Early Treatment of Class II Division 1 Malocclusions with Prefabricated Myofunctional Appliances: A Case Report
Abstract
1. Introduction
2. Materials and Methods
2.1. Case Selection
2.2. Patient Examination
2.3. Cephalometric Analysis
2.4. Treatment Approach and Protocol
3. Results
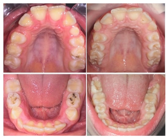
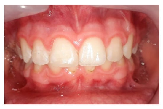
3.1. Outcomes of the Treatment at the One-Year Follow-Up
3.2. Cephalometric Values after One Year of Treatment
3.3. Situation of the Treatment after Two Years
4. Discussion
5. Conclusions
Author Contributions
Funding
Institutional Review Board Statement
Informed Consent Statement
Data Availability Statement
Conflicts of Interest
Correction Statement
References
- von Bremen, J.; Pancherz, H. Efficiency of early and late Class II Division 1 treatment. Am. J. Orthod. Dentofac. Orthop. 2002, 121, 31–37. [Google Scholar] [CrossRef]
- O’Brien, K.; Wright, J.; Conboy, F.; Appelbe, P.; Davies, L.; Connolly, I.; Mitchell, L.; Littlewood, S.; Mandall, N.; Lewis, D.; et al. Early treatment for Class II Division 1 malocclusion with the Twin-block appliance: A multi-center, randomized, controlled trial. Am. J. Orthod. Dentofac. Orthop. 2009, 135, 573–579. [Google Scholar] [CrossRef] [PubMed]
- Tulloch, J.F.; Proffit, W.R.; Phillips, C. Outcomes in a 2-phase randomized clinical trial of early Class II treatment. Am. J. Orthod. Dentofac. Orthop. 2004, 125, 657–667. [Google Scholar] [CrossRef] [PubMed]
- Johnston, L.E., Jr. Functional appliances: A mortgage on mandibular position. Aust. Orthod. J. 1996, 14, 154–157. [Google Scholar]
- O’Brien, K.; Wright, J.; Conboy, F.; Chadwick, S.; Connolly, I.; Cook, P.; Birnie, D.; Hammond, M.; Harradine, N.; Lewis, D.; et al. Effectiveness of early orthodontic treatment with the Twin-block appliance: A multicenter, randomized, controlled trial. Part 2: Psychosocial effects. Am. J. Orthod. Dentofac. Orthop. 2003, 124, 488–494, discussion 494–495. [Google Scholar] [CrossRef]
- Petti, S. Over two hundred million injuries to anterior teeth attributable to large overjet: A meta-analysis. Dent. Traumatol. 2015, 31, 1–8. [Google Scholar] [CrossRef] [PubMed]
- Koretsi, V.; Zymperdikas, V.F.; Papageorgiou, S.N.; Papadopoulos, M.A. Treatment effects of removable functional appliances in patients with Class II malocclusion: A systematic review and meta-analysis. Eur. J. Orthod. 2015, 37, 418–434. [Google Scholar] [CrossRef] [PubMed]
- Bergersen, E. The eruption guidance myofunctional appliances: How it works, how to use it. Funct. Orthod. 1984, 1, 28. [Google Scholar]
- Migliaccio, S.; Aprile, V.; Zicari, S.; Grenci, A. Eruption guidance appliance: A review. Eur. J. Paediatr. Dent. 2014, 15, 163–166. [Google Scholar]
- Čirgić, E.; Kjellberg, H.; Hansen, K. Treatment of large overjet in Angle Class II: Division 1 malocclusion with Andresen activators versus prefabricated functional appliances—A multicenter, randomized, controlled trial. Eur. J. Orthod. 2016, 38, 516–524. [Google Scholar] [CrossRef]
- Wishney, M.; Darendeliler, M.A.; Dalci, O. Myofunctional therapy and prefabricated functional appliances: An overview of the history and evidence. Aust. Dent. J. 2019, 64, 135–144. [Google Scholar] [CrossRef] [PubMed]
- Mohammed, H.; Čirgić, E.; Rizk, M.Z.; Vandevska-Radunovic, V. Effectiveness of prefabricated myofunctional appliances in the treatment of Class II division 1 malocclusion: A systematic review. Eur. J. Orthod. 2020, 42, 125–134. [Google Scholar] [CrossRef] [PubMed]
- McDonald, R.E.; Avery, D.R. Dentistry for the Child and Adolescent, 8th ed.; Lea & Febiger: Washington, DC, USA; Elsevier: Amsterdam, The Netherlands; Mosby: St. Louis, MO, USA, 2004. [Google Scholar]
- Harrison, J.E.; O’Brien, K.D.; Worthington, H.V. Orthodontic treatment for prominent upper front teeth in children. Cochrane Database Syst. Rev. 2007, 3, CD003452. [Google Scholar]
- Minervini, G.; Franco, R.; Marrapodi, M.M.; Ronsivalle, V.; Shapira, I.; Cicciù, M. Prevalence of temporomandibular disorders in subjects affected by Parkinson disease: A systematic review and metanalysis. J Oral Rehabil 2023, 50, 877–885. [Google Scholar] [CrossRef] [PubMed]
- Bergersen, E.O. The eruption guidance myofunctional appliance: Case selection, timing, motivation, indications and contraindications in its use. Funct. Orthod. 1985, 2, 17–21, 24–25, 28–33. [Google Scholar]
- Keski-Nisula, K.; Hernesniemi, R.; Heiskanen, M.; Keski-Nisula, L.; Varrela, J. Orthodontic intervention in the early mixed dentition: A prospective, controlled study on the effects of the eruption guidance appliance. Am. J. Orthod. Dentofac. Orthop. 2008, 133, 254–260. [Google Scholar] [CrossRef]
- Janson, G.R.; da Silva, C.C.; Bergersen, E.O.; Henriques, J.F.; Pinzan, A. Eruption Guidance Appliance effects in the treatment of Class II, Division 1 malocclusions. Am. J. Orthod. Dentofac. Orthop. 2000, 117, 119–129. [Google Scholar] [CrossRef]
- Bergersen, E.O. Preventive and interceptive orthodontics in the mixed dentition with the myofunctional eruption guidance appliance: Correction of overbite and overjet. J. Pedod. 1988, 12, 292–324. [Google Scholar]
- Kaare-Reitan, M.S.D. Tissue Rearrangement during Retention of Orthodontically Rotated Teeth. Angle Orthod. 1959, 29, 105–113. [Google Scholar]
- Reitan, K. Principles of retention and avoidance of posttreatment relapse. Am. J. Orthod. 1969, 55, 776–790. [Google Scholar] [CrossRef]
- Angle, E. Treatment of Malocclusion of the Teeth and Fractures of the Maxillae, 6th ed.; SS White Dental Mfg. Co.: Philadelphia, PA, USA, 1900. [Google Scholar]
- Kozak, F.; Ospina, J.; Cardenas, M. Characteristics of Normal and Abnormal Postnatal Craniofacial Growth and Development; Lesperance, M.M., Flint, P.W., Eds.; Cummings Pediatric Otolaryngology E-Book; Elsevier Health Sciences: Philadelphia, PA, USA, 2014; p. 72. [Google Scholar]
- Linder-Aronson, S. Respiratory function in relation to facial morphology and the dentition. Br. J. Orthod. 1979, 6, 59–71. [Google Scholar] [CrossRef] [PubMed]
- Vig, K.W. Nasal obstruction and facial growth: The strength of evidence for clinical assumptions. Am. J. Orthod. Dentofac. Orthop. 1998, 113, 603–611. [Google Scholar] [CrossRef]
- Espeland, L.V.; Ivarsson, K.; Stenvik, A. A new Norwegian index of orthodontic treatment need related to orthodontic concern among 11-year-olds and their parents. Community Dent. Oral. Epidemiol. 1992, 20, 274–279. [Google Scholar] [CrossRef] [PubMed]
- Nguyen, Q.V.; Bezemer, P.D.; Habets, L.; Prahl-Andersen, B. A systematic review of the relationship between overjet size and traumatic dental injuries. Eur. J. Orthod. 1999, 21, 503–515. [Google Scholar] [CrossRef] [PubMed]
- Myrlund, R.; Dubland, M.; Keski-Nisula, K.; Kerosuo, H. One year treatment effects of the eruption guidance appliance in 7- to 8-year-old children: A randomized clinical trial. Eur. J. Orthod. 2015, 37, 128–134. [Google Scholar] [CrossRef]
- Ramos-Jorge, M.L.; Bosco, V.L.; Peres, M.A.; Nunes, A.C.G.P. The impact of treatment of dental trauma on the quality of life of adolescents—A case-control study in southern Brazil. Dent. Traumatol. 2007, 23, 114–119. [Google Scholar] [CrossRef]
- Toti, Ç.; Droboniku, E.; Kaçani, G.; Tepedino, M.; Meto, A.; Fiorillo, L.; D’Amico, C.; Hysi, D.; Ndreu, K.; Cicciù, M.; et al. Benefits in Oral Health during Orthodontic Treatment of Patients Aged 17 to 21 Years. Eur. J. Dent. 2022, 17, 374–380. [Google Scholar] [CrossRef]
- Petti, S.; Tarsitani, G. Traumatic injuries to anterior teeth in Italian schoolchildren: Prevalence and risk factors. Endod. Dent. Traumatol. 1996, 12, 294–297. [Google Scholar] [CrossRef]
- Soriano, E.P.; Caldas, A.F., Jr.; Carvalho, M.V.D.; Amorim Filho, H.A. Prevalence and risk factors related to traumatic dental injuries in Brazilian schoolchildren. Dent. Traumatol. 2007, 23, 232–240. [Google Scholar] [CrossRef]
- Sabuncuoglu, O. Traumatic dental injuries and attention deficit/hyperactivity disorder: Is there a link? Dent. Traumatol. 2007, 23, 137–142. [Google Scholar] [CrossRef]
- Bessermann, K. Frequency of maxillo-facial injuries in a hospital population of patients with epilepsy. Bull. Nord. Soc. Dent. Handicap. 1978, 5, 2–26. [Google Scholar]
- Holan, G.; Peretz, B.; Efrat, J.; Shapira, Y. Traumatic injuries to the teeth in young individuals with cerebral palsy. Dent. Traumatol. 2005, 21, 65–69. [Google Scholar] [CrossRef] [PubMed]
- Alsarheed, M.; Bedi, R.; Hunt, N.P. Traumatised permanent teeth in 11–16-year-old Saudi Arabian children with a sensory impairment attending special schools. Dent. Traumatol. 2003, 19, 123–125. [Google Scholar] [CrossRef]
- Campbell, A.; Moore, A.; Williams, E.; Stephens, J.; Tatakis, D.N. Tongue piercing: Impact of time and barbell stem length on lingual gingival recession and tooth chipping. J. Periodontol. 2002, 73, 289–297. [Google Scholar] [CrossRef] [PubMed]
- Marcenes, W.; Zabot, N.E.; Traebert, J. Socio-economic correlates of traumatic injuries to the permanent incisors in schoolchildren aged 12 years in Blumenau, Brazil. Dent. Traumatol. 2001, 17, 222–226. [Google Scholar] [CrossRef] [PubMed]
- Nicolau, B.; Marcenes, W.; Sheiham, A. The relationship between traumatic dental injuries and adolescents’ development along the life course. Community Dent. Oral. Epidemiol. 2003, 31, 306–313. [Google Scholar] [CrossRef]
- Bendo, C.B.; Vale, M.P.; Figueiredo, L.D.; Pordeus, I.A.; Paiva, S.M. Social vulnerability and traumatic dental injury among Brazilian schoolchildren: A population-based study. Int. J. Environ. Res. Public Health 2012, 9, 4278–4291. [Google Scholar] [CrossRef]
- Sigurdsson, A. Evidence-based Review of Prevention of Dental Injuries. J. Endod. 2013, 39, S88–S93. [Google Scholar] [CrossRef]









| Values | |||
|---|---|---|---|
| Before | After | Normal | |
| SNA angle | 78° | 78° | 82 ± 2° |
| SNB angle | 70° | 74° | 80 ± 2° |
| ANB angle | 8° | 4° | 80 ± 2° |
| N-Pg ^ PF | 78° | 79° | 87 ± 3° |
| FMA angle | 23° | 25° | 25 ± 3° |
| Is ^ PF angle | 114° | 109 | 105–110° |
| IMPA angle | 107° | 111° | 90 ± 5° |
| Over jet | +6 | +3 | 2.5 ± 2.5 mm |
| Over bite | +4.5 | +2.5 | 2.5 ± 2.5 mm |
Disclaimer/Publisher’s Note: The statements, opinions and data contained in all publications are solely those of the individual author(s) and contributor(s) and not of MDPI and/or the editor(s). MDPI and/or the editor(s) disclaim responsibility for any injury to people or property resulting from any ideas, methods, instructions or products referred to in the content. |
© 2023 by the authors. Licensee MDPI, Basel, Switzerland. This article is an open access article distributed under the terms and conditions of the Creative Commons Attribution (CC BY) license (https://creativecommons.org/licenses/by/4.0/).
Share and Cite
Toti, Ç.; Kaςani, G.; Meto, A.; Droboniku, E.; Gurakuqi, A.; Tanellari, O.; Hysi, D.; Fiorillo, L. Early Treatment of Class II Division 1 Malocclusions with Prefabricated Myofunctional Appliances: A Case Report. Prosthesis 2023, 5, 1049-1059. https://doi.org/10.3390/prosthesis5040073
Toti Ç, Kaςani G, Meto A, Droboniku E, Gurakuqi A, Tanellari O, Hysi D, Fiorillo L. Early Treatment of Class II Division 1 Malocclusions with Prefabricated Myofunctional Appliances: A Case Report. Prosthesis. 2023; 5(4):1049-1059. https://doi.org/10.3390/prosthesis5040073
Chicago/Turabian StyleToti, Çeljana, Gerta Kaςani, Aida Meto, Etleva Droboniku, Almiro Gurakuqi, Olja Tanellari, Dorjan Hysi, and Luca Fiorillo. 2023. "Early Treatment of Class II Division 1 Malocclusions with Prefabricated Myofunctional Appliances: A Case Report" Prosthesis 5, no. 4: 1049-1059. https://doi.org/10.3390/prosthesis5040073
APA StyleToti, Ç., Kaςani, G., Meto, A., Droboniku, E., Gurakuqi, A., Tanellari, O., Hysi, D., & Fiorillo, L. (2023). Early Treatment of Class II Division 1 Malocclusions with Prefabricated Myofunctional Appliances: A Case Report. Prosthesis, 5(4), 1049-1059. https://doi.org/10.3390/prosthesis5040073

