Abstract
Pigs are important translational research models for wound healing due to their skin, which is similar to human skin in terms of anatomy and physiology. Porcine wound models have been developed and used for years to study wound healing and evaluate various therapeutic agents. However, the study of porcine wound healing is multilayered as it involves not just the complex biological processes of wound healing but also cost, animal housing, handling, staff experience, and challenges such as procedural risks and human resources. In this review article, we discuss the various challenges of the model. Investigators using pig models should be well informed of the challenges of the porcine wound model to prevent possible problems and complications.
1. Introduction
The study of wound healing is multifaceted as it involves the wound environment, complex biological processes, and different stages of wound repair. Animal wound models have been developed and used over the last three decades to study the pathophysiology of wound healing and evaluate the efficacy and safety of potential therapeutic agents.
The selection of animal models depends on several factors such as cost, availability, housing, handling, investigator and staff experience, and similarity to humans [1]. Pigs have become significant translational research models and have been used predominantly as preclinical models in wound healing strategies [2,3,4]. This is due to their skin being nearly identical to human skin in terms of anatomy and physiology. Furthermore, their size also allows for a higher number of wounds and larger wound models. Commonly used breeds are Yorkshire, Landrace, and crossbreeds. However, despite the advantages, there are multiple challenges of the porcine wound model, such as cost, human resources, procedural risks, etc. In this paper, we briefly mention the similarity of porcine skin to human skin. We then dissect the various challenges of the model [5,6].
2. Porcine Skin
Various studies suggest that porcine skin is the most accurate model for human skin based on anatomy, physiology, histology, morphology, and immunogenicity [7,8]. Porcine wound models have been used to study several wound healing pathologies, including chronic nonhealing wounds [9], diabetic wounds, infected wounds [10], burns [1,11], and hypertrophic scars [7].
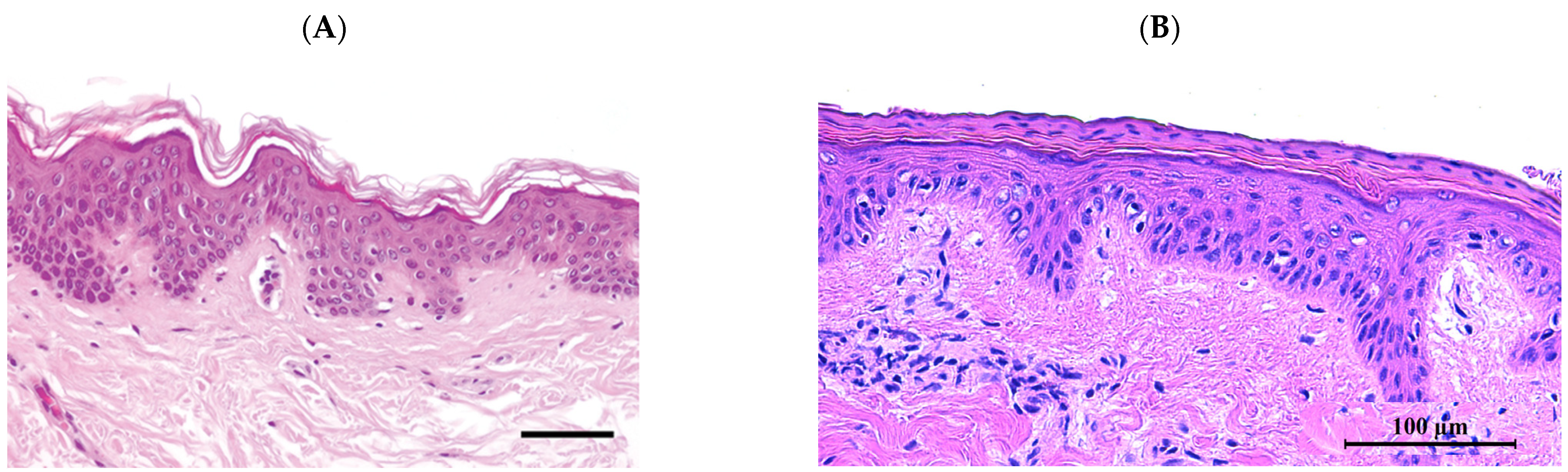
Pigs have epidermal and dermal thicknesses and related ratios that are similar to human skin [4,11,12]. Epidermal thickness in pig is about 30–140 µm, while the human epidermis ranges from 50 to 120 µm. Dermal thickness in pigs is approximately 3 mm, and subcutaneous adipose tissue thickness is about 21–26 µm [12,13,14]. The epidermal turnover time is around 30 days, which is functionally analogous to human skin, which is every 40–56 days [15]. Porcine skin is adherent to the underlying structures, unlike rodent and canine skin [16]. These characteristics are shown in Table 1 and Figure 1. Furthermore, percutaneous permeability and transdermal absorption in pigs are similar to human skin [17].
Table 1.
Human skin and porcine skin similarities and differences.
Figure 1.
H&E staining of (A) human skin [18] and (B) pig skin.
The rete ridges and dermal papillary bodies in pigs are well developed. Keratinous proteins, stratum corneum lipids, dermal collagen, and elastin configuration and composition are similar to human skin. Pigs’ stratum corneum contains similar filament density and areas of overlapping cells [12,13,14]. Furthermore, dermal metabolism, immunological composition, and response to growth factors are comparable. Both human and pig skin express phase I and II enzymes and have been shown to be active metabolically towards xenobiotics [10].
Porcine skin blood vessel distribution, size, and location are similar to human skin. However, the vascular structure of human skin is superior, as the subdermal plexus is less developed in pig skin, and there is less dermal vascularity [7,10,19].
The number of adnexal structures is comparable but not identical. Like humans, pigs have sparse body hair and a similar follicular structure [5,6]. Pigs do not have eccrine glands, and apocrine glands are distributed throughout the skin surface [6,17].
Physiological healing in pigs is similar and comparable to humans [1]. Partial-thickness wounds in pigs heal by re-epithelialization, unlike small mammals, who rely on wound contracture for wound closure [12,13,19]. Full-thickness wounds heal by contraction [7,8].
Thus, pigs are more reliable in predicting human wound healing results, which has led to valuable insights into principles of wound healing and management [1]. The currently accepted notion that a moist wound environment accelerates healing, based on experiments in pigs, is a good example [19]. The porcine wound model allows for an in-depth examination of the wound healing process which is not otherwise possible [1,5,15].
However, despite the advantages of the porcine wound model, there are numerous challenges.
3. Ethical Considerations
The ethics of the porcine model are very important as the pig is an intelligent animal which needs to be taken care of and, therefore, requires tailored and complex care. There should be some considerations given before pig studies are conducted, including the following: ethics; what is the scientific knowledge gain; the principle of no alternative method being available; what questions can be answered in a pig model; the principle of there being sufficient value to justify harm; the principle of not causing unnecessary harm; the basic needs of the animals; and the principle of there being an upper limit to the harm caused. The three principles of replacement, reduction, and refinement should be considered, and goals should be tailored to having a potential to contribute to scientific knowledge, medical advancement, or societal benefit [20].
4. Cost
Pigs are expensive to purchase and maintain [4,14]. Their large size makes them more difficult to manage and necessitates an experienced veterinarian, dedicated staff, and large housing [21]. Thus, the cost of personnel, space, food, technical equipment, and logistics is a limiting factor, particularly if a large number of pigs are needed to reach statistically significant results [22]. Pigs require secure housing with specific construction standards and toys for environmental enrichment [23,24]. Also, pigs have a higher risk of infection, demanding greater care and expenditure, especially post procedure [16,22]. The high cost of purchase, transport, and maintenance, which increases daily, is a cost–benefit challenge for some research facilities [25,26,27].
5. Size
The rapid growth rate of pigs limits their usefulness in chronic studies [4,12]. Even the smallest pigs are capable of overpowering research personnel. Larger pigs are difficult to handle and are an occupational safety hazard for the staff [3,27]. As a rule, pigs should not be used in protocols longer than 4 to 6 weeks, depending on the weight of the pig at the start of the study [3].
Pigs also tend to have more considerable morbidity compared to smaller animals. Because of their size, they are more prone to infection, putting them at risk for sepsis [24,28].
6. Stress
Pigs should be housed and handled in a non-stressful manner because some pigs can be susceptible to stress, which is quite common [10,24,25,29]. They often lose 10% of their weight during a relatively short truck ride or surgical procedure. They are susceptible to stress-induced diarrhea, gastric ulceration, and stress-induced respiratory disease [4,6,22]. This is the reason why pigs have to be conditioned at the animal facility for at least one to two weeks before any experiment is conducted to let them recuperate, adjust to personnel, the environment, and the food [1,4,6,23].
7. Fasting
The standard pre-procedural fasting time for pigs is at least 12 h [6]. If the stomach is full, it may increase the risk of gastric dilation and the regurgitation of food, which may be aspirated, resulting in pneumonia [6,22]. Furthermore, an overloaded stomach can produce significant pressure on the diaphragm, leading to a decreased pulmonary functional residual capacity and alveolar ventilation [30]. Blankets and towels must be removed inside the pen to prevent intestinal impaction or choking, as fasted pigs tend to chew on anything [22,31].
8. Anesthesia
The choice of anesthetic protocols for various procedures depends on the experience of the veterinarian and the staff. The anesthetic protocol is also chosen with careful consideration of the potential complications that a particular protocol may have on the research being conducted [22,26,31,32]. All inhalational anesthetics decrease coronary blood flow and depress myocardial contractility in a dose-dependent manner, which can lead to cardiac problems. These effects can be minimized by choosing the right agent for the right procedure and conducting meticulous monitoring, which requires an investment in equipment both for administration of the anesthetic and the monitoring of physiological parameters [33]. The staff must also be adequately trained in the techniques and monitoring involved [31,32].
Furthermore, the orotracheal intubation of pigs is technically demanding and challenging. This is due to the pig’s oral anatomy, the presence of excess tissue in the oropharyngeal region, and copious saliva. This requires well-trained staff to perform the procedure successfully [34,35,36]. Pigs are very susceptible to laryngospasm and edema of the laryngeal mucosa; thus, repeated attempts to intubate become increasingly more difficult if the pig is not intubated on the first attempt. Moreover, laryngeal perforation during standard orotracheal intubation can occur [34,35,36]. Other complications include esophageal or endobronchial intubation leading to hypoventilation, cyanosis, and hypoxemia, inadvertent extubation, or partial or total tube occlusion [26,32,36].
Extubation can take place when the pig is moving and fighting against the endotracheal tube. However, laryngeal edema and laryngospasm can persist, and the pig may present with signs of respiratory distress [6,30,35]. Furthermore, apnea frequently occurs when the tube is removed. Chest compression or stimulation of the pharynx and epiglottis may have to be performed to start spontaneous respiration. The pig may have to be reintubated and resuscitated [26,31,33].
9. Malignant Hyperthermia (MH)
Malignant hyperthermia is a genetic hypermetabolic condition in particular breeds of domestic pigs and is not reported in miniature pigs. Pigs commonly affected have a high ratio of muscle to total body mass and a rapid growth rate, including the Landrace, Yorkshire, Hampshire, Spotted, Poland–China, and Pietrain breeds [3,6]. MH can be triggered in a susceptible animal by any type of stress, such as a change in environment, induced excitement, restraint, transport, blood sampling, and, particularly, inhalational and injectable anesthetics and paralytic agents [6,22].
MH typically presents with a rapid rise in core body temperature and hypercapnia, followed by muscle fasciculation, rigidity, tachypnea, tachycardia, arrhythmia, hypoxemia, and metabolic acidosis [4].
Prognosis is usually poor in susceptible pigs despite immediate aggressive treatments. Mortality is often due to the result of cardiac failure [31,32]. Treatment is mostly symptomatic and performed by discontinuing the triggering agent, cooling the pig, and administrating dantrolene [31,32].
10. Hypothermia
Pigs are also more susceptible to hypothermia because of their sparse hair, the surgical prep, and the use of paralytic and anesthetic agents that can induce peripheral vasodilation. This is important to note particularly in wound models, where normal thermoregulation is disrupted [37]. In the operating or procedure room, pigs should be covered in warm blankets and completely draped to prevent heat loss [37]. Profound hypothermia can cause a significant depression of hemodynamic functions [37].
Furthermore, the housing environment must be thermoregulated as the pigs are separated from one another, thus removing the ability of the pig to regulate its temperature by huddling with other pigs [4,22]. This can have implications on the wellbeing of the pigs, resulting in physiological and behavioral changes leading to increased morbidity and mortality [25,27].
11. Cardiac Problems
Pigs are predisposed to anesthetic-induced cardiac arrhythmias that can be fatal. Therefore, they need to be monitored at least by ECG throughout the procedure. Cardiac arrhythmias are more common when using anesthetics that have a proarrhythmic effect on the myocardium, such as halothane, xylazine, and zolazepam. Large breeds are more susceptible [14,33,38].
Some large breeds are also prone to congenital heart defects. Auscultation of the pig before anesthesia is useful for detecting these conditions and add additional precautions during the procedure [4,39].
12. Respiratory Problems
Some herds of domestic pigs may have chronic respiratory diseases that can be determined through auscultation [22,26,30]. The procedure can be delayed or the type of anesthesia can be modified accordingly.
The pig’s pulmonary tissue is sensitive to overventilation, which can lead to emphysematous bullae, pneumothorax, and pneumoperitoneum. A trained veterinarian or tech is needed to provide a proper ventilation rate during anesthesia. It is imperative to conduct monitoring with pulse oximetry, arterial blood gasses, or end-tidal CO2 to ensure proper ventilation [3,6].
13. Infection
The incidence of infectious disease in research laboratory pigs is generally minimal. These pigs are raised specifically for use in biomedical research and are purchased from herds with a defined health status [4,14,33]. They are quarantined and conditioned prior to any procedure, and housing conditions are optimal to minimize stress. However, stressful procedures disrupt the pig’s normal defense mechanism, which can cause opportunistic diseases occurring more often in pigs with weakened immune system or severe infections [4,22,29].
Respiratory disease is a common health concern for pigs in the laboratory [24,28,30]. Potential bacterial and opportunistic pathogens colonize the nasal cavity of pigs. Causative pathogens that can lead to respiratory complications include but are not limited to Pasteurella multocida, Bordetella bronchiseptica, Haemophilus parasuis, Actinobacillus pleuropneumoniae, Mycoplasma spp., Streptococcus suis, Metastrongylus spp., influenza virus, and cytomegalovirus [6,23,24,32]. Some respiratory infections have low complication rates but can still affect anesthesia and ventilation. Other complications can lead to the termination of a porcine wound study [3,22].
Gastrointestinal diseases, presenting as diarrhea and a reduced dietary intake, may be seen in pigs, which can be associated with a single cause of infection or a variety of enteric bacterial infections. Common pathogens include but are not limited to Brachyspira hyodysenteriae, Lawsonia intracellularis, Campylobacter-like organisms, Clostridium perfringens, Transmissible gastroenteritis virus (TGEV), and Giardia intestinalis [14,27,33]. The morbidity and mortality associated with infectious diarrhea make clinically affected pigs unsuitable for procedures.
Infections in a porcine wound model can be prevented by proper sanitation, the control of concomitant diseases, the control of temperature and humidity, and eliminating dust in the housing facility [3,4]. Concurrently, reducing stress of any type, adequate nutrition, vaccination, prophylactic antibiotics, medicated feeds, and water may be beneficial [3,4]. The use of prophylactic antibiotics is strongly recommended in wound healing models unless they are contraindicated by the study protocol [6].
14. Porcine Dermatitis and Nephropathy Syndrome (PDNS)
PDNS is an important emerging syndrome in North America and is infrequently reported [25,33]. It is an immune complex-mediated disorder triggered by initiating agents such as cleaning chemicals, medication, food, virus (porcine circovirus type 3), and other endogenous allergens. It is characterized by severe necrotizing vasculitis lesions involving the dermis and subcutaneous tissue, with lesions in the kidneys, spleen, and lungs. Pigs are generally euthanized for humane reasons [24,25,28].
The prevention of PDNS in research facilities is difficult. Measures to minimize risk can be taken, such as careful inspection of the pigs with particular attention to skin lesions upon arrival and during their length of stay in the facility. A vigilant and experienced eye is important [22,33].
15. Wounds
The major challenge of the porcine wound model is protecting the wound post procedure, particularly the first few weeks [5,12,15]. Choosing the optimal location of the wound to prevent the animal from scratching the wound site is impossible if the pig has multiple wounds, as can be seen in Figure 2. The pig will either try to scratch the area with its mouth or rub the area along the sides of its pen or even along the watering system, rubbing it with considerable force. Neighboring pigs can also bite the dressing off [9,10,21,40].
Figure 2.
Pig wound locations/map.
Furthermore, finding the proper dressing technique can be challenging. The dressing should be durable enough to secure the wound but comfortable enough to limit stress on the pig [5]. Jacket systems for pigs have been designed, but they are not enough to protect the wound from vigorous scratching. Dressings might need to be changed every 2–3 days, or earlier if they become contaminated with moisture, urine, or feces [5,6,12].
Scratching and wound contamination may compromise the experiment or lead to infection [5,29,40].
16. Conclusions
The porcine wound healing model is highly valuable in biomedical research studies due to its physiological and anatomical similarities to humans. Pigs have comparable epidermal thickness, dermal structure, and the epidermal turnover period, making them the ideal animal wound healing model. However, the translational benefit does not come without its challenges.
Although complications and mortality are not commonly reported, they can lead to increased costs of care, the loss of time and research data, and the need to procure another pig. The research facility’s veterinarian should always review the supplier’s database to make sure the pigs are of sufficient quality to meet the needs of the research. Moreover, investigators should be aware of the possible complications of the porcine wound model and closely coordinate and communicate with the veterinarian and animal facility staff to anticipate and mitigate some of these complications. Despite these challenges, the benefits of the porcine wound healing model in advancing our understanding of wound biology and the development of new treatments cannot be overstated. It holds a key role in preclinical research, shortening the gap between in vitro studies and clinical trials.
Author Contributions
Conceptualization, M.E. and Y.C.; resources, M.F.H. and N.J.; writing—original draft preparation, M.E. and A.D.; writing—review and editing, G.R., M.F.H. and Y.C.; visualization, M.E. and Y.C.; supervision, M.G.J. All authors have read and agreed to the published version of the manuscript.
Funding
This research received no external funding.
Conflicts of Interest
The authors declare no conflict of interest.
References
- Abdullahi, A.; Amini-Nik, S.; Jeschke, M.G. Animal models in burn research. Cell. Mol. Life Sci. 2014, 71, 3241–3255. [Google Scholar] [CrossRef]
- Sullivan, D.R.; Marx, B.; Chen, M.S.; Depue, B.E.; Hayes, S.M.; Hayes, J.P. Behavioral and neural correlates of memory suppression in PTSD. J. Psychiatr. Res. 2019, 112, 30–37. [Google Scholar] [CrossRef] [PubMed]
- Swindle, M.M.; Smith, A.C. Best Practices for Performing Experimental Surgery in Swine. J. Investig. Surg. 2013, 26, 63–71. [Google Scholar] [CrossRef] [PubMed]
- Smith, A.C.; Swindle, M.M. Preparation of Swine for the Laboratory. ILAR J. 2006, 47, 358–363. [Google Scholar] [CrossRef]
- Fleischmann, T.; Nicholls, F.; Lipiski, M.; Arras, M.; Cesarovic, N. Transplantation of Autologous Dermo-Epidermal Skin Substitutes in a Pig Model. In Skin Tissue Engineering; Böttcher-Haberzeth, S., Biedermann, T., Eds.; Methods in Molecular Biology; Springer: New York, NY, USA, 2019; Volume 1993, pp. 251–259. [Google Scholar] [CrossRef]
- Swindle, M.; Smith, A. (Eds.) Swine in the Laboratory: Surgery, Anesthesia, Imaging, and Experimental Techniques, 3rd ed.; CRC Press: Boca Raton, FL, USA, 2015. [Google Scholar] [CrossRef]
- Cuttle, L.; Kempf, M.; Phillips, G.E.; Mill, J.; Hayes, M.T.; Fraser, J.F.; Wang, X.-Q.; Kimble, R.M. A porcine deep dermal partial thickness burn model with hypertrophic scarring. Burns 2006, 32, 806–820. [Google Scholar] [CrossRef]
- Tuca, A.C.; de Mattos, I.B.; Funk, M.; Markovic, D.; Winter, R.; Lemarchand, T.; Kniepeiss, D.; Spendel, S.; Hartmann, B.; Ottoman, C.; et al. A Standardized Porcine Model for Partial-Thickness Wound Healing Studies: Design, Characterization, Model Validation, and Histological Insights. Int. J. Mol. Sci. 2024, 25, 7658. [Google Scholar] [CrossRef] [PubMed]
- Dai, T.; Kharkwal, G.B.; Tanaka, M.; Huang, Y.-Y.; de Arce, V.J.B.; Hamblin, M.R. Animal models of external traumatic wound infections. Virulence 2011, 2, 296–315. [Google Scholar] [CrossRef] [PubMed]
- Dai, T.; Tanaka, M.; Huang, Y.Y.; Hamblin, M.R. Chitosan preparations for wounds and burns: Antimicrobial and wound-healing effects. Expert Rev. Anti-Infect. Ther. 2011, 9, 857–879. [Google Scholar] [CrossRef] [PubMed]
- Dahiya, P. Burns as a model of SIRS. Front. Biosci. 2009, 14, 4962. [Google Scholar] [CrossRef]
- Sullivan, T.P.; Eaglstein, W.H.; Davis, S.C.; Mertz, P. The pig as a model for human wound healing. Wound Repair Regen. 2001, 9, 66–76. [Google Scholar] [CrossRef]
- Godin, B.; Touitou, E. Transdermal skin delivery: Predictions for humans from in vivo, ex vivo and animal models. Adv. Drug Deliv. Rev. 2007, 59, 1152–1161. [Google Scholar] [CrossRef] [PubMed]
- Bollen, P.J.A.; Hansen, A.K.; Alstrup, A.K.O. The Laboratory Swine, 2nd ed.; CRC Press: Boca Raton, FL, USA, 2010. [Google Scholar]
- Gurtner, G.C.; Werner, S.; Barrandon, Y.; Longaker, M.T. Wound repair and regeneration. Nature 2008, 453, 314–321. [Google Scholar] [CrossRef]
- Gutierrez, K.; Dicks, N.; Glanzner, W.G.; Agellon, L.B.; Bordignon, V. Efficacy of the porcine species in biomedical research. Front. Genet. 2015, 6, 293. [Google Scholar] [CrossRef] [PubMed]
- Grada, A.; Mervis, J.; Falanga, V. Research Techniques Made Simple: Animal Models of Wound Healing. J. Investig. Dermatol. 2018, 138, 2095–2105.e1. [Google Scholar] [CrossRef]
- Available online: https://commons.wikimedia.org/wiki/File:Kazem_plosone_2014_TSPyV_histology.png (accessed on 16 November 2024).
- Summerfield, A.; Meurens, F.; Ricklin, M.E. The immunology of the porcine skin and its value as a model for human skin. Mol. Immunol. 2015, 66, 14–21. [Google Scholar] [CrossRef] [PubMed]
- Hubrecht, R.; Carter, E. The 3Rs and Humane Experimental Technique: Implementing Change. Animals 2019, 9, 754. [Google Scholar] [CrossRef]
- Seaton, M.; Hocking, A.; Gibran, N.S. Porcine Models of Cutaneous Wound Healing. ILAR J. 2015, 56, 127–138. [Google Scholar] [CrossRef] [PubMed]
- Kaiser, G.M.; Heuer, M.M.; Frühauf, N.R.; Kühne, C.A.; Broelsch, C.E. General Handling and Anesthesia for Experimental Surgery in Pigs. J. Surg. Res. 2006, 130, 73–79. [Google Scholar] [CrossRef]
- Walters, E.M.; Prather, R.S. Advancing swine models for human health and diseases. Mo Med. 2013, 110, 212–215. [Google Scholar] [PubMed]
- Laber, K.E.; Whary, M.T.; Bingel, S.A.; Goodrich, J.A.; Smith, A.C.; Swindle, M.M. Biology and Diseases of Swine. In Laboratory Animal Medicine; Elsevier: Amsterdam, The Netherlands, 2002; pp. 615–673. [Google Scholar] [CrossRef]
- Fox, J.G.; Anderson, L.C.; Otto, G.M.; Pritchett-Corning, K.R.; Whary, M.T. Laboratory Animal Medicine, 3rd ed.; Elsevier/Academic Press: Amsterdam, The Netherlands, 2015. [Google Scholar]
- Costea, R.; Ene, I.; Pavel, R. Pig Sedation and Anesthesia for Medical Research. Animals 2023, 13, 3807. [Google Scholar] [CrossRef]
- Marchant-Forde, J.N.; Herskin, M.S. Pigs as laboratory animals. In Advances in Pig Welfare; Elsevier: Amsterdam, The Netherlands, 2018; pp. 445–475. [Google Scholar] [CrossRef]
- Zimmerman, J.J.; Karriker, L.A.; Ramirez, A.; Schwartz, K.J.; Stevenson, G.W.; Zhang, J. (Eds.) . Diseases of Swine, 11th ed.; Wiley Blackwell: Hoboken, NJ, USA, 2019. [Google Scholar]
- Shiff, J.; Schwartz, K.; Hausman, B.; Seshadri, D.R.; Bogie, K.M. Development and use of a porcine model with clinically relevant chronic infected wounds. J. Tissue Viability 2023, 32, 527–535. [Google Scholar] [CrossRef]
- Muirhead, M.R. Respiratory Diseases of Pigs. Br. Vet. J. 1979, 135, 497–508. [Google Scholar] [CrossRef] [PubMed]
- Fleischmann, T.; Clutton, R.E.; Haga, H.A.; Van Oostrom, H.; Weisskopf, M. Anesthesia and analgesia in laboratory pigs. In Anesthesia and Analgesia in Laboratory Animals; Elsevier: Amsterdam, The Netherlands, 2023; pp. 411–439. [Google Scholar] [CrossRef]
- Anderson, D.E.; Mulon, P.Y. Anesthesia and Surgical Procedures in Swine. In Diseases of Swine, 1st ed.; Zimmerman, J.J., Karriker, L.A., Ramirez, A., Schwartz, K.J., Stevenson, G.W., Zhang, J., Eds.; Wiley: Hoboken, NJ, USA, 2019; pp. 171–196. [Google Scholar] [CrossRef]
- Lamont, L.; Grimm, K.; Robertson, S.; Love, L.; Schroeder, C. (Eds.) Veterinary Anesthesia and Analgesia: The Sixth Edition of Lumb and Jones, 6th ed.; Wiley-Blackwell: Hoboken, NJ, USA, 2024. [Google Scholar]
- Mirra, A.; Spadavecchia, C.; Micieli, F. Intubation in Swine: What Recumbency to Choose? Animals 2022, 12, 2430. [Google Scholar] [CrossRef] [PubMed]
- Oshodi, A.; Dysart, K.; Cook, A.; Rodriguez, E.; Zhu, Y.; Shaffer, T.H.; Miller, T.L. Airway injury resulting from repeated endotracheal intubation: Possible prevention strategies. Pediatr. Crit. Care Med. 2011, 12, e34–e39. [Google Scholar] [CrossRef] [PubMed]
- Steinbacher, R.; Von Ritgen, S.; Moens, Y.P.S. Laryngeal perforation during a standard intubation procedure in a pig. Lab. Anim. 2012, 46, 261–263. [Google Scholar] [CrossRef] [PubMed]
- Muns, R.; Malmkvist, J.; Larsen, M.L.V.; Sørensen, D.; Pedersen, L.J. High environmental temperature around farrowing induced heat stress in crated sows. J. Anim. Sci. 2016, 94, 377–384. [Google Scholar] [CrossRef]
- Netzley, A.H.; Pelled, G. The Pig as a Translational Animal Model for Biobehavioral and Neurotrauma Research. Biomedicines 2023, 11, 2165. [Google Scholar] [CrossRef]
- Sridharan, D.; Pracha, N.; Rana, S.J.; Ahmed, S.; Dewani, A.J.; Alvi, S.B.; Mergaye, M.; Ahmed, U.; Khan, M. Preclinical Large Animal Porcine Models for Cardiac Regeneration and Its Clinical Translation: Role of hiPSC-Derived Cardiomyocytes. Cells 2023, 12, 1090. [Google Scholar] [CrossRef]
- Hyodo, A.; Reger, S.I.; Negami, S.; Kambic, H.; Reyes, E.; Browne, E.Z. Evaluation of a Pressure Sore Model Using Monoplegic Pigs: Plast. Reconstr. Surg. 1995, 96, 421–428. [Google Scholar] [CrossRef] [PubMed]
Disclaimer/Publisher’s Note: The statements, opinions and data contained in all publications are solely those of the individual author(s) and contributor(s) and not of MDPI and/or the editor(s). MDPI and/or the editor(s) disclaim responsibility for any injury to people or property resulting from any ideas, methods, instructions or products referred to in the content. |
© 2025 by the authors. Licensee MDPI, Basel, Switzerland. This article is an open access article distributed under the terms and conditions of the Creative Commons Attribution (CC BY) license (https://creativecommons.org/licenses/by/4.0/).

