Abstract
Background/Objectives: Pathological factors are integral in the risk stratification and management of localized prostate cancer. In recent years, there has been an upsurge of studies that uncovered novel approaches and have refined prognostic factors for prostate cancer in needle biopsy and radical prostatectomy (RP) specimens. Methods: We conducted a review of literature and summarized the significant recent updates on pathological factors for localized prostate cancer. Results: Innovative factors derived from the traditional Gleason grading, such as the extent of Gleason pattern 4 and presence of cribriform pattern are now recognized to significantly improve discrimination of outcome. The components and rules of Gleason grading themselves underwent modifications, and the subsequent prognostic grouping of the different grades (Grade group) have resulted in enhanced stratification of behavior more meaningful in management decision. The approaches for grade reporting in systematic or targeted needle biopsies and in RP with multifocal cancers are also being optimized. Newer tumor growth pattern-based factors such as intraductal carcinoma and atypical intraductal proliferation can have ramifications in management, especially in the background of low to intermediate risk prostate cancers. Gleason grade considerations in the different post-treatment settings and for de novo and residual prostate cancers with varying treatment effects have also been explicated. Likewise, the application of more traditional factors in tumor extent and perineural invasion in biopsy, or positive surgical margin in RP, have also evolved. Conclusions: Some of these newer pathological factors are now officially recommended in standardized pathology reporting protocols and are applied in the management decision for localized prostate cancer.
Keywords:
prostate; cancer; pathological; prognostic; factors; elements; reporting; biopsy; prostatectomy 1. Introduction
Pathological factors are among the major determinants that guide clinical decisions for localized prostate cancer [1,2,3]. Traditional factors in needle biopsy have long been used for risk stratification and preoperative prognostic tools or nomograms [4,5], and are also monitored in patients during active surveillance (AS) for potential reclassification [1,6,7]. After radical prostatectomy (RP), adverse factors are used in postoperative prognostic tools for further management decisions [5,8,9,10]. In recent years, there has been an upsurge in studies looking at the usefulness of nuanced histological factors in prostate cancer to enhance prognostication. New recommendations were made on prostate cancer grading and its derivatives in the 2014 and 2019 International Society of Urological Pathology (ISUP) consensus conferences and the 2019 Genitourinary Pathology Society (GUPS) white paper [11,12,13,14]. Many of these recommendations were codified in the 2022 World Health Organization (WHO) classification [15]. Because of the importance of pathological factors, standardized cancer reporting checklists such as the International Collaboration on Cancer Reporting (ICCR) datasets (http://www.iccr-cancer.org (accessed on 31 January 2025)) and the College of American Pathologists (CAP) cancer protocols (http://www.cap.org (accessed on 31 January 2025)) are being recommended or required for use by pathologists for consistency in reporting. Herein, we summarize the recent significant updates on pathological factors for localized prostate cancer, defined as up to clinical stage T3 (by digital rectal examination [DRE] prostate cancer without nodal or distant metastasis, in needle biopsy and RP.
2. Acinar Adenocarcinoma and Subtypes
The vast majority (>95%) of prostate cancers are acinar adenocarcinoma, which exhibits a range of histological patterns that correlate with its degree of differentiation [15,16]. This unique spectrum of histological patterns forms the basis for the Gleason grading system [17]. Tumors that are purely Gleason pattern (GP) 3 are overwhelmingly organ-confined with limited capacity for extraprostatic extension (EPE), and if resected, have virtually no risk for metastasis [18,19,20,21]. The presence and increasing proportion of higher-grade patterns in GP 4 and GP 5 increase the risk for local aggressiveness and metastasis. A minority of acinar adenocarcinomas also have unusual histological features [15]. The unusual adenocarcinoma patterns are diagnosed mostly as low-grade localized tumors, whereas adenocarcinoma subtypes such as signet-ring cell-like, sarcomatoid, and pleomorphic giant cell are aggressive and often present as locally advanced or metastatic tumors (Table 1). EPE has been reported in 46.1% of prostatic intraepithelial neoplasia (PIN)-like carcinoma and 46% of foamy gland carcinoma [22,23]. Cancer registries in the United States recorded 0.38% to 3.3% of prostate cancers as unusual histologies or subtypes of acinar adenocarcinoma [24,25].
Table 1.
2022 World Health Organization classification of carcinomas of the prostate gland.
3. Modified Gleason Grading
3.1. Grade Group
The Gleason grading system has been applied for prostate cancer prognostication for more than half a century [17,26,27]. While the original Gleason grading approach of combining two grades or GPs to derive a Gleason score (GS) has remained, the current application of Gleason grading has evolved. The differences are in grading rules, pattern compositions, and, most importantly, their prognostic associations. Changes made over time were codified at the 2004, 2014, and 2019 ISUP consensus conferences and in the 2019 GUPS white paper [11,12,13,14,28]. Although there are a few discrepancies, the 2019 ISUP and 2019 GUPS recommendations on grading of prostate cancer are largely in agreement [29,30].
A major departure from the traditional Gleason grading is the introduction of the Grade group (GG), also referred to as the WHO/ISUP grade, ISUP grade, or ISUP GG. Moreover, 13 GG is a compression of GSs into five clinically meaningful prognostic groups, namely GG 1 to GG 5. The GG is a culmination of a series of events that led to continued grading refinements and evolving clinical practices, especially with the rapid expansion of the AS program for lower-risk prostate cancer patients. First, there is a gradual disappearance of GP 1 and GP 2 in routine pathology practice. Most experts now recognize that the originally described GP 1 and GP 2 in the pre-immunohistochemistry era were benign adenosis (atypical adenomatous hyperplasia) [31]. Second, over the years there has been a gradual narrowing of GP 3 with a shift of adverse architectural patterns toward GP 4 (Figure 1). The grade migration resulted in the contemporary GS 6 cancers being vastly localized tumors, and if resected, they have minimal to no incidence of metastasis or death [18,19,20,21,32]. Third, contemporary GS 7 cancers are much more heterogeneous, with a differing behavior between GS 3 + 4 and GS 4 + 3 cancers [33]. There also has been an inflation of GS 7 because of grade migration, additionally enhanced in RP as many GS 6 patients stayed on AS, further supporting the division of the large GS 7 group into two prognostic categories [34]. Fourth, studies identified the optimal groupings of the different GSs to include splitting of GS 7 and lumping of GS 9 and 10. Pierorazio et al. [35] showed biochemical recurrence (BCR)-free survival (BCRFS) rates in GS 6, GS 3 + 4, GS 4 + 3, GS 8, and GS 9–10 cancers of 94.6%, 82.7%, 65.1%, 63.1%, and 34.5%, respectively, and this study became the basis for the GGs.
Figure 1.
Evolution of Gleason patterns. One major change is the upgrading of adverse patterns from Gleason pattern 3 to Gleason pattern 4 (red box). Original Gleason image [17] published with permission from Elsevier. ISUP 2005 Gleason image [26] and ISUP 2014 Gleason image [13] published with permission from Wolters Kluwer Health, Inc. ISUP represents International Society of Urological Pathology.
The 5-tiered prognostic group consists of GGs 1 (GS 6), 2 (GS 3 + 4), 3 (GS 4 + 3), 4 (GS 8), and 5 (GS 9–10) (Table 2) [13]. The advantage of GG reclassification is that GG 1 is now the baseline lowest grade in the spectrum instead of GS 6, which may facilitate AS counseling of patients who may falsely perceive their low-risk tumor as an intermediate risk because it is in the middle of a GS 2 to 10 scale. Several studies have validated the use of GG, including in patients treated with surgery and radiotherapy [36,37,38,39,40,41]. The current recommended practice is to routinely report GG alongside GS. Although GG 4 appears to be heterogeneous with GSs 4 + 4, 3 + 5, and 5 + 3, data so far show no difference in prognosis in these GSs, supporting their grouping into a single prognostic group [42].
Table 2.
Histological definition of Grade group [13].
3.2. Contemporary Gleason Patterns
The Gleason grading is based almost purely on histological architectures with the additional element of tumor necrosis for some of GP 5 architectures [11,12,13,15]. The pattern composition of the current GPs is different from the original GPs, with the most significant change being in GP 3 (Table 3).
Table 3.
Contemporary architectures of Gleason patterns 3, 4, and 5.
GP 3 is now composed of individual discrete well-formed glands (Figure 2).
Figure 2.
Gleason pattern 3 with (A) round, (B) small (microacinar), (C) elongated, and (D) large or branching glands.
The basic architectures of contemporary GP 4 include cribriform, glomeruloid, fused, and poorly formed glands (Figure 3) [11,12,13,15].
Figure 3.
Gleason pattern 4 with (A) cribriform, (B) poorly formed, (C) fused, and (D) glomeruloid glands.
A ductal pattern without necrosis is also considered GP 4. Among GP 4 architectures, the cribriform pattern is associated with worse outcomes, and its presence is now recommended to be reported in GS 7 and 8 prostate cancers [11,12,43,44,45,46,47,48]. Because of the importance of consistency in diagnosis, there have been recent attempts to formally define cribriform pattern (Table 4) [49,50].
Table 4.
Proposed definitions for cribriform glands. ISUP represents International Society of Urological Pathology.
Using the ISUP criteria, an interobserver study among nine prostate pathology experts showed 90% consensus (2/3 agreement) reached in diagnosing cribriform carcinoma [51]. Because of the association of cribriform to worse outcomes, some authors suggest designating cribriform as a separate prognostic group [48]. GP 5 is the least differentiated pattern, characterized by consolidation, dispersal, or necrosis of tumor cells (Figure 4) [11,12,13,15]. Outside of the architectural patterns (GPs), there are studies suggesting that grading can be further improved by the addition of other histological features such as reactive stroma (stromogenic cancer) and nuclear features [52,53,54].

Figure 4.
Gleason pattern 5 with (A) single infiltrative cells, (B) cylinders, (C) solid, (D) solid with pseudorosettes, (E) comedonecrosis, and (F) cribriform glands with necrosis patterns.
Figure 4.
Gleason pattern 5 with (A) single infiltrative cells, (B) cylinders, (C) solid, (D) solid with pseudorosettes, (E) comedonecrosis, and (F) cribriform glands with necrosis patterns.


3.3. Modern Gleason Grading Rules
The original concept devised by Dr. Donald F. Gleason in the 1960s of grouping several architectures into GPs and then combining GPs for a GS (sum of two addends referred to as primary GP and secondary GP) has remained [17,26,27]. However, additional modifications or exceptions to these rules were made in the last two decades [11,12,13,28]. The series of modifications in grading through the years had shifted and enhanced the prognostic ability of the contemporary GS. Grading rules between needle biopsy and RP have variations as well (Table 5). Van der Slot et al. [55] showed that interobserver agreement for GS is substantial (Krippendorff’s α 0.626). Studies suggest that GS 7 with minimal (<5%) GP 4 in biopsy has similar pathologic parameters in RP and outcome compared to GS 6 tumors [56,57].
Table 5.
Current Gleason score rules in biopsy and RP specimens. RP represents radical prostatectomy and ISUP represents International Society of Urological Pathology.
4. Reporting of Grades
4.1. Reporting Grade in Biopsy
At the specimen level (or per site), systematic biopsy reporting and individual grades for every cancer-positive specimen should be rendered [58,59,60,61]. At the case level (or aggregate sites) of systematic biopsy reporting, there are different approaches for reporting the grade of a biopsy set with multiple positive specimens, including by highest grade and global grade, with the highest grade more commonly used by clinicians for decision-making (Table 6) [62,63,64].
Table 6.
Approaches in reporting grades at the case level for biopsies with prostate cancer.
Tolonen et al. [65] compared the worst GS and overall GS and showed that both are strong predictors of BCR, and no significant prognostic difference was shown between these two grades. Arias-Stella et al. [66] introduced the composite grade to correlate the grade in biopsies to the presumed dominant nodule and showed a better overall correlation with RP GS (Figure 5).

Figure 5.
(A) Example of a biopsy set with different highest (Gleason Score (GS) 4), global (GS 3 + 4), and composite (GS 4 + 3) grades. (B) Corresponding radical prostatectomy shows index (GS 4 + 3) and non-index (GS 3 + 3) tumors.
A global grade should be reported for every magnetic resonance imaging (MRI)-targeted lesion [11,12]. Deng et al. [67] compared global grade, highest grade, and largest volume grade in MRI-targeted biopsies and showed that global, highest, and largest volume grades had substantial agreement with RP-targeted lesion grade. However, targeted lesion global grade yields slightly better agreement than either targeted highest or largest volume grade. The risk of undergrading when using only MRI-targeted biopsy without systematic biopsy should also be underscored [68]. The volume of biopsy with tumor area has also been shown to influence correlation with RP grade, including with variant histologies [69,70].
4.2. Reporting Grade in Radical Prostatectomy
Prostate cancer is commonly multifocal, and in this situation, grade can be derived based on the largest tumor, highest stage tumor, highest grade tumor, and global (overall) grade (Table 7). If GSs of the largest, highest-stage, and highest-grade lesions are not identical, it is recommended that the different grades should be reported separately (Figure 6) [11]. Studies showed that in RP with multifocal tumors and grade heterogeneity, grade is best determined by the highest grade instead of the grade of the largest lesion or by global grade [71,72]. The problem of using global grade is it introduces spurious lowering of the grade by non-index tumors with GP 3 in the prostate; many of these secondary lesions are clinically insignificant.
Table 7.
Approaches in reporting grades in radical prostatectomy with multifocal tumors.
Figure 6.
Examples of multifocal radical prostatectomy with grades are different between the (A) larger and smaller higher-grade tumors and (B) larger and smaller higher-stage tumors. In these examples, the smaller tumors are considered the index tumor. EPE represents extraprostatic extension.
5. Prognostic Impact of Gleason Patterns
5.1. Cribriform Pattern
Cribriform gland is associated with a greater risk for adverse pathology at RP, worse BCR, metastasis, and prostate cancer-specific mortality (CSM) [43,44,45,46,48]. In biopsy, cribriform architecture is independently associated with worse disease-specific survival (DSS) [19]. Studies by Kweldam et al. [73,74,75] in prostate biopsies showed that cribriform architecture (invasive cribriform and/or intraductal carcinoma [IDC]) in GS 3 + 4 tumors was an independent predictor of BCR [73], and that GS 3 + 4 without cribriform glands did not have a statistically different DSS than GS 6 cancers [74], and similarly that GS 7 cancers without cribriform glands did not have a statistically different BCRFS after RP compared to GS 6 tumors [75]. Thus, patients with prostate cancer showing cribriform glands in needle biopsy should be considered suboptimal for AS. The presence of cribriform glands in GS 7 and GS 8 prostate cancers should be reported in biopsy and RP [11,12]. Several studies have explored the effect of the size of cribriform glands in stratifying outcome [76,77,78]. Chan et al. [76] identified 0.25 mm as the optimal cut-off to identify aggressive disease. Using a simpler definition for large cribriform, i.e., at least twice the size of adjacent benign glands for large cribriform gland, Hollemans et al. [78] showed that large cribriform glands in GS 3 + 4 cancer in RP were an independent predictor of BCRFS.
5.2. Other Gleason Patterns
Glomeruloid glands, including those with complex architecture, appear to be associated with better outcomes when compared to cribriform glands and other GP 4 architectures in GS 7 tumors. In the study by Choy et al. [46] of GS 7 cancers in RP, glomeruloid gland was associated with better survival when compared to GS 7 cancers without this architecture. Hollemans et al. [79] divided glomeruloid glands into simple and complex architectural growths and showed that, in contrast to cribriform, simple or complex glomeruloid glands were not independent predictors of BCRFS in GS 3 + 4 tumors [79]. Data suggest that among GP 4 architectures in GS 7 tumors, fused and poorly formed glands appear to be intermediate between cribriform glands associated with worse outcomes and glomeruloid glands associated with favorable outcomes [46,80]. Among GP 5 architectures, comedonecrosis pattern is suggested to be able to substratify the poor outcome of high-grade prostate cancer [81,82,83]. Data are limited on the prognostic effects of other GP 5 architectures individually in high-grade prostate cancer.
6. Quantitative Grading
Studies have shown a strong correlation between the increasing percentage of GP 4 (% GP 4) and prostate cancer aggressiveness. Incremental increase in % GP 4 in GS 7 cancers in biopsy independently predicts adverse pathology in RP and BCR [84]. Quantifying % GP 4 in biopsy can identify various intermediate risk groups with the corresponding RP grade [85]. Reporting % GP 4 is recommended in GS 7 cancers in biopsy [11,12]. An advantage of reporting % GP4 is that it further substratifies GS 3 + 4 tumors, as the prognosis of small % GP4 and high % GP 4 will be different. Information on % GP 4 is important in selecting patients for AS, especially in favorable intermediate-risk patients being considered for AS. Sadimin et al. [86] showed that reproducibility in assessing % GP 4 in biopsy had substantial agreement if there was a significant amount of cancer (>10%) in a biopsy core. If the tumor focus in a core was small (<10%), agreement in % GP 4 was only moderate. Several studies suggest that a minimal (<5%) amount of GP 4 has no prognostic impact on GS 3 + 4 tumors compared to GS 6 tumors [56,57,87,88]. If other factors are acceptable, patients with GS 3 + 4 cancers and a small % GP 4 in biopsy can be considered for AS.
There are other methods to report the absolute extent of GP 4 in biopsy (Table 8).
Table 8.
Different approaches in recording the extent of Gleason pattern (GP) 4 in biopsy.
Length in millimeters (mm) of GP 4 in GS 3 + 4 tumors in biopsies may have better predictive ability for adverse pathology in RP and BCR than % GP 4 [89,90]. Dean et al. [89] applied 3 different quantitation methods for GP 4 in biopsies with GS 3 + 4 tumors and showed that maximum % GP 4 in any single core, overall % GP 4 (GP 4 mm/total cancer mm), and total length in mm of GP 4 across all cores were all significantly associated with increased risk of adverse pathology in RP.
The incremental increase in % GP4 in RP also corresponds to an increasing risk of BCR; however, its additive clinical value beyond common clinicopathologic factors needs to be confirmed [46,85,91]. Sauter et al. [85] demonstrated a continuous increase in risk for BCR with increasing % GP 4 fractions and with small differences in outcome at clinically important thresholds (0% vs. 5% or 40% vs. 60% GP 4). Choy et al. [46] divided % GP 4 into 1–20%, 21–50%, 51–70%, and >70% and showed a 5-year BCRFS of 84%, 74%, 66%, and 32%, respectively. Other studies used different metrics for the amount of GP 4 in RP [92,93,94]. Andolfi et al. [94] reported that for each 1 cm3 of GP 4 in RP, there was an associated 6- to 8-fold higher serum PSA level in comparison to GP 3.
The importance of % GP 4/5 to predict BCR and survival has long been recognized [95]; that led to acceptance of reporting tertiary GP 5 in GS 7 tumors. The study by Berney et al. [56] in needle biopsies of localized prostate cancer showed that the worst % GP 4/5 (% GP 4/5 in worst positive core) and overall % GP 4/5 (global % GP 4/5) were both significant predictors of prostate cancer death and suggested that either approach can be used.
7. Intraductal Carcinoma
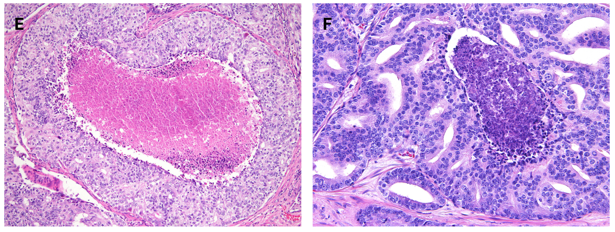
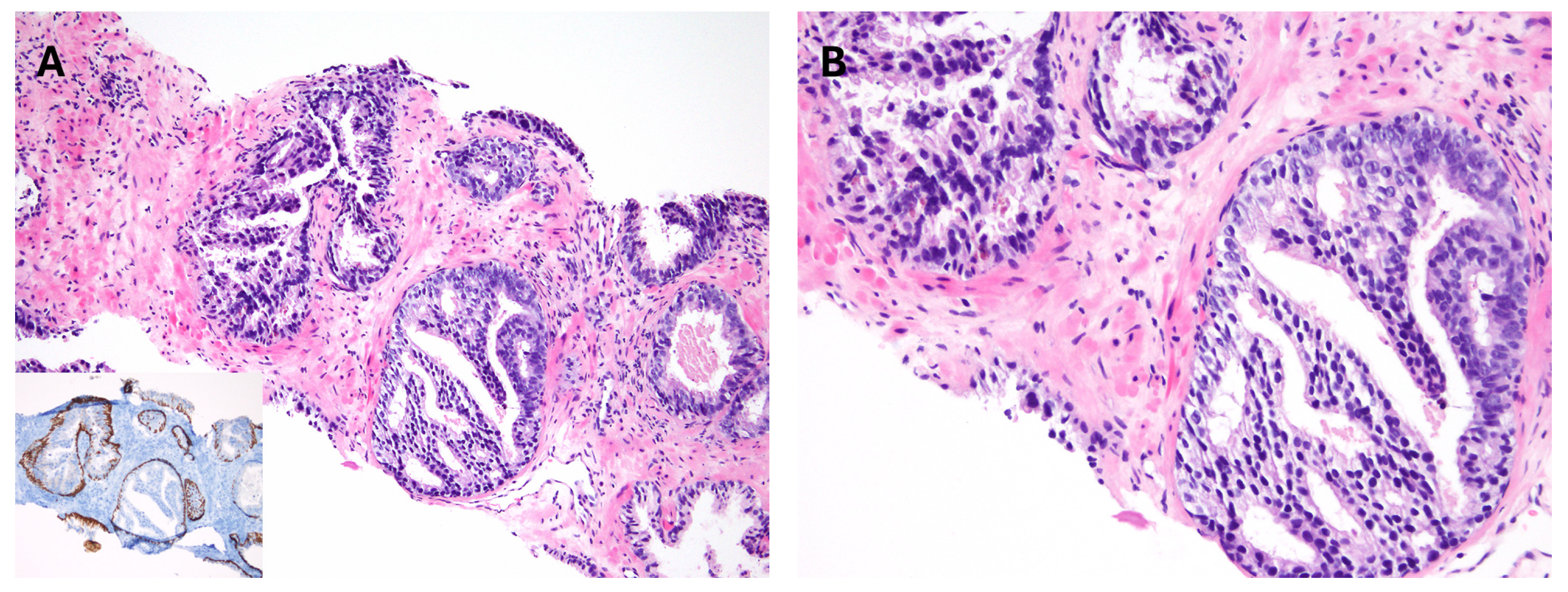
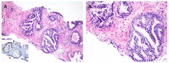
IDC is significantly associated with adverse outcomes for prostate cancer in needle biopsy and RP (Figure 7) [44,96,97,98,99,100,101]. The meta-analysis by Miura et al. [96] showed that IDC in localized prostate cancer was associated with lower BCRFS and cancer-specific survival (CSS). In biopsy, the presence of IDC had been associated with high-grade and high-stage cancer in RP, distant metastasis at presentation, poorer CSS, and overall survival (OS) [98,100]. Thus, IDC in biopsy with GS 3 + 4 prostate cancer should be considered suboptimal for AS. Several criteria have been proposed for the diagnosis of IDC [96,99,100,102], but the most applied definition is that by Guo and Epstein [100]. Using the different definitions, IDC is significantly associated with lower BCRFS, CSS, and OS by Guo and Epstein [100] (pooled HR 1.86 for BCRFS; pooled HR 2.6 for CSS; pooled HR 1.61 for OS), McNeal and Yemoto [102] (pooled HR 2.58 for OS), Cohen et al. [99] (pooled HR 1.86 for BCRFS), 2016 WHO [103] (pooled HR 5.78 for CSS), and a combination of these published criteria (pooled HR 2.5 for BCRFS) [96].
Figure 7.
(A) Intraductal carcinoma in biopsy with (B) basal cell marker expression. (C) Intraductal carcinoma with basal cells discernible in H&E (arrow). (D) Non-cribriform Intraductal carcinoma with markedly pleomorphic nucleoli.
The majority of IDC is considered an intraductal spread of cancer at the later phase of prostate carcinogenesis. Loss of PTEN expression, which is strongly associated with advanced prostate cancer, is present in 84% of IDC, further supporting its advanced state [104]. There is also a strong association of comedonecrosis (traditionally a GP 5 pattern) with IDC [105]. Some authors suggest that IDC can also be a “precursor-like” lesion, especially those that occur in isolation or are associated with adjoining microcarcinoma [106]. Rarely, IDC occurs without a concomitant invasive carcinoma in biopsy [107]. Even if IDC is identified in isolation in biopsy, it is suggested that therapy similar to that used in non-low-risk invasive carcinoma should be considered. A repeat biopsy, with MRI to detect a lesion, is a prudent approach since most cases of IDC are associated with high-grade cancers that likely will be sampled in the follow-up biopsy. There are extremely rare examples of IDC in a fully examined prostate purely confined within the ducts and without a concomitant invasive adenocarcinoma [108,109]. There are also uncommon cases of IDC with concomitant few GS 6 glands [110].
There is divergence in the recommendations for grading of IDC. Both ISUP and GUPS recommend that isolated IDC should not be graded, and its presence should be reported [11,12]. However, there is discordance when IDC occurs with concomitant invasive carcinoma. ISUP recommends that IDC should be incorporated into grades, whereas GUPS recommends that IDC should not be incorporated into grades [11,12]. However, Rijstenberg et al. [111] showed that disparity in grading approaches by ISUP and GUPS only had minimal impact, with grade change affecting only 1.6% of prostate biopsy and 0.6% of RP specimens. This issue will be addressed in a joint GUPS and ISUP expert consultation in March 2025. Because of the challenge in separating IDC and invasive cribriform gland and their shared clinical significance, several studies and reporting checklists have merged these two adverse tumor growths into “IDC and/or cribriform” or as high-grade cribriform patterns [58,62,112,113]. This may be beneficial in parts of the world where the availability of immunohistochemical stains is limited.
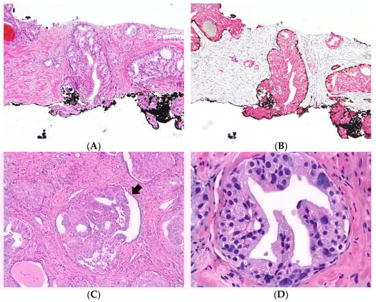
8. Atypical Intraductal Proliferation
Atypical intraductal proliferation (AIP) shows architectural complexity and/or cytological atypia greater than that seen in high-grade prostatic intraepithelial neoplasia (HGPIN) but falling short of the morphologic criteria for IDC (Figure 8) [114]. Lesions that were formerly referred to as “cribriform HGPIN” are now classified as AIP [12,115,116]. AIP in biopsy is potentially a marker of undersampled cancer, including IDC, and of adverse pathological features in RP [114,117,118,119]. Several studies demonstrated overlap in ERG expression and loss of PTEN staining between AIP and IDC, showing that AIP and IDC can be part of a morphological spectrum and can be seen in transition [117,118,120]. Presence of AIP in biopsy, whether with low-risk prostate cancer or in isolation, should warrant repeat biopsy, including MRI targeting, to search for higher-grade cancer, including IDC.
Figure 8.
(A,B) Atypical intraductal proliferation in biopsy confirmed by presence of basal cell marker expression (inset).
9. Treatment-Related Effects
Radiation therapy (RT), such as external beam delivery or brachytherapy seed implant, is one of the management options for localized prostate cancer. RT can cause alterations in cancer morphology that vary from minimal to marked changes [121,122,123]. Carcinoma with RT effects should not be graded (Figure 9). Treatment effects may also be minimal or absent in cancer after RT. Especially in the setting of rising levels of PSA, this may represent a recurrence or new onset (de novo) cancer after RT. GS can be rendered to cancer with absent or minimal treatment effects in a post-RT biopsy setting. Ablative treatments such as high-intensity focused ultrasound (HIFU) and cryotherapy are increasingly used as focal therapies for localized prostate cancer [121,122,123,124,125,126]. In HIFU and cryotherapy, residual cancer will not show significant morphologic changes, and thus, a grade can be rendered. Androgen deprivation therapy (ADT) is usually given with RT in localized prostate cancer, and treatment effects overlap with the histological findings after RT [1,2,121,122,123]. Similar to RT, prostate cancer with profound hormonal treatment effects should not be graded.
Figure 9.
(A) Adenocarcinoma with radiation treatment effects. (B) Residual cancer adjacent to the high-intensity focused ultrasound-treated area.
10. Tumor Volume or Extent
10.1. Tumor Volume in Biopsy
Tumor quantitation in biopsy has been traditionally performed by reporting the number of positive core(s) and percentage of core involvement by tumor. Inclusion of the number of positive cores enhances the predictive accuracy of preoperative nomograms. Further, the overall percentage or the greatest percentage in the most involved core are independent predictors of BCR and clinical outcomes regardless of treatment, with the percentage deemed superior to counting the number of positive cores [127]. There are several ways of measuring tumor extent in a biopsy set; however, the optimal method remains unclear [128,129,130]. Several studies assessed the significance of tumor volume in biopsy of the AS cohort [131,132,133,134]. Reporting of tumor volume or extent in biopsy should remain integral for monitoring of patients on AS.
Tumor involvement in a biopsy core can be continuous or discontinuous with intervening benign tissue segments. Discontinuous tumors can be measured either by collapsing the multiple tumor foci or by measuring the entire length of tumor foci together with the interfocal benign segments from one end to the other end (end-to-end) (Figure 10). Studies showed that measuring discontinuous tumor end to end is superior to aggregating the tumor segments and skipping the benign parts. End-to-end measurement correlates better with tumor extent in RP, organ-confined disease, predominant GS 7 in cores, and risk of margin positivity [135,136,137]. Discontinuous tumors in prostate biopsy corresponded to a single tumor nodule on the corresponding region in RP in 78% of cases [135].
Figure 10.
Biopsy with discontinuous foci of cancer. Discontinuous cancer can be measured as 100% involvement or as 25% (10 + 15%) involvement of the core.
10.2. Tumor Volume in Radical Prostatectomy
Data are conflicting on the significance of tumor volume in RP in predicting outcome [138,139,140,141,142,143,144,145,146,147,148]. Some studies, including more contemporary investigations, showed that tumor volume, including the size of the index tumor, is an independent predictor of BCR, metastasis, or CSM [138,139,140,141,142,143]. However, other studies failed to show the prognostic significance of tumor volume once other factors were considered [145,146,147,148]. Several methods have been described for measuring tumor volume in RP, which include non-practical and simple approaches [144]. It is recommended that at the minimum, some form of quantitative measurement for tumor volume in RP should be undertaken without prescribing a specific method [144].
11. Perineural Invasion
Perineural invasion (PNI) is reported in 10–34% of biopsies of clinically localized prostate cancer [149,150,151]. Data are conflicting on PNI in biopsies as an independent prognosticator, although more recent studies tend to support its importance [149,150,151,152,153]. A systematic review and meta-analysis by Wu et al. [154] concluded that biopsy PNI is correlated with adverse pathology in RP and worse BCR prognosis after RP. The incidence of PNI at baseline biopsy of patients undergoing AS is low at 2.2% to 7.4% [155,156,157,158]. Several studies have investigated the role of PNI in stratifying prostate cancer risk at initiation and during AS with promising results [156,157]. Moreira et al. [156] reviewed 302 men on AS for low-risk prostate cancer and showed that PNI in baseline biopsy was associated with increased risk of clinical progression. Interestingly, Baraban et al. [159] studied AS patients who were reclassified to GS 3 + 4 and underwent RP and found out that low PSA and absence of PNI had the lowest risk of adverse pathology in RP, comparable to GS 6 patients who were not reclassified to GS 3 + 4 preoperatively. Thus, there is a potential role in biopsy PNI in stratifying risk and monitoring patients under AS, including patients reclassified to intermediate risk (GS 3 + 4). In RP, studies on RP are conflicting, although more studies are against PNI as an independent predictor of BCR [160,161,162].
12. Lymphovascular Invasion
Lymphovascular invasion (LVI) is reported in 8% of RP regardless of stage [163]. Studies have shown LVI in RP to be an independent predictor of worse outcome [164]. In a systematic review and meta-analysis by Jiang et al. [165], LVI was associated with higher BCR in multivariate analysis and closely correlated with EPE, GS > 7, lymph node invasion (LNI), higher pathological stage (>T3), positive surgical margin (PSM), and seminal vesicle invasion (SVI). However, in localized prostate cancer (pT2), LVI in RP has been inconsistent as an independent predictor. When only pT2 tumors were assessed, some studies did not show LVI as an independent predictor of BCR or OS [163,166,167]. LVI is a rare finding in needle biopsies, with no data available on its significance.
13. Margin Status in Radical Prostatectomy
PSM at RP is associated with poorer BCRFS, CSS, OS, CSM, and overall mortality (OM) [168,169,170]. Zhang et al. [168] showed that whether patients had pT2 (organ-confined) or pT3 pathologic stage, PSM was associated with higher CSM, with CSM higher in pT3 than pT2 disease. The length of PSM is independently prognostic of prostate cancer outcome after RP [171,172,173]. PSM length of >3 mm was shown as an independent predictor of clinical failure in localized prostate cancer after RP [172,173]. Higher GS at PSM is also associated with increased risk for BCR, progression, or death from prostate cancer [174,175,176]. In a systematic review and meta-analysis by John et al. [175], GS > 6 at PSM was predictive of BCR compared to GS 6, with an increasing hazard ratio for GS 3 + 4 (HR 2.35), GS 4 + 3 (HR 3.95), GS 8 (HR 7.17), and GS 9–10 (HR 12.37). Thus, it is recommended that both the length and tumor GS at PSM are to be reported.
14. Conclusions
Traditional pathological factors remain essential in risk stratification of localized prostate cancer, and additional novel pathological elements and approaches offer promise in further enhancing the prognostication and management of these tumors. It is important for pathologists to be precise in deriving and in reporting these pathological factors in biopsy and RP specimens. While some new pathological factors remain in flux and subject to refinements, clinicians should be fully aware of those factors that are clinically impactful, and particularly those that have already made their way into management recommendations.
Author Contributions
Conceptualization: G.P.P. and M.B.A. Data curation: G.P.P. Writing—original draft preparation: G.P.P. and M.B.A. Writing—review and editing: G.P.P., E.M.C., S.W.F., J.G.K., G.K., R.B.S., S.C.S., J.R.S., G.J.L.H.v.L., M.V., M.Z. and M.B.A. Supervision: G.P.P. and M.B.A. All authors have read and agreed to the published version of the manuscript.
Funding
This research received no external funding.
Institutional Review Board Statement
Not applicable.
Informed Consent Statement
Not applicable.
Conflicts of Interest
The authors declare no conflicts of interest.
References
- Mottet, N.; van den Bergh, R.C.N.; Briers, E.; Van den Broeck, T.; Cumberbatch, M.G.; De Santis, M.; Fanti, S.; Fossati, N.; Gandaglia, G.; Gillessen, S.; et al. EAU-EANM-ESTRO-ESUR-SIOG Guidelines on Prostate Cancer-2020 Update. Part 1: Screening, Diagnosis, and Local Treatment with Curative Intent. Eur. Urol. 2021, 79, 243–262. [Google Scholar] [CrossRef]
- Eastham, J.A.; Auffenberg, G.B.; Barocas, D.A.; Chou, R.; Crispino, T.; Davis, J.W.; Eggener, S.; Horwitz, E.M.; Kane, C.J.; Kirkby, E.; et al. Clinically Localized Prostate Cancer: AUA/ASTRO Guideline, Part I: Introduction, Risk Assessment, Staging, and Risk-Based Management. J. Urol. 2022, 208, 10–18. [Google Scholar] [CrossRef] [PubMed]
- NCCN Clinical Practice Guidelines in Oncology (NCCN Guidelines®) Prostate Cancer. Available online: https://www.nccn.org (accessed on 31 January 2025).
- Epstein, J.I.; Walsh, P.C.; Carmichael, M.; Brendler, C.B. Pathologic and clinical findings to predict tumor extent of nonpalpable (stage T1c) prostate cancer. JAMA 1994, 271, 368–374. [Google Scholar] [CrossRef] [PubMed]
- Campbell, J.M.; Raymond, E.; O’Callaghan, M.E.; Vincent, A.D.; Beckmann, K.R.; Order, D.; Evans, S.; McNeil, J.; Millar, J.; Zalcberg, J.; et al. Optimum Tools for Predicting Clinical Outcomes in Prostate Cancer Patients Undergoing Radical Prostatectomy: A Systematic Review of Prognostic Accuracy and Validity. Clin. Genitourin. Cancer 2017, 15, e827–e834. [Google Scholar] [CrossRef]
- Willemse, P.M.; Davis, N.F.; Grivas, N.; Zattoni, F.; Lardas, M.; Briers, E.; Cumberbatch, M.G.; De Santis, M.; Dell’Oglio, P.; Donaldson, J.F.; et al. Systematic Review of Active Surveillance for Clinically Localised Prostate Cancer to Develop Recommendations Regarding Inclusion of Intermediate-risk Disease, Biopsy Characteristics at Inclusion and Monitoring, and Surveillance Repeat Biopsy Strategy. Eur. Urol. 2022, 81, 337–346. [Google Scholar] [CrossRef]
- Eastham, J.A.; Auffenberg, G.B.; Barocas, D.A.; Chou, R.; Crispino, T.; Davis, J.W.; Eggener, S.; Horwitz, E.M.; Kane, C.J.; Kirkby, E.; et al. Clinically Localized Prostate Cancer: AUA/ASTRO Guideline, Part II: Principles of Active Surveillance, Principles of Surgery, and Follow-Up. J. Urol. 2022, 208, 19–25. [Google Scholar] [CrossRef]
- Cooperberg, M.R.; Hilton, J.F.; Carroll, P.R. The CAPRA-S score: A straightforward tool for improved prediction of outcomes after radical prostatectomy. Cancer 2011, 117, 5039–5046. [Google Scholar] [CrossRef]
- Stephenson, A.J.; Scardino, P.T.; Eastham, J.A.; Bianco, F.J., Jr.; Dotan, Z.A.; DiBlasio, C.J.; Reuther, A.; Klein, E.A.; Kattan, M.W. Postoperative nomogram predicting the 10-year probability of prostate cancer recurrence after radical prostatectomy. J. Clin. Oncol. 2005, 23, 7005–7012. [Google Scholar] [CrossRef]
- Lughezzani, G.; Briganti, A.; Karakiewicz, P.I.; Kattan, M.W.; Montorsi, F.; Shariat, S.F.; Vickers, A.J. Predictive and prognostic models in radical prostatectomy candidates: A critical analysis of the literature. Eur. Urol. 2010, 58, 687–700. [Google Scholar] [CrossRef]
- van Leenders, G.; van der Kwast, T.H.; Grignon, D.J.; Evans, A.J.; Kristiansen, G.; Kweldam, C.F.; Litjens, G.; McKenney, J.K.; Melamed, J.; Mottet, N.; et al. The 2019 International Society of Urological Pathology (ISUP) Consensus Conference on Grading of Prostatic Carcinoma. Am. J. Surg. Pathol. 2020, 44, e87–e99. [Google Scholar] [CrossRef]
- Epstein, J.I.; Amin, M.B.; Fine, S.W.; Algaba, F.; Aron, M.; Baydar, D.E.; Beltran, A.L.; Brimo, F.; Cheville, J.C.; Colecchia, M.; et al. The 2019 Genitourinary Pathology Society (GUPS) White Paper on Contemporary Grading of Prostate Cancer. Arch. Pathol. Lab. Med. 2021, 145, 461–493. [Google Scholar] [CrossRef] [PubMed]
- Epstein, J.I.; Egevad, L.; Amin, M.B.; Delahunt, B.; Srigley, J.R.; Humphrey, P.A.; Grading Committee. The 2014 International Society of Urological Pathology (ISUP) Consensus Conference on Gleason Grading of Prostatic Carcinoma: Definition of Grading Patterns and Proposal for a New Grading System. Am. J. Surg. Pathol. 2016, 40, 244–252. [Google Scholar] [CrossRef] [PubMed]
- Epstein, J.I.; Amin, M.B.; Reuter, V.E.; Humphrey, P.A. Contemporary Gleason Grading of Prostatic Carcinoma: An Update with Discussion on Practical Issues to Implement the 2014 International Society of Urological Pathology (ISUP) Consensus Conference on Gleason Grading of Prostatic Carcinoma. Am. J. Surg. Pathol. 2017, 41, e1–e7. [Google Scholar] [CrossRef] [PubMed]
- WHO Classification of Tumours Editorial Board. WHO Classification of Tumours. In Urinary and Male Genital Tumours, 5th ed.; WHO Press: Geneva, Switzerland, 2022. [Google Scholar]
- Paner, G.P.; Gandhi, J.; Choy, B.; Amin, M.B. Essential Updates in Grading, Morphotyping, Reporting, and Staging of Prostate Carcinoma for General Surgical Pathologists. Arch. Pathol. Lab. Med. 2019, 143, 550–564. [Google Scholar] [CrossRef]
- Gleason, D.F. Histologic grading of prostate cancer: A perspective. Hum. Pathol. 1992, 23, 273–279. [Google Scholar] [CrossRef]
- Ross, H.M.; Kryvenko, O.N.; Cowan, J.E.; Simko, J.P.; Wheeler, T.M.; Epstein, J.I. Do adenocarcinomas of the prostate with Gleason score (GS) ≤6 have the potential to metastasize to lymph nodes? Am. J. Surg. Pathol. 2012, 36, 1346–1352. [Google Scholar] [CrossRef]
- Kweldam, C.F.; Wildhagen, M.F.; Bangma, C.H.; van Leenders, G.J. Disease-specific death and metastasis do not occur in patients with Gleason score ≤6 at radical prostatectomy. BJU Int. 2015, 116, 230–235. [Google Scholar] [CrossRef]
- Anderson, B.B.; Oberlin, D.T.; Razmaria, A.A.; Choy, B.; Zagaja, G.P.; Shalhav, A.L.; Meeks, J.J.; Yang, X.J.; Paner, G.P.; Eggener, S.E. Extraprostatic Extension Is Extremely Rare for Contemporary Gleason Score 6 Prostate Cancer. Eur. Urol. 2017, 72, 455–460. [Google Scholar] [CrossRef]
- Hassan, O.; Han, M.; Zhou, A.; Paulk, A.; Sun, Y.; Al-Harbi, A.; Alrajjal, A.; Baptista Dos Santos, F.; Epstein, J.I. Incidence of Extraprostatic Extension at Radical Prostatectomy with Pure Gleason Score 3 + 3 = 6 (Grade Group 1) Cancer: Implications for Whether Gleason Score 6 Prostate Cancer Should be Renamed “Not Cancer” and for Selection Criteria for Active Surveillance. J. Urol. 2018, 199, 1482–1487. [Google Scholar] [CrossRef]
- Paulk, A.; Giannico, G.; Epstein, J.I. PIN-like (Ductal) Adenocarcinoma of the Prostate. Am. J. Surg. Pathol. 2018, 42, 1693–1700. [Google Scholar] [CrossRef]
- Hudson, J.; Cao, D.; Vollmer, R.; Kibel, A.S.; Grewal, S.; Humphrey, P.A. Foamy gland adenocarcinoma of the prostate: Incidence, Gleason grade, and early clinical outcome. Hum. Pathol. 2012, 43, 974–979. [Google Scholar] [CrossRef] [PubMed]
- Bronkema, C.; Arora, S.; Sood, A.; Dalela, D.; Keeley, J.; Borchert, A.; Baumgarten, L.; Rogers, C.G.; Peabody, J.O.; Menon, M.; et al. Rare Histological Variants of Prostate Adenocarcinoma: A National Cancer Database Analysis. J. Urol. 2020, 204, 260–266. [Google Scholar] [CrossRef] [PubMed]
- Zhou, J.; Ding, J.; Qi, J. Comparison of Typical Prostate Adenocarcinoma and Rare Histological Variant Prostate Cancer Showed Different Characteristics and Prognosis: A Surveillance, Epidemiology, and End Results Database Analysis. Eur. Urol. 2022, 82, 152–155. [Google Scholar] [CrossRef] [PubMed]
- Bailar, J.C., 3rd; Mellinger, G.T.; Gleason, D.F. Survival rates of patients with prostatic cancer, tumor stage, and differentiation--preliminary report. Cancer Chemother. Rep. 1966, 50, 129–136. [Google Scholar]
- Gleason, D.F. Classification of prostatic carcinomas. Cancer Chemother. Rep. 1966, 50, 125–128. [Google Scholar]
- Epstein, J.I.; Allsbrook, W.C.; Amin, M.B., Jr.; Egevad, L.L.; Committee, I.G. The 2005 International Society of Urological Pathology (ISUP) Consensus Conference on Gleason Grading of Prostatic Carcinoma. Am. J. Surg. Pathol. 2005, 29, 1228–1242. [Google Scholar] [CrossRef]
- Smith, S.C.; Gandhi, J.S.; Moch, H.; Aron, M.; Compérat, E.; Paner, G.P.; McKenney, J.K.; Amin, M.B. Similarities and Differences in the 2019 ISUP and GUPS Recommendations on Prostate Cancer Grading: A Guide for Practicing Pathologists. Adv. Anat. Pathol. 2021, 28, 1–7. [Google Scholar] [CrossRef]
- Varma, M.; Shah, R.B.; Williamson, S.R.; Berney, D.M. 2019 Gleason grading recommendations from ISUP and GUPS: Broadly concordant but with significant differences. Virchows Arch. 2021, 478, 813–815. [Google Scholar] [CrossRef]
- Berney, D.M. Low Gleason score prostatic adenocarcinomas are no longer viable entities. Histopathology 2007, 50, 683–690. [Google Scholar] [CrossRef]
- Donin, N.M.; Laze, J.; Zhou, M.; Ren, Q.; Lepor, H. Gleason 6 prostate tumors diagnosed in the PSA era do not demonstrate the capacity for metastatic spread at the time of radical prostatectomy. Urology 2013, 82, 148–152. [Google Scholar] [CrossRef]
- Stark, J.R.; Perner, S.; Stampfer, M.J.; Sinnott, J.A.; Finn, S.; Eisenstein, A.S.; Ma, J.; Fiorentino, M.; Kurth, T.; Loda, M.; et al. Gleason score and lethal prostate cancer: Does 3 + 4 = 4 + 3? J. Clin. Oncol. 2009, 27, 3459–3464. [Google Scholar] [CrossRef] [PubMed]
- Danneman, D.; Drevin, L.; Robinson, D.; Stattin, P.; Egevad, L. Gleason inflation 1998-2011: A registry study of 97,168 men. BJU Int. 2015, 115, 248–255. [Google Scholar] [CrossRef]
- Pierorazio, P.M.; Walsh, P.C.; Partin, A.W.; Epstein, J.I. Prognostic Gleason grade grouping: Data based on the modified Gleason scoring system. BJU Int. 2013, 111, 753–760. [Google Scholar] [CrossRef] [PubMed]
- Epstein, J.I.; Zelefsky, M.J.; Sjoberg, D.D.; Nelson, J.B.; Egevad, L.; Magi-Galluzzi, C.; Vickers, A.J.; Parwani, A.V.; Reuter, V.E.; Fine, S.W.; et al. A Contemporary Prostate Cancer Grading System: A Validated Alternative to the Gleason Score. Eur. Urol. 2016, 69, 428–435. [Google Scholar] [CrossRef] [PubMed]
- He, J.; Albertsen, P.C.; Moore, D.; Rotter, D.; Demissie, K.; Lu-Yao, G. Validation of a Contemporary Five-tiered Gleason Grade Grouping Using Population-based Data. Eur. Urol. 2017, 71, 760–763. [Google Scholar] [CrossRef]
- Leapman, M.S.; Cowan, J.E.; Simko, J.; Roberge, G.; Stohr, B.A.; Carroll, P.R.; Cooperberg, M.R. Application of a Prognostic Gleason Grade Grouping System to Assess Distant Prostate Cancer Outcomes. Eur. Urol. 2017, 71, 750–759. [Google Scholar] [CrossRef]
- Loeb, S.; Folkvaljon, Y.; Robinson, D.; Lissbrant, I.F.; Egevad, L.; Stattin, P. Evaluation of the 2015 Gleason Grade Groups in a Nationwide Population-based Cohort. Eur. Urol. 2016, 69, 1135–1141. [Google Scholar] [CrossRef]
- Delahunt, B.; Egevad, L.; Srigley, J.R.; Steigler, A.; Murray, J.D.; Atkinson, C.; Matthews, J.; Duchesne, G.; Spry, N.A.; Christie, D.; et al. Validation of International Society of Urological Pathology (ISUP) grading for prostatic adenocarcinoma in thin core biopsies using TROG 03.04 ‘RADAR’ trial clinical data. Pathology 2015, 47, 520–525. [Google Scholar] [CrossRef]
- Berney, D.M.; Beltran, L.; Fisher, G.; North, B.V.; Greenberg, D.; Møller, H.; Soosay, G.; Scardino, P.; Cuzick, J. Validation of a contemporary prostate cancer grading system using prostate cancer death as outcome. Br. J. Cancer 2016, 114, 1078–1083. [Google Scholar] [CrossRef]
- Harding-Jackson, N.; Kryvenko, O.N.; Whittington, E.E.; Whittington, E.E.; Eastwood, D.C.; Tjionas, G.A.; Jorda, M.; Iczkowski, K.A. Outcome of Gleason 3 + 5 = 8 Prostate Cancer Diagnosed on Needle Biopsy: Prognostic Comparison with Gleason 4 + 4 = 8. J. Urol. 2016, 196, 1076–1081. [Google Scholar] [CrossRef]
- Russo, G.I.; Soeterik, T.; Puche-Sanz, I.; Broggi, G.; Lo Giudice, A.; De Nunzio, C.; Lombardo, R.; Marra, G.; Gandaglia, G.; European Association of Urology Young Academic Urologists. Oncological outcomes of cribriform histology pattern in prostate cancer patients: A systematic review and meta-analysis. Prostate Cancer Prostatic Dis. 2023, 26, 646–654. [Google Scholar] [CrossRef] [PubMed]
- Marra, G.; van Leenders, G.; Zattoni, F.; Kesch, C.; Rajwa, P.; Cornford, P.; van der Kwast, T.; van den Bergh, R.C.N.; Briers, E.; Van den Broeck, T.; et al. Impact of Epithelial Histological Types, Subtypes, and Growth Patterns on Oncological Outcomes for Patients with Nonmetastatic Prostate Cancer Treated with Curative Intent: A Systematic Review. Eur. Urol. 2023, 84, 65–85. [Google Scholar] [CrossRef] [PubMed]
- Kweldam, C.F.; Wildhagen, M.F.; Steyerberg, E.W.; Bangma, C.H.; van der Kwast, T.H.; van Leenders, G.J. Cribriform growth is highly predictive for postoperative metastasis and disease-specific death in Gleason score 7 prostate cancer. Mod. Pathol. 2015, 28, 457–464. [Google Scholar] [CrossRef] [PubMed]
- Choy, B.; Pearce, S.M.; Anderson, B.B.; Shalhav, A.L.; Zagaja, G.; Eggener, S.E.; Paner, G.P. Prognostic Significance of Percentage and Architectural Types of Contemporary Gleason Pattern 4 Prostate Cancer in Radical Prostatectomy. Am. J. Surg. Pathol. 2016, 40, 1400–1406. [Google Scholar] [CrossRef]
- Leung, D.; Castellani, D.; Nicoletti, R.; Dilme, R.V.; Sierra, J.M.; Serni, S.; Franzese, C.; Chiacchio, G.; Galosi, A.B.; Mazzucchelli, R.; et al. The Oncological and Functional Prognostic Value of Unconventional Histology of Prostate Cancer in Localized Disease Treated with Robotic Radical Prostatectomy: An International Multicenter 5-Year Cohort Study. Eur. Urol. Oncol. 2024, 7, 581–588. [Google Scholar] [CrossRef]
- Iczkowski, K.A.; Paner, G.P.; Van der Kwast, T. The New Realization About Cribriform Prostate Cancer. Adv. Anat. Pathol. 2018, 25, 31–37. [Google Scholar] [CrossRef]
- van der Kwast, T.H.; van Leenders, G.J.; Berney, D.M.; Delahunt, B.; Evans, A.J.; Iczkowski, K.A.; McKenney, J.K.; Ro, J.Y.; Samaratunga, H.; Srigley, J.R.; et al. ISUP Consensus Definition of Cribriform Pattern Prostate Cancer. Am. J. Surg. Pathol. 2021, 45, 1118–1126. [Google Scholar] [CrossRef]
- Shah, R.B.; Cai, Q.; Aron, M.; Berney, D.M.; Cheville, J.C.; Deng, F.M.; Epstein, J.; Fine, S.W.; Genega, E.M.; Hirsch, M.S.; et al. Diagnosis of “cribriform” prostatic adenocarcinoma: An interobserver reproducibility study among urologic pathologists with recommendations. Am. J. Cancer Res. 2021, 11, 3990–4001. [Google Scholar]
- Egevad, L.; Delahunt, B.; Iczkowski, K.A.; van der Kwast, T.; van Leenders, G.J.L.H.; Leite, K.R.M.; Pan, C.C.; Samaratunga, H.; Tsuzuki, T.; Mulliqi, N.; et al. Interobserver reproducibility of cribriform cancer in prostate needle biopsies and validation of International Society of Urological Pathology criteria. Histopathology 2023, 82, 837–845. [Google Scholar] [CrossRef]
- De Vivar, A.D.; Sayeeduddin, M.; Rowley, D.; Cubilla, A.; Miles, B.; Kadmon, D.; Ayala, G. Histologic features of stromogenic carcinoma of the prostate (carcinomas with reactive stroma grade 3). Hum. Pathol. 2017, 63, 202–211. [Google Scholar] [CrossRef]
- McKenney, J.K.; Wei, W.; Hawley, S.; Auman, H.; Newcomb, L.F.; Boyer, H.D.; Fazli, L.; Simko, J.; Hurtado-Coll, A.; Troyer, D.A.; et al. Histologic Grading of Prostatic Adenocarcinoma Can Be Further Optimized: Analysis of the Relative Prognostic Strength of Individual Architectural Patterns in 1275 Patients From the Canary Retrospective Cohort. Am. J. Surg. Pathol. 2016, 40, 1439–1456. [Google Scholar] [CrossRef]
- Venkataraman, G.; Rycyna, K.; Rabanser, A.; Heinze, G.; Baesens, B.M.; Ananthanarayanan, V.; Paner, G.P.; Barkan, G.A.; Flanigan, R.C.; Wojcik, E.M. Morphometric signature differences in nuclei of Gleason pattern 4 areas in Gleason 7 prostate cancer with differing primary grades on needle biopsy. J. Urol. 2009, 181, 88–93; discussion 93–94. [Google Scholar] [CrossRef]
- van der Slot, M.A.; Hollemans, E.; den Bakker, M.A.; Hoedemaeker, R.; Kliffen, M.; Budel, L.M.; Goemaere, N.N.T.; van Leenders, G.J.L.H. Inter-observer variability of cribriform architecture and percent Gleason pattern 4 in prostate cancer: Relation to clinical outcome. Virchows Arch. 2021, 478, 249–256. [Google Scholar] [CrossRef] [PubMed]
- Berney, D.M.; Beltran, L.; Sandu, H.; Soosay, G.; Møller, H.; Scardino, P.; Murphy, J.; Ahmad, A.; Cuzick, J.; Transatlantic Prostate Group. The percentage of high-grade prostatic adenocarcinoma in prostate biopsies significantly improves on Grade Groups in the prediction of prostate cancer death. Histopathology 2019, 75, 589–597. [Google Scholar] [CrossRef] [PubMed]
- Huang, C.C.; Kong, M.X.; Zhou, M.; Rosenkrantz, A.B.; Taneja, S.S.; Melamed, J.; Deng, F.M. Gleason score 3 + 4 = 7 prostate cancer with minimal quantity of gleason pattern 4 on needle biopsy is associated with low-risk tumor in radical prostatectomy specimen. Am. J. Surg. Pathol. 2014, 38, 1096–1101. [Google Scholar] [CrossRef] [PubMed]
- Paner, G.P.; Kench, J.; Al-Hussain, T.; Brimo, F.; Cimadamore, A.; Eggener, S.; Fine, S.W.; Kristiansen, G.; Leite, K.R.M.; Oxley, J.; et al. International Collaboration on Cancer Reporting. Prostate Core Needle Biopsy Histopathology Reporting Guide—Specimen Level Reporting. Available online: https://www.iccr-cancer.org/ (accessed on 31 January 2025).
- Paner, G.P.; Srigley, J.R.; Harik, L.R.; Amin, M.B.; Eggener, S.E.; Huang, J.; Montironi, R.; Pettus, J.R.; Giannico, G.A.; Sirintrapun, S.J.; et al. College of American Pathologists. Protocols for the Examination of Prostate Needle Biopsies from Patients with Carcinoma of the Prostate Gland: Specimen Level Reporting. Available online: https://www.cap.org/protocols-and-guidelines/cancer-reporting-tools/cancer-protocol-templates (accessed on 31 January 2025).
- Kunz, G.M., Jr.; Epstein, J.I. Should each core with prostate cancer be assigned a separate gleason score? Hum. Pathol. 2003, 34, 911–914. [Google Scholar] [CrossRef]
- Kunju, L.P.; Daignault, S.; Wei, J.T.; Shah, R.B. Multiple prostate cancer cores with different Gleason grades submitted in the same specimen container without specific site designation: Should each core be assigned an individual Gleason score? Hum. Pathol. 2009, 40, 558–564. [Google Scholar] [CrossRef]
- Paner, G.P.; Kench, J.; Al-Hussain, T.; Brimo, F.; Cimadamore, A.; Eggener, S.; Fine, S.W.; Kristiansen, G.; Leite, K.R.M.; Oxley, J.; et al. International Collaboration on Cancer. Reporting Prostate Core Needle Biopsy Histopathology Reporting Guide—Case Level Reporting. Available online: https://www.iccr-cancer.org/ (accessed on 31 January 2025).
- Paner, G.P.; Srigley, J.R.; Harik, L.R.; Amin, M.B.; Eggener, S.E.; Huang, J.; Montironi, R.; Pettus, J.R.; Giannico, G.A.; Sirintrapun, S.J.; et al. College of American Pathologists. Protocols for the Examination of Prostate Needle Biopsies from Patients with Carcinoma of the Prostate Gland: Case Level Reporting. Available online: https://www.cap.org/protocols-and-guidelines/cancer-reporting-tools/cancer-protocol-templates (accessed on 31 January 2025).
- Varma, M.; Narahari, K.; Mason, M.; Oxley, J.D.; Berney, D.M. Contemporary prostate biopsy reporting: Insights from a survey of clinicians’ use of pathology data. J. Clin. Pathol. 2018, 71, 874–878. [Google Scholar] [CrossRef]
- Tolonen, T.T.; Kujala, P.M.; Tammela, T.L.; Tuominen, V.J.; Isola, J.J.; Visakorpi, T. Overall and worst gleason scores are equally good predictors of prostate cancer progression. BMC Urol. 2011, 11, 21. [Google Scholar] [CrossRef]
- Arias-Stella, J.A., 3rd; Shah, A.B.; Montoya-Cerrillo, D.; Williamson, S.R.; Gupta, N.S. Prostate biopsy and radical prostatectomy Gleason score correlation in heterogenous tumors: Proposal for a composite Gleason score. Am. J. Surg. Pathol. 2015, 39, 1213–1218. [Google Scholar] [CrossRef]
- Deng, F.M.; Isaila, B.; Jones, D.; Ren, Q.; Kyung, P.; Hoskoppal, D.; Huang, H.; Mirsadraei, L.; Xia, Y.; Melamed, J. Optimal Method for Reporting Prostate Cancer Grade in MRI-targeted Biopsies. Am. J. Surg. Pathol. 2022, 46, 44–50. [Google Scholar] [CrossRef] [PubMed]
- Pepe, P.; Pepe, L.; Pennisi, M.; Fraggetta, F. Which Prostate Biopsy in Men Enrolled in Active Surveillance? Experience in 110 Men Submitted to Scheduled Three-Years Transperineal Saturation Biopsy Combined with Fusion Targeted Cores. Clin. Genitourin. Cancer 2021, 19, 305–308. [Google Scholar] [CrossRef]
- Fiorentino, V.; Martini, M.; Dell’Aquila, M.; Musarra, T.; Orticelli, E.; Larocca, L.M.; Rossi, E.; Totaro, A.; Pinto, F.; Lenci, N.; et al. Histopathological Ratios to Predict Gleason Score Agreement between Biopsy and Radical Prostatectomy. Diagnostics 2020, 11, 10. [Google Scholar] [CrossRef] [PubMed]
- Pepe, P.; Pepe, L.; Curduman, M.; Pennisi, M.; Fraggetta, F. Ductal prostate cancer staging: Role of PSMA PET/CT. Arch. Ital. Urol. Androl. 2024, 96, 12132. [Google Scholar] [CrossRef]
- Matsumoto, K.; Omura, M.; Takeda, T.; Kosaka, T.; Hashiguchi, A.; Takamatsu, K.; Yasumizu, Y.; Tanaka, N.; Morita, S.; Mizuno, R.; et al. Grading of Multifocal Prostate Cancer Cases in which the Largest Volume and the Highest Grade Do Not Coincide within One Lesion. J. Urol. 2021, 206, 338–345. [Google Scholar] [CrossRef] [PubMed]
- Best, O.; Canagasingham, A.; Liu, Z.; Doan, P.; Haynes, A.M.; Delprado, W.; Maclean, F.; Yuen, C.; Stricker, P.; Thompson, J. Index grade group is superior to composite grade group for prediction of biochemical recurrence following radical prostatectomy. Pathology 2023, 55, 492–497. [Google Scholar] [CrossRef]
- Kweldam, C.F.; Kummerlin, I.P.; Nieboer, D.; Steyerberg, E.W.; Bangma, C.H.; Incrocci, L.; van der Kwast, T.H.; Roobol, M.J.; van Leenders, J.V. Presence of invasive cribriform or intraductal growth at biopsy outperforms percentage grade 4 in predicting outcome of Gleason score 3 + 4 = 7 prostate cancer. Mod. Pathol. 2017, 30, 1126–1132. [Google Scholar] [CrossRef]
- Kweldam, C.F.; Kummerlin, I.P.; Nieboer, D.; Verhoef, E.I.; Steyerberg, E.W.; van der Kwast, T.H.; Roobol, M.J.; van Leenders, G.J. Disease-specific survival of patients with invasive cribriform and intraductal prostate cancer at diagnostic biopsy. Mod. Pathol. 2016, 29, 630–636. [Google Scholar] [CrossRef]
- Kweldam, C.F.; Kümmerlin, I.P.; Nieboer, D.; Verhoef, E.I.; Steyerberg, E.W.; Incrocci, L.; Bangma, C.H.; van der Kwast, T.H.; Roobol, M.J.; van Leenders, G.J. Prostate cancer outcomes of men with biopsy Gleason score 6 and 7 without cribriform or intraductal carcinoma. Eur. J. Cancer 2016, 66, 26–33. [Google Scholar] [CrossRef]
- Chan, E.; McKenney, J.K.; Hawley, S.; Corrigan, D.; Auman, H.; Newcomb, L.F.; Boyer, H.D.; Carroll, P.R.; Cooperberg, M.R.; Klein, E.; et al. Analysis of separate training and validation radical prostatectomy cohorts identifies 0.25 mm diameter as an optimal definition for “large” cribriform prostatic adenocarcinoma. Mod. Pathol. 2022, 35, 1092–1100. [Google Scholar] [CrossRef]
- Greenland, N.Y.; Cowan, J.E.; Zhang, L.; Carroll, P.R.; Chan, E.; Stohr, B.A.; and Simko, J.P. Expansile cribriform Gleason pattern 4 has histopathologic and molecular features of aggressiveness and greater risk of biochemical failure compared to glomerulation Gleason pattern 4. Prostate 2020, 80, 653–659. [Google Scholar] [CrossRef] [PubMed]
- Hollemans, E.; Verhoef, E.I.; Bangma, C.H.; Rietbergen, J.; Helleman, J.; Roobol, M.J.; van Leenders, G. Large cribriform growth pattern identifies ISUP grade 2 prostate cancer at high risk for recurrence and metastasis. Mod. Pathol. 2019, 32, 139–146. [Google Scholar] [CrossRef] [PubMed]
- Hollemans, E.; Verhoef, E.I.; Bangma, C.H.; Rietbergen, J.; Osanto, S.; Pelger, R.C.M.; van Wezel, T.; van der Poel, H.; Bekers, E.; Helleman, J.; et al. Clinicopathological characteristics of glomeruloid architecture in prostate cancer. Mod. Pathol. 2020, 33, 1618–1625. [Google Scholar] [CrossRef] [PubMed]
- Hollemans, E.; Verhoef, E.I.; Bangma, C.H.; Rietbergen, J.; Roobol, M.J.; Helleman, J.; van Leenders, G. Clinical outcome comparison of Grade Group 1 and Grade Group 2 prostate cancer with and without cribriform architecture at the time of radical prostatectomy. Histopathology 2020, 76, 755–762. [Google Scholar] [CrossRef]
- Aiyer, K.T.S.; Kroon, L.J.; van Leenders, G. Impact of comedonecrosis on prostate cancer outcome: A systematic review. Histopathology 2023, 83, 339–347. [Google Scholar] [CrossRef]
- Hansum, T.; Hollemans, E.; Verhoef, E.I.; Bangma, C.H.; Rietbergen, J.; Osanto, S.; Pelger, R.C.M.; van Wezel, T.; van der Poel, H.; Bekers, E.; et al. Comedonecrosis Gleason pattern 5 is associated with worse clinical outcome in operated prostate cancer patients. Mod. Pathol. 2021, 34, 2064–2070. [Google Scholar] [CrossRef]
- Zelic, R.; Giunchi, F.; Fridfeldt, J.; Carlsson, J.; Davidsson, S.; Lianas, L.; Mascia, C.; Zugna, D.; Molinaro, L.; Vincent, P.H.; et al. Prognostic Utility of the Gleason Grading System Revisions and Histopathological Factors Beyond Gleason Grade. Clin. Epidemiol. 2022, 14, 59–70. [Google Scholar] [CrossRef]
- Cole, A.I.; Morgan, T.M.; Spratt, D.E.; Palapattu, G.S.; He, C.; Tomlins, S.A.; Weizer, A.Z.; Feng, F.Y.; Wu, A.; Siddiqui, J.; et al. Prognostic Value of Percent Gleason Grade 4 at Prostate Biopsy in Predicting Prostatectomy Pathology and Recurrence. J. Urol. 2016, 196, 405–411. [Google Scholar] [CrossRef]
- Sauter, G.; Steurer, S.; Clauditz, T.S.; Krech, T.; Wittmer, C.; Lutz, F.; Lennartz, M.; Janssen, T.; Hakimi, N.; Simon, R.; et al. Clinical Utility of Quantitative Gleason Grading in Prostate Biopsies and Prostatectomy Specimens. Eur. Urol. 2016, 69, 592–598. [Google Scholar] [CrossRef]
- Sadimin, E.T.; Khani, F.; Diolombi, M.; Meliti, A.; Epstein, J.I. Interobserver Reproducibility of Percent Gleason Pattern 4 in Prostatic Adenocarcinoma on Prostate Biopsies. Am. J. Surg. Pathol. 2016, 40, 1686–1692. [Google Scholar] [CrossRef]
- Kir, G.; Seneldir, H.; Gumus, E. Outcomes of Gleason score 3 + 4 = 7 prostate cancer with minimal amounts (<6%) vs. >/=6% of Gleason pattern 4 tissue in needle biopsy specimens. Ann. Diagn. Pathol. 2016, 20, 48–51. [Google Scholar] [CrossRef] [PubMed]
- Kato, M.; Hirakawa, A.; Sato, H.; Hanazawa, R.; Naito, Y.; Tochigi, K.; Sano, T.; Ishida, S.; Funahashi, Y.; Fujita, T.; et al. Grade group 2 (10% >/= GP4) patients have very similar malignant potential with grade group 1 patients, given the risk of intraductal carcinoma of the prostate. Int. J. Clin. Oncol. 2021, 26, 764–769. [Google Scholar] [CrossRef] [PubMed]
- Dean, L.W.; Assel, M.; Sjoberg, D.D.; Vickers, A.J.; Al-Ahmadie, H.A.; Chen, Y.B.; Gopalan, A.; Sirintrapun, S.J.; Tickoo, S.K.; Eastham, J.A.; et al. Clinical Usefulness of Total Length of Gleason Pattern 4 on Biopsy in Men with Grade Group 2 Prostate Cancer. J. Urol. 2019, 201, 77–82. [Google Scholar] [CrossRef]
- Perera, M.; Assel, M.J.; Benfante, N.E.; Vickers, A.J.; Reuter, V.E.; Carlsson, S.; Laudone, V.; Touijer, K.A.; Eastham, J.A.; Scardino, P.T.; et al. Oncologic Outcomes of Total Length Gleason Pattern 4 on Biopsy in Men with Grade Group 2 Prostate Cancer. J. Urol. 2022, 208, 309–316. [Google Scholar] [CrossRef] [PubMed]
- Iakymenko, O.A.; Lugo, I.; Briski, L.M.; Nemov, I.; Punnen, S.; Kwon, D.; Pollack, A.; Stoyanova, R.; Parekh, D.J.; Jorda, M.; et al. Percentage of Gleason pattern 4 and tumor volume predict adverse pathological stage and margin status at radical prostatectomy in grade Group 2 and grade Group 3 prostate cancers. Prostate 2021, 81, 866–873. [Google Scholar] [CrossRef]
- Deng, F.M.; Donin, N.M.; Pe Benito, R.; Melamed, J.; Le Nobin, J.; Zhou, M.; Ma, S.; Wang, J.; Lepor, H. Size-adjusted Quantitative Gleason Score as a Predictor of Biochemical Recurrence after Radical Prostatectomy. Eur. Urol. 2016, 70, 248–253. [Google Scholar] [CrossRef]
- Vickers, A.J.; Assel, M.; Cooperberg, M.R.; Fine, S.W.; Eggener, S. Amount of Gleason Pattern 3 Is Not Predictive of Risk in Grade Group 2-4 Prostate Cancer. Eur. Urol. 2024, 86, S0302–S2838. [Google Scholar] [CrossRef]
- Andolfi, C.; Vickers, A.J.; Cooperberg, M.R.; Carroll, P.R.; Cowan, J.E.; Paner, G.P.; Helfand, B.T.; Liauw, S.L.; Eggener, S.E. Blood Prostate-specific Antigen by Volume of Benign, Gleason Pattern 3 and 4 Prostate Tissue. Urology 2022, 170, 154–160. [Google Scholar] [CrossRef]
- Stamey, T.A.; Yemoto, C.M.; McNeal, J.E.; Sigal, B.M.; Johnstone, I.M. Prostate cancer is highly predictable: A prognostic equation based on all morphological variables in radical prostatectomy specimens. J. Urol. 2000, 163, 1155–1160. [Google Scholar] [CrossRef]
- Miura, N.; Mori, K.; Mostafaei, H.; Quhal, F.; Motlagh, R.S.; Pradere, B.; Laukhtina, E.; D’Andrea, D.; Saika, T.; Shariat, S.F. The Prognostic Impact of Intraductal Carcinoma of the Prostate: A Systematic Review and Meta-Analysis. J. Urol. 2020, 204, 909–917. [Google Scholar] [CrossRef]
- Amin, B.; Edge, B.; Greene, L.; Byrd, R.; Brookland, K.; Washington, K.; Gershenwald, E.; Compton, C.; Hess, R.; Sullivan, C.; et al. AJCC Cancer Staging Manual, 8th ed.; Springer Nature: Cham, Switzerland, 2017. [Google Scholar]
- Kato, M.; Tsuzuki, T.; Kimura, K.; Hirakawa, A.; Kinoshita, F.; Sassa, N.; Ishida, R.; Fukatsu, A.; Kimura, T.; Funahashi, Y.; et al. The presence of intraductal carcinoma of the prostate in needle biopsy is a significant prognostic factor for prostate cancer patients with distant metastasis at initial presentation. Mod. Pathol. 2016, 29, 166–173. [Google Scholar] [CrossRef] [PubMed]
- Cohen, R.J.; Wheeler, T.M.; Bonkhoff, H.; Rubin, M.A. A proposal on the identification, histologic reporting, and implications of intraductal prostatic carcinoma. Arch. Pathol. Lab. Med. 2007, 131, 1103–1109. [Google Scholar] [CrossRef] [PubMed]
- Guo, C.C.; Epstein, J.I. Intraductal carcinoma of the prostate on needle biopsy: Histologic features and clinical significance. Mod. Pathol. 2006, 19, 1528–1535. [Google Scholar] [CrossRef] [PubMed]
- Porter, L.H.; Lawrence, M.G.; Ilic, D.; Clouston, D.; Bolton, D.M.; Frydenberg, M.; Murphy, D.G.; Pezaro, C.; Risbridger, G.P.; Taylor, R.A. Systematic Review Links the Prevalence of Intraductal Carcinoma of the Prostate to Prostate Cancer Risk Categories. Eur. Urol. 2017, 72, 492–495. [Google Scholar] [CrossRef]
- McNeal, J.E.; Yemoto, C.E. Spread of adenocarcinoma within prostatic ducts and acini. Morphologic and clinical correlations. Am. J. Surg. Pathol. 1996, 20, 802–814. [Google Scholar] [CrossRef]
- Moch, H.; Humphrey, P.A.; Ulbright, T.M.; Reuter, V.E. WHO Classification of Tumours of the Urinary System and Male Genital Organs, 4th ed.; International Agency for Research on Cancer: Lyon, France, 2016. [Google Scholar]
- Lotan, T.L.; Gumuskaya, B.; Rahimi, H.; Hicks, J.L.; Iwata, T.; Robinson, B.D.; Epstein, J.I.; De Marzo, A.M. Cytoplasmic PTEN protein loss distinguishes intraductal carcinoma of the prostate from high-grade prostatic intraepithelial neoplasia. Mod. Pathol. 2013, 26, 587–603. [Google Scholar] [CrossRef]
- Fine, S.W.; Al-Ahmadie, H.A.; Chen, Y.B.; Gopalan, A.; Tickoo, S.K.; Reuter, V.E. Comedonecrosis Revisited: Strong Association with Intraductal Carcinoma of the Prostate. Am. J. Surg. Pathol. 2018, 42, 1036–1041. [Google Scholar] [CrossRef]
- Miyai, K.; Divatia, M.K.; Shen, S.S.; Miles, B.J.; Ayala, A.G.; Ro, J.Y. Heterogeneous clinicopathological features of intraductal carcinoma of the prostate: A comparison between “precursor-like” and “regular type” lesions. Int. J. Clin. Exp. Pathol. 2014, 7, 2518–2526. [Google Scholar]
- Robinson, B.D.; Epstein, J.I. Intraductal carcinoma of the prostate without invasive carcinoma on needle biopsy: Emphasis on radical prostatectomy findings. J. Urol. 2010, 184, 1328–1333. [Google Scholar] [CrossRef]
- Cohen, R.J.; Shannon, B.A.; Weinstein, S.L. Intraductal carcinoma of the prostate gland with transmucosal spread to the seminal vesicle: A lesion distinct from high-grade prostatic intraepithelial neoplasia. Arch. Pathol. Lab. Med. 2007, 131, 1122–1125. [Google Scholar] [CrossRef]
- Grypari, I.M.; Logotheti, S.; Lazaris, A.C.; Kallidonis, P.; Fokaefs, E.; Melachrinou, M.; Zolota, V.; Tzelepi, V. Isolated Intraductal Carcinoma of the Prostate in Prostatectomy Specimens: Report of 2 Cases and Review of the Literature. Int. J. Surg. Pathol. 2020, 28, 918–924. [Google Scholar] [CrossRef]
- Khani, F.; Epstein, J.I. Prostate Biopsy Specimens with Gleason 3 + 3 = 6 and Intraductal Carcinoma: Radical Prostatectomy Findings and Clinical Outcomes. Am. J. Surg. Pathol. 2015, 39, 1383–1389. [Google Scholar] [CrossRef]
- Rijstenberg, L.L.; Hansum, T.; Hollemans, E.; Kweldam, C.F.; Kummerlin, I.P.; Bangma, C.H.; van der Kwast, T.H.; Roobol, M.J.; van Leenders, G. Intraductal carcinoma has a minimal impact on Grade Group assignment in prostate cancer biopsy and radical prostatectomy specimens. Histopathology 2020, 77, 742–748. [Google Scholar] [CrossRef]
- Cai, Q.; Shah, R.B. Cribriform Lesions of the Prostate Gland. Surg. Pathol. Clin. 2022, 15, 591–608. [Google Scholar] [CrossRef] [PubMed]
- Kench, J.; Paner, G.P.; Srigley, J.R.; l-Hussain, T.; Brimo, F.; Cimadamore, A.; Eggener, S.; Fine, S.W.; Kristiansen, G.; Moreira Leite, K.; et al. International Collaboration on Cancer. Reporting Prostate Core Histopathology Reporting Guide Radical Prostatectomy Specimen. Available online: https://www.iccr-cancer.org/ (accessed on 31 January 2025).
- Shah, R.B.; Nguyen, J.K.; Przybycin, C.G.; Reynolds, J.P.; Cox, R.; Myles, J.; Klein, E.; McKenney, J.K. Atypical intraductal proliferation detected in prostate needle biopsy is a marker of unsampled intraductal carcinoma and other adverse pathological features: A prospective clinicopathological study of 62 cases with emphasis on pathological outcomes. Histopathology 2019, 75, 346–353. [Google Scholar] [CrossRef]
- Shah, R.B.; Magi-Galluzzi, C.; Han, B.; Zhou, M. Atypical cribriform lesions of the prostate: Relationship to prostatic carcinoma and implication for diagnosis in prostate biopsies. Am. J. Surg. Pathol. 2010, 34, 470–477. [Google Scholar] [CrossRef] [PubMed]
- Shah, R.B.; Zhou, M. Atypical cribriform lesions of the prostate: Clinical significance, differential diagnosis and current concept of intraductal carcinoma of the prostate. Adv. Anat. Pathol. 2012, 19, 270–278. [Google Scholar] [CrossRef]
- Shah, R.B.; Yoon, J.; Liu, G.; Tian, W. Atypical intraductal proliferation and intraductal carcinoma of the prostate on core needle biopsy: A comparative clinicopathological and molecular study with a proposal to expand the morphological spectrum of intraductal carcinoma. Histopathology 2017, 71, 693–702. [Google Scholar] [CrossRef]
- Morais, C.L.; Han, J.S.; Gordetsky, J.; Nagar, M.S.; Anderson, A.E.; Lee, S.; Hicks, J.L.; Zhou, M.; Magi-Galluzzi, C.; Shah, R.B.; et al. Utility of PTEN and ERG immunostaining for distinguishing high-grade PIN from intraductal carcinoma of the prostate on needle biopsy. Am. J. Surg. Pathol. 2015, 39, 169–178. [Google Scholar] [CrossRef]
- Miyai, K.; Divatia, M.K.; Shen, S.S.; Miles, B.J.; Ayala, A.G.; Ro, J.Y. Clinicopathological analysis of intraductal proliferative lesions of prostate: Intraductal carcinoma of prostate, high-grade prostatic intraepithelial neoplasia, and atypical cribriform lesion. Hum. Pathol. 2014, 45, 1572–1581. [Google Scholar] [CrossRef]
- Hickman, R.A.; Yu, H.; Li, J.; Kong, M.; Shah, R.B.; Zhou, M.; Melamed, J.; Deng, F.M. Atypical Intraductal Cribriform Proliferations of the Prostate Exhibit Similar Molecular and Clinicopathologic Characteristics as Intraductal Carcinoma of the Prostate. Am. J. Surg. Pathol. 2017, 41, 550–556. [Google Scholar] [CrossRef] [PubMed]
- Collins, K.; Cheng, L. Morphologic spectrum of treatment-related changes in prostate tissue and prostate cancer: An updated review. Hum. Pathol. 2022, 127, 56–66. [Google Scholar] [CrossRef] [PubMed]
- Evans, A.J. Treatment effects in prostate cancer. Mod. Pathol. 2018, 31, S110–S121. [Google Scholar] [CrossRef]
- Srigley, J.R.; Delahunt, B.; Evans, A.J. Therapy-associated effects in the prostate gland. Histopathology 2012, 60, 153–165. [Google Scholar] [CrossRef]
- Ryan, P.; Finelli, A.; Lawrentschuk, N.; Fleshner, N.; Sweet, J.; Cheung, C.; van der Kwast, T.; Evans, A. Prostatic needle biopsies following primary high intensity focused ultrasound (HIFU) therapy for prostatic adenocarcinoma: Histopathological features in tumour and non-tumour tissue. J. Clin. Pathol. 2012, 65, 729–734. [Google Scholar] [CrossRef] [PubMed]
- Chalasani, V.; Martinez, C.H.; Williams, A.K.; Kwan, K.; Chin, J.L. Histological changes in the human prostate after radiotherapy and salvage high intensity focused ultrasound. Can. Urol. Assoc. J. 2010, 4, E100–E102. [Google Scholar] [CrossRef] [PubMed]
- Biermann, K.; Montironi, R.; Lopez-Beltran, A.; Zhang, S.; Cheng, L. Histopathological findings after treatment of prostate cancer using high-intensity focused ultrasound (HIFU). Prostate 2010, 70, 1196–1200. [Google Scholar] [CrossRef]
- Harnden, P.; Shelley, M.D.; Naylor, B.; Coles, B.; Mason, M.D. Does the extent of carcinoma in prostatic biopsies predict prostate-specific antigen recurrence? A systematic review. Eur. Urol. 2008, 54, 728–739. [Google Scholar] [CrossRef]
- Berney, D.M.; Finnegan, K.; Chu, K.; Fine, S.W.; Varma, M.; Cuzick, J.; Beltran, L.G. Transatlantic Prostate. Measuring cancer burden in prostatic needle core biopsies: Simplified assessments outperform complex measurements in assessing outcome: Evidence to assist pathologist efficiency and minimize datasets. Histopathology 2023, 82, 1021–1028. [Google Scholar] [CrossRef]
- Russo, G.I.; Cimino, S.; Castelli, T.; Favilla, V.; Urzi, D.; Veroux, M.; Madonia, M.; Morgia, G. Percentage of cancer involvement in positive cores can predict unfavorable disease in men with low-risk prostate cancer but eligible for the prostate cancer international: Active surveillance criteria. Urol. Oncol. 2014, 32, 291–296. [Google Scholar] [CrossRef]
- Morselli, S.; Sebastianelli, A.; Campi, R.; Liaci, A.; Gabellini, L.; Tasso, G.; Fantechi, R.; Venturini, S.; Spatafora, P.; Cito, G.; et al. Adverse pathology after radical prostatectomy: The prognostic role of cumulative cancer length >6-mm threshold in prostate cancer-positive biopsies. Prostate Int. 2019, 7, 143–149. [Google Scholar] [CrossRef]
- Vellekoop, A.; Loeb, S.; Folkvaljon, Y.; Stattin, P. Population based study of predictors of adverse pathology among candidates for active surveillance with Gleason 6 prostate cancer. J. Urol. 2014, 191, 350–357. [Google Scholar] [CrossRef] [PubMed]
- Audenet, F.; Vertosick, E.A.; Fine, S.W.; Sjoberg, D.D.; Vickers, A.J.; Reuter, V.E.; Eastham, J.A.; Scardino, P.R.; Touijer, K.A. Biopsy Core Features are Poor Predictors of Adverse Pathology in Men with Grade Group 1 Prostate Cancer. J. Urol. 2018, 199, 961–968. [Google Scholar] [CrossRef] [PubMed]
- Tosoian, J.J.; Mamawala, M.; Patel, H.D.; Alam, R.; Epstein, J.I.; Ross, A.E.; Carter, H.B. Tumor Volume on Biopsy of Low Risk Prostate Cancer Managed with Active Surveillance. J. Urol. 2018, 199, 954–960. [Google Scholar] [CrossRef]
- Cooley, L.F.; Emeka, A.A.; Meyers, T.J.; Cooper, P.R.; Lin, D.W.; Finelli, A.; Eastham, J.A.; Logothetis, C.J.; Marks, L.S.; Vesprini, D.; et al. Factors Associated with Time to Conversion from Active Surveillance to Treatment for Prostate Cancer in a Multi-Institutional Cohort. J. Urol. 2021, 206, 1147–1156. [Google Scholar] [CrossRef]
- Arias-Stella, J.A., 3rd; Varma, K.R.; Montoya-Cerrillo, D.; Gupta, N.S.; Williamson, S.R. Does discontinuous involvement of a prostatic needle biopsy core by adenocarcinoma correlate with a large tumor focus at radical prostatectomy? Am. J. Surg. Pathol. 2015, 39, 281–286. [Google Scholar] [CrossRef]
- Schultz, L.; Maluf, C.E.; da Silva, R.C.; Falashi Rde, H.; da Costa, M.V.; Schultz, M.I. Discontinuous foci of cancer in a single core of prostatic biopsy: When it occurs and performance of quantification methods in a private-practice setting. Am. J. Surg. Pathol. 2013, 37, 1831–1836. [Google Scholar] [CrossRef] [PubMed]
- Karram, S.; Trock, B.J.; Netto, G.J.; Epstein, J.I. Should intervening benign tissue be included in the measurement of discontinuous foci of cancer on prostate needle biopsy? Correlation with radical prostatectomy findings. Am. J. Surg. Pathol. 2011, 35, 1351–1355. [Google Scholar] [CrossRef]
- Yuk, H.D.; Byun, S.S.; Hong, S.K.; Lee, H. The tumor volume after radical prostatectomy and its clinical impact on the prognosis of patients with localized prostate cancer. Sci. Rep. 2022, 12, 6003. [Google Scholar] [CrossRef]
- Baba, H.; Sakamoto, S.; Zhao, X.; Yamada, Y.; Rii, J.; Fujimoto, A.; Kanesaka, M.; Takeuchi, N.; Sazuka, T.; Imamura, Y.; et al. Tumor Location and a Tumor Volume over 2.8 cc Predict the Prognosis for Japanese Localized Prostate Cancer. Cancers 2022, 14, 5823. [Google Scholar] [CrossRef]
- Alenezi, A.; Ismail, M.; Eden, C. Can Tumour Volume Percentage in Radical Prostatectomy Predict Cancer Biochemical Recurrence? Determining a Cut-off Point and Composite Risk Factors Approach. Res. Rep. Urol. 2021, 13, 445–455. [Google Scholar] [CrossRef]
- Ettel, M.; Kong, M.; Lee, P.; Zhou, M.; Melamed, J.; Deng, F.M. Modification of the pT2 substage classification in prostate adenocarcinoma. Hum. Pathol. 2016, 56, 57–63. [Google Scholar] [CrossRef] [PubMed]
- Johnson, S.B.; Hamstra, D.A.; Jackson, W.C.; Zhou, J.; Foster, B.; Foster, C.; Song, Y.; Li, D.; Palapattu, G.S.; Kunju, L.; et al. Larger maximum tumor diameter at radical prostatectomy is associated with increased biochemical failure, metastasis, and death from prostate cancer after salvage radiation for prostate cancer. Int. J. Radiat. Oncol. Biol. Phys. 2013, 87, 275–281. [Google Scholar] [CrossRef] [PubMed]
- Billis, A.; Meirelles, L.R.; Freitas, L.L.; Polidoro, A.S.; Fernandes, H.A.; Padilha, M.M.; Magna, L.A.; Ferreira, U. Prostate total tumor extent versus index tumor extent--which is predictive of biochemical recurrence following radical prostatectomy? J. Urol. 2013, 189, 99–104. [Google Scholar] [CrossRef]
- van der Kwast, T.H.; Amin, M.B.; Billis, A.; Epstein, J.I.; Griffiths, D.; Humphrey, P.A.; Montironi, R.; Wheeler, T.M.; Srigley, J.R.; Egevad, L.; et al. International Society of Urological Pathology (ISUP) Consensus Conference on Handling and Staging of Radical Prostatectomy Specimens. Working group 2: T2 substaging and prostate cancer volume. Mod. Pathol. 2011, 24, 16–25. [Google Scholar] [CrossRef]
- Ito, Y.; Vertosick, E.A.; Sjoberg, D.D.; Vickers, A.J.; Al-Ahmadie, H.A.; Chen, Y.A.; Gopalan, A.; Sirintrapun, S.J.; Tickoo, S.K.; Eastham, J.A.; et al. In Organ-confined Prostate Cancer, Tumor Quantitation Not Found to Aid in Prediction of Biochemical Recurrence. Am. J. Surg. Pathol. 2019, 43, 1061–1065. [Google Scholar] [CrossRef]
- Billis, A.; Meirelles, L.; Freitas, L.L.; Magna, L.A.; Ferreira, U.; Reis, L.O. Tumor extent in radical prostatectomy specimens: Is it an independent prognostic factor for biochemical (PSA) progression following surgery? Int. Urol. Nephrol. 2011, 43, 417–422. [Google Scholar] [CrossRef]
- Wolters, T.; Roobol, M.J.; van Leeuwen, P.J.; van den Bergh, R.C.; Hoedemaeker, R.F.; van Leenders, G.J.; Schroder, F.H.; van der Kwast, T.H. Should pathologists routinely report prostate tumour volume? The prognostic value of tumour volume in prostate cancer. Eur. Urol. 2010, 57, 821–829. [Google Scholar] [CrossRef]
- Salomon, L.; Levrel, O.; Anastasiadis, A.G.; Irani, J.; De La Taille, A.; Saint, F.; Vordos, D.; Cicco, A.; Hoznek, A.; Chopin, D.; et al. Prognostic significance of tumor volume after radical prostatectomy: A multivariate analysis of pathological prognostic factors. Eur. Urol. 2003, 43, 39–44. [Google Scholar] [CrossRef] [PubMed]
- Ahmad, A.S.; Parameshwaran, V.; Beltran, L.; Fisher, G.; North, B.V.; Greenberg, D.; Soosay, G.; Moller, H.; Scardino, P.; Cuzick, J.; et al. Should reporting of peri-neural invasion and extra prostatic extension be mandatory in prostate cancer biopsies? correlation with outcome in biopsy cases treated conservatively. Oncotarget 2018, 9, 20555–20562. [Google Scholar] [CrossRef]
- DeLancey, J.O.; Wood, D.P., Jr.; He, C.; Montgomery, J.S.; Weizer, A.Z.; Miller, D.C.; Jacobs, B.L.; Montie, J.E.; Hollenbeck, B.K.; Skolarus, T.A. Evidence of perineural invasion on prostate biopsy specimen and survival after radical prostatectomy. Urology 2013, 81, 354–357. [Google Scholar] [CrossRef]
- Feng, F.Y.; Qian, Y.; Stenmark, M.H.; Halverson, S.; Blas, K.; Vance, S.; Sandler, H.M.; Hamstra, D.A. Perineural invasion predicts increased recurrence, metastasis, and death from prostate cancer following treatment with dose-escalated radiation therapy. Int. J. Radiat. Oncol. Biol. Phys. 2011, 81, e361–e367. [Google Scholar] [CrossRef]
- Strom, P.; Nordstrom, T.; Delahunt, B.; Samaratunga, H.; Gronberg, H.; Egevad, L.; Eklund, M. Prognostic value of perineural invasion in prostate needle biopsies: A population-based study of patients treated by radical prostatectomy. J. Clin. Pathol. 2020, 73, 630–635. [Google Scholar] [CrossRef]
- Ciftci, S.; Yilmaz, H.; Ciftci, E.; Simsek, E.; Ustuner, M.; Yavuz, U.; Muezzinoglu, B.; Dillioglugil, O. Perineural invasion in prostate biopsy specimens is associated with increased bone metastasis in prostate cancer. Prostate 2015, 75, 1783–1789. [Google Scholar] [CrossRef] [PubMed]
- Wu, S.; Lin, X.; Lin, S.X.; Lu, M.; Deng, T.; Wang, Z.; Olumi, A.F.; Dahl, D.M.; Wang, D.; Blute, M.L.; et al. Impact of biopsy perineural invasion on the outcomes of patients who underwent radical prostatectomy: A systematic review and meta-analysis. Scand. J. Urol. 2019, 53, 287–294. [Google Scholar] [CrossRef]
- Trpkov, C.; Yilmaz, A.; Trpkov, K. Perineural invasion in prostate cancer patients who are potential candidates for active surveillance: Validation study. Urology 2014, 84, 149–152. [Google Scholar] [CrossRef]
- Moreira, D.M.; Fleshner, N.E.; Freedland, S.J. Baseline Perineural Invasion is Associated with Shorter Time to Progression in Men with Prostate Cancer Undergoing Active Surveillance: Results from the REDEEM Study. J. Urol. 2015, 194, 1258–1263. [Google Scholar] [CrossRef] [PubMed]
- Turner, R.M., 2nd; Yecies, T.S.; Yabes, J.G.; Ristau, B.T.; Woldemichael, E.; Davies, B.J.; Jacobs, B.L.; Nelson, J.B. Biopsy Perineural Invasion in Prostate Cancer Patients Who Are Candidates for Active Surveillance by Strict and Expanded Criteria. Urology 2017, 102, 173–177. [Google Scholar] [CrossRef]
- de la Calle, C.M.; Mamawala, M.M.; Landis, P.; Landis, P.; Macura, K.J.; Trock, B.J.; Epstein, J.I.; Pavlovich, C.P. Clinical Significance of Perineural Invasion in Men with Grade Group 1 Prostate Cancer on Active Surveillance. J. Urol. 2023, 209, 180–186. [Google Scholar] [CrossRef]
- Baraban, E.; Erak, E.; Fatima, A.; Akbari, A.; Zhao, J.; Fletcher, S.A.; Bhanji, Y.; de la Calle, C.M.; Mamawala, M.; Landis, P.; et al. Identifying Men Who Can Remain on Active Surveillance Despite Biopsy Reclassification to Grade Group 2 Prostate Cancer. J. Urol. 2023, 210, 99–107. [Google Scholar] [CrossRef]
- Wu, S.; Xie, L.; Lin, S.X.; Wirth, G.J.; Lu, M.; Zhang, Y.; Blute, M.L.; Dahl, D.M.; Wu, C.L. Quantification of perineural invasion focus after radical prostatectomy could improve predictive power of recurrence. Hum. Pathol. 2020, 104, 96–104. [Google Scholar] [CrossRef]
- Stankovic, M.; Wolff, L.; Wieder, T.; Mendes, J.; Schumacher, B. Perineural invasion as predictor of biochemical recurrence in prostate cancer following open radical prostatectomy: A single-center experience. World J. Urol. 2022, 40, 2695–2700. [Google Scholar] [CrossRef] [PubMed]
- Kang, M.; Oh, J.J.; Lee, S.; Hong, S.K.; Lee, S.E.; Byun, S.S. Perineural Invasion and Lymphovascular Invasion are Associated with Increased Risk of Biochemical Recurrence in Patients Undergoing Radical Prostatectomy. Ann. Surg. Oncol. 2016, 23, 2699–2706. [Google Scholar] [CrossRef]
- Jamil, M.; Rakic, N.; Sood, A.; Keeley, J.; Modonutti, D.; Novara, G.; Jeong, W.; Menon, M.; Rogers, C.G.; Abdollah, F. Impact of Lymphovascular Invasion on Overall Survival in Patients with Prostate Cancer Following Radical Prostatectomy: Stage-per-Stage Analysis. Clin. Genitourin. Cancer 2021, 19, e319–e325. [Google Scholar] [CrossRef]
- Kang, Y.J.; Kim, H.S.; Jang, W.S.; Kwon, J.K.; Yoon, C.Y.; Lee, J.Y.; Cho, K.S.; Ham, W.S.; Choi, Y.D. Impact of lymphovascular invasion on lymph node metastasis for patients undergoing radical prostatectomy with negative resection margin. BMC Cancer 2017, 17, 321. [Google Scholar] [CrossRef] [PubMed]
- Jiang, W.; Zhang, L.; Wu, B.; Zha, Z.; Zhao, H.; Jun, Y.; Jiang, Y. The impact of lymphovascular invasion in patients with prostate cancer following radical prostatectomy and its association with their clinicopathological features: An updated PRISMA-compliant systematic review and meta-analysis. Medicine 2018, 97, e13537. [Google Scholar] [CrossRef]
- Kawase, M.; Ebara, S.; Tatenuma, T.; Sasaki, T.; Ikehata, Y.; Nakayama, A.; Toide, M.; Yoneda, T.; Sakaguchi, K.; Teishima, J.; et al. Prognostic Importance of Lymphovascular Invasion for Specific Subgroup of Patients with Prostate Cancer After Robot-Assisted Radical Prostatectomy (The MSUG94 Group). Ann. Surg. Oncol. 2024, 31, 2154–2162. [Google Scholar] [CrossRef] [PubMed]
- Sukumar, S.; Rogers, C.G.; Trinh, Q.D.; Sammon, J.; Sood, A.; Stricker, H.; Peabody, J.O.; Menon, M.; Diaz-Insua, M. Oncological outcomes after robot-assisted radical prostatectomy: Long-term follow-up in 4803 patients. BJU Int. 2014, 114, 824–831. [Google Scholar] [CrossRef] [PubMed]
- Zhang, B.; Zhou, J.; Wu, S.; Guo, M.; Zhang, Y.; Liu, R. The impact of surgical margin status on prostate cancer-specific mortality after radical prostatectomy: A systematic review and meta-analysis. Clin. Transl. Oncol. 2020, 22, 2087–2096. [Google Scholar] [CrossRef]
- Zhang, L.; Wu, B.; Zha, Z.; Zhao, H.; Yuan, J.; Jiang, Y.; Yang, W. Surgical margin status and its impact on prostate cancer prognosis after radical prostatectomy: A meta-analysis. World J. Urol. 2018, 36, 1803–1815. [Google Scholar] [CrossRef]
- Yossepowitch, O.; Briganti, A.; Eastham, J.A.; Epstein, J.; Graefen, M.; Montironi, R.; Touijer, K. Positive surgical margins after radical prostatectomy: A systematic review and contemporary update. Eur. Urol. 2014, 65, 303–313. [Google Scholar] [CrossRef] [PubMed]
- John, A.; Lim, A.; Catterwell, R.; Selth, L.; O’Callaghan, M. Length of positive surgical margins after radical prostatectomy: Does size matter?—A systematic review and meta-analysis. Prostate Cancer Prostatic Dis. 2023, 26, 673–680. [Google Scholar] [CrossRef] [PubMed]
- Servoll, E.; Vlatkovic, L.; Saeter, T.; Nesland, J.M.; Axcrona, U.; Waaler, G.; Axcrona, K. The length of a positive surgical margin is of prognostic significance in patients with clinically localized prostate cancer treated with radical prostatectomy. Urol. Int. Urol. Int. 2014, 93, 289–295. [Google Scholar] [CrossRef]
- Kozal, S.; Peyronnet, B.; Cattarino, S.; Seisen, T.; Comperat, E.; Vaessen, C.; Mozer, P.; Renard-Penna, R.; Cussenot, O.; Roupret, M.; et al. Influence of pathological factors on oncological outcomes after robot-assisted radical prostatectomy for localized prostate cancer: Results of a prospective study. Urol. Oncol. 2015, 33, 330.e1–330.e7. [Google Scholar] [CrossRef] [PubMed]
- Kurose, H.; Ueda, K.; Ogasawara, N.; Chikui, K.; Nakiri, M.; Nishihara, K.; Matsuo, M.; Suekane, S.; Kusano, H.; Akiba, J.; et al. Impact of Gleason score of the tumor at the positive surgical margin as a prognostic factor. Mol. Clin. Oncol. 2022, 16, 82. [Google Scholar] [CrossRef] [PubMed]
- John, A.; John, H.; Catterwell, R.; Selth, L.A.; Callaghan, M.O. Primary Gleason grade and Gleason grade group at positive surgical margins: A systematic review and meta-analysis. BJU Int. 2021, 127 (Suppl. S1), 13–22. [Google Scholar] [CrossRef]
- Lysenko, I.; Mori, K.; Mostafaei, H.; Enikeev, D.V.; Karakiewicz, P.I.; Briganti, A.; Quhal, F.; Janisch, F.; Shariat, S.F. Prognostic Value of Gleason Score at Positive Surgical Margin in Prostate Cancer: A Systematic Review and Meta-analysis. Clin. Genitourin. Cancer 2020, 18, e517–e522. [Google Scholar] [CrossRef]
Disclaimer/Publisher’s Note: The statements, opinions and data contained in all publications are solely those of the individual author(s) and contributor(s) and not of MDPI and/or the editor(s). MDPI and/or the editor(s) disclaim responsibility for any injury to people or property resulting from any ideas, methods, instructions or products referred to in the content. |
© 2025 by the authors. Published by MDPI on behalf of the Société Internationale d’Urologie. Licensee MDPI, Basel, Switzerland. This article is an open access article distributed under the terms and conditions of the Creative Commons Attribution (CC BY) license (https://creativecommons.org/licenses/by/4.0/).









