The VGG16 Method Is a Powerful Tool for Detecting Brain Tumors Using Deep Learning Techniques †
Abstract
:1. Introduction
2. Literature Survey
3. Proposed System
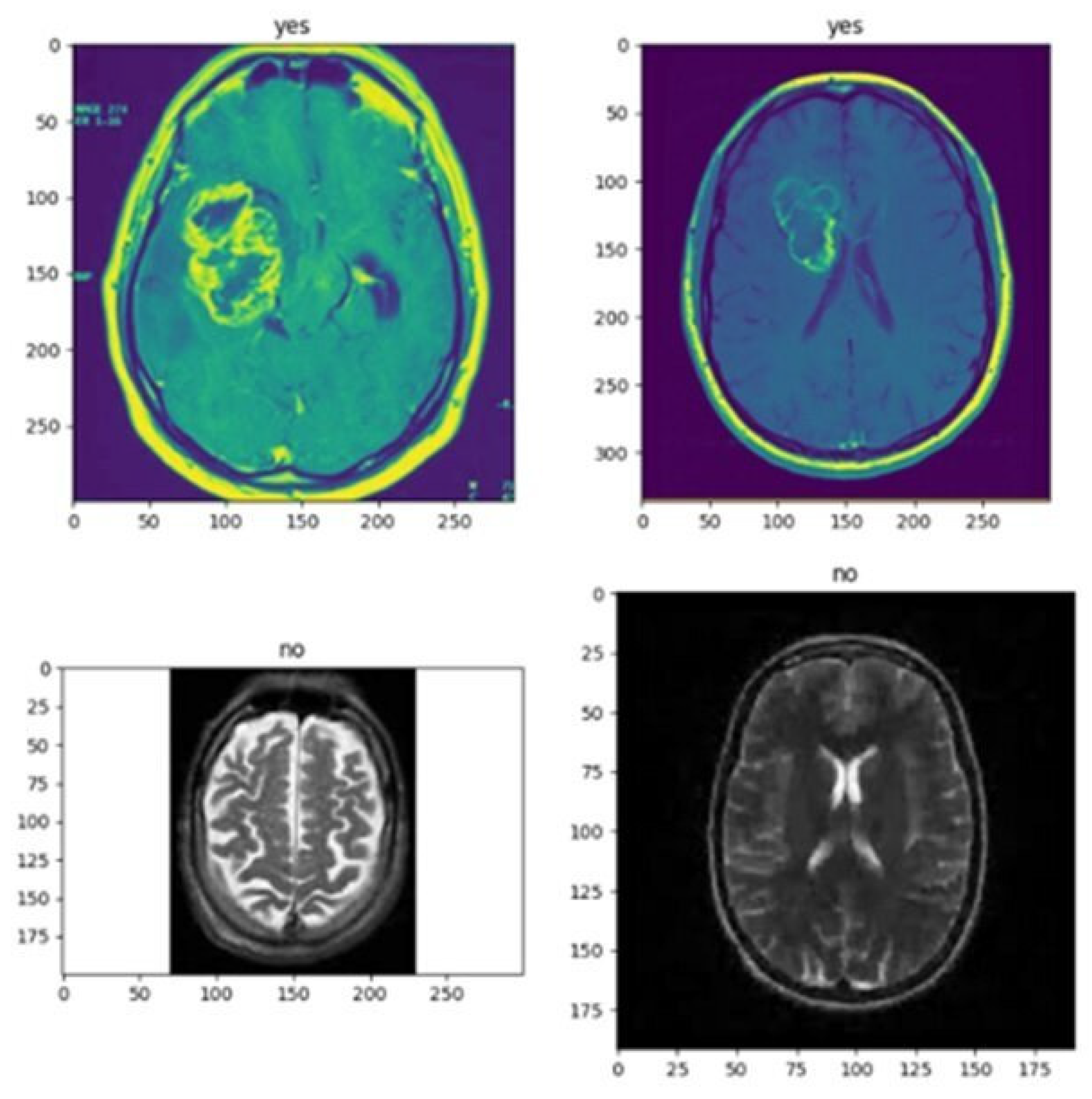
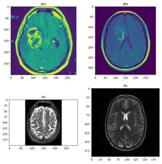
- Image Processing: There are many imaging techniques that use the brain, including Magnetic Resonance Imaging (MRI), Computed Tomography (CT), and Positron Emission Tomography (PET). Each model has its own strengths and limitations, and the choice of model will depend on the specific issue and capability. MRI is the most widely used for brain imaging. It has a high resolution and similar texture, making it ideal for determining the location and size of a tumor. MRI can also provide information about the blood supply to the tumor and the presence of enemas (swelling). MRI is noninvasive and contains no ionizing radiation, making it safe and versatile. However, MRI can be expensive and time-consuming, and patients may feel claustrophobic or uncomfortable during the scan. CT is another method that can be used to image brain tumors. It uses X-rays to create detailed images of the brain that can be used to determine the location and size of tumors. CT is faster, cheaper, and sometimes more effective than MRI. However, CT contains ionizing radiation, which can be dangerous to patients, and provides less contrast between soft tissues than MRI. PET is a technique that can be used to identify areas of the brain with increased metabolic activity that may indicate the presence of cancer. PET scans are often used with CT or MRI scans to give more details regarding the tumor’s dimensions and position. PET scans involve injections of antibodies that can be harmful to patients and are more expensive and more common than MRI or CT. For in-depth investigations, MRI is often preferred because of its high resolution and tissue homogeneity. MRI images can be used to create 3D volumes of the brain. They can be applied to deep learning model instructional design and evaluation. CT and PET images can also be used for in-depth investigations but may require additional pre-processing steps to improve image quality and reduce noise. In general, the choice of modality depends on the specific questions and available resources, but MRI is generally considered the gold standard for neuroimaging.
- Pre-Processing: The methods used to obtain digital images ready for examination or additional processing are referred to as image pre-processing. Enhancing the clarity or quality of the image and making it simpler to retrieve valuable information from it are the two main objectives of image pre-processing.
- Feature Extraction and Selection: Selecting a portion of the most significant characteristics from a dataset’s larger collection of features is known as feature selection. This is usually accomplished by selecting the characteristics that are most informative for the model after assessing each feature’s correlation or significance with respect to the target variable. Contrarily, feature reduction entails condensing the initial collection of features into a new set that is smaller and yet preserves the majority of the original features’ content.
- Image Classification: In computer vision, classifying images is a frequent activity that entails labeling a picture according to its visual information. Image classification aims to create a model that can correctly recognize the objects or scenes that are seen in an image and give the image the appropriate label or labels.
- VGG16: With regard to picture classification, object detection, and segmentation, among other computer operations, this deep learning system has demonstrated state-of-the-art performance. Thirteen convolutional layers and three complete layers make up the sixteen layers of the VGG16 architecture. There are fixed-size 3 × 3 filters on convolution layers and fixed-size 2 × 2 filters on pooling layers. Each convolutional layer has twice as many filters as the previous layer, with the first layer having 64 filters. The output layer features a SoftMax function for categorization, and each layer includes 4096 units. The VGG16 architecture’s simplicity and consistency are among its key characteristics. Using fixed filters and filters in each layer, this model may be readily modified for various needs. Smaller-sized filters can also aid in maintaining performance.
4. Result
- A.
- Statistical Results of CNNFigure 4. Statistical result of CNN features and value points.Table 1. Statistical result accuracy summary of the CNN.
Accuracy Identification Feature Rates Total Number of Features 14 Training Time Accuracy 93.73 Validation Accuracy 90.73 Testing Accuracy 90.97
- B.
5. Conclusions and Future Work
Author Contributions
Funding
Institutional Review Board Statement
Informed Consent Statement
Data Availability Statement
Acknowledgments
Conflicts of Interest
References
- Kamnitsas, K.; Ledig, C.; Newcombe VF, J.; Simpson, J.P.; Kane, A.D.; Menon, D.K.; Rueckert, D.; Glocker, B. Efficient multi-scale 3D CNN with fully connected CRF for accurate brain lesion segmentation. Med. Image Anal. 2016, 36, 61–78. [Google Scholar] [CrossRef] [PubMed]
- Gayathri, P.; Dhavileswarapu, A.; Ibrahim, S.; Paul, R.; Gupta, R. Exploring the Potential of VGG-16 Architecture for Accurate Brain Tumor Detection Using Deep Learning. J. Comput. Mech. Manag 2023, 2, 23056. [Google Scholar] [CrossRef]
- Li, H.; Chen, H.; Qi, X.; Dou, Q.; Fu, C.W.; Heng, P.A. H-DenseUNet: Hybrid densely connected UNet for liver and tumor segmentation from CT volumes. IEEE Trans. Med. Imaging 2018, 37, 2663–2674. [Google Scholar] [CrossRef] [PubMed]
- Havaei, M.; Davy, A.; Warde-Farley, D.; Biard, A.; Courville, A.; Bengio, Y.; Pal, C. Brain tumor segmentation with deep neural networks. Med. Image Anal. 2017, 35, 18–31. [Google Scholar] [CrossRef] [PubMed]
- Han, X. MR-based synthetic CT generation using a deep convolutional neural network method. Med. Phys. 2017, 44, 1408–1419. [Google Scholar] [CrossRef] [PubMed]
- Zhang, J.; Ding, C.; Li, L.; Zhu, X.; Wang, J.; Tang, Y. 3D CNN-based automatic diagnosis of brain tumor using multi-modality MR images. Comput. Biol. Med. 2019, 109, 218–226. [Google Scholar]
- Liu, F.; Zhou, Z.; Jang, H.; Samsonov, A.; Zhao, G.; Kijowski, R. Deep learning approach for evaluating knee MR images: Achieving high diagnostic performance for cartilage lesion detection. Radiology 2018, 289, 160–169. [Google Scholar] [CrossRef] [PubMed]
- Wang, J.; Zhang, Y.; Yuan, Y.; Yue, X.; Han, Z. Deep learning-based segmentation and classification of brain tumor and stroke lesions in MRI. Int. J. Comput. Assist. Radiol. Surg. 2019, 14, 1747–1758. [Google Scholar]
- Kaur, H.; Gupta, R.; Kumar, A. A review of recent advances in deep learning for brain tumor detection using MRI. Artif. Intell. Med. 2019, 98, 43–54. [Google Scholar]
- Dhariwal, S.; Raghuwanshi, S.; Shrivastava, S. Content-Based Image Retrieval Using Normalization of Vector Approach to SVM. In Advances in Computer Science, Engineering & Applications, Proceedings of the Second International Conference on Computer Science, Engineering & Applications (ICCSEA 2012), Delhi, India, 25–27 May 2012; Springer: Berlin/Heidelberg, Germany, 2012; Volume 2, pp. 793–801. [Google Scholar]
- Dhariwal, S.; Palaniappan, S. Image Normalization and Weighted Classification Using an Efficient Approach for SVM Classifiers. Int. J. Image Graph. 2020, 20, 2050035. [Google Scholar] [CrossRef]
- Dhariwal, S.; Rawat, R.; Patearia, N. C-Queued Technique against SQL Injection Attack. Int. J. Adv. Res. Comput. Sci. 2011, 2, 461–464. [Google Scholar]
- Kumar, M.S.; Kumarasamy, M.; Madhavi, N.B.; Dhariwal, S.; Kumar, R.S.; Oyebode, O.J. Reinforcement Based Concrete Modelling in Commercial Buildings Using Machine Learning Simulations. Int. J. Intell. Syst. Appl. Eng. 2023, 11, 118–126. [Google Scholar]
- Dhariwal, S.; Raipuria, A. Impact of Green Communication and Technology System. In Emerging Technologies for Computing, Communication and Smart Cities, Proceedings of ETCCS 2021, Punjab, India, 21–22 August 2021; pp. 605–615; Springer Nature: Singapore, 2022. [Google Scholar]
- Nandha, G.N.; Karnan, M. Diagnose brain tumor through MRI using image processing clustering algorithms such as Fuzzy C Means along with intelligent optimization techniques. In Proceedings of the 2010 IEEE International Conference on Computational Intelligence and Computing Research (ICCIC 2010), Coimbatore, India, 28–29 December 2010. [Google Scholar]
- Mohanaiah, P.; Sathyanarayana, P.; GuruKumar, L. Image Texture Feature Extraction Using GLCM Approach. Int. J. Sci. Res. Publ. 2013, 3, 1–5. [Google Scholar]
- Jothi, G.; Hannah Inbarani, H. Hybrid tolerance rough set-firefly based supervised feature selection for mri brain tumor image classification. Appl. Soft Comput. 2016, 46, 639–651. [Google Scholar]
- James, K.; Eberhart, R.C. A discrete binary version of the particle swarm algorithm. In Proceedings of the 1997 IEEE International Conference on Systems, Man, and Cybernetics. Computational Cybernetics and Simulation, Orlando, FL, USA, 12–15 October 1997; Volume 5. [Google Scholar]
- Zhou, J.; Zhong, T.; He, X. Auxiliary Diagnosis of Breast Tumor Based on PNN Classifier Optimized by PCA and PSO Algorithm. In Proceedings of the 2017 9th International Conference on Intelligent Human-Machine Systems and Cybernetics (IHMSC), Hangzhou, China, 26–27 August 2017; Volume 2. [Google Scholar]
- Ahmad, I. Enhancing SVM performance in intrusion detection using optimal feature subset selection based on genetic principal components. Neural Comput. Appl. 2014, 24, 1671–1682. [Google Scholar] [CrossRef]
- Kumar, A.; Ansari, M.A. Performance Evaluation of De-Noised Medical Images After Removing Speckled Noise by Wavelet Transform. IJBET 2021, 36, 318–330. [Google Scholar] [CrossRef]




| Accuracy Identification | Feature Rates |
|---|---|
| Total Number of Features | 14 |
| Training Time Accuracy | 100 |
| Validation Accuracy | 98.75 |
| Testing Accuracy | 99.56 |
Disclaimer/Publisher’s Note: The statements, opinions and data contained in all publications are solely those of the individual author(s) and contributor(s) and not of MDPI and/or the editor(s). MDPI and/or the editor(s) disclaim responsibility for any injury to people or property resulting from any ideas, methods, instructions or products referred to in the content. |
© 2023 by the authors. Licensee MDPI, Basel, Switzerland. This article is an open access article distributed under the terms and conditions of the Creative Commons Attribution (CC BY) license (https://creativecommons.org/licenses/by/4.0/).
Share and Cite
Raghuvanshi, S.; Dhariwal, S. The VGG16 Method Is a Powerful Tool for Detecting Brain Tumors Using Deep Learning Techniques. Eng. Proc. 2023, 59, 46. https://doi.org/10.3390/engproc2023059046
Raghuvanshi S, Dhariwal S. The VGG16 Method Is a Powerful Tool for Detecting Brain Tumors Using Deep Learning Techniques. Engineering Proceedings. 2023; 59(1):46. https://doi.org/10.3390/engproc2023059046
Chicago/Turabian StyleRaghuvanshi, Sarthak, and Sumit Dhariwal. 2023. "The VGG16 Method Is a Powerful Tool for Detecting Brain Tumors Using Deep Learning Techniques" Engineering Proceedings 59, no. 1: 46. https://doi.org/10.3390/engproc2023059046
APA StyleRaghuvanshi, S., & Dhariwal, S. (2023). The VGG16 Method Is a Powerful Tool for Detecting Brain Tumors Using Deep Learning Techniques. Engineering Proceedings, 59(1), 46. https://doi.org/10.3390/engproc2023059046

