Activated Plasma Albumin Gel (APAG) in Transalveolar Technique for Maxillary Sinus Lift: A Case Series
Abstract
1. Introduction
2. Materials and Methods
2.1. Sample Selection
- Inclusion criteria:
- Sex: male or female;
- Age: between 26 and 78 years old;
- Systemic situation: patients should not have absolute contraindications to surgery; diabetics or pharmacologically compensated hyper-tense patients were included;
- Pharmacology: patients not under bisphosphonates or anticoagulant therapies;
- Smoking: non smokers;
- Stomagnathic situation: absence of periodontal illness without treatment or in active phase, excellent oral hygiene and general compliance, absence of acute injuries (abscess);
- Adequate thickness to perform the intervention with flapless technique.
- Exclusion criteria:
- Age: below 20 and over 80 years old;
- Systemic situation: presence of pathologies that represent an absolute contraindication to surgery (IMA in the previous year, decompensated diabetes, hyper-tension without pharmacological treatment, chemotherapy or radiotherapy, in the district of our interest, in progress or during the preceding year, neoplasms);
- Pharmacology: use of bisphosphonates, anticoagulant or chemotherapy drugs;
- Smoking: The effect smoking may be deleterious to osseointegration and to the long-term survival of implants;
- Stomagnathic situation: periodontal illness without treatment or in active phase, poor oral hygiene and general compliance, presence of acute injuries (abscess);
- Adequate thickness to perform the intervention with flapless technique;
- Insufficient thickness for flapless intervention;
- Allergies: the patient must not be allergic to the molecules under consideration.
| Sample | ||
|---|---|---|
| Age Range | 36–79 years old | |
| Gender | Female | Male |
| Number of Patients | 22 | 11 |
| Number of Implants | 32 | 12 |
| Average Bone Gain | 4.66 mm | 3.83 mm |
2.2. APAG Preparation
2.3. Surgical Technique
2.4. Post-Operative Home Treatment
2.5. Remote Follow-Ups
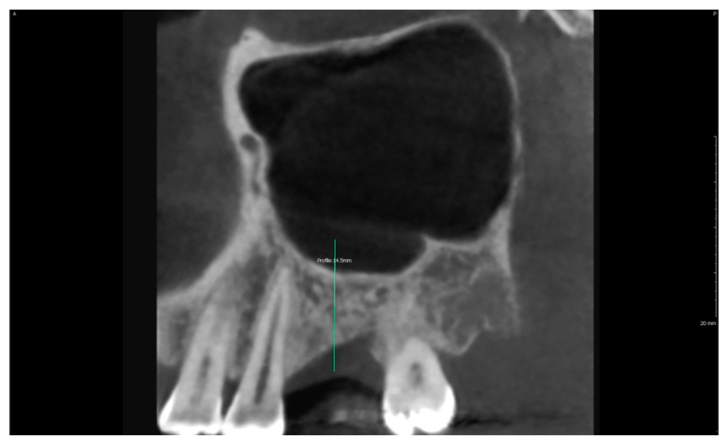
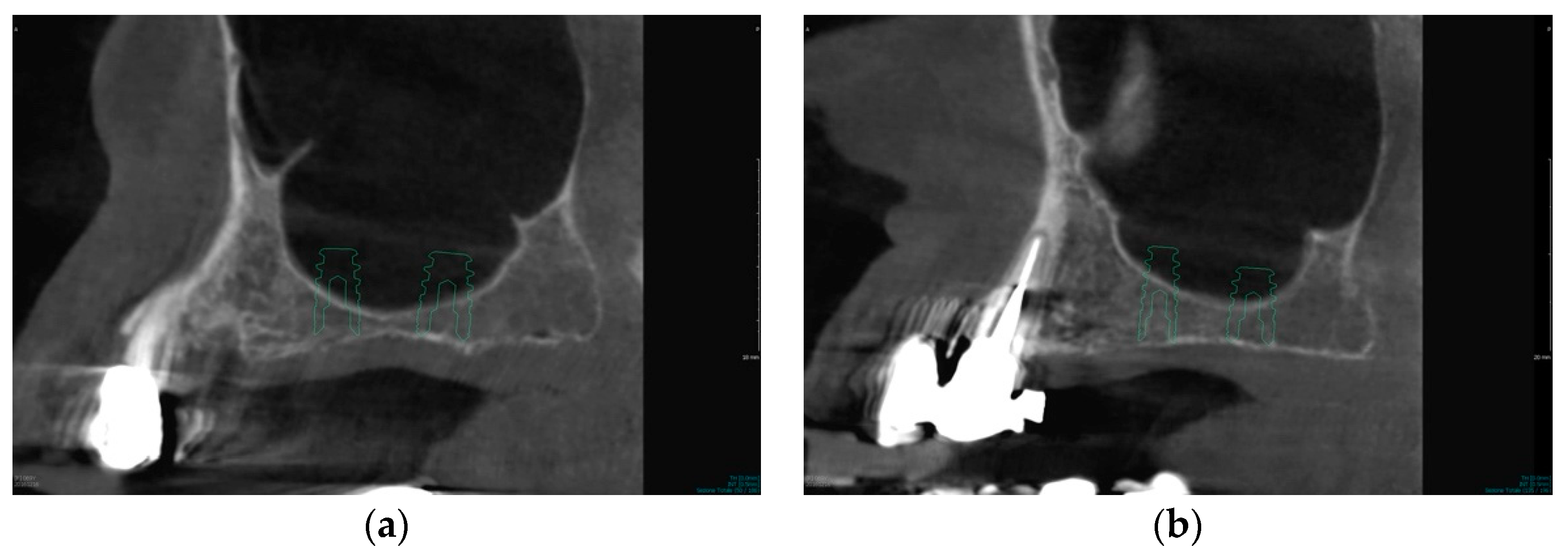
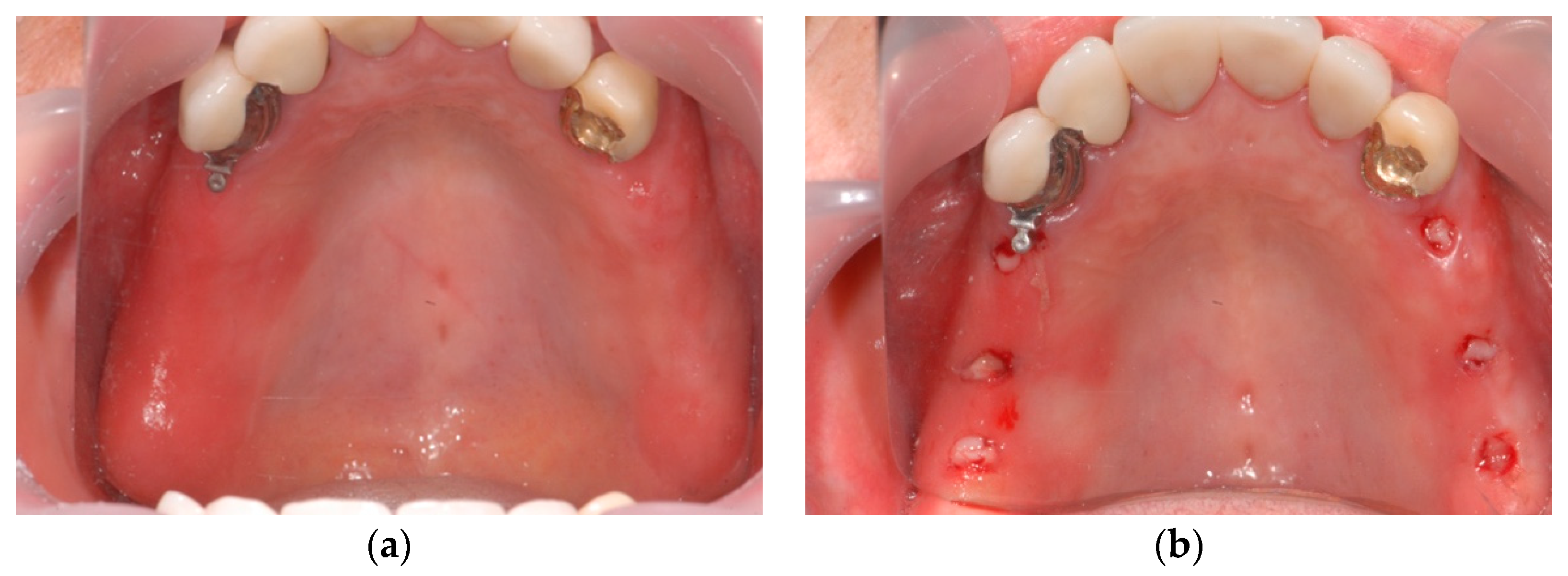
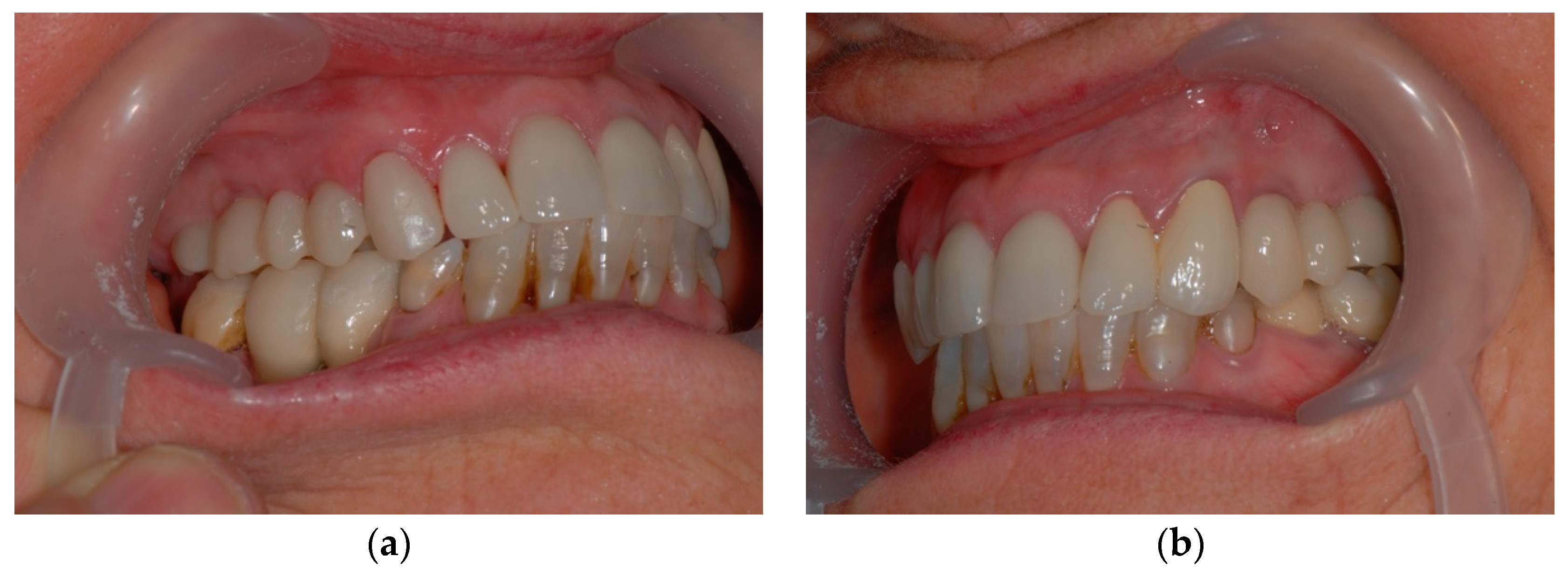
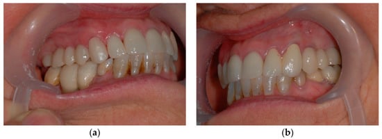
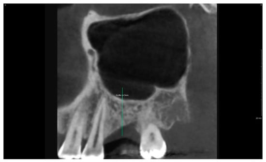
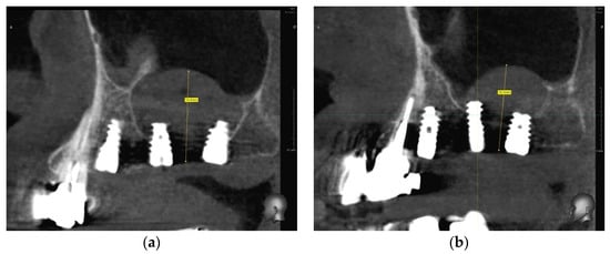
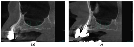
2.6. Case Study
3. Results
4. Discussion
5. Conclusions
Author Contributions
Funding
Informed Consent Statement
Data Availability Statement
Conflicts of Interest
References
- Cawood, J.I.; Howell, R.A. A classification of the edentulous jaws. Int. J. Oral Maxillofac. Surg. 1988, 17, 232–236. [Google Scholar] [CrossRef]
- Farina, R.; Pramstraller, M.; Franceschetti, G.; Pramstraller, C.; Trombelli, L. Alveolar ridge dimension in maxillary posterior sextants: A retrospective comparative study of dentate and edentulous sites using computerized tomography data. Clin. Oral Implants Res. 2011, 22, 1138–1144. [Google Scholar] [CrossRef] [PubMed]
- Leonida, A.; Favero, G.; Caccianiga, P.; Ceraulo, S.; Rodella, L.F.; Rezzani, R.; Caccianiga, G. Concentrated Growth Factors (CGF) Combined with Melatonin in Guided Bone Regeneration (GBR): A Case Report. Diagnostics 2022, 12, 1257. [Google Scholar] [CrossRef] [PubMed]
- Boyne, P.J.; James, R.A. Grafting of the maxillary sinus floor with autogenous marrow and bone. J. Oral Surg. 1980, 38, 613–616. [Google Scholar] [PubMed]
- Tatum, H., Jr. Maxillary and sinus implant reconstructions. Dent. Clin. N. Am. 1986, 30, 207–229. [Google Scholar] [CrossRef]
- Del Fabbro, M.; Testori, T.; Francelli, L.; Weinstein, R. Systematic review of survival rates for implants placed in the grafted maxillary sinus. Int. J. Periodontics Restor. Dent. 2004, 24, 565–577. [Google Scholar] [CrossRef]
- Pjetursson, B.E.; Tan, W.C.; Zwahlen, M.; Lang, N.P. A systematic review of the success of sinus floor elevation and survival of implants inserted in combination with sinus floor elevation. Part I: Lateral approach. J. Clin. Periodontol. 2008, 35 (Suppl. S8), 216–240. [Google Scholar] [CrossRef]
- Summers, R.B. A new concept in maxillary implant surgery: The osteotome technique. Compendium 1994, 15, 152–154. [Google Scholar]
- Summers, R.B. The osteotome technique: Part 3-Less invasive methods of elevating the sinus floor. Compendium 1994, 15, 698–700. [Google Scholar]
- Summers, R.B. The osteotome technique: Part 4-Future site development. Compend. Contin. Educ. Dent. 1995, 16, 1090–1092. [Google Scholar]
- Nolan, P.J.; Freeman, K.; Kraut, R.A. Correlation between Schneiderian membrane perforation and sinus lift graft outcome: A retrospective evaluation of 359 augmented sinus. J. Oral Maxillofac. Surg. 2014, 72, 47–52. [Google Scholar] [CrossRef] [PubMed]
- Hernandez-Alfaro, F.; Torradeflot, M.M.; Marti, C. Prevalence and management of Schneiderian membrane perforations during sinus-lift procedures. Clin. Oral Implants Res. 2008, 19, 91–98. [Google Scholar] [CrossRef]
- Al-Dajani, M. Recent Trends in Sinus Lift Surgery and Their Clinical Implications. Clin. Implant Dent. Relat. Res. 2016, 18, 204–212. [Google Scholar] [CrossRef] [PubMed]
- Fugazzotto, P.A.; Vlassis, J. A simplified classification and repair system for sinus membrane perforations. J. Periodontol. 2003, 74, 1534–1541. [Google Scholar] [CrossRef] [PubMed]
- Wen, S.C.; Lin, Y.H.; Yang, Y.C.; Wang, H.L. The influence of sinus membrane thickness upon membrane perforation during transcrestal sinus lift procedure. Clin. Oral Implants Res. 2015, 26, 1158–1164. [Google Scholar] [CrossRef]
- Rodella, L.F.; Favero, G.; Boninsegna, R.; Buffoli, B.; Labanca, M.; Scarì, G.; Sacco, L.; Batani, T.; Rezzani, R. Growth factors, CD34 positive cells, and fibrin network analysis in concentrated growth factors fraction. Microsc. Res. Tech. 2011, 74, 772–777. [Google Scholar] [CrossRef]
- Tan, W.C.; Lang, N.P.; Zwahlen, M.; Pjetursson, B.E. A systematic review of the success of sinus floor elevation and survival of implants inserted in combination with sinus floor elevation Part II: Transalveolar Technique. J. Clin. Periodontol. 2008, 35 (Suppl. S8), 241–254. [Google Scholar] [CrossRef]
- Garbacea, A.; Lozada, J.L.; Church, C.A.; Al-Ardah, A.J.; Seiberling, K.A.; Naylor, W.P.; Chen, J.W. The incidence of maxillary sinus membrane perforation during endoscopically assessed crestal sinus floor elevation: A pilot study. J. Oral Implantol. 2012, 38, 345–359. [Google Scholar] [CrossRef]
- Boyne, P.J. Analysis of performance of root- form endosseous implants placed in the maxillary sinus. J. Long-Term Eff. Med. Implants 1993, 3, 143–159. [Google Scholar]
- Palma, V.C.; Magro-Filho, O.; De Oliveria, J.A.; Lundgren, S.; Salata, L.A.; Sennerby, L. Bone reformation and implant integration following maxillary sinus membrane elevation: An experimental study in primates. Clin. Implant Dent. Relat. Res. 2006, 8, 11–24. [Google Scholar] [CrossRef]
- Leonida, A.; Caccianiga, G.; Porcaro, G.; Longoni, S.; Ceraulo, S.; Baldoni, M. Role of mesenchymal stem cells in osteotomy sinus graft healing: A case report and a literature review. J. Biol. Regul. Homeost. Agents 2019, 33 (Suppl. S1), 69–76. [Google Scholar]
- Gastaldi, G.; Felice, P.; Pistilli, R.; Barausse, C.; Trullenque-Eriksson, A.; Esposito, M. Short implants as an alternative to crestal sinus lift: A 3-year multicentre randomised controlled trial. Eur. J. Oral Implantol. 2017, 10, 391–400. [Google Scholar] [PubMed]
- Troedhan, A.; Kurrek, A.; Wainwright, M. Biological principles and physiology of bone regeneration under the Schneiderian membrane after sinus lift surgery: A radiological study in 14 patients treated with the transcrestal hydrodynamic ultrasonic cavitational sinus lift (Intralift). Int. J. Dent. 2012, 2012, 576238. [Google Scholar] [CrossRef] [PubMed]
- Toffler, M.; Rosen, P.S. Complications with Transcrestal Sinus Floor Elevation: Etiology, Prevention, and Treatment. In Dental Implant Complications: Etiology, Prevention, and Treatment, 2nd ed.; Froum, S.J., Ed.; John Wiley & Sons, Inc.: Hoboken, NJ, USA, 2015. [Google Scholar]
- Engelke, W.; Deckwer, I. Endoscopically con- trolled sinus floor augmentation: A preliminary report. Clin. Oral Implants Res. 1997, 8, 527–531. [Google Scholar] [CrossRef] [PubMed]
- Pommer, B.; Unger, E.; Sütö, D.; Hack, N.; Watzek, G. Mechanical properties of the Schneiderian membrane in vitro. Clin. Oral Implants Res. 2009, 20, 633–637. [Google Scholar]
- Esposito, M.; Cannizzaro, G.; Barausse, C.; Cosci, F.; Soardi, E.; Felice, P. Cosci versus Summers technique for crestal sinus lift: 3-year results from a randomised controlled trial. Eur. J. Oral Implantol. 2014, 7, 129–137. [Google Scholar]
- Butera, A.; Maiorani, C.; Gallo, S.; Pascadopoli, M.; Venugopal, A.; Marya, A.; Scribante, A. Evaluation of Adjuvant Systems in Non-Surgical Peri-Implant Treatment: A Literature Review. Healthcare 2022, 10, 886. [Google Scholar] [CrossRef]
- Butera, A.; Gallo, S.; Pascadopoli, M.; Luraghi, G.; Scribante, A. Ozonized Water Administration in Peri-Implant Mucositis Sites: A Randomized Clinical Trial. Appl. Sci. 2021, 11, 7812. [Google Scholar] [CrossRef]
- Butera, A.; Maiorani, C.; Natoli, V.; Bruni, A.; Coscione, C.; Magliano, G.; Giacobbo, G.; Morelli, A.; Moressa, S.; Scribante, A. Bio-Inspired Systems in Nonsurgical Periodontal Therapy to Reduce Contaminated Aerosol during COVID-19: A Comprehensive and Bibliometric Review. J. Clin. Med. 2020, 9, 3914. [Google Scholar] [CrossRef]
- Colombo, M.; Gallo, S.; Garofoli, A.; Poggio, C.; Arciola, C.R.; Scribante, A. Ozone Gel in Chronic Periodontal Disease: A Randomized Clinical Trial on the Anti-Inflammatory Effects of Ozone Application. Biology 2021, 10, 625. [Google Scholar] [CrossRef]
- Caccianiga, G.; Baldoni, M.; Ghisalberti, C.A.; Paiusco, A. A Preliminary In Vitro Study on the Efficacy of High-Power Photodynamic Therapy (HLLT): Comparison between Pulsed Diode Lasers and Superpulsed Diode Lasers and Impact of Hydrogen Peroxide with Controlled Stabilization. BioMed Res. Int. 2016, 2016, 1386158. [Google Scholar] [CrossRef] [PubMed]
- Caccianiga, G.; Cambini, A.; Donzelli, E.; Baldoni, M.; Rey, G.; Paiusco, A. Effects of laser biostimulation on the epithelial tissue for keratinized layer differentiation: An in vitro study. J. Biol. Regul. Homeost. Agents 2016, 30 (Suppl. S1), 99–105. [Google Scholar]
- Caccianiga, G.; Rey, G.; Baldoni, M.; Caccianiga, P.; Baldoni, A.; Ceraulo, S. Periodontal Decontamination Induced by Light and Not by Heat: Comparison between Oxygen High Level Laser Therapy (OHLLT) and LANAP. Appl. Sci. 2021, 11, 4629. [Google Scholar] [CrossRef]
- Caccianiga, G.; Rey, G.; Caccianiga, P.; Leonida, A.; Baldoni, M.; Baldoni, A.; Ceraulo, S. Rough Dental Implant Surfaces and Peri-Implantitis: Role of Phase- Contrast Microscopy, Laser Protocols, and Modified Home Oral Hygiene in Maintenance. A 10-Year Retrospective Study. Appl. Sci. 2021, 11, 4985. [Google Scholar] [CrossRef]
- Caccianiga, G.; Rey, G.; Caccianiga, P.; Leonida, A.; Baldoni, M.; Baldoni, A.; Ceraulo, S. Peri-Implantitis Management: Surgical versus Non-Surgical Approach Using Photodynamic Therapy Combined with Hydrogen Peroxide (OHLLT—Oxygen High Level Laser Therapy). A Retrospective Controlled Study. Appl. Sci. 2021, 11, 5073. [Google Scholar] [CrossRef]
- Caccianiga, G.; Rey, G.; Caccianiga, P.; Leonida, A.; Baldoni, M.; Baldoni, A.; Ceraulo, S. Laser Management of Peri-Implantitis: A Comparison between Photodynamic Therapy Combined with Hydrogen Peroxide (OHLLT) and OHLLT + Er:YAG Laser. A Retrospective Controlled Study. Appl. Sci. 2021, 11, 6771. [Google Scholar] [CrossRef]
- Caccianiga, G.; Rey, G.; Baldoni, M.; Caccianiga, P.; Porcaro, G.; Baldoni, A.; Ceraulo, S. Laser Decontamination and LED Photobiomodulation Promote Bone Regeneration and Wound Healing by Secondary Intention, in Alveolar Ridge Preservation-Clinical and Radiographic Evaluation: A Pilot Experience. Photobiomodul. Photomed. Laser Surg. 2022, 40, 343–354. [Google Scholar] [CrossRef]
- Caccianiga, G.; Ferri, L.; Baldoni, M.; Bader, A.A.; Caccianiga, P. Magnetic Mallet and Laser for a Minimally Invasive Implantology: A Full Arch Case Report. Appl. Sci. 2022, 12, 9995. [Google Scholar] [CrossRef]
- Caccianiga, G.; Caccianiga, P.; Baldoni, M.; Lo Giudice, A.; Perillo, L.; Moretti, N.; Ceraulo, S. Pain Reduction during Rapid Palatal Expansion Due to LED Photobiomodulation Irradiation: A Randomized Clinical Trial. Life 2022, 12, 37. [Google Scholar] [CrossRef]
- Lo Giudice, A.; Nucera, R.; Leonardi, R.; Paiusco, A.; Baldoni, M.; Caccianiga, G. A Comparative Assessment of the Efficiency of Orthodontic Treatment With and Without Photobiomodulation During Mandibular Decrowding in Young Subjects: A Single-Center, Single-Blind Randomized Controlled Trial. Photobiomodul. Photomed. Laser Surg. 2020, 38, 272–279. [Google Scholar] [CrossRef]
- Caccianiga, G.; Lo Giudice, A.; Paiusco, A.; Portelli, M.; Militi, A.; Baldoni, M.; Nucera, R. Maxillary Orthodontic Expansion Assisted by Unilateral Alveolar Corticotomy and Low-Level Laser Therapy: A Novel Approach for Correction of a Posterior Unilateral Cross-Bite in Adults. J. Lasers Med. Sci. 2019, 10, 225–229. [Google Scholar] [CrossRef] [PubMed]










| Patients | Gender | Age | Number of Implants | Site | Residual Bone Height | Implant | Increase Bone Post-Surgery | Bone Increase |
|---|---|---|---|---|---|---|---|---|
| 1 | f | 46 | 1 | 17 | 8 mm | 5.0 × 10 mm | 10 mm | 2 mm |
| 2 | f | 51 | 1 | 16 | 8 mm | 5.0 × 10 mm | 10 mm | 2 mm |
| 3 | f | 78 | 1 | 16 | 7 mm | 3.7 × 10 mm | 11 mm | 4 mm |
| 4 | f | 65 | 4 | 16 17 26 27 | 5 mm 5 mm 4 mm 3 mm | 4.2 × 10 mm 4.2 × 10 mm 5.0 × 8 mm 5.0 × 8 mm | 10 mm 11 mm 9 mm 9 mm | 5 mm 6 mm 5 mm 6 mm |
| 5 | m | 53 | 1 | 26 | 8 mm | 3.7 × 10 mm | 12 mm | 4 mm |
| 6 | f | 70 | 1 | 26 | 7 mm | 4.2 × 10 mm | 11 mm | 4 mm |
| 7 | f | 68 | 4 | 16 17 26 27 | 4 mm 4 mm 6 mm 5 mm | 4.2 × 8 mm 5.0 × 8 mm 3.7 × 10 mm 5.0 × 8 mm | 10 mm 8 mm 10 mm 8 mm | 6 mm 4 mm 4 mm 3 mm |
| 8 | f | 39 | 1 | 16 | 4.5 mm | 4.2 × 10 mm | 11 mm | 6.5 mm |
| 9 | f | 54 | 1 | 26 | 6.5 mm | 4.2 × 10 mm | 10 mm | 3.5 mm |
| 10 | f | 36 | 1 | 16 | 6.2 mm | 4.2 × 10 mm | 11 mm | 4.8 mm |
| 11 | m | 30 | 1 | 24 | 10 mm | 3.7 × 10 mm | 12 mm | 2 mm |
| 12 | f | 51 | 1 | 25 | 8 mm | 3.7 × 11.5 mm | 12 mm | 4 mm |
| 13 | f | 48 | 2 | 24 25 | 5 mm 4 mm | 3.7 × 8 mm 4.2 × 8 mm | 10 mm 9 mm | 5 mm 5 mm |
| 14 | m | 70 | 2 | 16 26 | 8 mm 7 mm | 3.7 × 10 mm 3.7 × 10 mm | 10 mm 11 mm | 2 mm 4 mm |
| 15 | m | 51 | 1 | 17 | 7 mm | 5.0 × 10 mm | 11 mm | 4 mm |
| 16 | f | 76 | 1 | 26 | 8 mm | 3.7 × 10 mm | 11 mm | 3 mm |
| 17 | m | 53 | 1 | 16 | 8 mm | 4.2 × 11.5 mm | 12 mm | 4 mm |
| 18 | m | 70 | 1 | 15 | 8.6 mm | 3.7 × 10 mm | 12 mm | 3.4 mm |
| 19 | m | 66 | 1 | 17 | 3 mm | 4.8 × 8 mm | 8 mm | 5 mm |
| 20 | f | 61 | 1 | 17 | 4 mm | 4.1 × 8 mm | 9 mm | 5 mm |
| 21 | f | 62 | 2 | 24 26 | 4 mm 5 mm | 3.7 × 10 mm 4.1 × 10 mm | 11 mm 10 mm | 7 mm 5 mm |
| 22 | f | 49 | 1 | 25 | 5.6 mm | 3.7 × 10 mm | 10 mm | 4.4 mm |
| 23 | f | 62 | 2 | 16 17 | 4 mm 5.5 mm | 3.7 × 10 mm 4.2 × 10 mm | 10 mm 11 mm | 6 mm 5.5 mm |
| 24 | f | 72 | 1 | 16 | 4 mm | 5.0 × 8 mm | 8 mm | 4 mm |
| 25 | f | 57 | 1 | 26 | 7 mm | 5.0 × 10 mm | 11 mm | 4 mm |
| 26 | m | 79 | 1 | 16 | 8 mm | 5.0 × 10 mm | 11 mm | 3 mm |
| 27 | m | 56 | 1 | 26 | 7 mm | 5.0 × 10 mm | 10 mm | 3 mm |
| 28 | m | 62 | 1 | 16 | 5 mm | 5.0 × 10 mm | 10 mm | 5 mm |
| 29 | f | 79 | 1 | 16 | 6 mm | 3.7 × 8 mm | 8 mm | 2 mm |
| 30 | f | 71 | 1 | 26 | 6.3 mm | 4.2 × 10 mm | 11 mm | 4.7 mm |
| 31 | f | 54 | 2 | 24 26 | 8 mm 4 mm | 3.7 × 10 mm 4.1 × 10 mm | 11 mm 10 mm | 3 mm 6 mm |
| 32 | m | 40 | 1 | 26 | 6.5 mm | 5.0 × 10 mm | 11 mm | 6.5 mm |
| 33 | f | 66 | 1 | 16 | 1.2 mm | 5.0 × 10 mm | 10 mm | 8.8 mm |
| 44 Implants |
| Sites | 17 | 16 | 15 | 24 | 25 | 26 | 27 | |
|---|---|---|---|---|---|---|---|---|
| Number of Implants | 5 | 10 | 0 | 3 | 3 | 9 | 2 | 32 Total of implants |
| Bone Gain | 4.5 mm | 4.95 mm | 0 | 5 mm | 4.5 mm | 4.38 mm | 4.5 mm | 4.66 mm Average bone gain |
| Sites | 17 | 16 | 15 | 24 | 25 | 26 | 27 | |
|---|---|---|---|---|---|---|---|---|
| Number of Implants | 2 | 4 | 1 | 1 | 1 | 0 | 4 | 12 Total of implants |
| Bone Gain | 4.5 mm | 3.5 mm | 3.5 | 2 mm | 4.5 mm | 0 | 4.37 mm | 3.83 mm Average bone gain |
Publisher’s Note: MDPI stays neutral with regard to jurisdictional claims in published maps and institutional affiliations. |
© 2022 by the authors. Licensee MDPI, Basel, Switzerland. This article is an open access article distributed under the terms and conditions of the Creative Commons Attribution (CC BY) license (https://creativecommons.org/licenses/by/4.0/).
Share and Cite
Leonida, A.; Caccianiga, P.; Bader, A.A.; Rosi, S.; Ceraulo, S.; Caccianiga, G. Activated Plasma Albumin Gel (APAG) in Transalveolar Technique for Maxillary Sinus Lift: A Case Series. Inventions 2022, 7, 99. https://doi.org/10.3390/inventions7040099
Leonida A, Caccianiga P, Bader AA, Rosi S, Ceraulo S, Caccianiga G. Activated Plasma Albumin Gel (APAG) in Transalveolar Technique for Maxillary Sinus Lift: A Case Series. Inventions. 2022; 7(4):99. https://doi.org/10.3390/inventions7040099
Chicago/Turabian StyleLeonida, Alessandro, Paolo Caccianiga, Ayt Alla Bader, Stefano Rosi, Saverio Ceraulo, and Gianluigi Caccianiga. 2022. "Activated Plasma Albumin Gel (APAG) in Transalveolar Technique for Maxillary Sinus Lift: A Case Series" Inventions 7, no. 4: 99. https://doi.org/10.3390/inventions7040099
APA StyleLeonida, A., Caccianiga, P., Bader, A. A., Rosi, S., Ceraulo, S., & Caccianiga, G. (2022). Activated Plasma Albumin Gel (APAG) in Transalveolar Technique for Maxillary Sinus Lift: A Case Series. Inventions, 7(4), 99. https://doi.org/10.3390/inventions7040099

