Next Article in Journal
Radiotherapy and Its Consequences in Relation to Oral Squamous Cell Carcinoma—A Narrative Review
Previous Article in Journal
X-Ray Interaction and the Electronic, Atomic Cross-Sections and Compton Mass-Attenuation Coefficients of Human Blood, Breasts, Eye Lens, Ovaries, and Testis
 
 
Font Type:
Arial Georgia Verdana
Font Size:
Aa Aa Aa
Line Spacing:
Column Width:
Background:
Case Report

Osteoblastoma of the Spine—A Clinical Challenge

1
College of Medicine, University of Tennessee Health Sciences Center, Memphis, TN 38163, USA
2
Radiation Oncology, University of South Florida, Tampa, FL 33606, USA
3
Radiation Oncology, Vanderbilt University Medical Center, Nashville, TN 37232, USA
*
Author to whom correspondence should be addressed.
Radiation 2025, 5(3), 25; https://doi.org/10.3390/radiation5030025
Submission received: 31 July 2025 / Revised: 8 September 2025 / Accepted: 12 September 2025 / Published: 15 September 2025

Simple Summary

A 65-year-old man was diagnosed with a spinal osteoblastoma, a rare benign bone neoplasm. Due to its location and aggressive behavior, surgical intervention was limited, and the tumor regrew despite partial resections. As a response, the clinical team transitioned to a disease-stabilization approach, and the patient was considered for other treatment modalities. Since systemic therapies have shown limited efficacy, he was treated with intensity-modulated radiation therapy (IMRT). Follow-up imaging over the subsequent year demonstrated stable disease without further growth. This case report highlights the importance of treatment adaptability in managing spinal osteoblastomas. When complete surgical excision carries significant risk, radiation may serve as a safe and effective means of long-term disease control. This case shows a need for individualized, evolving treatment strategies in patients with this rare tumor when it occurs in the spine.

Abstract

Osteoblastoma is a rare osteoid-producing tumor that commonly manifests in the spine or long bones. Although benign, it can be locally aggressive, presenting obstacles in both diagnosis and treatment. When arising in the spine, proximity to important structures complicates management. A 65-year-old male presented with back pain refractory to conservative management. An MRI showed a multilevel thoracic lesion with rib involvement. Biopsies narrowed the differential diagnosis to osteoblastoma vs. aggressive osteosarcoma. Two surgeries were performed to stabilize the spine and partially resect the tumor; full resection was not feasible. Following reprogression, intensity-modulated radiation therapy (IMRT) was initiated for local control. The peripheral osseous component was included due to uncertain histologic viability. Surgical hardware artifacts complicated radiation field planning. MRI 3, 6, and 12 months post IMRT demonstrated no tumor progression. This case demonstrates how treatment goals evolve throughout disease progression. Early surgical intervention aimed to completely resect or maximally reduce tumor mass and stabilize the spine; later efforts prioritized preventing progression. Radiation dosing was limited by uncertainty of viable tissue, imaging artifacts, and adjacent radiosensitive organs. The lesion’s chronicity warranted disease management more than cure. This case highlights the complexity of managing rare spinal tumors and adaptive treatment goals. Risk–benefit analysis remains paramount to disease management strategy.

1. Introduction

Osteoblastoma is a rare benign osteoid-producing tumor, accounting for about 1% of all primary bone neoplasms [1]. It typically affects adolescents and young adults, commonly presenting in the spine and long bones [1]. Although osteoblastomas are benign, they may exhibit locally aggressive behavior.
Osteoblastomas occurring in the spine pose unique clinical challenges due to their proximity to critical neurovascular structures and adjacent organs. Additionally, on imaging, these lesions can appear similar to malignant tumors such as osteosarcoma, or in rare cases even infection, complicating the diagnostic process [2,3,4]. Osteoblastomas can be radiolucent on radiographs and CT; as such, correct management requires a full spinal MRI with and without contrast for accurate characterization [2,3]. On MRI, osteoblastomas will typically have low or intermediate signaling with T1 and intermediate to high with T2 [5]. Even so, osteoblastomas of the spine commonly present like osteoid osteomas; both most commonly appear in posterior spinal elements such as the lamina and pedicles [2,3]. Interestingly, differentiating these two tumor types is surprisingly nonspecific, with size and structure being the main classifiers. For example, while more characteristic of osteoid osteomas, osteoblastomas sometimes present with a radiolucent nidus [2]. However, typically, osteoid osteomas present as smaller lesions, typically around 1.5cm in diameter with a characteristic round or oval shape with a central nidus, whereas osteoblastomas are larger, presenting a diameter larger than 2cm, expansile, and well-circumscribed, with a shell of cortical bone or periosteal tissue [2]. Recent studies have shown that both osteoid osteomas and osteoblastomas frequently harbor rearrangements in the FOS or FOSB genes, with such alterations present in up to 89% of cases [6,7]. In contrast, osteosarcomas do not exhibit these FOS/FOSB rearrangements, making this a potentially useful diagnostic distinction [6,7].
Unless presenting with a characteristic shape or size, biopsy is required to differentiate bony tumors of the spine [8]. Biopsy also carries challenges in the case of spinal tumors. One of the most critical complications to avoid is seeding the tumor along the needle tract during this procedure [8]. Although a more uncommon occurrence, precise planning is required between radiologists, pathologists, and surgeons to avoid this adverse outcome. Minimizing the number of passes, using coaxial techniques, and potentially resecting the biopsy tract can help reduce the risk of this potential complication [9].
Many pathologists have further delineated osteoblastomas into conventional vs. aggressive, with the aggressive type being graded in between benign osteoblastoma and malignant osteosarcoma, with the most aggressive osteoblastomas mimicking osteosarcoma behavior [2]. Serum alkaline phosphatase tests have historically been used to differentiate these two subtypes, although this analysis is less commonly utilized today [2]. Microscopically, osteoblastomas can have a varying appearance. Generally, histology shows interconnected bony trabeculae lined by a single osteoblast layer housed within loose fibrovasculature [10]. This is a key histologic feature that can help differentiate osteoblastomas from osteoblastoma-like osteosarcomas [10]. Mitotic figures tend to also be lower in osteoblastomas, reflecting a slower-growing, less invasive neoplasm [10]. Additionally, due to the continuously remodeling nature of osteoblastoma, larger osteoclasts are also commonplace [10]. Due to the myriad of similarities these lesions can display with each other, misdiagnosis is a real possibility that can impact treatment and prognosis [11]. It would be beneficial to increase investigation into additional methods to better differentiate between these neoplasms.
The standard treatment for osteoblastoma is surgical resection, ideally achieving complete removal [5,12]. Most cases call for curettage of the lesion, but more aggressive or larger presentations can require en bloc resection [5,8]. Additional vertebral fusion to stabilize the spine is utilized if the lesion is osteolytic [4,13]. However, when the tumor extensively infiltrates surrounding structures and/or progresses after prior operations, surgery may carry significant risk or become unfeasible. In such cases, the treatment strategy may shift from cure to chronic disease control, particularly in benign but locally aggressive tumors. Minimally invasive ablative techniques such as radiofrequency ablation (RFA) or magnetic resonance-guided ultrasound surgery (MRgFUS) are increasingly being used for smaller lesions, but these are also secondary to more traditional surgery [14]. Traditional cytotoxic chemotherapy is typically reserved for cases where osteoblastoma has transformed into osteosarcoma, or as a last resort, with less than favorable response rates. Denosumab, a monoclonal antibody that targets and inhibits receptor activator of nuclear factor-kappa B ligand (RANKL), thereby suppressing osteoclast activity, has been used to reduce malignancy size and promote mineralization, usually in conjunction with future surgery [15]. Studies have shown that denosumab can lead to tumor size reduction, pain relief, increased bone formation, and stabilization of bone structure in osteoblastoma patients, but has surprisingly been associated with higher risk of local tumor recurrence after resection [16]. However, Denosumab, as well as other monoclonal antibody therapies, is typically reserved for malignant neoplasms rather than benign lesions, as is standard clinical practice.
This case demonstrates the beneficial role of radiation therapy in managing spinal osteoblastoma. Due to the uncommon occurrence of osteoblastoma, the usage of radiation therapy for treatment has been historically limited, although there have been cases of its use in conjunction with surgical intervention for decades [17]. There has been considerable progress in radiation oncology targeting and delivery within this time period, with the development of intensity-modulated radiation therapy (IMRT), stereotactic body radiation therapy (SBRT), and particle therapy. These advancements in turn could provide considerable benefit when added to treatment protocol for osteoblastoma of the spine, especially earlier on in disease courses. While often reserved for unresectable or recurrent neoplasms, earlier incorporation of radiation into the treatment plan can provide a less invasive method to stabilize tumor growth and prevent complications.

2. Case Presentation (Detailed)

A 65-year-old male with a history of hypertension and vitreous degeneration presented with a four-year history of back pain refractory to physical therapy and medical management. An MRI showed a large hyperenhancing lesion on T1- and T2-weighted sequences involving the left side of the T9–T11 vertebrae with severe central canal and neuroforaminal stenosis at T9–T10 and T10–T11. Additionally, there was marrow replacement in the left lateral aspect of the T4 body. The T5 and T6 vertebral bodies may have also had infiltration, consistent with multilevel vertebral involvement (Figure 1).
Pathology described an atypical eosinophilic osteoid-secreting lesion containing abundant osteoblasts with vascular structures, consistent with an osteoblastoma. There was no malignant mitotic activity identified. However, it was not possible to rule out osteosarcoma, making the differential diagnosis at that time osteoblastic osteosarcoma vs. aggressive osteosarcoma (Figure 2).
The extensive spread throughout the spine and considerable central canal stenosis warranted aggressive surgery. The patient underwent a T7–L1 posterior spinal arthrodesis with allograft bone and instrumentation, accompanied by thoracic laminectomies at T9, T10, and T11, as well as a left-sided T10 costotransversectomy to decompress neural structures and stabilize the spine. However, not all of the tumor could be resected due to unfavorable surgical risk. Follow-up imaging over the subsequent 3 years demonstrated recurrence and progression, with the patient developing weakness in his legs, prompting emergency T10 corpectomy, laminectomy of T9–T11, T7–L1 post spinal arthrodesis with allograft bone, bilateral T10 neurotomy, and right-sided transpedicular decompression for circumferential decompression of the spinal cord. Further serial imaging again indicated serial tumor progression, and it was concluded that his spine showed stability but he was no longer a candidate for further surgery (Figure 3).
At that time, the goal of treatment changed from resection to growth control.
He underwent intensity-modulated radiation therapy (IMRT) using volumetric modulated arc therapy (VMAT) over 1 year ago, receiving 5040 cGy to the soft tissue component and 4760 cGy to the osseous component. Although the neoplastic viability of the surrounding osseous component remained uncertain, it was decided to include it in the radiation dose field to address all suspected tissue as at risk. Furthermore, due to the spinal hardware from surgery, the tumor margins, tumor volume, and location of the spinal cord were difficult to delineate, posing a further challenge in radiation planning. This treatment also took into consideration adjacent structures including the lungs, spinal cord, bowels, and kidneys (Figure 4 and Figure 5).
The patient tolerated the radiation therapy well, and post-treatment MRI at three, six, and twelve months post IMRT demonstrated no disease progression without further neurological complications. A summary of the key clinical events for clarity purposes can be found in Table 1.

3. Discussion

The term ‘benign osteoblastoma’ was first proposed by Jaffe and Lichtenstein in 1956 to describe a benign tumor characterized by the abundant presence of osteoblasts, as well as vascular and bone-forming features [13]. One third of all cases of osteoblastoma present within the spine and sacrum [10]. The patient in this case is 65, which is not a common age for presentation [1]. Moreover, the multivertebral involvement with the combined treatment of surgery and IMRT makes this instance of osteoblastoma particularly unique. Osteosarcoma may initially be misdiagnosed and hence subjected to inappropriate treatment as discussed previously [18]. For this patient, the differential diagnosis was narrowed to aggressive osteoblastoma vs. osteosarcoma. Both neoplasms can behave aggressively, produce osteoid, and share histological similarities, all of which can confound diagnosis, as was the case here. Osteosarcoma typically requires aggressive treatment, often paired with chemotherapy, which comes with toxicity risks. In contrast, osteoblastoma is often treated with resection alone via curettage or en bloc, as evidence toward efficacy with chemotherapy exists but is limited, so misdiagnosis can lead to unnecessary exposure to cytotoxic therapy without any benefit to the patient [2,5,8,15]. While multidrug chemotherapy has been anecdotally reported to induce tumor response in pediatric populations, no large retrospective or prospective studies have proven efficacy in adults [15].
In this case, the extensive tumor involvement made complete resection too risky, so spine stabilization and prevention of neurologic catastrophe were the primary goals. Progression of unresected disease on serial imaging and history of two previous spinal procedures made a third resection too risky and unlikely to remove all viable tumors. As a result, treatment pivoted to non-surgical options. Immunohistochemical staining for FOS gene rearrangements, which are only present in osteoid osteoma and osteoblastoma, can be useful in narrowing the diagnosis [7]. However, these mutations are absent in a minority of cases, which necessitates the usage of other diagnostic tools such as radiologic and histologic features [7]. Additionally, while less relevant today, serum alkaline phosphatase can aid in differentiating conventional and aggressive variants of osteoblastoma, which could have proved useful in this case [2]. Irrespective of the diagnosis, the multilevel vertebral involvement mandated a large-scale intervention aiming to reduce tumor burden and stabilize the spine. Radiotherapy offers a noninvasive option when surgery is not feasible [19]. Radiotherapy has also been utilized in larger single-institution reports with a range of doses of 50–70 Gy in standard 1.8–2.0 Gy fractions, which also controlled tumor progression at lower doses [20]. Intensity-modulated radiation therapy (IMRT) allows for conformality of radiation dose to tumor target tissue while maximally sparing dose to adjacent organs. This was key for this patient with tumors surrounding important neurovascular structures and viscera. This case carried further complexities, including implantation of surgical hardware which reduced precision in locating the encased spinal cord, and the uncertainty of needing to include the surrounding osteoid component of the tumor in the treatment volume. To account for these challenges, the radiation dose was customized to provide maximum dose to the osteoblasts within the soft tissue component surrounding the spinal cord while retaining safety for cord tolerance (50.4 Gy), and a lower but sterilizing dose to any microscopic deposits of viable cells within the osseous surrounding component (47.6 Gy). This lower dose allowed tolerable dosing to adjacent radiosensitive organs including the lungs, kidneys, and bowel at standard fraction sizes. In this case, the patient remains free from subacute and moderate-term radiation toxicity.

4. Conclusions

This case illuminates the importance of evolving treatment goals for spinal osteoblastoma, especially within the scope of disease progression and anatomic complexity. While the initial aim in most oncology cases is to cure the patient, factors like patient history, tumor location, and treatment risk–benefit analysis often, unfortunately, limit what is achievable. With regard to disease progression, focus shifted away from eradicating the tumor to limiting its growth, with prevention of neurological complications becoming the highest priority. This patient case showed widespread involvement in the spine, which made complete removal unrealistic. Combined with the tumor’s proximity to critical structures and surgical imaging artifacts, this necessitated changing to treatment modalities that prevent further growth. While surgical intervention remains a cornerstone of treatment for osteoblastoma, this case demonstrates the potential benefit of integration of radiation into treatment plans to improve control of growth. Importantly, the use of intensity-modulated radiation therapy (IMRT) allowed for precise dosing around fragile structures, minimizing off-target toxicity. Due to the low prevalence of spinal osteoblastoma, and even more so of cases where lesions are not fully resectable, research into the efficacy of radiation as an adjuvant is limited. While there is some evidence supporting the use of radiation as an alternative when surgery is not realistic, its role as an adjuvant therapy that supplements partial removal has not been sufficiently investigated. Future prospective research should be undertaken to assess whether RT under this pretext shows benefit compared to surgery alone. The delayed usage of radiation in this patient is likely in part a consequence of this limited inquiry. Otherwise, perhaps earlier implementation of RT could have been considered.
Systemic therapies have been utilized with limited success; Denosumab has emerged as a potential strategy for marginally resectable tumors and may allow for less invasive surgical approaches, such as curettage, instead of more aggressive resections that might compromise spine function. However, metanalysis data suggest potentially higher local tumor recurrence with this approach, and more well-conducted prospective trials are needed that test this monoclonal antibody and others in this disease.
This case illuminates the nuance that comes with diagnosing osteoblastoma. Even for experienced clinicians, distinguishing osteoblastoma and osteosarcoma can be “tricky”, a consequence of similar histologic and radiographic appearance, especially for more aggressive osteoblastomas. However, misdiagnosis carries dire consequences, as it could lead to overly aggressive treatment or delay appropriate therapy. Diagnostic techniques—genetic, radiographic, and immunohistochemical—show promise in surmounting this challenge of mimicry. The complexities that come with the differential diagnosis and tailoring care to feasible goals based on assessing risk vs. benefit are illuminated by this case. Broadly, managing these rare tumors requires a flexible, multifaceted team approach that adapts to disease course and to specific patient presentations and needs.

Author Contributions

Drafting and editing the manuscript, interpreting the data, L.C.; clinical case, patient care, data analysis, M.H.K.; clinical case, supervising the project, assisting with data analysis, revising the manuscript, A.J.C. All authors have read and agreed to the published version of the manuscript.

Funding

This research received no external funding.

Institutional Review Board Statement

Because of the retrospective nature of the case report, the study was considered IRB-exempt.

Informed Consent Statement

Informed consent was waived due to anonymization of data and omission of any unique or characteristic patient identifiers.

Data Availability Statement

The data supporting the findings of this study are contained within the article. All data have been anonymized to protect patient confidentiality.

Acknowledgments

The authors would like to thank the clinical staff involved in the care of the patient for their support and contributions.

Conflicts of Interest

The authors declare no conflicts of interest.

References

  1. Cè, M.; Cellina, M.; Ueanukul, T.; Carrafiello, G.; Manatrakul, R.; Tangkittithaworn, P.; Jaovisidha, S.; Fuangfa, P.; Resnick, D. Multimodal Imaging of Osteosarcoma: From First Diagnosis to Radiomics. Cancers 2025, 17, 599. [Google Scholar] [CrossRef] [PubMed]
  2. Galgano, M.A.; Goulart, C.R.; Iwenofu, H.; Chin, L.S.; Lavelle, W.; Mendel, E. Osteoblastomas of the spine: A comprehensive review. Neurosurg. Focus 2016, 41, E4. [Google Scholar] [CrossRef] [PubMed]
  3. Goodwin, M.L.; Buchowski, J.M.; Schwab, J.H.; Sciubba, D.M. Spinal Tumors: Diagnosis and Treatment. J. Am. Acad. Orthop. Surg. 2022, 30, e1106–e1121. [Google Scholar] [CrossRef] [PubMed]
  4. Stavridis, S.I.; Pingel, A.; Schnake, K.J.; Kandziora, F. Diagnosis and treatment of a C2-osteoblastoma encompassing the vertebral artery. Eur. Spine J. 2013, 22, 2504–2512. [Google Scholar] [CrossRef] [PubMed]
  5. Ariyaratne, S.; Jenko, N.; Iyengar, K.P.; James, S.; Mehta, J.; Botchu, R. Primary Benign Neoplasms of the Spine. Diagnostics 2023, 13, 2006. [Google Scholar] [CrossRef] [PubMed]
  6. Amini, B.; Valenzuela, R.F.P.; Bird, J.E.; Haygood, T.M. Osteoid Tumors of Bone. Semin. Ultrasound CT MRI 2021, 42, 134–149. [Google Scholar] [CrossRef] [PubMed]
  7. Fittall, M.W.; Mifsud, W.; Pillay, N.; Ye, H.; Strobl, A.-C.; Verfaillie, A.; Demeulemeester, J.; Zhang, L.; Berisha, F.; Tarabichi, M.; et al. Recurrent rearrangements of FOS and FOSB define osteoblastoma. Nat. Commun. 2018, 9, 1–6. [Google Scholar] [CrossRef] [PubMed]
  8. Rustagi, T.; Schwab, J.H.; Iwenofu, H.; Mendel, E. Overview of the management of primary tumors of the spine. Int. J. Neurosci. 2020, 132, 543–557. [Google Scholar] [CrossRef] [PubMed]
  9. Holmes, D.R. Reducing the Risk of Needle Tract Seeding or Tumor Cell Dissemination during Needle Biopsy Procedures. Cancers 2024, 16, 317. [Google Scholar] [CrossRef] [PubMed]
  10. Lucas, D.R. Osteoblastoma. Arch. Pathol. Lab. Med. 2010, 134, 1460–1466. [Google Scholar] [CrossRef] [PubMed]
  11. Limaiem, F.; Nefiss, M.; Bouzidi, R. Delayed diagnosis of spinal osteoblastoma presenting with radicular pain and scoliosis: A case report. Int. J. Surg. Case Rep. 2025, 127, 110924. [Google Scholar] [CrossRef] [PubMed]
  12. Wu, M.; Xu, K.; Xie, Y.; Yan, F.; Deng, Z.; Lei, J.; Cai, L. Diagnostic and Management Options of Osteoblastoma in the Spine. Med. Sci. Monit. 2019, 25, 1362–1372. [Google Scholar] [CrossRef] [PubMed]
  13. Jaffe, H.L. Benign osteoblastoma. Bull Hosp. Joint Dis. 1956, 17, 141–151. [Google Scholar] [PubMed]
  14. Bellisari, F.C.; Palumbo, P.; Masciocchi, C.; Zoccali, C.; Barile, A.; Arrigoni, F. Needleless Ablation of Osteoid Osteoma and Osteoblastoma: The Emergent Role of MRgFUS. J. Clin. Med. 2021, 11, 128. [Google Scholar] [CrossRef] [PubMed]
  15. Miller, P.D.; Bolognese, M.A.; Lewiecki, E.M.; McClung, M.R.; Ding, B.; Austin, M.; Liu, Y.; Martin, J.S. Effect of denosumab on bone density and turnover in postmenopausal women with low bone mass after long-term continued, discontinued, and restarting of therapy: A randomized blinded phase 2 clinical trial. Bone 2008, 43, 222–229. [Google Scholar] [CrossRef] [PubMed]
  16. Chen, X.; Li, H.; Zhu, S.; Wang, Y.; Qian, W. Pre-operative denosumab is associated with higher risk of local recurrence in giant cell tumor of bone: A systematic review and meta-analysis. BMC Musculoskelet. Disord. 2020, 21, 1–9. [Google Scholar] [CrossRef]
  17. Berberoglu, S.; Oguz, A.; Aribal, E.; Ataoglu, Ö. Osteoblastoma response to radiotherapy and chemotherapy. Med. Pediatr. Oncol. 1997, 28, 304–309. [Google Scholar] [CrossRef]
  18. Hecker-Nolting, S.; Baumhoer, D.; Blattmann, C.; Kager, L.; Kühne, T.; Kevric, M.; Lang, S.; Mettmann, V.; Sorg, B.; Werner, M.; et al. Osteosarcoma pre-diagnosed as another tumor: A report from the Cooperative Osteosarcoma Study Group (COSS). J. Cancer Res. Clin. Oncol. 2022, 149, 1961–1967. [Google Scholar] [CrossRef]
  19. Boriani, S.; Amendola, L.; Bandiera, S.; Simoes, C.E.; Alberghini, M.; Di Fiore, M.; Gasbarrini, A. Staging and treatment of osteoblastoma in the mobile spine: A review of 51 cases. Eur. Spine J. 2012, 21, 2003–2010. [Google Scholar] [CrossRef]
  20. Szostakowski, B.; Morysiński, T.; Rutkowski, P.; Spalek, M.J. Radiotherapy for osteoblastoma: The 25-year institutional experience. Rep. Pract. Oncol. Radiother. 2024, 29, 437–444. [Google Scholar] [CrossRef]
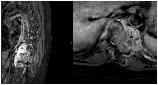
Figure 1. MRI demonstrates a lesion with multivertebral involvement with severe invasion of T10.
Figure 1. MRI demonstrates a lesion with multivertebral involvement with severe invasion of T10.
Radiation 05 00025 g001
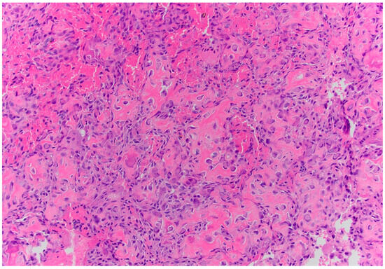
Figure 2. Pathology demonstrates an atypical eosinophilic osteoid-producing lesion (H and E, 400×).
Figure 2. Pathology demonstrates an atypical eosinophilic osteoid-producing lesion (H and E, 400×).
Radiation 05 00025 g002
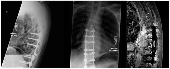
Figure 3. The first two images were taken in March 2019, with the right image taken in July 2023. Other MRIs were taken, which demonstrated serial occurrence.
Figure 3. The first two images were taken in March 2019, with the right image taken in July 2023. Other MRIs were taken, which demonstrated serial occurrence.
Radiation 05 00025 g003
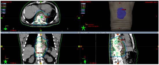
Figure 4. Dosimetry illustrating tumor dose, and dose–volume histogram of tumor (royal blue) and adjacent organs at risk such as spinal cord (brown), right and left lungs (white), and kidneys (gold and green).
Figure 4. Dosimetry illustrating tumor dose, and dose–volume histogram of tumor (royal blue) and adjacent organs at risk such as spinal cord (brown), right and left lungs (white), and kidneys (gold and green).
Radiation 05 00025 g004
Figure 5. Dose cloud picture illustrating IMRT coverage of the target volume using VMAT. Planning accounts for hardware artifacts and proximity to critical structures such as bowel, liver, heart, and kidneys.
Figure 5. Dose cloud picture illustrating IMRT coverage of the target volume using VMAT. Planning accounts for hardware artifacts and proximity to critical structures such as bowel, liver, heart, and kidneys.
Radiation 05 00025 g005
Table 1. This table denotes the timeline of important events, including diagnosis and treatment, described in this case presentation.
Table 1. This table denotes the timeline of important events, including diagnosis and treatment, described in this case presentation.
DateEventKey Findings/Outcomes
2015Onset of back painPain refractory to physical therapy and medical management
01/30/2019MRI of thoracic spineLarge hyperenhancing lesion T9–T11; severe central canal and foraminal stenosis without neurological deficits at that time
02/08/2019Initial biopsyReported as sarcoma
02/27/2019Repeat biopsyOsteoid-secreting tumor (osteoblastoma vs. osteosarcoma)
03/05/2019Surgery: T7–L2 fusion with T10 transpedicular decompressionIncomplete resection due to surgical risk; decompression performed to address stenosis
10/17/2022MRIRecurrent/progressive lesion at T10
10/20/2022Surgery: T9–T10 corpectomy, T7–L1 posterior laminectomies, cage reconstructionIndicated for leg weakness and tumor progression
02/26/2023MRIFurther tumor growth noted
05/14/2024IMRT5040 cGy to soft tissue; 4760 cGy to osseous component
08/2024MRI (3 months post-IMRT)Stable disease, no further neurological complications
Disclaimer/Publisher’s Note: The statements, opinions and data contained in all publications are solely those of the individual author(s) and contributor(s) and not of MDPI and/or the editor(s). MDPI and/or the editor(s) disclaim responsibility for any injury to people or property resulting from any ideas, methods, instructions or products referred to in the content.

Share and Cite

MDPI and ACS Style

Cmelak, L.; Khattab, M.H.; Cmelak, A.J. Osteoblastoma of the Spine—A Clinical Challenge. Radiation 2025, 5, 25. https://doi.org/10.3390/radiation5030025

AMA Style

Cmelak L, Khattab MH, Cmelak AJ. Osteoblastoma of the Spine—A Clinical Challenge. Radiation. 2025; 5(3):25. https://doi.org/10.3390/radiation5030025

Chicago/Turabian Style

Cmelak, Luca, Mohamed H. Khattab, and Anthony J. Cmelak. 2025. "Osteoblastoma of the Spine—A Clinical Challenge" Radiation 5, no. 3: 25. https://doi.org/10.3390/radiation5030025

APA Style

Cmelak, L., Khattab, M. H., & Cmelak, A. J. (2025). Osteoblastoma of the Spine—A Clinical Challenge. Radiation, 5(3), 25. https://doi.org/10.3390/radiation5030025

Article Metrics

Back to TopTop