Sign in to use this feature.

Years

Between: -

Subjects

remove_circle_outline
remove_circle_outline
remove_circle_outline

Journals

Article Types

Countries / Regions

Search Results (7)

Search Parameters:
Keywords = mediastinal hematoma

Order results
Result details
Results per page
Select all
Export citation of selected articles as:
14 pages, 5586 KB  
Case Report
Suspected Tumor-Related Hemorrhage as a Rare Complication of Stereotactic Body Radiotherapy in a Dog with Cranial Mediastinal Mass: A Case Report
by Jaewon Kim, Inseong Jeong, Chul Park, Younghwan Kim, Kidong Eom and Jaehwan Kim
Vet. Sci. 2025, 12(10), 982; https://doi.org/10.3390/vetsci12100982 - 13 Oct 2025
Viewed by 1254
Abstract
Stereotactic body radiotherapy (SBRT) has been increasingly used in dogs for mediastinal tumors and is generally considered a precise and relatively safe treatment, with clinically significant complications reported only rarely. A cranial mediastinal mass was incidentally identified in a 10-year-old Pomeranian dog and [...] Read more.
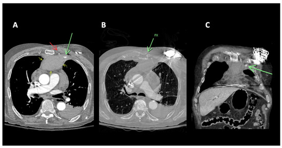
Stereotactic body radiotherapy (SBRT) has been increasingly used in dogs for mediastinal tumors and is generally considered a precise and relatively safe treatment, with clinically significant complications reported only rarely. A cranial mediastinal mass was incidentally identified in a 10-year-old Pomeranian dog and cytologically diagnosed as a carcinoma. SBRT was performed using volumetric-modulated arc therapy, with a total dose of 27 Gy delivered in three fractions on alternate days. One day after completing treatment, the dog developed acute dyspnea and anemia. Thoracic radiography revealed mediastinal widening and pleural effusion. Subsequent imaging and hematological assessments suggested intra-tumoral hemorrhage and hematoma formation. The patient was managed conservatively with supportive therapy, resulting in gradual clinical improvement. Follow-up computed tomography (CT) demonstrated a 25% reduction in contrast-enhancing tumor volume, accompanied by a large non-enhancing region presumed to represent hematoma. Despite these changes, the patient remained clinically stable during follow-up. This case represents the first documented report of an acute hemorrhagic complication following SBRT in a veterinary patient, emphasizing the importance of awareness of this rare adverse event during treatment planning and client communication. Full article
(This article belongs to the Special Issue Focus on Tumours in Pet Animals: 2nd Edition)
Show Figures

Figure 1

6 pages, 2340 KB  
Case Report
Multimodal Management of a Descending Aorta Injury with Penetrating Chest Trauma: A Case Report
by Giuseppe Sena, Paolo Perri, Paolo Piro, Francesco Zinno, Daniela Mazzuca, Davide Costa and Raffaele Serra
Reports 2024, 7(3), 63; https://doi.org/10.3390/reports7030063 - 1 Aug 2024
Viewed by 1907
Abstract
A penetrating thoracic aorta injury (PTAI) is a life-threatening condition with significant morbidity and mortality, often resulting from several traumatic mechanisms. Among these, gunshot wounds leading to aortic injury are exceedingly rare and pose unique challenges in terms of diagnosis, management, and surgical [...] Read more.
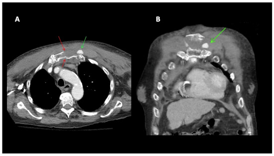
A penetrating thoracic aorta injury (PTAI) is a life-threatening condition with significant morbidity and mortality, often resulting from several traumatic mechanisms. Among these, gunshot wounds leading to aortic injury are exceedingly rare and pose unique challenges in terms of diagnosis, management, and surgical intervention. We present a case of a 47-year-old male victim of a gunshot wound resulting in penetrating chest trauma and a descending thoracic aorta injury. This report outlines the sequential management involving thoracic endovascular aortic repair (TEVAR), followed by surgical intervention for hematoma drainage and foreign body removal, highlighting the interdisciplinary approach required in managing complex cardiothoracic injuries. Full article
(This article belongs to the Section Critical Care/Emergency Medicine/Pulmonary)
Show Figures

Figure 1

6 pages, 2006 KB  
Interesting Images
Malposition of Central Venous Catheter into Coronary Sinus throughout the Persistent Left Superior Vena Cava and Other Complications Related to Catheterization
by Barbara Syska, Anna S. Veer, Patrycja S. Matusik, Jarosław D. Jarczewski, Katarzyna Krzanowska and Tadeusz J. Popiela
Diagnostics 2024, 14(10), 1038; https://doi.org/10.3390/diagnostics14101038 - 17 May 2024
Cited by 3 | Viewed by 2284
Abstract
This case concentrates on the persistent left superior vena cava (PLSVC), a rare vascular anomaly which contributes to central venous catheter (CVC) misplacement. A 72-year-old woman with renal insufficiency presented to the hospital with recurrent bleeding from her permanent CVC device placed in [...] Read more.
This case concentrates on the persistent left superior vena cava (PLSVC), a rare vascular anomaly which contributes to central venous catheter (CVC) misplacement. A 72-year-old woman with renal insufficiency presented to the hospital with recurrent bleeding from her permanent CVC device placed in the right common jugular vein. An initial attempt to replace the device was unsuccessful, necessitating the placement of a secondary catheter in the left jugular vein. Shortly after the procedure, the patient developed swelling of the face and neck. Further diagnostic imaging, including a chest radiograph and computed tomography (CT), revealed CVC misplacement in the PLSVC and coronary sinus, thrombosis of the common jugular vein, and a posterior mediastinal hematoma. Conservative therapy of the mediastinal hematoma was implemented and proved effective in this case. A temporary CVC was inserted into the left femoral vein. Two months later, the catheter underwent further dysfunction and a decision was made to place a long-term permanent CVC via the right femoral vein. The patient is currently awaiting an arteriovenous fistula for dialysis use. This case emphasizes the importance of radiological techniques for CVC procedural placement, as well as the detection of congenital abnormalities. Providers regularly placing CVCs should have an in-depth knowledge of the possible complications and potential anatomical variations, especially as seen in high-risk patients. Full article
(This article belongs to the Section Pathology and Molecular Diagnostics)
Show Figures

Figure 1

6 pages, 5555 KB  
Case Report
Traumatic Pseudoaneurysms of the Internal Mammary Artery: Two Cases and Percutaneous Intervention
by Kayla A. Aikins, Zoé N. Anderson and Timothy M. Koci
Diagnostics 2024, 14(1), 63; https://doi.org/10.3390/diagnostics14010063 - 27 Dec 2023
Cited by 2 | Viewed by 2112
Abstract
Pseudoaneurysms involving the internal mammary artery/internal thoracic artery (IMA/ITA) are rare occurrences, and the presentation and treatment approaches for such cases can be variable. Due to the potentially life-threatening risk of rupture, leading to conditions like hemothorax, it is important to have a [...] Read more.
Pseudoaneurysms involving the internal mammary artery/internal thoracic artery (IMA/ITA) are rare occurrences, and the presentation and treatment approaches for such cases can be variable. Due to the potentially life-threatening risk of rupture, leading to conditions like hemothorax, it is important to have a comprehensive understanding of safe and effective diagnostic and therapeutic techniques. We present two cases of IMA/ITA artery pseudoaneurysms. A 91-year-old male presented to the emergency department following a motor vehicle accident. A CT scan of the chest revealed an anterior mediastinal hemorrhage with active extravasation. Percutaneous intervention revealed a pseudoaneurysm arising from a left IMA/ITA side branch. Coil embolization effectively treated the pseudoaneurysm. In the second case, a 79-year-old male presented with a sternal fracture after a ground-level fall, with parasternal hematoma and active bleeding (pseudoaneurysm) on Trauma Computerized Tomography of the chest with contrast. He underwent coil embolization, and subsequent post-procedure angiograms confirmed the effective occlusion of the left IMA/ITA, with no further visualization of the pseudoaneurysm. These two cases underscore the importance of tailored approaches in treating internal mammary artery pseudoaneurysms. Full article
(This article belongs to the Section Medical Imaging and Theranostics)
Show Figures

Figure 1

11 pages, 2358 KB  
Article
A Single Base Insertion in F9 Causing Hemophilia B in a Family of Newfoundland–Parti Standard Poodle Hybrid Dogs
by Henrike Kuder, Liubov Sandzhieva-Vuzzo, Alexandra Kehl, Jonathan M. Rappaport, Elisabeth Müller and Urs Giger
Genes 2021, 12(10), 1491; https://doi.org/10.3390/genes12101491 - 24 Sep 2021
Cited by 2 | Viewed by 6613
Abstract
Hemophilia B is an x-linked recessive hereditary coagulopathy that has been reported in various species. We describe a male Newfoundland–Parti Standard Poodle hybrid puppy and its family with hemophilia B from clinical manifestations to the molecular genetic defect. The index case presented for [...] Read more.
Hemophilia B is an x-linked recessive hereditary coagulopathy that has been reported in various species. We describe a male Newfoundland–Parti Standard Poodle hybrid puppy and its family with hemophilia B from clinical manifestations to the molecular genetic defect. The index case presented for dyspnea was found to have a mediastinal hematoma, while surgical removal and transfusion support brought some relief, progressive hematoma formations led to humane euthanasia. Sequencing the F9 exons revealed a single nucleotide insertion resulting in a frameshift in the last exon (NM_001003323.2:c.821_822insA), predicted to result in a premature stop codon (NP_001003323.1:p.Asn274LysfsTer23) with a loss of 178 of 459 amino acids. The unexpected high residual plasma factor IX activity (3% to 11% of control) was likely erroneous, but no further studies were performed. Both the purebred Newfoundland dam and her sister were heterozygous for the insertion. Five additional male offspring developed severe hemorrhage and were hemizygous for the F9 variant and/or had a prolonged aPTT. In contrast, other male littermates had normal aPTTs and no evidence of bleeding. While they are related to a common Newfoundland granddam, the prevalence of the pathogenic variant in the Newfoundland breed is currently unknown. These clinical to molecular genetic studies illustrate that precision medicine is achievable in clinical companion animal practice. Full article
(This article belongs to the Special Issue Canine Genetics 2)
Show Figures

Figure 1

6 pages, 1699 KB  
Case Report
Tension Hemothorax in Aortic Rupture: A Case Report
by Jana Pometlová, Roman Madeja, Jiří Demel, Renata Ječmínková, Václav Procházka, Miroslav Kitka and Leopold Pleva
Medicina 2021, 57(8), 790; https://doi.org/10.3390/medicina57080790 - 31 Jul 2021
Cited by 3 | Viewed by 2974
Abstract
Background: The standard ATLS protocol calls for chest drain insertion in patients with hemothorax before performing further diagnostic steps. However, if trauma-induced thoracic aortic rupture is the underlying cause, such drainage can lead to massive bleeding and death of the patient. Case report: [...] Read more.
Background: The standard ATLS protocol calls for chest drain insertion in patients with hemothorax before performing further diagnostic steps. However, if trauma-induced thoracic aortic rupture is the underlying cause, such drainage can lead to massive bleeding and death of the patient. Case report: This report describes a case of a polytrauma patient (car accident), aged 21, with symmetrical chest and decreased breath sounds dorsally on the left. An urgent CT scan revealed subadventitial Grade III thoracic aortic transection with mediastinal hematoma, a massive left-sided hemothorax with mediastinal shift to the right, and other injuries. Stent-graft implantation with subsequent left hemithorax drainage was urgently performed, during which the patient became increasingly unstable from the circulatory point of view. This traumatic hemorrhagic shock was successfully managed at the ICU. Conclusion: Although hemothorax is a serious condition requiring rapid treatment, the knowledge of its origin is of utmost importance; performing chest drainage without bleeding control can lead to circulatory instability and death of the patient. Hence, where aortic injury can be suspected based on the mechanism of the injury, it is beneficial to perform spiral CT angiography for accurate diagnosis first and, in cases of aortic injury, to control the bleeding prior to drainage. Full article
(This article belongs to the Special Issue Emergency Medicine and Emergency Room Medical Issues)
Show Figures

Figure 1

3 pages, 696 KB  
Case Report
Spontaneous Hematoma of Posterior Mediastinum with an Uncommon Cause: A Case Report and Review of the Literature
by Xiaowei Li, Leilei Liu, Dianbo Cao and Yutian Sun
Clin. Pract. 2016, 6(1), 838; https://doi.org/10.4081/cp.2016.838 - 11 Apr 2016
Cited by 4 | Viewed by 963
Abstract
Spontaneous mediastinal hematoma is exceedingly rare. We described such a case of a 61-year-old male with a posterior mediastinal hematoma from ruptured small aneurysm, which was ascertained via contrast-enhanced computed tomography examination. Subsequent super-selective angiography of left gastric artery revealed a ruptured aneurysm [...] Read more.
Spontaneous mediastinal hematoma is exceedingly rare. We described such a case of a 61-year-old male with a posterior mediastinal hematoma from ruptured small aneurysm, which was ascertained via contrast-enhanced computed tomography examination. Subsequent super-selective angiography of left gastric artery revealed a ruptured aneurysm with contrast medium leakage, feeding vessels respectively from caudal and cranial artery. The left gastric artery branch caudally feeding aneurysm was successfully occluded, while cranially feeding artery from the branch of left bronchial artery failed to embolize due to complex anatomic factor. Our management still yields to a satisfactory outcome. Full article
Back to TopTop