Multimodal Management of a Descending Aorta Injury with Penetrating Chest Trauma: A Case Report
Abstract
1. Introduction
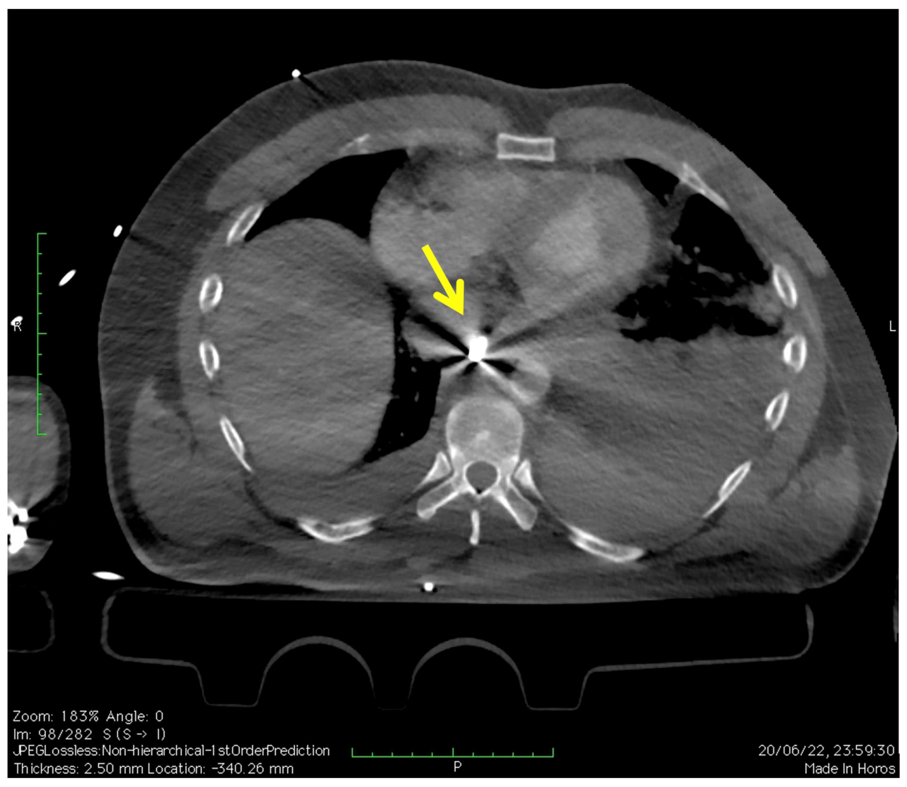
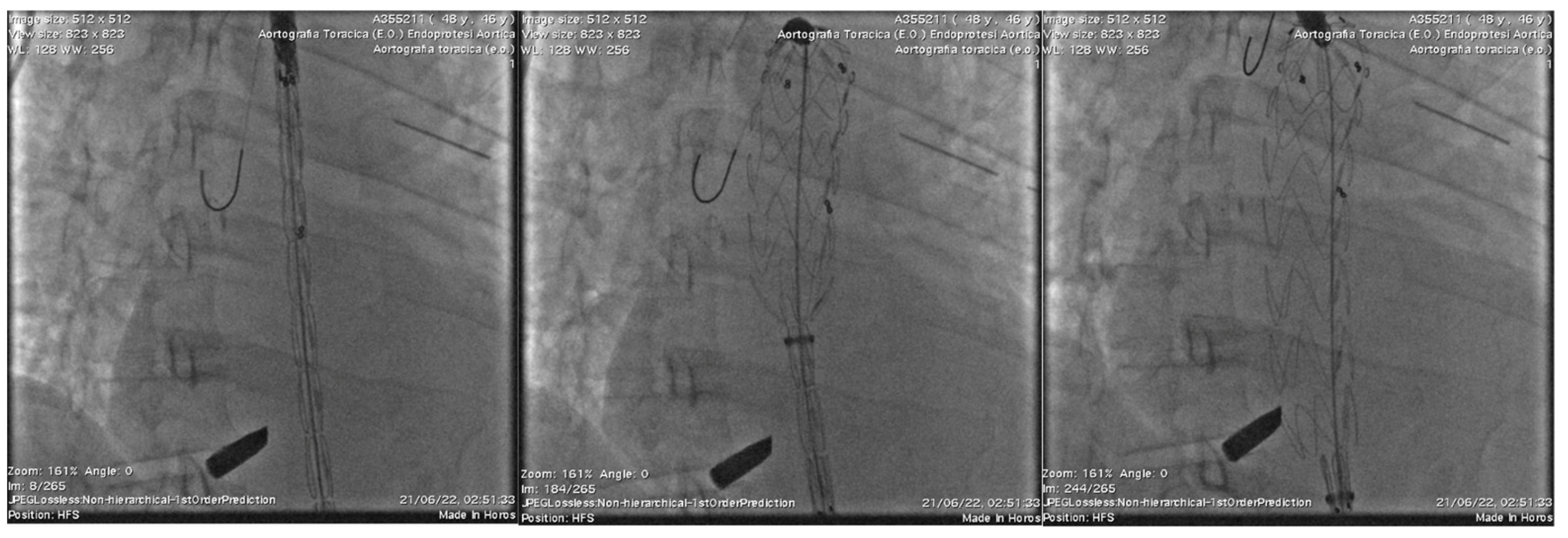
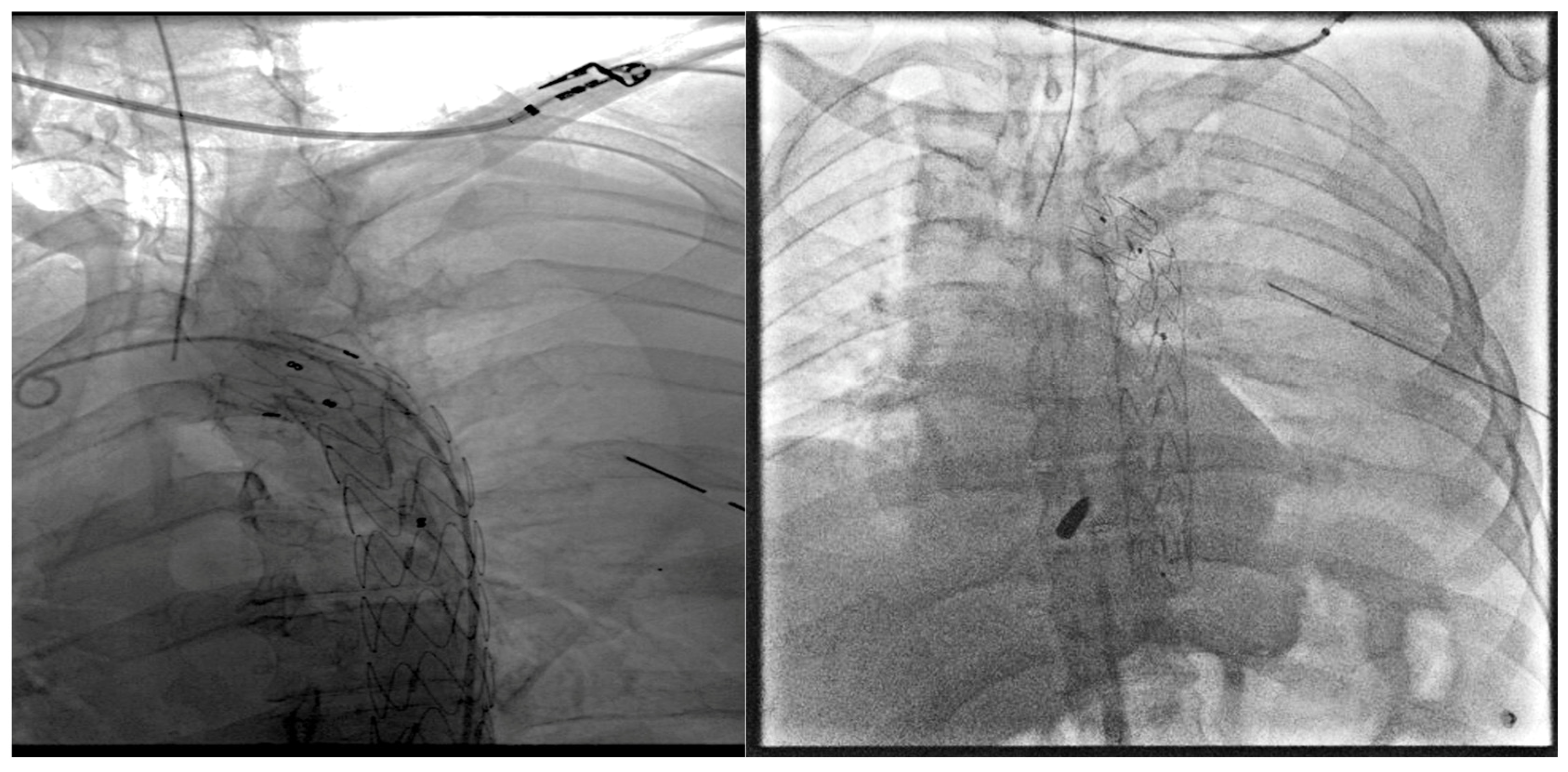
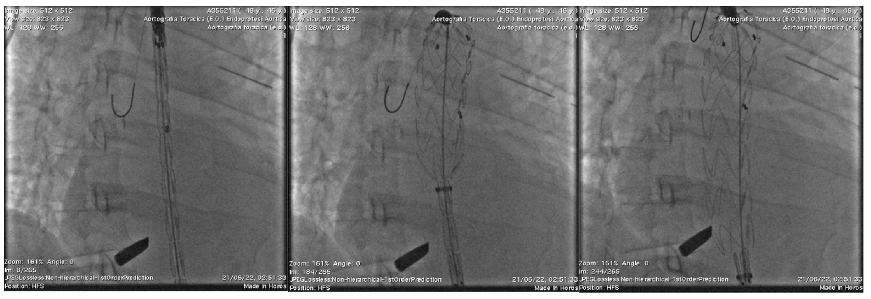
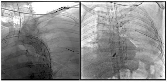
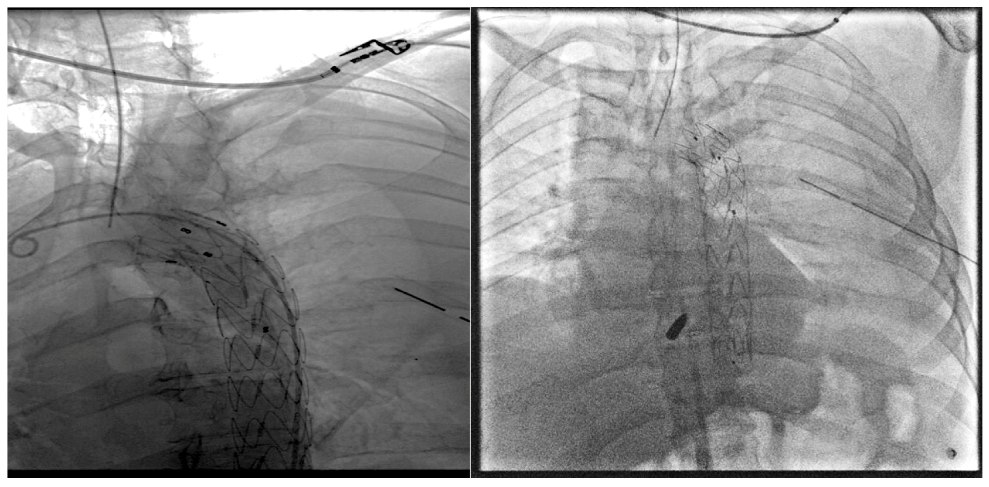
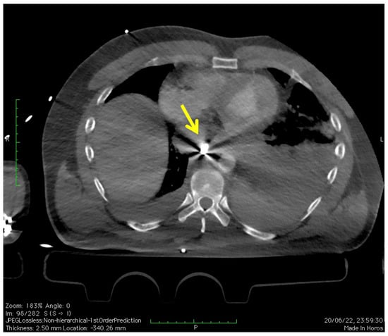
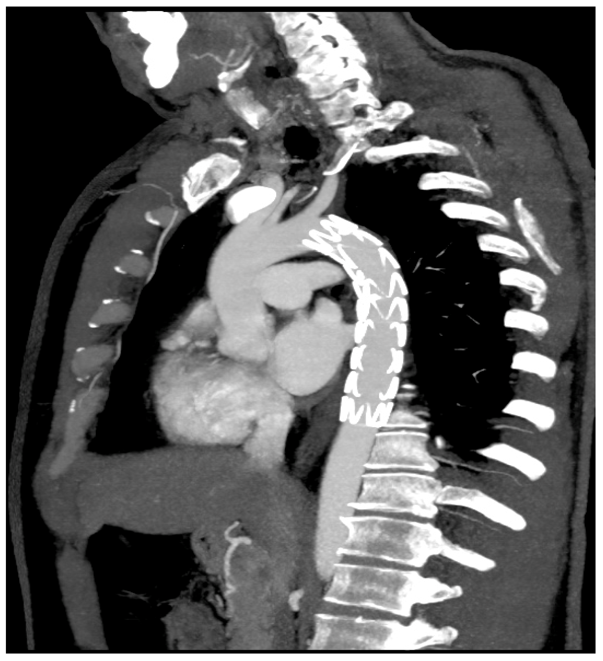
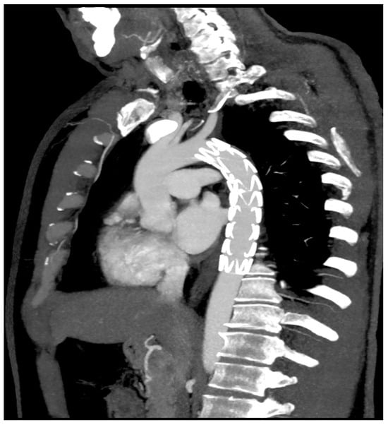
2. Case Presentation
3. Discussion
4. Conclusions
Author Contributions
Funding
Institutional Review Board Statement
Informed Consent Statement
Data Availability Statement
Conflicts of Interest
References
- Mattox, K.L.; Feliciano, D.V.; Burch, J.; Beall, A.C.J.; Jordan, G.L.J.; Debakey, M.E. Five thousand seven hundred sixty cardiovascular injuries in 4459 patients. Epidemiologic evolution 1958 to 1987. Ann. Surg. 1989, 209, 698. [Google Scholar] [CrossRef]
- Pate, J.W.; Cole, F.H., Jr.; Walker, W.A.; Fabian, T.C. Penetrating injuries of the aortic arch and its branches. Ann. Thorac. Surg. 1993, 55, 586. [Google Scholar] [CrossRef] [PubMed]
- Muckart, D.J.J.; Pillay, B.; Hardcastle, T.C.; Skinner, D.L. Vascular injuries following blunt polytrauma. Eur. J. Trauma Emerg. Surg. 2014, 40, 315–322. [Google Scholar] [CrossRef] [PubMed]
- Di Marco, L.; Pacini, D.; Di Bartolomeo, R. Acute Traumatic Thoracic Aortic Injury: Considerations and Reflections on the Endovascular Aneurysm Repair. Aorta 2013, 1, 117–122. [Google Scholar] [CrossRef] [PubMed][Green Version]
- Demetriades, D. Aortic Injuries: Crossing the rubicon. J. Am. Coll. Surg. 2012, 214, 247–259. [Google Scholar] [CrossRef] [PubMed]
- Islam, J.; Laing, G.L.; Bruce, J.L.; Oosthuizen, G.V. Outcomes for cervicomediastinal vascular trauma managed by a vascular subspecialist led vascular trauma service. S. Afr. J. Surg. 2016, 54, 15–19. [Google Scholar] [PubMed]
- Scriba, M.; McPherson, D.; Edu, S.; Nicol, A.; Navsaria, P. An Update on Foley Catheter Balloon Tamponade for Penetrating Neck Injuries. World J. Surg. 2020, 44, 2647–2655. [Google Scholar] [CrossRef] [PubMed]
- Nel, L.; Whitfield Jones, L.; Hardcastle, T.C. Imaging The Oesophagus After Penetrating Cervical Trauma Using Water Soluble Contrast Alone: Simple, Cost Effective And Accurate. Emerg. Med. J. 2009, 26, 106–108. [Google Scholar] [CrossRef]
- Hundersmarck, D.; Slooff, W.-B.M.; Homans, J.F.; van der Vliet, Q.M.J.; Moayeri, N.; Hietbrink, F.; de Borst, G.J.; Öner, F.C.; Muijs, S.P.J.; Leenen, L.P.H. Blunt cerebrovascular injury: Incidence and long-term follow-up. Eur. J. Trauma Emerg. Surg. 2021, 47, 161–170. [Google Scholar] [CrossRef]
- Lee, W.A.; Matsumura, J.S.; Mitchell, R.S.; Farber, M.A.; Greenberg, R.K.; Azizzadeh, A.; Murad, M.H.; Fairman, R.M. Endovascular repair of traumatic thoracic aortic injury: Clinical practice guidelines of the Society for Vascular Surgery. J. Vasc. Surg. 2011, 53, 187–192. [Google Scholar] [CrossRef]
- Pang, D.; Hildebrand, D.; Bachoo, P. Thoracic endovascular repair (TEVAR) versus open surgery for blunt traumatic thoracic aortic injury. Cochrane Database Syst. Rev. 2019, 2, CD006642. [Google Scholar] [CrossRef]
- Goel, R.; Zhu, X.; Makhani, S.; Petersen, M.R.; Josephson, C.D.; Katz, L.M.; Shaz, B.H.; Austin, R.; Crowe, E.P.; Ness, P.M.; et al. Blood Trasfusions in gunshot-wound-related emergency department visits and hospitalizations in the United States. Transufion 2021, 61, 2277–2289. [Google Scholar] [CrossRef]
- Farrel, M.S.; Kim, W.C.; Stein, D.M. Emergency Transfusions. Emerg. Med. Clin. 2020, 38, 795–805. [Google Scholar] [CrossRef] [PubMed]





Disclaimer/Publisher’s Note: The statements, opinions and data contained in all publications are solely those of the individual author(s) and contributor(s) and not of MDPI and/or the editor(s). MDPI and/or the editor(s) disclaim responsibility for any injury to people or property resulting from any ideas, methods, instructions or products referred to in the content. |
© 2024 by the authors. Licensee MDPI, Basel, Switzerland. This article is an open access article distributed under the terms and conditions of the Creative Commons Attribution (CC BY) license (https://creativecommons.org/licenses/by/4.0/).
Share and Cite
Sena, G.; Perri, P.; Piro, P.; Zinno, F.; Mazzuca, D.; Costa, D.; Serra, R. Multimodal Management of a Descending Aorta Injury with Penetrating Chest Trauma: A Case Report. Reports 2024, 7, 63. https://doi.org/10.3390/reports7030063
Sena G, Perri P, Piro P, Zinno F, Mazzuca D, Costa D, Serra R. Multimodal Management of a Descending Aorta Injury with Penetrating Chest Trauma: A Case Report. Reports. 2024; 7(3):63. https://doi.org/10.3390/reports7030063
Chicago/Turabian StyleSena, Giuseppe, Paolo Perri, Paolo Piro, Francesco Zinno, Daniela Mazzuca, Davide Costa, and Raffaele Serra. 2024. "Multimodal Management of a Descending Aorta Injury with Penetrating Chest Trauma: A Case Report" Reports 7, no. 3: 63. https://doi.org/10.3390/reports7030063
APA StyleSena, G., Perri, P., Piro, P., Zinno, F., Mazzuca, D., Costa, D., & Serra, R. (2024). Multimodal Management of a Descending Aorta Injury with Penetrating Chest Trauma: A Case Report. Reports, 7(3), 63. https://doi.org/10.3390/reports7030063

