The Acute-Phase Serum Amyloid A Promotes Cytokines Production in Oyster Crassostrea gigas
Abstract
1. Introduction
2. Materials and Methods
2.1. Oysters, Treatments and Tissues Collection
2.2. cDNA Synthesis, Cloning and Sequence Analysis of the CgSAA
2.3. Real-Time PCR Analysis of mRNA Expression
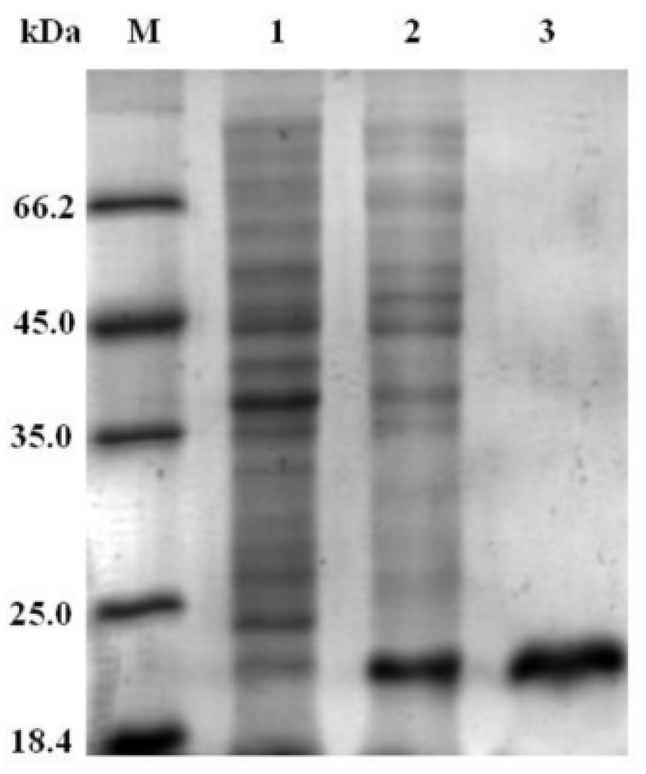
2.4. Recombinant Expression and Purification of CgSAA Protein
2.5. rCgSAA Treatment and Sample Collection
2.6. Statistical Analysis
3. Results
3.1. The Molecular Characters of CgSAA Gene
3.2. The Distribution of CgSAA mRNA Transcripts
3.3. The Response of CgSAA in Oyster Under Immune Stimulation or Environmental Stress
3.4. The Expressions of Cytokines Following Injection of rCgSAA in Oysters
3.5. The Expressions of Cytokines in Haemocytes Following Incubation with rCgSAA
4. Discussion
5. Conclusions
Author Contributions
Funding
Institutional Review Board Statement
Informed Consent Statement
Data Availability Statement
Acknowledgments
Conflicts of Interest
References
- Baumann, H.; Gauldie, J. The Acute Phase Response. Immunol. Today 1994, 15, 74–80. [Google Scholar] [CrossRef] [PubMed]
- Sack, G.H. Serum Amyloid A (SAA) Proteins. In Vertebrate and Invertebrate Respiratory Proteins, Lipoproteins and other Body Fluid Proteins; Subcellular Biochemistry; Springer: Cham, Switzerland, 2020; Volume 94, pp. 421–436. [Google Scholar] [CrossRef]
- Sack, G.H. Serum Amyloid A—A Review. Mol. Med. 2018, 24, 46. [Google Scholar] [CrossRef] [PubMed]
- Malle, E.; De Beer, F.C. Human Serum Amyloid A (SAA) Protein: A Prominent Acute-Phase Reactant for Clinical Practice. Eur. J. Clin. Invest. 1996, 26, 427–435. [Google Scholar] [CrossRef] [PubMed]
- Malle, E.; Steinmetz, A.; Raynes, J.G. Serum Amyloid A (SAA): An Acute Phase Protein and Apolipoprotein. Atherosclerosis 1993, 102, 131–146. [Google Scholar] [CrossRef] [PubMed]
- Cray, C.; Zaias, J.; Altman, N.H. Acute Phase Response in Animals: A Review. Comp. Med. 2009, 59, 517–526. [Google Scholar]
- Rosani, U.; Domeneghetti, S.; Gerdol, M.; Franzoi, M.; Pallavicini, A.; Venier, P. Serum Amyloid A in Marine Bivalves: An Acute Phase and Innate Immunity Protein. Dev. Comp. Immunol. 2016, 59, 136–144. [Google Scholar] [CrossRef]
- Santiago-Cardona, P.G.; Berríos, C.A.; Ramírez, F.; García-Arrarás, J.E. Lipopolysaccharides Induce Intestinal Serum Amyloid A Expression in the Sea Cucumber Holothuria Glaberrima. Dev. Comp. Immunol. 2003, 27, 105–110. [Google Scholar] [CrossRef]
- Qu, F.; Xiang, Z.; Yu, Z. The First Molluscan Acute Phase Serum Amyloid A (A-SAA) Identified from Oyster Crassostrea hongkongensis: Molecular Cloning and Functional Characterization. Fish Shellfish. Immunol. 2014, 39, 145–151. [Google Scholar] [CrossRef]
- Wang, J.; Yang, Y.; Zhang, A.; Zeng, L.; Xiao, S.; Ma, H.; Li, J.; Mao, F.; Zhang, Y.; Zhang, Y.; et al. Serum Amyloid Protein (SAA) as a Healthy Marker for Immune Function in Tridacna Crocea. Fish Shellfish Immunol. 2022, 122, 495–500. [Google Scholar] [CrossRef]
- Eckhardt, E.R.M.; Witta, J.; Zhong, J.; Arsenescu, R.; Arsenescu, V.; Wang, Y.; Ghoshal, S.; de Beer, M.C.; de Beer, F.C.; de Villiers, W.J.S. Intestinal Epithelial Serum Amyloid A Modulates Bacterial Growth in Vitro and Pro-Inflammatory Responses in Mouse Experimental Colitis. BMC Gastroenterol. 2010, 10, 133. [Google Scholar] [CrossRef]
- King, W.L.; Jenkins, C.; Seymour, J.R.; Labbate, M. Oyster Disease in a Changing Environment: Decrypting the Link between Pathogen, Microbiome and Environment. Mar. Environ. Res. 2019, 143, 124–140. [Google Scholar] [CrossRef] [PubMed]
- Petton, B.; Destoumieux-Garzón, D.; Pernet, F.; Toulza, E.; de Lorgeril, J.; Degremont, L.; Mitta, G. The Pacific Oyster Mortality Syndrome, a Polymicrobial and Multifactorial Disease: State of Knowledge and Future Directions. Front. Immunol. 2021, 12, 630343. [Google Scholar] [CrossRef] [PubMed]
- Xu, Y.-Z.; Fang, D.-Z.; Chen, F.-F.; Zhao, Q.-F.; Cai, C.-M.; Cheng, M.-G. Utilization of Recombinase Polymerase Amplification Method Combined with Lateral Flow Dipstick for Visual Detection of Respiratory Syncytial Virus. Mol. Cell. Probes 2020, 49, 101473. [Google Scholar] [CrossRef] [PubMed]
- Lavie, M.; Voisset, C.; Vu-Dac, N.; Zurawski, V.; Duverlie, G.; Wychowski, C.; Dubuisson, J. Serum Amyloid A Has Antiviral Activity against Hepatitis C Virus by Inhibiting Virus Entry in a Cell Culture System. Hepatology 2006, 44, 1626–1634. [Google Scholar] [CrossRef]
- Trevisan, R.; Mello, D.F.; Delapedra, G.; Silva, D.G.H.; Arl, M.; Danielli, N.M.; Metian, M.; Almeida, E.A.; Dafre, A.L. Gills as a Glutathione-Dependent Metabolic Barrier in Pacific Oysters Crassostrea gigas: Absorption, Metabolism and Excretion of a Model Electrophile. Aquat. Toxicol. 2016, 173, 105–119. [Google Scholar] [CrossRef]
- Arredondo-Espinoza, R.; Ibarra, A.M.; Roberts, S.B.; Sicard-González, M.T.; Escobedo-Fregoso, C. Transcriptome Profile in Heat Resilient Pacific Oyster Crassostrea gigas Families under Thermal Challenge. Comp. Biochem. Physiol. Part D Genom. Proteom. 2023, 47, 101089. [Google Scholar] [CrossRef]
- Zhu, T.; Liu, C.; Liu, Z.; Gao, Y.; Xin, X.; Wang, L.; Song, L. A Cartilage Matrix Protein Regulates Collagen Synthesis in Mantle of Magallana gigas (Crassostrea gigas) under Ocean Acidification. Fishes 2023, 8, 290. [Google Scholar] [CrossRef]
- Ribeiro, V.T.; Asevedo, E.A.; de Paiva Vasconcelos, L.T.C.; Filho, M.A.O.; de Araújo, J.S.; de Macedo, G.R.; de Sousa, F.C., Jr.; Dos Santos, E.S. Evaluation of Induction Conditions for Plasmid pQE-30 Stability and 503 Antigen of Leishmania i. Chagasi Expression in E. Coli M15. Appl. Microbiol. Biotechnol. 2019, 103, 6495–6504. [Google Scholar] [CrossRef]
- Rahman, M.A.; Henderson, S.; Miller-Ezzy, P.; Li, X.X.; Qin, J.G. Immune Response to Temperature Stress in Three Bivalve Species: Pacific Oyster Crassostrea gigas, Mediterranean Mussel Mytilus Galloprovincialis and Mud Cockle Katelysia Rhytiphora. Fish Shellfish Immunol. 2019, 86, 868–874. [Google Scholar] [CrossRef]
- Wang, L.; Sun, J.; Wu, Z.; Lian, X.; Han, S.; Huang, S.; Yang, C.; Wang, L.; Song, L. AP-1 Regulates the Expression of IL17-4 and IL17-5 in the Pacific Oyster Crassostrea gigas. Fish Shellfish Immunol. 2020, 97, 554–563. [Google Scholar] [CrossRef]
- Ma, Y.; Liu, X.; Liu, D.; Yin, Z.; Yang, X.; Zeng, M. Oyster (Crassostrea gigas) Polysaccharide Ameliorates High-Fat-Diet-Induced Oxidative Stress and Inflammation in the Liver via the Bile Acid-FXR-AMPKα Pathway. J. Agric. Food Chem. 2022, 70, 8662–8671. [Google Scholar] [CrossRef] [PubMed]
- Zhang, Y.; Ni, M.; Bai, Y.; Shi, Q.; Zheng, J.; Cui, Z. Full-Length Transcriptome Analysis Provides New Insights Into the Diversity of Immune-Related Genes in Portunus Trituberculatus. Front. Immunol. 2022, 13, 843347. [Google Scholar] [CrossRef] [PubMed]
- Trevisan, R.; Mello, D.F. Redox Control of Antioxidants, Metabolism, Immunity, and Development at the Core of Stress Adaptation of the Oyster Crassostrea gigas to the Dynamic Intertidal Environment. Free Radic. Biol. Med. 2024, 210, 85–106. [Google Scholar] [CrossRef] [PubMed]
- Li, X.; Shi, C.; Yang, B.; Li, Q.; Liu, S. High Temperature Aggravates Mortalities of the Pacific Oyster (Crassostrea gigas) Infected with Vibrio: A Perspective from Homeostasis of Digestive Microbiota and Immune Response. Aquaculture 2023, 568, 739309. [Google Scholar] [CrossRef]
- Abdullahi, A.; Stanojcic, M.; Yu, N.; Samadi, O.; Sadri, A.-R.; Vinaik, R.; Coburn, N.; Jeschke, M.G. Serum Amlyoid A: An Inflammatory Adipokine Mediating Postburn Outcomes. Clin. Transl. Med. 2021, 11, e412. [Google Scholar] [CrossRef]
- Abouelasrar Salama, S.; Gouwy, M.; Van Damme, J.; Struyf, S. The Turning Away of Serum Amyloid A Biological Activities and Receptor Usage. Immunology 2021, 163, 115–127. [Google Scholar] [CrossRef]
- Lee, H.J.; Kim, J.H.; Kim, S.W.; Joo, H.A.; Lee, H.W.; Kim, Y.S.; Park, S.J.; Hong, S.P.; Kim, T.I.; Kim, W.H.; et al. Proteomic Analysis of Serum Amyloid A as a Potential Marker in Intestinal Behçet’s Disease. Dig. Dis. Sci. 2017, 62, 1953–1962. [Google Scholar] [CrossRef]
- Kuret, T.; Peskar, D.; Kreft, M.E.; Erman, A.; Veranič, P. Comprehensive Transcriptome Profiling of Urothelial Cells Following TNFα Stimulation in an in Vitro Interstitial Cystitis/Bladder Pain Syndrome Model. Front. Immunol. 2022, 13, 960667. [Google Scholar] [CrossRef]






| Gene Name | Primer Sequence (5′-3′) |
|---|---|
| Clone primers | |
| CgSAA-F | ATGAGGGTATTCGCAGTA |
| CgSAA-R | CAGTATCTATCTGGTAACCC |
| Primers for recombinant expression | |
| CgSAA-EXF | CGCGGATCCCAGGGATTTTTAGACAGAATTCGAGAC |
| CgSAA-EXR | CCGCTCGAGGTATCTATCTGGTAACCCATCGGGTCT |
| RT-PCR primers | |
| CgIL17-1-RT-F | GCGAACGCCACAGTGTCAAA |
| CgIL17-1-RT-R | GACGCTACGAGGAAATACGGAC |
| CgIL17-5-RT-F | TCTGGCTGACTCTCGTCCTTG |
| CgIL17-5-RT-R | GACCCTGTCGTTGTCCTCTACC |
| CgILTNF-RT-F | CTTCTCGTCTGCGGCTTCTTT |
| CgILTNF-RT-R | CAGGGCTGCGGTCTTTCC |
| CgEF-RT-F | AGTCACCAAGGCTGCACAGAAAG |
| CgEF-RT-R | ACGACGATCGCATTTCTCTT |
Disclaimer/Publisher’s Note: The statements, opinions and data contained in all publications are solely those of the individual author(s) and contributor(s) and not of MDPI and/or the editor(s). MDPI and/or the editor(s) disclaim responsibility for any injury to people or property resulting from any ideas, methods, instructions or products referred to in the content. |
© 2025 by the authors. Licensee MDPI, Basel, Switzerland. This article is an open access article distributed under the terms and conditions of the Creative Commons Attribution (CC BY) license (https://creativecommons.org/licenses/by/4.0/).
Share and Cite
Cheng, J.; Wang, W.; Cheng, X.; Li, X.; Lun, L.; Lian, X.; Wang, L.; Song, L. The Acute-Phase Serum Amyloid A Promotes Cytokines Production in Oyster Crassostrea gigas. Fishes 2025, 10, 93. https://doi.org/10.3390/fishes10030093
Cheng J, Wang W, Cheng X, Li X, Lun L, Lian X, Wang L, Song L. The Acute-Phase Serum Amyloid A Promotes Cytokines Production in Oyster Crassostrea gigas. Fishes. 2025; 10(3):93. https://doi.org/10.3390/fishes10030093
Chicago/Turabian StyleCheng, Junlei, Weilin Wang, Xuemei Cheng, Xuesong Li, Luyi Lun, Xingye Lian, Lingling Wang, and Linsheng Song. 2025. "The Acute-Phase Serum Amyloid A Promotes Cytokines Production in Oyster Crassostrea gigas" Fishes 10, no. 3: 93. https://doi.org/10.3390/fishes10030093
APA StyleCheng, J., Wang, W., Cheng, X., Li, X., Lun, L., Lian, X., Wang, L., & Song, L. (2025). The Acute-Phase Serum Amyloid A Promotes Cytokines Production in Oyster Crassostrea gigas. Fishes, 10(3), 93. https://doi.org/10.3390/fishes10030093

