Abstract
A two-day meeting on controversial topics in hematopathology was held in Bologna, Italy, on 19–20 January 2024. The meeting primarily targeted pathologists lacking experience in hematological neoplasms and pathologists in training. The course aimed to highlight practical diagnostic challenges faced by pathologists and discuss solutions through the application of conventional histology, along with appropriate immunohistological, genetic, and molecular findings. The teaching program included lectures and slide seminars presented by a team of expert hematopathologists who were co-authors of the WHO classification of hematolymphoid tumors. Special interest revolved around “lymphadenitis and lymphoma mimickers”, “a rational approach to low-grade B-cell lymphomas”, and “advancements in defining Hodgkin lymphoma”. A key aspect emphasized by the faculty team was the use of the fifth edition of the WHO Bluebook and the International Consensus Classification (ICC 2022) of lymphomas.
1. Introduction
Despite the complexity of hematolymphoid tumors, the current approach to lymphoma diagnosis and disease recognition is feasible and reliable using readily available and easily learned technologies. A classification of lymphoid neoplasms, wherein individual diseases are defined by a complex of clinical and laboratory features, serves as a guide for diagnosis, management, and therapy. The World Health Organization (WHO) “Classification of Tumors of Hematopoietic and Lymphoid Tissues”, initially published in 2001 [1] and subsequently updated in 2008 [2] and 2017 [3], was based on morphologic and immunophenotypic features, clinical presentation, and genomic findings. This classification garnered acceptance from pathologists, translational research scientists, and clinicians.
Recently, the criteria for diagnosing most entities have been refined in proposals by the International Consensus Classification (ICC) [4] and the WHO publication of the 2022 Classification, the Fifth Edition [5]. The two new classification systems for hematolymphoid neoplasms share some similarities and divergences [6,7,8].
A two-day meeting, organized by the University of Modena, on controversial topics concerning lymphadenitis and lymphoma mimickers, low-grade B-cell lymphomas, aggressive B- and T/NK-cell lymphomas, and Hodgkin lymphoma, was held in Bologna, Italy, on 19–20 January 2024. Seventy people attended the course. The teaching program, comprising lectures and slide seminars, primarily targeted pathologists in training, aiming to highlight practical diagnostic problems and discuss their resolution through the application of conventional histology, immunohistochemistry, and molecular genetics techniques. The presentations by the faculty team utilized terminologies employed by both new WHO and ICC classifications. This conference report summarizes the lectures presented at the meeting, except for those on extranodal large B-cell lymphomas, which will be reported separately, along with a selection of clinical cases discussed during the slide seminar sessions.
2. Lymphadenitis and the Main Lymphoma Mimickers
2.1. Generalities of Lymphadenopathies
Lymphadenopathy (LAD) is a general term used to define one or more lymph nodes with abnormal size and consistency [9]. Most of these abnormal lymph nodes are localized and are frequently due to a local or systemic infection. Peripheral LADs are mostly located in the head and neck area, and most of these are benign, self-limited, and managed conservatively. In children, in most cases, an etiology is not identifiable. Notably, benign LADs mistaken for lymphoma are the most common misdiagnosis in cancer (Table 1).
Table 1.
Lymphadenopathy (LAD). Definition and characteristics.
In the context of LAD, especially in a reactive setting, the pathologist alone may reach a correct diagnosis. However, it is usually necessary to supplement this with clinical information regarding the circumstances of the LAD’s occurrence. It is essential to know whether the patient is receiving any medication, the duration of the LAD, any associated symptoms, or B-symptoms. Additionally, complete information about the patient’s clinical examination, laboratory tests, and biological data is required (Figure 1).
Figure 1.
An integrative diagnosis of lymphadenopathy relies on clinical, biological, imaging, and histopathological findings.
The morphological recognition of lymphadenitis and its definition may be based on the histological pattern. Figure 2 shows a pattern-based histological approach to lymphadenitis diagnosis. According to this approach, the disease may be characterized by the involvement of one or more compartments of the affected lymph node, with expansion of the follicles, the interfollicular area, and the sinuses. In some cases, granulomas may be the dominant feature. Differential diagnoses vary according to the alterations in lymph node compartments (Figure 2) [9].
Figure 2.
Histopathological patterns for the specific diagnosis of lymphadenopathies (LADs), illustrating architectural alterations in lymph node compartments. H&E, 4×. Normal lymph node histology.
2.2. Mimickers of Lymphomas
This section deals with two clinical cases that were discussed within the slide seminar program. Both cases may be considered as examples of potential misdiagnoses since they are lymphoma mimickers, and lymphadenitis [10].
2.2.1. Case #1
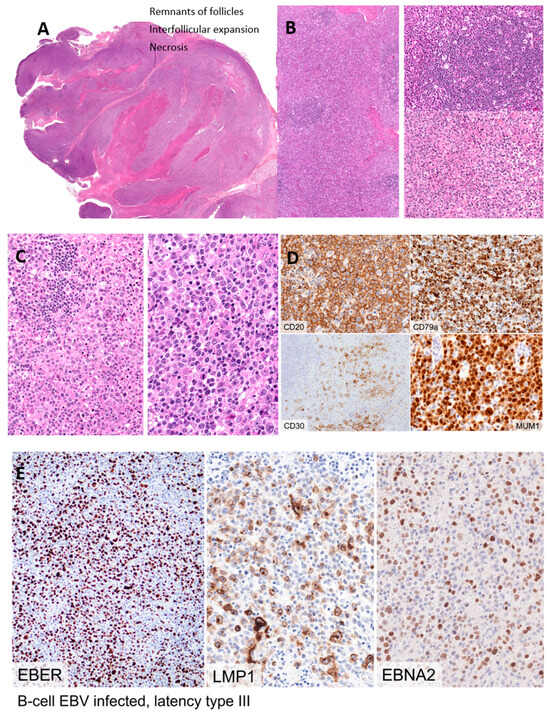
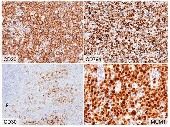
A 24-year-old male presented with fever, dysphagia, left peritonsillar phlegmon, and bilateral cervical lymphadenopathy. A bilateral tonsillectomy was performed. Figure 3 shows in detail (from A to D) the histopathologic features that can be related to lymphoid hyperplasia. In situ hybridization and immunohistochemistry demonstrated positivity for EBV with latency III (E). The microenvironment was enriched in T cells (F). A Monospot Test was performed and resulted positive.

Figure 3.
EBV-related atypical lymphoid hyperplasia in the setting of infectious mononucleosis. (A) H&E, 1×. Altered tonsillar architecture by interfollicular lymphoid hyperplasia and extensive areas of necrosis, with remnants of follicles still discernible. (B) HE, 10× Enlarged interfollicular areas due to a polymorphous lymphoid infiltrate. 20×, Residual lymphoid follicles showing regressed germinal canter. 20×, Foci of necrosis are evident. (C) 40×, The polymorphous infiltrate comprises numerous large atypical cells, small lymphocytes, immunoblasts, plasma cells, and scattered cells resembling Hodgkin/Reed–Sternberg cells. 40×, Large atypical cells form sheets, mimicking diffuse large B-cell lymphoma. (D) 40×, Immunohistochemical staining reveals that most of the large cells correspond to B-blasts positive for CD20, CD79a, and MUM1, with heterogeneous expression of CD30. (E) Furthermore, in situ hybridization demonstrates positivity for EBER (20×), along with LMP1 and EBNA2 expression (40×), consistent with EBV latency type III. (F) 40×. The microenvironment is enriched with numerous T-cells, some displaying atypia, positive for CD3, primarily consisting of cytotoxic CD8 lymphocytes expressing granzyme B. A high Ki-67 proliferation index is observed.
The diagnosis of atypical lymphoid hyperplasia in the context of EBV primary infection was performed (infectious mononucleosis) [5,11].
In infectious mononucleosis, primary infection during childhood is asymptomatic. Infectious mononucleosis during the second and third decades is associated with transient illness with fever, pharyngitis, malaise, LAD, splenomegaly, and palatal petechiae. Rare complications are rupture of the spleen, cytopenia, myocarditis, hepatitis, encephalitis/meningitis, and genital ulcer. Leukocytosis (50%) and hyper-activation of the CD8+ T-cell response can be observed. Infectious mononucleosis can occur in older adults.
The histological picture of infectious mononucleosis is worrisome because exuberant B-cell proliferation, hyperactivation of CD8+ T-cells with atypia, and TCR- oligoclonal/restricted and even clonal patterns may mimic lymphoma. Host response to the virus may persist for years.
To avoid misdiagnosis, we must pay attention to the age of the patient, clinical presentation, and EBV serology. Typical infectious mononucleosis serology presents an alteration of the normal values. Histologically, tonsil/lymph node architecture may be partially preserved with residual follicles. Morphologically, the infiltrate is polymorphous, showing a wide spectrum of B-cell differentiation sometimes exhibiting HRS-like cells. These cells are LMP1+, EBNA2+, and BZLF1+.
2.2.2. Case #2
A 13-year-old boy with a history of sickle-cell anemia, presented with a febrile vaso-occlusive crisis affecting the left arm. Clinical evaluation showed bilateral cervical LADs, with no accompanying rash or arthralgia. Laboratory workup showed regenerative normocytic anemia (Hb 7 g/dL), elevated ferritin level (2080 μg/L), and normal C-reactive protein. The patient received antibiotics, anticoagulants, and NSAID. A left cervical lymph node biopsy was performed.
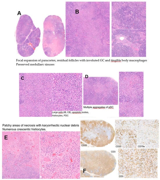
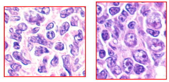
Figure 4 shows necrotizing lymphadenitis as illustrated in Figure 4A–E. Immunohistochemistry staining (Figure 4F–J) reveals paracortical expansion with many large B-cell blasts and atypical CD8+ T cells, histiocytes, plasma cells, and plasmacytoid dendritic cells (PDCs).

Figure 4.
Histiocytic necrotizing lymphadenitis (Kikuchi–Fujimoto disease). (A) HE, 1×. The lymph node architecture is partially effaced by foci of necrosis. (B) HE, 10×. Focal expansion of the paracortex is observed, along with residual involuted follicles and preserved medullary sinuses. (C) HE, 20× and 40×. Within the areas of paracortical enlargement and surrounding the necrosis, the cellular infiltrate is polymorphic, comprising large cells resembling immunoblasts or centroblasts, histiocytes, and plasmacytoid dendritic cells (C left). (D) 20× and 40×. Multiple aggregates of plasmacytoid dendritic cells are evident (keep one of the pictures, maybe D bottom right). (E) 20× and 40×. Patchy areas of necrosis exhibit karyorrhectic nuclear debris and numerous crescentic histiocytes (remove E left). (F) 2.5× and 40×. CD3 staining reveals paracortical expansion with many large T-cell blasts, few expressing CD20 and CD79a. ((G) comes after (F,J,H)). (J) 4×, 2.5×, and 40×. Atypical cells are mostly CD8-positive T-cells (we can keep only the high power 40× of CD4 and CD8). (H) 40×. They show an activated cytotoxic phenotype with expression of granzyme B and perforin and are highly proliferating (we can remove CD30). (G) 40×. Crescentic histiocytes stain positive for CD68 and MPO; few plasma cells are MUM1 positive. (I) 40×. Plasmacytoid dendritic cells stain positive for CD4, CD68, and CD123.
The diagnosis of histiocytic necrotizing lymphadenitis (Kikuchi–Fujimoto disease) (Table 2) [12] was performed.
Table 2.
Biological and pathological features for distinguishing large-cell lymphoma in the context of Kikuchi–Fujimoto disease.
Histiocytic necrotizing lymphadenitis is an uncommon, benign, self-limited disease, affecting mainly young females (mean age: 21 years). The disease is more frequently seen in Asian people. The clinical presentation is characterized by isolated cervical LAD associated with mild fever, night sweats, and leukopenia. Generalized/deep LAD and extranodal involvement are very uncommon.
Pathogenetically, histiocytic necrotizing lymphadenitis overlaps with systemic lupus erythematosus because the upregulated genes are similar. The pathogenesis is mediated by an aberrant type I interferon (IFN) response that is likely driven by PDCs and T cells. A “forme fruste” of SLE with weaker activation of IFN pathway may be observed [13].
Three histological subtypes of histiocytic necrotizing lymphadenitis can be recognized:
- (1)
- Early stage, proliferative type which is the most difficult to recognize, raising the diagnosis of large-cell lymphoma. It is characterized by patchy, prominent immunoblastic paracortical hyperplasia with large cells, mostly T-cells (CD8+, Perforin+, granzyme B+). These cells are admixed with crescentic histiocytes (MPO+), and aggregates of PDC (CD123+, CD68+). Interspersed karyorrhectic bodies are often seen.
- (2)
- The necrotizing type is characterized by patchy/mottled areas of necrosis within the paracortex with abundant karyorrhectic nuclear debris. These areas are bordered by a mixture of mononuclear cells.
- (3)
- Resolving stage; the xanthomatous type typically contains predominant foamy histiocytes, few immunoblasts, and a variable amount of necrosis. Residual, non-involved lymph node reveals a mottled appearance due to scattered immunoblasts, numerous foamy histiocytes, and proliferation of high endothelial vessels. Plasma cells are rare or absent; neutrophils are absent. EBV is not found.
Differential diagnosis with large-cell lymphoma is detailed in Table 2.
3. Rationale Approach to Low-Grade B-Cell Lymphomas
Indolent B-cell lymphomas [4,5] include small lymphocytic/CLL(Chronic lymphocytic leukemia), follicular lymphoma, mantle-cell lymphoma, extranodal marginal-zone lymphoma (MALT), splenic marginal-zone lymphoma, nodal marginal-zone lymphoma, splenic diffuse red pulp lymphoma, and lymphoplasmacytic lymphoma.
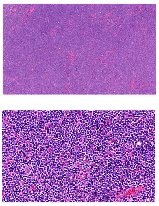
3.1. Chronic Lymphocytic Leukemia/Small B-Cell Lymphoma (Figure 5) [4,5,14,15]
Classical immunophenotypes are CD5+, CD23+, and cyclin D1−.
Figure 5.
The lymph node architecture is completely effaced by a rather monotonous small-cell lymphoid population with a regular nuclear outline.
Figure 5.
The lymph node architecture is completely effaced by a rather monotonous small-cell lymphoid population with a regular nuclear outline.

Additional flow cytometric markers are CD43, CD79b, CD81, CD200, and ROR1.
Before therapy, the mutational status of IGHV (Immunoglobulin heavy chain variable region) and TP53/17p alterations should be assessed [16,17,18,19,20].
Prognostic markers include mutations of NOTCH1, SF3B1, and BIRC3 (optional), complex karyotype (optional), and TP53/17p alterations [21].
WHO5 introduced the concept of ‘prolymphocytic progression’ [5]. CD5+ non-mantle B-cell neoplasms with >15% prolymphocytes are found in peripheral blood (PB) or bone marrow (BM).
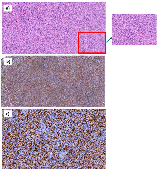
Cases with transformation may occur in chronic lymphocytic leukemia/small B-cell lymphoma (Figure 6).
Figure 6.
Composite figure showing ‘accelerated CLL’. (a) The lymph node architecture is effaced by a population spectrum ranging from small to intermediate (with prolymphocytoid/paraimmunoblastic features) to large cells; inert at higher magnification; (b) Ki67; (c) Ki67 at higher magnification.
These must be distinguished in ‘accelerated’ CLL [22] and must be kept distinct from DLBCL (Richter) and ‘Richter-like’ transformation post-ibrutinib that must be kept distinct from Richter transformation (withdrawal and re-introduction) [23].
3.2. Follicular Lymphoma
Figure 7, Figure 8 and Figure 9 show the morphologic and immunophenotypic features of follicular lymphoma.
Figure 7.
Follicular lymphoma, showing a nodular growth.
Figure 8.
Follicular lymphoma. Cytological composition and growth patterns. Centrocytes (left), centroblasts (right) Growth patterns: follicular (>75% nodular); follicular and diffuse (25–75% nodular); minimally follicular (<25%) (not shown).
Figure 9.
Composite figure of classic follicular lymphoma and its typical immunophenotypes: (A) G1 vs. G2 (HE) (B) typical immunophenotype of follicular lymphoma shows positivity to CD20; (C) CD3 negativity; (D) CD10 positivity; (E) BCL2 positivity; (F) Ki-67 (low–medium).
The classical immunophenotype is CD10+, bcl-6+, bcl-2+. In WHO5 [5], grading is optional (low reliability? Poor clinical usefulness?), whereas in ICC, it is retained even if is critical to keep grade 3A distinct from grade 3B and the utility of keeping grades 1 and 2 distinct from grade 3A is questionable [4,24,25,26,27,28,29].
Figure 8 shows the cytological composition of follicular lymphoma.
In the WHO5 [5], three categories of follicular lymphomas are recognized: the classic CB/CC and t (14;18) (Figure 8 and Figure 9) (a subtype is the diffuse growth, t (14;18)-negative, CD23-positive inguinal form) [30,31,32]; follicular large B-cell lymphoma (former grade 3B); MUM1+, or large B lymphoma with IRF4 rearrangement and Blastoid or large centrocyte variant, MUM1+ (see above).
In ICC [4], Grade 1 to 3B categories are retained. Other categories include follicular primary testicular (young age, usually grade 3); t (14;18)-negative, CD23-positive (70% diffuse, 30% follicular; not only inguinal; frequent STAT6, CREBBP, and TNFRS14 mutations and 1p36 deletion) [30,31,32].
Pediatric-type, primary duodenal, and primary cutaneous forms are retained [33,34,35,36,37]. In situ forms are called in situ neoplasia (ICC) and in situ follicular B-cell neoplasm (WHO5) [4,5]. The following mutations should be detected: MAP2K1 mutations for further confirmation of pediatric-type FL, while EZH2 mutations are important for therapeutic purposes [33,35,38].
Duodenal-Type Follicular Lymphoma (Figure 10)
In duodenal-type follicular lymphoma, a high proliferation index is useful for the diagnosis and CD10 is usually strong [39].
Figure 10.
Duodenal-type follicular lymphoma; neoplastic follicular B-cells are immunoreactive for CD20, CD10, and bcl-2, and negative for cyclin D1and CD3.
Figure 10.
Duodenal-type follicular lymphoma; neoplastic follicular B-cells are immunoreactive for CD20, CD10, and bcl-2, and negative for cyclin D1and CD3.

3.3. Mantle-Cell Lymphoma
The typical immunophenotype is CD5+, CD23−, and Cyclin D1+ (Figure 11).
Figure 11.
Mantle-cell lymphoma: neoplastic cells are immunoreactive per CD5 (top) and cyclin D1 (bottom).
Categories recognized both by ICC [4] and WHO5 [5] are:
- In situ: neoplasm (WHO5) or neoplasia (ICC)
- Conventional mantle-cell lymphoma
- Leukemic non-nodal variant
The typical genetic features are t (11;14) positivity: 95% IGH: CCND1, <5% Ig Kappa or Ig Lambda: CCND1. Translocations involving CCND2 or CCND3 (FISH and mRNA overexpression more reliable than IHC) and MYC rearrangement are found mostly in blastoid/pleomorphic variants [40,41,42,43,44,45,46,47,48].
The pathological report should highlight the morphological variants [49], Ki-67 proliferation index [50,51,52], and TP53 deletions/mutations, which may be predictive of resistance to CT, sensitivity to BTK inhibitors, and CAR-T [53,54,55].
3.3.1. Leukemic Non-Nodal Mantle-Cell Lymphoma
Leukemic non-nodal mantle-cell lymphoma [4,5] is indolent with involvement of spleen, BM and PB, with absent or irrelevant nodal disease. Characteristic is the lack of ATM or TP53 defects and possible evolution to conventional MCL. SOX11 expression is low or absent, and the somatic hypermutation overload is >98% [56].
3.3.2. Transformed Indolent B-Cell Lymphomas [4,5] Have Been Recognized Only in WHO5
Requisites for the definition of transformed indolent B-Cell lymphomas are the following:
- Low-grade and aggressive tumors should be clonally related.
- Low-grade tumors should be previous or synchronous.
- Immunophenotype is usually retained.
3.4. Marginal-Zone Lymphoma [Figure 12, Figure 13 and Figure 14]
The typical immunophenotype: CD5-, CD23-, cyclin D1-.
Figure 12.
Extranodal marginal-zone lymphoma of the MALT Type.
Figure 12.
Extranodal marginal-zone lymphoma of the MALT Type.

Figure 13.
Nodal marginal-zone lymphoma: a diffuse/pseudonodular pattern is appreciated (top). The tumoral proliferation consists of small- to medium-sized (bottom) tumor cells.
Figure 13.
Nodal marginal-zone lymphoma: a diffuse/pseudonodular pattern is appreciated (top). The tumoral proliferation consists of small- to medium-sized (bottom) tumor cells.

Figure 14.
Composite figure showing the classical immunophenotype of the tumoral cells in nodal marginal-zone lymphomas: CD20+, CD3−, Ki-67+ low.
Figure 14.
Composite figure showing the classical immunophenotype of the tumoral cells in nodal marginal-zone lymphomas: CD20+, CD3−, Ki-67+ low.

Both classifications keep cutaneous marginal distinct from other lymphomas.
ICC uses the term ‘lymphoproliferation’ instead of ‘lymphoma’ (slow growth, trend toward localized disease, conservative therapy, but recurrences are possible) [4,5]; mutations of FAS/CD95 occur in more than 60% of cases. Additional mutations are found in SLAMF1, SPEN, and NCOR2 [57].
The pediatric-type is now considered a full entity by WHO5, but is still a provisional one by ICC [4,5].
Splenic Marginal-Zone Lymphoma
In WHO5, splenic marginal-zone lymphoma belongs to the family of splenic lymphomas/leukemias (together with hairy cell leukemia, splenic lymphoma/leukemia with prominent nucleoli (SBLNP)-formerly known as ‘CD5-negative prolymphocytic leukemia and/or ‘hairy cell variant’-, and splenic diffuse red pulp small B-cell lymphoma). SBLNP differs from hairy cell leukemia in the negativity for CD25 and annexin, more aggressive clinical behavior, and poor response to monotherapy with cladribine.
Diagnostic criteria are splenomegaly and detection of BM/PB clonal B-cell populations with features of marginal zones. Characteristic (i.e., not pathognomonic) mutations involve KLF2, NOTCH2, A20, KMT2D, and TP53 [58,59,60,61,62].
4. Hodgkin Lymphoma
The definition of Hodgkin lymphoma (HL) was historically based on the identification of iconic Reed–Sternberg (RS) cells in the appropriate milieu. Although the histogenesis of RS cells and their mononuclear variants has been uncertain for a long time, in the last decades, several studies based on single-cell microdissected cell analyses demonstrated that they were derived from germinal center (GC) B-cells [63].
Nodular lymphocyte-predominant Hodgkin lymphoma (NLPHL) has been recognized as a separate clinicopathologic entity since the third edition of the WHO Classification of hematolymphoid tumors, based on major biological and clinical differences with classic Hodgkin lymphoma (CHL) [1]. The recent ICC proposed to remove NLHPL from the parent category of HL in favor of placing it under the category of mature B-cell neoplasm, using the new term “nodular lymphocyte predominant B-cell lymphoma”, since the neoplastic cells have a functional B-cell program and show a close relationship to T-cell/histiocyte-rich large B-cell lymphoma (THCRLBCL) [4]. In contrast, the WHO Classification fifth edition continues to list NLPHL under the family of HL; the existing terminology of NLPHL is maintained so as not to interfere with ongoing clinical trials; however, it is stated that the term “nodular lymphocyte predominant B-cell lymphoma” is considered acceptable in preparation for future definitive adoption of the new nomenclature [5].
4.1. Nodular Lymphocyte Predominant Hodgkin Lymphoma
NLPHL is a GC-derived B-cell neoplasm composed of scattered large neoplastic B-cells with multilobate nuclei, called lymphocyte-predominant (LP) cells within nodules mainly consisting of mantle-zone B-cells and follicular dendritic cells [64].
NLPHL is a rare tumor with an incidence of 0.11 per 100,000 persons per year and a wide age distribution but mostly occurs in children and young adults, with a male predominance [65]. NLPHL presents with early-stage disease (stage I and II) in 60% of patients and typically involves peripheral lymph nodes without extranodal, mediastinal, or hepatosplenic involvement; B symptoms occur in 15–20% of patients [1,2,3]. Rarely, NLPHL may have a genetic predisposition and is associated with primary immunodeficiency syndromes, such as Hermansky–Pulak syndrome type 2 and autoimmune lymphoproliferative syndrome [3]. The clinical course of NLPHL is typically indolent, with an overall 10 year survival of >80%; however, up to 20–30% of patients with NLPHL experience recurrences and progression to a large B-cell lymphoma, including THCRLBCL, which may occur in 3–17% of patients [66].
4.1.1. Pathology
NLPHL is characterized by partial or complete nodal architecture effacement by a nodular proliferation, sometimes with diffuse areas. Partial nodal involvement with only a few NLPHL nodules could represent a so-called in situ phase of NLPHL [67]. Scarce large neoplastic cells (LP cells) exhibiting multilobate nuclei with one or more nucleoli and pale cytoplasm are scattered within and outside the nodules; rarely, increased numbers or clusters of LP cells may be seen. The NLPHL immune microenvironment is enriched in non-neoplastic B-lymphocytes with a mantle zone phenotype, T-cells, often with activated features, and histiocytes, including epithelioid histiocytes, that may form clusters and granulomas around tumor nodules. T follicular helper (TFH) cells, positive for CD3, PD1, CD57, BCL6, CXCL13, and ICOS, typically form rosettes around LP cells, which represent a valuable feature in the diagnosis of NPHL. Immunohistochemical staining for follicular dendritic cells markers such as CD21 and CD23 is useful to highlight the expanded dendritic meshwork associated with NLPHL nodules. IgD stain, highlighting mantle B-cells, might help to show the expanded nodules/primary follicles colonized by LPcells.
LP cells typically express pan B-cell markers (CD20, CD79a) and rearranged immunoglobulins with robust expression of B-cell transcription factors PAX5, OCT2, BOB1, and PU1. CD20 and one or more of the B-cell transcription factors (BOB1, OCT2, PU.1) may be lost in rare cases [68]. GC B-cell markers (BCL6, LMO2, and HGAL) are positive except for CD10. LP cells are only rarely positive for CD30 or CD15. The LP cells are monotypic for kappa or lambda light chain expression, and this might be helpful to further confirm the diagnosis. Although EBV is usually negative in NLPHL, exceptional EBV-positive cases with uncertain clinical implications have been reported [69]. IgD expression on LP cells defines a peculiar clinicopathologic subset of NPHL with a strong male predominance, extrafollicular LP cell growth, propensity for recurrence, and potential pathogenetic relationship with Moraxella infection [70]. From a biological point of view, LP cells are clonal GC B-cells with ongoing somatic hypermutations and intraclonal diversity in their rearranged IG genes [63]. Aberrant somatic hypermutations may also target additional genes including PIM1, RhoH/TTF, PAX5, MYC, SOCs1, JUNB, DUSP2, and SGK1 [71,72,73,74]; BCL6 aberrations, including translocations or amplification, are frequent [75,76,77].
Fan et al. described six growth patterns of NLPHL, based on the combination of histologic and immunophenotypic features [78]. Patterns A and B show the most typical B-cell-rich patterns, in classic or serpiginous/interconnected nodules, and account for 75% of cases. Pattern C shows a significant number of extranodular LP cells, whereas in pattern D, nodules are enriched in small T lymphocytes. Both patterns E and F show diffuse growth patterns, but are distinguished based on the composition of the microenvironment that is enriched either with T-cells and histiocytes (E) or small B lymphocytes (F). A mixture of growth patterns is usually seen, but at least some nodularity is necessary to render a diagnosis of NLPHL. The presence of so-called variant patterns (C–F) seems to be an independent prognostic factor associated with advanced disease and higher relapse rates [79]. The value of identifying variant histology in NLPHL was recognized both by ICC and the WHO Classification fifth edition [4,5]. Progression of NLPHL to large B-cell lymphoma (DLBCL or THCRLBCL) is characterized by loss of nodular architecture and dendritic meshworks and by the transition of the tumor microenvironment from a B-cell rich background to one rich in T cells and histiocytes. Large B cells are scattered individually in TCHRLBCL, whereas in DLBCL, they form clusters and sheets.
4.1.2. Differential Diagnoses
Differential diagnosis includes THCRLBCL, the nodular variant of lymphocyte-rich CHL, progressive transformation of germinal centers (PTGC), follicular B-cell lymphomas, and peripheral T-cell lymphomas (PTCLs).
Although some overlaps do exist, the distinction between NLPHL and CHL is mainly based on the divergent immunophenotype of large, atypical cells (Table 3). Adjunct to routine immunophenotypic markers, some new molecules may be useful in separating CHL and NLPHL. STAT6 is positive in CHL and absent in LP cells [80], whereas MEF2B is positive in LP cells but not in RS cells [81]. PTGC and NLPHL may rarely co-occur both synchronously and metachronously [66,82]. Although both entities share enlarged misshapen lymphoid nodules and wide disruption of germinal centers, the separation of PTGC from NLPHL is based on the lack of LP cells in PTGC. Demonstration of TFH cells rosettes allows to clearly identify LP cells in NPHL, whereas a high number of IgG4-positive plasma cells within nodules may help to rule out NLPHL diagnosis [83]. However, in very early infiltrates, the diagnosis may be challenging, and close follow-up of the patient may be advisable. NLPHL with an increased number of TFH can rarely mimic PTCL with a TFH phenotype and/or angioimmunoblastic lymphoma. However, the most challenging issue is the differential diagnosis between NLPHL and THCRBCL (Table 3). THCRLBCL may arise de novo or progress from NLPHL, often representing a clonal evolution from the same cell of origin [1,2,3,4,5,64,84]. Data have accumulated indicating that NLPHL and THCRLBCL represent a true biologic continuum, with significant overlapping in terms of morphology, phenotype, tumor microenvironment composition, gene expression signatures, and mutational profiles as revealed by next generation sequencing [85]. Given the close relationships between NLPHL and THCRLBCL, clinical staging is crucial to assess the distribution and burden of disease. Systemic symptoms, bone marrow, liver, and spleen involvement at diagnosis are frequent in THCRLBCL, but only rarely occur in NLPHL. As sometimes NLPHL, DLBCL, and THCRLBCL-like areas may occur in the same lymph node, ample tissue sampling is critical to achieve a reliable diagnosis. Distinction between NLPHL with extensive pattern E features and THCRLBCL is based on the careful search of more classical NLPHL patterns, that is impossible on core biopsies or small tissue samples. Similarly, when NLPHL recurrence or disease progression are suspected, re-staging and excisional nodal biopsies are needed to confirm the diagnosis [66].
Table 3.
Differential diagnosis between NLPHL, CHL, and THCRLBCL.
4.1.3. Clinical Case
In the slide seminar, we presented a case in which sequential biopsies documented NLPHL transforming into THCRLBCL. An asymptomatic 29-year-old man presented with isolated left axillary lymphadenopathy, that at biopsy revealed NLPHL. Following TC staging that evidentiated multiple splenic nodules, the patient underwent splenectomy, which demonstrated lymphoma infiltration with the presence in some nodules of cohesive large B-cell, consistent with areas of DLBCL. After receiving R-CHOP with only partial response, six months later, multiple superficial and deep lymphadenopathies were found. A further axillary nodal biopsy documented a diffuse lymphoid proliferation comprising a few large, atypical B cells obscured by a predominant T-cell and histiocyte background, consisting of THCRLBCL diagnosis. The patient received high-dose chemotherapy and autologous stem cell transplantation. Nine months later, the disease relapsed again with nodal, hepatic, and bone marrow involvement. Despite several salvage chemotherapy protocols, the patient died because of disease progression 58 months after the initial diagnosis. Sequencing analyses of clonal IGVH gene rearrangements detected in the nodal biopsy at diagnosis, in the spleen, and the nodal biopsy at relapse revealed a degree of homology among the three rearrangements, consistent with clonal evolution of the initial NLPHL.
4.2. Classic Hodgkin Lymphoma
CHL is a neoplasm derived from GC B cells in which neoplastic cells, i.e., Hodgkin and Reed–Sternberg (HRS) cells, show a defective B-cell expression program and are embedded in a reactive microenvironment rich in immune cells, representing a low fraction of the infiltrate [64]. The paucity of neoplastic cells within the tumor, coupled with the lack of most B-cell markers on tumor cells, required the analysis of single microdissected HRS cells to demonstrate their clonal B-cell derivation [63].
CHL accounts for 15–25% of all malignant lymphomas, with an incidence of approximately 3 cases per 100,000 persons/year [86]. The incidence is slightly higher in males except for nodular sclerosis CHL (NSCHL). Two peaks of incidence occur: the first in young adults between 25 and 35 years, and the second after 60 years; it is rare in children [87].
CHL usually presents with painless, firm peripheral lymphadenopathy, mainly involving supradiaphragmatic lymph nodes, and more than 60% of patients show mediastinal involvement at diagnosis. Extranodal involvement occurs in stage IV disease (lung, bone, liver, and bone marrow), whereas primary extranodal presentation is very rare and should suggest alternative diagnoses and evaluation for an underlying immunodeficiency, especially HIV/AIDS [88]. Systemic B symptoms are reported in 20% of patients with early-stage disease and in 70% of patients with advanced-stage disease. Bulky mediastinal disease may lead to compression symptoms (cough, shortness of breath, superior vena cava syndrome). Paraneoplastic manifestations rarely may be the initial disease presentation. Association with EBV infection is well documented, and there is strong evidence that EBV infection drives malignant transformation in EBV-positive CHL [63,64].
4.2.1. Pathology
Histopathologic diagnosis of CHL is based on the detection of scant mononuclear Hodgkin cells and bi-/multinucleated RS cells (Figure 15) in a predominant inflammatory background, varying according to the pathologic subtype and comprising lymphocytes, eosinophils, neutrophils, histiocytes, and plasma cells. Epithelioid granulomas may be found and sometimes are so numerous as to obscure neoplastic cells, mimicking granulomatous diseases, such as mycobacteriosis.
Figure 15.
HRS and variants. HRS cell and variants (lacunar cells or mummified tumor cells [arrows]) should be identified within an appropriate cellular background showing lymphocytes, eosinophils, plasma cells, and histiocytes ((A,D,E) HE, 40×, (B) HE 60×). Panel (C) also shows a typical rosetting (arrow) by T lymphocytes around neoplastic cells (CD3 immunostaining, immunoperoxidase, 60×).
The typical immunophenotype of HRS cells of CHL includes positivity for CD30, CD15 (75–85% of cases), Pax5 (95% of cases (Figure 16), characteristically weaker than in reactive B-cells), MUM1, and lack or only weak and heterogeneous expression of most B-cell antigens (CD20, CD79a, BOB1, OCT2, and PU.1) [1,2,3,4,5,64]. CD23 and GC markers other than BCL6, which may be weakly positive, are rarely expressed in CHL [89]. Aberrant expression of one or more T-cell antigens, especially CD2 and CD4, has been reported in a minority of cases (<5%) as well as immunoreactivity for cytotoxic molecules [90]. Fascin [89], GATA3 [91], STAT6 [80,92], and PDL1 [93,94] are positive in the majority of cases and may represent additional diagnostic markers in challenging cases. EBV infection may be detected in HRS cells in a variable percentage of CHL cases and characteristically shows a latency type II program, including expression of EBERs, EBNA1, LMP1, and LMP2A [95].
Figure 16.
HRS immunophenotype. The typical immunophenotype of HRS cells of CHL includes positivity for CD30 (immunoperoxidase, 60×), CD15 (APAAP, 60×), Pax5 (immunoperoxidase, 20×), and LMP1 in EBV-infected cases (immunoperoxidase 40×).
Both the 2022 revised WHO Classification and the IC Classification recognize the traditional subdivision into four histological subtypes, based on the infiltrate architectural features, the composition of the tumor microenvironment, and the density of neoplastic cells [4,5,64].
Nodular sclerosis CHL (NSCHL) (Figure 17) is the most frequent subtype in the USA and Europe (70% of CHL). Histologically, it is characterized by collagen bands that surround nodules containing HRS cells, often with the appearance of lacunar variants (neoplastic cells residing in holes and lacunae because of fixation-related cytoplasmic retraction), and the reactive infiltrate consisting of eosinophils, histiocytes, small lymphocytes (mainly T cells) and occasionally neutrophils. Cases with numerous neoplastic cells grouped in aggregates or sheets are called syncytial variants of NSCHL and commonly exhibit necrosis in tumor-cell-rich areas. EBV infection is detected in a minority of cases (10–25%). NSCHL was graded based on the amount of neoplastic cells [96] (Figure 18), but this practice is not recommended by WHO Classification. The German Lymphoma Study Group proposed a further NSCHL grading, based on three criteria: eosinophilia, lymphocyte depletion, and atypia of the HRS cells [97].
Figure 17.
NSCHL. (A) Macroscopic appearance of a lymph node affected by NSCHL. (B) Nodular areas are limited by sclerosis (HE 2×). (C) Collagen bands are birefringent in polarized light (10×). (D) The nodules are composed of tumor cellularity embedded in a background rich in lymphocytes, eosinophils, plasma cells, and histiocytes. Necrosis is occasionally seen. Acellular sclerosis may be observed (HE 20×).
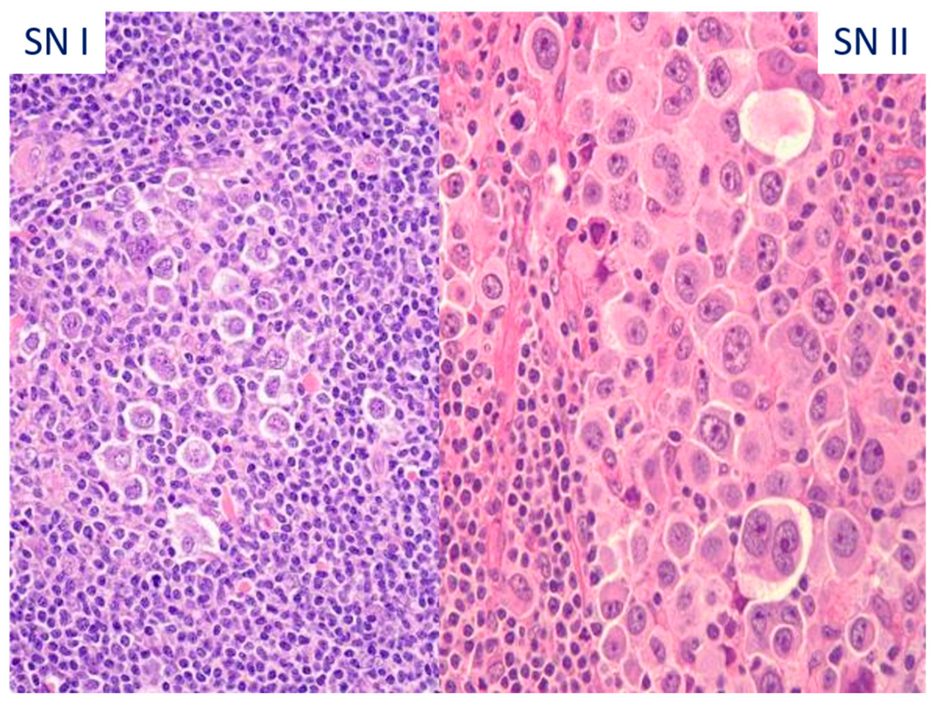
Figure 18.
Grading BNLI (Mac Lennan 1989) [96]. SN Grade I: >75% of nodules having isolated HRS cells within a background rich in lymphocytes and histiocytes (HE 20×); SN Grade II: >25% of nodules showing HRS cells which tend to aggregate with a syncytial growth (HE, 40×).
Mixed-cellularity CHL (MCCHL) (Figure 19) is usually characterized by diffuse nodal architecture effacement and by the presence of higher numbers of HRS cells compared with NSCHL. Rarely, MCCHL may exhibit an interfollicular growth pattern. The inflammatory background is typically polymorphic and may include epithelioid histiocytes and granulomas. MCCHL is frequently associated with EBV infection.
Figure 19.
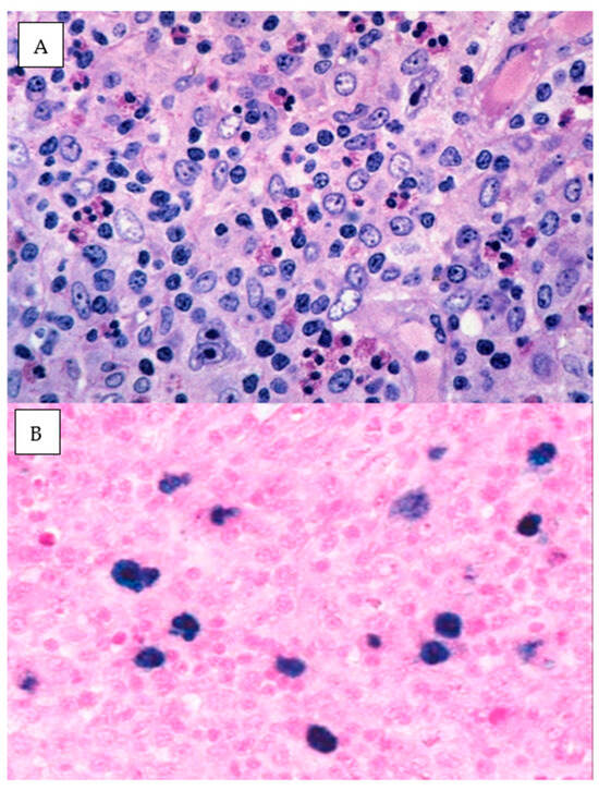
MCCHL. (A) HRS cells in the typical polymorphous background showing eosinophils, lymphocytes, plasma cells, and histiocytes (HE 40×). (B) EBV may be frequently detected by in situ hybridization in the nuclei of several tumor cells (ISH for EBERs, 40×).
The growth pattern of lymphocyte-rich CHL (LRCHL) (Figure 20) is usually nodular or less often diffuse. The nodules are mainly composed of small B-lymphocytes, sometimes forming GC, and lack eosinophils and neutrophils. HRS may resemble LP cells and lacunar cells. The demonstration of typical CD15+/CD30+ HRS cell phenotypes is crucial to distinguish this variant from NLPHL [98].
Figure 20.
LRCHL. The pattern is nodular and in part diffuse ((A), HE 2×), with a dominance of small B lymphocytes, while HRS cells are located within the nodules or close to B follicles ((B) HE 10×, (C) HE 60×). HRS cells display the classical immunophenotype.
Lymphocyte-depleted CHL (LDCHL) (Figure 21) accounts for less than 2% of CHL and is strongly associated with EBV [1,2,3,4,5,64]. HRS cells are predominant due to the scarcity of the inflammatory background. Two main histologic patterns may be observed: one with sheets of HRS cells and the other with diffuse fibrosis and numerous histiocytes.
Figure 21.
DLCHL. HRS cells (CD30+) are pleomorphic and embedded in a fibrotic background. Lymphocytes are scarce ((A) HE, 10×, (B) HE 40×; CD30 immunostaining: immunoperoxidase 40×).
4.2.2. Molecular Genetics
HRS cells are preapoptotic clonally rearranged GC B cells carrying a high mutational burden and frequent genetic alterations at the 2p16 locus (containing REL oncogene) and at the 9p24.1 locus (containing JAK2, PDL1, and PDL2), primarily through copy gain and amplification, leading to the strong activation of signaling via PDL1, JAK-STAT, and NFkB [63,64]. Genetic analyses also documented recurrent mutations in the NF-kB pathway (TNFAIP3, NFKBIA, NFKBIE, REL), the JAK/STAT pathway (SOCS1, PTPN1, STAT6, STAT3, CSF2RB) and regulators of immune escape (B2M and C2TA) [63,99,100,101,102]. In EBV-positive cases, viral proteins such as LMP1 (an oncogene mimicking an active CD40 receptor) and LMP2A (mimicking B-cell receptor signaling) can replace two main survival signals for GC B cells, preventing apoptosis of HRS cells [95]. The intense crosstalk of neoplastic HRS cells with the abundant immune microenvironment plays a major role in the pathogenesis and survival of HRS cells. The latter recruit and mold non-neoplastic cells via extracellular vesicles, chemokines (CCl5, CCL17), cytokines (IL5, IL7, IL13), and growth factors (M-CSF, FGF-2), to promote a feed-forward inflammatory loop, which drives tumor aggressiveness and HRS immune escape through the formation of CD4+ rosettes around HRS cells, the polarization of CD4+ T cells towards regulatory T cells, monocyte differentiation into anti-inflammatory M2 macrophages, and secretion of immunosuppressive cytokines (IL10, TGFBeta) [63,103,104]. Microenvironment composition may also impact CHL prognosis, high content of macrophages being an unfavorable prognostic factor, whereas a high number of non-malignant B-lymphocytes is associated with a favorable prognosis [105,106,107].
4.2.3. Differential Diagnoses
Differential diagnoses of CHL include both reactive and neoplastic lymphoid proliferations (64, 108). Infectious mononucleosis may harbor EBV-positive immunoblasts resembling HRS cells; however, they are usually CD45+, CD20+, CD30+, and CD15−. Architectural assessment, background composition, and the observation of a wide range of EBV+ lymphocytes and immunoblasts in infectious mononucleosis is useful to achieve a correct diagnosis. CHL with granulomatous reaction must be distinguished from granulomatous diseases. NLPHL and THCRLBCL also are characterized by a paucity of neoplastic cells scattered in a reactive background (Table 4). EBV-positive CHL must be distinguished from EBV-positive DLBCL, especially the polymorphic subtype, immune deficiency/dysregulation-associated lymphoproliferative disorders (IDD-LPD), and EBV+ mucocutaneous ulcer (MCU) [4,5,11,64]. Neoplastic cells of EBV-positive DLBCL usually show a broader cytological spectrum, have at least partial preservation of B-cell program expression, and are CD45+ and commonly CD15−. Microenvironment composition is different, lacking T-cell rosettes and eosinophils. Detailed integration with clinical presentation and medical history is required to exclude IDD–LPDs, which often present at extranodal sites, show a polymorphic proliferation of immunoblasts and plasmablasts, coexpress CD20 and CD30, and are frequently associated with EBV latency type III infection (EBNA2 expression) [11,108]. Separation of MCU with numerous HRS-like cells from EBV-positive CHL primarily relies on the clinical features (localized oropharyngeal, gastrointestinal, or skin ulceration in older patients, often in the context of immunosuppression or immune senescence), EBV type III latency infection detection, and preservation of the B-cell phenotype [109,110].
Table 4.
Comparison of clinico-pathologic and molecular features of CHL, PMBL, and mGZL.
The distinct thymic niche of the mediastinum gives rise to two well-described B-cell lymphoma entities: primary mediastinal large B-cell lymphoma (PMBL) and CHL, particularly of the nodular sclerosis subtype. Based on the observation that cases with intermediate morphological and phenotypic features between CHL and PMLBL can arise in the mediastinum, the definition of mediastinal gray zone lymphoma (mGZL), previously known as B-cell lymphoma, unclassifiable with features intermediate between DLBCL and CHL, was introduced to span the biological spectrum between these two well-defined entities, with some cases more closely resembling PMBL and others more closely resembling CHL [1,2,3,4,5,64,111,112,113,114]. Although primarily applied to mediastinal lymphoma, the term became more broadly used for cases without mediastinal presentation and with overlap with other B-cell lymphomas. However, more recent mutational and gene expression data demonstrated that non-mediastinal GZL are more closely related to DLBCL [115]. On the other hand, molecular studies reinforced the notion that mGZL is a truly intermediate category between CHL and PMBL, with most frequent genetic mutations targeting common genes [115]. Comparative gene expression profiling as well as methylation profiling demonstrated that mGZL occupied an intermediate position in relation to CHL and PMBL [116,117,118].
Mediastinal NSCHL, mGZL, and PMBL probably represent a clinical, biological, and genetic continuum, discerned by distinct architectural features, variable numbers of reactive inflammatory cells, and different levels of B-cell program expression (Table 4). Despite these advances, in routine clinical practice, there remain practical challenges, and the diagnostic borders between mGZL and CHL or PMBL remain difficult to define. The observation of a diffuse, sheet-like growth pattern of neoplastic cells is not sufficient to exclude CHL diagnosis, if the tumor infiltrate otherwise has cytologic and immunophenotypic features of CHL. Identification of cells with more centroblastic cytology and loss of typical CHL architecture and inflammatory background may favor a diagnosis of MGZL. It is important to evaluate multiple B-cell markers and to not only rely on CD20 expression when differentiating mGZL from CHL or PMBL [119]. The inclusion in the category of mGZL of rare cases histologically resembling typical CHL with uniform, strong expression of CD20 and other B-cell markers (LYSa group 0 according to Sarkozy et al. [112]) is still a matter of debate and further studies are needed to clarify such issues.
In the slide seminar, we reported a case illustrating this controversial issue. A symptomatic 17-year-old girl presented with cervical and supraclavicular lymphadenopathies, and a TC scan revealed a “bulky” mediastinal mass. A cervical node core biopsy was performed at another hospital, providing a diagnosis of NSCHL. Following central revision, an excisional lymph node biopsy was required. Histological examination revealed a nodal architecture effacement by nodular proliferation, with sclerosis, comprising large atypical cells often with HRS-like features, embedded in a reactive, mainly lymphocytic, background. Immunophenotype of atypical cells (CD45+, CD20+, CD79a+, OCT2+, BOB1+, PAX5+, bcl6+, MUM+, CD15+, CD30+, EBV−) raised questions regarding the differential diagnosis between CHL with preserved B-cell program, DLBCL, and mGZL. Targeted NGS analysis documented pathogenetic mutations in B2M, SOCS1, TNFAIP3, GNA13, XPO1, and STAT6 genes. BCL2, BCL6, and/or c-MYC aberrations were not found. After a diagnosis of mGZL, the patient received a DLBCL/PMLBC-like regimen, including rituximab, and she is alive in complete remission 12 months after initial diagnosis.
Syncytial CHL enters differential diagnosis with ALK-negative anaplastic large cell lymphoma. PAX5 expression in CHL is of paramount importance to exclude the latter entity. EBV+ HRS-like cells can be observed in many other NHL subtypes, including chronic lymphocytic leukemia with HRS cells, angioimmunoblastic lymphoma and peripheral T-cell lymphoma NOS. In these scenarios, the discrimination from CHL is based on the composition and immunophenotype of the infiltrate. Clonality and/or mutational analyses may provide a significant aid to achieving the diagnoses in most difficult cases. CHL can also mimic some mesenchymal tumors with rich inflammatory backgrounds, such as myxoinflammatory fibroblastic sarcoma and inflammatory myofibroblastic tumor.
Funding
This research received no external funding.
Conflicts of Interest
The authors declare no conflict of interest.
References
- World Health Organization. Classification of Tumours. In Pathology and Genetics of Tumours of Haematopoietic and Lymphoid Tissues, 3rd ed.; IARC: Lyon, France, 2001. [Google Scholar]
- World Health Organization. Classification of Tumours of Haematopoietic and Lymphoid Tissues, 4th ed.; IARC: Lyon, France, 2008.
- WHO. Classification of Tumours of Haematopoietic and Lymphoid Tissues, Revised, 4th ed.; IARC: Lyon, France, 2017.
- Campo, E.; Jaffe, E.S.; Cook, J.R.; Quintanilla-Martinez, L.; Swerdlow, S.H.; Anderson, K.C.; Brousset, P.; Cerroni, L.; de Leval, L.; Dirnhofer, S.; et al. The International Consensus Classification of Mature Lymphoid Neoplasms: A Report from the Clinical Advisory Committee. Blood 2022, 140, 1229–1253. [Google Scholar] [CrossRef]
- Alaggio, R.; Amador, C.; Anagnostopoulos, I.; Attygalle, A.D.; Araujo, I.B.O.; Berti, E.; Bhagat, G.; Borges, A.M.; Boyer, D.; Calaminici, M.; et al. The 5th edition of the World Health Organization Classification of Haematolymphoid Tumours: Lymphoid Neoplasms. Leukemia 2022, 36, 1720–1748. [Google Scholar] [CrossRef]
- Jaffe, E.S.; Carbone, A. Evolution in the Definition of Follicular Lymphoma and Diffuse Large B-Cell Lymphoma: A Model for the Future of Personalized Medicine. Hemato 2022, 3, 466–474. [Google Scholar] [CrossRef]
- Jaffe, E.S.; Carbone, A. B-and T-/NK-Cell Lymphomas in the 2022 International Consensus Classification of Mature Lymphoid Neoplasms and Comparison with the WHO Fifth Edition. Hemato 2024, 5, 157–170. [Google Scholar] [CrossRef]
- Falini, B.; Martino, G.; Lazzi, S. A comparison of the International Consensus and 5th World Health Organization classifications of mature B-cell lymphomas. Leukemia 2023, 37, 18–34. [Google Scholar] [CrossRef]
- Medeiros, L.; O’Malley, D.; Caraway, N.; Vega, F.; Elenitoba-Johnson, K.; Lim, M. Tumors of the Lymph Nodes and Spleen; American Registry of Pathology: Washington, DC, USA, 2017; Volume 25. [Google Scholar]
- Hussein, M.R. Atypical lymphoid proliferations: The pathologist’s viewpoint. Expert Rev. Hematol. 2013, 6, 139–153. [Google Scholar] [CrossRef]
- Carbone, A.; Chadburn, A.; Gloghini, A.; Vaccher, E.; Bower, M. Immune deficiency/dysregulation -associated lymphoproliferative disorders. Revised classification and management. Blood Rev. 2024, 64, 101167. [Google Scholar] [CrossRef]
- Razak, A.A.; Shanmugasundaram, S. Kikuchi-Fujimoto disease, a rare benign disease with atypical histomorphology: More than meets the eye. Pathology 2024, 56, 382–390. [Google Scholar] [CrossRef]
- Li, E.Y.; Xu, J.; Nelson, N.D.; Teachey, D.T.; Tan, K.; Romberg, N.; Behrens, E.; Pillai, V. Kikuchi-Fujimoto disease is mediated by an aberrant type I interferon response. Mod Pathol. 2022, 35, 462–469. [Google Scholar] [CrossRef] [PubMed]
- Liu, C.; Jin, Y.; Huang, H.; Ding, F.; Yang, Z.; Xu, X.; Bao, S.; Ma, J.; Jin, Y. Kikuchi-Fujimoto disease as the initial manifestation of systemic lupus erythematosus complicated with macrophage activation syndrome: Two case reports and a review of literature. BMC Pediatr. 2022, 22, 673. [Google Scholar] [CrossRef] [PubMed] [PubMed Central]
- Swerdlow, S.H.; Campo, E.; Pileri, S.A.; Harris, N.L.; Stein, H.; Siebert, R.; Advani, R.; Ghielmini, M.; Salles, G.A.; Zelenetz, A.D.; et al. The 2016 revision of the World Health Organization Classification of Lymphoid Neoplasms. Blood 2016, 127, 2375–2390. [Google Scholar] [CrossRef]
- Hallek, M.; Cheson, B.D.; Catovsky, D.; Caligaris-Cappio, F.; Dighiero, G.; Döhner, H.; Hillmen, P.; Keating, M.; Montserrat, E.; Chiorazzi, N.; et al. iwCLL guidelines for diagnosis, indications for treatment, response assessment, and supportive management of CLL. Blood 2018, 131, 2745–2760. [Google Scholar] [CrossRef] [PubMed]
- Rossi, D.; Khiabanian, H.; Spina, V.; Ciardullo, C.; Bruscaggin, A.; Famà, R.; Rasi, S.; Monti, S.; Deambrogi, C.; De Paoli, L.; et al. Clinical impact of small TP53 mutated subclones in chronic lymphocytic leukemia. Blood 2014, 123, 2139–2147. [Google Scholar] [CrossRef] [PubMed] [PubMed Central]
- Bomben, R.; Rossi, F.M.; Vit, F.; Bittolo, T.; D’Agaro, T.; Zucchetto, A.; Tissino, E.; Pozzo, F.; Vendramini, E.; Degan, M.; et al. TP53 Mutations with Low Variant Allele Frequency Predict Short Survival in Chronic Lymphocytic Leukemia. Clin. Cancer Res. 2021, 27, 5566–5575. [Google Scholar] [CrossRef] [PubMed]
- Stamatopoulos, K.; Agathangelidis, A.; Rosenquist, R.; Ghia, P. Antigen receptor stereotypy in chronic lymphocytic leukemia. Leukemia 2017, 31, 282–291. [Google Scholar] [CrossRef] [PubMed]
- Maity, P.C.; Bilal, M.; Koning, M.T.; Young, M.; van Bergen, C.A.M.; Renna, V.; Nicolò, A.; Datta, M.; Gentner-Göbel, E.; Barendse, R.S.; et al. IGLV3-21*01 is an inherited risk factor for CLL through the acquisition of a single-point mutation enabling autonomous BCR signaling. Proc. Natl. Acad. Sci. USA 2020, 117, 4320–4327. [Google Scholar] [CrossRef] [PubMed] [PubMed Central]
- Nadeu, F.; Royo, R.; Clot, G.; Duran-Ferrer, M.; Navarro, A.; Martín, S.; Lu, J.; Zenz, T.; Baumann, T.; Jares, P.; et al. IGLV3-21R110 identifies an aggressive biological subtype of chronic lymphocytic leukemia with intermediate epigenetics. Blood 2021, 137, 2935–2946. [Google Scholar] [CrossRef] [PubMed] [PubMed Central]
- Nadeu, F.; Delgado, J.; Royo, C.; Baumann, T.; Stankovic, T.; Pinyol, M.; Jares, P.; Navarro, A.; Martín-García, D.; Beà, S.; et al. Clinical impact of clonal and subclonal TP53, SF3B1, BIRC3, NOTCH1, and ATM mutations in chronic lymphocytic leukemia. Blood 2016, 127, 2122–2130. [Google Scholar] [CrossRef] [PubMed] [PubMed Central]
- Giné, E.; Martinez, A.; Villamor, N.; López-Guillermo, A.; Camos, M.; Martinez, D.; Esteve, J.; Calvo, X.; Muntañola, A.; Abrisqueta, P.; et al. Expanded and highly active proliferation centers identify a histological subtype of chronic lymphocytic leukemia (“accelerated” chronic lymphocytic leukemia) with aggressive clinical behavior. Haematologica 2010, 95, 1526–1533. [Google Scholar] [CrossRef] [PubMed] [PubMed Central]
- Barnea Slonim, L.; Ma, S.; Behdad, A.; Chen, Q. Pseudo-Richter transformation of chronic lymphocytic leukaemia/small lymphocytic lymphoma following ibrutinib interruption: A diagnostic pitfall. Br. J. Haematol. 2020, 191, e22–e25. [Google Scholar] [CrossRef] [PubMed]
- Koch, K.; Hoster, E.; Ziepert, M.; Unterhalt, M.; Ott, G.; Rosenwald, A.; Hansmann, M.L.; Bernd, W.; Stein, H.; Pöschel, V.; et al. Clinical, pathological and genetic features of follicular lymphoma grade 3A: A joint analysis of the German low-grade and high-grade lymphoma study groups GLSG and DSHNHL. Ann. Oncol. 2016, 27, 1323–1329. [Google Scholar] [CrossRef] [PubMed]
- Mustafa Ali, M.; Rybicki, L.; Nomani, L.; Rouphail, B.; Dean, R.M.; Hill, B.T.; Jagadeesh, D.; Pohlman, B.; Hsi, E.D.; Smith, M.R. Grade 3 Follicular Lymphoma: Outcomes in the Rituximab Era. Clin. Lymphoma Myeloma Leuk. 2017, 17, 797–803. [Google Scholar] [CrossRef] [PubMed]
- Shah, N.N.; Szabo, A.; Saba, R.; Strelec, L.; Kodali, D.; Vaughn, J.L.; Esan, O.; Yang, D.T.; Mato, A.R.; Kanate, A.S.; et al. Multicenter Analysis of Advanced Stage Grade 3A Follicular Lymphoma Outcomes by Frontline Treatment Regimen. Clin. Lymphoma Myeloma Leuk. 2019, 19, 95–102. [Google Scholar] [CrossRef] [PubMed]
- Barraclough, A.; Bishton, M.; Cheah, C.Y.; Villa, D.; Hawkes, E.A. The diagnostic and therapeutic challenges of Grade 3B follicular lymphoma. Br. J. Haematol. 2021, 195, 15–24. [Google Scholar] [CrossRef] [PubMed]
- Koch, K.; Richter, J.; Hanel, C.; Huttmann, A.; Duhrsen, U.; Klapper, W. Follicular lymphoma grade 3B and diffuse large B-cell lymphoma present a histopathological and molecular continuum lacking features of progression/ transformation. Haematologica 2022, 107, 2144–2153. [Google Scholar] [CrossRef] [PubMed] [PubMed Central]
- Sohani, A.R.; Maurer, M.J.; Giri, S.; Pitcher, B.; Chadburn, A.; Said, J.W.; Bartlett, N.L.; Czuczman, M.S.; Martin, P.; Rosenbaum, C.A.; et al. Biomarkers for Risk Stratification in Patients with Previously Untreated Follicular Lymphoma Receiving Anti-CD20-based Biological Therapy. Am. J. Surg. Pathol. 2021, 45, 384–393. [Google Scholar] [CrossRef] [PubMed] [PubMed Central]
- Siddiqi, I.N.; Friedman, J.; Barry-Holson, K.Q.; Ma, C.; Thodima, V.; Kang, I.; Padmanabhan, R.; Dias, L.M.; Kelly, K.R.; Brynes, R.K.; et al. Characterization of a variant of t(14;18) negative nodal diffuse follicular lymphoma with CD23 expression, 1p36/TNFRSF14 abnormalities, and STAT6 mutations. Mod. Pathol. 2016, 29, 570–581. [Google Scholar] [CrossRef] [PubMed]
- Xian, R.R.; Xie, Y.; Haley, L.M.; Yonescu, R.; Pallavajjala, A.; Pittaluga, S.; Jaffe, E.S.; Duffield, A.S.; McCall, C.M.; Gheith, S.M.F.; et al. CREBBP and STAT6 co-mutation and 16p13 and 1p36 loss define the t(14;18)-negative diffuse variant of follicular lymphoma. Blood Cancer J. 2020, 10, 69. [Google Scholar] [CrossRef] [PubMed] [PubMed Central]
- Nann, D.; Ramis-Zaldivar, J.E.; Müller, I.; Gonzalez-Farre, B.; Schmidt, J.; Egan, C.; Salmeron-Villalobos, J.; Clot, G.; Mattern, S.; Otto, F.; et al. Follicular lymphoma t(14;18)-negative is genetically a heterogeneous disease. Blood Adv. 2020, 4, 5652–5665. [Google Scholar] [CrossRef] [PubMed] [PubMed Central]
- Louissaint, A., Jr.; Schafernak, K.T.; Geyer, J.T.; Kovach, A.E.; Ghandi, M.; Gratzinger, D.; Roth, C.G.; Paxton, C.N.; Kim, S.; Namgyal, C.; et al. Pediatric-type nodal follicular lymphoma: A biologically distinct lymphoma with frequent MAPK pathway mutations. Blood 2016, 128, 1093–1100. [Google Scholar] [CrossRef] [PubMed] [PubMed Central]
- Schmidt, J.; Gong, S.; Marafioti, T.; Mankel, B.; Gonzalez-Farre, B.; Balagué, O.; Mozos, A.; Cabeçadas, J.; van der Walt, J.; Hoehn, D.; et al. Genome-wide analysis of pediatric-type follicular lymphoma reveals low genetic complexity and recurrent alterations of TNFRSF14 gene. Blood 2016, 128, 1101–1111. [Google Scholar] [CrossRef] [PubMed] [PubMed Central]
- Schmidt, J.; Ramis-Zaldivar, J.E.; Nadeu, F.; Gonzalez-Farre, B.; Navarro, A.; Egan, C.; Montes-Mojarro, I.A.; Marafioti, T.; Cabeçadas, J.; van der Walt, J.; et al. Mutations of MAP2K1 are frequent in pediatric-type follicular lymphoma and result in ERK pathway activation. Blood 2017, 130, 323–327. [Google Scholar] [CrossRef] [PubMed] [PubMed Central]
- Liu, Q.; Salaverria, I.; Pittaluga, S.; Jegalian, A.G.; Xi, L.; Siebert, R.; Raffeld, M.; Hewitt, S.M.; Jaffe, E.S. Follicular lymphomas in children and young adults: A comparison of the pediatric variant with usual follicular lymphoma. Am. J. Surg. Pathol. 2013, 37, 333–343. [Google Scholar] [CrossRef] [PubMed] [PubMed Central]
- Salmeron-Villalobos, J.; Egan, C.; Borgmann, V.; Müller, I.; Gonzalez-Farre, B.; Ramis-Zaldivar, J.E.; Nann, D.; Balagué, O.; López-Guerra, M.; Colomer, D.; et al. A unifying hypothesis for PNMZL and PTFL: Morphological variants with a common molecular profile. Blood Adv. 2022, 6, 4661–4674. [Google Scholar] [CrossRef] [PubMed] [PubMed Central]
- Martínez-Laperche, C.; Sanz-Villanueva, L.; Díaz Crespo, F.J.; Muñiz, P.; Martín Rojas, R.; Carbonell, D.; Chicano, M.; Suárez-González, J.; Menárguez, J.; Kwon, M.; et al. EZH2 mutations at diagnosis in follicular lymphoma: A promising biomarker to guide frontline treatment. BMC Cancer 2022, 22, 982. [Google Scholar] [CrossRef] [PubMed] [PubMed Central]
- Takahashi, Y.; Taniguchi, H.; Haruhi, F.; Hattori, D.; Sasaki, H.; Makita, S.; Iwaki, N.; Fukuhara, S.; Munakata, W.; Saito, Y.; et al. Pathogenesis of Gastrointestinal Follicular Lymphomas: Consideration Based on Histopathology and Endoscopic Findings. Am. J. Surg. Pathol. 2023, 47, 1134–1143. [Google Scholar] [CrossRef] [PubMed]
- Fu, K.; Weisenburger, D.D.; Greiner, T.C.; Dave, S.; Wright, G.; Rosenwald, A.; Chiorazzi, M.; Iqbal, J.; Gesk, S.; Siebert, R.; et al. Lymphoma/Leukemia Molecular Profiling Project. Cyclin D1-negative mantle cell lymphoma: A clinicopathologic study based on gene expression profiling. Blood 2005, 106, 4315–4321. [Google Scholar] [CrossRef] [PubMed] [PubMed Central]
- Wlodarska, I.; Dierickx, D.; Vanhentenrijk, V.; Van Roosbroeck, K.; Pospísilová, H.; Minnei, F.; Verhoef, G.; Thomas, J.; Vandenberghe, P.; De Wolf-Peeters, C. Translocations targeting CCND2, CCND3, and MYCN do occur in t(11;14)-negative mantle cell lymphomas. Blood 2008, 111, 5683–5690. [Google Scholar] [CrossRef] [PubMed]
- Salaverria, I.; Royo, C.; Carvajal-Cuenca, A.; Clot, G.; Navarro, A.; Valera, A.; Song, J.Y.; Woroniecka, R.; Rymkiewicz, G.; Klapper, W.; et al. CCND2 rearrangements are the most frequent genetic events in cyclin D1(-) mantle cell lymphoma. Blood 2013, 121, 1394–1402. [Google Scholar] [CrossRef] [PubMed] [PubMed Central]
- Martín-Garcia, D.; Navarro, A.; Valdés-Mas, R.; Clot, G.; Gutiérrez-Abril, J.; Prieto, M.; Ribera-Cortada, I.; Woroniecka, R.; Rymkiewicz, G.; Bens, S.; et al. CCND2 and CCND3 hijack immunoglobulin light-chain enhancers in cyclin D1- mantle cell lymphoma. Blood 2019, 133, 940–951. [Google Scholar] [CrossRef] [PubMed] [PubMed Central]
- Cheng, J.; Hashem, M.A.; Barabé, F.; Cloutier, S.; Xi, L.; Raffeld, M.; Pittaluga, S.; Jaffe, E.S. CCND1 Genomic Rearrangement as a Secondary Event in High Grade B-Cell Lymphoma. Hemasphere 2020, 5, e505. [Google Scholar] [CrossRef] [PubMed] [PubMed Central]
- Wang, L.; Tang, G.; Medeiros, L.J.; Xu, J.; Huang, W.; Yin, C.C.; Wang, M.; Jain, P.; Lin, P.; Li, S. MYC rearrangement but not extra MYC copies is an independent prognostic factor in patients with mantle cell lymphoma. Haematologica 2021, 106, 1381–1389. [Google Scholar] [CrossRef] [PubMed] [PubMed Central]
- Nadeu, F.; Martin-Garcia, D.; Clot, G.; Díaz-Navarro, A.; Duran-Ferrer, M.; Navarro, A.; Vilarrasa-Blasi, R.; Kulis, M.; Royo, R.; Gutiérrez-Abril, J.; et al. Genomic and epigenomic insights into the origin, pathogenesis, and clinical behavior of mantle cell lymphoma subtypes. Blood 2020, 136, 1419–1432. [Google Scholar] [CrossRef] [PubMed] [PubMed Central]
- Aukema, S.M.; Croci, G.A.; Bens, S.; Oehl-Huber, K.; Wagener, R.; Ott, G.; Rosenwald, A.; Kluin, P.M.; van den Berg, E.; Bosga-Bouwer, A.G.; et al. Mantle cell lymphomas with concomitant MYC and CCND1 breakpoints are recurrently TdT positive and frequently show high-grade pathological and genetic features. Virchows Arch. 2021, 479, 133–145. [Google Scholar] [CrossRef] [PubMed]
- Hu, Z.; Medeiros, L.J.; Chen, Z.; Chen, W.; Li, S.; Konoplev, S.N.; Lu, X.; Pham, L.V.; Young, K.H.; Wang, W.; et al. Mantle Cell Lymphoma with MYC Rearrangement: A Report of 17 Patients. Am. J. Surg. Pathol. 2017, 41, 216–224. [Google Scholar] [CrossRef] [PubMed]
- Abrisqueta, P.; Scott, D.W.; Slack, G.W.; Steidl, C.; Mottok, A.; Gascoyne, R.D.; Connors, J.M.; Sehn, L.H.; Savage, K.J.; Gerrie, A.S.; et al. Observation as the initial management strategy in patients with mantle cell lymphoma. Ann. Oncol. 2017, 28, 2489–2495. [Google Scholar] [CrossRef] [PubMed]
- Klapper, W.; Hoster, E.; Determann, O.; Oschlies, I.; van der Laak, J.; Berger, F.; Bernd, H.W.; Cabeçadas, J.; Campo, E.; Cogliatti, S.; et al. European MCL Network. Ki-67 as a prognostic marker in mantle cell lymphoma-consensus guidelines of the pathology panel of the European MCL Network. J. Hematop. 2009, 2, 103–111. [Google Scholar] [CrossRef] [PubMed] [PubMed Central]
- Hoster, E.; Rosenwald, A.; Berger, F.; Bernd, H.W.; Hartmann, S.; Loddenkemper, C.; Barth, T.F.; Brousse, N.; Pileri, S.; Rymkiewicz, G.; et al. Prognostic Value of Ki-67 Index, Cytology, and Growth Pattern in Mantle-Cell Lymphoma: Results from Randomized Trials of the European Mantle Cell Lymphoma Network. J. Clin. Oncol. 2016, 34, 1386–1394. [Google Scholar] [CrossRef] [PubMed]
- Halldórsdóttir, A.M.; Sander, B.; Göransson, H.; Isaksson, A.; Kimby, E.; Mansouri, M.; Rosenquist, R.; Ehrencrona, H. High-resolution genomic screening in mantle cell lymphoma--specific changes correlate with genomic complexity, the proliferation signature and survival. Genes Chromosomes Cancer 2011, 50, 113–121. [Google Scholar] [CrossRef] [PubMed]
- Aukema, S.M.; Hoster, E.; Rosenwald, A.; Canoni, D.; Delfau-Larue, M.H.; Rymkiewicz, G.; Thorns, C.; Hartmann, S.; Kluin-Nelemans, H.; Hermine, O.; et al. Expression of TP53 is associated with the outcome of MCL independent of MIPI and Ki-67 in trials of the European MCL Network. Blood 2018, 131, 417–420. [Google Scholar] [CrossRef] [PubMed]
- Eskelund, C.W.; Dahl, C.; Hansen, J.W.; Westman, M.; Kolstad, A.; Pedersen, L.B.; Montano-Almendras, C.P.; Husby, S.; Freiburghaus, C.; Ek, S.; et al. TP53 mutations identify younger mantle cell lymphoma patients who do not benefit from intensive chemoimmunotherapy. Blood 2017, 130, 1903–1910. [Google Scholar] [CrossRef] [PubMed]
- Tan, L.; Bansal, G.; Yeung, C.C.; Yin, J.; Dave, B.J.; Konnick, E.; Wu, D.; Naresh, K.N. Leukemic non-nodal cyclin D1- and SOX11-negative mantle cell lymphoma with CCND3::IGH rearrangement. Ann Hematol. 2024, 103, 667–669. [Google Scholar] [CrossRef] [PubMed]
- Isaac, K.M.; Portell, C.A.; Williams, M.E. Leukemic Variant of Mantle Cell Lymphoma: Clinical Presentation and Management. Curr. Oncol. Rep. 2021, 23, 102. [Google Scholar] [CrossRef] [PubMed]
- Vela, V.; Juskevicius, D.; Dirnhofer, S.; Menter, T.; Tzankov, A. Mutational landscape of marginal zone B-cell lymphomas of various origin: Organotypic alterations and diagnostic potential for assignment of organ origin. Virchows Arch. 2022, 480, 403–413. [Google Scholar] [CrossRef] [PubMed] [PubMed Central]
- Piva, R.; Deaglio, S.; Famà, R.; Buonincontri, R.; Scarfò, I.; Bruscaggin, A.; Mereu, E.; Serra, S.; Spina, V.; Brusa, D.; et al. The Krüppel-like factor 2 transcription factor gene is recurrently mutated in splenic marginal zone lymphoma. Leukemia 2015, 29, 503–507. [Google Scholar] [CrossRef] [PubMed]
- Clipson, A.; Wang, M.; de Leval, L.; Ashton-Key, M.; Wotherspoon, A.; Vassiliou, G.; Bolli, N.; Grove, C.; Moody, S.; Escudero-Ibarz, L.; et al. KLF2 mutation is the most frequent somatic change in splenic marginal zone lymphoma and identifies a subset with distinct genotype. Leukemia 2015, 29, 1177–1185. [Google Scholar] [CrossRef] [PubMed]
- Campos-Martín, Y.; Martínez, N.; Martínez-López, A.; Cereceda, L.; Casado, F.; Algara, P.; Oscier, D.; Menarguez, F.J.; García, J.F.; Piris, M.A.; et al. Clinical and diagnostic relevance of NOTCH2-and KLF2-mutations in splenic marginal zone lymphoma. Haematologica 2017, 102, e310–e312. [Google Scholar] [CrossRef] [PubMed] [PubMed Central]
- Bonfiglio, F.; Bruscaggin, A.; Guidetti, F.; Terzi di Bergamo, L.; Faderl, M.; Spina, V.; Condoluci, A.; Bonomini, L.; Forestieri, G.; Koch, R.; et al. Genetic and phenotypic attributes of splenic marginal zone lymphoma. Blood 2022, 139, 732–747, Erratum in Blood 2023, 141, 1647. [Google Scholar] [CrossRef] [PubMed]
- Weniger, M.A.; Küppers, R. Molecular biology of Hodgkin lymphoma. Leukemia 2021, 35, 968–981. [Google Scholar] [CrossRef] [PubMed] [PubMed Central]
- WHO. Classification of Tumours Editorial Board. In Haematolymphoid Tumours, 5th ed.; International Agency for Research on Cancer: Lyon, France, 2022; Volume 11. Available online: https://tumourclassification.iarc.who.int/chapters/63 (accessed on 30 April 2024).
- Shenoy, P.; Maggioncalda, A.; Malik, N.; Flowers, C.R. Incidence patterns and outcomes for hodgkin lymphoma patients in the United States. Adv. Hematol. 2011, 2011, 725219. [Google Scholar] [CrossRef] [PubMed] [PubMed Central]
- Younes, S.; Rojansky, R.B.; Menke, J.R.; Gratzinger, D.; Natkunam, Y. Pitfalls in the Diagnosis of Nodular Lymphocyte Predominant Hodgkin Lymphoma: Variant Patterns, Borderlines and Mimics. Cancers 2021, 13, 3021. [Google Scholar] [CrossRef] [PubMed] [PubMed Central]
- Carbone, A.; Spina, M.; Gloghini, A.; Ponzoni, M.; Doglioni, C.; Tirelli, U. Nodular lymphocyte predominant Hodgkin lymphoma with non-invasive or early invasive growth pattern suggests an early step of the disease with a highly favorable outcome. Am. J. Hematol. 2013, 88, 161–162. [Google Scholar] [CrossRef] [PubMed]
- Tedoldi, S.; Mottok, A.; Ying, J.; Paterson, J.C.; Cui, Y.; Facchetti, F.; van Krieken, J.H.; Ponzoni, M.; Ozkal, S.; Masir, N.; et al. Selective loss of B-cell phenotype in lymphocyte predominant Hodgkin lymphoma. J. Pathol. 2007, 213, 429–440. [Google Scholar] [CrossRef] [PubMed]
- Huppmann, A.R.; Nicolae, A.; Slack, G.W.; Pittaluga, S.; Davies-Hill, T.; Ferry, J.A.; Harris, N.L.; Jaffe, E.S.; Hasserjian, R.P. EBV may be expressed in the LP cells of nodular lymphocyte-predominant Hodgkin lymphoma (NLPHL) in both children and adults. Am. J. Surg. Pathol. 2014, 38, 316–324. [Google Scholar] [CrossRef] [PubMed] [PubMed Central]
- Thurner, L.; Hartmann, S.; Fadle, N.; Regitz, E.; Kemele, M.; Kim, Y.-J.; Bohle, R.M.; Nimmesgern, A.; von Müller, L.; Kempf, V.A.J.; et al. Lymphocyte predominant cells detect Moraxella catarrhalis-derived antigens in nodular lymphocyte-predominant Hodgkin lymphoma. Nat Commun. 2020, 11, 2465. [Google Scholar] [CrossRef] [PubMed]
- Thurner, L.; Hartmann, S.; Fadle, N.; Regitz, E.; Kemele, M.; Kim, Y.J.; Bohle, R.M.; Nimmesgern, A.; von Müller, L.; Kempf, V.A.; et al. Aberrant somatic hypermutation in tumor cells of nodular-lymphocyte-predominant and classic Hodgkin lymphoma. Blood 2006, 108, 1013–1020. [Google Scholar] [CrossRef] [PubMed][Green Version]
- Mottok, A.; Renné, C.; Willenbrock, K.; Hansmann, M.L.; Bräuninger, A. Somatic hypermutation of SOCS1 in lymphocyte-predominant Hodgkin lymphoma is accompanied by high JAK2 expression and activation of STAT6. Blood 2007, 110, 3387–3390. [Google Scholar] [CrossRef] [PubMed]
- Hartmann, S.; Schuhmacher, B.; Rausch, T.; Fuller, L.; Döring, C.; Weniger, M.; Lollies, A.; Weiser, C.; Thurner, L.; Rengstl, B.; et al. Highly recurrent mutations of SGK1, DUSP2 and JUNB in nodular lymphocyte predominant Hodgkin lymphoma. Leukemia 2016, 30, 844–853. [Google Scholar] [CrossRef] [PubMed]
- Schuhmacher, B.; Bein, J.; Rausch, T.; Benes, V.; Tousseyn, T.; Vornanen, M.; Ponzoni, M.; Thurner, L.; Gascoyne, R.; Steidl, C.; et al. JUNB, DUSP2, SGK1, SOCS1 and CREBBP are frequently mutated in T-cell/histiocyte-rich large B-cell lymphoma. Haematologica 2019, 104, 330–337. [Google Scholar] [CrossRef] [PubMed] [PubMed Central]
- Wlodarska, I.; Nooyen, P.; Maes, B.; Martın-Subero, J.I.; Siebert, R.; Pauwels, P.; De Wolf-Peeters, C.; Hagemeijer, A. Frequent occurrence of BCL6 rearrangements in nodular lymphocyte predominance Hodgkin lymphoma but not in classical Hodgkin lymphoma. Blood 2003, 101, 706–710. [Google Scholar] [CrossRef] [PubMed]
- Renné, C.; Martín-Subero, J.I.; Hansmann, M.L.; Siebert, R. Molecular cytogenetic analyses of immunoglobulin loci in nodular lymphocyte predominant Hodgkin’s lymphoma reveal a recurrent IGH-BCL6 juxtaposition. J. Mol. Diagn. 2005, 7, 352–356. [Google Scholar] [CrossRef] [PubMed] [PubMed Central]
- Bakhirev, A.G.; Vasef, M.A.; Zhang, Q.Y.; Reichard, K.K.; Czuchlewski, D.R. Fluorescence immunophenotyping and interphase cytogenetics (FICTION) detects BCL6 abnormalities, including gene amplification, in most cases of nodular lymphocyte-predominant Hodgkin lymphoma. Arch. Pathol. Lab. Med. 2014, 138, 538–542. [Google Scholar] [CrossRef] [PubMed]
- Fan, Z.; Natkunam, Y.; Bair, E.; Tibshirani, R.; Warnke, R.A. Characterization of variant patterns of nodular lymphocyte predominant hodgkin lymphoma with immunohistologic and clinical correlation. Am. J. Surg. Pathol. 2003, 27, 1346–1356. [Google Scholar] [CrossRef] [PubMed]
- Hartmann, S.; Eichenauer, D.A.; Plütschow, A.; Mottok, A.; Bob, R.; Koch, K.; Bernd, H.W.; Cogliatti, S.; Hummel, M.; Feller, A.C.; et al. The prognostic impact of variant histology in nodular lymphocyte-predominant Hodgkin lymphoma: A report from the German Hodgkin Study Group (GHSG). Blood 2013, 122, 4246–4252, quiz 4292. [Google Scholar] [CrossRef] [PubMed]
- Van Slambrouck, C.; Huh, J.; Suh, C.; Song, J.Y.; Menon, M.P.; Sohani, A.R.; Duffield, A.S.; Goldberg, R.C.; Dama, P.; Kiyotani, K.; et al. Diagnostic utility of STAT6YE361 expression in classical Hodgkin lymphoma and related entities. Mod. Pathol. 2020, 33, 834–845. [Google Scholar] [CrossRef] [PubMed] [PubMed Central]
- Moore, E.M.; Swerdlow, S.H.; Gibson, S.E. J chain and myocyte enhancer factor 2B are useful in differentiating classical Hodgkin lymphoma from nodular lymphocyte predominant Hodgkin lymphoma and primary mediastinal large B-cell lymphoma. Hum. Pathol. 2017, 68, 47–53. [Google Scholar] [CrossRef] [PubMed]
- Hartmann, S.; Winkelmann, R.; Metcalf, R.A.; Treetipsatit, J.; Warnke, R.A.; Natkunam, Y.; Hansmann, M.L. Immunoarchitectural patterns of progressive transformation of germinal centers with and without nodular lymphocyte-predominant Hodgkin lymphoma. Hum. Pathol. 2015, 46, 1655–1661. [Google Scholar] [CrossRef] [PubMed]
- Kiil, K.; Bein, J.; Schuhmacher, B.; Thurner, L.; Schneider, M.; Hansmann, M.L.; Hartmann, S. A high number of IgG4-positive plasma cells rules out nodular lymphocyte predominant Hodgkin lymphoma. Virchows Arch. 2018, 473, 759–764. [Google Scholar] [CrossRef] [PubMed]
- Paschold, L.; Willscher, E.; Bein, J.; Vornanen, M.; Eichenauer, D.A.; Simnica, D.; Thiele, B.; Wickenhauser, C.; Rosenwald, A.; Bernd, H.W.; et al. Evolutionary clonal trajectories in nodular lymphocyte-predominant Hodgkin lymphoma with high risk of transformation. Haematologica 2021, 106, 2654–2666. [Google Scholar] [CrossRef] [PubMed] [PubMed Central]
- Hartmann, S.; Eichenauer, D.A. Nodular lymphocyte predominant Hodgkin lymphoma: Pathology, clinical course and relation to T-cell/histiocyte rich large B-cell lymphoma. Pathology 2020, 52, 142–153. [Google Scholar] [CrossRef] [PubMed]
- Ansell, S.M. Hodgkin lymphoma: 2023 update on diagnosis, risk-stratification, and management. Am. J. Hematol. 2022, 97, 1478–1488. [Google Scholar] [CrossRef] [PubMed]
- Ebied, A.; Thanh Huan, V.; Makram, O.M.; Sang, T.K.; Ghorab, M.; Ngo, H.T.; Iraqi, A.; Kamel, M.G.; Dang, T.N.; Vuong, N.L.; et al. The role of primary lymph node sites in survival and mortality prediction in Hodgkin lymphoma: A SEER population-based retrospective study. Cancer Med. 2018, 7, 953–965. [Google Scholar] [CrossRef] [PubMed] [PubMed Central]
- Carbone, A.; Gloghini, A.; Serraino, D.; Spina, M.; Tirelli, U.; Vaccher, E. Immunodeficiency-associated Hodgkin lymphoma. Expert Rev. Hematol. 2021, 14, 547–559. [Google Scholar] [CrossRef] [PubMed]
- Aladily, T.N.; Mansour, A.; Alsughayer, A.; Sughayer, M.; Medeiros, L.J. The utility of CD83, fascin and CD23 in the differential diagnosis of primary mediastinal large B-cell lymphoma versus classic Hodgkin lymphoma. Ann. Diagn. Pathol. 2019, 40, 72–76. [Google Scholar] [CrossRef] [PubMed]
- Venkataraman, G.; Song, J.Y.; Tzankov, A.; Dirnhofer, S.; Heinze, G.; Kohl, M.; Traverse-Glehen, A.; Eberle, F.C.; Hanson, J.C.; Raffeld, M.A.; et al. Aberrant T-cell antigen expression in classical Hodgkin lymphoma is associated with decreased event-free survival and overall survival. Blood 2013, 121, 1795–1804. [Google Scholar] [CrossRef] [PubMed] [PubMed Central]
- Kezlarian, B.; Alhyari, M.; Venkataraman, G.; Karner, K.; Inamdar, K.V.; Menon, M.P. GATA3 Immunohistochemical Staining in Hodgkin Lymphoma: Diagnostic Utility in Differentiating Classic Hodgkin Lymphoma from Nodular Lymphocyte Predominant Hodgkin Lymphoma and Other Mimicking Entities. Appl. Immunohistochem. Mol. Morphol. 2019, 27, 180–184. [Google Scholar] [CrossRef] [PubMed]
- Satou, A.; Takahara, T.; Yamashita, D.; Seki, M.; Kato, S.; Tanioka, F.; Tsuyuki, T.; Wada, E.; Sakurai, K.; Karube, K.; et al. Diagnostic Utility of STAT6 and pSTAT6 Immunohistochemistry for Distinguishing Classic Hodgkin Lymphoma and Peripheral T-Cell Lymphoma with Hodgkin and Reed-Sternberg-like Cells. Am. J. Surg. Pathol. 2023, 47, 897–906. [Google Scholar] [CrossRef] [PubMed]
- Sakakibara, A.; Kohno, K.; Eladl, A.E.; Klaisuwan, T.; Ishikawa, E.; Suzuki, Y.; Shimada, S.; Nakaguro, M.; Shimoyama, Y.; Takahara, T.; et al. Immunohistochemical assessment of the diagnostic utility of PD-L1: A preliminary analysis of anti-PD-L1 antibody (SP142) for lymphoproliferative diseases with tumour and non-malignant Hodgkin-Reed-Sternberg (HRS)-like cells. Histopathology 2018, 72, 1156–1163. [Google Scholar] [CrossRef] [PubMed]
- Volaric, A.; Bacchi, C.E.; Gru, A.A. PD-1 and PD-L1 Immunohistochemistry as a Diagnostic Tool for Classic Hodgkin Lymphoma in Small-volume Biopsies. Am. J. Surg. Pathol. 2020, 44, 1353–1366. [Google Scholar] [CrossRef] [PubMed]
- Carbone, A.; Gloghini, A. Epstein Barr Virus-Associated Hodgkin Lymphoma. Cancers 2018, 10, 163. [Google Scholar] [CrossRef] [PubMed] [PubMed Central]
- MacLennan, K.A.; Bennett, M.H.; Tu, A.; Hudson, B.V.; Easterling, M.J.; Hudson, G.V.; Jelliffe, A.M. Relationship of histopathologic features to survival and relapse in nodular sclerosing Hodgkin’s disease. A study of 1659 patients. Cancer 1989, 64, 1686–1693. [Google Scholar] [CrossRef] [PubMed]
- Von Wasielewski, S.; Franklin, J.; Fischer, R.; Hübner, K.; Hansmann, M.L.; Diehl, V.; Georgii, A.; von Wasielewski, R. Nodular sclerosing Hodgkin disease: New grading predicts prognosis in intermediate and advanced stages. Blood 2003, 101, 4063–4069. [Google Scholar] [CrossRef] [PubMed]
- Anagnostopoulos, I.; Hansmann, M.L.; Franssila, K.; Harris, M.; Harris, N.L.; Jaffe, E.S.; Han, J.; Van Krieken, J.M.; Poppema, S.; Marafioti, T.; et al. European Task Force on Lymphoma project on lymphocyte predominance Hodgkin disease: Histologic and immunohistologic analysis of submitted cases reveals 2 types of Hodgkin disease with a nodular growth pattern and abundant lymphocytes. Blood 2000, 96, 1889–1899. [Google Scholar] [PubMed]
- Tiacci, E.; Ladewig, E.; Schiavoni, G.; Penson, A.; Fortini, E.; Pettirossi, V.; Wang, Y.; Rosseto, A.; Venanzi, A.; Vlasevska, S.; et al. Pervasive mutations of JAK-STAT pathway genes in classical Hodgkin lymphoma. Blood 2018, 131, 2454–2465. [Google Scholar] [CrossRef] [PubMed] [PubMed Central]
- Reichel, J.; Chadburn, A.; Rubinstein, P.G.; Giulino-Roth, L.; Tam, W.; Liu, Y.; Gaiolla, R.; Eng, K.; Brody, J.; Inghirami, G.; et al. Flow sorting and exome sequencing reveal the oncogenome of primary Hodgkin and Reed-Sternberg cells. Blood 2015, 125, 1061–1072. [Google Scholar] [CrossRef] [PubMed]
- Gunawardana, J.; Chan, F.C.; Telenius, A.; Woolcock, B.; Kridel, R.; Tan, K.L.; Ben-Neriah, S.; Mottok, A.; Lim, R.S.; Boyle, M.; et al. Recurrent somatic mutations of PTPN1 in primary mediastinal B cell lymphoma and Hodgkin lymphoma. Nat. Genet. 2014, 46, 329–335. [Google Scholar] [CrossRef] [PubMed]
- Weniger, M.A.; Melzner, I.; Menz, C.K.; Wegener, S.; Bucur, A.J.; Dorsch, K.; Mattfeldt, T.; Barth, T.F.; Möller, P. Mutations of the tumor suppressor gene SOCS-1 in classical Hodgkin lymphoma are frequent and associated with nuclear phospho-STAT5 accumulation. Oncogene 2006, 25, 2679–2684. [Google Scholar] [CrossRef] [PubMed]
- Masel, R.; Roche, M.E.; Martinez-Outschoorn, U. Hodgkin Lymphoma: A disease shaped by the tumor micro- and macroenvironment. Best Pract. Res. Clin. Haematol. 2023, 36, 101514. [Google Scholar] [CrossRef] [PubMed]
- Carbone, A.; Gloghini, A.; Carlo-Stella, C. Tumor microenvironment contribution to checkpoint blockade therapy: Lessons learned from Hodgkin lymphoma. Blood 2023, 141, 2187–2193. [Google Scholar] [CrossRef] [PubMed] [PubMed Central]
- Steidl, C.; Lee, T.; Shah, S.P.; Farinha, P.; Han, G.; Nayar, T.; Delaney, A.; Jones, S.J.; Iqbal, J.; Weisenburger, D.D.; et al. Tumor-associated macrophages and survival in classic Hodgkin’s lymphoma. N. Engl. J. Med. 2010, 362, 875–885. [Google Scholar] [CrossRef] [PubMed] [PubMed Central]
- Gotti, M.; Nicola, M.; Lucioni, M.; Fiaccadori, V.; Ferretti, V.; Sciarra, R.; Costanza, M.; Bono, E.; Molo, S.; Maffi, A.; et al. Independent prognostic impact of tumour-infiltrating macrophages in early-stage Hodgkin’s lymphoma. Hematol. Oncol. 2017, 35, 296–302. [Google Scholar] [CrossRef] [PubMed]
- Jachimowicz, R.D.; Pieper, L.; Reinke, S.; Gontarewicz, A.; Plütschow, A.; Haverkamp, H.; Frauenfeld, L.; Fend, F.; Overkamp, M.; Jochims, F.; et al. Whole-slide image analysis of the tumor microenvironment identifies low B-cell content as a predictor of adverse outcome in patients with advanced-stage classical Hodgkin lymphoma treated with BEACOPP. Haematologica 2021, 106, 1684–1692. [Google Scholar] [CrossRef] [PubMed] [PubMed Central]
- Bosch-Schips, J.; Granai, M.; Quintanilla-Martinez, L.; Fend, F. The Grey Zones of Classic Hodgkin Lymphoma. Cancers 2022, 14, 742. [Google Scholar] [CrossRef] [PubMed] [PubMed Central]
- Dojcinov, S.D.; Venkataraman, G.; Raffeld, M.; Pittaluga, S.; Jaffe, E.S. EBV positive mucocutaneous ulcer--a study of 26 cases associated with various sources of immunosuppression. Am. J. Surg. Pathol. 2010, 34, 405–417. [Google Scholar] [CrossRef] [PubMed] [PubMed Central]
- Ikeda, T.; Gion, Y.; Sakamoto, M.; Tachibana, T.; Nishikori, A.; Nishimura, M.F.; Yoshino, T.; Sato, Y. Clinicopathological analysis of 34 Japanese patients with EBV-positive mucocutaneous ulcer. Mod. Pathol. 2020, 33, 2437–2448. [Google Scholar] [CrossRef] [PubMed]
- Wilson, W.H.; Pittaluga, S.; Nicolae, A.; Camphausen, K.; Shovlin, M.; Steinberg, S.M.; Roschewski, M.; Staudt, L.M.; Jaffe, E.S.; Dunleavy, K. A prospective study of mediastinal gray-zone lymphoma. Blood 2014, 124, 1563–1569. [Google Scholar] [CrossRef] [PubMed] [PubMed Central]
- Sarkozy, C.; Copie-Bergman, C.; Damotte, D.; Ben-Neriah, S.; Burroni, B.; Cornillon, J.; Lemal, R.; Golfier, C.; Fabiani, B.; Chassagne-Clément, C.; et al. Gray-zone Lymphoma Between cHL and Large B-Cell Lymphoma: A Histopathologic Series From the LYSA. Am. J. Surg. Pathol. 2019, 43, 341–351. [Google Scholar] [CrossRef] [PubMed]
- Tousseyn, T.A.; King, R.L.; Fend, F.; Feldman, A.L.; Brousset, P.; Jaffe, E.S. Evolution in the definition and diagnosis of the Hodgkin lymphomas and related entities. Virchows Arch. 2023, 482, 207–226. [Google Scholar] [CrossRef] [PubMed]
- Pilichowska, M.; Pittaluga, S.; Ferry, J.A.; Hemminger, J.; Chang, H.; Kanakry, J.A.; Sehn, L.H.; Feldman, T.; Abramson, J.S.; Kritharis, A.; et al. Clinicopathologic consensus study of gray zone lymphoma with features intermediate between DLBCL and classical HL. Blood Adv. 2017, 1, 2600–2609. [Google Scholar] [CrossRef] [PubMed] [PubMed Central]
- Sarkozy, C.; Hung, S.S.; Chavez, E.A.; Duns, G.; Takata, K.; Chong, L.C.; Aoki, T.; Jiang, A.; Miyata-Takata, T.; Telenius, A.; et al. Mutational landscape of gray zone lymphoma. Blood 2021, 137, 1765–1776. [Google Scholar] [CrossRef] [PubMed]
- Sarkozy, C.; Chong, L.; Takata, K.; Chavez, E.A.; Miyata-Takata, T.; Duns, G.; Telenius, A.; Boyle, M.; Slack, G.W.; Laurent, C.; et al. Gene expression profiling of gray zone lymphoma. Blood Adv. 2020, 4, 2523–2535. [Google Scholar] [CrossRef] [PubMed] [PubMed Central]
- Pittaluga, S.; Nicolae, A.; Wright, G.W.; Melani, C.; Roschewski, M.; Steinberg, S.; Huang, D.; Staudt, L.M.; Jaffe, E.S.; Wilson, W.H. Gene Expression Profiling of Mediastinal Gray Zone Lymphoma and Its Relationship to Primary Mediastinal B-cell Lymphoma and Classical Hodgkin Lymphoma. Blood Cancer Discov. 2020, 1, 155–161. [Google Scholar] [CrossRef] [PubMed] [PubMed Central]
- Eberle, F.C.; Rodriguez-Canales, J.; Wei, L.; Hanson, J.C.; Killian, J.K.; Sun, H.W.; Adams, L.G.; Hewitt, S.M.; Wilson, W.H.; Pittaluga, S.; et al. Methylation profiling of mediastinal gray zone lymphoma reveals a distinctive signature with elements shared by classical Hodgkin’s lymphoma and primary mediastinal large B-cell lymphoma. Haematologica 2011, 96, 558–566. [Google Scholar] [CrossRef] [PubMed] [PubMed Central]
- Gibson, S.E.; Dojcinov, S.; Dotlic, S.; Hartmann, S.; Hsi, E.D.; Klimkowska, M.; Melle, F.; Pileri, S.A.; Ramsower, C.A.; Rech, K.; et al. Mediastinal large B cell lymphoma and surrounding gray areas: A report of the lymphoma workshop of the 20th meeting of the European Association for Haematopathology. Virchows Arch. 2023, 483, 733–749. [Google Scholar] [CrossRef] [PubMed] [PubMed Central]
Disclaimer/Publisher’s Note: The statements, opinions and data contained in all publications are solely those of the individual author(s) and contributor(s) and not of MDPI and/or the editor(s). MDPI and/or the editor(s) disclaim responsibility for any injury to people or property resulting from any ideas, methods, instructions or products referred to in the content. |
© 2024 by the authors. Licensee MDPI, Basel, Switzerland. This article is an open access article distributed under the terms and conditions of the Creative Commons Attribution (CC BY) license (https://creativecommons.org/licenses/by/4.0/).

















