Abstract
Spindle cell squamous cell carcinoma (SpCC) is a poorly differentiated subtype of squamous cell carcinoma (SqCC). We report a case with second primary oropharyngeal SpCC after seven years of complete treatment of SqCC. The patient underwent surgery and adjuvant chemoradiotherapy. Relevant literature about SpCC was reviewed.
1. Introduction
Spindle cell squamous cell carcinoma (SpCC) is a rare variant of the squamous cell carcinoma (SqCC), representing 1% of head and neck neoplasms [1]. Spindle cell squamous cell carcinoma (SpCC) is a poorly differentiated variant of conventional squamous cell carcinoma (SqCC) with both epithelial and sarcomatous characteristics [2]. Often found as polypoidal, pedunculated, or ulcerated tumors over the head and neck region, SpCC has various symptoms depending on the occurring sites, and the location may alter prognosis [3,4]. Reported risk factors include male gender, advanced age, and tobacco and alcohol exposure [5,6]. Prognosis of SpCC has been related to age, tumor location, depth of invasion, growth pattern, history of radiotherapy, vascular invasion, and American Joint Committee on Cancer (AJCC) tumor staging [1,7,8]. Among patients with recurrent head and neck carcinomas, 80% to 90% of patients develop recurrence within three years [9]. The risk of second primary tumor is about 2% to 4% per year, 13% as a 20-year cumulative risk, and with the majority in head and neck tumors [10]. Cancer is known to be attributable to alcohol, with the majority in upper aerodigestive tract and liver [11,12]. Previous radiation therapy was also discussed as a possible carcinogen for secondary malignant neoplasm [13,14]. This paper reports a patient with second primary oropharyngeal SpCC after complete treatment of SqCC. The patient underwent surgery and adjuvant chemoradiotherapy. Surgery with adjuvant radiotherapy or chemoradiotherapy was suggested in a case series for the treatment of oropharyngeal SpCC [15,16].
2. Case Presentation
A 59-year-old man presented to outpatient department of otorhinolaryngology with a six-month history of progressive odynophagia and difficulty in swallowing solid food. He reported no cough, rhinorrhea, fever, night sweats, nausea, vomiting, diarrhea, newly developed skin rash, or palpable lymph nodes.
The patient’s history includes squamous cell carcinoma of left tonsil with synchronous squamous cell carcinoma of right pyriform sinus, the pathology was keratinizing type moderately differentiated SqCC, with neck lymphadenopathy, AJCC tumor staging T1N1M0. The patient underwent microlarygnoscopic surgery and bio-radiotherapy with Cetuximab seven years prior to this admission, with the follow-up at outpatient department being free of recurrence. He has no allergic history to drugs or food. He had occasionally been drinking about the amount of one glass of whisky or equivalent for years, and has quitted several months ago, since the above symptoms developed. He denied history of tobacco use, betel nut chewing, or illicit drug use. Informed consent was obtained from the patient.
On physical examination, he appeared to be in no acute distress. His temperature was 37.1 °C, blood pressure was 110/60 mm Hg, pulse was 60 beats per minute, respiratory rate was 16 breaths per minute, and oxygen saturation was 98% under ambient air. The oropharynx appeared red and swelling, without visible thrush or ulcers. The lungs were clear to auscultation, and the heart revealed a regular rate and rhythm without murmurs. The abdomen was soft and without tenderness. There was no palpable cervical, axillary, or inguinal lymphadenopathy. Neurological examination showed no focal deficits.
Fiberscope disclosed a soft tissue mass with necrosis over left tongue base near tonsil fossa (Figure 1), swelling of the larynx, and multiple whitish plaques over the hypopharynx. A biopsy of the tumor was performed.
Figure 1.
Fiberscopy demonstrated soft tissue mass with necrosis over left tongue base near tonsil fossa.
He was admitted to the ward and received further examinations. A computed tomography of the neck showed tumor growth about 2.5 cm in size arising from left aspect of tongue base, and another tumor over posterior pharyngeal wall without obvious neck lymphadenopathy (Figure 2). A computed tomography of the chest, whole body bone scan, and whole body positron emission tomography scan disclosed no distant metastases.
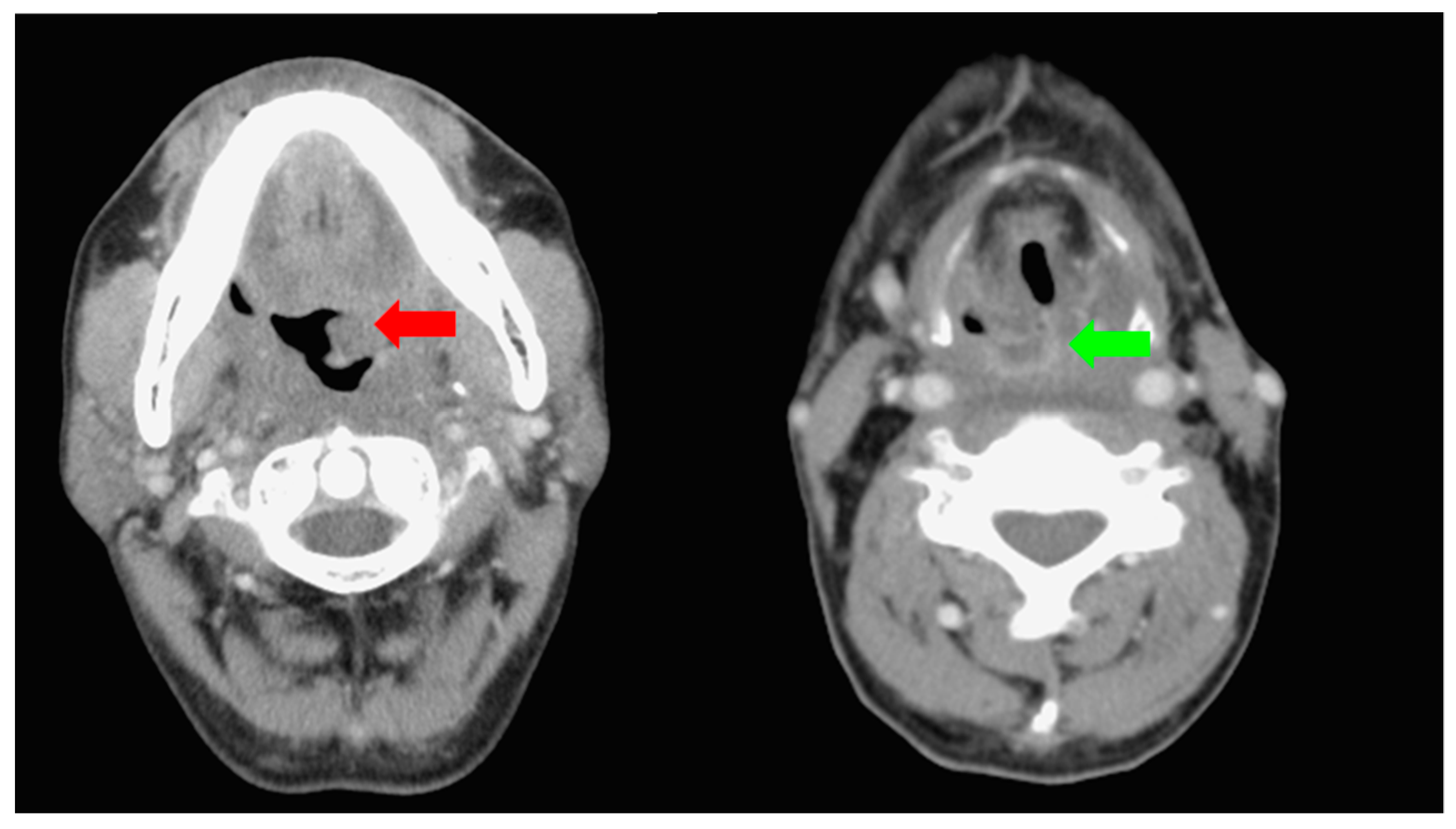
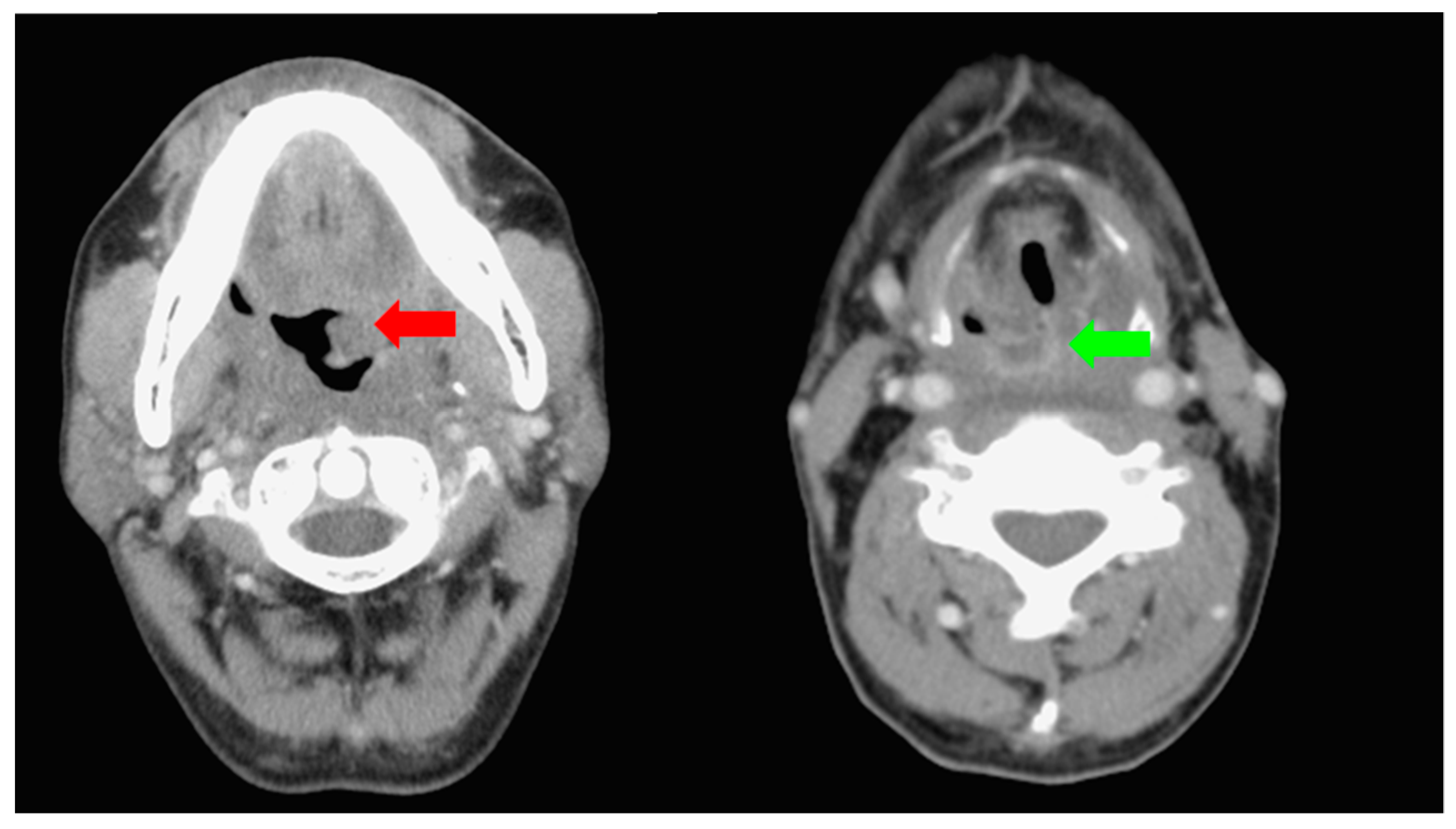
Figure 2.
Computed tomography of neck demonstrating tumor growth about 2.5 cm in size arising from left aspect of tongue base (red arrow), and another tumor over posterior pharyngeal wall (green arrow).
Endoscopic biopsy revealed malignant spindle cell tumor with ulceration, inflammation, and necrosis. Mucosa was not found in the specimen; therefore, whether the tumor was a spindle cell squamous cell carcinoma or a sarcoma could not be interpreted.
Transoral tumor excision with tracheostomy was performed. One fungating tumor over the left tongue base was removed with carbon dioxide laser. Another exophytic tumor over posterior pharyngeal wall was found, and biopsy was performed. The pathology of both specimens (Figure 3) revealed dysplastic squamous epithelium with submucosal spindle cell proliferation. Immunohistochemically, the Cytokeratins (CK) and p16 stains are positive in the dysplastic squamous epithelium. The spindle tumor cells are strong positive for vimentin and p16 stains, positive for CD99 and TLE-1, focal weak positive for smooth muscle actin and S-100 protein, while they are negative for the cytokeratin (AE1/AE3), p40, epithelial membrane antigen (EMA), Mouse monoclonal muscle Actin antibody 35 (HHF-35), and myogenin stains. Lymphovascular invasion and tumor emboli were discovered. There was no human papillomavirus detected by polymerase chain reaction. The overall features are of spindle cell squamous cell carcinoma.
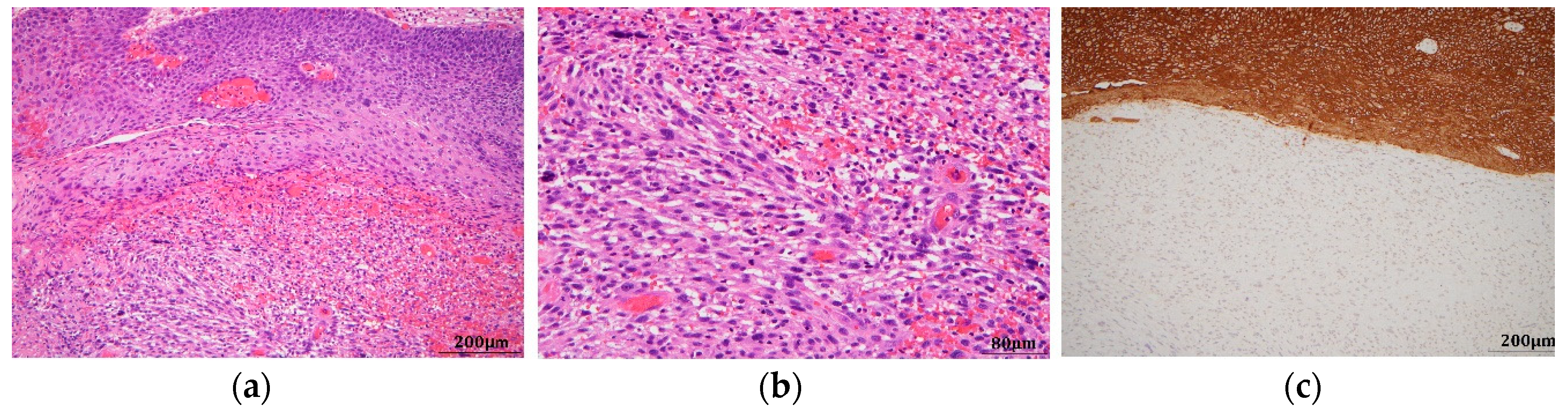
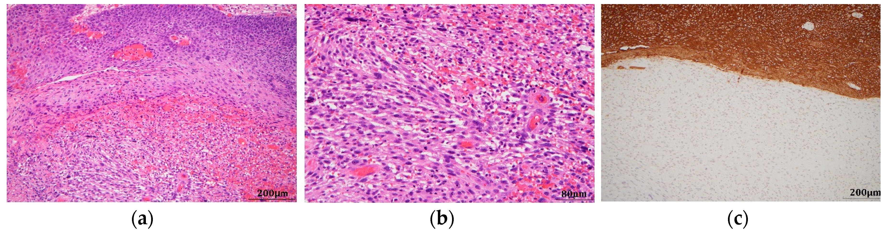
Figure 3.
Histological picture of the tumor. (a) The tumor is composed of dysplastic overlying squamous epithelium and spindle cells in the submucosa; (b) there is marked nuclear pleomorphism in the spindle tumor cells; (c) the Cytokeratins (CK) stain is positive in the dysplastic squamous epithelium, while it is negative in the sarcomatoid area.
The patient later received induction chemotherapy with Fluorouracil, Docetaxel, and Cisplatin, and subsequent concurrent chemoradiotherapy with 1620 Gray for 30 fractions to the hypopharyngeal tumor; 1800 Gray for 30 fractions to the left oropharyngeal tumor; and chemotherapy regimen with Fluorouracil, Cisplatin, and Hydroxycarbamide. The patient had grade 3 mucositis and grade 1 nausea during chemoradiotherapy.
3. Discussion
Spindle cell carcinoma is a rare type of tumor, representing 1% of all head and neck neoplasms [1]. Spindle cell squamous cell carcinoma (SpCC) is a poorly differentiated variant of conventional squamous cell carcinoma (SqCC) with both epithelial and sarcomatous characteristics [2]. Clinical appearance of SpCC is polypoidal, pedunculated, or ulcerated tumors found in oral cavity, larynx, oropharynx, hypopharynx, maxilla, and metastatic lymph nodes. The symptoms vary in occurring sites, including difficulty in mouth opening, foreign body sensation, dysphagia, odynophagia, voice change, and often with duration of less than one year before diagnosis [3]. The immunohistochemical traits of SpCC include higher positivity of cytokeratin in epithelial components, and vimentin appears to be more positive while cytokeratin expresses with variable positivity in spindle cell areas [2]. SpCC has a higher possibility of metastasis compared with classic SqCC. Some risk factors have been reported with SpCC, including male gender, advanced age (over 70 years old), and tobacco and alcohol exposure [5,6]. Prognosis of SpCC has been related to age, tumor location, depth of invasion, growth pattern, history of radiotherapy, vascular invasion, and AJCC tumor staging [1,7,8].
In this case, the first tumors over left tonsil and right pyriform sinus, which were found seven years ago, were classic SqCCs, and the tumors over the left tongue base and posterior pharyngeal wall disclosed during this admission course were SpCCs based on their immunohistochemical traits. Among all patients with recurrent head and neck carcinomas, 80% to 90% of them develop recurrence within three years [9]. The risk of second primary tumor is about 2% to 4% per year, 13% as a 20-year cumulative risk, with the majority in head and neck tumors [10]. In our case, the seven years of follow-up were free of recurrence or distant metastasis, and the possibility of second primary tumor was considered. This patient has no known family history of malignancy, and the only habit that increases the risk of neoplasms was alcohol consumption with social drinking.
Alcohol is well known to be related to increased risks of cancer, including oropharyngeal, esophageal, laryngeal, rectal, liver, and breast cancer [11]. According to a prospective cohort study in eight European countries, the risk for any cancer is approximately 10% among men and 3% in women attributable to former and current alcohol consumption. The risk of cancer was greater in consumption higher than the recommended upper limits, with the majority in upper aerodigestive tract and liver [12].
The radiotherapy has been seen as a genotoxic treatment and may induce secondary malignant neoplasm, with the latency of onset being up to 10 years or more. Factors that had been reported to influence on the risks include patient age (teenage or young adult), genetic markers (ATM, BRCA1/BRCA2, p53, CHEK2, PALB2, PTEN), organ and tissue site receiving radiation, and the dose and volume of radiation [13,14]. Yet, how to minimize the risks for secondary carcinogenesis requires further investigation.
There is currently no well-established guideline for oropharyngeal SpCC. Multiple studies [4,15,16] suggested that the patients who underwent operation had a more favorable outcome. Some observational studies [4,16] showed a less favorable outcome in patients who received radiotherapy alone compared with the operation group, while the authors of the study admitted that selective bias should be considered, as the patient who was not feasible for surgery probably represented the more advanced disease. The rule of adjuvant chemo or radiotherapy still remains unclear. A series with 15 cases [15] was an overview of treatment of SpCC, in which surgery with adjuvant radiotherapy or chemotherapy seemed to reduce the recurrence rate of tumor. As a result, operation as the first line therapy whenever the tumor is resectable, following adjuvant chemo or radiotherapy, may reach a more favorable outcome.
4. Conclusions
To our best knowledge, this is the first case demonstrating second primary head and neck SpCC with previous SqCC, occurring at different sites after seven years of complete treatment and recurrence-free follow up. The possible etiologies are alcohol consumption and previous radiotherapy. SpCC should be taken into the consideration of differential diagnosis once malignant spindle cells were found, and the existence of epithelial component should be examined. The suggested treatment was surgery and adjuvant chemoradiotherapy due to its aggressive behavior and early metastatic potential.
Author Contributions
C.-Y.L., Y.-T.L. and H.-D.T. conceived and designed the study, acquired the laboratory and clinical data, and made critical revisions. Y.-T.L. and H.-D.T. wrote the manuscript. P.-Y.C. performed and provided the information of endoscopy and surgery. Y.-J.K. interpreted the pathological findings. P.M.-H.C. and C.-Y.L. contributed to the treatment planning. All authors participated in the multidisciplinary conference and approved the final version of the manuscript.
Funding
This research received no external funding.
Conflicts of Interest
The authors declare no conflict of interest.
References
- Su, H.H.; Chu, S.T.; Hou, Y.Y.; Chang, K.P.; Chen, C.J. Spindle Cell Carcinoma of the Oral Cavity and Oropharynx: Factors Affecting Outcome. J. Chin. Med. Assoc. 2006, 69, 478–483. [Google Scholar] [CrossRef]
- Gupta, R.; Singh, S.; Hedau, S.; Nigam, S.; Das, B.C.; Singh, I.; Mandal, A.K. Spindle cell carcinoma of head and neck: An immunohistochemical and molecular approach to its pathogenesis. J. Clin. Pathol. 2007, 60, 472–475. [Google Scholar] [CrossRef] [PubMed]
- Viswanathan, S.; Rahman, K.; Pallavi, S.; Sachin, J.; Patil, A.; Chaturvedi, P.; D’Cruz, A.; Agarwal, J.; Kane, S.V. Sarcomatoid (Spindle Cell) Carcinoma of the Head and Neck Mucosal Region: A Clinicopathologic Review of 103 Cases from a Tertiary Referral Cancer Centre. Head Neck Pathol. 2010, 4, 265–275. [Google Scholar] [CrossRef] [PubMed]
- Ballo, M.T.; Garden, A.S.; El-Naggar, A.K.; Gillenwater, A.M.; Morrison, W.H.; Goepfert, H.; Ang, K.K. Radiation therapy for early stage (T1–T2) sarcomatoid carcinoma of true vocal cords: Outcomes and patterns of failure. Laryngoscope 1998, 108, 760–763. [Google Scholar] [CrossRef] [PubMed]
- Iguchi, H.; Uyama, T.; Kanazawa, A.; Yamamoto, H.; Amatsu, H.; Yamane, H.; Wakasa, K. Spindle cell carcinoma as a locally recurrent malignancy after surgery for early lingual squamous cell carcinoma. Acta Oto-Laryngol. 2008, 128, 1273–1276. [Google Scholar] [CrossRef] [PubMed]
- Addala, L.; Pentapati, C.K.; Reddy Thavanati, P.K.; Anjaneyulu, V.; Sadhnani, M.D. Risk factor profiles of head and neck cancer patients of Andhra Pradesh, India. Indian J. Cancer 2012, 49, 215–219. [Google Scholar] [CrossRef] [PubMed]
- Biradar, M.V.; Dantkale, S.S.; Abhange, R.S.; Kamra, H.T.; Birla, K. Spindle cell carcinoma of the tongue: A rare variant of squamous cell carcinoma. Ecancermedicalscience 2014, 8, 447. [Google Scholar] [PubMed]
- Feng, L.; Cai, D.; Muhetaer, A.; Yang, Yi.; Ren, F.; Yishake, M.; Zhang, H.; Fang, Y.; Wushou, A. Spindle cell carcinoma: The general demographics, basic clinico-pathologic characteristics, treatment, outcome and prognostic factors. Oncotarget 2017, 8, 43228–43236. [Google Scholar] [CrossRef] [PubMed]
- Boysen, M.; Lövdal, O.; Tausjö, J.; Winther, F. The value of follow-up in patients treated for squamous cell carcinoma of the head and neck. Eur. J. Cancer 1992, 28, 426. [Google Scholar] [CrossRef]
- Chuang, S.C.; Scelo, G.; Tonita, J.M.; Tamaro, S.; Jonasson, J.G.; Kliewer, E.V.; Hemminki, K.; Weiderpass, E.; Pukkala, E.; Tracey, E.; et al. Risk of second primary cancer among patients with head and neck cancers: A pooled analysis of 13 cancer registries. Int. J. Cancer 2008, 15, 2390–2396. [Google Scholar] [CrossRef] [PubMed]
- Allen, N.E.; Beral, V.; Casabonne, D.; Kan, S.W.; Reeves, G.K.; Brown, A.; Green, J. Million Women Study Collaborators. Moderate alcohol intake and cancer incidence in women. J. Natl. Cancer Inst. 2009, 101, 296–305. [Google Scholar] [CrossRef] [PubMed]
- Schütze, M.; Boeing, H.; Pischon, T.; Rehm, J.; Kehoe, T.; Gmel, G.; Olsen, A.; Tjønneland, A.M.; Dahm, C.C.; Overvad, K.; et al. Alcohol attributable burden of incidence of cancer in eight European countries based on results from prospective cohort study. BMJ 2011, 342, d1584. [Google Scholar] [CrossRef] [PubMed]
- Ng, J.; Shuryak, I. Minimizing second cancer risk following radiotherapy: Current perspectives. Cancer Manag. Res. 2015, 7, 1–11. [Google Scholar] [CrossRef] [PubMed]
- Braunstein, S.; Nakamura, J.L. Radiotherapy-Induced Malignancies: Review of Clinical Features, Pathobiology, and Evolving Approaches for Mitigating Risk. Front. Oncol. 2013, 3, 73. [Google Scholar] [CrossRef] [PubMed]
- Iqbal, M.S.; Paleri, V.; Brown, J.; Greystoke, A.; Dobrowsky, W.; Kelly, C.; Kovarik, J. Spindle cell carcinoma of the head and neck region: Treatment and outcomes of 15 patients. Ecancermedicalscience 2015, 9, 594. [Google Scholar] [CrossRef] [PubMed]
- Dubal, P.M.; Marchiano, E.; Kam, D.; Dutta, R.; Kalyoussef, E.; Baredes, S.; Eloy, J.A. Laryngeal spindle cell carcinoma: A population-based analysis of inceidence and survival. Laryngoscope 2015, 125, 2709–2714. [Google Scholar] [CrossRef] [PubMed]
© 2018 by the authors. Licensee MDPI, Basel, Switzerland. This article is an open access article distributed under the terms and conditions of the Creative Commons Attribution (CC BY) license (http://creativecommons.org/licenses/by/4.0/).


