Subcutaneous Emphysema of the Orbit after Nose-Blowing
Abstract
:1. Introduction
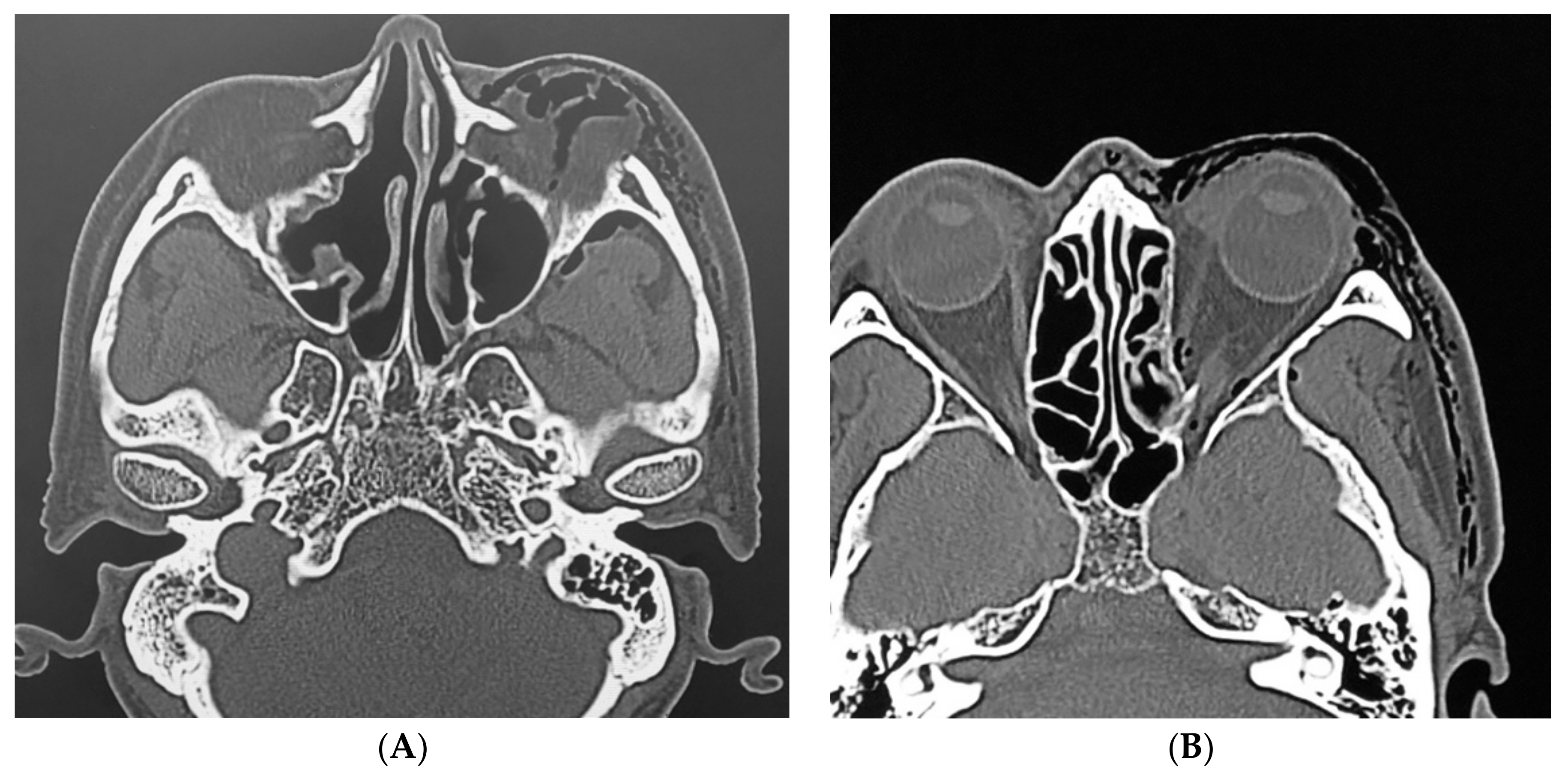
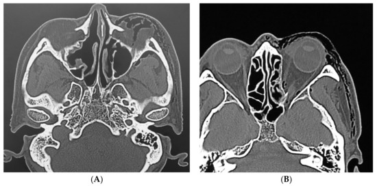
2. Case Description
2.1. Review
2.2. Statistical Analyses
2.3. Literature Review Results
3. Discussion
4. Limitations
5. Conclusions
Author Contributions
Funding
Institutional Review Board Statement
Informed Consent Statement
Data Availability Statement
Acknowledgments
Conflicts of Interest
References
- Taguchi, Y.; Sakakibara, Y.; Uchida, K.; Kishi, H. Orbital emphysema following nose blowing as a sequel of a snowboard related head injury. Br. J. Sports Med. 2004, 38, e28. [Google Scholar] [CrossRef] [PubMed] [Green Version]
- Harmer, S.G.; Ethunandan, M.; Zaki, G.A.; Brennan, P.A. Sudden transient complete loss of vision caused by nose blowing after a fracture of the orbital floor. Br. J. Oral Maxillofac. Surg. 2007, 45, 154–155. [Google Scholar] [CrossRef] [PubMed]
- Reeves, D.L.; Lucarelli, M.J.; Rose, J.G. Severe subcutaneous emphysema following orbital blowout fracture. Ophthal. Plast. Reconstr. Surg. 2005, 21, 465–467. [Google Scholar] [CrossRef] [PubMed]
- Papadimitriou, P.; Ntomouchtsis, A.; Antoniades, K. Delayed traumatic occular emphysema: A case report. Oral Surg. Oral Med. Oral Pathol. Oral Radiol. Endodontol. 2006, 102, e18–e20. [Google Scholar] [CrossRef]
- Beaumont, H.; Sharma, N.; Ahmed, S.K.; O’Connell, J.E. Spontaneous maxillary sinus rupture in the absence of pre-existing sinus disease: Case report. J. Laryngol. Otol. 2008, 122, 538–539. [Google Scholar] [CrossRef]
- Dong, Q.N.; Ide, T.; Karino, M.; Okuma, S.; Koike, T.; Kanno, T. Retrobulbar orbital emphysema associated with medial orbital wall fracture. J. Craniofac. Surg. 2019, 30, 1549–1551. [Google Scholar] [CrossRef]
- Di Lella, F.; Bacciu, A.; Vincenti, V.; Pasanisi, E.; Bacciu, S. Orbital and infratemporal fossa emphysema following nose blowing. Clin. Otolaryngol. 2008, 33, 181–182. [Google Scholar] [CrossRef]
- Vairaktaris, E.; Moschos, M.M.; Vassiliou, S.; Kalimeras, E.; Avgoustidis, D.; Moschos, M.N. Delayed appearance of diplopia due to orbital emphysema after repair of orbital fractures. Oral Surg. Oral Med. Oral Pathol. Oral Radiol. Endodontol. 2008, 106, e8. [Google Scholar] [CrossRef]
- Bolognini, A.; Delehaye, E.; Cau, M.; Cosso, L. Barotraumatic orbital emphysema of rhinogenic origin in a breath—hold diver: A case report. Undersea Hyperb. Med. 2008, 35, 163–167. [Google Scholar]
- Erbilen, E.; Yuksel, H.; Onder, H.I.; Tunc, M.; Kaya, M. Blow-Out Fracture due to a Hazel Stick Beat. Eurasian J. Med. 2008, 40, 151–153. [Google Scholar]
- Jack, L.S.; Smith, T.L.; Ng, J.D. Frontal sinus osteoma presenting with orbital emphysema. Ophthal. Plast. Reconstr. Surg. 2009, 25, 155–157. [Google Scholar] [CrossRef] [PubMed]
- Abdel-Aal, A.K.; Abayazeed, A.H.; Raghuram, K.; Curé, J.K. Pneumocele of the frontal sinus producing orbital roof defect: Case report and review of literature. Am. J. Otolaryngol. Neck. Med. Surg. 2010, 31, 202–204. [Google Scholar] [CrossRef] [PubMed]
- Azenha, M.R.; Yamaji, M.A.K.; Avelar, R.L.; de Freitas, Q.E.R.; Filho, J.R.L.; de Neto, P.J.O. Retropharyngeal and cervicofacial subcutaneous emphysema after maxillofacial trauma. J. Oral Maxillofac. Surg. 2011, 15, 245–249. [Google Scholar] [CrossRef] [PubMed]
- Miki, K.; Orita, Y.; Kumase, F.; Sugaya, A.; Hirai, M.; Noyama, Y.; Nakai, K.; Narita, A.; Seguchi, J. Orbital emphysema causing syncope. Acta Med. Okayama 2011, 65, 55–58. [Google Scholar] [CrossRef]
- Fangman, B.; Penna, K.J. Pneumomediastinum, pneumopericardium, orbital subcutaneous emphysema as consequence of low energy impact facial trauma. N. Y. State Dent. J. 2012, 78, 25–28. [Google Scholar]
- Tomasetti, P.; Jacbosen, C.; Gander, T.; Zemann, W. Emergency decompression of tension retrobulbar emphysema secondary to orbital floor fracture. J Surg. Case Rep. 2013, 2013, rjt011. [Google Scholar] [CrossRef]
- Zhuang, A.; Li, Y.; Lin, M.; Shi, W.; Fan, X. Ethmoid osteoma as a culprit of orbital emphysema. Medicine 2015, 94, e724. [Google Scholar] [CrossRef]
- Sakakibara, A.; Suzuki, H.; Yamashita, A.; Hasegawa, T.; Minamikawa, T.; Furudoi, S.; Komori, T. Facial emphysema after sinus lift. J Surg. Case Rep. 2015, 2015, rjv067. [Google Scholar] [CrossRef]
- Betances Reinoso, F.A.; Chiesa Estomba, C.M.; Osorio Velasquez, A. Enfisema periorbitario tras sonarse la nariz. Acta Otorrinolaringol. Esp. 2016, 67, e28–e29. [Google Scholar] [CrossRef]
- Lin, C.Y.; Tsai, C.C.; Kao, S.C.; Kau, H.C.; Lee, F.L. Needle decompression in a patient with vision-threatening orbital emphysema. Taiwan J. Ophthalmol. 2016, 6, 93–95. [Google Scholar] [CrossRef] [Green Version]
- Farina, R.; Zaetta, A.; Minenna, L.; Trombelli, L. Orbital and periorbital emphysema following maxillary sinus floor elevation: A case report and literature review. J. Oral Maxillofac. Surg. 2016, 74. [Google Scholar] [CrossRef] [PubMed]
- Heymann, H.B.; Thompson, C.F.; Lissner, G.S.; Kern, R.C. Nasoorbital osteoma presenting as valsalva-induced orbital emphysema. Ophthal. Plast. Reconstr. Surg. 2017, 33, S106–S107. [Google Scholar] [CrossRef] [PubMed]
- Hu, H.C.; Chang, A.C.H.; Chiu, Y.H. Orbital emphysema after nose blowing. QJM 2017, 110, 41. [Google Scholar] [CrossRef] [Green Version]
- Tseng, W.S.; Lee, H.C.; Kang, B.H. Periorbital emphysema after a wet chamber dive. Diving Hyperb. Med. 2017, 47, 198–200. [Google Scholar] [CrossRef] [PubMed]
- Ali, S.; Ranney, M.L.; Jarman, A.F. Transient orbital compartment syndrome caused by spontaneous lamina papyracea dehiscence. Rhode Isl. Med. J. 2013 2018, 101, 30–32. [Google Scholar]
- Aubin-Lemay, C.; Acar, P.; Alnaif, N.; Alamri, A.; Azzi, A.J.; Cugno, S. Orbital subcutaneous emphysema in a child. J. Craniofac. Surg. 2018, 29, 1020–1022. [Google Scholar] [CrossRef] [PubMed]
- Myers, S.; Bell, D. Orbital blowout fracture from nose blowing. BMJ Case Rep. 2018, 2018, bcr-2018. [Google Scholar] [CrossRef]
- Melville, J.C.; Balandran, S.S.; Blackburn, C.P.; Hanna, I.A. Massive self-induced subcutaneous cervicofacial, pneumomediastinum, and pneumopericardium emphysema sequelae to a nondisplaced maxillary wall fracture: A case report and literature review. J. Oral Maxillofac. Surg. 2019, 77, 1867. [Google Scholar] [CrossRef]
- Ariyoshi, Y.; Naito, H.; Yumoto, T.; Iida, A.; Yamamoto, H.; Fujisaki, N.; Aokage, T.; Tsukahara, K.; Yamada, T.; Mandai, Y.; et al. Orbital emphysema as a consequence of forceful nose-blowing: Report of a case. Case Rep. Emerg. Med. 2019, 2019, 4383086. [Google Scholar] [CrossRef]
- Mezri, S.; Sayhi, S. Dehiscence of the lamina papyracea. Pan. Afr. Med. J. 2019, 15, 151–153. [Google Scholar]
- Sarbajna, T.; Valencia, M.R.P.; Kakizaki, H.; Takahashi, Y. Orbital blowout fracture and orbital emphysema caused by nose blowing. J. Craniofac. Surg. 2020, 31, e82–e84. [Google Scholar] [CrossRef] [PubMed]
- Devaraja, K.; Pujary, K.; Pillai, S. Orbital emphysema secondary to frontal osteoma. J. Craniofac. Surg. 2021, 32, e352–e355. [Google Scholar] [CrossRef]
- Al-Shammari, L.; Majithia, A.; Adams, A.; Chatrath, P. Tension pneumo-orbit treated by endoscopic, endonasal decompression: Case report and literature review. J. Laryngol. Otol. 2008, 122, e8. [Google Scholar] [CrossRef]
- Ozdemir, O. Orbital Emphysema Occurring during Weight Lifting. Semin Ophthalmol. 2015, 30, 426–428. [Google Scholar] [CrossRef] [PubMed]
- Li, T.; Mafee, M.F.; Edward, D.P. Bilateral orbital emphysema from compressed air injury. Am. J. Ophthalmol. 1999, 128, 103–104. [Google Scholar] [CrossRef]
- Ginat, D.T.; Freitag, S.K. Orbital emphysema complicating jones tube placement in a patient treated with continuous positive airway pressure. Ophthal. Plast. Reconstr. Surg. 2015, 31, e25. [Google Scholar] [CrossRef]
- Gwaltney, J.M.; Hendley, J.O.; Phillips, C.D.; Bass, C.R.; Mygind, N.; Winther, B. Nose blowing propels nasal fluid into the paranasal sinuses. Clin. Infect. Dis. 2000, 30, 387–391. [Google Scholar] [CrossRef]
- Zimmer-Galler, I.E.; Bartley, G.B. Orbital emphysema: Case reports and review of the literature. Mayo Clin. Proc. 1994, 69, 115–121. [Google Scholar] [CrossRef] [Green Version]
- Hwang, K.; Kim, H.J. Medial orbital wall fracture caused by forceful nose blowing. J. Craniofac. Surg. 2014, 25, 720–721. [Google Scholar] [CrossRef]


| Cases | |
|---|---|
| Male: Female | 31:17 |
| Age (years) | |
| Lange/Mean/Median | 11–80/40.7/38 |
| Treatment | |
| Conservative | 34 |
| Surgical | 14 (within 48 h: six; after acute phase: eight) |
| Trauma or other trigger | |
| None | 26 |
| Facial trauma | 18 |
| Surgery | 4 |
| Surgical | Conservative | p-Value | |
|---|---|---|---|
| Number (Male) | 14 (9) | 34 (22) | 0.614 |
| Age: Range/Mean/Median | 16–68/40.6/39 | 11–80/57.4/36 | 0.65 |
| Trauma (+):(-) | 9:5 | 13:12 | 0.0921 |
| Without osteoma | 9:2 | 13:11 | 0.0169 |
| Symptoms | |||
| Visual acuity deficit | 6 | 5 | |
| Limited eye movement or diplopia | 5 | 5 | |
| Exophthalmos | 8 | 1 | |
| Hypo-aesthesia | 2 | 3 | |
| Visual field defect | 1 | 1 | |
| Color disorder | 0 | 2 | |
| Location of fracture | |||
| Total | 12 | 29 | 0.107 |
| Ethmoidal bone | 5 | 17 | |
| Maxillary bone | 5 | 9 | |
| Zygoma | 2 | 3 | |
Publisher’s Note: MDPI stays neutral with regard to jurisdictional claims in published maps and institutional affiliations. |
© 2022 by the authors. Licensee MDPI, Basel, Switzerland. This article is an open access article distributed under the terms and conditions of the Creative Commons Attribution (CC BY) license (https://creativecommons.org/licenses/by/4.0/).
Share and Cite
Mihara, R.; Murai, Y.; Sato, S.; Matano, F.; Morita, A. Subcutaneous Emphysema of the Orbit after Nose-Blowing. Reports 2022, 5, 21. https://doi.org/10.3390/reports5020021
Mihara R, Murai Y, Sato S, Matano F, Morita A. Subcutaneous Emphysema of the Orbit after Nose-Blowing. Reports. 2022; 5(2):21. https://doi.org/10.3390/reports5020021
Chicago/Turabian StyleMihara, Riku, Yasuo Murai, Shun Sato, Fumihiro Matano, and Akio Morita. 2022. "Subcutaneous Emphysema of the Orbit after Nose-Blowing" Reports 5, no. 2: 21. https://doi.org/10.3390/reports5020021
APA StyleMihara, R., Murai, Y., Sato, S., Matano, F., & Morita, A. (2022). Subcutaneous Emphysema of the Orbit after Nose-Blowing. Reports, 5(2), 21. https://doi.org/10.3390/reports5020021

