Clinical Evaluation of Cement-Retained Implant-Supported CAD/CAM Monolithic Zirconia Single Crowns in Posterior Areas: Results of a 6-Year Prospective Clinical Study
Abstract
:1. Introduction
2. Materials and Methods
2.1. Participants
- Age ≥ 18 years;
- Good general health;
- ASA I (healthy) or ASA II (mild systemic disease), according to the American Society of Anesthesiologists (ASA);
- Good oral hygiene;
- Angle class I occlusal relationship;
- No evident signs of occlusal parafunction and/or temporomandibular disorders;
- No pregnancy or lactation;
- Smoking ≤ 10 cigarettes/day;
- Pocket probing depth ≤ 4 mm, no bleeding on probing, and plaque index ≤ 20%;
- Single missing tooth being a premolar or a molar in the maxilla or mandible, with a minimum post-extraction healing of 3 months;
- Absence of infection at the implant site;
- Adequate bone volume to place an implant (length 8.5–10 mm, diameter 4.1 mm, and class I to III bone quality according to Lekholm and Zarb) [34];
- Adequate prosthetic space to receive an anatomic restoration.
- General and medical contraindication for surgical procedures;
- Poor oral hygiene;
- Reduced prosthetic space at the edentulous site (≤5 mm);
- Severe wear facets, clenching, and bruxism;
- Heavy smokers (>10 cigarettes/day);
- Severe or not controlled periodontal disease;
- Poor compliance.
2.2. Surgical Procedures
2.3. Prosthetic and Laboratory Procedures
2.4. Delivery of Restorations
2.5. Baseline Evaluations
- 0 = no plaque and no inflammation;
- 1 = mild inflammation and a film of plaque adhering to the free soft tissues margin that cannot be seen with the naked eye but only with probes;
- 2 = moderate inflammation with moderate glazing, redness, bleeding on probing, and moderate accumulation of deposits within the soft tissue pocket and on the margin, which can be seen with the naked eye;
- 0 = no bleeding when a periodontal probe is passed along the peri-implant soft tissue;
- 1 = isolated bleeding spots visible;
- 2 = blood forms a confluent red line on the margin;
2.6. Follow-Up Recalls
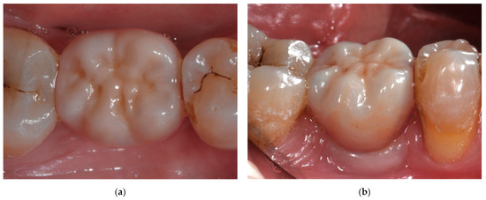
3. Results
4. Discussion
5. Conclusions
- The tested restorative system was highly effective and reliable for restoring occlusal function, showing 100% survival and success rates.
- Neither fracture nor loss of retention were noticed.
- The most-frequent technical complications were minor marginal misfit and weak proximal contacts, but none of them impaired function.
- The tested restorative system was highly biocompatible, as shown by the stability and optimal health status of the surrounding peri-implant tissues.
- Patients reported being very satisfied by the overall function and aesthetics.
Author Contributions
Funding
Institutional Review Board Statement
Informed Consent Statement
Data Availability Statement
Acknowledgments
Conflicts of Interest
References
- Pjetursson, B.E.; Thoma, D.; Jung, R.; Zwahlen, M.; Zembic, A. A systematic review of the survival and complication rates of implant-supported fixed dental prostheses (FDPs) after a mean observation period of at least 5 years. Clin. Oral Implant. Res. 2012, 23, 22–38. [Google Scholar] [CrossRef] [PubMed]
- Schwarz, S.; Schroder, C.; Corcodel, N.; Hassel, A.J.; Rammelsberg, P. Retrospective comparison of semipermanent and permanent cementation of implant-supported single crowns and FDPs with regard to the incidence of survival and complications. Clin. Implant. Dent. Relat. Res. 2012, 14, e151–e158. [Google Scholar] [CrossRef] [PubMed]
- Lee, A.; Okayasu, K.; Wang, H.L. Screw- versus cement-retained implant restorations: Current concepts. Implant. Dent. 2010, 19, 8–15. [Google Scholar] [CrossRef] [PubMed]
- Nissan, J.; Narobai, D.; Gross, O.; Ghelfan, O.; Chaushu, G. Long-term outcome of cemented versus screw-retained implant-supported partial restorations. Int. J. Oral Maxillofac Implant. 2011, 26, 1102–1107. [Google Scholar]
- Kraus, R.D.; Epprecht, A.; Hämmerle, C.H.F.; Sailer, I.; Thoma, D.S. Cemented vs screw-retained zirconia-based single implant reconstructions: A 3-year prospective randomized controlled clinical trial. Clin. Implant. Dent. Relat. Res. 2019, 21, 578–585. [Google Scholar] [CrossRef]
- Wittneben, J.G.; Joda, T.; Weber, H.P.; Brägger, U. Screw retained vs. cement retained implant-supported fixed dental prosthesis. Periodontol 2000 2017, 73, 141–151. [Google Scholar] [CrossRef]
- Zarone, F.; Sorrentino, R.; Traini, T.; Di lorio, D.; Caputi, S. Fracture resistance of implant-supported screw- versus cement-retained porcelain fused to metal single crowns: SEM fractographic analysis. Dent. Mater. 2007, 23, 296–301. [Google Scholar] [CrossRef]
- Linkevicius, T.; Vindasiute, E.; Puisys, A.; Linkeviciene, L.; Maslova, N.; Puriene, A. The influence of the cementation margin position on the amount of undetected cement. A prospective clinical study. Clin. Oral Implant. Res. 2013, 24, 71–76. [Google Scholar] [CrossRef]
- Gapski, R.; Neugeboren, N.; Pomeranz, A.Z.; Reissner, M.W. Endosseous implant failure influenced by crown cementation: A clinical case report. Int. J. Oral Maxillofac. Implant. 2008, 23, 943–946. [Google Scholar]
- Wasiluk, G.; Chomik, E.; Gehrke, P.; Pietruska, M.; Skurska, A.; Pietruski, J. Incidence of undetected cement on CAD/CAM monolithic zirconia crowns and customized CAD/CAM implant abutments. A prospective case series. Clin. Oral Implant. Res. 2017, 28, 774–778. [Google Scholar] [CrossRef]
- Wittneben, J.G.; Millen, C.; Bragger, U. Clinical performance of screw-versus cement-retained fixed implant-supported reconstructions—A systematic review. Int. J. Oral Maxillofac. Implant. 2014, 29, 84–98. [Google Scholar] [CrossRef] [Green Version]
- Hamed, M.T.; Abdullah, M.H.; Khalid, A.S.; Hossam, H.A.B.; Hussein, N.G. A Systematic Review of Screw versus Cement-Retained Fixed Implant Supported Reconstructions. Clin. Cosmet. Investig. Dent. 2020, 12, 9–16. [Google Scholar] [CrossRef] [PubMed] [Green Version]
- Shadid, R.; Sadaqa, N. A comparison between screw- and cement-retained implant prostheses. A literature review. J. Oral Implant. 2012, 38, 298–307. [Google Scholar] [CrossRef] [PubMed] [Green Version]
- Sailer, I.; Mühlemann, S.; Zwahlen, M.; Hämmerle, C.H.; Schneider, D. Cemented and screw-retained implant reconstructions: A systematic review of the survival and complication rates. Clin. Oral Implant. Res. 2012, 23, 163–201. [Google Scholar] [CrossRef] [PubMed]
- Chee, W.; Jivraj, S. Screw versus cemented implant supported restorations. Br. Dent. J. 2006, 201, 501–507. [Google Scholar] [CrossRef] [PubMed] [Green Version]
- Michalakis, K.X.; Hirayama, H.; Garefis, P.D. Cement-retained versus screw-retained implant restorations: A critical review. Int. J. Oral Maxillofac. Implant. 2003, 18, 719–728. [Google Scholar]
- Steinebrunner, L.; Wolfart, S.; Bössmann, K.; Kern, M. In vitro evaluation of bacterial leakage along the implant-abutment interface of different implant systems. Int. J. Oral Maxillofac. Implant. 2005, 20, 875–881. [Google Scholar]
- Kurbad, A.; Kurbad, S. CAD/CAM-based implant abutments. Int. J. Comput. Dent. 2013, 16, 125–141. [Google Scholar]
- Apicella, D.; Veltri, M.; Balleri, P.; Apicella, A.; Ferrari, M. Influence of abutment material on the fracture strength and failure modes of abutment-fixture assemblies when loaded in a bio-faithful simulation. Clin. Oral Implant. Res. 2011, 22, 182–188. [Google Scholar] [CrossRef]
- Fabbri, G.; Fradeani, M.; Dellificorelli, G.; De Lorenzi, M.; Zarone, F.; Sorrentino, R. Clinical Evaluation of the Influence of Connection Type and Restoration Height on the Reliability of Zirconia Abutments: A Retrospective Study on 965 Abutments with a Mean 6-Year Follow-Up. Int. J. Periodontics Restor. Dent. 2017, 37, 19–31. [Google Scholar] [CrossRef] [Green Version]
- Pjetursson, B.E.; Zarauz, C.; Strasding, M.; Sailer, I.; Zwahlen, M.; Zembic, A. A systematic review of the influence of the implant-abutment connection on the clinical outcomes of ceramic and metal implant abutments supporting fixed implant reconstructions. Clin. Oral Implant. Res. 2018, 29, 160–183. [Google Scholar] [CrossRef] [Green Version]
- Ferrari, M.; Tricarico, M.G.; Cagidiaco, M.C.; Vichi, A.; Gherlone, E.F.; Zarone, F.; Sorrentino, R. 3-Year Randomized Controlled Prospective Clinical Trial on Different CAD-CAM Implant Abutments. Clin. Implant. Dent. Relat. Res. 2016, 18, 1134–1141. [Google Scholar] [CrossRef] [Green Version]
- Zarone, F.; Russo, S.; Sorrentino, R. From porcelain-fused-to-metal to zirconia: Clinical and experimental considerations. Dent. Mater. 2011, 27, 83–96. [Google Scholar] [CrossRef]
- Alsarani, M.; Souza, G.; Rizkalla, A.; El-Mowafy, O. Influence of crown design and material on chipping-resistance of all-ceramic molar crowns: An in vitro study. Dent. Med. Probl. 2018, 55, 35–42. [Google Scholar] [CrossRef] [PubMed] [Green Version]
- Poggio, C.E.; Ercoli, C.; Rispoli, L.; Maiorana, C.; Esposito, M. Metal-free materials for fixed prosthodontic restorations. Cochrane Database Syst. Rev. 2017, 12, CD009606. [Google Scholar] [CrossRef] [PubMed]
- Anusavice, K.J. Standardizing failure, success, and survival decisions in clinical studies of ceramic and metal-ceramic fixed dental prostheses. Dent. Mater. 2012, 28, 102–111. [Google Scholar] [CrossRef] [PubMed] [Green Version]
- Sadowsky, S.J. Has zirconia made a material difference in implant prosthodontics? A review. Dent. Mater. 2020, 36, 1–8. [Google Scholar] [CrossRef]
- Sorrentino, R.; Triulzio, C.; Tricarico, M.G.; Bonadeo, G.; Gherlone, E.F.; Ferrari, M. In vitro analysis of the fracture resistance of CAD-CAM monolithic zirconia molar crowns with different occlusal thickness. J. Mech. Behav. Biomed. Mater. 2016, 61, 328–333. [Google Scholar] [CrossRef]
- Seydler, B.; Schmitter, M. Clinical performance of two different CAD/CAM- fabricated ceramic crowns: 2-year results. J. Prosthet. Dent. 2015, 114, 212–216. [Google Scholar] [CrossRef] [PubMed]
- Patzelt, S.B.; Spies, B.C.; Kohal, R.J. CAD/CAM-fabricated implant-supported restorations: A systematic review. Clin. Oral Implant. Res. 2015, 26, 77–85. [Google Scholar] [CrossRef] [PubMed]
- Blatz, M.B.; Alvarez, M.; Sawyer, K.; Brindis, M. How to Bond Zirconia. The APC Concept. Compend. Contin. Educ. Dent. 2016, 37, 611–618. [Google Scholar] [PubMed]
- Qeblawi, D.M.; Muñoz, C.A.; Brewer, J.D.; Monaco, E.A.J. The effect of zirconia surface treatment on flexural strength and shear bond strength to a resin cement. J. Prosthet. Dent. 2010, 103, 210–220. [Google Scholar] [CrossRef]
- Koizumi, H.; Nakayama, D.; Komine, F.; Blatz, M.B.; Matsumura, H. Bonding of resin-based luting cements to zirconia with and without the use of ceramic priming agents. J. Adhes. Dent. 2012, 14, 385–392. [Google Scholar] [PubMed]
- Lekholm, U.; Zarb, G.A. Patient selection and preparation. In Tissue Integrated Prostheses: Osseointegration in Clinical Dentistry, 1st ed.; Branemark, P.I., Zarb, G.A., Albrektsson, T., Eds.; Quintessence Publishing Company: Chicago, IL, USA, 1985; pp. 199–209. [Google Scholar]
- Sorrentino, R.; Gherlone, E.F.; Calesini, G.; Zarone, F. Effect of implant angulation, connection length, and impression material on the dimensional accuracy of implant impressions: An in vitro comparative study. Clin. Implant. Dent. Relat. Res. 2010, 12, e63–e76. [Google Scholar] [CrossRef] [PubMed]
- Moreira, A.H.; Rodrigues, N.F.; Pinho, A.C.; Fonseca, J.C.; Vilaca, J.L. Accuracy Comparison of Implant Impression Techniques: A Systematic Review. Clin. Implant. Dent. Relat. Res. 2015, 17, e751–e764. [Google Scholar] [CrossRef] [Green Version]
- Calesini, G.; Zarone, F.; Sorrentino, R.; Micarelli, C.; Fabianelli, A.; Papacchini, F.; Gherlone, E. Effect of 2 impression techniques on the dimensional accuracy of working implant prosthesis models: An in vitro study. J. Craniofac. Surg. 2014, 25, 822–827. [Google Scholar] [CrossRef]
- Bayne, S.C.; Schmalz, G. Reprinting the classic article on USPHS evaluation methods for measuring the clinical research performance of restorative materials. Clin. Oral Investig. 2005, 9, 209–214. [Google Scholar] [CrossRef]
- Pol, C.W.P.; Raghoebar, G.M.; Maragkou, Z.; Cune, M.S.; Meijer, H.J.A. Full-zirconia single-tooth molar implant-supported restorations with angulated screw channel abutments: A 1-year prospective case series study. Clin. Implant. Dent. Relat. Res. 2020, 22, 138–144. [Google Scholar] [CrossRef] [PubMed] [Green Version]
- Sorrentino, R.; De Simone, G.; Tetè, S.; Russo, S.; Zarone, F. Five-year prospective clinical study of posterior three-unit zirconia-based fixed dental prostheses. Clin. Oral Investig. 2012, 16, 977–985. [Google Scholar] [CrossRef] [PubMed]
- Mombelli, A.; van Oosten, M.A.; Schurch, E.J.; Land, N.P. The microbiota associated with successful or failing osseointegrated titanium implants. Oral Microbiol. Immunol. 1987, 2, 145–151. [Google Scholar] [CrossRef] [PubMed]
- Bradley, H.; Owen, B.; Keys, W. Zirconia implants: A promising alternative to titanium? Evid. Based Dent. 2021, 22, 102–103. [Google Scholar] [CrossRef]
- Curiel-Aguilera, F.P.; Griffiths, G.R.; Rossmann, J.A.; Gonzalez, J.A. Titanium versus zirconia complete-arch implant-supported fixed prostheses: A comparison of plaque accumulation. J. Prosthet. Dent. 2021. [Google Scholar] [CrossRef]
- Farrag, K.M.; Khamis, M.M. Effect of anodized titanium abutment collars on peri-implant soft tissue: A split-mouth clinical study. J. Prosthet. Dent. 2021. [Google Scholar] [CrossRef] [PubMed]
- Newbrun, E. Indices to measure gingival bleeding. J. Periodontol. 1996, 67, 555–561. [Google Scholar] [CrossRef] [PubMed]
- Ferrari, M.; Cagidiaco, M.C.; Garcia-Godoy, F.; Goracci, C.; Cairo, F. Effect of different prosthetic abutments on peri-implant soft tissue. A randomized controlled clinical trial. Am. J. Dent. 2015, 28, 85–89. [Google Scholar] [PubMed]
- Wong, A.T.; Wat, P.Y.; Pow, E.H.; Leung, K.C. Proximal contact loss between implant-supported prostheses and adjacent natural teeth: A retrospective study. Clin. Oral Implant. Res. 2015, 26, e68–e71. [Google Scholar] [CrossRef] [PubMed]
- Pang, N.S.; Suh, C.S.; Kim, K.D.; Park, W.; Jung, B.Y. Prevalence of proximal contact loss between implant-supported fixed prostheses and adjacent natural teeth and its associated factors: A 7-year prospective study. Clin. Oral Implant. Res. 2017, 28, 1501–1508. [Google Scholar] [CrossRef]
- Sailer, I.; Gottnerb, J.; Kanelb, S.; Hammerle, C.H. Randomized controlled clinical trial of zirconia-ceramic and metal-ceramic posterior fixed dental prostheses: A 3-year follow-up. Int. J. Prosthodont. 2009, 22, 553–560. [Google Scholar]
- Sorrentino, R.; Galasso, L.; Tetè, S.; De Simone, G.; Zarone, F. Clinical evaluation of 209 all-ceramic single crowns cemented on natural and implant-supported abutments with different luting agents: A 6-year retrospective study. Clin. Implant. Dent. Relat. Res. 2012, 14, 184–197. [Google Scholar] [CrossRef]
- Zarone, F.; Di Mauro, M.I.; Ausiello, P.; Ruggiero, G.; Sorrentino, R. Current status on lithium disilicate and zirconia: A narrative review. BMC Oral Health 2019, 19, 134. [Google Scholar] [CrossRef] [PubMed] [Green Version]
- da Cruz, M.B.; Marques, J.F.; Fernandes, B.F.; Madeira, S.; Carvalho, Ó.; Silva, F.S.; da Mata, A.D.S.P.; Caramês, J.M.M. Peri-implant cell response on groove and pore-textured zirconia surfaces. J. Oral Biosci. 2022, 64, 100–107. [Google Scholar] [CrossRef] [PubMed]
- Zarone, F.; Ruggiero, G.; Leone, R.; Breschi, L.; Leuci, S.; Sorrentino, R. Zirconia-reinforced lithium silicate (ZLS) mechanical and biological properties: A literature review. J. Dent. 2021, 109, 103661. [Google Scholar] [CrossRef] [PubMed]


| Maxilla (n = 10) | Mandible (n = 40) | |||
|---|---|---|---|---|
| n | % | n | % | |
| 1st premolar | 1 | 2% | 9 | 18% |
| 2nd premolar | 4 | 8% | 12 | 24% |
| 1st molar | 5 | 10% | 19 | 38% |
| USPHS Criteria | Alpha | Bravo | Charlie | Delta |
|---|---|---|---|---|
| Fracture behavior | No fracture of zirconia | Fracture but polishing possible | Fracture but polishing not possible | New restoration needed |
| Decementation | No decementation between crown and abutment | - | - | Decementation between crown and abutment |
| Anatomical form | Ideal anatomical shape, good proximal contacts | Slightly over- or under-contoured; weak proximal contacts | Highly over- or under-contoured; open proximal contacts | New restoration needed |
| Marginal adaptation | No probe catches | Slight probe catches but no gap | Gap with abutment exposure | New restoration needed |
| Groups | VAS Aesthetics Score (mean) | VAS Function Score (mean) |
|---|---|---|
| Men (n = 32) | 8.9 | 8.7 |
| Women (n = 18) | 8.2 | 7.9 |
| 21–40 years old (n = 17) | 8.6 | 8.4 |
| 41–70 years old (n = 33) | 8.8 | 8.4 |
| Maxilla (n = 10) | 8.3 | 8.0 |
| Mandible (n = 40) | 8.8 | 8.5 |
Publisher’s Note: MDPI stays neutral with regard to jurisdictional claims in published maps and institutional affiliations. |
© 2022 by the authors. Licensee MDPI, Basel, Switzerland. This article is an open access article distributed under the terms and conditions of the Creative Commons Attribution (CC BY) license (https://creativecommons.org/licenses/by/4.0/).
Share and Cite
Sorrentino, R.; Ruggiero, G.; Toska, E.; Leone, R.; Zarone, F. Clinical Evaluation of Cement-Retained Implant-Supported CAD/CAM Monolithic Zirconia Single Crowns in Posterior Areas: Results of a 6-Year Prospective Clinical Study. Prosthesis 2022, 4, 383-393. https://doi.org/10.3390/prosthesis4030031
Sorrentino R, Ruggiero G, Toska E, Leone R, Zarone F. Clinical Evaluation of Cement-Retained Implant-Supported CAD/CAM Monolithic Zirconia Single Crowns in Posterior Areas: Results of a 6-Year Prospective Clinical Study. Prosthesis. 2022; 4(3):383-393. https://doi.org/10.3390/prosthesis4030031
Chicago/Turabian StyleSorrentino, Roberto, Gennaro Ruggiero, Eralda Toska, Renato Leone, and Fernando Zarone. 2022. "Clinical Evaluation of Cement-Retained Implant-Supported CAD/CAM Monolithic Zirconia Single Crowns in Posterior Areas: Results of a 6-Year Prospective Clinical Study" Prosthesis 4, no. 3: 383-393. https://doi.org/10.3390/prosthesis4030031
APA StyleSorrentino, R., Ruggiero, G., Toska, E., Leone, R., & Zarone, F. (2022). Clinical Evaluation of Cement-Retained Implant-Supported CAD/CAM Monolithic Zirconia Single Crowns in Posterior Areas: Results of a 6-Year Prospective Clinical Study. Prosthesis, 4(3), 383-393. https://doi.org/10.3390/prosthesis4030031

