Abstract
Background: New technologies and techniques allow us to offer better solutions for patients’ needs. Specifically, guided surgery is usually flapless, and the resulting prosthetic rehabilitation often includes immediate loading. Thus, bleeding risk is controlled, and more comfortable prosthetic procedures are performed. Guided surgery decreases surgical risks and is less invasive. The aim of this article is to present a case of guided osteotomy for bone biopsy and implant placement. Methods: CBCT was performed for the patient’s bone examination, an optical scanner was used for intra-oral images, and surgical certified software was applied for the osteotomy planning and the surgeon’s guide realization. Case report: The patient’s question is about left maxilla prosthetic rehabilitation. During the oral cavity and X-ray examination, a radiopacity with a feathered edge was found; in order to detect the finding, a CBCT was performed, and the surgery was planned. A bone biopsy was performed simultaneously with the implant’s placement through a drill guide. The specimen sent for histological exam showed osteosclerosis. Conclusions: It is the opinion of the authors that by involving and combining close collaboration and communication, several professional specializations (clinicians and radiologists) can improve the treatments for better patient care.
1. Introduction
Two-dimensional (2D) X-ray is the first level X-ray examination in dentistry. When further investigation is needed, such as volumetric data, a three-dimensional (3D) X-ray is required to improve the diagnosis. Computed tomography was first developed in 1972, but its technology uses large and expensive devices that exposes patients to relatively high doses of radiation [1]. The X-ray that offers 3D images with relatively low costs and radiation doses in a more compact device is the cone beam computed tomography (CBCT). CBCT has been utilized in dentistry since the second half of 1990 [2], and its radiation doses fall into a range from 19 µSv to 1073 µSv [3]. CBCT is prescribed in dentistry for evaluating conditions such as impacted teeth, apical lesions, and diseases of the jaws. In implant dentistry, CBCT is used for presurgical diagnosis, preoperative planning, and preoperative assessments [4]. Dental implants improve the performance of oral prosthetic rehabilitation, but they involve invasive surgery with flaps and hemorrhagic risks. Guided surgery allows more stable and comfortable prosthetic rehabilitation even to high-bleeding-risk (HBR) patients [5]. Thanks to 3D images, guided surgery allows us to plan and execute, in many cases, a flapless surgery. Sometimes it helps the immediate loading of the implants placed [6,7]. Drill guides are performed by the technician who receives the 3D X-ray exam; thus, communication is fundamental for agreeing on treatment goals and surgical procedures. Moreover, it has been shown that the precision of CBCT images and the quality of the software used are discriminating for the performance of the drill guide. Compared with freehand implants, navigated implants allow highly accurate implant placement; a margin of −2 mm is necessary due to a deviation of more than 1 mm [8]. The diagnosis and therapy in oral pathology and, generally, in all branches of medicine [9] have become more accurate and more precise [10]. This is due to not only technical but also technological and cognitive improvements. In this way, professions become more specialized, needing more specific updating. The solution is to improve the communication between different practitioners studying the same clinical case to cure the pathologies patients ask us to. In this article, the case of a multidisciplinary approach is reported in order to find a better and minimally invasive diagnosis and treatment, thanks to the multidisciplinary discussion.
2. Materials and Methods
Informed consent from the patient was obtained.
A dental impression was acquired through an oral cavity scan with the Carestream CS 3600 (Carestream Dental, Rochester, NY City State 14608, USA) and processed by the Software Real Guide 5.0 (Real Guide 5.0 _ version 5.2, 3Diemme, Cantù (Como) 22063 Italy); the surgical guide was performed by 3Diemme.
The high-resolution (HiRes) CBCT was obtained in an oral and maxillofacial diagnostic center (Novarad, Noale, Italy) with a VGI EVO scanner (NewTom, Cefla Medical Equipment, Imola (Bologna) 40026 Italy) with a 12 × 8 cm field of view (FOV), 0.150 mm slice thickness, and 4.3 s and mAs 88.95 exposure time; the volume was isotropic, and the tube voltage was 110 Kv.
Diagnosys software (3Diemme, Italy) was used to perform the analysis and the surgical guide, matching DICOM images of the CBCT and intra-oral gingival detection by the optical scanner (STL file).
The internal diameter of the trephine was 2.6, and the external was 3.2. The surgical guide did not have a guide sleeve for the trephine, only a calibrated hole. The drill speed rotation was 800 rpm with saline cooling.
All samples were fixed in 10% formalin in a 0.1 M phosphate buffer (pH 7.3) and decalcified in a buffer solution containing equal parts of 8 N formic acid and 1 N sodium formate (pH 2.2) (Kristensen 1948) for 2 h; then, after rinsing in flowing water for 24 h, they were dehydrated serially in declining concentrations of alcohol and embedded in paraffin. Sections that were 5 μm thick were stained with haematoxylin and eosin (HE) (Kristensen, H.K. (1948)), an improved method of [11]
Case Report
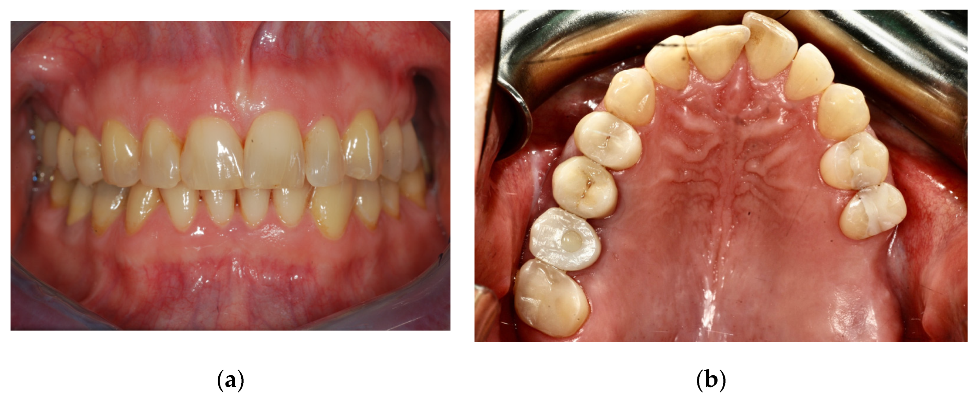
We report a case of a 45-year-old woman in general good health, not taking medications, who presents for prosthetic rehabilitation of the left upper jaw (Figure 1).
Figure 1.
Preoperative records: (a) frontal view; (b) occlusal view.
Implant rehabilitation was suggested. For this, a panoramic X-ray was performed, and it showed a homogeneous radiopacity in the left upper jaw, with feathered edges of about 10 mm in dimension (Figure 2).
Figure 2.
Orthopanoramic X-ray showing radiopacity in left upper jaw.
The patient was sent to the oral surgery specialist, who recommended the second-level X-ray examination (CBCT) due to the diagnostic doubt in the panoramic X-ray, thus involving a third specialist, the radiologist. The 3D exam was performed by an oral and maxillofacial center with a cone beam CT scanner with low-dose ionizing radiation, isotropic volume, and a 12 cm field. Axial, panoramic, and cross-section images (dental scan modality) were obtained by multiplanar reconstruction. Image dimensions were real to give the possibility of thickness and distance measurement. A three-dimensional X-ray showed a bone island of juxtacortical hyperdensity and defined edges in the premolar region of the left maxilla (Figure 3).
Figure 3.
Axial, sagittal, and paracoronal view of the hyperdense finding in CBCT examination.
The therapeutic planning included the placement of two dental implants and CBCT-guided osteotomy for a bone biopsy. A non-invasive dental scan was acquired through scanning the oral cavity with an optical scanner, and surgical planning and the guide’s realization was performed with certified surgical software (Figure 4).
Figure 4.
Surgical drill guide: (a) implant placement planning; (b) osteotomy planning; (c) occlusal view of the guide on the model; (d) occlusal view of the guide on the patient.
The oral implants Zimmer 4.1 × 10 TSVM4B10 and Zimmer 4.1 × 8 TSVM4B8 were placed, and a bone biopsy was performed through an osteotomy (Figure 5).
Figure 5.
Oral surgery: (a) placement of implants; (b) bone biopsy; (c) occlusal view after implants’ placement and osteotomy; (d) final view, with healing screws placed.
For the bone biopsy, a trephine core drill with a 3 mm diameter was used. A bone specimen of cm 1 × 0.2 was sent for histological examination (Figure 6).
Figure 6.
Bone specimen with a dimension of about 10 mm.
The surgery was performed under local anesthesia. The histological exam reported oral mucosa with squamous stratified epithelium with hyperparakeratosis and bone tissue with an area of intra-lacunae necrosis and marginal calcium micro fragments. There was an absence of atypical cells (Figure 7).
Figure 7.
Oral cavity biopsy from the left superior jaw: (a) H&E stain of the specimen showing the mucosa with hyperkeratosis and a fragment of the compacted bone with microcalcification around the bone tissue; (b) H&E stain 25×. At the bottom (c), a second fragment of the same biopsy showed the bone tissue with lacunar necrosis (12×); (d) higher magnification 100×.
The final diagnosis of idiopathic osteosclerosis was confirmed. A six-month follow-up showed good healing, and prosthesis on dental implants was performed (Figure 8, Figure 9 and Figure 10).
Figure 8.
Good healing of soft tissues.
Figure 9.
Juxta-gingival view of the surgical site: (a) preoperative view; (b) implants’ placement; (c) prosthetic on implants.
Figure 10.
Crowns on implants.
3. Discussion
Even though it demands more time for planning and close communication among different professionals, navigated surgery is preferable because it decreases the operative time and decreases the risk of bleeding. Guided implants were placed as planned without loss of accuracy [12]. Particularly in this case, sharing knowledge and information has been shown to provide better outcomes for patient care. According to the patient’s medical history as well as clinical and radiographic findings, the diagnostic suspect was idiopathic osteosclerosis. Hyperdense jaw lesions are often found incidentally and have been shown to belong to a successful history of dental implantation [13]. An accurate implant restoration prosthetic plan, diagnostic care, and multidisciplinary approach made the surgical management of this clinical case simple and rapid. The planning and discussion time was greater, but it decreased the time of the surgery.
A good prosthetic implant project associated with diagnostic care and a multidisciplinary approach made it possible to surgically manage a case such as this in a very simple and rapid way.
The clinical outcomes of computer-aided oral implant surgery in the current study proved to be comparable with those of the traditional approach in terms of implant survival and complications [14].
Benefits of CAS in maxillary reconstruction are a shorter ischemia and operative time compared with the conventional technique [15].
CAS seems to be superior to conventional free-hand surgery because of the more accurate postoperative results, but true evidence is lacking [16].
Yuzhang Feng et al. evidenced that the apical deviations between the planned and placed implants in the edentulous mandible were 1.48 ± 0.56 mm in the first implants compared with only 1.10 ± 0.28 mm in the later implants. The angular deviation was 3.02 ± 1.32 degrees [17].
The time for the discussion of the case and its design is certainly long, but the surgical time shortens.
Combining and involving several academic disciplines and professional specializations can lead to an accurate and safer management of a surgical case.
4. Conclusions
The first CBCT appeared more than 20 years ago. Recently, thanks to 3D imaging, guided surgery is possible, thus allowing less invasive surgery in all fields of medicine. In dentistry, guided surgery is often used for dental implant placement. Most of the available software enables the planning and execution of fully guided implant surgery, although the precision of the CBCT device and 3D software is a discriminant factor for the outcome [18,19].
The improvement of new technologies allows simplification and optimization of the surgical session. The aim of this report is to present a feasible approach for the guided sampling of bone pathologies.
Author Contributions
Conceptualization, C.B. and F.S.; methodology, D.P.; software, T.B., L.S. and O.A.; validation, C.B., F.S. and D.P.; formal analysis, C.B.; investigation, C.B. and D.P.; resources, T.B.; data curation, T.B., E.F. and A.S.; writing—original draft preparation, D.P. and C.B.; writing—review and editing, D.P. and C.B.; visualization, E.F. and A.S.; supervision, C.B.; project administration, C.B.; histological examination. M.F., surgery, E.F.; prosthetic conception, A.S. All authors have read and agreed to the published version of the manuscript.
Funding
This research received no external funding.
Institutional Review Board Statement
Ethical approval was not sought for the present study because it is case study.
Informed Consent Statement
Informed consent was obtained from all subjects involved in the study.
Data Availability Statement
Contact correspondence author for the details.
Conflicts of Interest
The authors declare no conflict of interest.
References
- Nasseh, I.; Al-Rawi, W. Cone Beam Computed Tomography. Dent. Clin. N. Am. 2018, 62, 361–391. [Google Scholar] [CrossRef] [PubMed]
- Mozzo, P.; Procacci, C.; Tacconi, A.; Martini, P.T.; Andreis, I.A. A new volumetric CT machine for dental imaging based on the cone-beam technique: Preliminary results. Eur. Radiol. 1998, 8, 1558–1564. [Google Scholar] [CrossRef] [PubMed]
- Li, G. Patient radiation dose and protection from cone-beam computed tomography. Imaging Sci. Dent. 2013, 43, 63–69. [Google Scholar] [CrossRef] [PubMed]
- Jacobs, R.; Salmon, B.; Codari, M.; Hassan, B.; Bornstein, M.M. Cone beam computed tomography in implant dentistry: Recommendations for clinical use. BMC Oral. Health 2018, 18, 88. [Google Scholar] [CrossRef] [PubMed]
- Fénelon, M.; Castet, S.; Fricain, J.C.; Catros, S. Guided Implant Surgery to Reduce Morbidity in Von Willebrand Disease Patients: A Case Report. Open Dent. J. 2018, 12, 80–86. [Google Scholar] [CrossRef] [PubMed]
- D’haese, J.; Ackhurst, J.; Wismeijer, D.; De Bruyn, H.; Tahmaseb, A. Current state of the art of computer-guided implant surgery. Periodontol. 2000 2017, 73, 121–133. [Google Scholar] [CrossRef]
- Gjelvold, B.; Kisch, J.; Mohammed, D.J.H.; Chrcanovic, B.R.; Albrektsson, T.; Wennerberg, A. Immediate Loading of Single Implants, Guided Surgery, and Intraoral Scanning: A Nonrandomized Study. Int. J. Prosthodont. 2020, 33, 513–522. [Google Scholar] [CrossRef] [PubMed]
- Jorba-García, A.; González-Barnadas, A.; Camps-Font, O.; Figueiredo, R.; Valmaseda-Castellón, E. Accuracy assessment of dynamic computer-aided implant placement: A systematic review and meta-analysis. Clin. Oral. Investig. 2021, 25, 2479–2494. [Google Scholar] [CrossRef] [PubMed]
- Bacci, C.; Donolato, L.; Stellini, E.; Berengo, M.; Valente, M. A comparison between histologic and clinical diagnosis of oral lesions. Quintessence Int. 2014, 45, 789–794. [Google Scholar] [PubMed]
- Chen, P.; Nikoyan, L. Guided Implant Surgery: A Technique Whose Time Has Come. Dent. Clin. N. Am. 2021, 65, 67–80. [Google Scholar] [CrossRef] [PubMed]
- Kristensen, H.K. An improved method of decalcification. Stain Technol. 1948, 23, 151–154. [Google Scholar] [CrossRef] [PubMed]
- Feng, Y.; Yao, Y.; Yang, X. Effect of a dynamic navigation device on the accuracy of implant placement in the completely edentulous mandible: An in vitro study. J. Prosthet. Dent. 2022. [Google Scholar] [CrossRef]
- Taghsimi, K.; Vasilyev, A.V.; Kuznetsova, V.S.; Galtsova, A.V.; Badalyan, V.A.; Babichenko, I.I. Efficiency and Safety of Dental Implantation in the Area of Hyperdense Jaw Lesions: A Narrative Review. Dent. J. 2022, 10, 107. [Google Scholar] [CrossRef] [PubMed]
- Valente, F.; Schiroli, G.; Sbrenna, A. Accuracy of computer-aided oral implant surgery: A clinical and radiographic study. Int. J. Oral. Maxillofac. Implant. 2009, 24, 234–242. [Google Scholar]
- Wang, Y.Y.; Fan, S.; Zhang, H.Q.; Lin, Z.Y.; Ye, J.T.; Li, J.S. Virtual Surgical Planning in Precise Maxillary Reconstruction With Vascularized Fibular Graft after Tumor Ablation. J. Oral. Maxillofac. Surg. 2016, 74, 1255–1264. [Google Scholar] [CrossRef]
- van Baar, G.J.C.; Schipper, K.; Forouzanfar, T.; Leeuwrik, L.; Winters, H.A.H.; Ridwan-Pramana, A.; Leusink, F.K.J. Accuracy of Computer-Assisted Surgery in Maxillary Reconstruction: A Systematic Review. J. Clin. Med. 2021, 10, 1226. [Google Scholar] [CrossRef] [PubMed]
- Joda, T.; Derksen, W.; Wittneben, J.G.; Kuehl, S. Static computer-aided implant surgery (s-CAIS) analysing patient-reported outcome measures (PROMs), economics and surgical complications: A systematic review. Clin. Oral. Implant. Res. 2018, 29 (Suppl. 16), 359–373. [Google Scholar] [CrossRef] [PubMed]
- Fortin, T.; Bosson, J.L.; Coudert, J.L.; Isidori, M. Reliability of preoperative planning of an image- guided system for oral implant placement based on 3-dimensional images: An in vivo study. Int. J. Oral. Maxillofac. Implant. 2003, 18, 886–893. [Google Scholar] [CrossRef]
- Kernen, F.; Kramer, J.; Wanner, L.; Wismeijer, D.; Nelson, K.; Flugge, T. A review of virtual planning software for guided implant surgery—Data import and visualization, drill guide design and manufacturing. BMC Oral. Health 2020, 20, 251. [Google Scholar] [CrossRef] [PubMed]
Publisher’s Note: MDPI stays neutral with regard to jurisdictional claims in published maps and institutional affiliations. |
© 2022 by the authors. Licensee MDPI, Basel, Switzerland. This article is an open access article distributed under the terms and conditions of the Creative Commons Attribution (CC BY) license (https://creativecommons.org/licenses/by/4.0/).









