Next Article in Journal
Comparison of the Accuracy between Denture Bases Produced by Subtractive and Additive Manufacturing Methods: A Pilot Study
Next Article in Special Issue
Removable Partial Denture Frameworks in the Age of Digital Dentistry: A Review of the Literature
Previous Article in Journal
Gait Performance of Friction-Based Prosthetic Knee Joint Swing-Phase Controllers in Under-Resourced Settings
Previous Article in Special Issue
On the Modeling of Transcatheter Therapies for the Aortic and Mitral Valves: A Review
 
 
Font Type:
Arial Georgia Verdana
Font Size:
Aa Aa Aa
Line Spacing:
Column Width:
Background:
Review

CAD/CAM Diagnostic Esthetic Functional Splint (DEFS) as a Removable Prototype to Evaluate the Final Prosthetic Rehabilitation: A Narrative Review

by
Fernando Zarone
1,
Roberto Sorrentino
1,
Francesca Sorrentino
1,
Maria Irene Di Mauro
1,* and
Daniel Edelhoff
2
1
Department of Neurosciences, Reproductive and Odontostomatological Sciences, Division of Prosthodontics, University “Federico II” of Naples, 80014 Naples, Italy
2
Department of Prosthodontics, Ludwig-Maximilians University of Munich, 80331 Munich, Germany
*
Author to whom correspondence should be addressed.
Prosthesis 2022, 4(1), 136-150; https://doi.org/10.3390/prosthesis4010014
Submission received: 19 January 2022 / Revised: 16 February 2022 / Accepted: 14 March 2022 / Published: 16 March 2022
(This article belongs to the Special Issue Feature Review Papers for Prosthesis)

Abstract

The main objective of this narrative review was to provide an overview of DEFS (Diagnostic Esthetic Functional Splint), namely CAD/CAM manufactured, “snap-retained”, tooth-colored splints available by materials exhibiting a certain degree of elasticity (like polycarbonates or acetal resins) for restoring function, esthetics and occlusion in several clinical situations, before or as an intermediate alternative to undergoing the final treatment. The search strategy included all papers dealing with snap-retained prosthetic systems and was based on a literature review of papers available in electronic databases (Pubmed/Medline, Evidence-Based Dentistry, BMJ Evidence-Based Medicine, Dynamed, Embase, BMJ Clinical Evidence, Web of Science, Scientific reports); eligible papers were researched on Opengreyand a manual search was performed, as well. From the electronic databases emerged 13,199 records, many of which were duplicates. The grey literature and the manual research did not produce any eligible article. After duplicates removal, 7690 records were obtained. Titles, abstracts and keywords were analyzed. The studies concerning the topic of interest were examined by the reviewers and discussed. Although no evidence-based data were found in the literature, according to the authors’ clinical experience, the DEFS (Diagnostic Esthetic Functional Splint) is a very promising solution in multiple clinical situations, due to its diagnostic, therapeutical, functional and esthetic versatility.

1. Introduction

Fixed prosthetic treatments in complex rehabilitations have always been the most sought after restorative solution by patients, for the offered functional, esthetic and psychological benefits [1]. However, the conditions for a prompt execution may not be present in all clinical situations: especially in advanced cases with severe stomatognathic and esthetic impairments and necessity of increase the vertical dimension of occlusion (VDO), a middle-term ad interim prosthesis is indicated, as minimally invasive as possible, in order to evaluate the individual functional and psychological response to oral modifications, as a prototype of the final prosthetic restoration [2].
It has always to be considered that, sometimes, the planned and often very relevant modifications of dental arches may not be accepted by patients showing low psychological/emotional compliance. Therefore, the use of “full-reversible” prosthetic solutions could be considered an undeniable must.
In other cases, a fixed prosthesis cannot be immediately indicated (or not feasible at all) for different reasons: for example, when a patient is too young and in full growth or too old, so that for medical reasons a complex, invasive and long-lasting treatment would be quite risky and expensive.
To date, in the scope of prosthetic planning and communication, Digital Dentistry offers many new, overwhelming tools that facilitate and speed up the prosthodontists’ daily practice in a terrific way, from intraoral scanners to a full digital workflow.
An innovative, efficient and versatile restorative approach is offered today by CAD/CAM manufactured, tooth-colored splints, retained by a “snap-on” type of mechanical engagement, available by materials exhibiting a certain degree of elasticity, like polycarbonates or acetal resins and reproducing the occlusal shape, the esthetic morphology and the color of the final restorations [2,3,4]. A certain degree of elasticity of such materials allows positioning onto the dental arch, thanks to a mechanical engagement into the undercuts of teeth, with neither use of luting cements nor subtractive tooth preparations. The idea of using a full-arch tooth colored splint led in the past years to the commercial launch of a novel device, known as “Snap-on-Smile” (DenMat SLR, Antessano, Italy), made of acetal resin, just for esthetic and cosmetic purposes. At the same time, due to its good esthetic and functional performance, the concept of a removable tooth colored splint was introduced by the Munich school as a temporary diagnostic tool or, in selected cases, as an intermediate alternative to conventional fixed prosthetic treatments (the so-called “Munich Splint Concept”) [3,4]. Notwithstanding the increasing interest raised in the dental community by this technique, at the moment scientific data are very scarce; the aim of the present narrative review was to analyze the available knowledge on this topic.

2. Materials and Methods

The search strategy included all papers dealing with snap-retained prosthetic systems and was based on a literature review of studies available in electronic databases (Pubmed, Evidence-Based Dentistry, BMJ Evidence-Based Medicine, Dynamed, Embase, Medline, BMJ Clinical Evidence, Web of Science, Scientific reports). Only articles written in English were considered.
The following keywords and the Boolean operators AND/OR were used to pursue the research:
#1 “snap-on smile”;
#2 “polycarbonate”;
#3 “polyacetal”;
#4 “acetal resin”;
#5 “CAD/CAM splint”;
#6 “snap-on provisional”.
The following queries were used for each electronic database, in order to perform the papers screening: (snap-on smile) AND/OR (polycarbonate) AND/OR (polyacetal) AND/OR (acetal resin) AND/OR (CAD/CAM splint) AND/OR (snap-on provisional).
Eligible papers were researched on the website www.opengrey.eu, and a manual search was performed, as well. The authors of non-published or not electronically available articles were reached out by the reviewers. Data extraction was carried out by two experienced and calibrated reviewers; a third experienced and calibrated supervisor was consulted in case of any disagreement. The references of the found records were imported into Mendeley (Mendeley Ltd., London, UK) in order to remove the duplicates.

3. Results

The electronic research in databases produced 13,199 records, whereas the grey literature and the manual search did not provide any other relevant article. After the removal of duplicates, all the selected databases produced 7690 records. Titles, abstracts and keywords were examined. Neither randomized controlled trials (RCTs) nor long-term clinical studies were found. The most interesting case-reports were thoroughly analyzed by the reviewers and discussed below, in order to draw some guiding principles based on the published literature available and the authors’ clinical expertise.

4. Discussion

The CAD/CAM DEFS (Diagnostic Esthetic Functional Splint), tooth colored, removable devices can be considered a valuable pre-treatment or definitive restorative option, since they show different promising indications for particular clinical situations.
Nowadays, according to the authors best knowledge, no long-term clinical study is available on such topic, besides technical and clinical case reports [5,6,7]. A 78-yr-old patient with a clinical history of osteonecrosis was treated with the snap-retained device for 5 years, successfully [5]. Several complex clinical cases have been handled satisfactorily with similar CAD/CAM-fabricated temporary appliances, redefining the vertical dimension of occlusion in a minimal invasive manner [6].
The effect of CAD/CAM occlusal devices on teeth and soft tissues health is a paramount aspect that should be further investigated. Removability facilitates oral hygiene daily procedures [8], but further long-term clinical studies are necessary to define the impact of DEFS on oral health.
Furthermore, additional studies should be carried out on the different materials used to fabricate DEFS appliances, in order to investigate the tribological behavior (wear, occlusal surface modifications over time, etc.). Up to now, polycarbonate [3,4,6,9,10] and resin [5,7,8] have been proposed in the currently available literature, but no long-term comparative study has been conducted yet.
This is particularly important if we consider that cases of severe tooth wear, inducing loss of dental hard tissues as a result of attrition, abrasion and erosion, [11] are increasing and increasing over the years: it has been estimated that severe tooth wear affects 3% of the population at 20 years old and 17% at 70 years old [12,13], increasing with the age.
In such cases, not only it is necessary to restore the appearance of the worn dentition but also mandatory to restore functional parameters, like VDO, centric relation, anterior guidance, anterior teeth phonetic relationship, perioral tissues support, etc. From this point of view, DEFS can be considered as a promising, very versatile and effective solution to evaluate the restorative validity and patient’s acceptance of a complex prosthetic rehabilitation, in a pre-treatment, totally reversible, non-invasive phase. Compared to a classic bis-acrylic resin mock-up, that has a limited duration of about 24 h [14], DEFS made of polycarbonate or acetal resin is a more comfortable and durable option, thanks to the high resistance and flexibility of CAD/CAM-generated high-density polymers used [6]. Pre-treatment with conventional occlusal splints is a well acknowledged step in a structured concept for complex prosthetic rehabilitations [15]; in dysfunctional patients, the short-term use of conventional occlusal splints is widely accepted for the treatment of temporo-mandibular disorders, offering occlusal stability and decreasing of muscular tension [16]. From this perspective, compared to the conventional occlusal stabilization splints, the DEFS could be considered as a possible tool to explore also esthetic and phonetic parameters. However, at the moment there are no available studies on this possible utilization.
Another advantageous indication of the DEFS is the ad interim rehabilitation of young patients with dental anomalies who are in the process of growing, and so cannot be submitted to a final fixed prosthetic treatment yet. Dental anomalies like amelogenesis imperfecta, dentinogenesis imperfecta, and multiple dental agenesis can severely affect self-confidence, especially during adolescence, and from this perspective DEFS can provide affordable esthetics and comfortable function until the definitive treatment is carried out in adulthood [10,17].
The removability of the DEFS in all situations facilitates dental hygiene procedures; for its part, the device can be employed as an effective temporary restoration, particularly versatile, for instance, in cases of single tooth edentulous sites treated with regenerative surgery, in order to not apply any functional load onto the treated ridge, or in multiple preparations for anterior veneers, where the absence of any temporary cement offers, at the time of the adhesive bonding, an excellent response of the marginal soft tissues and the absence of contamination of the enamel substrate.
DEFS also represent an effective, “last resort” prosthetic solution, as an extreme measure in cases of elderly patients, or people affected by severe diseases or disability contraindicating long, expensive and quite invasive treatments, also for an understandable low psychological compliance. To date, it is not possible to define the lifespan of these devices, due to the mechanical characteristics of the used materials, conceived for medium-term service; but such an approach offers a great advantage, compared to the conventional acrylic devices resulting from the digital workflow. Once the file of the project has been stored, DEFS can be reproduced as many times as needed, without any further clinical procedure on the patient (impression, occlusal registrations, etc.).
Hence, DEFS can be considered as a promising component of the prosthetic treatment, showing different indications and contraindications, which the authors would summarize as follows:

4.1. Indications

- TEMPORARY PROSTHESIS: in some clinical situations, removable, tooth colored, “snap-on”-retained splints can be used as temporary restorations, for example in the presence of short-span (e.g., one premolar) edentulous ridges, when, after implant placement or bone graft, the conditions for an immediate loading are not present and the patient is esthetically demanding. In these cases, DEFS can be used for the time period of osseointegration, without the need of modifying the teeth adjacent to the edentulous space, allowing, at the same time, a very easy hygienic access to the site. Moreover, as a temporary device, being removable, the pontic can be modified to provide a good esthetical correction in case of deformed ridge contour [18].
Another possible utilization as temporary restoration is when multiple teeth are prepared for laminate veneers in the anterior sites, offering the advantage of removing the temporary after every meal in order to maintain an excellent gingival health, that is a main prerequisite for the final adhesive cementation of the restorations [8].
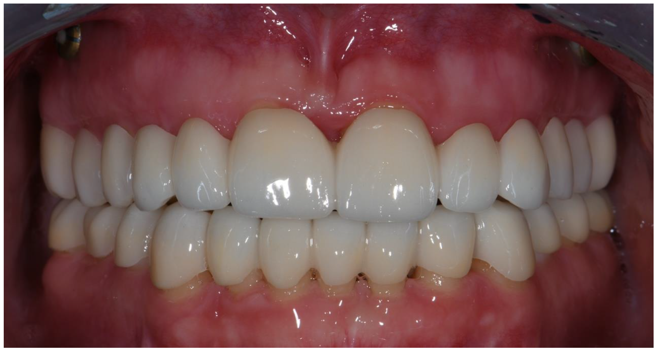
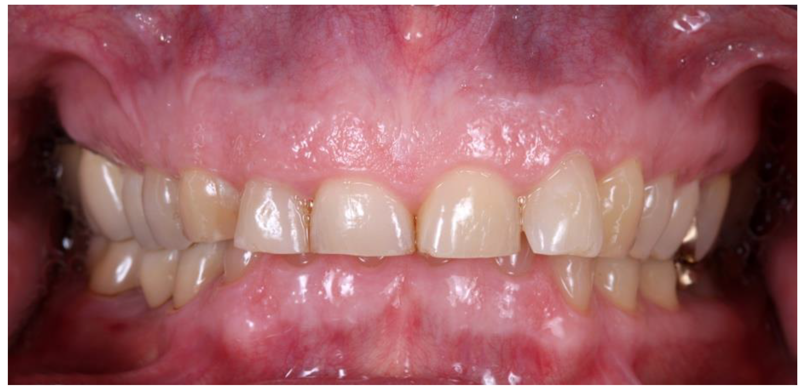
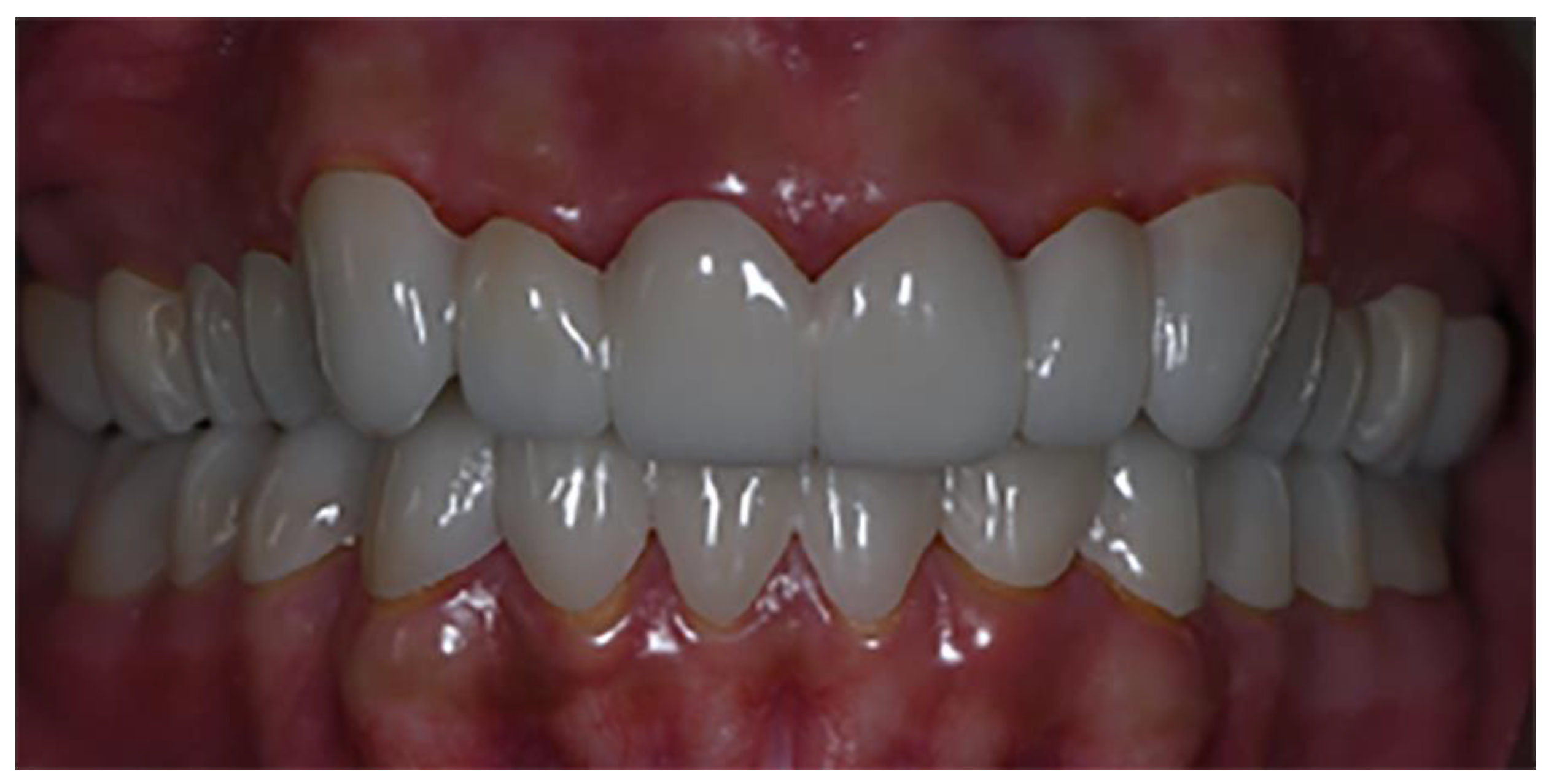
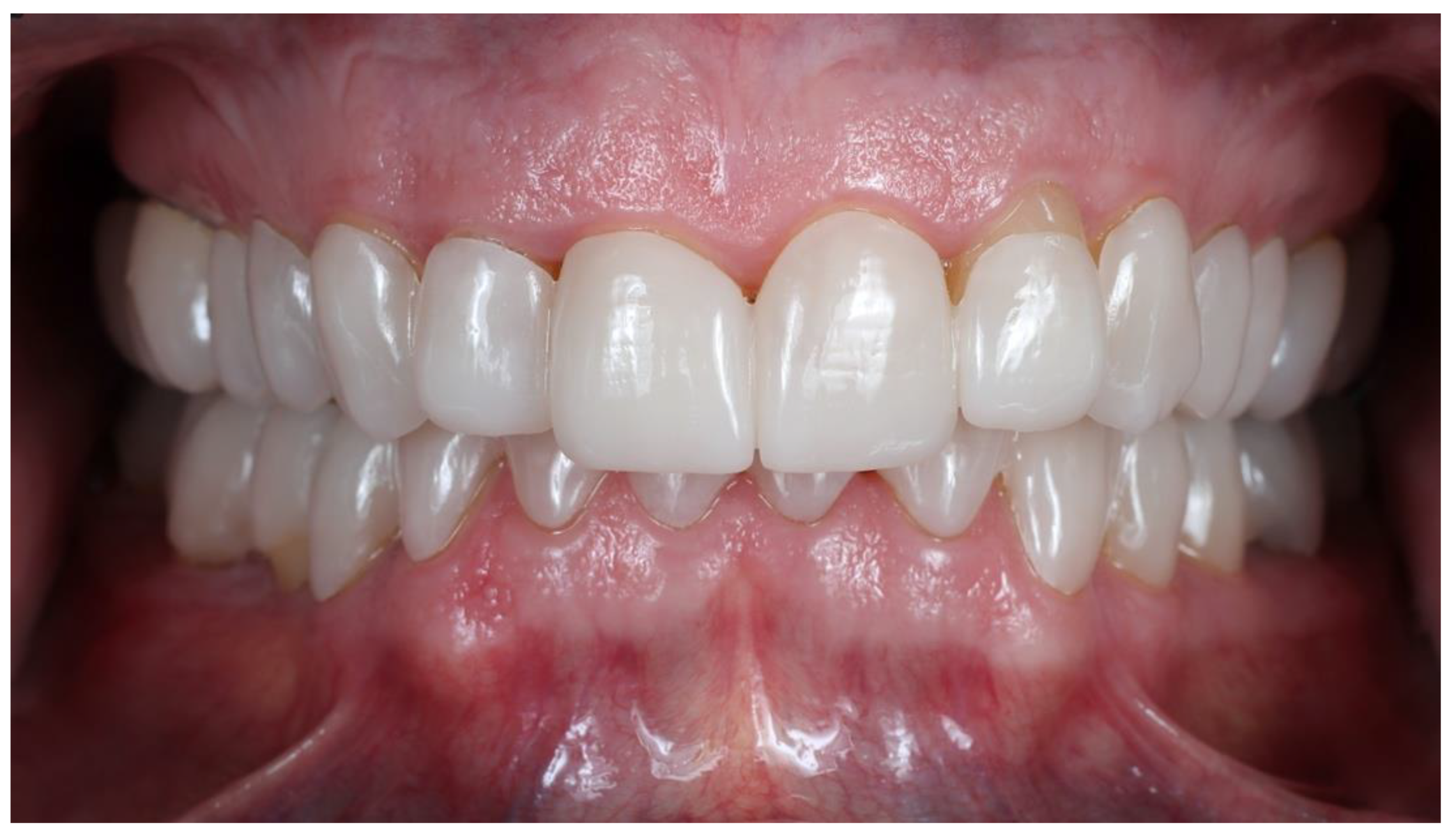
- “TEST-DRIVE” approach [9]: this can be an effective solution when a pre-treatment diagnostic phase is needed to test esthetic and functional modifications of dental morphology in the patient’s mouth for a more or less prolonged time. An example is offered by cases of severe tooth wear (Figure 1 and Figure 2) in which, after defining new occlusal relationships, VDO [19,20], phonetics, esthetics and their general effects on the stomatognathic system including the facial muscles should be evaluated, analyzing the acceptance and adaptation by the patient (Figure 3 and Figure 4).
This solution offers the important advantage of a complete, comfortable reversibility of the treatment plan (Figure 5 and Figure 6), if the result is not accepted by the patient: compared to the conventional composite “middle-term mock-up” adhesively bonded to the teeth surfaces, in fact, no removal of restorative materials is needed, neither will the patient be able to assert that his/her occlusion has changed, as sometimes it happens after the elimination of bonded diagnostic composite restorations.
- TRANSITIONAL PROSTHESIS: in young patients affected by severe dental anomalies, such as amelogenesis imperfecta, dentinogenesis imperfecta or dental agenesis [10,17], DEFS can be very useful as ad interim, medium-term prosthesis, aimed at waiting for the achievement of growth, before a final restoration project can be performed, being periodically replaced, according to the ongoing growth (Figure 7, Figure 8, Figure 9, Figure 10, Figure 11, Figure 12, Figure 13, Figure 14 and Figure 15).
- “LAST RESORT”: in elderly patients with several missing teeth, people affected by serious illnesses, requiring challenging therapies or suffering from particular diseases (e.g., osteonecrosis of the jaw) or in patients non-cooperating for severe disabilities (Figure 16, Figure 17 and Figure 18), DEFS can be considered as an acceptable, economically viable solution, alternative to a fully edentulous condition or to complex, invasive and costly fixed restorative treatments [5,21].

4.2. Contraindications

The presence of four stable teeth at least is an indispensable factor to support a full-arch DEFS. The presence of periodontally compromised teeth, with advanced tooth mobility, negatively affects the retention of the splint due to a harmful biomechanical overload. Consequently, full-arch DEFS is contraindicated in case of presence of a severe periodontal disease, even if stabilized after a surgical treatment.
In other cases, tooth shape anomalies, frequently found, for instance, in some forms of amelogenesis imperfecta, can impair the “snap-on” retention mechanism of the splint, especially when natural undercuts are not sufficient. In those cases, a previous contour reshaping with composite resin can be effective to solve the problem.
Similarly, the presence of short teeth could render the mechanical mechanism of retention of DEFS less effective. Furthermore, an accurate initial evaluation and diagnosis of the patient are strongly suggested. DEFS devices are not recommended in those clinical cases where additive procedures could affect the aesthetic and functional parameters.
For instance, DEFS employment is not advisable in case of vestibularized teeth, since such type of device may induce the worsening of the aesthetics of the patient.

4.3. DEFS Workflow

Before starting a treatment with DEFS, a careful check of the oral health status is needed: dental, periodontal, mucosal and hygienic conditions have to be evaluated and, if necessary, preliminary restorative/periodontal treatments have to be performed in order to optimize the support.
The fabrication of this kind of splints is performed utilizing digital technologies, according either to a full or a mixed digital workflow (Figure 19).
The first step is an accurate impression procedure of dental arches, that can be performed by means of an intra-oral scanner, if a full-digital workflow is preferred (direct digitization), otherwise a conventional precision impression (with polyvinylsiloxanes or polyethers), properly made and poured in extra-hard, precision stone and finally digitalized with a laboratory scanner is equally valid (indirect digitization).
Centric relation, protrusive and lateral interocclusal registrations have to be carefully recorded, for setting a mechanical articulator or for uploading into the planning software (digital articulator), in order to proceed with the final project.
After defining the new morphology of the dental arch, carrying out a visual pre-visualization of the desired final outcome is strongly suggested, by means of the so-called “digital smile”, performed by dedicated software; this is paramount to get an initial, informed acceptance of the treatment plan by the patient [22,23].
In the following step, a conventional intra-oral mock-up is preferably made [14], based on the newly defined treatment goal, shown in the digital smile pre-visualization: silicone templates are modelled on the diagnostic wax-up (on the gypsum casts, in case of “mixed” workflow) or on the 3D printed cast of the final project (in the “full-digital” workflow) to transfer the new volumes, morphologies and, if needed, shades, onto the patient’s arches, without any tooth modification. For this purpose, some composite or bis-acrylic resin is poured into the silicone guide, then such a template is positioned onto the patient’s dental arch and removed after the material polymerization. A precise mock-up, transferring intra-orally the planned restorative project, offers a worthwhile tool to check dynamically the esthetic and functional modifications of the new draft, that can be shown to the patient and in case adjusted, if needed, in real time.
This step is of high importance in the process of acceptance of the final restorative project, allowing the patient to get a “physical” perception of the occlusion, phonetics and of the real integration in the total harmony of the facial esthetics (analysis and acceptation of shape and color of teeth, smile line, lip position and support) [23,24,25].
The DEFS concept is polyhedric and versatile, showing more indications if compared to the conventional resin direct mock-up.
The DEFS is milled with a CAD/CAM production software from a pre-polymerized disk of different high-density polymers and is retained by means of a snap-on mechanism, not requiring preparations or bonding of the tooth structures. The complete removability of DEFS allows the daily patients’ oral hygiene. Furthermore, DEFS devices can be employed to test functional, phonetic and aesthetic parameters in disfunctional patients. They can act as medium-term transitional prosthesis in young patients or represent a valuable alternative prosthetic treatment for elderly patients or patients with severe disabilities.
Differently, the conventional direct bis-acrylic resin mock-up can be a pre-treatment or post-preparation restoration or long-term provisional solution until further treatment can be completed [22]. It is a valid prosthetic expedient to test aesthetics and functions in case of prosthetic rehabilitations and allows a pre-visualization of the final result, but has a limited duration of about 24 h and is bonded to prepared teeth [22].
Conversely, thanks to the versatile technopolymers used, DEFS can offer new function and esthetics in a very short production time, especially when made according to a full-digital workflow and can be used as a test device for a medium/long time [9].
Actually, discs of acetal resin or polycarbonate can be CAD/CAM milled for producing these splints. Such technopolymers are fabricated under industrially standardized conditions, characterized by homogeneity, biocompatibility, stability, flexibility and good resistance to wear [6].
Acetal resin, for its part, is a homopolymer of highly crystalline polymerized formaldehyde [26] and has been used in dentistry since 1986 for the manufacturing of clasps, partial denture frameworks, temporary bridges, implant abutments, occlusal splints [27] and screw-retained temporary fixed prostheses [28]. According to studies conducted on acetal resin as full denture material, it shows good fracture resistance and acceptable color stability [29,30].
Polycarbonate is a polymer of carbonic acid and is used in dentistry for making brackets or temporary crowns [31]. Several studies have been carried out on its mechanical properties, showing: mean modulus of elasticity = 2500 MPa, flexural strength = 89.4–109.8 MPa, hygroscopicity = 2.43–11.43 μg/mm³, solubility = 0.11–0.30 μg/mm³, good behavior at transverse strength test, and good color stability [32,33]. Moreover, a study on surface roughness after loading has evidenced very low micro porosities [34].
Thanks to their good mechanical properties, both materials allow the fabrication of low thickness devices: the recommended minimum thickness for acetal resin is 0.7 mm, for polycarbonate is 0.3 mm, that is a highly valuable pre-requisite for any non-invasive treatment option [9].
At any time, DEFS can be replaced with a definitive treatment, based on the conventional restorative systems, like crowns, fixed dental prostheses, veneers, occlusal onlays, etc.
After obtaining informed consent from the patient, the DEFS is milled with a CAD/CAM production software from a pre-polymerized disk. Before delivering the device to the patient, a careful check of both occlusal contacts and internal/marginal fit has to be carried out by articulation paper and fit-checker paste.
Naturally, patient’s instruction, motivation and training for the management of the device are mandatory: the DEFS can be worn all day, up to 24 h, also during mastication and very carefully during food uptake, and should be easily inserted and removed by the patient, to be carefully cleansed after every meal, at the tooth-brushing times.

5. Conclusions

Although no definitive, evidence-based, clinical data are currently available in scientific literature, the DEFS procedure shows many interesting aspects of application that should be investigated by means of further prospective studies and RCTs. The DEFS is gaining popularity in clinical practice. However, this study has revealed a complete lack of high quality clinical evidence regarding the use of DEFS. Their use cannot currently be recommended, but further high quality clinical trials are indicated to investigate this technique, the effective durability of such devices, the best material option, the impact on general and oral health and the improvement of patients’ quality of life.

Author Contributions

F.Z. and R.S. conceptualization; M.I.D.M. and F.S. writing—original draft preparation, investigation and data curation; F.Z., D.E. and R.S. writing—review and editing, supervision and project administration. All authors have read and agreed to the published version of the manuscript.

Funding

This research received no external funding.

Institutional Review Board Statement

Not applicable.

Informed Consent Statement

Not applicable.

Availability of Data and Materials

Not applicable.

Acknowledgments

Not applicable.

Conflicts of Interest

The authors declare no conflict of interest.

Ethics Approval and Consent to Participate

Not applicable.

Abbreviations

DEFS (Diagnostic Esthetic Functional Splint); CAD/CAM (Computer-Aided Design/Computer-Aided Manufacturing); RCT (Randomized Controlled Trials); VDO (Vertical Dimension of Occlusion).

References

  1. da Silva, G.R.; Roscoe, M.G.; Ribeiro, C.P.; da Mota, A.S.; Martins, L.R.; Soares, C.J. Impact of rehabilitation with metal-ceramic restorations on oral health-related quality of life. Braz. Dent. J. 2012, 23, 403–408. [Google Scholar] [CrossRef] [PubMed][Green Version]
  2. Saeidi Pour, R.; Engler, M.L.P.D.; Edelhoff, D.; Prandtner, O.; Frei, S.; Liebermann, A. A patient-calibrated individual wax-up as an essential tool for planning and creating a patient-oriented treatment concept for pathological tooth wear. Int. J. Esthet. Dent. 2018, 13, 476–492. [Google Scholar] [PubMed]
  3. Edelhoff, D.; Probst, F.; Ehrenfeld, M.; Prandtner, O.; Schweiger, J.; Liebermann, A. Interdisciplinary full-mouth rehabilitation for redefining esthetics, function, and orofacial harmony. J. Esthet. Restor. Dent. 2019, 31, 179–189. [Google Scholar] [CrossRef] [PubMed]
  4. Edelhoff, D.; Stimmelmayr, M.; Schweiger, J.; Ahlers, M.O.; Güth, J.F. Advances in materials and concepts in fixed prosthodontics: A selection of possible treatment modalities. Br. Dent. J. 2019, 226, 739–748. [Google Scholar] [CrossRef] [PubMed]
  5. Login, G.R. A 5-year perspective on a removable overdenture appliance for a patient with osteonecrosis of the jaw, a mandibular resection, and rampant caries. J. Prosthet. Dent. 2016, 116, 172–175. [Google Scholar] [CrossRef] [PubMed]
  6. Edelhoff, D.; Beuer, F.; Schweiger, J.; Brix, O.; Stimmelmayr, M.; Guth, J.F. CAD/CAM-generated high-density polymer restorations for the pretreatment of complex cases: A case report. Quintessence Int. 2012, 43, 457–467. [Google Scholar] [PubMed]
  7. Login, G.R. Creating durable and esthetic gingival anatomy on a polyoxymethylene overdenture by using a chairside procedure. J. Am. Dent. Assoc. 2017, 148, 525–528. [Google Scholar] [CrossRef]
  8. Esquivel, J.; Villarroel, M.; Tran, D.; Kee, E.; Bruggers, K. The utilization of snap-on provisionals for dental veneers: From an analog to a digital approach. J. Esthet. Restor. Dent. 2020, 32, 161–170. [Google Scholar] [CrossRef]
  9. Edelhoff, D.; Schweiger, J.; Prandtner, O.; Trimpl, J.; Stimmelmayr, M.; Güth, J.F. CAD/CAM splints for the functional and esthetic evaluation of newly defined occlusal dimensions. Quintessence Int. 2017, 48, 181–191. [Google Scholar]
  10. Edelhoff, D.; Prandtner, O.; Saeidi Pour, R.; Wichelhaus, A.; Liebermann, A. Systematic development of esthetics and function in a young patient with maxillary dental aplasia. J. Esthet. Restor. Dent. 2017, 29, 247–255. [Google Scholar] [CrossRef]
  11. Shellis, R.P.; Addy, M. The interactions between attrition, abrasion and erosion in tooth wear. Monogr. Oral Sci. 2014, 25, 32–45. [Google Scholar] [PubMed]
  12. Warreth, A.; Abuhijleh, E.; Almaghribi, M.A.; Mahwal, G.; Ashawish, A. Tooth surface loss: A review of literature. Saudi Dent. J. 2020, 32, 53–60. [Google Scholar] [CrossRef] [PubMed]
  13. Van’t Spijker, A.; Rodriguez, J.M.; Kreulen, C.M.; Bronkhorst, E.M.; Bartlett, D.W.; Creugers, N.H. Prevalence of tooth wear in adults. Int. J. Prosthodont. 2009, 22, 35–42. [Google Scholar] [PubMed]
  14. Fabbri, G.; Cannistraro, G.; Pulcini, C.; Sorrentino, R. The full-mouth mock-up: A dynamic diagnostic approach (DDA) to test function and esthetics in complex rehabilitations with increased vertical dimension of occlusion. Int. J. Esthet. Dent. 2018, 13, 460–474. [Google Scholar] [PubMed]
  15. de Almeida Rde, C.; da Rosa, W.L.; Boscato, N. The Effect of Occlusal Splint Pretreatment on Mandibular Movements and Vertical Dimension of Occlusion in Long-Term Complete Denture Wearers. Int. J. Prosthodont. 2016, 29, 287–289. [Google Scholar] [CrossRef] [PubMed]
  16. Kuzmanovic Pficer, J.; Dodic, S.; Lazic, V.; Trajkovic, G.; Milic, N.; Milicic, B. Occlusal stabilization splint for patients with temporomandibular disorders: Meta-analysis of short and long term effects. PLoS ONE 2017, 12, e0171296. [Google Scholar] [CrossRef] [PubMed]
  17. Wilson, L.; Bradshaw, J.P.; Marks, M.K. Amelogenesis Imperfecta, Facial Esthetics and Snap-On Smile. J. Tenn. Dent. Assoc. 2015, 95, 18–21. [Google Scholar]
  18. Kurbad, A. CAD/CAM-based polymer provisionals as treatment adjuncts. Int. J. Comput. Dent. 2013, 16, 327–346. [Google Scholar]
  19. Abduo, J.; Lyons, K. Clinical considerations for increasing occlusal vertical dimension: A review. Aust. Dent. J. 2012, 57, 2–10. [Google Scholar] [CrossRef]
  20. Fabbri, G.; Sorrentino, R.; Cannistraro, G.; Mintrone, F.; Bacherini, L.; Turrini, R.; Bombardelli, T.; Nieri, M.; Fradeani, M. Increasing the vertical dimension of occlusion: A multicenter retrospective clinical comparative study on 100 patients with fixed tooth-supported, mixed and implant-supported full-arches rehabilitations. Int. J. Periodontics Restor. Dent. 2018, 38, 323–335. [Google Scholar] [CrossRef]
  21. DenMat’s Snap-on Smile offers convenient solution for geriatric patients. Compend. Contin. Educ. Dent. 2013, 34, 152.
  22. McLaren, E.A. Bonded functional esthetic prototype: An alternative pre-treatment mock-up technique and cost-effective medium-term esthetic solution. Compend. Contin. Educ. Dent. 2013, 34, 596–607. [Google Scholar] [PubMed]
  23. Coachman, C.; Calamita, M.A.; Sesma, N. Dynamic Documentation of the Smile and the 2D/3D Digital Smile Design Process. Int. J. Periodontics Restor. Dent. 2017, 37, 183–193. [Google Scholar] [CrossRef] [PubMed]
  24. Beuer, F.; Schweiger, J.; Edelhoff, D.; Sorensen, J.A. Reconstruction of esthetics with a digital approach. Int. J. Periodontics Restor. Dent. 2011, 31, 185–193. [Google Scholar]
  25. Blackmon, L.B. Snap-On Smile: A new smile, a happy patient, and further clinical applications. Dent. Today 2010, 29, 38. [Google Scholar]
  26. Zilberman, U. Formaldehyde from POM brackets. Am. J. Orthod. Dentofac. Orthop. 2005, 128, 147–148. [Google Scholar] [CrossRef]
  27. Yoshida, K.; Polyzois, G.L.; Frangou, M.J.; Murata, H. Evaluation of the frequency and temperature dependence of the dynamic mechanical properties of acetal resins. Dent. Mater. J. 2018, 37, 146–151. [Google Scholar] [CrossRef] [PubMed]
  28. Peñarrocha-Oltra, D.; Agustín-Panadero, R.; Pradíes, G.; Gomar-Vercher, S.; Peñarrocha-Diago, M. Maxillary Full-Arch Immediately Loaded Implant-Supported Fixed Prosthesis Designed and Produced by Photogrammetry and Digital Printing: A Clinical Report. J. Prosthodont. 2017, 26, 75–81. [Google Scholar] [CrossRef]
  29. Arikan, A.; Ozkan, Y.K.; Arda, T.; Akalin, B. Effect of 180 days of water storage on the transverse strength of acetal resin denture base material. J. Prosthodont. 2010, 19, 47–51. [Google Scholar] [CrossRef]
  30. Ozkan, Y.; Arikan, A.; Akalin, B.; Arda, T. A study to assess the colour stability of acetal resins subjected to thermocycling. Eur. J. Prosthodont. Restor. Dent. 2005, 13, 10–14. [Google Scholar]
  31. Watanabe, M. Degradation and formation of bisphenol A in polycarbonate used in dentistry. J. Med. Dent. Sci. 2004, 51, 1–6. [Google Scholar] [PubMed]
  32. Lin, R.; Yu, C.H.; Sun, J. Mechanical properties and cytotoxicity of three-dimensional printing polycarbonate for occlusal splints. Shanghai Kou Qiang Yi Xue 2019, 28, 467–471. [Google Scholar] [PubMed]
  33. Takabayashi, Y. Characteristics of denture thermoplastic resins for non-metal clasp dentures. Dent. Mater. J. 2010, 29, 353–361. [Google Scholar] [CrossRef] [PubMed]
  34. Kustermann, A.; Kuscu, E.; Geis-Gerstorfer, J.; Spintzyk, S. Polishability and wear resistance of splint material for oral appliances produced with conventional, subtractive, and additive manufacturing. J. Mech. Behav. Biomed. Mater. 2017, 75, 175–179. [Google Scholar]
Figure 1. Case 1—Extraoral view of a patient with eating disorders and severe parafunctional habits.
Figure 1. Case 1—Extraoral view of a patient with eating disorders and severe parafunctional habits.
Prosthesis 04 00014 g001
Figure 2. Case 1—Intraoral view of a patient with eating disorders and severe parafunctional habits.
Figure 2. Case 1—Intraoral view of a patient with eating disorders and severe parafunctional habits.
Prosthesis 04 00014 g002
Figure 3. Case 1—Digital project of the DEFS, limited to the maxillary arch.
Figure 3. Case 1—Digital project of the DEFS, limited to the maxillary arch.
Prosthesis 04 00014 g003
Figure 4. Case 1—The DEFS, made of acetal resin.
Figure 4. Case 1—The DEFS, made of acetal resin.
Prosthesis 04 00014 g004
Figure 5. Case 2—Dental arches of a patient with parafunctions.
Figure 5. Case 2—Dental arches of a patient with parafunctions.
Prosthesis 04 00014 g005
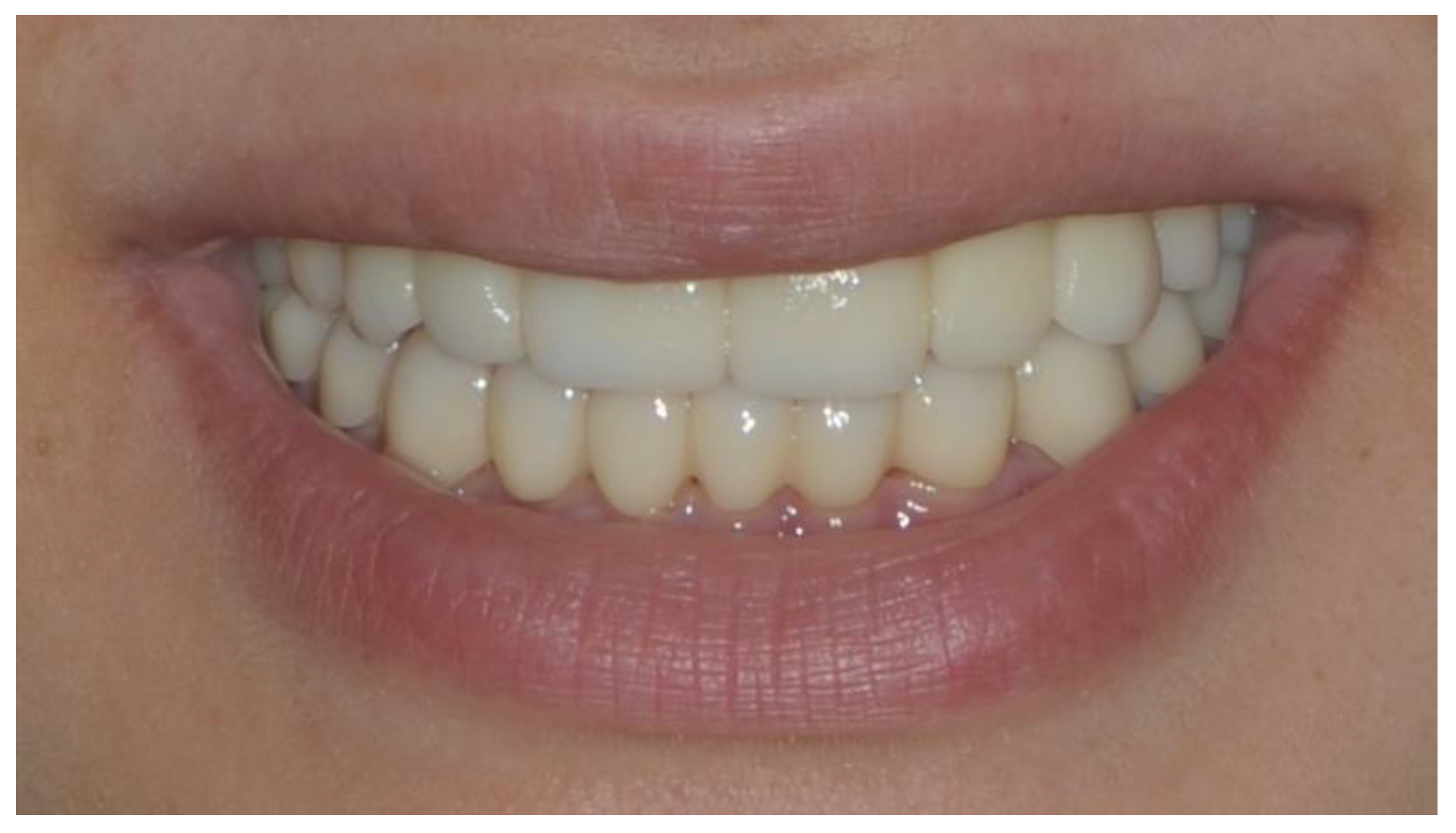
Figure 6. Case 2—Intraoral view of a patient wearing DEFS, made of polycarbonate.
Figure 6. Case 2—Intraoral view of a patient wearing DEFS, made of polycarbonate.
Prosthesis 04 00014 g006
Figure 7. Case 3—Dental arches of a young patient with amelogenesis imperfecta.
Figure 7. Case 3—Dental arches of a young patient with amelogenesis imperfecta.
Prosthesis 04 00014 g007
Figure 8. Case 3—Digital project of the upper and lower dental arches.
Figure 8. Case 3—Digital project of the upper and lower dental arches.
Prosthesis 04 00014 g008
Figure 9. Case 3—DEFS are employed as transitional prosthesis.
Figure 9. Case 3—DEFS are employed as transitional prosthesis.
Prosthesis 04 00014 g009
Figure 10. Case 3—Extraoral view of the patient with amelogenesis imperfecta.
Figure 10. Case 3—Extraoral view of the patient with amelogenesis imperfecta.
Prosthesis 04 00014 g010
Figure 11. Case 3—Extraoral view of the patient with amelogenesis imperfecta wearing DEFS.
Figure 11. Case 3—Extraoral view of the patient with amelogenesis imperfecta wearing DEFS.
Prosthesis 04 00014 g011
Figure 12. Case 4—Extraoral view of a young patient with multiple dental agenesis.
Figure 12. Case 4—Extraoral view of a young patient with multiple dental agenesis.
Prosthesis 04 00014 g012
Figure 13. Case 4—Dental arches of a young patient with multiple dental agenesis.
Figure 13. Case 4—Dental arches of a young patient with multiple dental agenesis.
Prosthesis 04 00014 g013
Figure 14. Case 4—Extraoral view of a young patient wearing DEFS, made of acetal resin.
Figure 14. Case 4—Extraoral view of a young patient wearing DEFS, made of acetal resin.
Prosthesis 04 00014 g014
Figure 15. Case 4—Intraoral view of the patient wearing DEFS.
Figure 15. Case 4—Intraoral view of the patient wearing DEFS.
Prosthesis 04 00014 g015
Figure 16. Case 5—Extraoral view of a patient with cerebral palsy.
Figure 16. Case 5—Extraoral view of a patient with cerebral palsy.
Prosthesis 04 00014 g016
Figure 17. Case 5—Intraoral view of the maxillary arch of the patient.
Figure 17. Case 5—Intraoral view of the maxillary arch of the patient.
Prosthesis 04 00014 g017
Figure 18. Case 5—Patient wearing DEFS, made of acetal resin.
Figure 18. Case 5—Patient wearing DEFS, made of acetal resin.
Prosthesis 04 00014 g018
Figure 19. DEFS workflow.
Figure 19. DEFS workflow.
Prosthesis 04 00014 g019
Publisher’s Note: MDPI stays neutral with regard to jurisdictional claims in published maps and institutional affiliations.

Share and Cite

MDPI and ACS Style

Zarone, F.; Sorrentino, R.; Sorrentino, F.; Di Mauro, M.I.; Edelhoff, D. CAD/CAM Diagnostic Esthetic Functional Splint (DEFS) as a Removable Prototype to Evaluate the Final Prosthetic Rehabilitation: A Narrative Review. Prosthesis 2022, 4, 136-150. https://doi.org/10.3390/prosthesis4010014

AMA Style

Zarone F, Sorrentino R, Sorrentino F, Di Mauro MI, Edelhoff D. CAD/CAM Diagnostic Esthetic Functional Splint (DEFS) as a Removable Prototype to Evaluate the Final Prosthetic Rehabilitation: A Narrative Review. Prosthesis. 2022; 4(1):136-150. https://doi.org/10.3390/prosthesis4010014

Chicago/Turabian Style

Zarone, Fernando, Roberto Sorrentino, Francesca Sorrentino, Maria Irene Di Mauro, and Daniel Edelhoff. 2022. "CAD/CAM Diagnostic Esthetic Functional Splint (DEFS) as a Removable Prototype to Evaluate the Final Prosthetic Rehabilitation: A Narrative Review" Prosthesis 4, no. 1: 136-150. https://doi.org/10.3390/prosthesis4010014

APA Style

Zarone, F., Sorrentino, R., Sorrentino, F., Di Mauro, M. I., & Edelhoff, D. (2022). CAD/CAM Diagnostic Esthetic Functional Splint (DEFS) as a Removable Prototype to Evaluate the Final Prosthetic Rehabilitation: A Narrative Review. Prosthesis, 4(1), 136-150. https://doi.org/10.3390/prosthesis4010014

Article Metrics

Back to TopTop