Sign in to use this feature.

Years

Between: -

Subjects

remove_circle_outline
remove_circle_outline
remove_circle_outline
remove_circle_outline
remove_circle_outline
remove_circle_outline
remove_circle_outline

Journals

Article Types

Countries / Regions

remove_circle_outline
remove_circle_outline
remove_circle_outline
remove_circle_outline

Search Results (239)

Search Parameters:
Keywords = agenesis

Order results
Result details
Results per page
Select all
Export citation of selected articles as:
25 pages, 640 KB  
Article
Integrated Prenatal Genetic Evaluation of Renal Agenesis: Chromosomal Microarray Analysis, Whole Exome Sequencing, and Outcome Correlations in 203 Fetuses
by Na Zhang, Ruibin Huang, Fang Fu, Hang Zhou, Ru Li and Can Liao
Genes 2026, 17(2), 176; https://doi.org/10.3390/genes17020176 - 31 Jan 2026
Viewed by 78
Abstract
Objectives: To characterize the prenatal phenotypic spectrum, genetic findings, and pregnancy outcomes of fetal renal agenesis (RA), and to clarify the complementary roles of chromosomal microarray analysis (CMA) and whole exome sequencing (WES) in phenotype-stratified prenatal evaluation. Methods: This retrospective study included 203 [...] Read more.
Objectives: To characterize the prenatal phenotypic spectrum, genetic findings, and pregnancy outcomes of fetal renal agenesis (RA), and to clarify the complementary roles of chromosomal microarray analysis (CMA) and whole exome sequencing (WES) in phenotype-stratified prenatal evaluation. Methods: This retrospective study included 203 RA fetuses between March 2017 and November 2025. All cases underwent genome-wide copy number variant (CNV) analysis, and selected cases underwent WES. Detection rates were compared across subgroups by laterality, isolated vs. non-isolated phenotype, fetal sex, and presence of extrarenal anomalies. Pregnancy outcomes and postnatal imaging follow-up were collected when available. A systematic literature review of prenatal genetic testing in RA fetuses was performed. Results: Among 203 fetuses, unilateral RA accounted for 92.6% of cases, and 65.0% were isolated. Chromosomal abnormalities were identified in 15 fetuses (7.4%), including aneuploidies and pathogenic or likely pathogenic (P/LP) CNVs. WES identified P/LP single nucleotide variants in 8 of 127 cases (6.3%), increasing to 8.7% when variants with potential clinical relevance were included. Diagnostic yield of WES was significantly higher in bilateral RA, non-isolated cases, and fetuses with extrarenal anomalies. Postnatal follow-up confirmed RA in most liveborn cases, although additional phenotypes emerged in some children. Literature synthesis identified recurrent CNVs at 16p11.2 and 22q11.21 and frequent involvement of FRAS1, FREM2, GFRA1, and GREB1L. Conclusions: RA shows marked phenotypic and genetic heterogeneity. CMA remains a first-tier prenatal test, while WES provides substantial incremental yield in bilateral, non-isolated, or extrarenal-associated RA. Integrated, phenotype-driven testing with longitudinal follow-up supports improved prognostication and genetic counseling. Full article
8 pages, 3248 KB  
Case Report
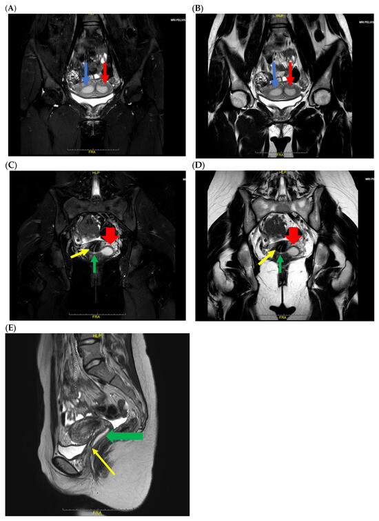
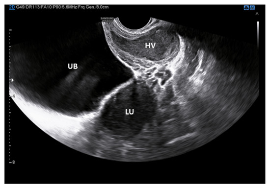
Recurrent Vulvovaginitis as an Unusual Presentation of Diagnosed Obstructed Hemivagina and Ipsilateral Renal Anomalies (OHVIRA) Syndrome in an Adolescent: A Case Report and Review of the Literature
by Ju Seok Yang, Ji Eun Park and Hyen Chul Jo
J. Clin. Med. 2026, 15(2), 440; https://doi.org/10.3390/jcm15020440 - 6 Jan 2026
Viewed by 226
Abstract
Background: Vulvovaginitis is a common condition in pediatric and adolescent female patients and is most frequently caused by infection. Although non-infectious etiologies are less common, they should be considered, particularly in cases that are refractory to standard treatment. Case: We report a rare [...] Read more.
Background: Vulvovaginitis is a common condition in pediatric and adolescent female patients and is most frequently caused by infection. Although non-infectious etiologies are less common, they should be considered, particularly in cases that are refractory to standard treatment. Case: We report a rare case of a 16-year-old adolescent who was ultimately diagnosed with obstructed hemivagina and ipsilateral renal anomalies (OHVIRA) syndrome after experiencing recurrent vulvovaginitis for more than one year. Despite repeated antimicrobial treatments, her symptoms persisted. Further imaging studies revealed uterine didelphys with an obstructed hemivagina and ipsilateral renal agenesis. Surgical resection of the vaginal septum resulted in complete resolution of symptoms. Conclusions: Müllerian anomalies, such as OHVIRA syndrome, should be considered in the differential diagnosis for adolescents with recurrent vulvovaginitis refractory to conventional therapy. Delayed diagnosis may result in complications that significantly impair both quality of life and future reproductive potential. Full article
(This article belongs to the Section Clinical Pediatrics)
Show Figures

Figure 1

23 pages, 919 KB  
Review
Mayer–Rokitansky–Kuster–Hauser Syndrome: From Radiological Diagnosis to Further Challenges—Review and Update
by Calin Schiau, Csaba Csutak, Anca Ileana Ciurea, Roxana Pintican, Ioana-Teofana Dulgheriu and Simona Manole
Diagnostics 2026, 16(1), 138; https://doi.org/10.3390/diagnostics16010138 - 1 Jan 2026
Viewed by 504
Abstract
Mayer–Rokitansky–Küster–Hauser (MRKH) syndrome encompasses a range of Müllerian duct anomalies characterized by congenital absence of the uterus and the upper two-thirds of the vagina in young women who otherwise exhibit normal endocrine function and a 46,XX karyotype. MRKH syndrome can occur in an [...] Read more.
Mayer–Rokitansky–Küster–Hauser (MRKH) syndrome encompasses a range of Müllerian duct anomalies characterized by congenital absence of the uterus and the upper two-thirds of the vagina in young women who otherwise exhibit normal endocrine function and a 46,XX karyotype. MRKH syndrome can occur in an isolated form (type I) or in association with other congenital anomalies (type II or MURCS association), which may include renal, vertebral, auditory, and cardiac defects. It represents one of the most frequent causes of primary amenorrhea, affecting approximately 1 in every 4000–5000 women. MRKH syndrome often remains undiagnosed until a patient presents with primary amenorrhea, despite normal development of secondary sexual characteristics. Both genetic and non-genetic factors have been proposed as contributing to abnormal embryonic development, although the exact etiopathogenesis remains unclear. Imaging plays a key role in the evaluation of genital tract anomalies, allowing non-invasive and comprehensive assessment. Alongside physical examination and pelvic ultrasound, pelvic MRI is essential for identifying the presence of rudimentary uterine tissue. MRKH syndrome can have profound and lasting psychological impacts, making it essential for patients and their families to receive counseling both before and throughout treatment. A range of therapeutic options—both surgical and non-surgical—have been proposed for managing MRKH syndrome. Vaginal dilation remains the first-line treatment, as it offers high success rates with minimal risk of complications. Vaginoplasty is considered a second-line option for patients who do not respond to dilation therapy. Additionally, uterine transplantation and gestational surrogacy provide opportunities for women with MRKH syndrome to achieve biological motherhood. This review provides an updated overview of Mayer–Rokitansky–Küster–Hauser (MRKH) syndrome, encompassing its etiological, clinical, diagnostic, psychological, therapeutic, and reproductive aspects. We also present a case involving a 19-year-old woman with MRKH syndrome who presented with primary amenorrhea, highlighting the crucial role and advantages of MRI in diagnosis, differential assessment, and treatment planning. Full article
Show Figures

Figure 1

8 pages, 1734 KB  
Case Report
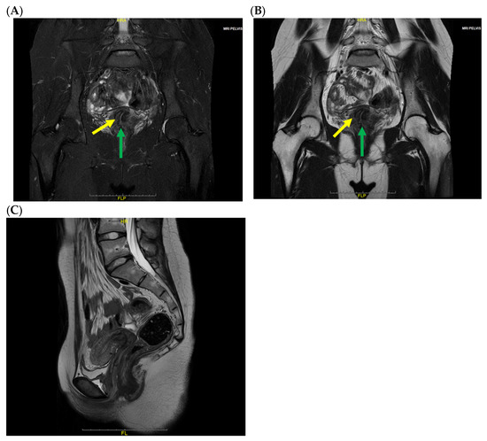
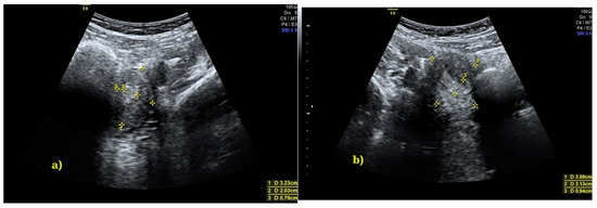
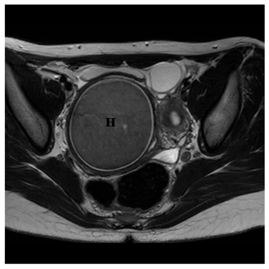
Diagnostic Challenges of OHVIRA Syndrome—A Case Report
by Paulina Tomecka, Adam Jagodziński, Justyna Łuczak, Łukasz Waszczuk and Marek Murawski
J. Clin. Med. 2026, 15(1), 190; https://doi.org/10.3390/jcm15010190 - 26 Dec 2025
Viewed by 353
Abstract
Background and Clinical Significance: Herlyn–Werner–Wunderlich (HWW) syndrome, also known as OHVIRA syndrome (Obstructed HemiVagina and Ipsilateral Renal Anomaly), is a rare congenital anomaly of the female urogenital system characterized by uterine duplication, unilateral vaginal obstruction, and renal agenesis on the same side. [...] Read more.
Background and Clinical Significance: Herlyn–Werner–Wunderlich (HWW) syndrome, also known as OHVIRA syndrome (Obstructed HemiVagina and Ipsilateral Renal Anomaly), is a rare congenital anomaly of the female urogenital system characterized by uterine duplication, unilateral vaginal obstruction, and renal agenesis on the same side. The condition often remains undiagnosed until adolescence, when it presents with palpable pelvic mass, dysmenorrhea, and chronic pelvic pain. Case report: We present the case of a 13-year-old female patient diagnosed with OHVIRA syndrome following imaging studies. Surgical treatment involved incision of the vaginal septum and evacuation of accumulated blood, leading to symptom resolution and restoration of reproductive tract patency. Conclusions: This article discusses the clinical characteristics, diagnostic challenges, and the importance of early surgical intervention, emphasizing the necessity of considering this syndrome in the differential diagnosis of adolescent females with cyclic abdominal pain and renal anomalies. Early diagnosis and treatment can prevent severe health complications and improve both patients’ quality of life and fertility. Full article
(This article belongs to the Section Clinical Pediatrics)
Show Figures

Figure 1

10 pages, 4722 KB  
Case Report
Concurrent Congenital Umbilicobiliary Fistula and Vesicourachal Diverticula in a Dog
by Sathidpak N. Assawarachan, Veerada Wachirodom, Benjang Hakhen, Piyathip Chuchalermporn, Rungrueang Yodsheewan, Phudit Maneesaay, John M. Cullen, Jonathan A. Lidbury and Panpicha Sattasathuchana
Animals 2025, 15(24), 3626; https://doi.org/10.3390/ani15243626 - 17 Dec 2025
Viewed by 356
Abstract
Congenital umbilicobiliary fistula is a rare disease reported in humans and dogs. A 2-month-old, intact, male French Bulldog presented with a greenish-yellow discharge dripping from the umbilicus since birth. Complete blood count and serum biochemistry were within normal limits, but serum alkaline phosphatase [...] Read more.
Congenital umbilicobiliary fistula is a rare disease reported in humans and dogs. A 2-month-old, intact, male French Bulldog presented with a greenish-yellow discharge dripping from the umbilicus since birth. Complete blood count and serum biochemistry were within normal limits, but serum alkaline phosphatase activity was mildly elevated. A positive contrast cystogram was performed to rule out a patent urachus and confirmed the presence of a vesicourachal diverticula, a type of urachal anomalies. An abdominal ultrasound and computed tomography fistulogram demonstrated a communication between the umbilicus and common bile duct, which suggested an umbilicobiliary fistula. Surgical correction of the umbilicobiliary fistula and vesicourachal diverticula was successfully performed with an uneventful recovery. Histological analysis of the fistulous tract demonstrated a cuboidal/columnar lining epithelium that transitioned to squamous epithelium near the umbilicus. Agenesis of the gallbladder was noted. The application of multiple imaging techniques in the diagnosis and surgical correction of these congenital abnormalities (umbilicobiliary fistula, gallbladder agenesis, and vesicourachal diverticula) was beneficial for treatment planning and outcome. Full article
(This article belongs to the Special Issue Companion Animal Neonatal Health)
Show Figures

Figure 1

18 pages, 1287 KB  
Systematic Review
Clinical and Molecular Spectrum of PPP2R1A-Related Neurodevelopmental Disorders: A Systematic Review
by Jaewoong Lee, Ari Ahn, Jaeeun Yoo and Seungok Lee
Genes 2025, 16(12), 1508; https://doi.org/10.3390/genes16121508 - 16 Dec 2025
Viewed by 534
Abstract
Background/Objectives: PPP2R1A encodes the scaffold subunit Aα of protein phosphatase 2A (PP2A). Pathogenic variants cause Houge-Janssens syndrome 2, a rare neurodevelopmental disorder characterized by developmental delay, intellectual disability, epilepsy, and brain malformations. We systematically reviewed published cases to define the clinical spectrum, [...] Read more.
Background/Objectives: PPP2R1A encodes the scaffold subunit Aα of protein phosphatase 2A (PP2A). Pathogenic variants cause Houge-Janssens syndrome 2, a rare neurodevelopmental disorder characterized by developmental delay, intellectual disability, epilepsy, and brain malformations. We systematically reviewed published cases to define the clinical spectrum, characterize the mutational landscape, and explore genotype–phenotype correlations. Methods: We conducted systematic searches of PubMed, Embase, and Web of Science from inception to March 2025, supplemented by GeneReviews and OMIM references. Studies reporting PPP2R1A variants with clinical data were included. Data extraction followed PRISMA guidelines, encompassing study characteristics, genetic findings, and phenotypic features. Results: We identified 16 studies representing 60 patients with PPP2R1A-related disorders. Twenty-six distinct pathogenic variants were identified; these were predominantly de novo heterozygous missense changes clustering within HEAT repeats 5–7. Recurrent hotspots included p.Arg182Trp (n = 12) and p.Arg183Gln (n = 5). Developmental delay and intellectual disability were universally present in all patients for whom data were available (100%, 58/58). Epilepsy occurred in 50.9% (29/57), and structural brain abnormalities in 83.1% (49/59), with corpus callosum abnormalities (40.7%, 24/59) and ventriculomegaly (32.2%, 19/59) being most frequent. Microcephaly was reported in 17.2% (10/58) and macrocephaly in 25.9% (15/58), while dysmorphic features were present in 53.4% (31/58). The phenotypic spectrum ranged from severe neonatal presentations with high mortality to milder neurodevelopmental courses, with prenatal manifestations including ventriculomegaly, corpus callosum abnormalities, and rare cardiac defects. Clear genotype–phenotype correlations emerged, with HEAT5 variants (p.Arg182Trp, p.Arg183Gln) associated with severe phenotypes and increased mortality, while p.Arg258His variants demonstrated comparatively milder courses. Conclusions: PPP2R1A-related disorders encompass a broad clinical spectrum ranging from lethal neonatal disease to survivable forms with variable neurodevelopmental outcomes. Prenatal features including ventriculomegaly and corpus callosum abnormalities enable early genetic diagnosis, informing reproductive counseling. Recognition of recurrent hotspot variants and their phenotype associations facilitates diagnosis, prognosis, and genetic counseling. These findings provide evidence-based guidance for clinical management and highlight the importance of variant-specific prognostication in this emerging neurodevelopmental disorder. Full article
(This article belongs to the Section Human Genomics and Genetic Diseases)
Show Figures

Figure 1

12 pages, 2898 KB  
Case Report
Multi-Omics Characterization of a Novel SSR4 Variant in Congenital Disorders of Glycosylation
by Nurulamin Abu Bakar, Nurul Izzati Hamzan, Elyssa Milus Majawit, Siti Nurwani Ahmad Ridzuan, Noor Hafizah Hassan, Anasufiza Habib and Lock-Hock Ngu
Metabolites 2025, 15(12), 786; https://doi.org/10.3390/metabo15120786 - 8 Dec 2025
Viewed by 492
Abstract
Background: Congenital disorders of glycosylation (CDG) are rare inborn errors of metabolism with multisystemic manifestations. SSR4-CDG is an ultra-rare X-linked subtype caused by pathogenic variants in SSR4, a component of the translocon-associated protein (TRAP) complex essential for protein translocation and N-glycosylation. [...] Read more.
Background: Congenital disorders of glycosylation (CDG) are rare inborn errors of metabolism with multisystemic manifestations. SSR4-CDG is an ultra-rare X-linked subtype caused by pathogenic variants in SSR4, a component of the translocon-associated protein (TRAP) complex essential for protein translocation and N-glycosylation. Case presentation: We report a two-year-old Malaysian male presenting with global developmental delay, central hypotonia, microcephaly with complete agenesis of the corpus callosum, recurrent infections, bilateral vesicoureteral reflux, and failure to thrive. Growth parameters (weight, length, and head circumference) were persistently below the expected percentiles, indicating postnatal growth restriction. Initial metabolic and biochemical investigations for global developmental delay were unremarkable, apart from mild hyperammonemia. Transferrin isoform analysis demonstrated a type I CDG pattern, raising suspicion of a glycosylation defect. Results: Transferrin glycopeptide LC–MS/MS showed impaired N-glycan occupancy at both glycosylation sites (Asn432 and Asn630), with reduced fully sialylated glycoforms and increased non-glycosylated peptides. Targeted metabolomics using triple quadrupole LC–MS/MS revealed systemic abnormalities, including elevated arginine and phenylalanine, reduced glutamate, increased lysophosphatidylcholine (C24:0-LPC), and generalized depletion of free and acylcarnitines. Whole-exome sequencing identified a novel hemizygous SSR4 variant (c.98del; p.Pro33LeufsTer23) on the X chromosome, predicted to produce a truncated, nonfunctional protein. Conclusions: This is the first Malaysian patient with SSR4-CDG, comprehensively characterized using a multi-omics diagnostic workflow. The integration of glycoproteomics, metabolomics, and exome sequencing provided a detailed biochemical fingerprint that expands the clinical, genetic, and metabolic spectrum of SSR4-CDG and demonstrates the diagnostic and translational value of multi-omics approaches in inborn errors of metabolism. Full article
(This article belongs to the Special Issue Advances in Metabolomics and Multi-Omics Integration)
Show Figures

Figure 1

31 pages, 2851 KB  
Review
Genetic, Clinical and Neuroradiological Spectrum of MED-Related Disorders: An Updated Review
by Alessandro Fazio, Roberta Leonardi, Lorenzo Aliotta, Manuela Lo Bianco, Gennaro Anastasio, Giuseppe Messina, Corrado Spatola, Pietro Valerio Foti, Stefano Palmucci, Antonio Basile, Martino Ruggieri and Emanuele David
Genes 2025, 16(12), 1444; https://doi.org/10.3390/genes16121444 - 2 Dec 2025
Viewed by 960
Abstract
Background/Objectives: The Mediator (MED) complex is an essential regulator of RNA polymerase II transcription. There is increasing evidence that pathogenic variants in several MED subunits are the cause of neurodegenerative and neurodevelopmental phenotypes, collectively referred to as “MEDopathies”. This review aims to summarize [...] Read more.
Background/Objectives: The Mediator (MED) complex is an essential regulator of RNA polymerase II transcription. There is increasing evidence that pathogenic variants in several MED subunits are the cause of neurodegenerative and neurodevelopmental phenotypes, collectively referred to as “MEDopathies”. This review aims to summarize current knowledge on the genetic basis, clinical manifestations, and neuroradiological features of MED-related disorders. Methods: We undertook a narrative synthesis of the literature focusing on the MED subunits most commonly associated with neurological disorders, including MED1, MED8, MED11, MED12/MED12L, MED13/MED13L, MED14, MED17, MED20, MED23, MED25, MED27, and CDK8. Sources included peer-reviewed genetic, clinical, and imaging studies, supplemented by relevant case reports and cohort analyses. In addition, representative facial phenotypes associated with selected MED variants (MED11, MED12, MED13, MED13L, MED25) were visualized for educational purposes using artificial intelligence-based image generation derived from standardized clinical descriptors. Results: All MEDopathies show converging clinical patterns: global developmental delay/intellectual disability, hypotonia, epilepsy, speech disorders, and behavioral comorbidity. Non-neurological involvement, such as craniofacial or cardiac anomalies, is subunit-specific. Neuroradiological features include callosal abnormalities (agenesis, thinning, dysmorphia), delayed or hypomyelination, progressive cerebral and cerebellar atrophy, basal ganglia signaling changes, pontine hypoplasia, and, in MED27 deficiency, a “hot cross bun” sign. Gene-specific constellations emphasize catastrophic infantile progression (MED11), X-linked syndromes with callosal defects (MED12/MED12L), language-dominant phenotypes (MED13), and syndromic intellectual disability with systemic features (MED13L). Conclusions: The growing spectrum of MEDopathies argues for their recognition as a unified nosological group with overlapping clinical and radiological signatures. Characteristic MRI constellations may serve as diagnostic clues and guide targeted molecular testing. Future directions include longitudinal imaging to describe disease progression and the integration of genomic data with curated clinical radiological datasets to refine genotype-phenotype correlations. Full article
Show Figures

Figure 1

31 pages, 1434 KB  
Review
Tricuspid Atresia and Fontan Circulation: Anatomy, Physiology, and Perioperative Considerations
by Madison Garrity, Jeremy Poppers, Deborah Richman and Jonathan Bacon
Hearts 2025, 6(4), 30; https://doi.org/10.3390/hearts6040030 - 28 Nov 2025
Viewed by 3057
Abstract
Tricuspid atresia (TA) is a cyanotic congenital heart defect defined by agenesis of the tricuspid valve and resultant right ventricular hypoplasia, representing 1.4–2.9% of congenital heart disease. Survival depends on interatrial and interventricular shunts that permit systemic and pulmonary blood flow, with staged [...] Read more.
Tricuspid atresia (TA) is a cyanotic congenital heart defect defined by agenesis of the tricuspid valve and resultant right ventricular hypoplasia, representing 1.4–2.9% of congenital heart disease. Survival depends on interatrial and interventricular shunts that permit systemic and pulmonary blood flow, with staged surgical palliation culminating in the Fontan procedure. While surgical advances have improved long-term outcomes, Fontan circulation remains a delicate physiology characterized by preload dependence, elevated pulmonary vascular resistance, chronic venous hypertension, and a prothrombotic state. These features predispose patients to arrhythmias, lymphatic complications, hepatic congestion, and progressive circulatory failure. For anesthesiologists, perioperative management of TA and Fontan patients is uniquely complex. Anesthetic considerations include meticulous preload optimization, modulation of systemic and pulmonary vascular resistance, and ventilatory strategies that minimize adverse effects on venous return. Additional challenges include the high risk of air embolism, individualized anticoagulation needs, and hemodynamic sensitivity to patient positioning. Preoperative evaluation with echocardiography and electrocardiography provides critical insight into anatomy and physiology, while intraoperative planning must emphasize goal-directed fluid management, careful agent selection, and tailored ventilation. Postoperatively, vigilant monitoring, effective pain control, and prevention of complications are essential. This review synthesizes classification systems, pathophysiology, and the evolution of surgical palliation, while emphasizing anesthetic principles for the perioperative care of patients with TA and Fontan circulation. As survival improves and the population of Fontan patients expands, a nuanced understanding of this physiology is essential for optimizing outcomes across cardiac and non-cardiac surgical settings. Full article
Show Figures

Graphical abstract

8 pages, 7313 KB  
Case Report
Prenatal Diagnosis of 6q Terminal Deletion Associated with Coffin–Siris Syndrome: Phenotypic Delineation and Review
by Christian Peña-Padilla, David Alejandro Martínez-Ceccopieri, Evelin Montserrat García-Hernández, Lucina Bobadilla-Morales and Jorge Román Corona-Rivera
Genes 2025, 16(11), 1365; https://doi.org/10.3390/genes16111365 - 10 Nov 2025
Viewed by 658
Abstract
Chromosome 6q deletion syndrome is a rare entity that has a highly variable clinical presentation and size of deletions. The most frequent manifestations of 6q terminal deletion are intellectual disability, facial dysmorphism, brain structural anomalies, and congenital heart defects. The phenotype is not [...] Read more.
Chromosome 6q deletion syndrome is a rare entity that has a highly variable clinical presentation and size of deletions. The most frequent manifestations of 6q terminal deletion are intellectual disability, facial dysmorphism, brain structural anomalies, and congenital heart defects. The phenotype is not clinically recognizable, except in those who harbor a terminal 6q deletion that includes the ARID1B gene, in whom features similar to Coffin–Siris syndrome (CSS) can be observed. We report the case of a female newborn with a prenatal diagnosis of a terminal deletion on 6q25.1q27, which encompasses the ARID1B gene, and who was diagnosed with CSS during the neonatal period. From our review, we found that facial gestalt, hypertrichosis, and fifth fingernail aplasia/hypoplasia, along with other features, such as vertebral defects and cystic hygroma (or webbed neck), correlated with the presence of a CSS causally related to 6q25.3 small deletions that include the ARID1B gene. Full article
(This article belongs to the Section Genetic Diagnosis)
Show Figures

Figure 1

19 pages, 341 KB  
Review
Molecular Genetics of Primary Congenital Hypothyroidism: Established and Emerging Contributors to Thyroid Dysgenesis
by Niki Dermitzaki, Anastasios Serbis, Maria Baltogianni, Dimitra Gialamprinou, Lida Eleni Giaprou, Chrysoula Kosmeri and Vasileios Giapros
Int. J. Mol. Sci. 2025, 26(22), 10849; https://doi.org/10.3390/ijms262210849 - 8 Nov 2025
Viewed by 1173
Abstract
Congenital hypothyroidism (CH) is one of the most common endocrine disorders of childhood. The primary form of CH is attributable to thyroid dysgenesis (agenesis, hypoplasia, or ectopy) in 65–85% of cases, with the remaining cases being attributed to dyshormogenesis. Thyroid dysgenesis was considered [...] Read more.
Congenital hypothyroidism (CH) is one of the most common endocrine disorders of childhood. The primary form of CH is attributable to thyroid dysgenesis (agenesis, hypoplasia, or ectopy) in 65–85% of cases, with the remaining cases being attributed to dyshormogenesis. Thyroid dysgenesis was considered a sporadic disease. However, the recent advantages of molecular techniques have significantly contributed to the understanding of the pathogenesis of the disease. The higher prevalence of congenital malformations and syndromes in patients with CH compared to the general population supports the genetic basis. This narrative review aims to provide an overview of the identified and potential genetic causes of thyroid dysgenesis. Mutations in ten genes involved in thyroid gland development during embryogenesis, TSHR, PAX8, NKX2-1, NKX2-5, FOXE1, JAG1, NTN1, GLIS3, CDC8A, and TUBB1, have been identified in cohorts of patients with thyroid dysgenesis. However, most cases remain unexplained. Novel candidate genes have been proposed. The extant evidence suggests that the pathogenesis of thyroid dysgenesis involves a spectrum of genetic etiologies, ranging from monogenic to multigenic, and that epigenetic or environmental factors may also contribute. As molecular techniques are continuously refined, future studies are expected to elucidate the complex genetic background of thyroid dysgenesis. Full article
(This article belongs to the Section Molecular Genetics and Genomics)
16 pages, 1459 KB  
Systematic Review
The Association Between Non-Syndromic Tooth Agenesis and MSX1, AXIN2, WNT10A, EDA, EDAR, and EDARADD Gene Mutations: A Systematic Review
by Fotios Bakouros-Kouroupakis, Ioannis Tsolianos and Eleni Kotsiomiti
Prosthesis 2025, 7(6), 142; https://doi.org/10.3390/prosthesis7060142 - 5 Nov 2025
Viewed by 1130
Abstract
Background: Tooth development or odontogenesis is a complicated, multi-staged process, regulated by a plethora of genes. Disruptions during the early stages of odontogenesis may cause the complete absence of one or more teeth, known as tooth agenesis (TA). Except for PAX9, alterations [...] Read more.
Background: Tooth development or odontogenesis is a complicated, multi-staged process, regulated by a plethora of genes. Disruptions during the early stages of odontogenesis may cause the complete absence of one or more teeth, known as tooth agenesis (TA). Except for PAX9, alterations in MSX1, AXIN2, WNT10A, and EDA/EDAR/EDARADD have gathered an increasing amount of interest. Objectives: This systematic review aims to investigate whether non-syndromic tooth agenesis (NSTA) is associated with MSX1, AXIN2, WNT10A, and EDA/EDAR/EDARADD mutations and to list the related phenotypic patterns of these alterations with regard to missing teeth. Methods: MEDLINE, Scopus, and Web of Science were the three selected databases. Duplicates were removed using Mendeley, and the records were assessed via the Rayyan platform. The Newcastle–Ottawa Scale was used to evaluate the quality of the evidence. Results: Fifteen case–control studies were eligible for this systematic review. The MSX1 gene was examined in most studies, whereas second premolars and lateral incisors were the most commonly missing teeth among TA cases. In total, 61.29% to 84.9% of the cases included one or two absent teeth. Conclusions: Due to the considerable heterogeneity in reporting results across the included studies, along with the high risk of bias present in most of them, it was not feasible to conduct a meta-analysis of the data. Nonetheless, the findings suggest that the NSTA phenotypes linked to the studied genes are similar to those associated with other forms of TA and share a common pattern of missing teeth. Future research should adopt a more standardized approach in presenting findings by adhering to established terminology and definitions and by utilizing common cut-off points to categorize results. Full article
(This article belongs to the Section Prosthodontics)
Show Figures

Figure 1

18 pages, 5897 KB  
Case Report
From Overgrowth to Complex Malformations: A Novel EZH2 Variant Reveals the Expanding Clinical Spectrum of Weaver Syndrome
by Chung-Lin Lee, Chih-Kuang Chuang, Huei-Ching Chiu, Ya-Hui Chang, Yuan-Rong Tu, Yun-Ting Lo, Jun-Yi Wu, Hsiang-Yu Lin and Shuan-Pei Lin
Children 2025, 12(11), 1487; https://doi.org/10.3390/children12111487 - 3 Nov 2025
Viewed by 1165
Abstract
Weaver syndrome is a rare congenital overgrowth disorder caused by pathogenic EZH2 variants. This study reports a novel EZH2 variant associated with atypical manifestations, including severe bilateral camptodactyly and complex brain malformations. A 4-year-old Taiwanese female exhibited classical Weaver syndrome features including macrosomia, [...] Read more.
Weaver syndrome is a rare congenital overgrowth disorder caused by pathogenic EZH2 variants. This study reports a novel EZH2 variant associated with atypical manifestations, including severe bilateral camptodactyly and complex brain malformations. A 4-year-old Taiwanese female exhibited classical Weaver syndrome features including macrosomia, macrocephaly, hypertelorism, and developmental delay, plus atypical findings of severe bilateral camptodactyly and complex brain malformations. Neuroimaging revealed corpus callosum dysgenesis with rostral agenesis and genu hypoplasia, bilateral frontal lobe hypoplasia, and an arachnoid cyst. The patient demonstrated global developmental delay with marked motor impairment but less severely affected speech and cognition, consistent with mild intellectual disability. Whole-exome sequencing identified a novel de novo pathogenic variant in EZH2: c.449T>C (p.Ile150Thr), affecting a highly conserved amino acid within the SANT domain. This case broadens the clinical spectrum of Weaver syndrome by highlighting severe camptodactyly and complex brain malformations as possible EZH2-related manifestations. The corpus callosum dysgenesis suggests a wider role of EZH2 in neurodevelopment than previously recognized. The novel SANT domain variant may explain the severe phenotypic presentation. The novel EZH2 variant c.449T>C (p.Ile150Thr) expands the molecular and phenotypic spectrum of Weaver syndrome. These findings underscore the importance of comprehensive neuroimaging and molecular genetic testing in suspected cases, particularly atypical presentations. Full article
Show Figures

Figure 1

10 pages, 397 KB  
Article
Malocclusion Complexity in Patients with Dental Anomalies—A Case–Control Study
by María Fernanda Romero-Noh, José Rubén Herrera-Atoche, Iván Daniel Zúñiga-Herrera, Bertha Arelly Carrillo-Ávila, Víctor Manuel Martínez-Aguilar and Laura Beatriz Pérez-Traconis
Dent. J. 2025, 13(11), 506; https://doi.org/10.3390/dj13110506 - 3 Nov 2025
Viewed by 796
Abstract
Background/Objectives: This study aimed to evaluate the impacts of various dental anomalies on the complexity of malocclusion. Methods: This retrospective cross-sectional study employed a case–control design. The sample comprised 140 patients, 59 cases, and 81 controls. The Index of Complexity Outcome [...] Read more.
Background/Objectives: This study aimed to evaluate the impacts of various dental anomalies on the complexity of malocclusion. Methods: This retrospective cross-sectional study employed a case–control design. The sample comprised 140 patients, 59 cases, and 81 controls. The Index of Complexity Outcome and Need (ICON) was used to calculate a score indicating the complexity of the malocclusion. According to the ICON score, the level of malocclusion complexity was classified into easy, mild, moderate, difficult, and very difficult. The cases were subdivided into three groups based on their dental anomaly type (number, shape, or eruption anomalies). A chi-square test was used to compare the distribution of cases and controls across the ICON levels (p < 0.05). A t-test and an ANOVA with Tukey’s post hoc test were used to evaluate the differences in the ICON scores among groups (p < 0.05). Results: The mean values of the ICON score were 56.77 ± 17.1 for the cases and 47.44 ± 17.54 for the controls (p = 0.002). Most patients in the case group were within the highest three ICON levels, while most controls were in the lowest three (p = 0.022). Patients with eruption anomalies had a higher ICON score, compared to the controls and those in other dental anomaly groups (p = 0.001). Conclusions: The presence of dental anomalies increases the complexity of malocclusion. Eruption anomalies are more complex to resolve than number and shape anomalies, due to their impact on occlusion and aesthetics. Full article
(This article belongs to the Special Issue Impacted Teeth: Biological Heritage or Clinical Limit?)
Show Figures

Figure 1

17 pages, 4035 KB  
Article
Identification of a Novel EVC2 Variant in a Family with Non-Syndromic Tooth Agenesis and Its Potential Functional Implications
by Changqing Yan, Jie Li, Chenying Zhang, Yang Liu, Xiaozhe Wang and Shuguo Zheng
Genes 2025, 16(11), 1288; https://doi.org/10.3390/genes16111288 - 30 Oct 2025
Viewed by 585
Abstract
Background/Objectives: Non-syndromic tooth agenesis (NSTA) is a congenital condition that causes the absence of one or more teeth without accompanying systemic abnormalities, which significantly affects quality of life. Genetic factors, including mutations in several specific genes, contribute to the pathogenesis of NSTA. [...] Read more.
Background/Objectives: Non-syndromic tooth agenesis (NSTA) is a congenital condition that causes the absence of one or more teeth without accompanying systemic abnormalities, which significantly affects quality of life. Genetic factors, including mutations in several specific genes, contribute to the pathogenesis of NSTA. This study investigates a novel EVC2 mutation in a patient with NSTA and explores its potential pathogenic mechanism, with the aim of enriching the spectrum of pathogenic genes. Methods: Whole-exome sequencing (WES) was performed on peripheral blood samples from a patient diagnosed with NSTA. Bioinformatics analysis was utilized to identify the mutation and assess its potential impact on protein structure and function. Molecular dynamics simulations were conducted to analyze structural alterations in the EVC2 protein. The binding affinity between EVC2, EVC, and Smoothened (SMO) was to determine the effect of mutation on protein–protein interaction. Protein localization and expression were analyzed using immunofluorescence and Western blotting. Reverse transcription quantitative PCR (RT-qPCR) was employed to evaluate downstream signaling pathway alterations. Results: A novel EVC2 mutation (c.1657_1660delinsA, p.Glu553_leu554delinsMet) was identified in the proband, and the mutation was maternally inherited. Molecular dynamics simulations revealed that the mutation resulted in a decrease in α-helical content and significant conformational changes in the protein structure. This led to reduced binding affinity between EVC2 and its ligands EVC and SMO, destabilizing the structural integrity of the protein complex. Despite these structural changes, EVC2 protein localization and expression were unaffected. Furthermore, a downregulation of GLI1 and SHH expression was observed, indicating impaired Hedgehog (Hh) signaling. The downregulation of the Hh signaling pathway impairs the tooth development process and may lead to the occurrence of tooth agenesis. Conclusions: A novel EVC2 mutation was identified in a patient with NSTA. Based on molecular dynamics simulations, it is hypothesized that this EVC2 variant could contribute to the pathogenesis of NSTA by impairing the EVC2-EVC-SMO complex formation, which may lead to downregulation of downstream GLI1 and SHH. These findings provide new insights into the molecular mechanisms underlying EVC2-mediated NSTA, suggesting that disruption of Hh signaling may represent a critical pathogenic mechanism. Full article
Show Figures

Figure 1

Back to TopTop