Clinical and Histopathological Evolution of Acute Intraperitoneal Infection by Streptococcus agalactiae Serotypes Ib and III in Nile Tilapia
Abstract
1. Introduction
2. Materials and Methods
2.1. Fish
2.2. Experimental Infection Design
2.3. Sample Collection
2.4. Histopathological Analysis
3. Results
3.1. Clinical Signs and Mortality
3.2. Macroscopic Changes and Bacterial Recovery
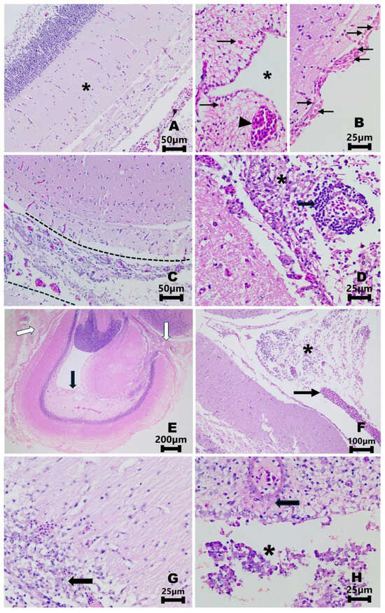
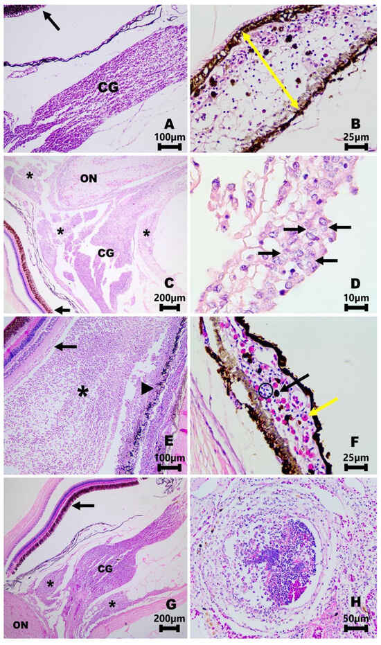
3.3. Histopathological Analysis—Eye
3.4. Histopathological Analysis—Central Nervous System
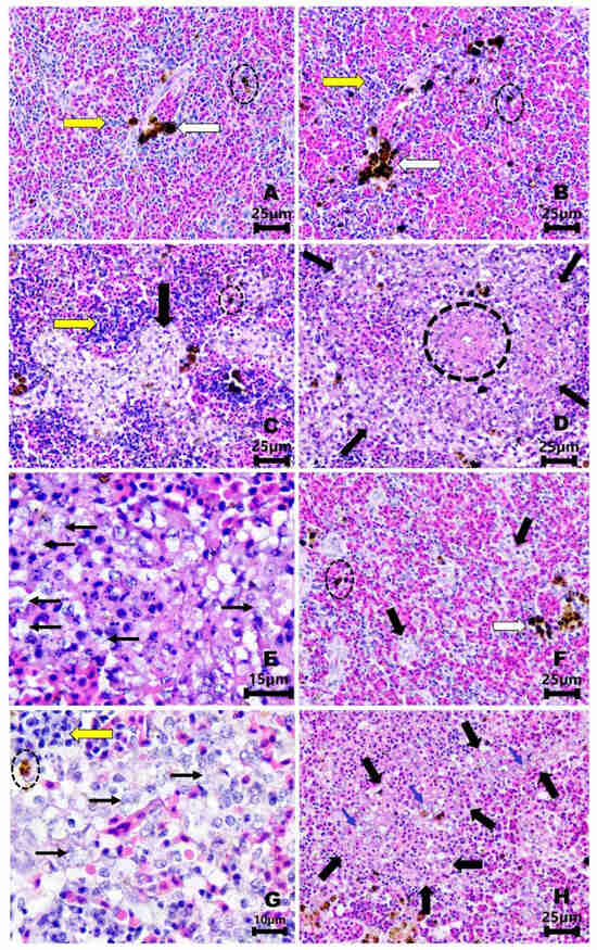
3.5. Histopathological Analysis—Spleen
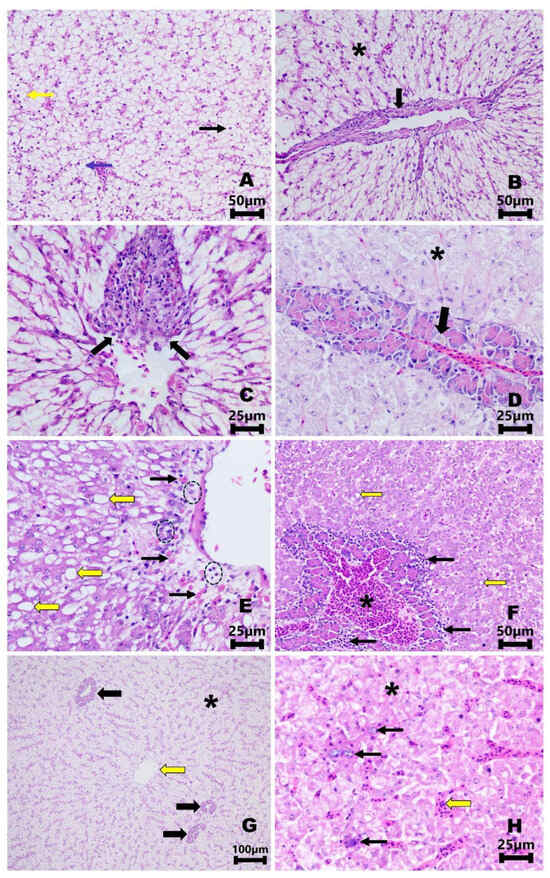
3.6. Histopathological Analysis—Liver
4. Discussion
5. Conclusions
Supplementary Materials
Author Contributions
Funding
Institutional Review Board Statement
Data Availability Statement
Acknowledgments
Conflicts of Interest
Abbreviations
References
- Lancefield, R.C. A serological differentiation of human and other groups of hemolytic streptococci. J. Exp. Med. 1933, 57, 571–595. [Google Scholar] [CrossRef] [PubMed]
- Rao, G.G.; Khanna, P. To screen or not to screen women for Group B Streptococcus (Streptococcus agalactiae) to prevent early onset sepsis in newborns: Recent advances in the unresolved debate. Ther. Adv. Infect. Dis. 2020, 7, 2049936120942424. [Google Scholar] [CrossRef] [PubMed]
- Slotved, H.-C.; Kong, F.; Lambertsen, L.; Sauer, S.; Gilbert, G.L. Serotype IX, a proposed new Streptococcus agalactiae serotype. J. Clin. Microbiol. 2007, 45, 2929–2936. [Google Scholar] [CrossRef] [PubMed]
- Leal, C.A.; Queiroz, G.A.; Pereira, F.L.; Tavares, G.C.; Figueiredo, H.C. Streptococcus agalactiae sequence type 283 in farmed fish, Brazil. Emerg. Infect. Dis. 2019, 25, 776. [Google Scholar] [CrossRef] [PubMed]
- Lusiastuti, A.M.; Textor, M.; Seeger, H.; Akineden, Ö.; Zschöck, M. The occurrence of Streptococcus agalactiae sequence type 261 from fish disease outbreaks of tilapia Oreochromis niloticus in Indonesia. Aquac. Res. 2014, 45, 1260–1263. [Google Scholar] [CrossRef]
- Godoy, D.; Carvalho-Castro, G.; Leal, C.; Pereira, U.; Leite, R.; Figueiredo, H. Genetic diversity and new genotyping scheme for fish pathogenic Streptococcus agalactiae. Lett. Appl. Microbiol. 2013, 57, 476–483. [Google Scholar] [CrossRef] [PubMed]
- Kalimuddin, S.; Chen, S.L.; Lim, C.T.K.; Koh, T.H.; Tan, T.Y.; Kam, M.; Wong, C.W.; Mehershahi, K.S.; Chau, M.L.; Ng, L.C.; et al. 2015 epidemic of severe Streptococcus agalactiae sequence type 283 infections in Singapore associated with the consumption of raw freshwater fish: A detailed analysis of clinical, epidemiological, and bacterial sequencing data. Clin. Infect. Dis. 2017, 64, S145–S152. [Google Scholar] [CrossRef] [PubMed]
- Law, G.W.; Wijaya, L.; Tan, A.H.C. Group B Streptococcal prosthetic knee joint infection linked to the consumption of raw fish. J. Orthop. Case Rep. 2017, 7, 54–57. [Google Scholar]
- Chideroli, R.T.; Amoroso, N.; Mainardi, R.M.; Suphoronski, S.A.; de Padua, S.B.; Alfieri, A.F.; Alfieri, A.A.; Mosela, M.; Moralez, A.T.P.; de Oliveira, A.G.; et al. Emergence of a new multidrug-resistant and highly virulent serotype of Streptococcus agalactiae in fish farms from Brazil. Aquaculture 2017, 479, 45–51. [Google Scholar] [CrossRef]
- Alazab, A.; Sadat, A.; Younis, G. Prevalence, antimicrobial susceptibility, and genotyping of Streptococcus agalactiae in Tilapia fish (Oreochromis niloticus) in Egypt. J. Adv. Vet. Anim. Res. 2022, 9, 95–103. [Google Scholar] [CrossRef]
- Chen, M.; Wang, R.; Luo, F.G.; Huang, Y.; Liang, W.W.; Huang, T.; Lei, A.Y.; Gan, X.; Li, L.P. Streptococcus agalactiae isolates of serotypes Ia, III and V from human and cow are able to infect tilapia. Vet. Microbiol. 2015, 180, 129–135. [Google Scholar] [CrossRef] [PubMed]
- Jaglarz, A.; Gurgul, A.; Leigh, W.J.; Costa, J.Z.; Thompson, K.D. Complete Genome Sequences of Three Fish-Associated Streptococcus agalactiae Isolates. Genome Announc. 2018, 6. [Google Scholar] [CrossRef] [PubMed]
- ANUÁRIO 2024. Anuário Brasileiro da Piscicultura PEIXE BR 2024. Available online: https://www.peixebr.com.br/anuario-2024/ (accessed on 25 June 2024).
- Calixto, E.S.; Santos, D.F.B.; Lange, D.; Galdiano, M.S.; Rahman, I.U. Aquaculture in Brazil and worldwide: Overview and perspectives. J. Environ. Anal. Progr. 2020, 5, 98–107. [Google Scholar] [CrossRef]
- Evans, J.J.; Klesius, P.H.; Gilbert, P.M.; Shoemaker, C.A.; Al Sarawi, M.A.; Landsberg, J.; Duremdez, R.; Al Marzouk, A.; Al Zenki, S. Characterization of β-haemolytic Group B Streptococcus agalactiae in cultured seabream, Sparus auratus L., and wild mullet, Liza klunzingeri (Day), in Kuwait. J. Fish Dis. 2002, 25, 505–513. [Google Scholar] [CrossRef]
- Kayansamruaj, P.; Dinh-Hung, N.; Srisapoome, P.; Na-Nakorn, U.; Chatchaiphan, S. Genomics-driven prophylactic measures to increase streptococcosis resistance in tilapia. J. Fish Dis. 2023, 46, 597–610. [Google Scholar] [CrossRef] [PubMed]
- Soto, E.; Zayas, M.; Tobar, J.; Illanes, O.; Yount, S.; Francis, S.; Dennis, M.M. Laboratory-controlled challenges of Nile Tilapia (Oreochromis niloticus) with Streptococcus agalactiae: Comparisons between immersion, oral, intracoelomic and intramuscular routes of infection. J. Comp. Pathol. 2016, 155, 339–345. [Google Scholar] [CrossRef] [PubMed]
- Facimoto, C.T.; Chideroli, R.T.; Gonçalves, D.D.; Carmo, A.O.D.; Kalaphotakis, E.; Pereira, U.P. Whole-Genome Sequence of Streptococcus agalactiae Strain S13, Isolated from a Fish Eye from a Nile Tilapia Farm in Southern Brazil. Genome Announc. 2017, 5, 1–17. [Google Scholar] [CrossRef] [PubMed]
- Marcusso, P.F.; Salvador, R.; de Almeida Marinho-Neto, F. Infecção por Streptococcus agalactiae em tilápias do Nilo (Oreochromis niloticus). Rev. Ciênc. Agrovet. 2017, 16, 165–169. [Google Scholar] [CrossRef][Green Version]
- Palang, I.; Withyachumnarnkul, B.; Senapin, S.; Sirimanapong, W.; Vanichviriyakit, R. Brain histopathology in red tilapia Oreochromis sp. experimentally infected with Streptococcus agalactiae serotype III. Microsc. Res. Tech. 2020, 83, 877–888. [Google Scholar] [CrossRef]
- Chen, C.; Chao, C.; Bowser, P. Comparative histopathology of Streptococcus iniae and Streptococcus agalactiae-infected tilapia. Bull. Eur. Assoc. Fish Pathol. 2007, 27, 2. [Google Scholar]
- Anshary, H.; Kurniawan, R.A.; Sriwulan, S.; Ramli, R.; Baxa, D.V. Isolation and molecular identification of the etiological agents of streptococcosis in Nile tilapia (Oreochromis niloticus) cultured in net cages in Lake Sentani, Papua, Indonesia. Springerplus 2014, 3, 1–11. [Google Scholar] [CrossRef] [PubMed]
- Abdullah, S.; Omar, N.; Yusoff, S.M.; Obukwho, E.B.; Nwunuji, T.P.; Hanan, L.; Samad, J. Clinicopathological features and immunohistochemical detection of antigens in acute experimental Streptococcus agalactiae infection in red tilapia (Oreochromis spp.). Springerplus 2013, 2, 286. [Google Scholar] [CrossRef] [PubMed]
- Bowater, R.O.; Forbes-Faulkner, J.; Anderson, I.G.; Condon, K.; Robinson, B.; Kong, F.; Gilbert, G.L.; Reynolds, A.; Hyland, S.; McPherson, G.; et al. Natural outbreak of Streptococcus agalactiae (GBS) infection in wild giant Queensland grouper, Epinephelus lanceolatus (Bloch), and other wild fish in Northern Queensland, Australia. J. Fish Dis. 2012, 35, 173–186. [Google Scholar] [CrossRef] [PubMed]
- Iregui, C.A.; Vasquez, G.M.; Rey, A.L.; Verjan, N. Piscirickettsia-like organisms as a cause of acute necrotic lesions in Colombian tilapia larvae. J. Vet. Diagn. Investig. 2011, 23, 147–151. [Google Scholar] [CrossRef] [PubMed]
- Cao, J.; Liu, Z.; Zhang, D.; Guo, F.; Gao, F.; Wang, M.; Yi, M.; Lu, M. Distribution and localization of Streptococcus agalactiae in different tissues of artificially infected tilapia (Oreochromis niloticus). Aquaculture 2022, 546, 737370. [Google Scholar] [CrossRef]
- Eto, S.F.; Fernandes, D.C.; Moraes, A.C.; Alecrim, J.; Souza, P.G.; Carvalho, F.C.A.; Charlie-Silva, I.; Belo, M.A.A.; Pizauro, J.M. Meningitis Caused by Streptococcus agalactiae in Nile Tilapia (Oreochromis niloticus): Infection and inflammatory response. Animals 2020, 10, 2166. [Google Scholar] [CrossRef]
- Guo, C.M.; Chen, R.R.; Kalhoro, D.H.; Wang, Z.F.; Liu, G.J.; Lu, C.P.; Liu, Y.J. Identification of genes preferentially expressed by highly virulent piscine Streptococcus agalactiae upon interaction with macrophages. PLoS ONE 2014, 9, e87980. [Google Scholar] [CrossRef] [PubMed]
- Laith, A.A.; Ambak, M.A.; Hassan, M.; Sheriff, S.M.; Nadirah, M.; Draman, A.S.; Wahab, W.; Ibrahim, W.N.; Aznan, A.S.; Jabar, A.; et al. Molecular identification and histopathological study of natural Streptococcus agalactiae infection in hybrid tilapia (Oreochromis niloticus). Vet. World 2017, 10, 101–111. [Google Scholar] [PubMed]
- Wang, J.; Wu, J.; Yi, L.; Hou, Z.; Li, W. Pathological analysis, detection of antigens, FasL expression analysis and leucocytes survival analysis in tilapia (Oreochromis niloticus) after infection with green fluorescent protein labeled Streptococcus agalactiae. Fish Shellfish Immunol. 2017, 62, 86–95. [Google Scholar] [CrossRef]
- Mian, G.F.; Godoy, D.T.; Leal, C.A.; Yuhara, T.Y.; Costa, G.M.; Figueiredo, H.C. Aspects of the natural history and virulence of S. agalactiae infection in Nile tilapia. Vet. Microbiol. 2009, 136, 180–183. [Google Scholar] [CrossRef]
- Mebius, R.E.; Kraal, G. Structure and function of the spleen. Nat. Rev. Immunol. 2005, 5, 606–616. [Google Scholar] [CrossRef] [PubMed]
- Bjørgen, H.; Koppang, E.O. Anatomy of teleost fish immune structures and organs. Immunogenetics 2021, 73, 53–63. [Google Scholar] [CrossRef] [PubMed]
- Agius, C.; Roberts, R.J. Melano-macrophage centres and their role in fish pathology. J. Fish Dis. 2003, 26, 499–509. [Google Scholar] [CrossRef] [PubMed]
- Lamers, C.H.; De Haas, M.J. Antigen localization in the lymphoid organs of carp (Cyprinus carpio). Cell. Tissue Res. 1985, 242, 491–498. [Google Scholar] [CrossRef] [PubMed]
- He, Y.; Huang, J.-L.; Wang, K.-Y.; Chen, D.-F.; Geng, Y.; Huang, X.-L.; Ou-Yang, P.; Zhou, Y.; Wang, J.; Min, J. Pathogenicity of Streptococcus agalactiae in Oreochromis niloticus. Oncotarget 2017, 5, 401–413. [Google Scholar] [CrossRef]
- Zlotkin, A.; Chilmonczyk, S.; Eyngor, M.; Hurvitz, A.; Ghittino, C.; Eldar, A. Trojan horse effect: Phagocyte-mediated Streptococcus iniae infection of fish. Infect. Immun. 2003, 71, 2318–2325. [Google Scholar] [CrossRef] [PubMed]
- Dias, W.J.; Baviera, A.M.; Zanon, N.M.; Galban, V.D.; Garófalo, M.A.; Machado, C.R.; Bailão, E.F.; Kettelhut, I.C. Lipolytic response of adipose tissue and metabolic adaptations to long periods of fasting in red tilapia (Oreochromis sp., Teleostei: Cichlidae). Anais da Academia Brasileira de Ciências 2016, 88, 1743–1754. [Google Scholar] [CrossRef] [PubMed]
- Favero, L.M.; Facimoto, C.T.; Chideroli, R.T.; da Costa, A.R.; Umezu, D.F.; Honda, B.T.B.; de Oliveira, A.G.; Flaiban, K.K.M.d.C.; Di Santis, G.W.; Pereira, U.d.P. Administration of dehydrated oxytetracycline effectively reduces francisellosis mortality in Nile tilapia. Aquac. Res. 2021, 52, 4116–4126. [Google Scholar] [CrossRef]
- Sales, C.F.; Silva, R.F.; Amaral, M.G.C.; Domingos, F.F.T.; Ribeiro, R.I.M.A.; Thomé, R.G.; Santos, H.B. Comparative histology in the liver and spleen of three species of freshwater teleost. Neotrop. Ichthyol. 2017, 15, 1–12. [Google Scholar] [CrossRef]
- Cullen, J.M. Summary of the World Small Animal Veterinary Association standardization committee guide to classification of liver disease in dogs and cats. Vet. Clin. N. Am. Small Anim. Pract. 2009, 39, 395–418. [Google Scholar] [CrossRef]
- Su, Y.; Feng, J.; Liu, C.; Li, W.; Xie, Y.; Li, A. Dynamic bacterial colonization and microscopic lesions in multiple organs of tilapia infected with low and high pathogenic Streptococcus agalactiae strains. Aquaculture 2017, 471, 190–203. [Google Scholar] [CrossRef]
- Korir, M.L.; Knupp, D.; LeMerise, K.; Boldenow, E.; Loch-Caruso, R.; Aronoff, D.M.; Manning, S.D. Association and virulence gene expression vary among serotype III group B streptococcus isolates following exposure to decidual and lung epithelial cells. Infect. Immun. 2014, 82, 4587–4595. [Google Scholar] [CrossRef] [PubMed]









| Clinical Sign | S13 (GBS Ib) Group | S73 (GBS III) Group |
|---|---|---|
| Anorexia | 12 h | 12 h |
| First death | 24 h | 30 h |
| Lethargy | 32 h | 27 h |
| Corneal opacity | 80 h | 48 h |
| Exophthalmos | 72 h | 72 h |
| Erratic swimming | 6 d | 80 h |
| Hours Post-Infection | Strain Recovery (%) | |||||
|---|---|---|---|---|---|---|
| Brain | Kidney | Eye | ||||
| S13 | S73 | S13 | S73 | S13 | S73 | |
| 01 h | 4/4 (100) | 4/4 (100) | 4/4 (100) | 4/4 (100) | 1/4 (25) | 0/4 (0.0) |
| 03 h | 4/4 (100) | 4/4 (100) | 4/4 (100) | 4/4 (100) | 0/4 (0.0) | 0/4 (0.0) |
| 06 h | 4/4 (100) | 4/4 (100) | 4/4 (100) | 4/4 (100) | 1/4 (25) | 0/4 (0.0) |
| 09 h | 4/4 (100) | 4/4 (100) | 4/4 (100) | 4/4 (100) | 1/4 (25) | 3/4 (75) |
| 12 h | 4/4 (100) | 4/4 (100) | 4/4 (100) | 4/4 (100) | 1/4 (25) | 3/4 (75) |
| 24 h | 4/4 (100) | 4/4 (100) | 4/4 (100) | 4/4 (100) | 4/4 (100) | 3/4 (75) |
| 36 h | 4/4 (100) | 4/4 (100) | 4/4 (100) | 4/4 (100) | 2/4 (50) | 4/4 (100) |
| 48 h | 4/4 (100) | 4/4 (100) | 4/4 (100) | 4/4 (100) | 2/4 (50) | 3/4 (75) |
| 72 h | 4/4 (100) | 4/4 (100) | 4/4 (100) | 4/4 (100) | 2/4 (50) | 4/4 (100) |
| 96 h | 4/4 (100) | 4/4 (100) | 4/4 (100) | 4/4 (100) | 3/4 (75) | 4/4 (100) |
Disclaimer/Publisher’s Note: The statements, opinions and data contained in all publications are solely those of the individual author(s) and contributor(s) and not of MDPI and/or the editor(s). MDPI and/or the editor(s) disclaim responsibility for any injury to people or property resulting from any ideas, methods, instructions or products referred to in the content. |
© 2024 by the authors. Licensee MDPI, Basel, Switzerland. This article is an open access article distributed under the terms and conditions of the Creative Commons Attribution (CC BY) license (https://creativecommons.org/licenses/by/4.0/).
Share and Cite
Ferrari, N.A.; Favero, L.M.; Facimoto, C.T.; Dall Agnol, A.M.; Gaeta, M.L.; de Oliveira, T.E.S.; Gonçalves, D.D.; Lopera-Barrero, N.M.; Pereira, U.d.P.; Di Santis, G.W. Clinical and Histopathological Evolution of Acute Intraperitoneal Infection by Streptococcus agalactiae Serotypes Ib and III in Nile Tilapia. Fishes 2024, 9, 279. https://doi.org/10.3390/fishes9070279
Ferrari NA, Favero LM, Facimoto CT, Dall Agnol AM, Gaeta ML, de Oliveira TES, Gonçalves DD, Lopera-Barrero NM, Pereira UdP, Di Santis GW. Clinical and Histopathological Evolution of Acute Intraperitoneal Infection by Streptococcus agalactiae Serotypes Ib and III in Nile Tilapia. Fishes. 2024; 9(7):279. https://doi.org/10.3390/fishes9070279
Chicago/Turabian StyleFerrari, Natália Amoroso, Leonardo Mantovani Favero, Cesar Toshio Facimoto, Alais Maria Dall Agnol, Marcos Letaif Gaeta, Thalita Evani Silva de Oliveira, Daniela Dib Gonçalves, Nelson Maurício Lopera-Barrero, Ulisses de Pádua Pereira, and Giovana Wingeter Di Santis. 2024. "Clinical and Histopathological Evolution of Acute Intraperitoneal Infection by Streptococcus agalactiae Serotypes Ib and III in Nile Tilapia" Fishes 9, no. 7: 279. https://doi.org/10.3390/fishes9070279
APA StyleFerrari, N. A., Favero, L. M., Facimoto, C. T., Dall Agnol, A. M., Gaeta, M. L., de Oliveira, T. E. S., Gonçalves, D. D., Lopera-Barrero, N. M., Pereira, U. d. P., & Di Santis, G. W. (2024). Clinical and Histopathological Evolution of Acute Intraperitoneal Infection by Streptococcus agalactiae Serotypes Ib and III in Nile Tilapia. Fishes, 9(7), 279. https://doi.org/10.3390/fishes9070279

