. [Google Scholar] [CrossRef]
- Athamena, A.; Brichon, G.; Trajkovic-Bodennec, S.; Péqueux, A.; Chapelle, S.; Bodennec, J.; Zwingelstein, G. Salinity Regulates N-Methylation of Phosphatidylethanolamine in Euryhaline Crustaceans Hepatopancreas and Exchange of Newly-Formed Phosphatidylcholine with Hemolymph. J. Comp. Physiol. B 2011, 181, 731–740. [Google Scholar] [CrossRef]
- Timasheff, S.N. The Control of Protein Stability and Association by Weak Interactions with Water: How Do Solvents Affect These Processes? Annu. Rev. Biophys. Biomol. Struct. 1993, 22, 67–97. [Google Scholar] [CrossRef] [PubMed]
- Bolen, D.W.; Baskakov, I.V. The Osmophobic Effect: Natural Selection of a Thermodynamic Force in Protein Folding 1 1Edited by D. Draper. J. Mol. Biol. 2001, 310, 955–963. [Google Scholar] [CrossRef] [PubMed]
- Dragolovich, J.; Pierce, S.K. Characterization of Partially Purified Betaine Aldehyde Dehydrogenase from Horseshoe Crab (Limulus polyphemus) Cardiac Mitochondria. J. Exp. Zool. 1994, 270, 417–425. [Google Scholar] [CrossRef]
- Perrino, L.A.; Pierce, S.K. Choline Dehydrogenase Kinetics Contribute to Glycine Betaine Regulation Differences in Chesapeake Bay and Atlantic Oysters. J. Exp. Zool. 2000, 286, 250–261. [Google Scholar] [CrossRef]
- Jahn, M.P.; Cavagni, G.M.; Kaiser, D.; Kucharski, L.C. Osmotic Effect of Choline and Glycine Betaine on the Gills and Hepatopancreas of the Chasmagnathus Granulata Crab Submitted to Hyperosmotic Stress. J. Exp. Mar. Biol. Ecol. 2006, 334, 1–9. [Google Scholar] [CrossRef]
- Treberg, J.R.; Driedzic, W.R. The Accumulation and Synthesis of Betaine in Winter Skate (Leucoraja ocellata). Comp. Biochem. Physiol. A. Mol. Integr. Physiol. 2007, 147, 475–483. [Google Scholar] [CrossRef]
- Weretilnyk, E.A.; Hanson, A.D. Molecular Cloning of a Plant Betaine-Aldehyde Dehydrogenase, an Enzyme Implicated in Adaptation to Salinity and Drought. Proc. Natl. Acad. Sci. USA 1990, 87, 2745–2749. [Google Scholar] [CrossRef]
- Valenzuela-Soto, E.M.; Muñoz-Clares, R.A. Purification and Properties of Betaine Aldehyde Dehydrogenase Extracted from Detached Leaves of Amaranthus hypochondriacus L. Subjected to Water Deficit. J. Plant Physiol. 1994, 143, 145–152. [Google Scholar] [CrossRef]
- Muñoz-Clares, R.A.; Valenzuela-Soto, E.M. Betaine aldehyde dehydrogenases: Evolution, physiological functions, mechanism, kinetics, regulation, structure, and stability. In Avance in Protein Physical Chemistry; García-Hernández, E., Fernández-Velasco, D.A., Eds.; Advances in Protein Physical Chemistry; Transworld Research Network: Trivandrum, India, 2008; pp. 279–302.25. [Google Scholar]
- Delgado-Gaytán, M.F.; Hernández-Palomares, M.L.E.; Soñanez-Organis, J.G.; Muhlia-Almazán, A.; Sánchez-Paz, A.; Stephens-Camacho, N.A.; Valenzuela-Soto, E.M.; Rosas-Rodríguez, J.A. Molecular Characterization and Organ-Specific Expression of the Gene That Encodes Betaine Aldehyde Dehydrogenase from the White Shrimp Litopenaeus vannamei in Response to Osmotic Stress. Comp. Biochem. Physiol. B Biochem. Mol. Biol. 2015, 189, 40–46. [Google Scholar] [CrossRef] [PubMed]
- Delgado-Gaytán, M.F.; Gómez-Jiménez, S.; Gámez-Alejo, L.A.; Rosas-Rodríguez, J.A.; Figueroa-Soto, C.G.; Valenzuela-Soto, E.M. Effect of Salinity on the Synthesis and Concentration of Glycine Betaine in Osmoregulatory Tissues from Juvenile Shrimps Litopenaeus vannamei. Comp. Biochem. Physiol. A. Mol. Integr. Physiol. 2020, 240, 110628. [Google Scholar] [CrossRef] [PubMed]
- Soñanez-Organis, J.G.; Miranda-Cruz, M.M.; Poom-Llamas, J.J.; Stephens-Camacho, N.A.; Adan-Bante, N.P.; Rosas-Rodríguez, J.A. Betaine Aldehyde Dehydrogenase Is Regulated during WSSV Infection in White Shrimp. Invertebr. Surviv. J. 2019, 16, 113–119. [Google Scholar] [CrossRef]
- Kumar, V.; Roy, S.; Behera, B.K.; Bossier, P.; Das, B.K. Acute Hepatopancreatic Necrosis Disease (AHPND): Virulence, Pathogenesis and Mitigation Strategies in Shrimp Aquaculture. Toxins 2021, 13, 524. [Google Scholar] [CrossRef] [PubMed]
- OIE Chapter 2.2.1. Acute hepatopancreatic necrosis disease. In Manual of Diagnostic Tests for Aquatic Animals; World Organisation for Animal Health (WOAH): Paris, France, 2019.
- Nunan, L.; Lightner, D.; Pantoja, C.; Gomez-Jimenez, S. Detection of Acute Hepatopancreatic Necrosis Disease (AHPND) in Mexico. Dis. Aquat. Organ. 2014, 111, 81–86. [Google Scholar] [CrossRef] [PubMed]
- Soto-Rodriguez, S.A.; Gomez-Gil, B.; Lozano-Olvera, R.; Betancourt-Lozano, M.; Morales-Covarrubias, M.S. Field and Experimental Evidence of Vibrio Parahaemolyticus as the Causative Agent of Acute Hepatopancreatic Necrosis Disease of Cultured Shrimp (Litopenaeus vannamei) in Northwestern Mexico. Appl. Environ. Microbiol. 2015, 81, 1689–1699. [Google Scholar] [CrossRef]
- Sakazaki, R. Parahaemolyticus. In Encyclopedia of Food Sciences and Nutrition; Elsevier: Amsterdam, The Netherlands, 2003; pp. 5988–5992. ISBN 978-0-12-227055-0. [Google Scholar]
- Bej, A.K.; Patterson, D.P.; Brasher, C.W.; Vickery, M.C.L.; Jones, D.D.; Kaysner, C.A. Detection of Total and Hemolysin-Producing Vibrio parahaemolyticus in Shellfish Using Multiplex PCR Amplification of Tl, Tdh and Trh. J. Microbiol. Methods 1999, 36, 215–225. [Google Scholar] [CrossRef] [PubMed]
- Han, J.E.; Tang, K.F.J.; Pantoja, C.R.; White, B.L.; Lightner, D.V. qPCR Assay for Detecting and Quantifying a Virulence Plasmid in Acute Hepatopancreatic Necrosis Disease (AHPND) Due to Pathogenic Vibrio parahaemolyticus. Aquaculture 2015, 442, 12–15. [Google Scholar] [CrossRef]
- Zhang, X.; Sun, J.; Chen, F.; Qi, H.; Chen, L.; Sung, Y.Y.; Huang, Y.; Lv, A.; Hu, X. Phenotypic and Genomic Characterization of a Vibrio parahaemolyticus Strain Causing Disease in Penaeus vannamei Provides Insights into Its Niche Adaptation and Pathogenic Mechanism. Microb. Genom. 2021, 7, 000549. [Google Scholar] [CrossRef] [PubMed]
- Grijalva-Chon, J.; Barraza-Guardado, R. Distribution and Abundance of Postlarvae and Juveniles of Shrimps of the Genus Penaeus in Kino Bay and La Cruz Lagoon, Sonora, Mexico. Cienc. Mar. 1992, 18, 153–169. [Google Scholar] [CrossRef][Green Version]
- Grieve, C.M.; Grattan, S.R. Rapid Assay for Determination of Water Soluble Quaternary Ammonium Compounds. Plant Soil 1983, 70, 303–307. [Google Scholar] [CrossRef]
- Guzman-Partida, A.M.; Valenzuela-Soto, E.M. Porcine Kidney Betaine Aldehyde Dehydrogenase: Purification and Properties. Comp. Biochem. Physiol. B Biochem. Mol. Biol. 1998, 119, 485–491. [Google Scholar] [CrossRef] [PubMed]
- Bradford, M.M. A Rapid and Sensitive Method for the Quantitation of Microgram Quantities of Protein Utilizing the Principle of Protein-Dye Binding. Anal. Biochem. 1976, 72, 248–254. [Google Scholar] [CrossRef]
- Gilles, R.; Péqueux, A. Cell Volume Regulation in Crustaceans: Relationship between Mechanisms for Controlling the Osmolality of Extracellular and Intracellular Fluids. J. Exp. Zool. 1981, 215, 351–362. [Google Scholar] [CrossRef]
- Bouaricha, N.; Thuet, P.; Charmantier, G.; Charmantier-Daures, M.; Trilles, J.-P. Na+-K+ ATPase and Carbonic Anhydrase Activities in Larvae, Postlarvae and Adults of the Shrimp Penaeus japonicus (Decapoda, Penaeidea). Comp. Biochem. Physiol. A Physiol. 1991, 100, 433–437. [Google Scholar] [CrossRef]
- Morris, S.; Edwards, T. Control of Osmoregulation via Regulation of Activity in the Amphibious Purple Shore Crab Leptograpsus variegatus. Comp. Biochem. Physiol. C Pharmacol. Toxicol. Endocrinol. 1995, 112, 129–136. [Google Scholar] [CrossRef]
- Shinagawa, A.; Suzuki, T.; Konosu, S. Preliminary Studies On the Effects of Salinity On Intracellular Nitrogenous Osmolytes in Various Tissues and Hemolymph of the Japanese Spiny lobster, Panulirus japonicus (Von Siebold, 1824). Crustaceana 1995, 68, 129–137. [Google Scholar] [CrossRef]
- Delgado-Gaytán, M.F.; Rosas-Rodríguez, J.A.; Yepiz-Plascencia, G.; Figueroa-Soto, C.G.; Valenzuela-Soto, E.M. Cloning and Molecular Characterization of the Betaine Aldehyde Dehydrogenase Involved in the Biosynthesis of Glycine Betaine in White Shrimp (Litopenaeus vannamei). Chem. Biol. Interact. 2017, 276, 65–74. [Google Scholar] [CrossRef] [PubMed]
- Tran, L.; Nunan, L.; Redman, R.; Mohney, L.; Pantoja, C.; Fitzsimmons, K.; Lightner, D. Determination of the Infectious Nature of the Agent of Acute Hepatopancreatic Necrosis Syndrome Affecting Penaeid Shrimp. Dis. Aquat. Organ. 2013, 105, 45–55. [Google Scholar] [CrossRef] [PubMed]
- Ghenem, L.; Elhadi, N.; Alzahrani, F.; Nishibuchi, M. Vibrio parahaemolyticus: A Review on Distribution, Pathogenesis, Virulence Determinants and Epidemiology. Saudi J. Med. Med. Sci. 2017, 5, 93. [Google Scholar] [CrossRef]
- Garin-Fernandez, A.; Glöckner, F.O.; Wichels, A. Genomic Characterization of Filamentous Phage vB_VpaI_VP-3218, an Inducible Prophage of Vibrio parahaemolyticus. Mar. Genom. 2020, 53, 100767. [Google Scholar] [CrossRef] [PubMed]
- Lee, C.-T.; Chen, I.-T.; Yang, Y.-T.; Ko, T.-P.; Huang, Y.-T.; Huang, J.-Y.; Huang, M.-F.; Lin, S.-J.; Chen, C.-Y.; Lin, S.-S.; et al. The Opportunistic Marine Pathogen Vibrio parahaemolyticus Becomes Virulent by Acquiring a Plasmid That Expresses a Deadly Toxin. Proc. Natl. Acad. Sci. USA 2015, 112, 10798–10803. [Google Scholar] [CrossRef]
- Stephens-Camacho, N.A.; Muhlia-Almazan, A.; Sanchez-Paz, A.; Rosas-Rodriguez, J.A. Surviving environmental stress: The role of betaine aldehyde dehydrogenase in marine crustaceans. Invertebr. Surviv. J. 2015, 12, 66–74, ISSN 1824-307X. [Google Scholar]
- Yancey, P.H.; Clark, M.E.; Hand, S.C.; Bowlus, R.D.; Somero, G.N. Living with Water Stress: Evolution of Osmolyte Systems. Science 1982, 217, 1214–1222. [Google Scholar] [CrossRef]
- Kültz, D. Molecular and evolutionary basis of the cellular stress response. Annu. Rev. Physiol. 2005, 67, 225–257. [Google Scholar] [CrossRef] [PubMed]





| Primer Name | Target Species | Primer Sequence (5′-3′) | Amplicon Size | Reference |
|---|---|---|---|---|
| Vptl-450-F | V. parahaemolyticus | AAAGCGGATTATGCAGAAGCACTG | 450 bp | [33] |
| Vpttl-450-R | GCTACTTTCTAGCATTTTCTCTGC | |||
| PirA-F | AHPND toxin | TGACTATTCTCACGATTGGACTG | 284 bp | [34] |
| PirA-R | CACGACTAGCGCCATTGTTA | |||
| PirB-F | TGATGAAGTGATGGGTGCTC | 392 bp | ||
| PirB-R | TGTAAGCGCCGTTTAACTCA |
Disclaimer/Publisher’s Note: The statements, opinions and data contained in all publications are solely those of the individual author(s) and contributor(s) and not of MDPI and/or the editor(s). MDPI and/or the editor(s) disclaim responsibility for any injury to people or property resulting from any ideas, methods, instructions or products referred to in the content. |
© 2025 by the authors. Licensee MDPI, Basel, Switzerland. This article is an open access article distributed under the terms and conditions of the Creative Commons Attribution (CC BY) license (https://creativecommons.org/licenses/by/4.0/).
Share and Cite
Gomez-Jimenez, S.; Valenzuela-Soto, E.M.; Zamorano-Apodaca, J.C.; Gamez-Alejo, L.A.; Muñoz-Bacasehua, C. Glycine Betaine Levels and BADH Activity of Juvenile Shrimp Litopenaeus vannamei in Response to Vibrio Bacterial Infection and Sudden Hyperosmotic Stress. Aquac. J. 2025, 5, 4. https://doi.org/10.3390/aquacj5010004
Gomez-Jimenez S, Valenzuela-Soto EM, Zamorano-Apodaca JC, Gamez-Alejo LA, Muñoz-Bacasehua C. Glycine Betaine Levels and BADH Activity of Juvenile Shrimp Litopenaeus vannamei in Response to Vibrio Bacterial Infection and Sudden Hyperosmotic Stress. Aquaculture Journal. 2025; 5(1):4. https://doi.org/10.3390/aquacj5010004
Chicago/Turabian StyleGomez-Jimenez, Silvia, Elisa M. Valenzuela-Soto, Julio C. Zamorano-Apodaca, Luis A. Gamez-Alejo, and Cesar Muñoz-Bacasehua. 2025. "Glycine Betaine Levels and BADH Activity of Juvenile Shrimp Litopenaeus vannamei in Response to Vibrio Bacterial Infection and Sudden Hyperosmotic Stress" Aquaculture Journal 5, no. 1: 4. https://doi.org/10.3390/aquacj5010004
APA StyleGomez-Jimenez, S., Valenzuela-Soto, E. M., Zamorano-Apodaca, J. C., Gamez-Alejo, L. A., & Muñoz-Bacasehua, C. (2025). Glycine Betaine Levels and BADH Activity of Juvenile Shrimp Litopenaeus vannamei in Response to Vibrio Bacterial Infection and Sudden Hyperosmotic Stress. Aquaculture Journal, 5(1), 4. https://doi.org/10.3390/aquacj5010004

