Implant Prosthetic Rehabilitation in a Mandible Osteosarcoma Patient: A Clinical Report
Abstract
1. Introduction
2. Materials and Methods
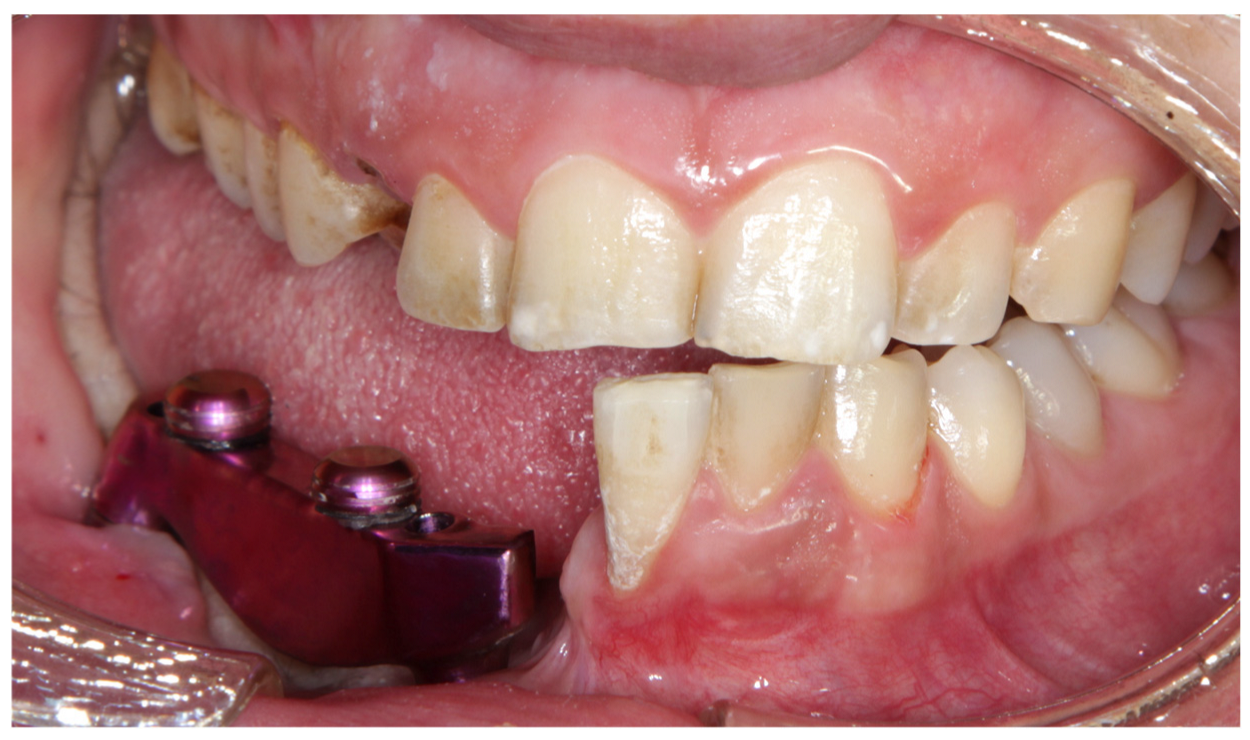
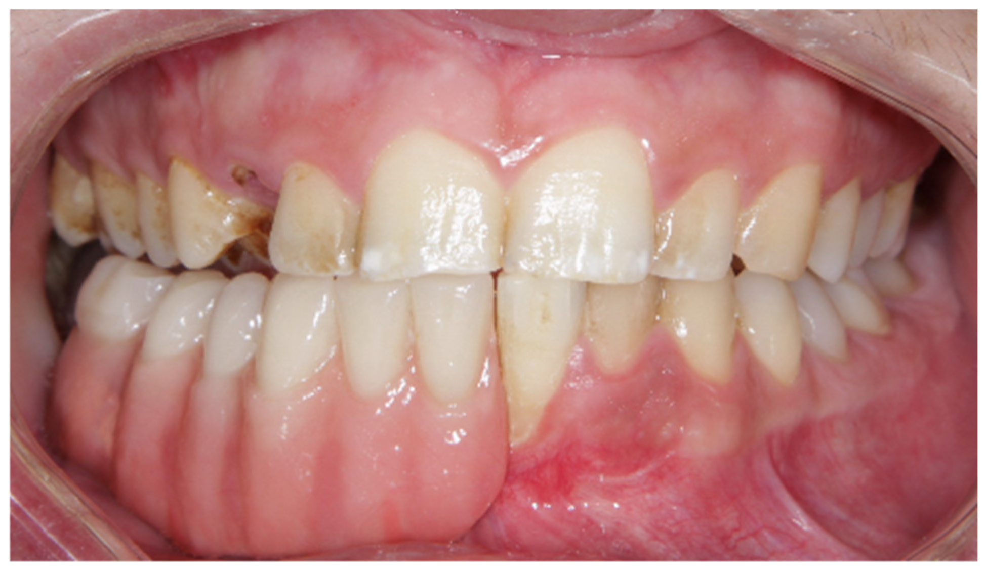
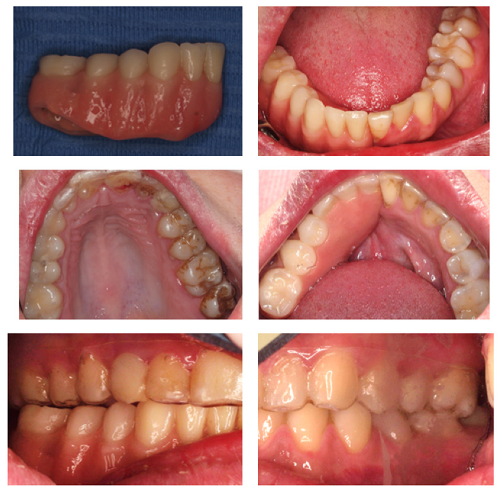
Clinical Case
3. Discussion
3.1. Surgical Treatment
3.2. Rehabilitative Treatment
4. Conclusions
Author Contributions
Funding
Institutional Review Board Statement
Informed Consent Statement
Data Availability Statement
Acknowledgments
Conflicts of Interest
References
- Bray, F.; Laversanne, M.; Sung, H.; Ferlay, J.; Siegel, R.L.; Soerjomataram, I.; Jemal, A. Global cancer statistics 2022: GLOBOCAN estimates of incidence and mortality worldwide for 36 cancers in 185 countries. CA Cancer J. Clin. 2024, 74, 229–263. [Google Scholar] [CrossRef] [PubMed]
- Laskar, S.; Basu, A.; Muckaden, M.A.; D’Cruz, A.; Pai, S.; Jambhekar, N.; Tike, P.; Shrivastava, S.K. Osteosarcoma of the head and neck region: Lessons learned from a single-institution experience of 50 patients. Head Neck 2008, 30, 1020–1026. [Google Scholar] [CrossRef] [PubMed]
- Kelleher, F.C.; Cain, J.E.; Healy, J.M.; Watkins, D.N.; Thomas, D.M. Prevailing importance of the hedgehog signaling pathway and the potential for treatment advancement in sarcoma. Pharmacol. Ther. 2012, 136, 153–168. [Google Scholar] [CrossRef] [PubMed]
- Kansara, M.; Teng, M.W.; Smyth, M.J.; Thomas, D.M. Translational biology of osteosarcoma. Nat. Rev. Cancer 2014, 14, 722–735. [Google Scholar] [CrossRef] [PubMed]
- Fu, P.; Shi, Y.; Chen, G.; Fan, Y.; Gu, Y.; Gao, Z. Prognostic Factors in Patients with Osteosarcoma with the Surveillance, Epidemiology, and End Results Database. Technol. Cancer Res. Treat. 2020, 19, 1533033820947701. [Google Scholar] [CrossRef] [PubMed] [PubMed Central]
- Kontio, R.; Hagström, J.; Lindholm, P.; Böhling, T.; Sampo, M.; Mesimäki, K.; Saarilahti, K.; Koivunen, P.; Mäkitie, A. Craniomaxillofacial osteosarcoma—The role of surgical margins. J. Cranio-Maxillofac. Surg. 2019, 47, 922–925. [Google Scholar] [CrossRef] [PubMed]
- Samraj, L.; Kaliamoorthy, S.; Venkatapathy, R.; Oza, N. Osteosarcoma of the mandible: A case report with an early radiographic manifestation. Imaging Sci. Dent. 2014, 44, 85–88. [Google Scholar] [CrossRef] [PubMed] [PubMed Central]
- Peddana, S.K.; Ramadas, R.; Cherian, E.; Thayalan, D. Chondroblastic and Fibroblastic Osteosarcoma of the Jaws: Report of Two Cases and Review of Literature. Indian J. Dent. Res. 2017, 28, 100–104. [Google Scholar] [CrossRef]
- Lin, Y.S.; Liu, W.C.; Wang, K.Y.; Lin, Y.S.; Yang, K.C. Obliquely-arranged double skin paddles: A novel design to reconstruct extensive head and neck defects with a single fibula or peroneal flap. Microsurgery 2019, 39, 108–114. [Google Scholar] [CrossRef] [PubMed]
- Leclère, F.M.; Bosc, R.; Temam, S.; Leymarie, N.; Mirghani, H.; Sarfati, B.; Kolb, F. Reconstruction of large mandibulofacial defects with the composed double skin paddle fibula free flap: A review of 32 procedures. Laryngoscope 2014, 124, 1336–1343. [Google Scholar] [CrossRef] [PubMed]
- Li, J.; Song, P.; Yang, D.; Hu, K.; Chen, M.; Xu, C.; Sun, Y. Effect of double-leaf perforator free flap posterolateral calf peroneal artery on reconstruction of oropharyngeal anatomy after ablation of advanced oropharyngeal carcinoma. Nan Fang Yi Ke Da Xue Xue Bao 2020, 40, 814–821. (In Chinese) [Google Scholar] [CrossRef] [PubMed] [PubMed Central]
- Sailer, I.; Karasan, D.; Todorovic, A.; Ligoutsikou, M.; Pjetursson, B.E. Prosthetic failures in dental implant therapy. Periodontology 2000 2022, 8, 130–144. [Google Scholar] [CrossRef] [PubMed] [PubMed Central]
- Annibali, S.; Bignozzi, I.; La Monaca, G.; Cristalli, M.P. Usefulness of the aesthetic result as a success criterion for implant therapy: A review. Clin. Implant. Dent. Relat. Res. 2012, 14, 3–40. [Google Scholar] [CrossRef] [PubMed]
- Nelson, K.; Heberer, S.; Glatzer, C. Survival analysis and clinical evaluation of implant-retained prostheses in oral cancer resection patients over a mean follow-up period of 10 years. J. Prosthet. Dent. 2007, 98, 405–410. [Google Scholar] [CrossRef] [PubMed]
- Schiegnitz, E.; Müller, L.K.; Sagheb, K.; Theis, L.; Cagiran, V.; Kämmerer, P.W.; Wegener, J.; Wagner, W.; Al-Nawas, B. Clinical long-term and patient-reported outcomes of dental implants in oral cancer patients. Int. J. Implant. Dent. 2021, 7, 93. [Google Scholar] [CrossRef] [PubMed] [PubMed Central]
- Koudougou, C.; Bertin, H.; Lecaplain, B.; Badran, Z.; Longis, J.; Corre, P.; Hoornaert, A. Postimplantation radiation therapy in head and neck cancer patients: Literature review. Head Neck 2020, 42, 794–802. [Google Scholar] [CrossRef] [PubMed]
- Sammartino, G.; Marenzi, G.; Cioffi, I.; Teté, S.; Mortellaro, C. Implant therapy in irradiated patients. J. Craniofac. Surg. 2011, 22, 443–445. [Google Scholar] [CrossRef] [PubMed]
- Ali, R.; Al-Khayatt, A.; Barclay, C. The use of dental implants, cast bars and sleeve overdentures in oral cancer patients. Br. Dent. J. 2018, 224, 611–619. [Google Scholar] [CrossRef] [PubMed]
- Schoen, P.J.; Reintsema, H.; Raghoebar, G.M.; Vissink, A.; Roodenburg, J.L. The use of implant retained mandibular prostheses in the oral rehabilitation of head and neck cancer patients. A review and rationale for treatment planning. Oral Oncol. 2004, 40, 862–871. [Google Scholar] [CrossRef] [PubMed]
- Rogers, S.N.; McNally, D.; Mahmoud, M.; Chan, M.F.; Humphris, G.M. Psychologic response of the edentulous patient after primary surgery for oral cancer: A cross-sectional study. J. Prosthet. Dent. 1999, 82, 317–321. [Google Scholar] [CrossRef] [PubMed]
- Thiele, O.C.; Freier, K.; Bacon, C.; Egerer, G.; Hofele, C.M. Interdisciplinary combined treatment of craniofacial osteosarcoma with neoadjuvant and adjuvant chemotherapy and excision of the tumour: A retrospective study. Br. J. Oral Maxillofac. Surg. 2008, 46, 533–536. [Google Scholar] [CrossRef] [PubMed]
- Charmelo-Silva, S.; Buchanan, A.; Kalathingal, S.; Abdelsayed, R. Osteosarcoma of the jaws: Report of 3 cases with emphasis on the early clinical and radiographic signs. Oral Surg. Oral Med. Oral Pathol. Oral Radiol. 2022, 133, e57–e62. [Google Scholar] [CrossRef] [PubMed]
- Garrido-Martínez, P.; Peña-Cardelles, J.F.; Pozo-Kreilinger, J.J.; Esparza-Gómez, G.; Montesdeoca-García, N.; Cebrián-Carretero, J.L. Dental implants rehabilitation in a patient with head and neck radiotherapy for osteosarcoma in the jaw. A clinical case report. J. Clin. Exp. Dent. 2021, 13, e418–e421, Erratum in J. Clin. Exp. Dent. 2021, 13, e1275. [Google Scholar] [CrossRef] [PubMed] [PubMed Central]
- Negreiros, W.A.; Teixeira, R.R.; Peixoto, R.F.; Regis, R.R. The challenge of managing oral maxillofacial rehabilitation with quality and cost-benefit. J. Prosthet. Dent. 2022, 127, 508–514. [Google Scholar] [CrossRef] [PubMed]
- Romandini, M.; Lima, C.; Pedrinaci, I.; Araoz, A.; Soldini, M.C.; Sanz, M. Prevalence and risk/protective indicators of peri-implant diseases: A university-representative cross-sectional study. Clin. Oral Implant. Res. 2021, 32, 112–122. [Google Scholar] [CrossRef] [PubMed]
- Pandey, C.; Rokaya, D.; Bhattarai, B.P. Contemporary Concepts in Osseointegration of Dental Implants: A Review. BioMed Res. Int. 2022, 2022, 6170452. [Google Scholar] [CrossRef] [PubMed] [PubMed Central]
- Laleman, I.; Lambert, F. Implant connection and abutment selection as a predisposing and/or precipitating factor for peri-implant diseases: A review. Clin. Implant Dent. Relat. Res. 2023, 25, 723–733, Erratum in Clin. Implant Dent. Relat. Res. 2023, 25, 984. [Google Scholar] [CrossRef] [PubMed]
- Finelle, G.; Papadimitriou, D.E.V.; Souza, A.B.; Katebi, N.; Gallucci, G.O.; Araújo, M.G. Peri-implant soft tissue and marginal bone adaptation on implant with non-matching healing abutments: Micro-CT analysis. Clin. Oral Implant. Res. 2015, 26, e42–e46. [Google Scholar] [CrossRef] [PubMed]
- Kozlovsky, A.; Tal, H.; Laufer, B.Z.; Leshem, R.; Rohrer, M.D.; Weinreb, M.; Artzi, Z. Impact of implant overloading on the peri-implant bone in inflamed and non-inflamed peri-implant mucosa. Clin. Oral Implant. Res. 2007, 18, 601–610. [Google Scholar] [CrossRef] [PubMed]
- Cortelli, S.C.; Cortelli, J.R.; Romeiro, R.L.; Costa, F.O.; Aquino, D.R.; Orzechowski, P.R.; Araújo, V.C.; Duarte, P.M. Frequency of periodontal pathogens in equivalent peri-implant and periodontal clinical statuses. Arch. Oral Biol. 2013, 58, 67–74. [Google Scholar] [CrossRef] [PubMed]
- Sheridan, R.A.; Decker, A.M.; Plonka, A.B.; Wang, H.L. The Role of Occlusion in Implant Therapy: A Comprehensive Updated Review. Implant. Dent. 2016, 25, 829–838. [Google Scholar] [CrossRef] [PubMed]
- Venkatraman, A.; Kaval, F.; Takiar, V. Body Mass Index and Age Affect Maximum Mouth Opening in a Contemporary American Population. J. Oral Maxillofac. Surg. 2020, 78, 1926–1932. [Google Scholar] [CrossRef] [PubMed]
- Linsen, S.S.; Martini, M.; Stark, H. Long-term results of endosteal implants following radical oral cancer surgery with and without adjuvant radiation therapy. Clin. Implant. Dent. Relat. Res. 2012, 14, 250–258. [Google Scholar] [CrossRef] [PubMed]
- Thomason, J.M.; Feine, J.; Exley, C.; Moynihan, P.; Müller, F.; Naert, I.; Ellis, J.S.; Barclay, C.; Butterworth, C.; Scott, B.; et al. Mandibular two implant-supported overdentures as the first choice standard of care for edentulous patients—The York Consensus Statement. Br. Dent. J. 2009, 207, 185–186. [Google Scholar] [CrossRef] [PubMed]
- Tzanetou, P.; Kourtis, S.; Papalexopoulos, D.; Sykaras, N. Dimensions of Posterior Implant Restorations Related to Intra-Coronal Cantilever and Occlusal Forces: An In Vitro Study. J. Esthet. Restor. Dent. 2024. [Google Scholar] [CrossRef] [PubMed]
- El-Sheikh, A.M.; Hobkirk, J.A. Force transmission in bar-retained implant-stabilised mandibular over-dentures: An in-vitro study. Eur. J. Prosthodont. Restor. Dent. 2002, 10, 173–178. [Google Scholar] [PubMed]
- Krennmair, G.; Krainhöfner, M.; Piehslinger, E. The influence of bar design (round versus milled bar) on prosthodontic maintenance of mandibular overdentures supported by 4 implants: A 5-year prospective study. Int. J. Prosthodont. 2008, 21, 514–520. [Google Scholar] [PubMed]
- Goodacre, C.J.; Goodacre, B.J. What Occlusal Scheme Should Be Used with Removable Partial Dentures? J. Prosthodont. 2021, 30, 78–83. [Google Scholar] [CrossRef] [PubMed]
- Ivanhoe, J.R.; Plummer, K.D. Removable partial denture occlusion. Dent. Clin. N. Am. 2004, 48, 667–683. [Google Scholar] [CrossRef] [PubMed]
- Terkla, L.G.; Laney, W.R. Partial Dentures; The C.V. Mosby Company: Saint Louis, MO, USA, 1963; pp. 307–311. [Google Scholar]




















| Signs | Symptoms |
|---|---|
| Presence of masses of unexplained origin | Oral and oropharyngeal pain |
| Positive Garrington sign | Swelling of the jaw |
| Dental mobility in the affected area | Paresthesia |
| Erythematous appearance of mucous membranes | Nasal obstruction |
| Radiographical osteolytic, osteoblastic, or mixed lesion |
| Muscle | Side | Mouth Opening | Maximum Mouth Opening | Mandibular Retraction | Mandibular Protraction | Right Mandibular Diduction | Left Mandibular Diduction |
|---|---|---|---|---|---|---|---|
| Myoelectric activity (µV) | |||||||
| Temporalis | Right | 8.89 | 18.97 | 5.72 | 5.76 | 5.05 | 12.85 |
| Left | 6.1 | 18.37 | 6.59 | 7.55 | 12.2 | 7.67 | |
| Masseter | Right | 11.01 | 158.17 | 17.89 | 109.42 | 10.1 | 94.03 |
| Left | 14.61 | 89.33 | 15.35 | 23.54 | 53.38 | 8.93 | |
| Pterygoid | Right | 17.25 | 110.16 | 38.81 | 40.06 | 8.6 | 30.31 |
| Left | 20.1 | 57.94 | 43.6 | 26.06 | 42.35 | 9.57 | |
| Muscle | Side | Pain Pressure Threshold (kg/cm2) |
|---|---|---|
| Temporalis | Right | 1.62 |
| Left | 1.38 | |
| Masseter | Right | 1.23 |
| Left | 1.05 |
| Year | Procedure |
|---|---|
| 2021 | Lesion was resected and reconstructed with fibula graft |
| 2022 | Periodontal control |
| 2022–2023 | Complementary exams and planification |
| 2023 | Surgery of 4 implants in the jaw |
| 2023 | Removal of 2 dental implants |
| 2023–2024 | Start with rehabilitation phase |
| 2024 | Prosthetic installation |
Disclaimer/Publisher’s Note: The statements, opinions and data contained in all publications are solely those of the individual author(s) and contributor(s) and not of MDPI and/or the editor(s). MDPI and/or the editor(s) disclaim responsibility for any injury to people or property resulting from any ideas, methods, instructions or products referred to in the content. |
© 2025 by the authors. Licensee MDPI, Basel, Switzerland. This article is an open access article distributed under the terms and conditions of the Creative Commons Attribution (CC BY) license (https://creativecommons.org/licenses/by/4.0/).
Share and Cite
Arbelaez-Bonozo, L.; Luis-Sanchez, L.; Oliva-Ferrusola, E.; Fernandez-Morales, C.; Albornoz-Cabello, M.; Gutierrez-Perez, J.-L.; Torres-Lagares, D. Implant Prosthetic Rehabilitation in a Mandible Osteosarcoma Patient: A Clinical Report. Prosthesis 2025, 7, 22. https://doi.org/10.3390/prosthesis7010022
Arbelaez-Bonozo L, Luis-Sanchez L, Oliva-Ferrusola E, Fernandez-Morales C, Albornoz-Cabello M, Gutierrez-Perez J-L, Torres-Lagares D. Implant Prosthetic Rehabilitation in a Mandible Osteosarcoma Patient: A Clinical Report. Prosthesis. 2025; 7(1):22. https://doi.org/10.3390/prosthesis7010022
Chicago/Turabian StyleArbelaez-Bonozo, Lady, Laura Luis-Sanchez, Elena Oliva-Ferrusola, Carlos Fernandez-Morales, Manuel Albornoz-Cabello, Jose-Luis Gutierrez-Perez, and Daniel Torres-Lagares. 2025. "Implant Prosthetic Rehabilitation in a Mandible Osteosarcoma Patient: A Clinical Report" Prosthesis 7, no. 1: 22. https://doi.org/10.3390/prosthesis7010022
APA StyleArbelaez-Bonozo, L., Luis-Sanchez, L., Oliva-Ferrusola, E., Fernandez-Morales, C., Albornoz-Cabello, M., Gutierrez-Perez, J.-L., & Torres-Lagares, D. (2025). Implant Prosthetic Rehabilitation in a Mandible Osteosarcoma Patient: A Clinical Report. Prosthesis, 7(1), 22. https://doi.org/10.3390/prosthesis7010022

