Optimization of Collagen Scaffold with Cultured Autologous Chondrocytes for Osteochondritis Dissecans of the Knee: A Case Report
Abstract
1. Introduction
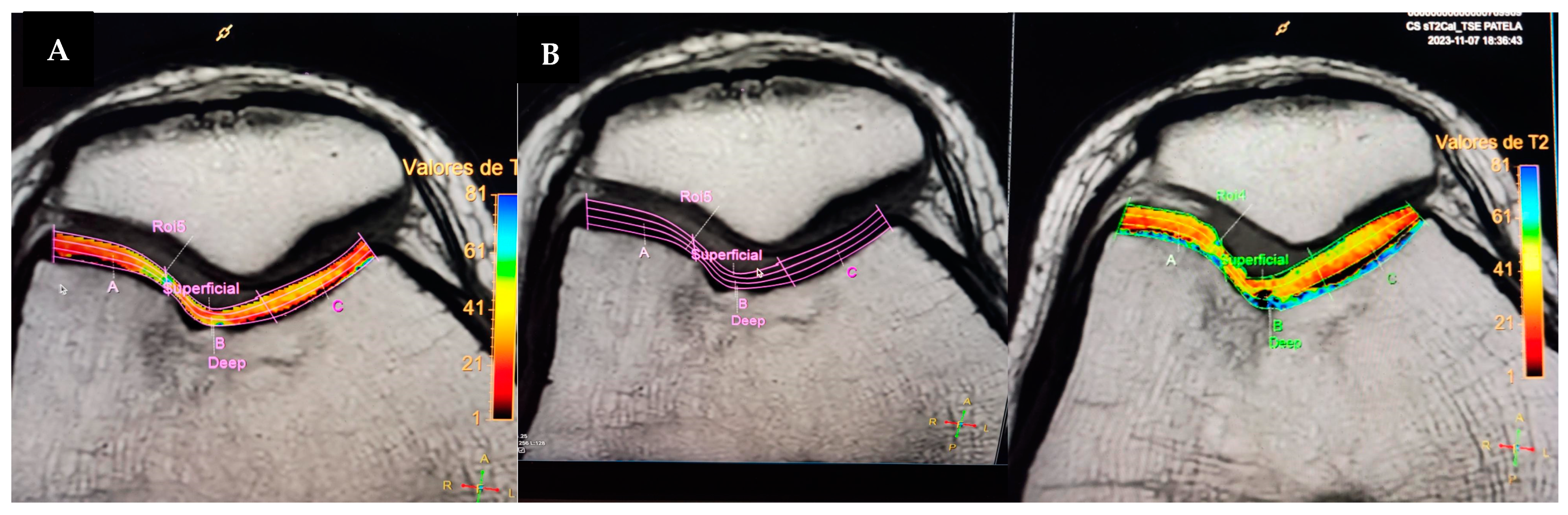
2. Case Report
3. Discussion
4. Conclusions
Author Contributions
Funding
Institutional Review Board Statement
Informed Consent Statement
Data Availability Statement
Conflicts of Interest
References
- Accadbled, F.; Vial, J.; Sales de Gauzy, J. Osteochondritis dissecans of the knee. Orthop. Traumatol. Surg. Res. 2018, 104, S97–S105. [Google Scholar] [CrossRef]
- Bruns, J.; Werner, M.; Habermann, C. Osteochondritis Dissecans: Etiology, Pathology, and Imaging with a Special Focus on the Knee Joint. Cartilage 2018, 9, 346–362. [Google Scholar] [CrossRef] [PubMed]
- Weiss, J.M.; Shea, K.G.; Jacobs, J.C., Jr.; Cannamela, P.C.; Becker, I.; Portman, M.; Kessler, J.I. Incidence of Osteochondritis Dissecans in Adults. Am. J. Sports Med. 2018, 46, 1592–1595. [Google Scholar] [CrossRef]
- Kessler, J.I.; Nikizad, H.; Shea, K.G.; Jacobs, J.C., Jr.; Bebchuk, J.D.; Weiss, J.M. The demographics and epidemiology of osteochondritis dissecans of the knee in children and adolescents. Am. J. Sports Med. 2014, 42, 320–326. [Google Scholar] [CrossRef]
- Kocher, M.S.; Tucker, R.; Ganley, T.J.; Flynn, J.M. Management of osteochondritis dissecans of the knee: Current concepts review. Am. J. Sports Med. 2006, 34, 1181–1191. [Google Scholar] [CrossRef]
- Andriolo, L.; Crawford, D.C.; Reale, D.; Zaffagnini, S.; Candrian, C.; Cavicchioli, A.; Filardo, G. Osteochondritis Dissecans of the Knee: Etiology and Pathogenetic Mechanisms. A Systematic Review. Cartilage 2020, 11, 273–290. [Google Scholar] [CrossRef] [PubMed]
- Chau, M.M.; Klimstra, M.A.; Wise, K.L.; Ellermann, J.M.; Toth, F.; Carlson, C.S.; Nelson, B.J.; Tompkins, M.A. Osteochondritis Dissecans: Current Understanding of Epidemiology, Etiology, Management, and Outcomes. J. Bone Jt. Surg. Am. 2021, 103, 1132–1151. [Google Scholar] [CrossRef]
- Erickson, B.J.; Chalmers, P.N.; Yanke, A.B.; Cole, B.J. Surgical management of osteochondritis dissecans of the knee. Curr. Rev. Musculoskelet. Med. 2013, 6, 102–114. [Google Scholar] [CrossRef]
- Volz, M.; Schaumburger, J.; Frick, H.; Grifka, J.; Anders, S. A randomized controlled trial demonstrating sustained benefit of Autologous Matrix-Induced Chondrogenesis over microfracture at five years. Int. Orthop. 2017, 41, 797–804. [Google Scholar] [CrossRef] [PubMed]
- Angele, P.; Docheva, D.; Pattappa, G.; Zellner, J. Cell-based treatment options facilitate regeneration of cartilage, ligaments and meniscus in demanding conditions of the knee by a whole joint approach. Knee Surg. Sports Traumatol. Arthrosc. 2022, 30, 1138–1150. [Google Scholar] [CrossRef]
- Bentley, G.; Biant, L.C.; Carrington, R.W.; Akmal, M.; Goldberg, A.; Williams, A.M.; Skinner, J.A.; Pringle, J. A prospective, randomised comparison of autologous chondrocyte implantation versus mosaicplasty for osteochondral defects in the knee. J. Bone Jt. Surg. Br. 2003, 85, 223–230. [Google Scholar] [CrossRef]
- Riley, D.S.; Barber, M.S.; Kienle, G.S.; Aronson, J.K.; von Schoen-Angerer, T.; Tugwell, P.; Kiene, H.; Helfand, M.; Altman, D.G.; Sox, H.; et al. CARE guidelines for case reports: Explanation and elaboration document. J. Clin. Epidemiol. 2017, 89, 218–235. [Google Scholar] [CrossRef] [PubMed]
- Marx, R.G.; Jones, E.C.; Allen, A.A.; Altchek, D.W.; O’Brien, S.J.; Rodeo, S.A.; Williams, R.J.; Warren, R.F.; Wickiewicz, T.L. Reliability, validity, and responsiveness of four knee outcome scales for athletic patients. J. Bone Jt. Surg. Am. 2001, 83, 1459–1469. [Google Scholar] [CrossRef] [PubMed]
- Nelson, D.W.; DiPaola, J.; Colville, M.; Schmidgall, J. Osteochondritis dissecans of the talus and knee: Prospective comparison of MR and arthroscopic classifications. J. Comput. Assist. Tomogr. 1990, 14, 804–808. [Google Scholar] [CrossRef]
- Flanigan, D.C.; Sherman, S.L.; Chilelli, B.; Gersoff, W.; Jones, D.; Lee, C.A.; Toth, A.; Cramer, C.; Zaporojan, V.; Carey, J. Consensus on Rehabilitation Guidelines among Orthopedic Surgeons in the United States following Use of Third-Generation Articular Cartilage Repair (MACI) for Treatment of Knee Cartilage Lesions. Cartilage 2021, 13, 1782S–1790S. [Google Scholar] [CrossRef] [PubMed]
- Edwards, P.K.; Ackland, T.; Ebert, J.R. Clinical rehabilitation guidelines for matrix-induced autologous chondrocyte implantation on the tibiofemoral joint. J. Orthop. Sports Phys. Ther. 2014, 44, 102–119. [Google Scholar] [CrossRef]
- Murray, J.R.; Chitnavis, J.; Dixon, P.; Hogan, N.A.; Parker, G.; Parish, E.N.; Cross, M.J. Osteochondritis dissecans of the knee; long-term clinical outcome following arthroscopic debridement. Knee 2007, 14, 94–98. [Google Scholar] [CrossRef]
- Peterson, L.; Minas, T.; Brittberg, M.; Nilsson, A.; Sjogren-Jansson, E.; Lindahl, A. Two- to 9-year outcome after autologous chondrocyte transplantation of the knee. Clin. Orthop. Relat. Res. 2000, 374, 212–234. [Google Scholar] [CrossRef]
- Liu, Y.; Ma, N.; Zhao, Z.; Guo, Q. Mid- to Long-Term Clinical Outcomes of Cartilage Restoration of Knee Joint with Allogenic Next-Generation Matrix-Induced Autologous Chondrocyte Implantation (MACI). Orthop. Surg. 2023, 15, 549–562. [Google Scholar] [CrossRef]
- Ebert, J.R.; Fallon, M.; Wood, D.J.; Janes, G.C. Long-term Prospective Clinical and Magnetic Resonance Imaging-Based Evaluation of Matrix-Induced Autologous Chondrocyte Implantation. Am. J. Sports Med. 2021, 49, 579–587. [Google Scholar] [CrossRef]
- Steinhagen, J.; Bruns, J.; Deuretzbacher, G.; Ruether, W.; Fuerst, M.; Niggemeyer, O. Treatment of osteochondritis dissecans of the femoral condyle with autologous bone grafts and matrix-supported autologous chondrocytes. Int. Orthop. 2010, 34, 819–825. [Google Scholar] [CrossRef] [PubMed]
- Jones, K.J.; Kelley, B.V.; Arshi, A.; McAllister, D.R.; Fabricant, P.D. Comparative Effectiveness of Cartilage Repair With Respect to the Minimal Clinically Important Difference. Am. J. Sports Med. 2019, 47, 3284–3293. [Google Scholar] [CrossRef] [PubMed]
- Bedi, A.; Feeley, B.T.; Williams, R.J., 3rd. Management of articular cartilage defects of the knee. J. Bone Jt. Surg. Am. 2010, 92, 994–1009. [Google Scholar] [CrossRef] [PubMed]
- Zaffagnini, S.; Boffa, A.; Andriolo, L.; Reale, D.; Busacca, M.; Di Martino, A.; Filardo, G. Mosaicplasty versus Matrix-Assisted Autologous Chondrocyte Transplantation for Knee Cartilage Defects: A Long-Term Clinical and Imaging Evaluation. Appl. Sci. 2020, 10, 4615. [Google Scholar] [CrossRef]
- Brittberg, M.; Recker, D.; Ilgenfritz, J.; Saris, D.B.F.; Group, S.E.S. Matrix-Applied Characterized Autologous Cultured Chondrocytes Versus Microfracture: Five-Year Follow-up of a Prospective Randomized Trial. Am. J. Sports Med. 2018, 46, 1343–1351. [Google Scholar] [CrossRef] [PubMed]
- Matthews, J.R.; Sonnier, J.H.; Paul, R.W.; Avendano, J.P.; Saucedo, S.T.; Freedman, K.B.; Tjoumakaris, F.P. A systematic review of cartilage procedures for unstable osteochondritis dissecans. Physician Sportsmed. 2023, 51, 497–505. [Google Scholar] [CrossRef]
- Riboh, J.C.; Cvetanovich, G.L.; Cole, B.J.; Yanke, A.B. Comparative efficacy of cartilage repair procedures in the knee: A network meta-analysis. Knee Surg. Sports Traumatol. Arthrosc. 2017, 25, 3786–3799. [Google Scholar] [CrossRef]
- Krishnan, S.P.; Skinner, J.A.; Carrington, R.W.; Flanagan, A.M.; Briggs, T.W.; Bentley, G. Collagen-covered autologous chondrocyte implantation for osteochondritis dissecans of the knee: Two- to seven-year results. J. Bone Jt. Surg. Br. 2006, 88, 203–205. [Google Scholar] [CrossRef]
- Basad, E.; Wissing, F.R.; Fehrenbach, P.; Rickert, M.; Steinmeyer, J.; Ishaque, B. Matrix-induced autologous chondrocyte implantation (MACI) in the knee: Clinical outcomes and challenges. Knee Surg. Sports Traumatol. Arthrosc. 2015, 23, 3729–3735. [Google Scholar] [CrossRef]
- Erickson, B.J.; Bohl, D.D.; Cole, B.J.; Verma, N.N.; Nicholson, G.; Romeo, A.A.; Harris, J.D. Reverse Total Shoulder Arthroplasty: Indications and Techniques Across the World. Am. J. Orthop. 2018, 47, 9. [Google Scholar] [CrossRef]
- Yamashita, A.; Morioka, M.; Yahara, Y.; Okada, M.; Kobayashi, T.; Kuriyama, S.; Matsuda, S.; Tsumaki, N. Generation of scaffoldless hyaline cartilaginous tissue from human iPSCs. Stem Cell Rep. 2015, 4, 404–418. [Google Scholar] [CrossRef] [PubMed]
- Guillen-Garcia, P.; Rodriguez-Inigo, E.; Guillen-Vicente, I.; Caballero-Santos, R.; Guillen-Vicente, M.; Abelow, S.; Gimenez-Gallego, G.; Lopez-Alcorocho, J.M. Increasing the Dose of Autologous Chondrocytes Improves Articular Cartilage Repair: Histological and Molecular Study in the Sheep Animal Model. Cartilage 2014, 5, 114–122. [Google Scholar] [CrossRef] [PubMed]
- Hinckel, B.B.; Gomoll, A.H. Autologous Chondrocytes and Next-Generation Matrix-Based Autologous Chondrocyte Implantation. Clin. Sports Med. 2017, 36, 525–548. [Google Scholar] [CrossRef] [PubMed]
- Hinckel, B.B.; Thomas, D.; Vellios, E.E.; Hancock, K.J.; Calcei, J.G.; Sherman, S.L.; Eliasberg, C.D.; Fernandes, T.L.; Farr, J.; Lattermann, C.; et al. Algorithm for Treatment of Focal Cartilage Defects of the Knee: Classic and New Procedures. Cartilage 2021, 13, 473S–495S. [Google Scholar] [CrossRef] [PubMed]







Disclaimer/Publisher’s Note: The statements, opinions and data contained in all publications are solely those of the individual author(s) and contributor(s) and not of MDPI and/or the editor(s). MDPI and/or the editor(s) disclaim responsibility for any injury to people or property resulting from any ideas, methods, instructions or products referred to in the content. |
© 2024 by the authors. Licensee MDPI, Basel, Switzerland. This article is an open access article distributed under the terms and conditions of the Creative Commons Attribution (CC BY) license (https://creativecommons.org/licenses/by/4.0/).
Share and Cite
Valladares, N.; Jacobo-Jimenez, G.J.; Lara-Palazuelos, N.; Zavala-Cerna, M.G. Optimization of Collagen Scaffold with Cultured Autologous Chondrocytes for Osteochondritis Dissecans of the Knee: A Case Report. Reports 2024, 7, 62. https://doi.org/10.3390/reports7030062
Valladares N, Jacobo-Jimenez GJ, Lara-Palazuelos N, Zavala-Cerna MG. Optimization of Collagen Scaffold with Cultured Autologous Chondrocytes for Osteochondritis Dissecans of the Knee: A Case Report. Reports. 2024; 7(3):62. https://doi.org/10.3390/reports7030062
Chicago/Turabian StyleValladares, Nicolas, Gibran J. Jacobo-Jimenez, Nathaniel Lara-Palazuelos, and Maria G. Zavala-Cerna. 2024. "Optimization of Collagen Scaffold with Cultured Autologous Chondrocytes for Osteochondritis Dissecans of the Knee: A Case Report" Reports 7, no. 3: 62. https://doi.org/10.3390/reports7030062
APA StyleValladares, N., Jacobo-Jimenez, G. J., Lara-Palazuelos, N., & Zavala-Cerna, M. G. (2024). Optimization of Collagen Scaffold with Cultured Autologous Chondrocytes for Osteochondritis Dissecans of the Knee: A Case Report. Reports, 7(3), 62. https://doi.org/10.3390/reports7030062

