Microcystic Macular Edema Caused by Non-Glaucomatous Optic Atrophy: A Single-Center, Retrospective, Cohort Study in France
Abstract
1. Introduction
2. Materials and Methods
2.1. Study Design
2.2. Patient Selection
2.3. Data Collection
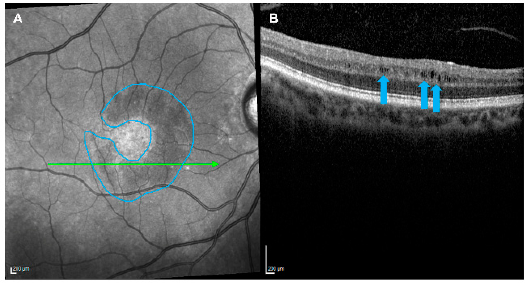
2.4. SD-OCT and Analysis
2.5. Outcome Measures
2.6. Statistical Analysis
3. Results
3.1. Patient Demographic and Clinical Characteristics
3.2. The Prevalence of MME
3.3. Prevalence of MME According to the Etiology of the OA
3.4. Comparisons of Demographic and Clinical Characteristics between Patients with and without MME
3.5. Retinal Layer Analysis
4. Discussion
5. Conclusions
Author Contributions
Funding
Institutional Review Board Statement
Informed Consent Statement
Data Availability Statement
Conflicts of Interest
References
- Johnston, P.B.; Gaster, R.N.; Smith, V.C.; Tripathi, R.C. A Clinicopathologic Study of Autosomal Dominant Optic Atrophy. Am. J. Ophthalmol. 1979, 88, 868–875. [Google Scholar] [CrossRef] [PubMed]
- Riordan-Eva, P. Clinical assessment of optic nerve disorders. Eye 2004, 18, 1161–1168. [Google Scholar] [CrossRef] [PubMed]
- Votruba, M.; Fitzke, F.W.; Holder, G.E.; Carter, A.; Bhattacharya, S.S.; Moore, A.T. Clinical Features in Affected Individuals From 21 Pedigrees with Dominant Optic Atrophy. Arch. Ophthalmol. 1998, 116, 351–358. [Google Scholar] [CrossRef]
- Schuman, J.S.; Hee, M.R.; Puliafito, C.A.; Wong, C.; Pedut-Kloizman, T.; Lin, C.P.; Hertzmark, E.; Izatt, J.A.; Swanson, E.A.; Fujimoto, J.G. Quantification of nerve fiber layer thickness in normal and glaucomatous eyes using optical coherence tomography. Arch. Ophthalmol. 1995, 113, 586–596. [Google Scholar] [CrossRef]
- Syc, S.B.; Saidha, S.; Newsome, S.D.; Ratchford, J.N.; Levy, M.; Ford, E.; Crainiceanu, C.M.; Durbin, M.K.; Oakley, J.D.; Meyer, S.A.; et al. Optical coherence tomography segmentation reveals ganglion cell layer pathology after optic neuritis. Brain 2012, 135, 521–533. [Google Scholar] [CrossRef] [PubMed]
- Sriram, P.; Graham, S.L.; Wang, C.; Yiannikas, C.; Garrick, R.; Klistorner, A. Transsynaptic retinal degeneration in optic neuropathies: Optical coherence tomography study. Investig. Ophthalmol. Vis. Sci. 2012, 53, 1271–1275. [Google Scholar] [CrossRef]
- Gills, J.P.; Wadsworth, J.A. Degeneration of the inner nuclear layer of the retina following lesions of the optic nerve. Trans. Am. Ophthalmol. Soc. 1966, 64, 66–88. [Google Scholar]
- Wolff, B.; Basdekidou, C.; Vasseur, V.; Mauget-Faÿsse, M.; Sahel, J.-A.; Vignal, C. Retinal inner nuclear layer microcystic changes in optic nerve atrophy: A novel spectral-domain OCT finding. Retina 2013, 33, 2133–2138. [Google Scholar] [CrossRef]
- Gelfand, J.M.; Nolan, R.; Schwartz, D.M.; Graves, J.; Green, A.J. Microcystic macular oedema in multiple sclerosis is associated with disease severity. Brain 2012, 135, 1786–1793. [Google Scholar] [CrossRef]
- Saidha, S.; Sotirchos, E.S.; Ibrahim, M.A.; Crainiceanu, C.M.; Gelfand, J.M.; Sepah, Y.J.; Ratchford, J.N.; Oh, J.; A Seigo, M.; Newsome, S.D.; et al. Microcystic macular oedema, thickness of the inner nuclear layer of the retina, and disease characteristics in multiple sclerosis: A retrospective study. Lancet Neurol. 2012, 11, 963–972. [Google Scholar] [CrossRef]
- Petzold, A.; Fraser, C.L.; Abegg, M.; Alroughani, R.; Alshowaeir, D.; Alvarenga, R.; Andris, C.; Asgari, N.; Barnett, Y.; Battistella, R.; et al. Diagnosis and classification of optic neuritis. Lancet Neurol. 2022, 21, 1120–1134. [Google Scholar] [CrossRef] [PubMed]
- Gelfand, J.M.; Cree, B.A.; Nolan, R.; Arnow, S.; Green, A.J. Microcystic inner nuclear layer abnormalities and neuromyelitis optica. JAMA Neurol. 2013, 70, 629–633. [Google Scholar] [CrossRef]
- Balk, L.J.; Killestein, J.; Polman, C.H.; Uitdehaag, B.M.J.; Petzold, A. Microcystic macular oedema confirmed, but not specific for multiple sclerosis. Brain 2012, 135, e226, author reply e227. [Google Scholar] [CrossRef]
- Barboni, P.; Carelli, V.; Savini, G.; Carbonelli, M.; La Morgia, C.; Sadun, A.A. Microcystic macular degeneration from optic neuropathy: Not inflammatory, not trans-synaptic degeneration. Brain 2013, 136, e239. [Google Scholar] [CrossRef] [PubMed]
- Wolff, B.; Azar, G.; Vasseur, V.; Sahel, J.-A.; Vignal, C.; Mauget-Faÿsse, M. Microcystic changes in the retinal internal nuclear layer associated with optic atrophy: A prospective study. J. Ophthalmol. 2014, 2014, 395189. [Google Scholar] [CrossRef] [PubMed]
- Abegg, M.; Dysli, M.; Wolf, S.; Kowal, J.; Dufour, P.; Zinkernagel, M. Microcystic macular edema: Retrograde maculopathy caused by optic neuropathy. Ophthalmology 2014, 121, 142–149. [Google Scholar] [CrossRef] [PubMed]
- Pott, J.W.R.; de Vries-Knoppert, W.A.E.J.; Petzold, A. The prevalence of microcystic macular changes on optical coherence tomography of the macular region in optic nerve atrophy of non-neuritis origin: A prospective study. Br. J. Ophthalmol. 2016, 100, 216–221. [Google Scholar] [CrossRef]
- Chapelle, A.-C.; Rakic, J.-M.; Plant, G.T. Nonarteritic Anterior Ischemic Optic Neuropathy: Cystic Change in the Inner Nuclear Layer Caused by Edema and Retrograde Maculopathy. Ophthalmol. Sci. 2023, 3, 100230. [Google Scholar] [CrossRef]
- Schulze-Bonsel, K.; Feltgen, N.; Burau, H.; Hansen, L.; Bach, M. Visual acuities “hand motion” and “counting fingers” can be quantified with the freiburg visual acuity test. Investig. Ophthalmol. Vis. Sci. 2006, 47, 1236–1240. [Google Scholar] [CrossRef]
- Burggraaff, M.C.; Trieu, J.; de Vries-Knoppert, W.A.E.J.; Balk, L.; Petzold, A. The clinical spectrum of microcystic macular edema. Investig. Ophthalmol. Vis. Sci. 2014, 55, 952–961. [Google Scholar] [CrossRef]
- Kessel, L.; Hamann, S.; Wegener, M.; Tong, J.; Fraser, C.L. Microcystic macular oedema in optic neuropathy: Case series and literature review. Clin. Exp. Ophthalmol. 2018, 46, 1075–1086. [Google Scholar] [CrossRef] [PubMed]
- Bendschneider, D.; Tornow, R.P.; Horn, F.K.; Laemmer, R.; Roessler, C.W.; Juenemann, A.G.; Kruse, F.E.; Mardin, C.Y. Retinal nerve fiber layer thickness in normals measured by spectral domain OCT. J. Glaucoma 2010, 19, 475–482. [Google Scholar] [CrossRef]
- Kaufhold, F.; Zimmermann, H.; Schneider, E.; Ruprecht, K.; Paul, F.; Oberwahrenbrock, T.; Brandt, A.U. Optic neuritis is associated with inner nuclear layer thickening and microcystic macular edema independently of multiple sclerosis. PLoS ONE 2013, 8, e71145. [Google Scholar] [CrossRef]
- Abegg, M.; Zinkernagel, M.; Wolf, S. Microcystic macular degeneration from optic neuropathy. Brain 2012, 135, e225. [Google Scholar] [CrossRef] [PubMed]
- Borruat, F.-X.; Dysli, M.; Voide, N.; Abegg, M. Acetazolamide Reduces Retinal Inner Nuclear Layer Thickness in Microcystic Macular Edema Secondary to Optic Neuropathy. Eur. Neurol. 2018, 79, 150–153. [Google Scholar] [CrossRef]
- Voide, N.; Borruat, F.-X. Microcystic macular edema in optic nerve atrophy: A case series. Klin. Monbl. Augenheilkd. 2015, 232, 455–458. [Google Scholar] [CrossRef]
- Gaudric, A.; Audo, I.; Vignal, C.; Couturier, A.; Boulanger-Scemama, E.; Tadayoni, R.; Cohen, S.Y. Non-vasogenic cystoid maculopathies. Prog. Retin. Eye Res. 2022, 91, 101092. [Google Scholar] [CrossRef]
- Lujan, B.J.; Horton, J.C. Microcysts in the inner nuclear layer from optic atrophy are caused by retrograde trans-synaptic degeneration combined with vitreous traction on the retinal surface. Brain 2013, 136, e260. [Google Scholar] [CrossRef] [PubMed]
- Sigler, E.J. Microcysts in the inner nuclear layer, a nonspecific SD-OCT sign of cystoid macular edema. Investig. Ophthalmol. Vis. Sci. 2014, 55, 3282–3284. [Google Scholar] [CrossRef]
- Vanburen, J.M. Trans-synaptic retrograde degeneration in the visual system of primates. J. Neurol. Neurosurg. Psychiatry 1963, 26, 402–409. [Google Scholar] [CrossRef]
- Fortune, B.; Wang, L.; Bui, B.V.; Burgoyne, C.F.; Cioffi, G.A. Idiopathic bilateral optic atrophy in the rhesus macaque. Investig. Ophthalmol. Vis. Sci. 2005, 46, 3943–3956. [Google Scholar] [CrossRef] [PubMed]
- Reichenbach, A.; Wurm, A.; Pannicke, T.; Iandiev, I.; Wiedemann, P.; Bringmann, A. Müller cells as players in retinal degeneration and edema. Graefes Arch. Clin. Exp. Ophthalmol. 2007, 245, 627–636. [Google Scholar] [CrossRef] [PubMed]

| Number of Eyes, n (%) | With OA 643 (100%) | With OA+MME 95 (15%) |
|---|---|---|
| Etiology of optic atrophy, n (%) eyes per etiology with OA | ||
| Inflammatory | 197 (31%) | 21 (22%) |
| MS-associated inflammatory optic neuritis | 69 (11%) | 4 (6%) |
| Myelin oligodendrocyte glycoprotein optic neuritis | 16 (2%) | 1 (6%) |
| Anti-aquaporin-4 antibody-positive optic neuritis | 7 (1%) | 2 (29%) |
| Isolated inflammatory optic neuritis | 100 (16%) | 13 (13%) |
| Infectious optic neuropathy | 5 (0.8%) | 1 (20%) |
| Hereditary | 69 (11%) | 13 (19%) |
| Secondary to intracranial hypertension | 49 (8%) | 5 (10%) |
| Compressive | 87 (13%) | 16 (18%) |
| Optic disc drusen | 18 (3%) | 1 (6%) |
| Ischemic | 44 (7%) | 9 (20%) |
| Traumatic | 41 (6%) | 8 (20%) |
| Toxic and nutritional | 30 (5%) | 0 (0%) |
| Undetermined | 108 (17%) | 22 (20%) |
| OA+MME | OA-MME | p Value | |
|---|---|---|---|
| Number of patients, n (%) | 69 (16%) | 360 (84%) | |
| Mean age, years (SD) | 44.7 (17.6) | 46.2 (17.8) | 0.52 a |
| Sex, n (% per group) | 0.085 c | ||
| Female | 29 (42%) | 192 (53%) | |
| Male | 40 (58%) | 168 (47%) | |
| Number of eyes, n (%) | 95 (15%) | 548 (85%) | |
| Severity of OA, n (% per group) | 0.12 b | ||
| Moderate | 16 (17%) | 103 (19%) | |
| Severe | 79 (83%) | 445 (81%) | |
| OA topography, n (% per group) | 0.52 b | ||
| Diffuse | 53 (56%) | 318 (58%) | |
| Temporal | 39 (41%) | 185 (34%) | |
| Superior | 2 (2.1%) | 22 (4%) | |
| Nasal | 0 (0%) | 8 (1.5%) | |
| Inferior | 1 (1.1%) | 15 (2.7%) | |
| Mean distance BCVA, logMAR (SD) | 0.62 (0.8) | 0.38 (0.7) | 0.002 a |
| Mean RNFL thickness, μm (SD) | 55.9 (16.4) | 62.5 (14.9) | 0.0001 a |
| OA+MME n = 95 (15%) Eyes | OA-MME n = 548 (85%) Eyes | p Value a | |
|---|---|---|---|
| Mean central retinal thickness, μm (SD) | |||
| 1-mm diameter area | 263 (30.4) | 263 (20.9) | 0.79 |
| 3-mm diameter area | 312 (17.0) | 309 (21.6) | 0.09 |
| 6-mm diameter area | 277 (11.6) | 272 (15.8) | 0.001 |
| Mean retinal inner nuclear layer thickness, μm (SD) | |||
| 1-mm diameter area | 20.9 (8.4) | 19.2 (5.9) | 0.058 |
| 3-mm diameter area | 49.9 (6.5) | 40.9 (4.3) | 0.0001 |
| 6-mm diameter area | 38.4 (4.0) | 33.2 (3.4) | 0.0001 |
| Mean ganglion cell layer thickness, μm (SD) | |||
| 1-mm diameter area | 9.6 (3.4) | 11.0 (4.2) | 0.001 |
| Mean retinal nerve fiber layer thickness, μm (SD) | |||
| 1-mm diameter area | 9.2 (3.9) | 10.1 (3.21) | 0.024 |
Disclaimer/Publisher’s Note: The statements, opinions and data contained in all publications are solely those of the individual author(s) and contributor(s) and not of MDPI and/or the editor(s). MDPI and/or the editor(s) disclaim responsibility for any injury to people or property resulting from any ideas, methods, instructions or products referred to in the content. |
© 2024 by the authors. Licensee MDPI, Basel, Switzerland. This article is an open access article distributed under the terms and conditions of the Creative Commons Attribution (CC BY) license (https://creativecommons.org/licenses/by/4.0/).
Share and Cite
Coutureau, T.; Butterworth, J.; Biotti, D.; Fournié, P.; Soler, V.; Varenne, F. Microcystic Macular Edema Caused by Non-Glaucomatous Optic Atrophy: A Single-Center, Retrospective, Cohort Study in France. Vision 2024, 8, 52. https://doi.org/10.3390/vision8030052
Coutureau T, Butterworth J, Biotti D, Fournié P, Soler V, Varenne F. Microcystic Macular Edema Caused by Non-Glaucomatous Optic Atrophy: A Single-Center, Retrospective, Cohort Study in France. Vision. 2024; 8(3):52. https://doi.org/10.3390/vision8030052
Chicago/Turabian StyleCoutureau, Tibaut, Jacqueline Butterworth, Damien Biotti, Pierre Fournié, Vincent Soler, and Fanny Varenne. 2024. "Microcystic Macular Edema Caused by Non-Glaucomatous Optic Atrophy: A Single-Center, Retrospective, Cohort Study in France" Vision 8, no. 3: 52. https://doi.org/10.3390/vision8030052
APA StyleCoutureau, T., Butterworth, J., Biotti, D., Fournié, P., Soler, V., & Varenne, F. (2024). Microcystic Macular Edema Caused by Non-Glaucomatous Optic Atrophy: A Single-Center, Retrospective, Cohort Study in France. Vision, 8(3), 52. https://doi.org/10.3390/vision8030052

