Abstract
Background/Objectives: This study presents a case of chronic internal carotid artery [ICA] occlusion initially misinterpreted as ICA agenesis on magnetic resonance angiography (MRA). The report underscores the importance of retrospective review of prior imaging, particularly computed tomography angiography [CTA], in establishing the correct diagnosis. Case Report: A 70-year-old man presented with persistent headache, pulsatile tinnitus, and intermittent dizziness. Neurological examination and laboratory results were unremarkable. Initial cranial MRA demonstrated absence of flow in the left ICA, raising suspicion of congenital agenesis. However, retrospective evaluation of a CTA performed nine years earlier revealed a well-formed left carotid canal without ICA opacification, confirming the diagnosis of chronic ICA occlusion. Results: Current imaging again showed lack of enhancement in the left ICA, with adequate cerebral perfusion supplied via the contralateral ICA and vertebrobasilar system. Recognition of the preserved carotid canal on earlier CTA clarified the diagnosis as chronic occlusion rather than agenesis. Although surgical or endovascular revascularization was recommended, the patient opted for conservative management. At three months of follow-up, symptoms had improved and clinical monitoring continues. Conclusions: This case underscores the importance of distinguishing ICA agenesis from chronic occlusion, particularly by evaluating the carotid canal on CT. The presence of a carotid canal strongly indicates prior patency of the ICA and supports a diagnosis of occlusion. Careful differentiation is critical to avoid misinterpretation and to guide appropriate clinical management. In addition, reviewing prior imaging can be valuable when current findings are inconclusive or potentially misleading. Since this is a single case report, these observations should be regarded as hypothesis-generating rather than definitive, and further studies are needed to validate their broader applicability.
1. Introduction
Agenesis of the internal carotid artery (ICA) is a rare congenital vascular anomaly characterized by the complete absence of the ICA and its corresponding carotid canal. Although often asymptomatic due to compensatory blood flow through the contralateral ICA or vertebrobasilar system, accurate diagnosis remains critical. One of the main challenges in clinical practice is distinguishing true congenital agenesis from chronic ICA occlusion, particularly when non-invasive imaging such as magnetic resonance angiography (MRA) reveals an absence of flow in the ICA.
In this context, assessment of the carotid canal using computed tomography (CT) becomes essential. The presence of a well-formed carotid canal suggests previous patency of the artery, favoring a diagnosis of chronic occlusion, whereas its absence supports true agenesis.
Misinterpretation of these findings may result in erroneous diagnoses and inappropriate interventions; although ICA agenesis and chronic occlusion can both be clinically silent, chronic occlusion is associated with a higher risk of recurrent ischemic events, underscoring the importance of recognizing the distinction and considering timely referral for bypass or endovascular treatment.
2. Case Report
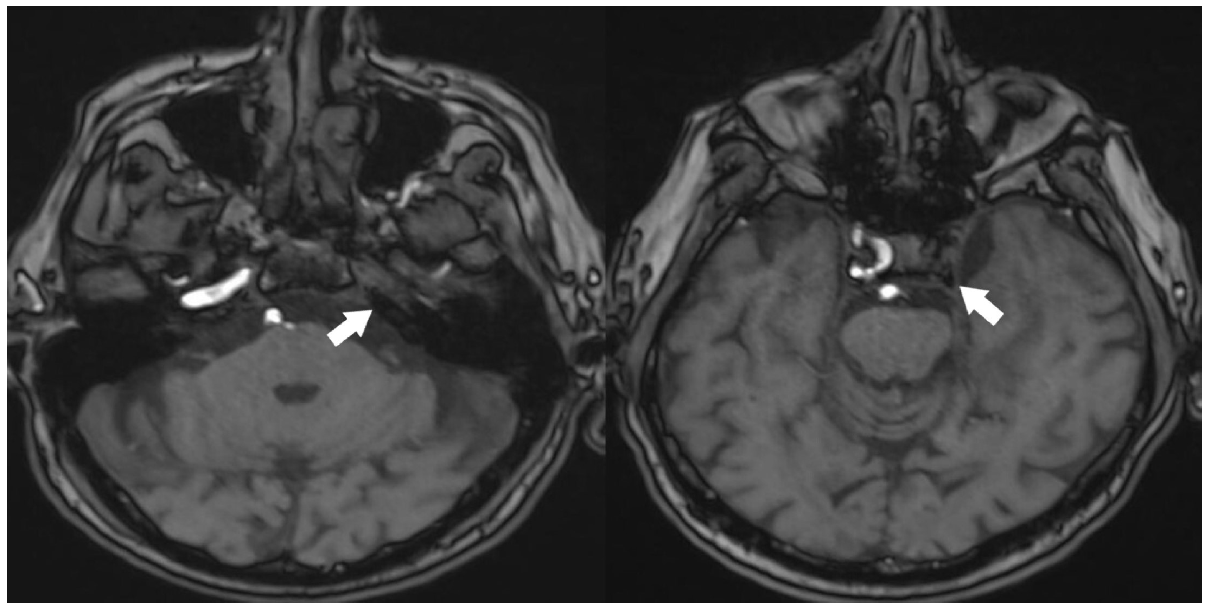
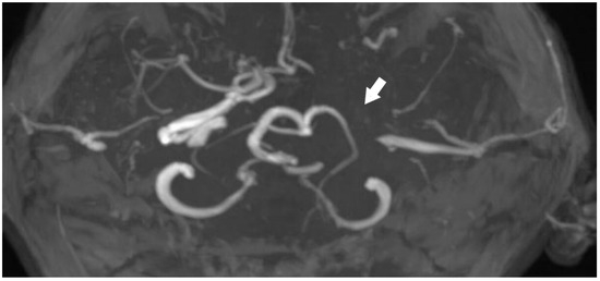
A 70-year-old male patient has presented with ongoing complaints of headache [VAS scale 6], pulsatile tinnitus [TFI level 3], and occasional dizziness. Neurological examination has revealed intact cranial nerves, bilaterally normal cerebellar function, normal deep tendon reflexes, a negative Romberg test, and preserved muscle strength. No abnormalities have been detected in other systemic examinations. Laboratory investigations showed no remarkable abnormalities. However, prior laboratory records indicated dyslipidemia for which the patient was under treatment, and he also had a known history of primary hypertension. Cranial MRI and MR angiography have demonstrated an absence of flow in the left internal carotid artery (Figure 1 and Figure 2).
Figure 1.
Absence of the left internal carotid artery on cranial MRI angiography [Time of Flight images (TOF), White arrow: no contrast filling in the carotid siphon].
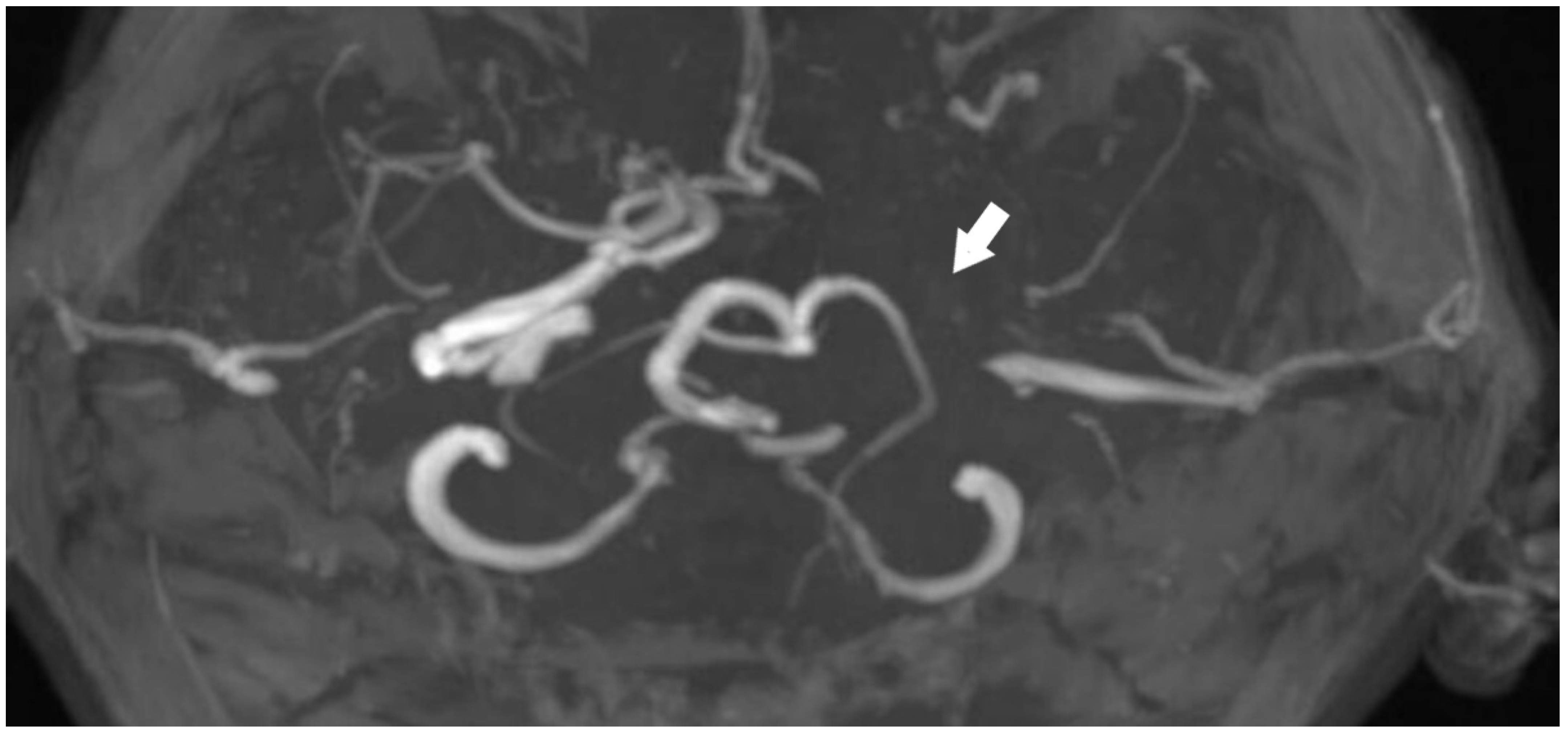
Figure 2.
TOF 3D imaging of cranial MRI angiography [White arrow: no contrast filling in the carotid artery].
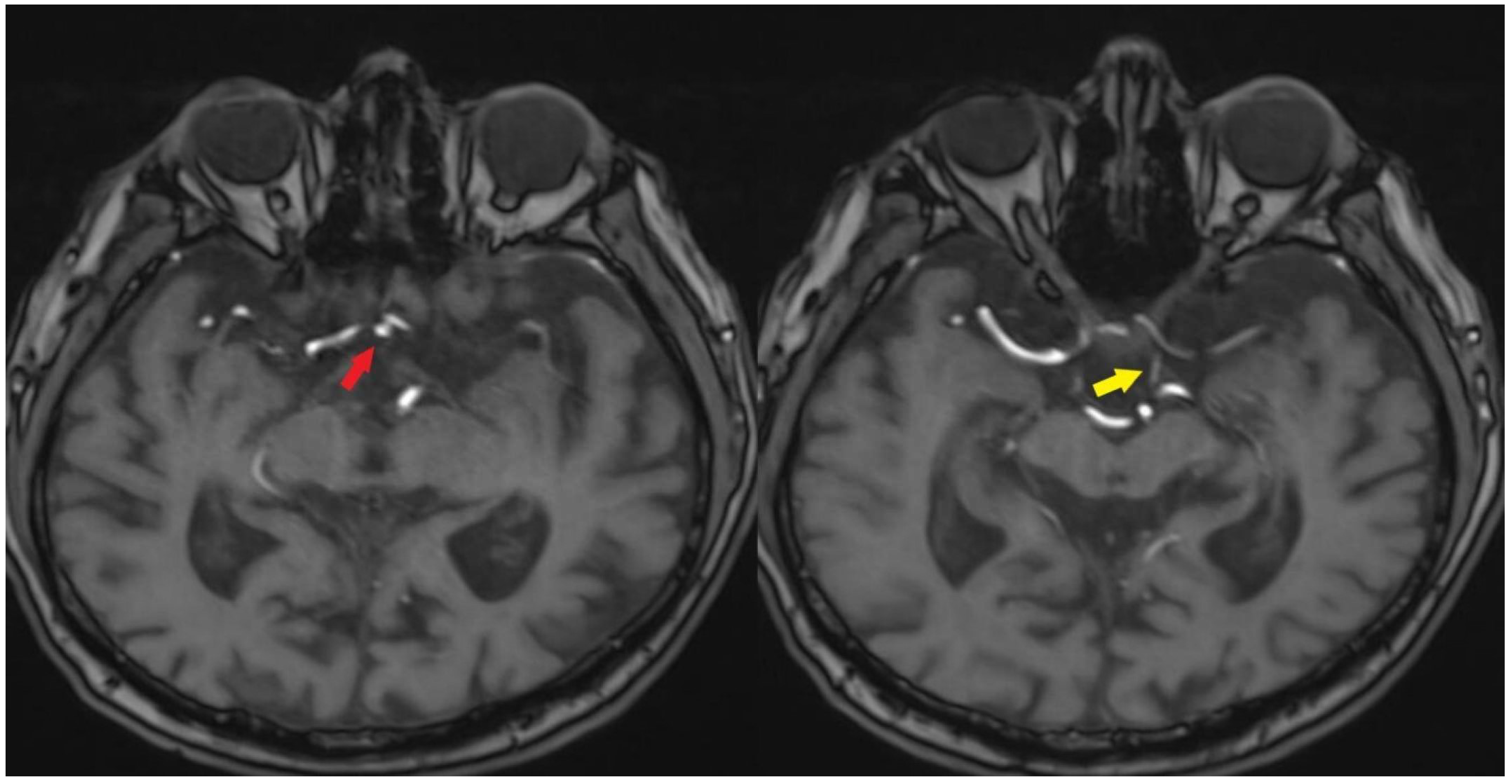
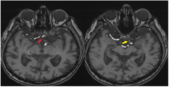
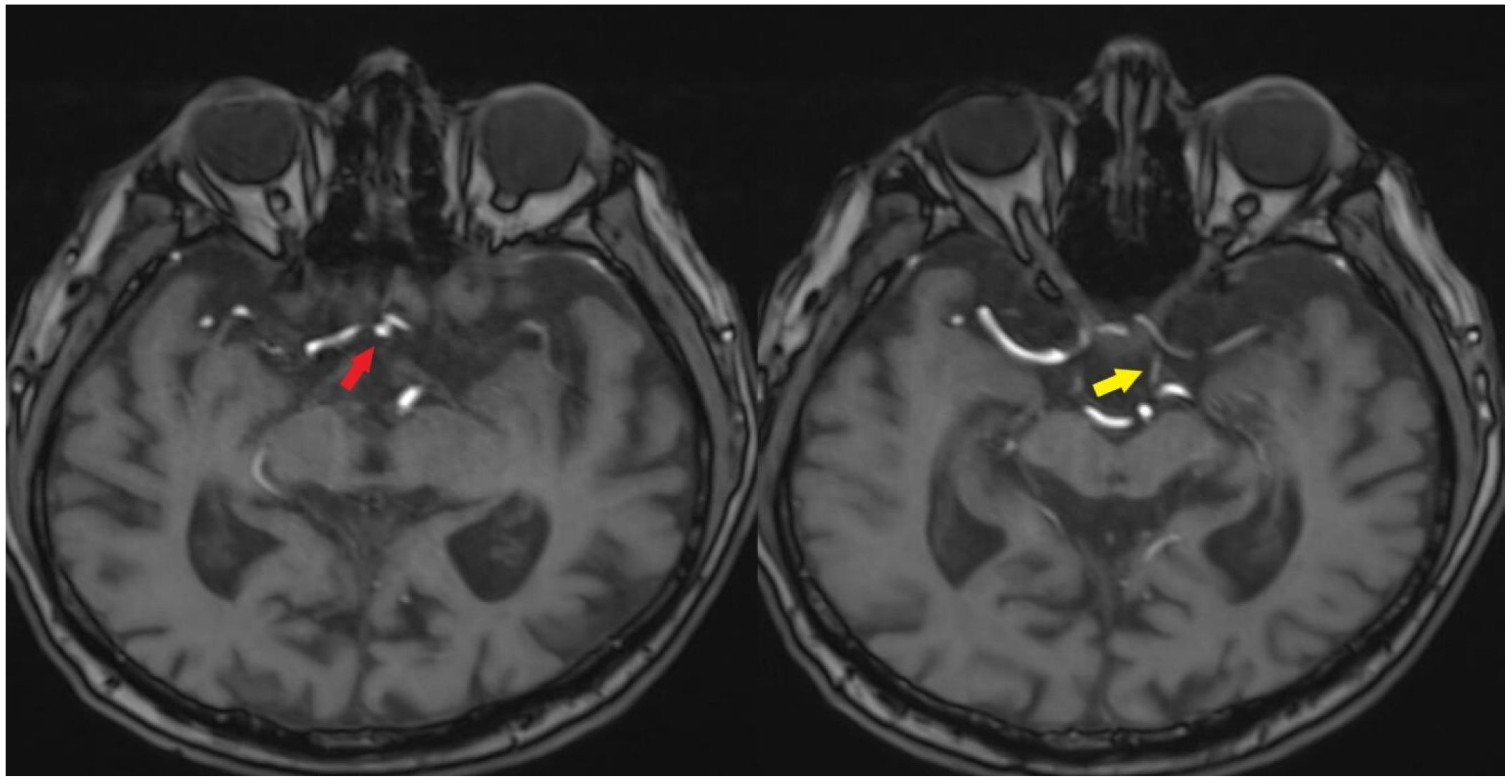
The anterior circulation has been supplied via the anterior communicating artery, while the posterior circulation has received perfusion through the posterior communicating artery (Figure 3).
Figure 3.
Anterior communicating artery [Red arrow] and posterior communicating artery [Yellow arrow], along with the vascular supply to the left hemisphere [TOF images].
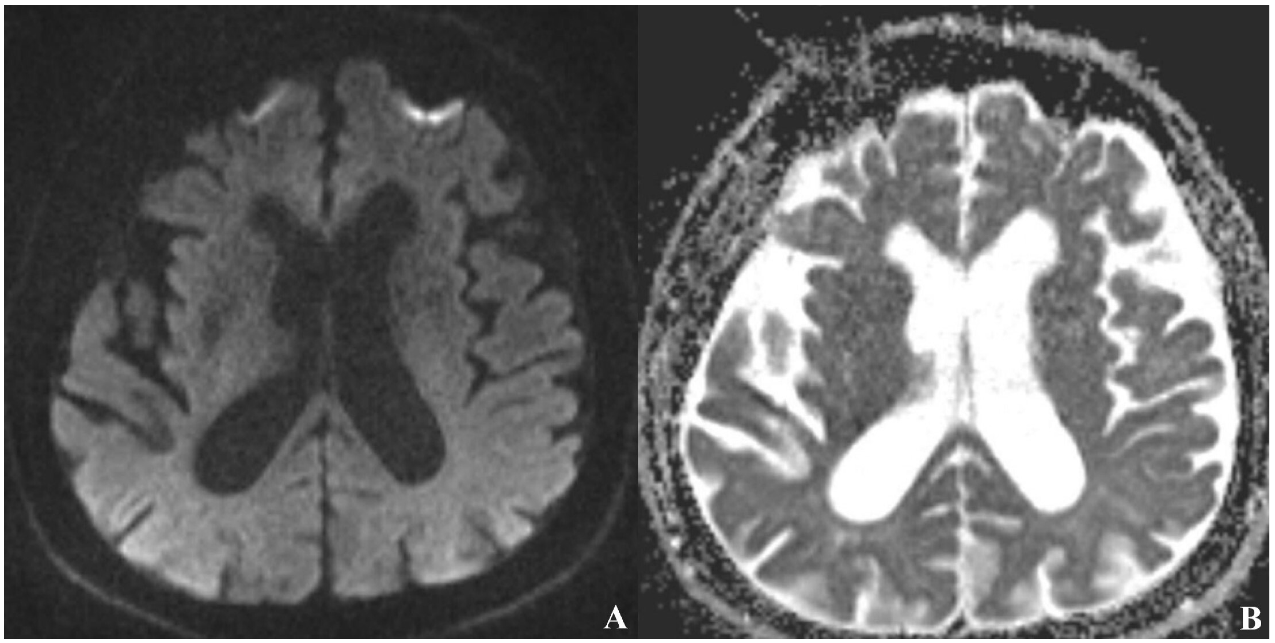
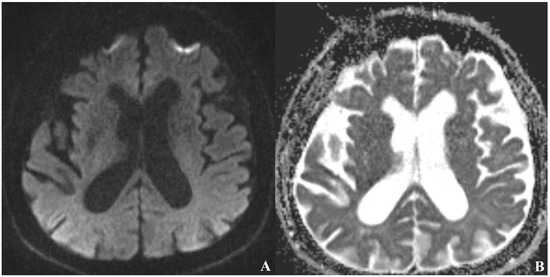
Diffusion-weighted and T2-weighted MRI sequences have shown no pathological findings apart from age-related diffuse cerebral atrophy (Figure 4).
Figure 4.
No evidence of ischemia in the left hemisphere on diffusion-weighted MRI [(A) DWI, (B) ADC map sequence].
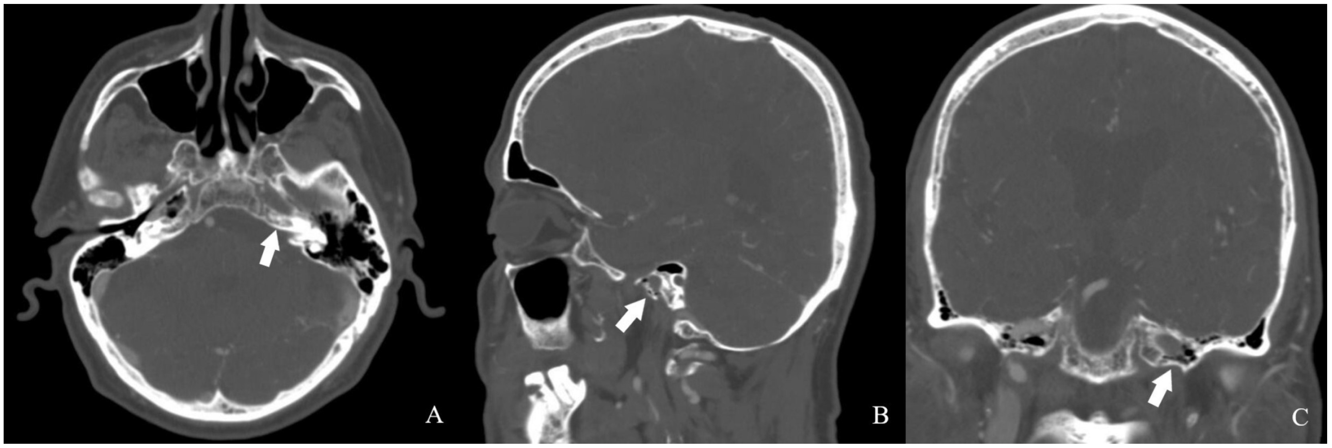
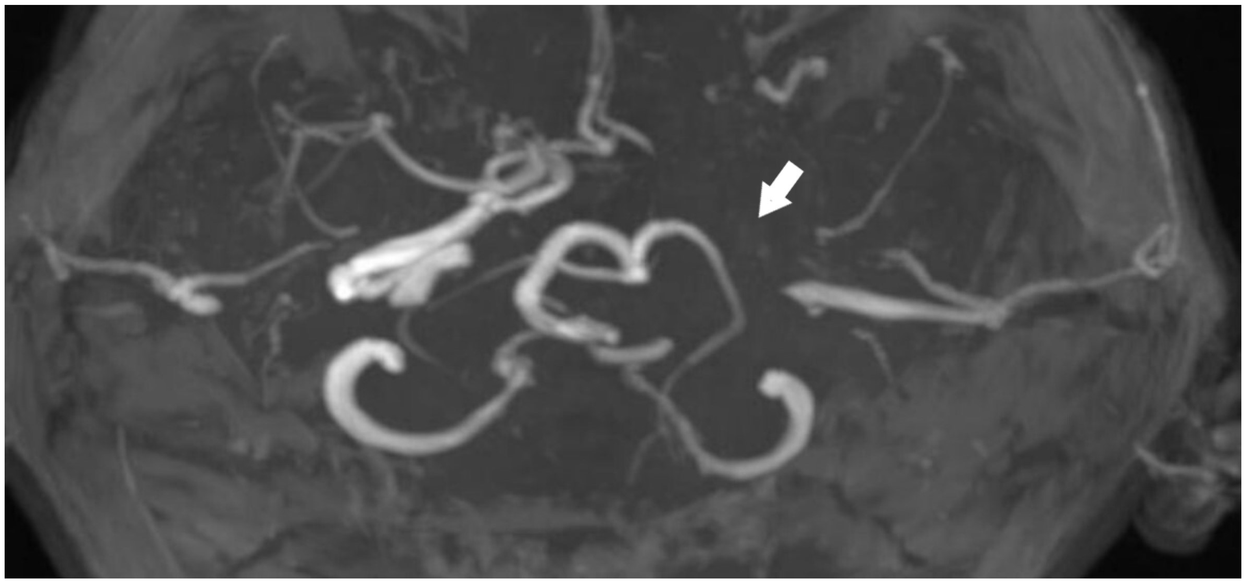
A review of the patient’s radiologic records revealed a cranial CT angiography performed nine years ago. Imaging showed no contrast in the left internal carotid artery. In addition, the left petrosal carotid canal was found to be intact (Figure 5 and Figure 6).
Figure 5.
CTA image obtained from the patient nine years ago [White arrow: indicates a filling defect beginning at the proximal segment of the ICA].
Figure 6.
The patient’s CTA images [(A) axial, (B) sagittal, (C) coronal] revealed a preserved carotid canal [white arrow].
3. Results
CT imaging demonstrated a well-developed carotid canal, strongly favoring the diagnosis of chronic ICA occlusion rather than congenital agenesis. This underscores the importance of assessing the carotid canal in differentiating between these two entities. At the time of the patient’s initial presentation, MR angiography performed in our clinic suggested ICA agenesis, as there was no history of recurrent ischemic events. However, review of prior imaging revealed a CT angiography obtained nine years earlier, which confirmed the diagnosis of ICA occlusion. Given the evidence of a patent carotid canal, MR-VWI was deemed unnecessary. Although surgical or endovascular treatment was advised, the patient declined intervention and opted for continued clinical surveillance. During the current presentation, antiplatelet therapy and symptomatic medical management were initiated in the outpatient setting, resulting in clinical improvement at 3 months of follow-up (VAS score: 2, TFI grade: 1). The patient was again counseled regarding the risks associated with chronic ICA occlusion, including the elevated risk of ischemic stroke, and revascularization strategies, including hybrid procedures (combining STA–MCA bypass with endovascular techniques in a single session), were once more discussed.
4. Discussion
ICA agenesis is an uncommon condition in the literature, typically found on the left side, as seen in our case [1,2,3]. Embryologically ICA is formed by six segments—cervical, petrous, vertical cavernous, horizontal cavernous, clinoid, and cisternal—each defined by the origin of specific embryonic arteries. Since these segments develop independently, agenesis may occur in any portion, with collateral pathways maintaining distal perfusion. The so-called “aberrant ICA” is thus a normal variant rather than a pathology [4]. A review of the literature indicates the occurrence rate of intracranial aneurysms among patients with internal carotid artery agenesis is ten times more frequent compared to the general population [5]. Additionally, cases involving neurofibromatosis, cardiac abnormalities, arachnoid cysts, and other comorbid conditions have been reported [6,7,8]. Cases of internal carotid artery agenesis should be monitored for potential secondary conditions, and further investigation and follow-up are essential.
Renjie et al. showed that individuals with unilateral asymptomatic internal carotid artery agenesis exhibit abnormal spontaneous brain activity in areas related to cognitive functions. Interestingly, some of these abnormalities were found to be linked to cognitive deficits [9].
In a systematic review, Chaudhary et al. identified that more than half of the cases of ICA agenesis had anastomoses in the cavernous segments of the ICA. In these cases, the anastomoses radiologically resembled microadenomas [10].
Lie et al. proposed a classification system for ICA agenesis based on the absent ICA segment and the collateral supply pattern. In type A, the most common form, the cervical portion up to the carotid siphon is absent, while the supraclinoid ICA remains intact, and the MCA receives blood through the PCoA. In type B, the entire ICA is absent, with the MCA perfused via the anterior communicating artery. Type C refers to bilateral ICA agenesis, in which both MCAs are supplied through the bilateral PCoAs. Type D involves the presence of an intercavernous anastomosis [11].
In clinical practice spectrum of internal carotid artery agenesis described in the literature, it was generally found to be asymptomatic, with the first signs in symptomatic cases being Horner syndrome, headache, pulsatile tinnitus, subarachnoid hemorrhage and transient ischemic attack. It was noted that collateral circulation is typically provided by the communicating arteries of posterior and anterior circulation. Additionally, the ophthalmic artery is supplied by the meningeal arteries, with agenesis of the carotid canal and a small cavernous sinus. They highlighted that while collateral circulation is commonly effective in avoiding stroke, it may still be inadequate and lead to ischemia [12,13,14].
Clinicians should be mindful of the potential for vascular dolichoectasia, as the increased blood volume related to the internal carotid artery agenesis can lead to a higher frequency of intracranial aneurysms [15,16,17].
The total chronic internal carotid artery occlusion (CICAO) most commonly arises from atherosclerotic pathology, cardioembolic sources, or spontaneous carotid dissection. The annual risk of progression from an asymptomatic to symptomatic occlusion is estimated between 2% and 8%. While many patients remain clinically silent due to adequate collateral perfusion, others may exhibit a spectrum of symptoms ranging from ipsilateral or global cerebral hypoperfusion to embolic infarction, particularly in cases involving spontaneous recanalization. Although spontaneous recanalization is observed in approximately 2.3% to 10.3% of cases, it infrequently leads to overt cerebrovascular events [18].
Accurate distinction between internal carotid artery agenesis and chronic occlusion is of clinical importance. For this purpose, CT imaging should be used to verify the absence of the carotid canal within the bony anatomy [19].
Kaszczewski et al. categorized patients with ICA occlusion into three distinct subgroups based on cerebral blood flow (CBF) alterations, in comparison to normative values from a healthy population: those demonstrating substantial volumetric flow compensation, those exhibiting flow parameters comparable to healthy individuals, and those lacking compensatory mechanisms. The proportion of patients with marked volumetric compensation showed an age-related increase, whereas a parallel decline was noted in the group without compensation. Interestingly, the proportion of patients with CBF values akin to the healthy population remained relatively stable across age groups. These findings suggest that volumetric flow compensation may serve as a valuable prognostic indicator in the clinical evaluation of ICA occlusion [20].
Following CICAO, cerebral vessels may develop collateral circulation either immediately or over time. Current treatment strategies are primarily guided by the degree of impairment in cerebrovascular reserve and the extent of increased oxygen extraction fraction. Although the length, level, and duration of occlusion are also relevant factors, the clinical picture is often multifactorial [21]. According to Mei et al., medical management alone is associated with the highest mid- and long-term risk of stroke and mortality [22]. In contrast, Cao et al. reported that bypass surgery achieved the highest graft patency rate (96%) with a low complication rate, though it did not confer measurable benefits in terms of neurological recovery, recurrent stroke, or survival. Endovascular intervention demonstrated a comparatively lower technical success rate but was associated with notable neurological improvement and a non-significant reduction in cerebrovascular events and mortality. Hybrid surgical approaches have emerged as a promising option for CICAO, combining high technical success with substantial neurological benefits. Endarterectomy, however, remains appropriate only for short-segment occlusions [23]. Magnetic resonance vessel wall imaging (MR-VWI) has demonstrated potential in predicting the technical success of endovascular recanalization in cases of CICAO, offering a valuable tool for identifying candidates with a high likelihood of procedural success. Specific morphological and compositional features observed on MR-VWI; such as occlusions confined to the C1 segment, prominent hyperintense signals, and the absence of extensive calcification, significant tortuosity, or arterial collapse, were significantly associated with successful recanalization outcomes [24]. Interestingly, in our case, the patient had no history of stroke despite not undergoing surgical or endovascular intervention. This aligns with the conclusions of Sinha et al., suggesting that chronic occlusion with stable collateral circulation can frequently be managed conservatively, particularly in older patients, and that aggressive revascularization may not be necessary in all cases [25].
The primary limitation of this case report is that it presents a single patient; however, this limitation is mitigated by a literature-supported discussion that contextualizes the findings within broader clinical knowledge.
5. Conclusions
ICA agenesis is a rare congenital vascular anomaly, typically asymptomatic, yet it may occasionally manifest with a range of neurological symptoms. CICAO can present with similar radiological features and may be clinically silent or symptomatic, potentially leading to misdiagnosis as agenesis. In the present case, the patient exhibited pulsatile tinnitus and headache. While collateral flow through the anterior and posterior communicating arteries generally preserves cerebral perfusion, it may be inadequate in certain instances, predisposing patients to ischemic events. This report underscores the importance of evaluating the carotid canal as a key diagnostic marker in distinguishing ICA agenesis from chronic occlusion. Additionally, we aim to raise neurosurgical awareness regarding the diagnostic challenges, associated anomalies, and appropriate management strategies of this rare vascular entity.
Author Contributions
Conceptualization M.C.Y. and K.A.; methodology, M.C.Y.; software, M.C.Y.; validation, M.C.Y.; formal analysis, M.C.Y. and K.A.; investigation, M.C.Y. and K.A.; resources, M.C.Y.; data curation, M.C.Y.; writing—original draft preparation, M.C.Y. and K.A.; writing—review and editing, M.C.Y. and K.A.; visualization, M.C.Y.; supervision, M.C.Y.; project administration, M.C.Y. All authors have read and agreed to the published version of the manuscript.
Funding
This research received no external funding.
Institutional Review Board Statement
This study is a retrospective case report and does not involve any clinical trial or experimental procedure, we confirm that ethical approval from an institutional review board is not required.
Informed Consent Statement
All data used in the study were obtained with written informed consent from the patient, in full compliance with ethical standards and privacy regulations.
Data Availability Statement
The data is contained within this article.
Conflicts of Interest
The authors declare no conflicts of interest.
Abbreviations
The following abbreviations are used in this manuscript:
| ICA | Internal carotid artery |
| MRA | Magnetic resonance angiography |
| CTA | Computed tomography angiography |
| TOF | Time of flight |
| STA-MCA | Superficial temporal artery to middle cerebral artery |
| CICAO | Chronic internal carotid artery occlusion |
| CBF | Cerebral blood flow |
| MR-VWI | Magnetic resonance vessel wall imaging |
| TFI | Tinnitus functional index |
| VAS | Visual analog scale |
References
- Lee, J.-H.; Oh, C.W.; Lee, S.; Han, D. Aplasia of the internal carotid artery. Acta Neurochir. 2003, 145, 117–125. [Google Scholar] [CrossRef]
- Ide, C.; De Coene, B.; Mailleux, P.; Baudrez, V.; Ossemann, M.; Trigaux, J.-P. Hypoplasia of the internal carotid artery: A noninvasive diagnosis. Eur. Radiol. 2000, 10, 1865–1870. [Google Scholar] [CrossRef]
- Orakdöğen, M.; Berkman, Z.; Erşahin, M.; Biber, N.; Somay, H. Agenesis of the left internal carotid artery associated with anterior communicating artery aneurysm: Case report. Turk. Neurosurg. 2007, 17, 273–276. [Google Scholar]
- Lasjaunias, P.; Santoyo-Vazquez, A. Segmental agenesis of the internal carotid artery: Angiographic aspects with embryological discussion. Anat. Clin. 1984, 6, 133–141. [Google Scholar] [CrossRef]
- Kunishio, K.; Yamamoto, Y.; Sunami, N.; Asari, S. Agenesis of the left internal carotid artery, common carotid artery, and main trunk of the external carotid artery associated with multiple cerebral aneurysms. Surg. Neurol. 1987, 27, 177–181. [Google Scholar] [CrossRef]
- Hills, J.; Sament, S. Bilateral agenesis of the internal carotid artery associated with cardiac and other anomalies: Case report. Neurology 1968, 18, 142–146. [Google Scholar] [CrossRef] [PubMed]
- Kidooka, M.; Okada, T.; Handa, J. Agenesis of the internal carotid artery—Report of a case combined with arachnoid cyst in a child. Brain Nerve 1992, 44, 371–375. (In Japanese) [Google Scholar]
- Chen, M.-C.; Liu, H.-M.; Huang, K.-M. Agenesis of the internal carotid artery associated with neurofibromatosis type II. Am. J. Neuroradiol. 1994, 15, 1184–1186. [Google Scholar] [PubMed]
- Ji, R.; Deng, C.; Zhang, J.; Chen, H.; Xu, Z.; Hao, Z.; Luo, B. Abnormalities of regional brain activity in patients with asymptomatic internal carotid artery occlusion: A resting-state fMRI study. BMC Neurol. 2025, 25, 182. [Google Scholar] [CrossRef] [PubMed]
- Chaudhary, R.K.; Groskreutz, D.; Gupta, E.; Baghdadi, Y.; Smith, S.; Sapire, J. ICA agenesis with transcavernous anastomosis: A systematic review. Surg. Radiol. Anat. 2023, 45, 777–786. [Google Scholar] [CrossRef]
- Lie, T.; Hage, J. Congenital anomalies of the carotid arteries. Plast. Reconstr. Surg. 1968, 42, 283. [Google Scholar] [CrossRef]
- Cohen, J.E.; Gomori, J.M.; Leker, R.R. Internal carotid artery agenesis: Diagnosis, clinical spectrum, associated conditions and its importance in the era of stroke interventions. Neurol. Res. 2010, 32, 1027–1032. [Google Scholar] [CrossRef] [PubMed]
- Kiritsi, O.; Noussios, G.; Tsitas, K.; Lappas, D. Unilateral agenesis of the internal carotid artery presented as transient ischaemic attack: A case report. Surg. Radiol. Anat. 2012, 34, 475–477. [Google Scholar] [CrossRef]
- Khan, A.; Baheerathan, A.; Hussain, N.; Gosalakkal, J. Agenesis of the internal carotid artery associated with ipsilateral Horner syndrome in a child. Pediatr. Neurol. 2012, 47, 68–70. [Google Scholar] [CrossRef]
- Nomura, M.; Tamase, A.; Mori, K.; Seki, S.; Iida, Y.; Kawabata, Y.; Nakano, T. Agenesis of the left internal carotid artery associated with dolichoectatic intracranial arteries. J. Stroke Cerebrovasc. Dis. 2018, 27, e24–e26. [Google Scholar] [CrossRef]
- Suyama, K.; Mizota, S.; Minagawa, T.; Hayashi, K.; Miyazaki, H.; Nagata, I. A ruptured anterior communicating artery aneurysm associated with internal carotid artery agenesis and a middle cerebral artery anomaly. J. Clin. Neurosci. 2009, 16, 585–586. [Google Scholar] [CrossRef][Green Version]
- Lee, B.H. Unilateral agenesis of internal carotid artery associated with superior cerebellar artery aneurysm and anomalous origin of ophthalmic artery arising from the ipsilateral posterior communicating artery. Radiol. Case Rep. 2020, 15, 2200–2204. [Google Scholar] [CrossRef]
- Lall, A.; Yavagal, D.R.; Bornak, A. Chronic total occlusion and spontaneous recanalization of the internal carotid artery: Natural history and management strategy. Vascular 2021, 29, 733–741. [Google Scholar] [CrossRef]
- Korkmaz, B.; Benbir, G.; İnce, B. A case report on differential diagnosis of internal carotid artery agenesis or occlusion. Turk. J. Neurol. 2015, 21, 135–137. [Google Scholar] [CrossRef]
- Kaszczewski, P.; Elwertowski, M.; Leszczyński, J.; Ostrowski, T.; Kaszczewska, J.; Gałązka, Z. Intracranial flow volume estimation in patients with internal carotid artery occlusion. Diagnostics 2022, 12, 766. [Google Scholar] [CrossRef] [PubMed]
- Xu, B.; Li, C.; Guo, Y.; Xu, K.; Yang, Y.; Yu, J. Current understanding of chronic total occlusion of the internal carotid artery. Biomed. Rep. 2018, 8, 117–125. [Google Scholar] [CrossRef] [PubMed]
- Mei, F.; Zhang, W.; Jiang, P.; Tan, C.; Cui, Y.; Fan, J.; Zhang, W.W. Comparison of the treatment strategies for symptomatic chronic internal carotid artery occlusion. J. Vasc. Surg. 2025, 81, 494–504.e2. [Google Scholar] [CrossRef] [PubMed]
- Cao, G.; Hu, J.; Tian, Q.; Dong, H.; Zhang, W.W. Surgical therapy for chronic internal carotid artery occlusion: A systematic review and meta-analysis. Updates Surg. 2021, 73, 2065–2078. [Google Scholar] [CrossRef] [PubMed]
- Zhang, J.; Ding, S.; Zhao, B.; Sun, B.; Guo, Q.; Pan, Y.; Li, X.; Wang, L.; Zhang, J.; Tian, J. Morphological and compositional features of chronic internal carotid artery occlusion in MR vessel wall imaging predict successful endovascular recanalization. Diagnostics 2023, 13, 147. [Google Scholar] [CrossRef]
- Sinha, A.; Gupta, M.; Bhaskar, S.M. Evolucollateral dynamics in stroke: Evolutionary pathophysiology, remodelling and emerging therapeutic strategies. Eur. J. Neurosci. 2024, 60, 6779–6798. [Google Scholar] [CrossRef]
Disclaimer/Publisher’s Note: The statements, opinions and data contained in all publications are solely those of the individual author(s) and contributor(s) and not of MDPI and/or the editor(s). MDPI and/or the editor(s) disclaim responsibility for any injury to people or property resulting from any ideas, methods, instructions or products referred to in the content. |
© 2025 by the authors. Published by MDPI on behalf of the Swiss Federation of Clinical Neuro-Societies. Licensee MDPI, Basel, Switzerland. This article is an open access article distributed under the terms and conditions of the Creative Commons Attribution (CC BY) license (https://creativecommons.org/licenses/by/4.0/).





