Surgical and Rehabilitative Treatment of Misdiagnosed Posterior Dislocation of the Shoulder: Case Series
Abstract
:1. Introduction
2. Materials and Methods
2.1. Surgical Technique
2.2. Post-Operative Care and Rehabilitation
2.3. Clinical and Radiographic Assessment
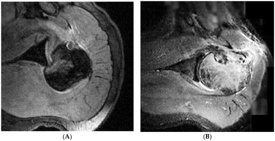
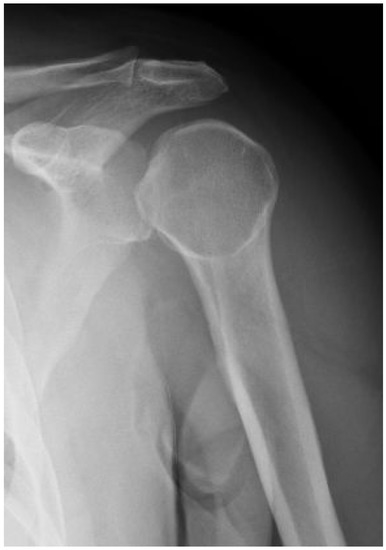
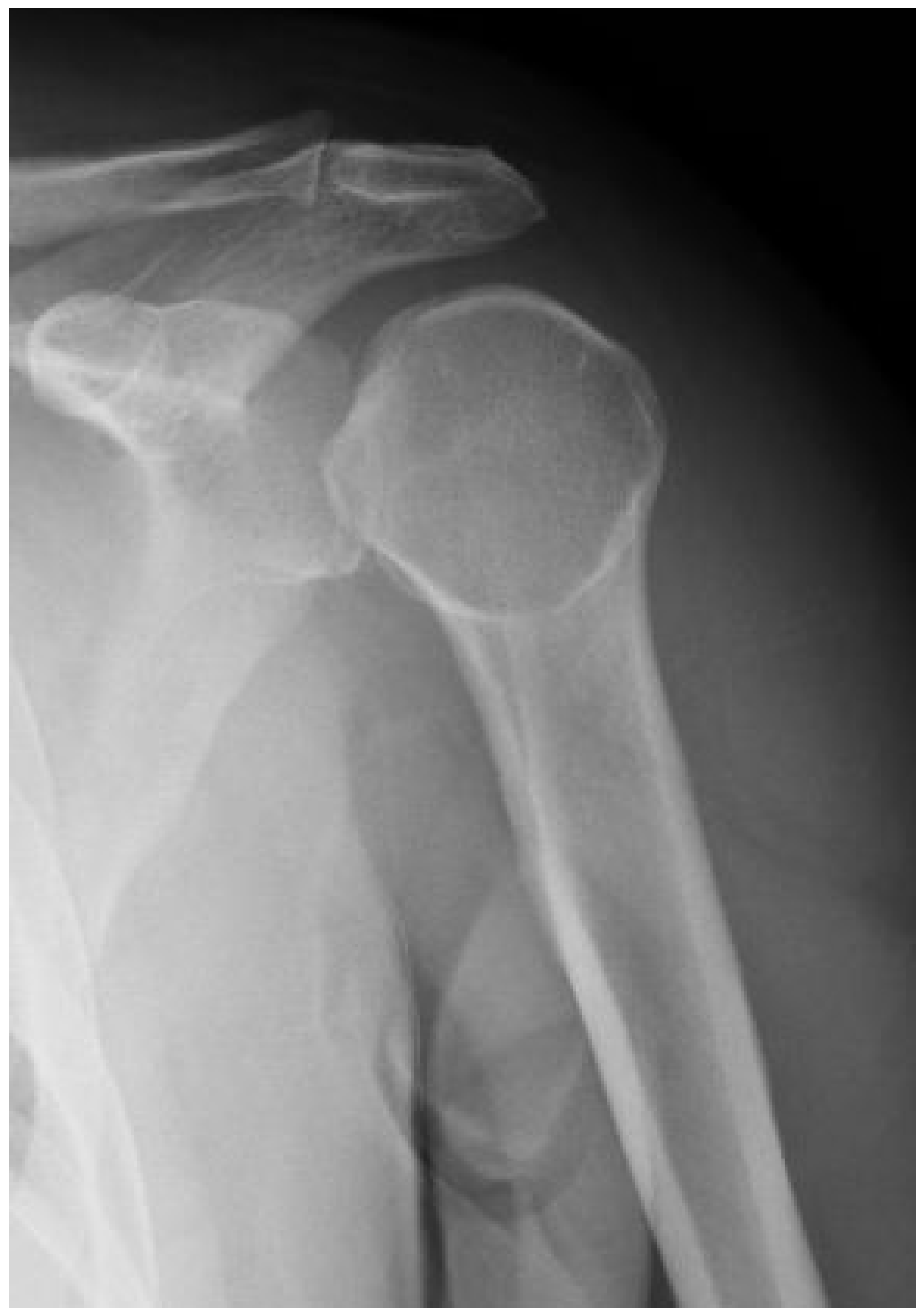
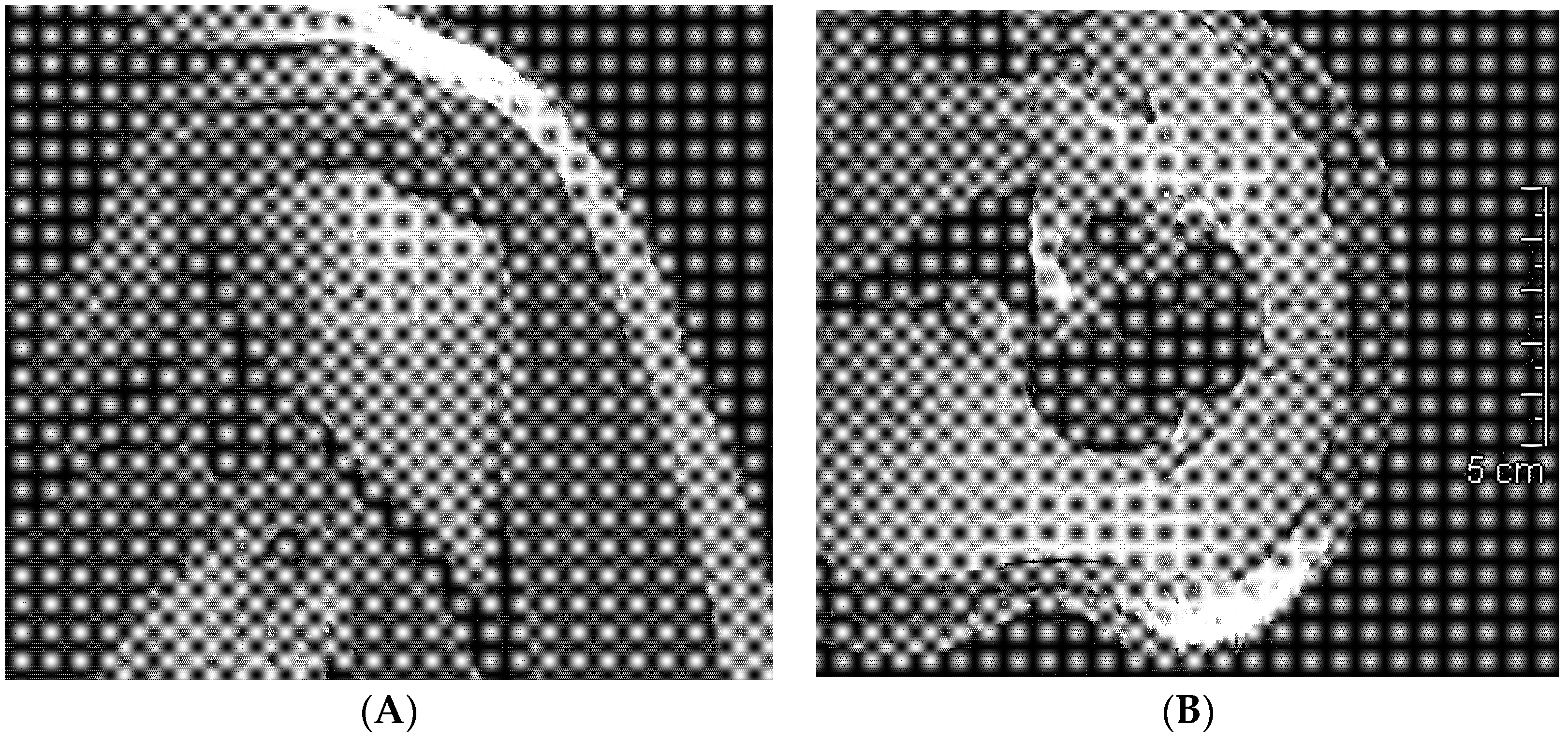
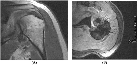
3. Results
4. Discussion
Author Contributions
Conflicts of Interest
References
- Shields, D.W.; Jefferies, J.G.; Brooksbank, A.J.; Millar, N.; Jenkins, P.J. Epidemiology of glenohumeral dislocation and subsequent instability in an urban population. J. Shoulder Elbow Surg. 2018, 27, 189–195. [Google Scholar] [CrossRef] [PubMed]
- Robinson, C.M.; Aderinto, J. Posterior shoulder dislocations and fracture-dislocations. J. Bone Jt. Surg. Am. 2005, 87, 639–650. [Google Scholar] [CrossRef] [PubMed]
- Robinson, C.M.; Seah, M.; Akhtar, M.A. The Epidemiology, Risk of Recurrence, and Functional Outcome after an Acute Traumatic Posterior Dislocation of the Shoulder. J. Bone Jt. Surg. Am. 2011, 93, 1605–1613. [Google Scholar] [CrossRef] [PubMed]
- Robinson, C.M.; Akhtar, A.; Mitchell, M.; Beavis, C. Complex posterior fracture-dislocation of the shoulder: Epidemiology, injury patterns, and results of operative treatment. J. Bone Jt. Surg. Am. 2007, 89, 1454–1466. [Google Scholar] [CrossRef]
- Goudie, E.B.; Murray, I.R.; Robinson, C.M. Instability of the shoulder following seizures. J. Bone Jt. Surg. Br. 2012, 94, 721–728. [Google Scholar] [CrossRef] [PubMed]
- Pushpakumara, J.; Sivathiran, S.; Roshan, L.; Gunatilake, S. Bilateral posterior fracture-dislocation of the shoulders following epileptic seizures: A case report and review of the literature. BMC Res. Notes 2015, 8, 704. [Google Scholar] [CrossRef] [PubMed]
- Betz, M.E.; Traub, S.J. Bilateral posterior shoulder dislocations following seizure. Intern. Emerg. Med. 2007, 2, 63–65. [Google Scholar] [CrossRef] [PubMed]
- Rouleau, D.M.; Hebert-Davies, J. Incidence of Associated Injury in Posterior Shoulder Dislocation. J. Orthop. Trauma 2012, 26, 246–251. [Google Scholar] [CrossRef] [PubMed]
- Saupe, N.; White, L.M.; Bleakney, R.; Schweitzer, M.E.; Recht, M.P.; Jost, B.; Zanetti, M. Acute Traumatic Posterior Shoulder Dislocation: MR Findings. Radiology 2008, 248, 185–193. [Google Scholar] [CrossRef] [PubMed]
- Walch, G.; Boileau, P.; Martin, B.; Dejour, H. Unreduced posterior luxations and fractures-luxations of the shoulder. Apropos of 30 cases. Rev. Chir. Orthop. Reparatrice Appar. Mot. 1990, 76, 546–558. [Google Scholar] [PubMed]
- Hawkins, R.J.; Neer, C.S.; Pianta, R.M.; Mendoza, F.X. Locked posterior dislocation of the shoulder. J. Bone Jt. Surg. Am. 1987, 69, 9–18. [Google Scholar] [CrossRef]
- Rowe, C.R.; Zarins, B. Chronic unreduced dislocations of the shoulder. J. Bone Jt. Surg. Am. 1982, 64, 494–505. [Google Scholar] [CrossRef]
- Kowalsky, M.S.; Levine, W.N. Traumatic Posterior Glenohumeral Dislocation: Classification, Pathoanatomy, Diagnosis, and Treatment. Orthop. Clin. N. Am. 2008, 39, 519–533. [Google Scholar] [CrossRef] [PubMed]
- Cisternino, S.J.; Rogers, L.F.; Stufflebam, B.C.; Kruglik, G.D. The trough line: a radiographic sign of posterior shoulder dislocation. Am. J. Roentgenol. 1978, 130, 951–954. [Google Scholar] [CrossRef] [PubMed]
- Rouleau, D.M.; Hebert-Davies, J.; Robinson, C.M. Acute traumatic posterior shoulder dislocation. J. Am. Acad. Orthop. Surg. 2014, 22, 145–152. [Google Scholar] [CrossRef] [PubMed]
- McLaughlin, H.L. Posterior dislocation of the shoulder. J. Bone Jt. Surg. Am. 1952, 24, 584–590. [Google Scholar] [CrossRef]
- Castagna, A.; Delle Rose, G.; Borroni, M.; Markopoulos, N.; Conti, M.; Maradei, L.; Garofalo, R. Modified MacLaughlin procedure in the treatment of neglected posterior dislocation of the shoulder. Chir. Organi Mov. 2009, 93 (Suppl. 1), S1–S5. [Google Scholar] [CrossRef] [PubMed]
- Delcogliano, A.; Caporaso, A.; Chiossi, S.; Menghi, A.; Cillo, M.; Delcogliano, M. Surgical management of chronic, unreduced posterior dislocation of the shoulder. Knee Surg. Sport Traumatol. Arthrosc. 2005, 13, 151–155. [Google Scholar] [CrossRef] [PubMed]
- Krackhardt, T.; Schewe, B.; Albrecht, D.; Weise, K. Arthroscopic fixation of the subscapularis tendon in the reverse Hill-Sachs lesion for traumatic unidirectional posterior dislocation of the shoulder. Arthroscopy 2006, 22, 227.e1–227.e6. [Google Scholar] [CrossRef] [PubMed]
- Jariwala, A.; Haines, S.; McLeod, G. Locked posterior dislocation of the shoulder with communition of the lesser tuberosity: A stabilisation technique. Eur. J. Orthop. Surg. Traumatol. 2008, 18, 377–379. [Google Scholar] [CrossRef]
- Drignei, M.; Scarlat, M.M. Treatment of chronic dislocations of the shoulder by reverse total shoulder arthroplasty: A clinical study of six cases. Eur. J. Orthop. Surg. Traumatol. 2009, 19, 541–546. [Google Scholar] [CrossRef]
- Gerber, C.; Pennington, S.D.; Yian, E.H.; Pfirrmann, C.A.W.; Werner, C.M.L.; Zumstein, M.A. Lesser Tuberosity Osteotomy for Total Shoulder Arthroplasty: Surgical Technique. J. Bone Jt. Surg. Am. 2006, 88 Pt 2 (Suppl. 1), 170–177. [Google Scholar] [CrossRef]
- Keppler, P.; Holz, U.; Thielemann, F.W.; Meinig, R. Locked posterior dislocation of the shoulder: Treatment using rotational osteotomy of the humerus. J. Orthop. Trauma 1994, 8, 286–292. [Google Scholar] [CrossRef] [PubMed]
- Gerber, C.; Lambert, S.M. Allograft reconstruction of segmental defects of the humeral head for the treatment of chronic locked posterior dislocation of the shoulder. J. Bone Jt. Surg. Am. 1996, 78, 376–382. [Google Scholar] [CrossRef]
- Diklic, I.D.; Ganic, Z.D.; Blagojevic, Z.D.; Nho, S.J.; Romeo, A.A. Treatment of locked chronic posterior dislocation of the shoulder by reconstruction of the defect in the humeral head with an allograft. J. Bone Jt. Surg. Br. 2010, 92, 71–76. [Google Scholar] [CrossRef] [PubMed]
- Randelli, M. La Fracture-Luxation Postérieure de L’épaule: Nouveaux Éléments de Classification et Thérapeutiques; 2e congrès de la Societé Europèenne de Chirurgie de l’épaule et du coude: Berne, Switzerland, 1988; Volume 2. [Google Scholar]
- Alepuz, E.S.; Pérez-Barquero, J.A.; Jorge, N.J.; García, F.L.; Baixauli, V.C. Treatment of The Posterior Unstable Shoulder. Open Orthop. J. 2017, 11, 826–847. [Google Scholar] [CrossRef] [PubMed]
- McIntyre, K.; Bélanger, A.; Dhir, J.; Somerville, L.; Watson, L.; Willis, M.; Sadi, J. Evidence-based conservative rehabilitation for posterior glenohumeral instability: A systematic review. Phys. Ther. Sport 2016, 22, 94–100. [Google Scholar] [CrossRef] [PubMed]
- Constant, C.R.; Murley, A.H. A Clinical method of functional assessment of the shoulder. Clin. Orthop. Relat. Res. 1987, 214, 160–164. [Google Scholar] [CrossRef]
- Aparicio, G.; Calvo, E.; Bonilla, L.; Espejo, L.; Box, R. Neglected traumatic posterior dislocations of the shoulder: Controversies on indications for treatment and new CT scan findings. J. Orthop. Sci. 2000, 5, 37–42. [Google Scholar] [PubMed]
- Xu, W.; Huang, L.X.; Guo, J.J.; Jiang, D.H.; Zhang, Y.; Yang, H.L. Neglected posterior dislocation of the shoulder: A systematic literature review. J. Orthop. Transl. 2015, 3, 89–94. [Google Scholar] [CrossRef]
- Bekmezci, T.; Altan, E. Management and Prognostic Factors for Delayed Reconstruction of Neglected Posterior Shoulder Fracture-Dislocation. Arch. Trauma Res. 2015, 4, e29903. [Google Scholar] [CrossRef] [PubMed]
- Kokkalis, Z.T.; Mavrogenis, A.F.; Ballas, E.G.; Papanastasiou, J.; Papagelopoulos, P.J. Modified McLaughlin Technique for Neglected Locked Posterior Dislocation of the Shoulder. Orthopedics 2013, 36, e912–e916. [Google Scholar] [CrossRef] [PubMed]





| Patients | Sex–Age (y) | Days from the Trauma to the Diagnosis | Days from the Trauma to the Treatment | Kind of Lesion | Treatment |
|---|---|---|---|---|---|
| 1 CP | M–49 | 19 days | 22 days | Hill–Sachs reverse lesion <50% | McLaughlin technique Subscapularis tendon transfer |
| 2 DF | F–49 | 70 days | 106 days | Hill–Sachs reverse lesion <50% | Subscapularis tendon transfer |
| 3 AA | M–54 | 6 days | 14 days | Hill–Sachs reverse lesion <50%, humeral insertional detachment of ST and LHB | Subscapularis tendon transfer |
| 4 CI | M–34 | 2 days | 9 days | Hill–Sachs reverse lesion <50% | Repair through a plication of subscapularis tendon (McLaughlin modified technique) |
| Patient | Limb Operated | Constant Score | Abduction | AAE | IR | ER 1 | ER 2 | ||||||
|---|---|---|---|---|---|---|---|---|---|---|---|---|---|
| Limb R | Limb L | Limb R | Limb L | Limb R | Limb sin | Limb R | Limb L | Limb R | Limb L | Limb R | Limb L | ||
| 1 CP | Left, not dominant | 94 | 92 | >150° | >150° | 180° | 180° | T7 | T11 | 40° | 45° | 90° | 90° |
| 2 DF | Right, not dominant | 91 | 93 | >150° | >150° | 180° | 180° | L1 | T9 | 70° | 70° | 90° | 90° |
| 3 AA | Left, not dominant | 86 | 83 | >150° | >150° | 180° | 180° | T10 | L4 | 45° | 45° | 90° | 85° |
| 4 CI | Right, dominant | 98 | 98 | >150° | >150° | 180° | 180° | T11 | T11 | 45° | 45° | 90° | 90° |
© 2018 by the authors. Licensee MDPI, Basel, Switzerland. This article is an open access article distributed under the terms and conditions of the Creative Commons Attribution (CC BY) license (http://creativecommons.org/licenses/by/4.0/).
Share and Cite
Pavone, V.; Caruso, V.F.; Chisari, E.; Mangano, S.; Costa, D.; Sessa, G.; Testa, G. Surgical and Rehabilitative Treatment of Misdiagnosed Posterior Dislocation of the Shoulder: Case Series. J. Funct. Morphol. Kinesiol. 2018, 3, 30. https://doi.org/10.3390/jfmk3020030
Pavone V, Caruso VF, Chisari E, Mangano S, Costa D, Sessa G, Testa G. Surgical and Rehabilitative Treatment of Misdiagnosed Posterior Dislocation of the Shoulder: Case Series. Journal of Functional Morphology and Kinesiology. 2018; 3(2):30. https://doi.org/10.3390/jfmk3020030
Chicago/Turabian StylePavone, Vito, Vincenzo Fabrizio Caruso, Emanuele Chisari, Sebastiano Mangano, Danilo Costa, Giuseppe Sessa, and Gianluca Testa. 2018. "Surgical and Rehabilitative Treatment of Misdiagnosed Posterior Dislocation of the Shoulder: Case Series" Journal of Functional Morphology and Kinesiology 3, no. 2: 30. https://doi.org/10.3390/jfmk3020030
APA StylePavone, V., Caruso, V. F., Chisari, E., Mangano, S., Costa, D., Sessa, G., & Testa, G. (2018). Surgical and Rehabilitative Treatment of Misdiagnosed Posterior Dislocation of the Shoulder: Case Series. Journal of Functional Morphology and Kinesiology, 3(2), 30. https://doi.org/10.3390/jfmk3020030

