One-Stage Hip Revision Arthroplasty Using Megaprosthesis in Severe Bone Loss of The Proximal Femur Due to Radiological Diffuse Osteomyelitis
Abstract
:1. Introduction
2. Cases
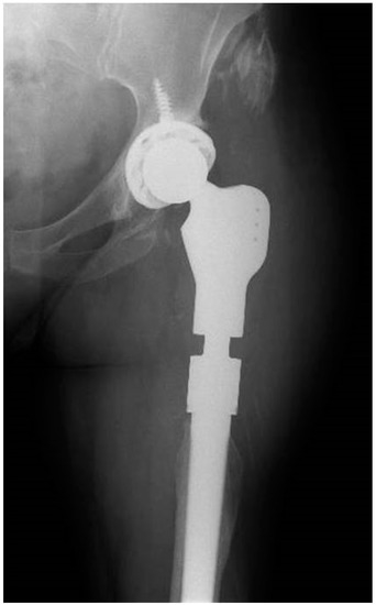
2.1. Case 1
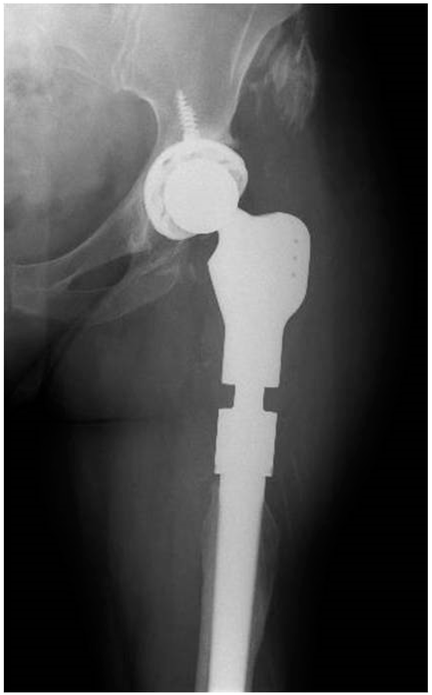
2.2. Case 2
3. Discussion
Author Contributions
Funding
Institutional Review Board Statement
Informed Consent Statement
Data Availability Statement
Conflicts of Interest
References
- Grammatopoulos, G.; Alvand, A.; Martin, H.; Whitwell, D.; Taylor, A.; Gibbons, C.L. Five-year outcome of proximal femoral endoprosthetic arthroplasty for non-tumour indications. Bone Jt. J. 2016, 98-B, 1463–1470. [Google Scholar] [CrossRef] [Green Version]
- Quayle, J.; Barakat, A.; Klasan, A.; Mittal, A.; Chan, G.; Gibbs, J.; Edmondson, M.; Stott, P. Management of peri-prosthetic joint infection and severe bone loss after total hip arthroplasty using a long-stemmed cemented custom-made articulating spacer (CUMARS). BMC Musculoskelet. Disord. 2021, 22, 358. [Google Scholar] [CrossRef]
- Hipfl, C.; Carganico, T.; Leopold, V.; Perka, C.; Müller, M.; Hardt, S. Two-Stage Revision Total Hip Arthroplasty Without Spacer Placement: A Viable Option to Manage Infection in Patients With Severe Bone Loss or Abductor Deficiency. J. Arthroplasty 2021, 36, 2575–2585. [Google Scholar] [CrossRef] [PubMed]
- Negus, J.J.; Gifford, P.B.; Haddad, F.S. Single-Stage Revision Arthroplasty for Infection-An Underutilized Treatment Strategy. J. Arthroplasty 2017, 32, 2051–2055. [Google Scholar] [CrossRef] [PubMed]
- Kunutsor, S.K.; Whitehouse, M.R.; Lenguerrand, E.; Blom, A.W.; Beswick, A.D.; INFORM Team. Re-Infection Outcomes Following One- And Two-Stage Surgical Revision of Infected Knee Prosthesis: A Systematic Review and Meta-Analysis. PLoS ONE 2016, 11, e0151537. [Google Scholar] [CrossRef] [Green Version]
- Carli, A.V.; Bhimani, S.; Yang, X.; de Mesy Bentley, K.L.; Ross, F.P.; Bostrom, M.P.G. Vancomycin-Loaded Polymethylmethacrylate Spacers Fail to Eradicate Periprosthetic Joint Infection in a Clinically Representative Mouse Model. J. Bone Jt. Surg. Am. 2018, 100, e76. [Google Scholar] [CrossRef] [PubMed]
- Wouthuyzen-Bakker, M.; Kheir, M.M.; Moya, I.; Rondon, A.J.; Kheir, M.; Lozano, L.; Parvizi, J.; Soriano, A. Failure After 2-Stage Exchange Arthroplasty for Treatment of Periprosthetic Joint Infection: The Role of Antibiotics in the Cement Spacer. Clin. Infect. Dis. 2019, 68, 2087–2093. [Google Scholar] [CrossRef]
- Erivan, R.; Lecointe, T.; Villatte, G.; Mulliez, A.; Descamps, S.; Boisgard, S. Complications with cement spacers in 2-stage treatment of periprosthetic joint infection on total hip replacement. Orthop. Traumatol. Surg. Res. 2018, 104, 333–339. [Google Scholar] [CrossRef]
- Carlsson, A.S.; Josefsson, G.; Lindberg, L. Revision with gentamicin-impregnated cement for deep infections in total hip arthroplasties. J. Bone Jt. Surg. Am. 1978, 60, 1059–1064. [Google Scholar] [CrossRef]
- Buchholz, H.W.; Elson, R.A.; Engelbrecht, E.; Lodenkämper, H.; Röttger, J.; Siegel, A. Management of deep infection of total hip replacement. J. Bone Jt. Surg. Br. 1981, 63-B, 342–353. [Google Scholar] [CrossRef]
- Rowan, F.E.; Donaldson, M.J.; Pietrzak, J.R.; Haddad, F.S. The Role of One-Stage Exchange for Prosthetic Joint Infection. Curr. Rev. Musculoskelet. Med. 2018, 11, 370–379. [Google Scholar] [CrossRef]
- Lum, Z.C.; Holland, C.T.; Meehan, J.P. Systematic review of single stage revision for prosthetic joint infection. World J. Orthop. 2020, 11, 559–572. [Google Scholar] [CrossRef] [PubMed]
- Vaishya, R.; Thapa, S.S.; Vaish, A. Non-neoplastic indications and outcomes of the proximal and distal femur megaprosthesis: A critical review. Knee Surg. Relat. Res. 2020, 32, 18. [Google Scholar] [CrossRef] [PubMed] [Green Version]
- Korim, M.T.; Esler, C.N.; Ashford, R.U. Systematic review of proximal femoral arthroplasty for non-neoplastic conditions. J. Arthroplasty 2014, 29, 2117–2121. [Google Scholar] [CrossRef]
- Corona, P.S.; Vicente, M.; Lalanza, M.; Amat, C.; Carrera, L. Use of modular megaprosthesis in managing chronic end-stage periprosthetic hip and knee infections: Is there an increase in relapse rate? Eur. J. Orthop. Surg. Traumatol. 2018, 28, 627–636. [Google Scholar] [CrossRef]
- Artiaco, S.; Boggio, F.; Colzani, G.; Titolo, P.; Zoccola, K.; Bianchi, P.; Bellomo, F. Megaprostheses in the Revision of Infected Total Hip Arthroplasty. Clinical Series and Literature Review. Bull. Hosp. Jt. Dis. 2015, 73, 229–232. [Google Scholar]
- Ramappa, M.; McMurtry, I.; Port, A. Direct exchange endoprosthetic reconstruction with tumour prosthesis for periprosthetic knee infection associated with segmental bone defects. Strateg. Trauma Limb Reconstr. 2010, 5, 31–37. [Google Scholar] [CrossRef] [Green Version]
- Abdelaziz, H.; Schröder, M.; Shum Tien, C.; Ibrahim, K.; Gehrke, T.; Salber, J.; Citak, M. Resection of the proximal femur during one-stage revision for infected hip arthroplasty. Bone Jt. J. 2021, 103-B, 1678–1685. [Google Scholar] [CrossRef] [PubMed]
- Morgenstern, M.; Athanasou, N.A.; Ferguson, J.Y.; Metsemakers, M.J.; Atkins, B.L.; McNally, M.A. The value of quantitative histology in the diagnosis of fracture-related infection. Bone Jt. J. 2018, 100-B, 966–972. [Google Scholar] [CrossRef] [PubMed]
- Bori, G.; McNally, M.A.; Athanasou, N. Histopathology in Periprosthetic Joint Infection: When Will the Morphomolecular Diagnosis Be a Reality? Biomed. Res. Int. 2018, 2018, 1412701. [Google Scholar] [CrossRef] [Green Version]
- Muñoz-Mahamud, E.; Fernández-Valencia, J.A.; Combalia, A.; Morata, L.; Soriano, A. Fluorescent tetracycline bone labeling as an intraoperative tool to debride necrotic bone during septic hip revision: A preliminary case series. J. Bone Jt. Infect. 2021, 6, 85–90. [Google Scholar] [CrossRef]
- Romanò, C.L.; Tsuchiya, H.; Morelli, I.; Battaglia, A.G.; Drago, L. Antibacterial coating of implants: Are we missing something? Bone Jt. Res. 2019, 8, 199–206. [Google Scholar] [CrossRef] [PubMed]
- Scoccianti, G.; Frenos, F.; Beltrami, G.; Campanacci, D.A.; Capanna, R. Levels of silver ions in body fluids and clinical results in silver-coated megaprostheses after tumour, trauma or failed arthroplasty. Injury 2016, 47S, S11–S16. [Google Scholar] [CrossRef] [PubMed]
- Wafa, H.; Grimer, R.J.; Reddy, K.; Jeys, L.; Abudu, A.; Carter, S.R.; Tillman, R.M. Retrospective evaluation of the incidence of early periprosthetic infection with silvertreated endoprostheses in high-risk patients. Bone Jt. J. 2015, 97-B, 252–257. [Google Scholar] [CrossRef] [PubMed]
- Fiore, M.; Sambri, A.; Zucchini, R.; Giannini, C.; Donati, D.M.; De Paolis, M. Silver-coated megaprosthesis in prevention and treatment of peri-prosthetic infections: A systematic review and meta-analysis about efficacy and toxicity in primary and revision surgery. Eur. J. Orthop. Surg. Traumatol. 2021, 31, 201–220. [Google Scholar] [CrossRef]




Publisher’s Note: MDPI stays neutral with regard to jurisdictional claims in published maps and institutional affiliations. |
© 2021 by the authors. Licensee MDPI, Basel, Switzerland. This article is an open access article distributed under the terms and conditions of the Creative Commons Attribution (CC BY) license (https://creativecommons.org/licenses/by/4.0/).
Share and Cite
Gonzalez, R.; Muñoz-Mahamud, E.; Bori, G. One-Stage Hip Revision Arthroplasty Using Megaprosthesis in Severe Bone Loss of The Proximal Femur Due to Radiological Diffuse Osteomyelitis. Trop. Med. Infect. Dis. 2022, 7, 5. https://doi.org/10.3390/tropicalmed7010005
Gonzalez R, Muñoz-Mahamud E, Bori G. One-Stage Hip Revision Arthroplasty Using Megaprosthesis in Severe Bone Loss of The Proximal Femur Due to Radiological Diffuse Osteomyelitis. Tropical Medicine and Infectious Disease. 2022; 7(1):5. https://doi.org/10.3390/tropicalmed7010005
Chicago/Turabian StyleGonzalez, Roy, Ernesto Muñoz-Mahamud, and Guillem Bori. 2022. "One-Stage Hip Revision Arthroplasty Using Megaprosthesis in Severe Bone Loss of The Proximal Femur Due to Radiological Diffuse Osteomyelitis" Tropical Medicine and Infectious Disease 7, no. 1: 5. https://doi.org/10.3390/tropicalmed7010005
APA StyleGonzalez, R., Muñoz-Mahamud, E., & Bori, G. (2022). One-Stage Hip Revision Arthroplasty Using Megaprosthesis in Severe Bone Loss of The Proximal Femur Due to Radiological Diffuse Osteomyelitis. Tropical Medicine and Infectious Disease, 7(1), 5. https://doi.org/10.3390/tropicalmed7010005

