Implant Fracture: A Narrative Literature Review
Abstract
:1. Introduction
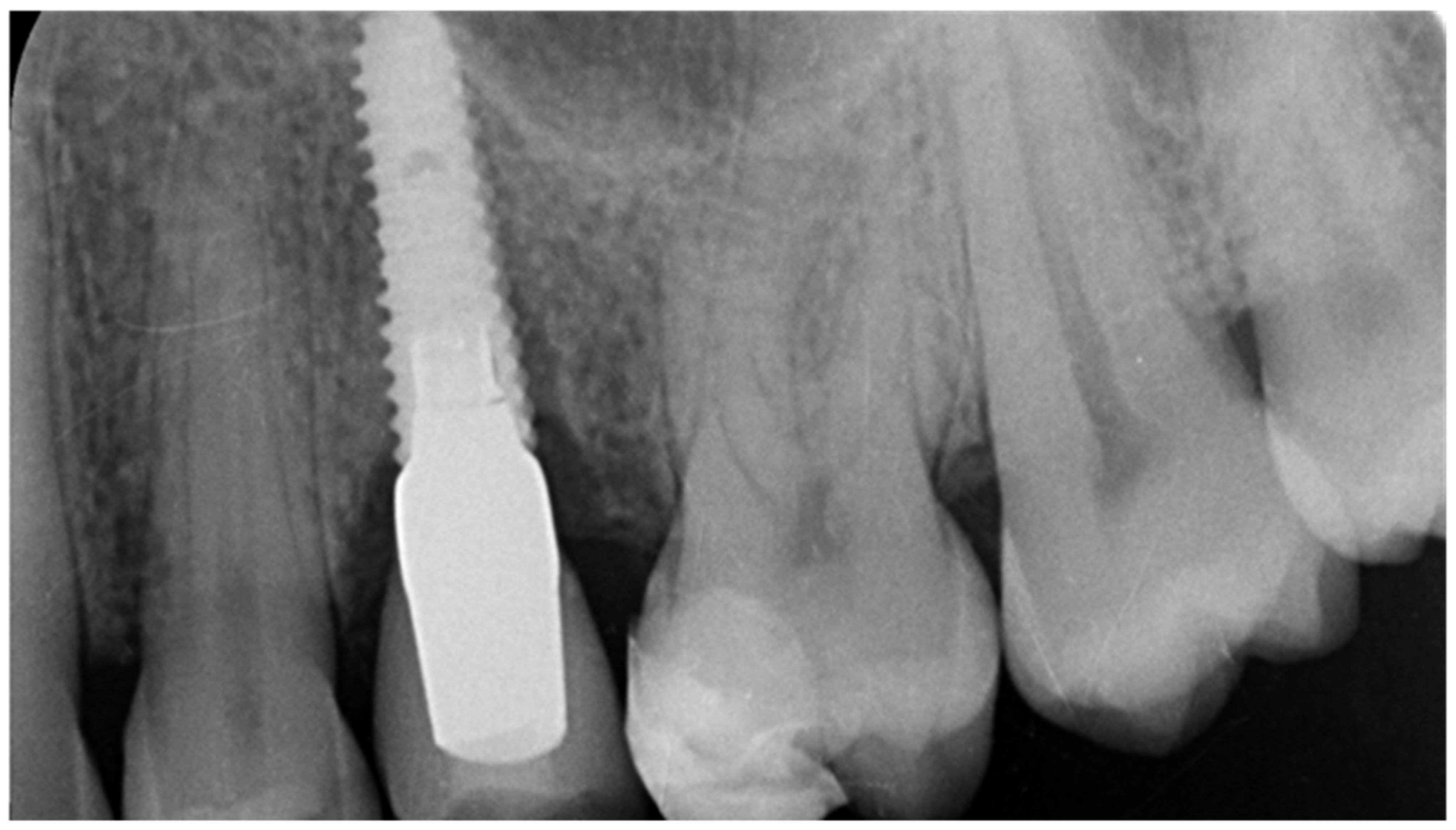
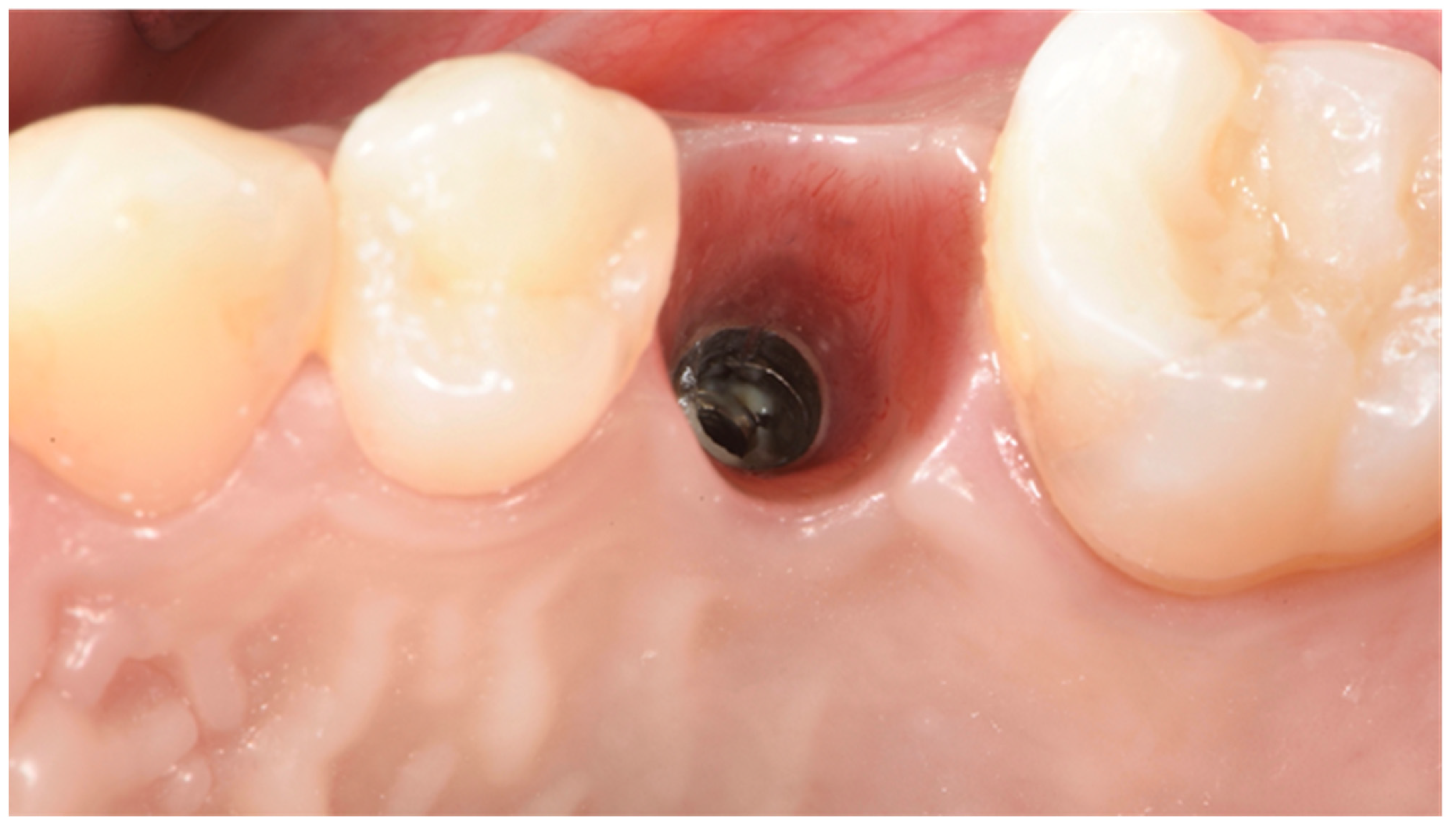
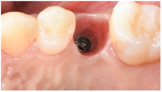
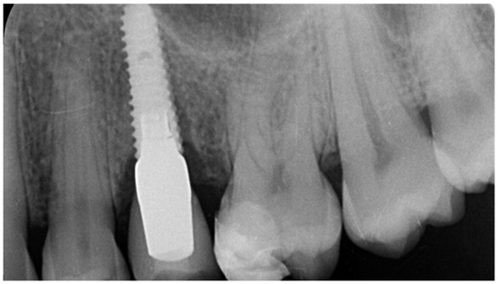
2. Results
2.1. Incidence of Implants Fracture
2.2. Risk Factors for Implants Fracture
3. Discussion
4. Materials and Methods
4.1. Focus Question and Search Strategy
4.2. Eligibility Criteria
4.3. Data Collection Process
4.4. Measures and Analysis of Results
5. Conclusions
Author Contributions
Funding
Institutional Review Board Statement
Informed Consent Statement
Acknowledgments
Conflicts of Interest
References
- Adell, R.; Lekholm, U.; Rockler, B.; Brånemark, P.I. A 15-year study of osseointegrated implants in the treatment of the edentulous jaw. Int. J. Oral Surg. 1981, 10, 387–416. [Google Scholar] [CrossRef]
- AlFarraj Aldosari, A.; Anil, S.; Alasqah, M.; Al Wazzan, K.A.; Al Jetaily, S.A.; Jansen, J.A. The influence of implant geometry and surface composition on bone response. Clin. Oral Implant. Res. 2014, 25, 500–505. [Google Scholar] [CrossRef]
- Berglundh, T.; Persson, L.; Klinge, B. A systematic review of the incidence of biological and technical complications in implant dentistry reported in prospective longitudinal studies of at least 5 years. J. Clin. Periodontol. 2002, 29 (Suppl. S3), 197–233. [Google Scholar] [CrossRef]
- Tabrizi, R.; Behnia, H.; Taherian, S.; Hesami, N. What Are the Incidence and Factors Associated With Implant Fracture? J. Oral Maxillofac. Surg. 2017, 75, 1866–1872. [Google Scholar] [CrossRef]
- Brånemark, P.I.; Hansson, B.O.; Adell, R.; Breine, U.; Lindström, J.; Hallén, O.; Ohman, A. Osseointegrated implants in the treatment of the edentulous jaw. Experience from a 10-year period. Scand. J. Plast. Reconstr. Surg. Suppl. 1977, 16, 1–132. [Google Scholar]
- Velásquez-Plata, D.; Lutonsky, J.; Oshida, Y.; Jones, R. A close-up look at an implant fracture: A case report. Int. J. Periodontics Restor. Dent. 2002, 22, 483–491. [Google Scholar]
- Goodacre, C.J.; Kan, J.Y.; Rungcharassaeng, K. Clinical complications of osseointegrated implants. J. Prosthet. Dent. 1999, 81, 537–552. [Google Scholar] [CrossRef]
- Chrcanovic, B.R.; Kisch, J.; Albrektsson, T.; Wennerberg, A. Factors influencing the fracture of dental implants. Clin. Implant. Dent. Relat. Res. 2017, 20, 58–67. [Google Scholar] [CrossRef] [PubMed]
- Grunder, U.; Gracis, S.; Capelli, M. Influence of the 3-D bone-to-implant relationship on esthetics. Int. J. Periodontics Restor. Dent. 2005, 25, 113–119. [Google Scholar]
- Gargallo Albiol, J.; Satorres-Nieto, M.; Puyuelo Capablo, J.L.; Sánchez Garcés, M.A.; Pi Urgell, J.; Gay Escoda, C. Endosseous dental implant fractures: An analysis of 21 cases. Med. Oral Patol. Oral y Cir. Bucal 2008, 13, E124–E128. [Google Scholar]
- Tallarico, M.; Luzi, C.; Galasso, G.; Lione, R.; Cozza, P. Comprehensive rehabilitation and natural esthetics with implant and orthodontics (CRANIO): An interdisciplinary approach to missingmaxillary lateral incisors. J. Oral Sci. Rehabil. 2017, 3, 8–16. [Google Scholar]
- Reis, T.; Zancopé, K.; Karam, F.K.; Neves, F. Biomechanical behavior of extra-narrow implants after fatigue and pull-out tests. J. Prosthet. Dent. 2019, 122, 54.e1–54.e6. [Google Scholar] [CrossRef]
- Tuzzolo Neto, H.; Tuzita, A.S.; Gehrke, S.A.; de Vasconcellos Moura, R.; Zaffalon Casati, M.; Mikail Melo Mesquita, A. A Comparative Analysis of Implants Presenting Different Diameters: Extra-Narrow, Narrow and Conventional. Materials 2020, 13, 1888. [Google Scholar] [CrossRef]
- Tallarico, M.; Caneva, M.; Baldini, N.; Gatti, F.; Duvina, M.; Billi, M.; Iannello, G.; Piacentini, G.; Meloni, S.M.; Cicciù, M. Patient-centered rehabilitation of single, partial, and complete edentulism with cemented- or screw-retained fixed dental prosthesis: The First Osstem Advanced Dental Implant Research and Education Center Consensus Conference 2017. Eur. J. Dent. 2018, 12, 617–626. [Google Scholar] [CrossRef]
- Sánchez-Pérez, A.; Moya-Villaescusa, M.J.; Jornet-Garcia, A.; Gomez, S. Etiology, risk factors and management of implant fractures. Med. Oral Patol. Oral y Cir. Bucal 2010, 15, e504–e508. [Google Scholar] [CrossRef] [PubMed] [Green Version]
- Stoichkov, B.; Kirov, D. Analysis of the causes of dental implant fracture: A retrospective clinical study. Quintessence Int. 2018, 49, 279–286. [Google Scholar] [CrossRef]
- Lee, D.W.; Kim, N.H.; Lee, Y.; Oh, Y.A.; Lee, J.H.; You, H.K. Implant fracture failure rate and potential associated risk indicators: An up to 12-year retrospective study of implants in 5124 patients. Clin. Oral Implant. Res. 2019, 30, 206–217. [Google Scholar] [CrossRef] [PubMed]
- Available online: www.aaid.com/index.html (accessed on 1 August 2021).
- Available online: https://www.mordorintelligence.com/industry-reports/dental-implants-market (accessed on 1 August 2021).
- Canullo, L.; Tallarico, M.; Radovanovic, S.; Delibasic, B.; Covani, U.; Rakic, M. Distinguishing predictive profiles for patient-based risk assessment and diagnostics of plaque induced, surgically and prosthetically triggered peri-implantitis. Clin. Oral Implant. Res. 2016, 27, 1243–1250. [Google Scholar] [CrossRef]
- Cervino, G.; Romeo, U.; Lauritano, F.; Bramanti, E.; Fiorillo, L.; D’Amico, C.; Milone, D.; Laino, L.; Campolongo, F.; Rapisarda, S.; et al. Fem and Von Mises Analysis of OSSTEM® Dental Implant Structural Components: Evaluation of Different Direction Dynamic Loads. Open Dent. J. 2018, 12, 219–229. [Google Scholar] [CrossRef] [PubMed] [Green Version]
- Leitão-Almeida, B.; Camps-Font, O.; Correia, A.; Mir-Mari, J.; Figueiredo, R.; Valmaseda-Castellón, E. Effect of crown to implant ratio and implantoplasty on the fracture resistance of narrow dental implants with marginal bone loss: An in vitro study. BMC Oral Health 2020, 20, 329. [Google Scholar] [CrossRef] [PubMed]
- Ghazal, S.S.; Huynh-Ba, G.; Aghaloo, T.; Dibart, S.; Froum, S.; O’Neal, R.; Cochran, D. A Randomized, Controlled, Multicenter Clinical Study Evaluating The Crestal Bone Level Change of SLActive Bone Level Ø 3.3 mm Implants Compared To SLActive Bone Level Ø 4.1 mm Implants For Single-Tooth Replacement. Int. J. Oral Maxillofac. Implant. 2019, 34, 708–718. [Google Scholar] [CrossRef] [PubMed]
- Karl, M.; Krafft, T.; Kelly, J.R. Fracture of a narrow-diameter roxolid implant: Clinical and fractographic considerations. Int. J. Oral Maxillofac. Implant. 2014, 29, 1193–1196. [Google Scholar] [CrossRef] [PubMed] [Green Version]
- Pérez, R.A.; Gargallo, J.; Altuna, P.; Herrero-Climent, M.; Gil, F.J. Fatigue of Narrow Dental Implants: Influence of the Hardening Method. Materials 2020, 13, 1429. [Google Scholar] [CrossRef] [PubMed] [Green Version]
- Velasco-Ortega, E.; Flichy-Fernández, A.; Punset, M.; Jiménez-Guerra, A.; Manero, J.M.; Gil, J. Fracture and Fatigue of Titanium Narrow Dental Implants: New Trends in Order to Improve the Mechanical Response. Materials 2019, 12, 3728. [Google Scholar] [CrossRef] [Green Version]
- Santonocito, D.; Nicita, F.; Risitano, G. A Parametric Study on a Dental Implant Geometry Influence on Bone Remodelling through a Numerical Algorithm. Prosthesis 2021, 3, 16. [Google Scholar] [CrossRef]
- D’Amico, C.; Bocchieri, S.; Sambataro, S.; Surace, G.; Stumpo, C.; Fiorillo, L. Occlusal Load Considerations in Implant-Supported Fixed Restorations. Prosthesis 2020, 2, 23. [Google Scholar] [CrossRef]










| Study | Fractured Implants | Total Implants | Percentage |
|---|---|---|---|
| Berglundh et al. [3] | 19 | 7279 | 0.26% |
| Tabrizi et al. [4] | 37 | 18,700 | 0.2% |
| Chrcanovic et al. [8] | 44 | 10,099 | 0.44% |
| Gargallo-Albiol et al. [10] | 21 | 1500 | 1.40% |
| Sánchez-Pérez et al. [15] | 2 | 844 | 0.23% |
| Stoichkov et al. [16] | 5 | 218 | 2.3% |
| Lee et al. [17] | 174 | 19,006 | 0.92% |
| Grand total | 302 | 57,646 | 0.52% |
| Prosthetic Design | Fractured Implants | Total Implants | Percentage |
|---|---|---|---|
| Single crown | 6 | 1683 | 0.36% |
| Partial-fixed (2 to 6 units) | 12 | 2600 | 0.46% |
| Partial-fixed (7 to 10 units) | 1 | 371 | 0.27% |
| Full-arch fixed | 23 | 5055 | 0.45% |
| Overdenture | 2 | 293 | 0.68% |
| Grand total | 44 | 10,002 | 0.44% |
| Prosthetic Design | Fractured Implants | Total Implants | Percentage |
|---|---|---|---|
| Narrow (3.00–3.50 mm) | 14 | 1038 | 1.35% |
| Regular (3.70–4.10 mm) | 30 | 8873 | 0.34% |
| Wide (4.20–5.00 mm) | 0 | 186 | 0% |
| Grand total | 44 | 10,097 | 0.44% |
Publisher’s Note: MDPI stays neutral with regard to jurisdictional claims in published maps and institutional affiliations. |
© 2021 by the authors. Licensee MDPI, Basel, Switzerland. This article is an open access article distributed under the terms and conditions of the Creative Commons Attribution (CC BY) license (https://creativecommons.org/licenses/by/4.0/).
Share and Cite
Tallarico, M.; Meloni, S.M.; Park, C.-J.; Zadrożny, Ł.; Scrascia, R.; Cicciù, M. Implant Fracture: A Narrative Literature Review. Prosthesis 2021, 3, 267-279. https://doi.org/10.3390/prosthesis3040026
Tallarico M, Meloni SM, Park C-J, Zadrożny Ł, Scrascia R, Cicciù M. Implant Fracture: A Narrative Literature Review. Prosthesis. 2021; 3(4):267-279. https://doi.org/10.3390/prosthesis3040026
Chicago/Turabian StyleTallarico, Marco, Silvio Mario Meloni, Chang-Joo Park, Łukasz Zadrożny, Roberto Scrascia, and Marco Cicciù. 2021. "Implant Fracture: A Narrative Literature Review" Prosthesis 3, no. 4: 267-279. https://doi.org/10.3390/prosthesis3040026
APA StyleTallarico, M., Meloni, S. M., Park, C.-J., Zadrożny, Ł., Scrascia, R., & Cicciù, M. (2021). Implant Fracture: A Narrative Literature Review. Prosthesis, 3(4), 267-279. https://doi.org/10.3390/prosthesis3040026

