Biological Determinants of Track and Field Throwing Performance
Abstract
1. Introduction
2. Article Selection Process
3. Anthropometric Characteristics
3.1. Body Height
3.2. Body Mass
4. Body Composition
4.1. Lean Body Mass
4.2. Bone Mineral Density
4.3. Body Fat
5. Neural Activation
6. Muscle Fibers
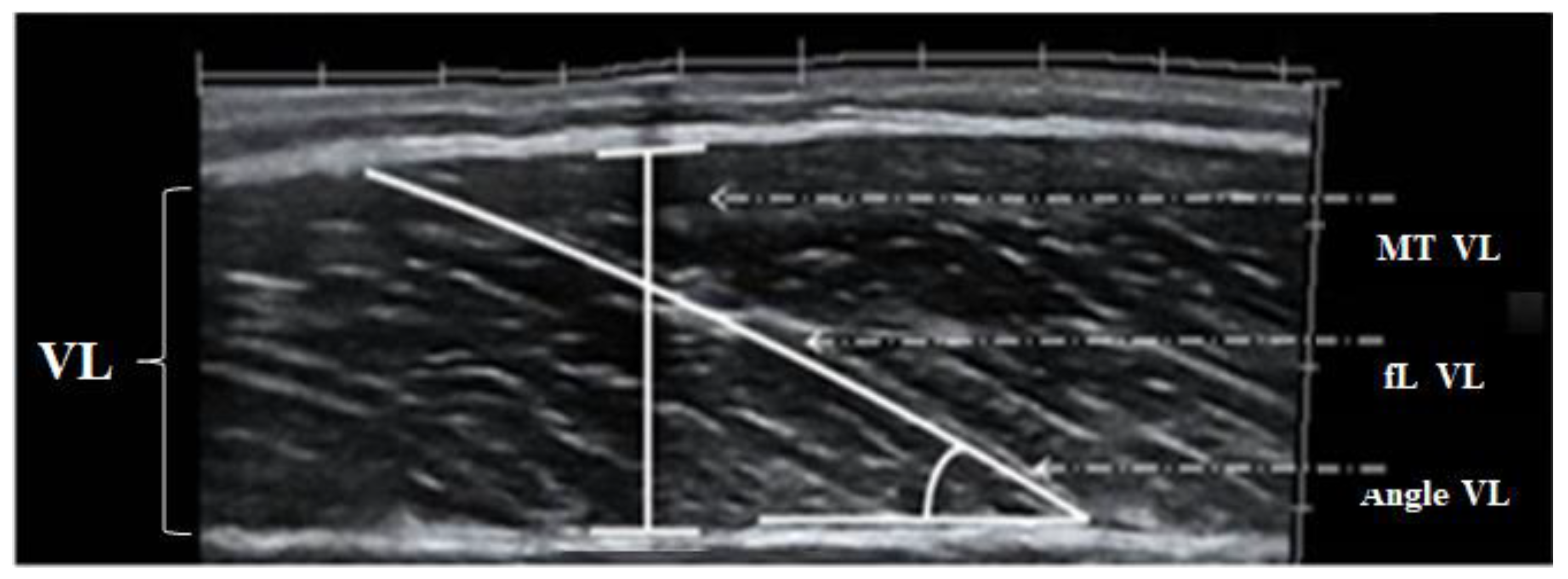
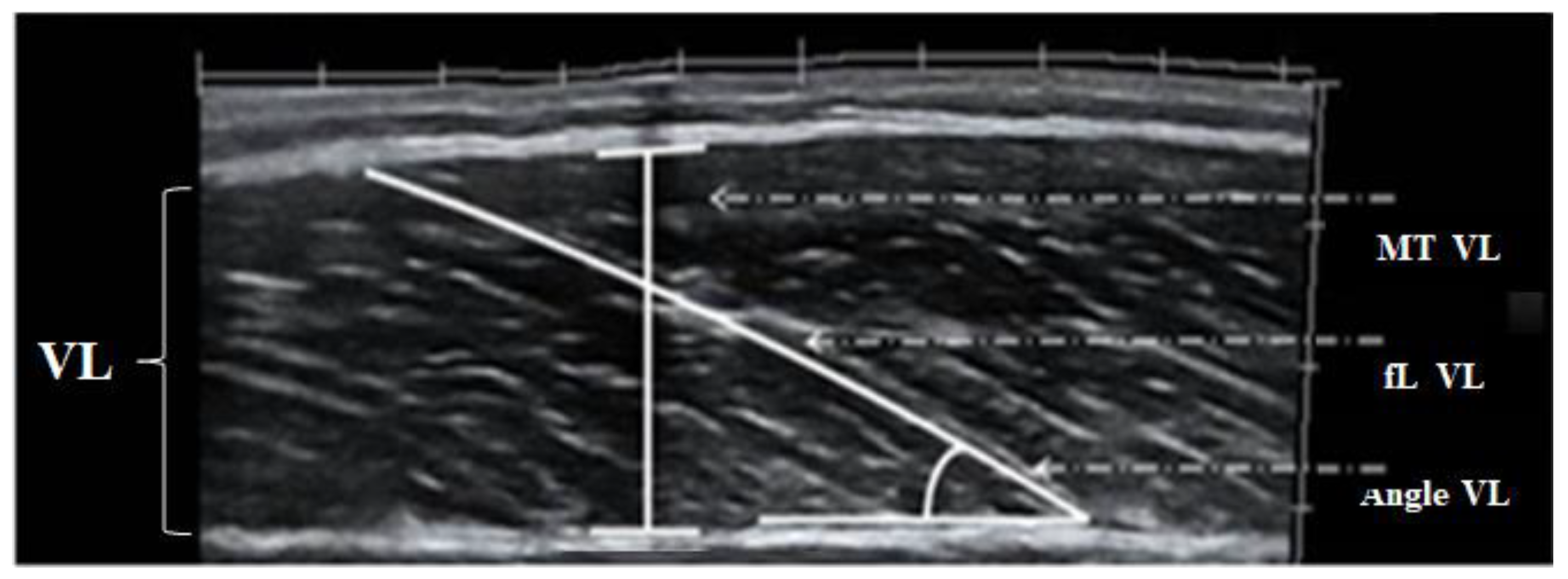
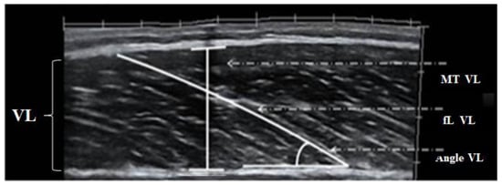
7. Muscle Architecture Characteristics
8. Conclusions
Author Contributions
Funding
Conflicts of Interest
References
- Hubbard, M.; Mestre, N.J.; Scott, J. Dependence of variables in the shot put. J. Biomech. 2001, 34, 449–456. [Google Scholar] [CrossRef]
- Linthorne, N.P. Optimum release angle in the shot put. J. Sports Sci. 2001, 19, 359–372. [Google Scholar] [CrossRef]
- Leigh, S.; Liu, H.; Hubbard, M.; Yu, B. Individualized optimal release angles in discus throwing. J. Biomech. 2010, 43, 540–545. [Google Scholar] [CrossRef] [PubMed]
- Bartlett, R.M.; Best, J.R. The biomechanics of the javelin throwing: A review. J. Sports Sci. 1988, 6, 1–38. [Google Scholar] [CrossRef]
- Bartlett, R.M. The biomechanics of the discus throw: A review. J. Sports Sci. 1992, 10, 467–510. [Google Scholar] [CrossRef] [PubMed]
- Gutierrez, M.; Soto, M.V.; Rojas, J.F. A biomechanical analysis of the individual techniques of hammer throw finalists in the Seville Athletics World Championship 1999. New Stud. Athl. 2002, 17, 15–26. [Google Scholar]
- Zatsiorsky, V.; Lanka, G.; Shalmanov, A. Biomechanical analysis of shot putting technique. Exerc. Sport Sci. Rev. 1981, 9, 353–389. [Google Scholar] [CrossRef]
- Badura, M. Biomechanical analysis of the discus at the 2009 IAAF World Championship in Athletics. New Stud. Athl. 2010, 25, 23–35. [Google Scholar]
- Hirsch, K.R.; Smith-Ryan, A.E.; Trexler, E.T.; Roelofs, E.J. Body composition and muscle characteristics of division I track and field athletes. J. Strength Cond. Res. 2016, 30, 1231–1238. [Google Scholar] [CrossRef] [PubMed]
- Malina, R.M.; Harper, A.B.; Avent, H.H. Physique of female track and field athletes. Med. Sci. Sports Exerc. 1971, 3, 32–38. [Google Scholar] [CrossRef]
- Pipes, T.V. Body composition characteristics of male and female track and field athletes. Res. Q. 1977, 48, 244–247. [Google Scholar] [CrossRef]
- Potteiger, A.J.; Judge, W.L.; Cerny, A.J.; Potteiger, M.V. Effects of alterning training volume and intensity on body mass, performance, and hormonal concentrations in weight-event athletes. J. Strength Cond. Res. 1995, 9, 55–58. [Google Scholar]
- Stone, M.H.; Sanborn, K.; O’Bryant, H.S.; Hartman, M.; Stone, E.M.; Proulx, C.; Ward, B.; Hruby, J. Maximum strength power performance relationships in collegiate throwers. J. Strength Cond. Res. 2003, 17, 739–745. [Google Scholar] [PubMed]
- Zaras, N.; Stasinaki, A.-N.; Arnaoutis, G.; Terzis, G. Predicting throwing performance with field tests. New Stud. Athl. 2016, 31, 9–19. [Google Scholar]
- Hornsby, W.G.; Haff, G.G.; Sands, W.A.; Ramsey, M.W.; Beckham, G.K.; Stone, M.H. Alterations in strength characteristics for isometric and dynamic mid-thigh pulls in collegiate throwers across 11 weeks of training. Gazzeta Med. Ital. Arch. Sci. Med. 2013, 172, 929–940. [Google Scholar]
- Hornsby, W.G.; Haff, G.G.; Suarez, D.G.; Ramsey, M.W.; Triplett, N.T.; Hardee, J.P.; Stone, M.E.; Stone, M.H. Alterations in adiponectin, leptin, resistin, testosterone, and cortisol across eleven weeks of training among division one collegiate throwers: A preliminary study. J. Funct. Morphol. Kinesiol. 2020, 5, 44. [Google Scholar] [CrossRef]
- Judge, L.W. Developing speed strength: In-season training program for the collegiate thrower. Strength Cond. J. 2007, 29, 42–54. [Google Scholar] [CrossRef]
- Kyriazis, T.A.; Terzis, G.; Boudolos, K.; Georgiadis, G. Muscular power, neuromuscular activation, and performance in shot put athletes at preseason and at competition period. J. Strength Cond. Res. 2009, 23, 1773–1779. [Google Scholar] [CrossRef] [PubMed]
- Bazyler, C.D.; Mizuguchi, S.; Harrison, A.P.; Sato, K.; Kavanaugh, A.A.; DeWeese, B.H.; Stone, M.H. Changes in muscle architecture, explosive ability, and track and field throwing performance throughout a competitive season and after a taper. J. Strength Cond. Res. 2017, 31, 2785–2793. [Google Scholar] [CrossRef]
- Zaras, N.; Stasinaki, A.; Krase, A.; Methenitis, S.; Karampatsos, G.; Georgiadis, G.; Spengos, K.; Terzis, G. Effects of tapering with light vs. heavy loads on track and field throwing performance. J. Strength Cond. Res. 2014, 28, 3484–3495. [Google Scholar] [CrossRef] [PubMed]
- Costill, L.D.; Daniels, J.; Evans, W.; Fink, W.; Krahenbuhl, G.; Saltin, B. Skeletal muscle enzymes and fiber type composition in male and female track athletes. Eur. J. Appl. Phys. 1975, 40, 149–154. [Google Scholar]
- Terzis, G.; Karampatsos, G.; Georgiadis, G. Neuromuscular control and performance in shot put athletes. J. Sports Med. Phys. Fit. 2007, 47, 284–290. [Google Scholar]
- De Rose, E.H.; Biazus, L. Distance assessment in shot put based on lean body mass. In Nutrition, Dietetics and Sport; Ricci, G., Venerando, A., Eds.; Minerva Medica: Torino, Italy, 1976; pp. 223–240. [Google Scholar]
- Coyle, E.F.; Bell, S.; Costill, D.L.; Fink, W.J. Skeletal muscle fiber characteristics of world class shot putters. Res. Q. 1978, 49, 278–284. [Google Scholar] [CrossRef] [PubMed]
- Kidd, D.; Winter, M.E. Some athropometric characteristics of the national junior hammer squad. Br. J. Sports Med. 1983, 17, 152–153. [Google Scholar] [CrossRef][Green Version]
- Carter, L.J.E.; Stephen, P.; Aubry, S.P.; Sleet, D.A. Somatotypes of Montreal Olympic athletes. In Physical Structure of Olympic athletes. Part 1: The Montreal Olympic Games Anthropological Project; Carter, L.J.E., Ed.; Med. Sport Science; Karger: Basel, Switzerland, 1982; Volume 16, pp. 53–80. [Google Scholar]
- Morrow, R.J.; Disch, J.G.; Ward, E.P.; Donovan, T.J.; Katch, I.F.; Katch, L.V.; Weltman, L.A.; Tellez, T. Anthropometric, strength and performance characteristics of American world class throwers. J. Sports Med. 1982, 22, 73–79. [Google Scholar]
- Billeter, R.; Jostarndt-Fogen, K.; Gunthor, W.; Hoppeler, H. Fiber type characteristics and myosin heavy chain expression in a world champion shot putter. Int. J. Sports Med. 2002, 24, 203–207. [Google Scholar] [CrossRef] [PubMed]
- Terzis, G.; Georgiadis, G.; Vassiliadou, E.; Manta, P. Relationship between shot put performance and triceps brachii fiber type composition and power production. Eur. J. Appl. Phys. 2003, 90, 10–15. [Google Scholar] [CrossRef]
- Terzis, G.; Stratakos, G.; Manta, P.; Georgiadis, G. Throwing performance after resistance training and detraining. J. Strength Cond. Res. 2008, 22, 1–7. [Google Scholar] [CrossRef] [PubMed]
- Whittington, J.; Schoen, E.; Hamdy, R.; Ramsey, M.W.; Stone, M.E.; Sands, W.A.; Haff, G.G.; Stone, M.H. Bone mineral density and content of collegiate throwers: Influence of maximum strength. J. Sports Med. Phys. Fit. 2009, 49, 464–473. [Google Scholar]
- Schaa, W. Biomechanical analysis of the shot put at the 2009 IAAF World Championship in Athletics. New Stud. Athl. 2010, 25, 9–21. [Google Scholar]
- Terzis, G.; Spengos, K.; Kavouras, S.; Manta, P.; Georgiadis, G. Muscle fiber type composition in hammer throwers. J. Sports Sci. Med. 2010, 9, 104–109. [Google Scholar]
- Kyriazis, T.; Terzis, G.; Karampatsos, G.; Kavvouras, S.; Georiadis, G. Body composition and performance in shot put athletes at preseason and at competition period. Int. J. Sports Physiol. Perform. 2010, 5, 417–421. [Google Scholar] [CrossRef][Green Version]
- Karampatsos, G.; Terzis, G.; Georgiadis, G. Muscular strength, neuromuscular activation and performance in discus throwers. J. Phys. Educ. Sport 2011, 11, 369–375. [Google Scholar]
- Singh, K.; Singh, P.; Singh, C. Anthropometric characteristics, body composition and somatotyping of high and low performer shot putters. Int. J. Sport Sci. Eng. 2011, 6, 153–158. [Google Scholar]
- Singh, S.; Singh, K.; Singh, M. Comparison of anthropometric characteristics and body types of high performer and low performer hammer throwers. Bra. J. Biomotricity 2012, 5, 80–86. [Google Scholar]
- Terzis, G.; Kyriazis, T.; Karampatsos, G.; Georgiadis, G. Muscular strength, body composition and performance of an elite shot putter. Int. J. Sports Physiol. Perform. 2012, 7, 394–396. [Google Scholar] [CrossRef] [PubMed][Green Version]
- Zaras, N.; Spengos, K.; Methenitis, S.; Papadopoulos, C.; Karampatsos, G.; Georgiadis, G.; Stasinaki, A.; Manta, P.; Terzis, G. Effects of strength vs. ballistic power training on throwing performance. J. Sports Sci. Med. 2013, 12, 130–137. [Google Scholar] [PubMed]
- Stasinaki, A.; Gloumis, G.; Spengos, K.; Blazevich, A.; Zaras, N.; Georgiadis, G.; Karampatsos, G.; Terzis, G. Muscle strength, power and morphological adaptations after 6 weeks of compound vs. complex training in healthy men. J. Strength Cond. Res. 2015, 29, 2559–2569. [Google Scholar] [CrossRef]
- Zaras, N.D.; Stasinaki, A.-N.E.; Methenitis, S.K.; Krase, A.A.; Karampatsos, G.P.; Georgiadis, G.V.; Spengos, K.M.; Terzis, G.D. Rate of force development, muscle architecture, and performance in young competitive track and field throwers. J. Strength Cond. Res. 2016, 30, 81–92. [Google Scholar] [CrossRef] [PubMed]
- Howard, R.M.; Conway, R.; Harrison, A.J. Muscle activation sequencing of leg muscles during linear glide shot putting. Sports Biomech. 2017, 16, 463–484. [Google Scholar] [CrossRef]
- Kavvoura, A.; Zaras, N.; Stasinaki, A.-N.; Arnaoutis, G.; Methenitis, S.; Terzis, G. The importance of lean body mass for the rate of force development in taekwondo athletes and track and field throwers. J. Funct. Morphol. Kinesiol. 2018, 3, 43. [Google Scholar] [CrossRef] [PubMed]
- Anousaki, E.; Stasinaki, A.-N.; Zaras, N.; Terzis, G.; Methenitis, S.; Arnaoutis, G.; Karampatsos, G. Rate of force development, lean body mass and throwing performance in female shot-put athletes. J. Phys. Educ. Sport 2018, 18, 1699–1703. [Google Scholar]
- Zaras, N.; Stasinaki, A.-N.; Methenitis, S.K.; Karampatsos, G.P.; Fatouros, I.; Hadjicharalambous, M.; Terzis, G. Track and field throwing performance prediction: Training intervention, muscle architecture adaptations and field tests explosiveness ability. J. Phys. Educ. Sport 2019, 19, 436–443. [Google Scholar]
- Anousaki, E.; Zaras, N.; Stasinaki, A.-N.; Panidi, I.; Terzis, G.; Karampatsos, G. Effects of a 25-week periodized training macrocycle on muscle strength, power, muscle architecture and performance in well-trained track and field throwers. J. Strength Cond. Res. 2021. under review. [Google Scholar]
- Lichtenberg, D.B.; Wills, J.G. Maximizing the range of the shot put. Am. J. Phys. 1997, 46, 546–549. [Google Scholar] [CrossRef]
- Sung, B.J.; Ko, B.G. Differences of physique and physical fitness among male south korean elite national track and field athletes. Int. J. Hum. Mov. Sports Sci. 2017, 5, 17–26. [Google Scholar]
- Ikai, M.; Fukunaga, T. Calculation of muscle strength per unit cross-sectional area of human muscle by means of ultrasonic measurement. Int. J. Angew. Physiol. 1968, 26, 26–32. [Google Scholar] [CrossRef]
- Chilibeck, P.D.; Sale, D.G.; Webber, C.E. Exercise and bone mineral density. Sports Med. 1995, 19, 103–122. [Google Scholar] [CrossRef]
- McCoy, R.W.; Gregor, R.J.; Whiting, W.C.; Rich, R.G.; Ward, P.E. Kinematic analysis of elite shot-putters. Track Tech. 1984, 90, 2868–2871. [Google Scholar]
- Tsirakos, D.K.; Barlett, R.M.; Kollias, I.A. A comparative study of the release and temporal characteristics of shot put. J. Hum. Mov. Stud. 1995, 28, 227–242. [Google Scholar]
- Andersen, L.J.; Aagaard, P. Myosin heavy chain IIX overshoot in human skeletal muscle. Muscle Nerve 2000, 23, 1095–1104. [Google Scholar] [CrossRef]
- Del Vecchio, A.; Negro, F.; Holobar, A.; Casolo, A.; Folland, J.P.; Felici, F.; Farina, D. You are as fast as your motor neurons: Speed of recruitment and maximal discharge of motor neurons determine the maximal rate of force development in humans. J. Physiol. 2019, 597, 2445–2456. [Google Scholar] [CrossRef]
- Adams, G.R.; Hather, M.B.; Baldwin, M.K.; Dudley, A.G. Skeletal muscle myosin heavy chain composition and resistance training. J. Appl. Phys. 1993, 74, 911–915. [Google Scholar] [CrossRef]
- Andersen, L.J.; Aagaard, P. Effects of strength training on muscle fiber types and size; consequences for athletes training for high-intensity sport. Scand. J. Med. Sci. Sport 2010, 20, 32–38. [Google Scholar] [CrossRef] [PubMed]
- Harridge, S.D.R. The muscle contractile system and its adaptation to training. Human muscular function during dynamic exercise. Med. Sport Sci. 1996, 46, 82–94. [Google Scholar]
- Bottinelli, R.; Canepari, M.; Pellegrino, M.A.; Reggiani, C. Force-velocity properties of human skeletal muscle fibres: Myosin heavy chain isoform and temperature dependence. J. Physiol. 1996, 495, 573–586. [Google Scholar] [CrossRef] [PubMed]
- Mero, A.; Luhtanen, P.; Viitasalo, J.; Komi, P.V. Relationship between the maximal running velocity, muscle fiber characteristics, force production and force relaxation of sprinters. Scand. J. Sports Sci. 1981, 3, 16–22. [Google Scholar]
- Methenitis, S.; Spengos, K.; Zaras, N.; Stasinaki, A.-N.; Papadimas, G.; Karampatsos, G.; Arnaoutis, G.; Terzis, G. Fiber type composition and rate of force development in endurance- and resistance-trained individuals. J. Strength Cond. Res. 2019, 33, 2388–2397. [Google Scholar] [CrossRef] [PubMed]
- Komi, P.V.; Karlsson, J. Physical performance, skeletal muscle enzyme activities, and fibre types in monozygous and dizygous twins of both sexes. Acta Physiol. Scand. Suppl. 1979, 462, 1–28. [Google Scholar]
- Kyröläinen, H.; Avela, J.; McBride, J.; Koskinen, S.; Andersen, J.; Sipilä, S.; Takala, T.; Komi, P. Effects of power training on muscle structure and neuromuscular performance. Scand. J. Med. Sci. Sports 2005, 15, 58–64. [Google Scholar] [CrossRef]
- Vissing, K.; Brink, M.; Lønbro, S.; Sørensen, H.; Overgaard, K.; Danborg, K.; Mortensen, J.; Elstrøm, O.; Rosenhøj, N.; Ringgaard, S. Muscle adaptations to plyometric vs. resistance training in untrained young men. J. Strength Cond. Res. 2008, 22, 1799–1810. [Google Scholar] [CrossRef]
- Winchester, J.B.; McBride, J.M.; Maher, M.A.; Mikat, R.P.; Allen, B.K.; Kline, D.E.; McGuigan, M.R. Eight weeks of ballistic exercise improves power independently of changes in strength and muscle fiber type expression. J. Strength Cond. Res. 2008, 22, 1728–1734. [Google Scholar] [CrossRef]
- Liu, Y.; Schlumberger, A.; Wirth, K.; Schmidtbleicher, D.; Steinacker, J. Different effects on human skeletal myosin heavy chain isoform expression: Strength vs. combination training. J. Appl. Physiol. 2003, 94, 2282–2288. [Google Scholar] [CrossRef]
- Abe, T.; Brown, J.B.; Brechue, W.F. Architectural characteristics of muscle in black and white college football players. Med. Sci. Sports Exerc. 1999, 31, 1448–1452. [Google Scholar] [CrossRef]
- Earp, J.E.; Kraemer, W.J.; Newton, R.U.; Comstock, B.A.; Fragala, M.S.; Dunn-Lewis, C. Solomon-Hill, G.; Penwell, Z.R.; Powell, M.D.; Volek, J.S.; et al. Lower-body muscle structure and it’s role in jump performance during squat, countermovement, and depth drop jumps. J. Strength Cond. Res. 2010, 24, 722–729. [Google Scholar] [CrossRef] [PubMed]
- Kumagai, K.; Abe, T.; Brechue, F.W.; Ryushi, T.; Takano, S.; Mizuno, M. Sprint performance is related to muscle fascicle length in male 100-m sprinters. J. Appl. Physiol. 2000, 88, 811–816. [Google Scholar] [CrossRef] [PubMed]
- Zaras, N.; Stasinaki, A.-N.; Spiliopoulou, P.; Mpampoulis, T.; Hadjicharalambous, M.; Terzis, G. Effect of inter-repetition rest vs. Traditional strength training on lower body strength, rate of force development, and muscle architecture. Appl. Sci. 2021, 11, 45. [Google Scholar] [CrossRef]
- Stasinaki, A.-N.; Zaras, N.; Methenitis, S.; Tsitkanou, S.; Krase, A.; Kavvoura, A.; Terzis, G. Triceps Brachii muscle strength and architectural adaptations with resistance training exercises at short or long fascicle length. J. Funct. Morphol. Kinesiol. 2018, 3, 28. [Google Scholar] [CrossRef]
- Secomb, J.L.; Nimphius, S.; Farley, O.R.; Lundgren, L.; Tran, T.T.; Sheppard, J.M. Lower-body muscle structure and jump performance of stronger and weaker surfing athletes. Int. J. Sports Physiol. Perform. 2016, 11, 652–657. [Google Scholar] [CrossRef] [PubMed]
- Blazevich, A.J. Effects of physical training and detraining, immobilisation, growth and aging on human fascicle geometry. Sports Med. 2006, 36, 1003–1017. [Google Scholar] [CrossRef]
- Nimpius, S.; McGuigan, R.M.; Newton, U.R. Changes in muscle architecture and performance during a competitive season in female softball players. J. Strength Cond. Res. 2012, 26, 2655–2666. [Google Scholar] [CrossRef] [PubMed]
- Stasinaki, A.-N.; Zaras, N.; Methenitis, S.; Bogdanis, G.; Terzis, G. Rate of force, development and muscle architecture after fast and slow velocity eccentric training. Sports 2019, 7, 41. [Google Scholar] [CrossRef]
- Aagaard, P.; Andersen, L.J.; Dyhre-Poulsen, P.; Leffers, M.A.; Wagner, A.; Magnusson, P.S.; Kristensen, H.J.; Simonsen, B.E. A mechanism for increase contractile strength of human pennate muscle in response to strength training: Changes in muscle architecture. J. Physiol. 2001, 534, 613–623. [Google Scholar] [CrossRef] [PubMed]
- Cormie, P.; McGuigan, M.R.; Newton, R.U. Adaptations in athletic performance after ballistic power versus strength training. Med. Sci. Sports Exerc. 2010, 42, 1582–1598. [Google Scholar] [CrossRef]
- Kawakami, Y.; Abe, T.; Kuno, S.Y.; Fukunaga, T. Training-induced changes in muscle architecture and specific tension. Eur. J. Appl. Physiol. Occup. Physiol. 1995, 72, 37–43. [Google Scholar] [CrossRef] [PubMed]
- Blazevich, J.A.; Gill, N.D.; Bronks, R.; Newton, R.U. Training specific muscle architecture adaptation after 5-wk training in athletes. Med. Sci. Sports Exerc. 2003, 35, 2013–2022. [Google Scholar] [CrossRef]
- Zaras, N.; Stasinaki, A.-N.; Spiliopoulou, P.; Arnaoutis, G.; Hadjicharalambous, M.; Terzis, G. Rate of force development, muscle architecture, and performance in elite weightlifters. Int. J. Sports Physiol. Perform. 2020, 16, 216–223. [Google Scholar] [CrossRef]



| Study | Athletes | Performance (m) | LBM Method | Total LBM (kg) | Correlation with Performance (Pearson’s r) |
|---|---|---|---|---|---|
| De Rose and Briazus [23] | 5 Shot putters | 16.72–19.28 | Body diameters and skinfolds | 102.8 ± 17.11 | 0.94 * |
| Morrow et al. [27] | 13 Shot putters 9 Hammer 15 Discus 12 Javelin | 17.57 ± 0.71 55.09 ± 4.77 53.56 ± 6.02 64.85 ± 4.97 | Hydrostatic weighing, Siri equation | 95.6 ± 5.9 88.3 ± 5.5 93.9 ± 6.9 82.9 ± 6.4 | 0.72 ** NS 0.55 * NS |
| Terzis et al. [30] | 11 novice throwers | 10.15 ± 1 | DXA | 62.7 ± 2.0 | 0.85 ** |
| Kyriazis et al. [34] | 9 Shot putters (Rotational Technique) | Pre-competition 13.97 ± 0.3 | DXA | 85.4 ± 1.7 | 0.70 * |
| Competition 14.34 ± 0.3 | 85.5 ± 1.7 | 0.55, NS | |||
| Terzis et al. [33] | 6 Hammer | 72.17 ± 6.4 | DXA | 85.9 ± 3.9 | 0.81 * |
| Singh et al. [36] | 20 Shot putters | NR | Skinfolds | 80.70 ± 6.01 HP 75.09 ± 5.12 LP | NR |
| Singh et al. [37] | 20 Hammer | NR | Skinfolds | 71.9 ± 2.98 HP 64.64 ± 2.59 LP | NR |
| Terzis et al. [38] | 1 Shot putter (Rotation Technique) | 20.36 | DXA | 84.0–92.0 | NS |
| Anousaki et al. [44] | 7 Shot putters (Females) | 13.90 ± 1.96 | DXA | 55.9 ± 3.8 | 0.93 ** |
| Study | Athletes | Performance (m) | Muscles | Correlation with Performance (Pearson’s r) |
|---|---|---|---|---|
| Terzis et al. [22] | 8 male linear shot putters | Ranged between 15.15 and 18.63 m | VL, PEC, TRI and GAS | Shot-put performance was significantly correlated with VL-EMG by r = 0.91 **, as well as with PEC-EMG by r = 0.75 *. No significant correlation was found between shot-put throwing performance and TRI-EMG or GAS-EMG. |
| Kyriazis et al. [18] | 9 male rotational shot putters | Pre-Season 15.26 ± 1.67 | VL | Shot-put performance was significantly correlated with VL-EMG both during pre-season and competition periods by r = 0.81 * and 0.80 *, respectively. A significant negative correlation was found between VL-EMG during the initial 200 ms of muscle activation and shot-put performance by r = −0.75 *, during both pre-season and competition periods. |
| Competition 15.98 ± 2.11 | ||||
| Karampatsos et al. [35] | 6 male discus throw athletes | 49.64 ± 4.3 | Quant and Gas | Quadriceps EMG was significantly correlated with both standing and rotational discus throwing performance by r = 0.80 * and 0.81 *, respectively. A significant negative correlation was found between the duration of EMG activation of right quadriceps and right gastrocnemius with discus performance by r = −0.94 ** and −0.88 *, respectively |
| Study | Athletes | Performance (m) | Muscle | Characteristics | Correlation with Performance (Pearson’s r) |
|---|---|---|---|---|---|
| Costill et al. [21] | 3 male javelin throwers | 78.6 (76.2–81.1) | LG | Type I = 50.4% (46.5–56.2) CSA Type I = 5585 mμ2 CSA Type II = 5771 mμ2 %CSA Type I = 47.7% | NS |
| 3 female javelin throwers | 51.8 (49.1–57) | Type I = 41.6% (41.2–42) CSA Type I = 4864 mμ2 CSA Type II = 4562 mμ2%CSA Type I = 42.9% | |||
| 4 male shot-put and discus throwers | 61.1 (60.9–61.3) 19.3 (18.9–19.7) | Type I = 37.7% (13–52) CSA Type I = 7702 mμ2 CSA Type II = 9483 mμ2 %CSA Type I = 34% | |||
| 2 female discus throwers | 54.8 (53–56.6) | Type I = 51.2% (48.3–54) CSA Type I = 5192 mμ2 CSA Type II = 5851 mμ2 %CSA Type I = 46.9% | |||
| Coyle et al. [24] | 8 male shot putters | 18.94 ± 0.26 | LG | Type I = 37.8% ± 5.5% CSA Type I = 6367 ± 526 mμ2 CSA Type II = 6441 ± 749 mμ2 | Type II (%) muscle fibers were poorly correlated with shot-put performance, r = 0.23, NS. |
| Billeter et al. [28] | 1 male shot putter | 22.75 | VL | Type I = 60% Type II = 40% CSA Type I = 3430 ± 189 mμ2 CSA Type II = 10,265 ± 465 mμ2 %CSA Type I = 33.4% %CSA Type II = 66.6% | NR |
| Terzis et al. [29] | 13 novice shot putters | 10.90 ± 0.28 | TRI | Type II = 64.6% ± 3.2% %CSA II = 71.4% ± 2.9% | Significant correlation was found between the %CSA of type II muscle fibers and shot-put performance (r = 0.70 *). |
| Terzis et al. [33] | 6 male hammer throwers | 72.17 ± 6.40 | VL | Type I = 39.9% ± 5.0% Type IIA = 51.1% ± 9.0% Type IIX = 9.0 ± 7.0% CSA Type I = 5793 ± 670 mμ2 CSA Type IIA = 7703 ± 1171 mμ2 CSA Type IIX = 6554 ± 2040 mμ2 %CSA Type I = 33.9% ± 4.0% %CSA Type IIA = 57.3% ± 9.0% %CSA Type IIX = 8.8% ± 7.0% | CSA of Type I, Type IIA and Type IIX muscle fibers were significantly correlated with hammer throwing performance by r = 0.93 **, 0.96 ** and 0.90 **, respectively. |
| Study | Athletes | Training | Throwing Performance Change (%) | Muscle Characteristics | Correlation with Performance (Pearson’s r) |
|---|---|---|---|---|---|
| Zaras et al. [20] | 2 Shot putters 4 Hammer 5 Discus 2 Javelin | 13 throwers (7 males and 6 females) followed a year-round training macrocycle, leading into a 2-week tapering period with either light (30% of 1-RM) or heavy (85% of 1-RM) resistance loads. | LT: Throwing performance increased by 4.8% ± 1.0%. | VL-TH = 3.5% ± 6.4% ↔ VL-ANG = −4.4% ± 9.1% ↔ VL-LEN = 4.1% ± 10.2% ↔ | NR |
| HT: Throwing performance increased by 5.6% ± 0.9%. | VL-TH = 0.8% ± 4.1% ↔ VL-ANG = −1.7% ± 9.1% ↔ VL-LEN = 3.4% ± 9.0% ↔ | ||||
| Zaras et al. [41] | 2 Shot putters 4 Hammer 5 Discus 1 Javelin | 12 throwers (6 males and 6 females) followed a 12-week periodized training program aiming to increase performance for the spring competitive period. | Throwing performance increased by 6.8% ± 4.3%. | VL-TH = 5.9% ± 7.1% ↑ VL-ANG = −2.5% ± 17.9% ↔ VL-LEN = 13.4% ± 16.2% ↑ | Competitive track and field throwing performance (Z-scores) correlated with fascicle length only at T2 (r = 0.59 *). The percentage change of VL length and VL thickness tended to explain 33.8% of the percentage increase in track and field throwing performance (p = 0.09). Additionally, the percentage change of VL length and VL angle tended to explain 33.5% of the percentage increase in track and field throwing performance (p = 0.092). |
| Bazyler et al. [19] | 3 Hammer 2 Discus 1 Javelin | 6 collegiate track and field throwers (4 males and 2 females) followed 12-week training using a block periodization model culminating with a 1-week overreach followed by a 3-week taper. Here are presented the percentage differences for T1 to T3 measurements. | Throwing performance increased by 6.3%. | VL-TH: T1: 2.66 ± 0.45 cm T2: 2.84 ± 0.5 cm ↑ VL-ANG: T1: 21.74 ± 4.46° T2: 21.58 ± 4.23° ↔ VL-LEN: T1: 7.42 ± 2.06 cm T2: 7.85 ± 1.18 cm ↔ | NR |
| Zaras et al. [45] | 2 Shot putters 3 Hammer 5 Discus 1 Javelin | 11 throwers (6 males and 5 females) completed 10 weeks of training aiming to increase track and field throwing performance for summer national competitions. | Throwing performance increased by 5.8% ± 2.8%. | VL-TH = 6.2% ± 7.4% ↑ VL-ANG = 1.4% ± 16.4% ↔ VL-LEN = 10.5% ± 13.1% ↑ | Shot-put throw from the power position was significantly correlated with VL thickness before, r = 0.678 *, and after the training period, r = 0.669 * |
| Anousaki et al. [46] | 1 Shot putter 4 Hammer 3 Discus 4 javelin | 12 male well-trained throwers completed 25 weeks of training aiming to increase track and field throwing performance for the summer national competitions. | Throwing performance increased by 10.8%. | VL-TH = −1.5% ± 5.3% ↔ VL-ANG = −3.8% ± 11.5% ↔ VL-LEN = 9.6% ± 11.1% ↑ | Competitive track and field throwing performance (Z-scores) was large to very large, correlated with VL muscle thickness at T1 (r = 0.547), T2 (r = 0.528) and T3 (r = 0.726 **). |
| Anthropometric characteristics |
|
| Body composition |
|
| Neural activation |
|
| Muscle fiber type composition |
|
| Muscle architecture |
|
Publisher’s Note: MDPI stays neutral with regard to jurisdictional claims in published maps and institutional affiliations. |
© 2021 by the authors. Licensee MDPI, Basel, Switzerland. This article is an open access article distributed under the terms and conditions of the Creative Commons Attribution (CC BY) license (https://creativecommons.org/licenses/by/4.0/).
Share and Cite
Zaras, N.; Stasinaki, A.-N.; Terzis, G. Biological Determinants of Track and Field Throwing Performance. J. Funct. Morphol. Kinesiol. 2021, 6, 40. https://doi.org/10.3390/jfmk6020040
Zaras N, Stasinaki A-N, Terzis G. Biological Determinants of Track and Field Throwing Performance. Journal of Functional Morphology and Kinesiology. 2021; 6(2):40. https://doi.org/10.3390/jfmk6020040
Chicago/Turabian StyleZaras, Nikolaos, Angeliki-Nikoletta Stasinaki, and Gerasimos Terzis. 2021. "Biological Determinants of Track and Field Throwing Performance" Journal of Functional Morphology and Kinesiology 6, no. 2: 40. https://doi.org/10.3390/jfmk6020040
APA StyleZaras, N., Stasinaki, A.-N., & Terzis, G. (2021). Biological Determinants of Track and Field Throwing Performance. Journal of Functional Morphology and Kinesiology, 6(2), 40. https://doi.org/10.3390/jfmk6020040

