Next Article in Journal / Special Issue
Functional Removable Prosthetic Rehabilitation Using the Electronic Condylograph: A Case Report
Previous Article in Journal
Conceptualization of a Sensory Feedback System in an Anthropomorphic Replacement Hand
Previous Article in Special Issue
The New Elderly Patient: A Necessary Upgrade
 
 
Font Type:
Arial Georgia Verdana
Font Size:
Aa Aa Aa
Line Spacing:
Column Width:
Background:
Case Report

Construction of a Removable Partial Denture (RPD): Comparison between the Analog Procedure and the Selective Laser Melting Procedure

Department of Health Sciences, School of Dentistry, Magna Graecia University of Catanzaro, Viale Europa, 88100 Catanzaro, Italy
*
Authors to whom correspondence should be addressed.
Prosthesis 2021, 3(4), 428-436; https://doi.org/10.3390/prosthesis3040038
Submission received: 30 October 2021 / Revised: 9 December 2021 / Accepted: 12 December 2021 / Published: 14 December 2021

Abstract

:
A partial removable denture is a device that allows the patient to recover from a partial edentulism. This case report describes the realization of a chrome–cobalt partial removable denture by using two different realization methods: (1) analogic framework and (2) hybrid framework. This allowed us to compare the stability, retention as well as clasp quality of both the products and to highlight their respective advantages, disadvantages, and limitations.

1. Introduction

The partial and total edentulism represent one of the main issues for the elderly population. The edentulism occurrence increased with the increase in the average life expectancy and this implies a higher demand for a prosthetic treatment to face up this condition [1]. Prosthetic rehabilitation allows the patient to recover the aesthetic as well as the functionality of the masticatory system that is damaged by teeth loss to restore a good self-esteem level as well as the compromised relational life [2]. This kind of product is particularly recommended for patients with stable residual dental elements. The support of the partial prosthesis is guaranteed by both the residual dental elements and the dental peaks. The support provided by the pillar teeth depends on their bone support, dental crown and root morphologies, prosthetic, structure stiffness, retentions drawing and occlusal support [3]. One of the main causes of reduced support of the partial removable prosthesis is the erroneous design. Today, the technology allows the use of different materials with different processing methods. Computer-aided design and the subsequent realization of chrome–cobalt prosthesis through selective laser melting (SLM) methodology provides the possibility to obtain some structures with better or comparable physical and mechanical properties with respect to those obtained with lost wax casting. Some studies have demonstrated that the clasps obtained through selective laser melting have better retention and precision compared to those obtained with the traditional method [4,5,6]. The purpose of this work is to demonstrate how computer-aided design is a valuable alternative for the realization of a partial removable prosthesis; both the analog and digital frameworks have been adopted, and the results have shown that the products realized with both methods are extremely precise.

2. Case Report

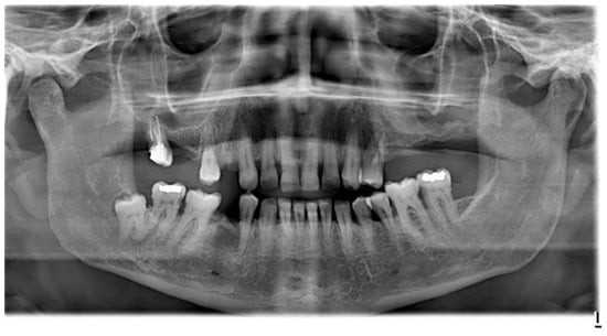
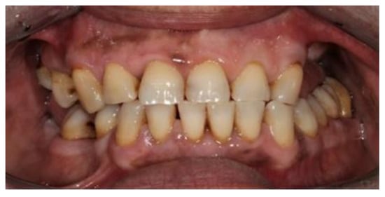
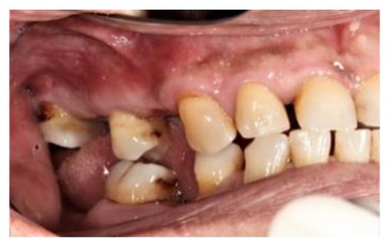
The subject involved in this clinical study was a healthy woman, 54 years old. The request of this patient was to improve her mouth both functionally and aesthetically, which was altered because of the partial edentulism (Kennedy Class II). She asked to avoid any invasive surgery. During the anamnesis, she declared not to be affected by any systemic pathology (e.g., diabetes, hypercholesterolemia or hypertension). She also declared not to be affected by an allergy to any medication or similar drugs; she declared not to be subjected to any pharmacologic treatment except some analgesic therapy to treat sporadic headaches. The patient claimed to smoke 20 cigarettes a day for more than 20 years. The next step was to perform an objective examination, associated with a series of intraoral pictures (Figure 1, Figure 2, Figure 3, Figure 4 and Figure 5) and to the analysis of a radiographic exam (orthopantomography, Figure 6) that was acquired 10 months earlier when the same subject underwent the therapy and the teeth extraction 4.7–4.8. The objective examination showed poor oral hygiene, with plaque accumulation as well as the presence of many pigmentations due to excessive smoking. The radiography showed bilateral bone atrophy together with periodontal damage for most of the residual dental elements. These conditions represented a limitation to the insertion of implants for a fixed prosthesis.
Successively, the patient was informed about the situation and the different approaches that could be applied to restore the anatomy and physiology of her stomatognathic system. The treatment proposal was to adopt a prosthetic rehabilitation based on a partial prosthesis. This solution was both in line with the request of the patient to avoid any surgery, and with her wish to improve the masticatory function. A chrome–cobalt removable partial denture (RPD) was created, with some aesthetic clasps made of nylon (Valplast standard type III) in the anterior sectors. (Table 1. Case report comparison table)
In this clinic case, both analogic and digital procedures were adopted, so a first impression was obtained by using a standard impression tray loaded with alginate (Figure 7), and a second one was obtained with an intraoral scanner (Figure 8).
Two models were created from the impression: the first one was made of gypsum starting from the impression tray loaded with alginate, whereas the latter was made of resin through the 3D printing methodology and obtained starting from the impression acquired with an intraoral scanner (Omnicam 2.0 Dentsply Sirona). The models were then studied at the dental parallelometer and used to perform an accurate study of the clinic case to evaluate the undercuts amount and the most adequate prosthetic design for this clinic case. At the second appointment, using a cylindrical diamond cutter, the dental elements 1.3–1.5–1.7–2.3 supposed to accommodate the supports were prepared (this was done by sinking the cutter about 5 mm, thus remaining in the enamel surface and ensuring adequate thickness for the supports). This procedure was necessary to ensure adequate accommodation and discharge of the occlusal maybe generated by chewing; in the same session, a second impression was detected by using an individual impression tray which was adequately edged and loaded with polyether (Impregum 3M) (Figure 9).
The second impression was used to create a model on which the removable partial denture (RPD) was drawn and realized. In the analog procedure, the model (plaster type IV) was duplicated to create a second model made of refractory material (Figure 10) to be used as a base for the removable partial denture (Figure 11). Lost wax casting was then performed (Figure 12), and finally, the clasps made of nylon were realized (Figure 13).
In the hybrid procedure, the second analog model was scanned using a laboratory scanner (Neway Open Tech 3D) to create the correspondent digital model, then the CAD modeling of the removable partial denture (RPD) was realized (Figure 14). The selective laser melting machine was then connected to the computer to realize the skeleton structure through the application and the melting of hundreds of chrome–cobalt dust layers (Figure 15). The structure was finalized by applying some aesthetic clasps made of nylon (Figure 16).
During the third appointment, the spatial position of the superior jaw was measured through the face bow (Artex) (Figure 17); then, the structures retention, stability and precision were evaluated and the intermaxillary relationship was recorded (Figure 18). During the fourth appointment, the prosthesis with the acrylic resin teeth mounted in wax was then tested to notify the dental technician of small adjustments before finishing the prosthetic product.
During the fifth appointment, both the prostheses were delivered without having to do any retouching (Figure 19 and Figure 20), and the following clinical evaluations were performed:
  • Evaluation of the prosthesis adaptability to support tissues (teeth, gum and mucosa), with focus on hooks quality and precision;
  • Occlusal contacts evaluation through a 40-micron thick articulating paper. This was also used to assess whether by pulling the paper, it was retained in both cases (with and without prosthesis in situ);
  • Some pressure was applied with a bolt on several points of the free gap to evaluate whether there was tilting on the opposite side.
The tests described above made possible the evaluation of the precision of both the products, even if the outcome measurements are not quantifiable. Both products have proved to be extremely accurate. Moreover, the patient was asked to use both prostheses for a week, during which she did not notice any difference between the two. The patient was satisfied with both the products, which she declared to be extremely comfortable.

3. Discussion

This article shows how to produce some removable partial dentures through technological support by reducing clinical and design timings and achieving the same good quality result [7]. In the hybrid framework reported in this case study, the second impression could have been avoided since it is equivalent to a precision impression [8]. Some limitations in taking the impression with an intraoral scanner could occur in the areas interested by edentulous gaps [9]. Selective laser melting of chrome–cobalt alloys allow to skip some technical steps like the removable partial denture wax modeling and the duplication of the models with refractory material, since modeling can be performed by means of dedicated software and the consequent product realization can be achieved by feeding the design into the selective laser melting machine. Once realized, the product is subjected to a final optimization heat treatment.

4. Conclusions

This report highlights the numerous improvements obtained in the dental field thanks to the technology application, and how soon, it will almost completely replace the traditional methods by simplifying the procedures and allowing to achieve more and more performing products. Despite the poorness of scientific literature on selective laser melting technology applied to the production of removable partial denture, this case study investigated this topic, and the outcome is that in both the cases of digital and analogic procedures adoption, if the product is realized by focusing particularly on the clinical and technical design, an excellent result can be achieved, restoring the patient’s chewing function, the phonetics and the aesthetics.

Author Contributions

Conceptualization, E.C. and A.P.; resources, A.P. and E.C.; writing—original draft preparation, A.P.; writing—review and editing, A.P. and E.C.; supervision, L.F.; project administration, E.C. All authors have read and agreed to the published version of the manuscript.

Funding

This research received no external funding.

Institutional Review Board Statement

Not applicable.

Informed Consent Statement

Informed consent was obtained from all subjects involved in the study.

Data Availability Statement

Not applicable.

Conflicts of Interest

The authors declare no conflict of interest.

References

  1. Lamster, I.B. Geriatric periodontology: How the need to care for the aging population can influence the future of the dental profession. Periodontology 2000 2016, 72, 7–12. [Google Scholar] [CrossRef] [PubMed]
  2. Shao, Z.; Guo, X.; Zhang, Q.; Bronkhorst, E.M.; Zou, D.; Creugers, N.H.J. Masticatory efficiency in patients with partially edentulous dentitions. J. Dent. 2018, 75, 41–47. [Google Scholar] [CrossRef] [PubMed]
  3. Fenton, A.H. Removable partial prostheses for the elderly. J. Prosthet. Dent. 1994, 72, 532–537. [Google Scholar] [CrossRef]
  4. Johnson, D.L. Retention for a Removable Partial Denture. J. Prosthodont. 1992, 1, 11–17. [Google Scholar] [CrossRef] [PubMed]
  5. Laverty, D.P. The Use of 3D Metal Printing (Direct Metal Laser Sintering) in Removable Prosthodontics. Dent. Update 2016, 43, 826–835. [Google Scholar] [CrossRef] [PubMed]
  6. Xie, W.; Zheng, M.; Wang, J.; Li, X. The effect of build orientation on the microstructure and properties of selective laser melting Ti-6Al-4V for removable partial denture clasps. J. Prosthet. Dent. 2020, 123, 163–172. [Google Scholar] [CrossRef] [PubMed] [Green Version]
  7. Torii, M.; Nakata, T.; Takahashi, K.; Kawamura, N.; Shimpo, H.; Ohkubo, C. Fitness and retentive force of cobalt-chromium alloy clasps fabricated with repeated laser sintering and milling. J. Prosthodont. Res. 2018, 62, 342–346. [Google Scholar] [CrossRef] [PubMed]
  8. Dmd, A.S.M.; Evans, Z.P.; Nash, J.; Bs, C.B.; Ms, A.L.; Bacro, T.; Cayouette, M.; Ludlow, M.; Renne, W.G. Evaluation of the trueness and precision of complete arch digital impressions on a human maxilla using seven different intraoral digital impression systems and a laboratory scanner. J. Esthet. Restor. Dent. 2019, 31, 369–377. [Google Scholar] [CrossRef]
  9. Kattadiyil, M.T.; Mursic, Z.; AlRumaih, H.; Goodacre, C.J. Intraoral scanning of hard and soft tissues for partial removable dental prosthesis fabrication. J. Prosthet. Dent. 2014, 112, 444–448. [Google Scholar] [CrossRef] [PubMed]
Figure 1. Frontal view.
Figure 1. Frontal view.
Prosthesis 03 00038 g001
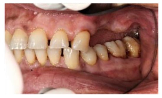
Figure 2. Right lateral view.
Figure 2. Right lateral view.
Prosthesis 03 00038 g002
Figure 3. Left lateral view.
Figure 3. Left lateral view.
Prosthesis 03 00038 g003
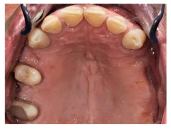
Figure 4. Upper view.
Figure 4. Upper view.
Prosthesis 03 00038 g004
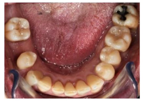
Figure 5. Lower view.
Figure 5. Lower view.
Prosthesis 03 00038 g005
Figure 6. Orthopantomography.
Figure 6. Orthopantomography.
Prosthesis 03 00038 g006
Figure 7. First impression in alginate.
Figure 7. First impression in alginate.
Prosthesis 03 00038 g007
Figure 8. First digital impression.
Figure 8. First digital impression.
Prosthesis 03 00038 g008
Figure 9. Second impression in polyether.
Figure 9. Second impression in polyether.
Prosthesis 03 00038 g009
Figure 10. Duplication of the model.
Figure 10. Duplication of the model.
Prosthesis 03 00038 g010
Figure 11. RPD modeled in wax.
Figure 11. RPD modeled in wax.
Prosthesis 03 00038 g011
Figure 12. Chrome–cobalt structure.
Figure 12. Chrome–cobalt structure.
Prosthesis 03 00038 g012
Figure 13. Structure with nylon clasps.
Figure 13. Structure with nylon clasps.
Prosthesis 03 00038 g013
Figure 14. CAD modeling of the framework.
Figure 14. CAD modeling of the framework.
Prosthesis 03 00038 g014
Figure 15. RPD after SLM.
Figure 15. RPD after SLM.
Prosthesis 03 00038 g015
Figure 16. Complete structure with frontal clasps in nylon.
Figure 16. Complete structure with frontal clasps in nylon.
Prosthesis 03 00038 g016
Figure 17. Spatial position of the upper jaw detected by means of the face bow (Artex).
Figure 17. Spatial position of the upper jaw detected by means of the face bow (Artex).
Prosthesis 03 00038 g017
Figure 18. Detection of the intermaxillary relationship.
Figure 18. Detection of the intermaxillary relationship.
Prosthesis 03 00038 g018
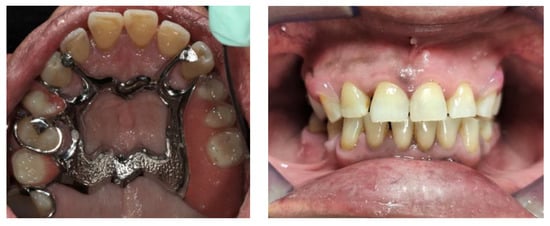
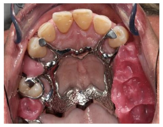
Figure 19. Finished and polished prosthesis realized with the analog procedure.
Figure 19. Finished and polished prosthesis realized with the analog procedure.
Prosthesis 03 00038 g019
Figure 20. Finished and polished prosthesis realized with the hybrid procedure.
Figure 20. Finished and polished prosthesis realized with the hybrid procedure.
Prosthesis 03 00038 g020
Table 1. Case report comparison table.
Table 1. Case report comparison table.
Analog ProcedureHybrid Procedure
1st appointment:
impression taking
AlginateDigital impression (Omnicam 2.0 Dentsply sirona)
2nd appointment: prosthetic seat
preparation and
second impression
Polyether (Impregum 3M)Polyether (Impregum 3M). The model obtained from this
impression was transformed into a digital model with a laboratory scanner ((Neway Open Tech 3D)
3rd appointment: measurement of the spatial position of the upper jaw and of the intermaxillary
relationship.
Facial arch (Artex)Facial arch (Artex)
4th appointment:
testing of the
prosthesis with the acrylic resin teeth mounted in wax, final small adjustments
--
5th appointment:
delivery of both
prostheses and
following clinical evaluations were
performed
1. Evaluation of the prosthesis adaptability to support tissues.
2. Occlusal contacts evaluation through a 40-micron thick
articulating paper
3. Some pressure was applied with a bolt on several points of the free gap to evaluate whether there was tilting on the opposite side.
-
Publisher’s Note: MDPI stays neutral with regard to jurisdictional claims in published maps and institutional affiliations.

Share and Cite

MDPI and ACS Style

Pugliese, A.; Cataneo, E.; Fortunato, L. Construction of a Removable Partial Denture (RPD): Comparison between the Analog Procedure and the Selective Laser Melting Procedure. Prosthesis 2021, 3, 428-436. https://doi.org/10.3390/prosthesis3040038

AMA Style

Pugliese A, Cataneo E, Fortunato L. Construction of a Removable Partial Denture (RPD): Comparison between the Analog Procedure and the Selective Laser Melting Procedure. Prosthesis. 2021; 3(4):428-436. https://doi.org/10.3390/prosthesis3040038

Chicago/Turabian Style

Pugliese, Anthony, Enrico Cataneo, and Leonzio Fortunato. 2021. "Construction of a Removable Partial Denture (RPD): Comparison between the Analog Procedure and the Selective Laser Melting Procedure" Prosthesis 3, no. 4: 428-436. https://doi.org/10.3390/prosthesis3040038

APA Style

Pugliese, A., Cataneo, E., & Fortunato, L. (2021). Construction of a Removable Partial Denture (RPD): Comparison between the Analog Procedure and the Selective Laser Melting Procedure. Prosthesis, 3(4), 428-436. https://doi.org/10.3390/prosthesis3040038

Article Metrics

Back to TopTop