Biological and Molecular Characterization of Five Trypanosoma cruzi (Chagas, 1909) (Kinetoplastida, Trypanosomatidae) Isolates from the State of Hidalgo, Mexico
Abstract
1. Introduction
2. Materials and Methods
2.1. Isolation of Trypanosoma cruzi
2.2. Parasitemia Curves
2.3. Histopathological Analysis
2.4. Trypanosoma cruzi DNA Extraction
2.5. Genotyping of Trypanosoma cruzi Isolates
3. Results
3.1. Prepatent Period, Parasitemia, and Mortality
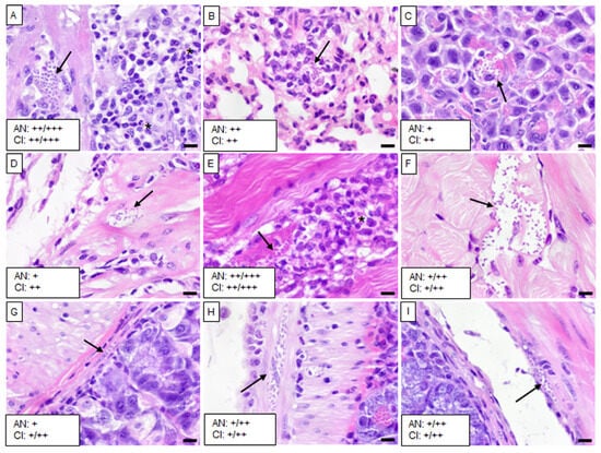
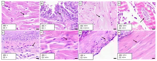
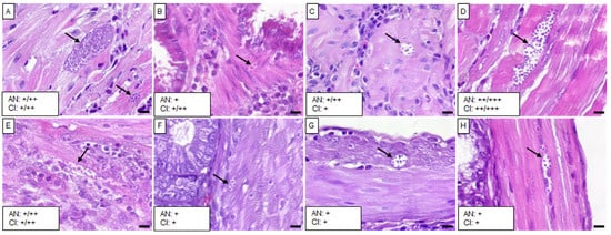
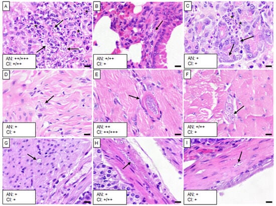
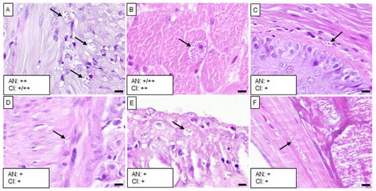
3.2. Organotropism
3.3. Molecular Characterization of T. cruzi Genotypes
4. Discussion
5. Conclusions
Author Contributions
Funding
Institutional Review Board Statement
Informed Consent Statement
Data Availability Statement
Acknowledgments
Conflicts of Interest
References
- World Health Organization. Chagas Disease (American Trypanosomiasis). Available online: https://www.who.int/news-room/fact-sheets/detail/chagas-disease-(american-trypanosomiasis) (accessed on 6 June 2024).
- Arnal, A.; Waleckx, E.; Rico-Chávez, O.; Herrera, C.; Dumonteil, E. Estimating the current burden of Chagas disease in Mexico: A systematic review and meta-analysis of epidemiological surveys from 2006 to 2017. PLoS Negl. Trop. Dis. 2019, 13, e0006859. [Google Scholar] [CrossRef] [PubMed]
- Zingales, B.; Bartholomeu, D.C. Trypanosoma cruzi genetic diversity: Impact on transmission cycles and Chagas disease. Mem. Inst. Oswaldo Cruz 2022, 117, e210193. [Google Scholar] [CrossRef]
- Ramos-Ligonio, A.; Torres-Montero, J.; López-Monteon, A.; Dumonteil, E. Extensive diversity of Trypanosoma cruzi discrete typing units circulating in Triatoma dimidiata from central Veracruz, Mexico. Infect. Genet. Evol. 2012, 12, 1341–1343. [Google Scholar] [CrossRef] [PubMed]
- Villanueva-Lizama, L.; Teh-Poot, C.; Majeau, A.; Herrera, C.; Dumonteil, E. Molecular Genotyping of Trypanosoma cruzi by Next-Generation Sequencing of the Mini-Exon Gene Reveals Infections with Multiple Parasite Discrete Typing Units in Chagasic Patients from Yucatan, Mexico. J. Infect. Dis. 2019, 219, 1980–1988. [Google Scholar] [CrossRef] [PubMed]
- De Fuentes-Vicente, J.A.; Vidal-López, D.G.; Flores-Villegas, A.L.; Moreno-Rodríguez, A.; De Alba-Alvarado, M.C.; Salazar-Schettino, P.M.; Rodríguez-López, M.H.; Gutiérrez-Cabrera, A.E. Trypanosoma cruzi: A review of biological and methodological factors in Mexican strains. Acta Trop. 2019, 195, 51–57. [Google Scholar] [CrossRef]
- Gómez-Hernández, C.; Rezende-Oliveira, K.; Nascentes, G.A.; Batista, L.R.; Kappel, H.B.; Martinez-Ibarra, J.A.; Trujillo Contreras, F.; Lages-Silva, E.; Ramírez, L.E. Molecular characterization of Trypanosoma cruzi Mexican strains and their behavior in the mouse experimental model. Rev. Soc. Bras. Med. Trop. 2011, 44, 684–690. [Google Scholar] [CrossRef]
- Flores-Villegas, A.L.; Jiménez-Cortés, J.G.; González, J.; Moreno-Rodríguez, A.; Pérez-Cabeza de Vaca, R.; Segal-Kischinevzky, C.; Bucio-Torres, M.I.; De Fuentes-Vicente, J.A.; Nava-Lazaro, E.; Salazar-Schettino, P.M.; et al. Parasitemia and Differential Tissue Tropism in Mice Infected with Trypanosoma cruzi Isolates Obtained from Meccus phyllosoma in the State of Oaxaca, Mexico. Pathogens 2022, 11, 1141. [Google Scholar] [CrossRef]
- Añez, N.; Crisante, G. The tissue specific tropism in Trypanosoma cruzi. Is it true? Acta Trop. 2021, 213, 105736. [Google Scholar] [CrossRef]
- Hossain, E.; Khanam, S.; Dean, D.A.; Wu, C.; Lostracco-Johnson, S.; Thomas, D.; Kane, S.S.; Parab, A.R.; Flores, K.; Katemauswa, M.; et al. Mapping of host-parasite-microbiome interactions reveals metabolic determinants of tropism and tolerance in Chagas disease. Sci. Adv. 2020, 6, eaaz2015. [Google Scholar] [CrossRef]
- Ramsey, J.M.; Peterson, A.T.; Carmona-Castro, O.; Moo-Llanes, D.A.; Nakazawa, Y.; Butrick, M.; Tun-Ku, E.; De la Cruz-Félix, K.; Ibarra-Cerdeña, C.N. Atlas of Mexican Triatominae (Reduviidae: Hemiptera) and vector transmission of Chagas disease. Mem. Inst. Oswaldo Cruz 2015, 110, 339–352. [Google Scholar] [CrossRef]
- Antonio-Campos, A.; Cuatepotzo-Jiménez, V.; Noguéz-García, J.; Alejandre-Aguilar, R.; Rivas, N. Distribution of triatomine (Hemiptera: Reduviidae) vectors of Chagas disease in the state of Hidalgo, Mexico. J. Vector Ecol. 2019, 44, 179–186. [Google Scholar] [CrossRef] [PubMed]
- Alejandre-Aguilar, R.; Antonio-Campos, A.; Noguez-García, J.; Rivas, N. Triatoma pallidipennis (Stål, 1872) (Hemiptera: Reduviidae) and its potential for infestation in Tecozautla, Hidalgo state, Mexico. J. Vector Ecol. 2023, 48, 1–6. [Google Scholar] [CrossRef] [PubMed]
- Rivas, N.; Antonio-Campos, A.; Noguez-García, J.; Alejandre-Aguilar, R. First record of Triatoma longipennis, Usinger, 1939 (Hemiptera: Reduviidae: Triatominae) in Tecozautla, Hidalgo. Rev. Soc. Bras. Med. Trop. 2023, 56, e00782023. [Google Scholar] [CrossRef]
- Becerril-Flores, M.A.; Rangel-Flores, E.; Imbert-Palafox, J.L.; Gómez-Gómez, J.V.; Figueroa-Gutiérrez, A.H. Human infection and risk of transmission of Chagas disease in Hidalgo State, Mexico. Am. J. Trop. Med. Hyg. 2007, 76, 318–323. [Google Scholar] [CrossRef] [PubMed]
- Pérez-España, V.H.; Morales-Evangelista, C.L.; Vázquez-Chagoyán, J.C.; Valladares-Carranza, B.; Romero-Cortés, T.; Cuervo-Parra, J.A.; Martínez-Hernández, I.; Nóguez-García, J.C.; Aparicio-Burgos, J.E. Caracterización molecular de aislados de Trypanosoma cruzi de triatominos recolectados en los municipios del Estado de Hidalgo, México. Nova Sci. 2019, 11, 171–185. [Google Scholar] [CrossRef]
- Lent, H.; Wygodzinsky, P. Revision of Triatominae (Hemiptera, Reduviidae) and Their Significance as Vectors of Chagas Disease; Bulletin of the American Museum of Natural History: New York, NY, USA, 1979; pp. 139–235. [Google Scholar]
- Téllez-Rendón, J.; Esteban, L.; Rengifo-Correa, L.; Díaz-Albiter, H.; Huerta, H.; Dale, C. Triatoma yelapensis sp. nov. (Hemiptera: Reduviidae) from Mexico, with a Key of Triatoma Species Recorded in Mexico. Insects 2023, 14, 331. [Google Scholar] [CrossRef]
- Castro, S.L.; Jorge, T.C.A.; Rivera, M.T.; Junqueira, A.C.V. Avaliação de Parâmetros Parasitológicos e de Mortalidade. In Doença de Chagas: Manual para Experimentação Animal; Jorge, T.C.A., Castro, S.L., Eds.; FIOCRUZ: Rio de Janeiro, Brazil, 2000; pp. 219–236. ISBN 85-85676-75-2. [Google Scholar]
- Castro, S.L.; Jorge, T.C.A.; Cabello, P.H. Sistematização e análise de resultados: Confecção de planilhas, tabelas, gráficos e análises estatísticas. In Doença de Chagas: Manual para Experimentação Animal; Jorge, T.C.A., Castro, S.L., Eds.; FIOCRUZ: Rio de Janeiro, Brazil, 2000; pp. 315–329. ISBN 85-85676-75-2. [Google Scholar]
- Armed Forces Institute of Pathology (AFIP). Laboratory Methods in Histotechnology; American Registry of Pathology: Washington, DC, USA, 1992; pp. 27–61. ISBN 978-1881041009. [Google Scholar]
- Jiménez-Ortega, R.F.; Alejandre-Aguilar, R.; Rivas, N.; Sánchez, F.; Sánchez-Muñoz, F.; Ballinas-Verdugo, M.A. Ninoa T. cruzi Strain Modifies the Expression of microRNAs in Cardiac Tissue and Plasma During Chagas Disease Infection. Pathogens 2024, 13, 1127. [Google Scholar] [CrossRef]
- Ribeiro, A.R.; Lima, L.; de Almeida, L.A.; Monteiro, J.; Moreno, C.J.G.; Nascimento, J.D.; de Araújo, R.F.; Mello, F.; Martins, L.P.A.; Graminha, M.A.S.; et al. Biological and Molecular Characterization of Trypanosoma cruzi Strains from Four States of Brazil. Am. J. Trop. Med. Hyg. 2018, 98, 453–463. [Google Scholar] [CrossRef]
- Riera, M.A.; Rojas, M.E.; Zapata, P.D. Protocolo de extracción de DNA por salting-out para pequeños volúmenes de sangre. Rev. Cienc. Tecnol. 2010, 14, 4–7. [Google Scholar]
- Souto, R.P.; Fernandes, O.; Macedo, A.M.; Campbell, D.A.; Zingales, B. DNA markers define two major phylogenetic lineages of Trypanosoma cruzi. Mol. Biochem. Parasitol. 1996, 83, 141–152. [Google Scholar] [CrossRef]
- Padilla-Valdez, J.M.; Antonio-Campos, A.; Arias-Del-Angel, J.A.; Rivas, N.; Alejandre-Aguilar, R. Susceptibility dynamics between five Trypanosoma cruzi strains and three triatomine (Hemiptera: Reduviidae) species. J. Vector Ecol. 2021, 46, 82–95. [Google Scholar] [CrossRef] [PubMed]
- Barrera-Pérez, M.A.; Rodriguez-Felix, M.E.; Guzmán-Marín, E.; Zavala-Velázquez, J.; Dumonteil, E. Biological behaviour of three strains of Trypanosoma cruzi from Yucatan, México. Rev. Biomed. 2001, 12, 224–230. [Google Scholar]
- Oliveira, E.C.; Stefani, M.M.; Campos, D.E.; Andrade, A.L.; Silva, S.A.; Rassi, A.; Luquetti, A.O. Trypanosoma cruzi stocks isolated from acute Chagas disease patients lead to lethal murine infection. Trans. R. Soc. Trop. Med. Hyg. 1997, 91, 25–27. [Google Scholar] [CrossRef] [PubMed]
- Osorio, L.; Ríos, I.; Gutiérrez, B.; González, J. Virulence factors of Trypanosoma cruzi: Who is who? Microbes Infect. 2012, 14, 1390–1402. [Google Scholar] [CrossRef]
- Molina-Garza, Z.J.; Mercado-Hernández, R.; Molina-Garza, D.P.; Galaviz-Silva, L. Trypanosoma cruzi-infected Triatoma gerstaeckeri (Hemiptera: Reduviidae) from Nuevo León, México, and pathogenicity of the regional strain. Biomedica 2015, 35, 372–378. [Google Scholar] [CrossRef]
- Melo, R.C. Acute heart inflammation: Ultrastructural and functional aspects of macrophages elicited by Trypanosoma cruzi infection. J. Cell. Mol. Med. 2009, 13, 279–294. [Google Scholar] [CrossRef]
- Espinoza, B.; Solorzano-Domínguez, N.; Vizcaino-Castillo, A.; Martínez, I.; Elias-López, A.L.; Rodríguez-Martínez, J.A. Gastrointestinal infection with Mexican TcI Trypanosoma cruzi strains: Different degrees of colonization and diverse immune responses. Int. J. Biol. Sci. 2011, 7, 1357–1370. [Google Scholar] [CrossRef] [PubMed]
- Molina, H.A.; Kierszenbaum, F. Interaction of human eosinophils or neutrophils with Trypanosoma cruzi in vitro causes bystander cardiac cell damage. Immunology 1989, 66, 289–295. [Google Scholar]
- Tonelli, R.R.; Giordano, R.J.; Barbu, E.M.; Torrecilhas, A.C.; Kobayashi, G.S.; Langley, R.R.; Arap, W.; Pasqualini, R.; Colli, W.; Alves, M.J. Role of the gp85/trans-sialidases in Trypanosoma cruzi tissue tropism: Preferential binding of a conserved peptide motif to the vasculature in vivo. PLoS Negl. Trop. Dis. 2010, 4, e864. [Google Scholar] [CrossRef]
- Hall, B.S.; Tam, W.; Sen, R.; Pereira, M.E. Cell-specific activation of nuclear factor-κB by the parasite Trypanosoma cruzi promotes resistance to intracellular infection. Mol. Biol. Cell 2000, 11, 153–160. [Google Scholar] [CrossRef]
- Liu, Z.; vonBargen, R.U.; McCall, L.I. Central role of metabolism in Trypanosoma cruzi tropism and Chagas disease pathogenesis. Curr. Opin. Microbiol. 2021, 63, 204–209. [Google Scholar] [CrossRef] [PubMed]
- Sica, R.E.; Gonzalez Cappa, S.M.; Sanz, O.P.; Mirkin, G. Peripheral nervous system involvement in human and experimental chronic American trypanosomiasis. Bull. Soc. Pathol. Exot. 1995, 88, 156–163. [Google Scholar] [PubMed]
- Melnikov, V.G.; Velasco, F.F.; Espinoza Gómez, F.; Rodríguez, F.G.; Dobrovinskaya, O.R. Pathologic changes in lungs caused by Mexican isolates of Trypanosoma cruzi in the acute phase of infection in mice. Am. J. Trop. Med. Hyg. 2005, 73, 301–306. [Google Scholar] [CrossRef]
- Scremin, L.H.; Corbett, C.E.; Laurenti, M.D.; Nunes, E.V.; Gama-Rodrigues, J.J.; Okumura, M. Megabladder in experimental Chagas disease: Pathological features of the bladder wall. Rev. Hosp. Clin. Fac. Med. 1999, 54, 43–46. [Google Scholar] [CrossRef]
- Lenzi, H.L.; Oliveira, D.N.; Lima, M.T.; Gattass, C.R. Trypanosoma cruzi: Paninfectivity of CL strain during murine acute infection. Exp. Parasitol. 1996, 84, 16–27. [Google Scholar] [CrossRef] [PubMed]
- Boczko, J.; Tar, M.; Melman, A.; Jelicks, L.A.; Wittner, M.; Factor, S.M.; Zhao, D.; Hafron, J.; Weiss, L.M.; Tanowitz, H.B.; et al. Trypanosoma cruzi infection induced changes in the innervation, structure and function of the murine bladder. J. Urol. 2005, 173, 1784–1788. [Google Scholar] [CrossRef]
- Chuenkova, M.V.; Pereiraperrin, M. Neurodegeneration and neuroregeneration in Chagas disease. Adv. Parasitol. 2011, 76, 195–233. [Google Scholar] [CrossRef]
- Corbett, C.E.; Scremin, L.H.; Lombardi, R.A.; Gama-Rodrigues, J.J.; Okumura, M. Pancreatic lesions in acute experimental Chagas’ disease. Rev. Hosp. Clin. Fac. Med. 2002, 57, 63–66. [Google Scholar] [CrossRef]
- Sah, R.P.; Garg, P.; Saluja, A.K. Pathogenic mechanisms of acute pancreatitis. Curr. Opin. Gastroenterol. 2012, 28, 507–515. [Google Scholar] [CrossRef]
- Burleigh, B.A.; Woolsey, A.M. Cell signalling and Trypanosoma cruzi invasion. Cell. Microbiol. 2002, 4, 701–711. [Google Scholar] [CrossRef]
- Da Mata, J.R.; Camargos, M.R.; Chiari, E.; Machado, C.R. Trypanosoma cruzi infection and the rat central nervous system: Proliferation of parasites in astrocytes and the brain reaction to parasitism. Brain Res. Bull. 2000, 53, 153–162. [Google Scholar] [CrossRef] [PubMed]
- Silva, A.A.; Roffe, E.; Marino, A.P.; dos Santos, P.V.; Quirico-Santos, T.; Paiva, C.N.; Lannes-Vieira, J. Chagas’ disease encephalitis: Intense CD8+ lymphocytic infiltrate is restricted to the acute phase, but is not related to the presence of Trypanosoma cruzi antigens. Clin. Immunol. 1999, 92, 56–66. [Google Scholar] [CrossRef] [PubMed]
- Dorn, P.L.; McClure, A.G.; Gallaspy, M.D.; Waleckx, E.; Woods, A.S.; Monroy, M.C.; Stevens, L. The diversity of the Chagas parasite, Trypanosoma cruzi, infecting the main Central American vector, Triatoma dimidiata, from Mexico to Colombia. PLoS Negl. Trop. Dis. 2017, 11, e0005878. [Google Scholar] [CrossRef]
- López-Cancino, S.A.; Tun-Ku, E.; De la Cruz-Felix, H.K.; Ibarra-Cerdeña, C.N.; Izeta-Alberdi, A.; Pech-May, A.; Mazariegos-Hidalgo, C.J.; Valdez-Tah, A.; Ramsey, J.M. Landscape ecology of Trypanosoma cruzi in the southern Yucatan Peninsula. Acta Trop. 2015, 151, 58–72. [Google Scholar] [CrossRef]
- Bosseno, M.F.; Barnabé, C.; Magallón Gastélum, E.; Lozano Kasten, F.; Ramsey, J.; Espinoza, B.; Brenière, S.F. Predominance of Trypanosoma cruzi lineage I in Mexico. J. Clin. Microbiol. 2002, 40, 627–632. [Google Scholar] [CrossRef]
- Sánchez-Guillén, M.d.C.; Bernabé, C.; Tibayrenc, M.; Zavala-Castro, J.; Totolhua, J.L.; Méndez-López, J.; González-Mejía, M.E.; Torres-Rasgado, E.; López-Colombo, A.; Pérez-Fuentes, R. Trypanosoma cruzi strains isolated from human, vector, and animal reservoir in the same endemic region in Mexico and typed as T. cruzi I, discrete typing unit 1 exhibit considerable biological diversity. Mem. Inst. Oswaldo Cruz 2006, 101, 585–590. [Google Scholar] [CrossRef] [PubMed]
- Herrera, C.; Bargues, M.D.; Fajardo, A.; Montilla, M.; Triana, O.; Vallejo, G.A.; Guhl, F. Identifying four Trypanosoma cruzi I isolate haplotypes from different geographic regions in Colombia. Infect. Genet. Evol. 2007, 7, 535–539. [Google Scholar] [CrossRef]
- Cura, C.I.; Mejía-Jaramillo, A.M.; Duffy, T.; Burgos, J.M.; Rodriguero, M.; Cardinal, M.V.; Kjos, S.; Gurgel-Gonçalves, R.; Blanchet, D.; De Pablos, L.M.; et al. Trypanosoma cruzi I genotypes in different geographical regions and transmission cycles based on a microsatellite motif of the intergenic spacer of spliced-leader genes. Int. J. Parasitol. 2010, 40, 1599–1607. [Google Scholar] [CrossRef]
- Cruz, L.; Vivas, A.; Montilla, M.; Hernández, C.; Flórez, C.; Parra, E.; Ramírez, J.D. Comparative study of the biological properties of Trypanosoma cruzi I genotypes in a murine experimental model. Infect. Genet. Evol. 2015, 29, 110–117. [Google Scholar] [CrossRef]
- López-Vivas, F.I.; Vázquez-Chagoyán, J.C.; Acosta-Dibarrat, J.P.; Medina-Torres, I.; Diaz-Albiter, H.M.; Fernández-Rosas, P.; de Oca-Jiménez, R.M. Molecular Characterization of Trypanosoma cruzi in Infected Meccus pallidipennis in the Southern Region of the State of Mexico, Mexico. Vector Borne Zoonotic Dis. 2018, 18, 683–689. [Google Scholar] [CrossRef]







Disclaimer/Publisher’s Note: The statements, opinions and data contained in all publications are solely those of the individual author(s) and contributor(s) and not of MDPI and/or the editor(s). MDPI and/or the editor(s) disclaim responsibility for any injury to people or property resulting from any ideas, methods, instructions or products referred to in the content. |
© 2025 by the authors. Licensee MDPI, Basel, Switzerland. This article is an open access article distributed under the terms and conditions of the Creative Commons Attribution (CC BY) license (https://creativecommons.org/licenses/by/4.0/).
Share and Cite
Montes-Vergara, Y.; Antonio-Campos, A.; Padilla-Valdez, J.M.; Contreras-López, E.A.; Noguez-García, J.C.; Rivas, N.; Alejandre-Aguilar, R. Biological and Molecular Characterization of Five Trypanosoma cruzi (Chagas, 1909) (Kinetoplastida, Trypanosomatidae) Isolates from the State of Hidalgo, Mexico. Trop. Med. Infect. Dis. 2025, 10, 122. https://doi.org/10.3390/tropicalmed10050122
Montes-Vergara Y, Antonio-Campos A, Padilla-Valdez JM, Contreras-López EA, Noguez-García JC, Rivas N, Alejandre-Aguilar R. Biological and Molecular Characterization of Five Trypanosoma cruzi (Chagas, 1909) (Kinetoplastida, Trypanosomatidae) Isolates from the State of Hidalgo, Mexico. Tropical Medicine and Infectious Disease. 2025; 10(5):122. https://doi.org/10.3390/tropicalmed10050122
Chicago/Turabian StyleMontes-Vergara, Yessenia, Alberto Antonio-Campos, José Miguel Padilla-Valdez, Erick Abraham Contreras-López, Julio Cesar Noguez-García, Nancy Rivas, and Ricardo Alejandre-Aguilar. 2025. "Biological and Molecular Characterization of Five Trypanosoma cruzi (Chagas, 1909) (Kinetoplastida, Trypanosomatidae) Isolates from the State of Hidalgo, Mexico" Tropical Medicine and Infectious Disease 10, no. 5: 122. https://doi.org/10.3390/tropicalmed10050122
APA StyleMontes-Vergara, Y., Antonio-Campos, A., Padilla-Valdez, J. M., Contreras-López, E. A., Noguez-García, J. C., Rivas, N., & Alejandre-Aguilar, R. (2025). Biological and Molecular Characterization of Five Trypanosoma cruzi (Chagas, 1909) (Kinetoplastida, Trypanosomatidae) Isolates from the State of Hidalgo, Mexico. Tropical Medicine and Infectious Disease, 10(5), 122. https://doi.org/10.3390/tropicalmed10050122

