You are currently viewing a new version of our website. To view the old version click .
Fishes
  • Article
  • Open Access

23 February 2025

Characterization and Differential Expression of Sex Genes in Adults of Tropical Gar (Atractosteus tropicus)

,
,
,
,
,
,
,
,
and
1
Laboratorio de Fisiología en Recursos Acuáticos, División Académica de Ciencias Biológicas, Universidad Juárez Autónoma de Tabasco (DACBiol-UJAT), Carretera Villahermosa-Cárdenas Km. 0.5, Entronque Bosques de Saloya, Villahermosa C.P. 86039, Mexico
2
Instituto de Ciencias Marinas y Pesquerías, Universidad Veracruzana, Miguel Hidalgo 617, Río Jamapa, Boca del Río C.P. 94290, Mexico
3
Investigadoras e Investigadores por México, Consejo Nacional de Humanidades, Ciencias y Tecnología (CONAHCYT), Av. Insurgentes Sur 1582, Col. Crédito Constructor, Demarcación Territorial Benito Juárez, Mexico City C.P. 03940, Mexico
4
División Académica Multidisciplinaria de Jalpa de Méndez, Universidad Juárez Autónoma de Tabasco (DAMJM-UJAT), Carretera Estatal Libre Villahermosa-Comalcalco Km. 27 + 000 s/n Ranchería Ribera Alta, Jalpa de Méndez C.P. 86205, Mexico
This article belongs to the Special Issue Advances in Fish Reproductive Physiology

Abstract

The tropical gar (Atractosteus tropicus) is a primitive freshwater fish of significant commercial importance in southeastern Mexico. However, its population is in danger due to habitat loss and overexploitation. Cultivation emerges as a viable reproductive management strategy; yet further studies are crucial to understanding molecular markers guiding reproductive management, differentiation, and sexual maturation in this species. We analyzed the expression of five sex-related genes (foxl2, sox9, cyp17a1, dmrt1, and cyp19a1) in the brain, liver, and gonads of adult A. tropicus (four females and five males). Methodologically, we collected samples and conducted RNA extraction, cDNA synthesis, and gene expression analysis using qPCR. The gonadal histology provided morphological context that reveals that the differential expression of genes establishes differences between sexes. The sexual phenotype of females is observed with the high expression of dmrt1, while in males, there is a reduction in the expression of dmrt1 and high levels of sox9, foxl2, and cyp17a1. Our findings establish dmrt1 and cyp19a1 as potential sex biomarkers and provide a molecular basis for developing sexing protocols in A. tropicus.
Key Contribution:
The sexual genes foxl2, sox9, cyp17a1, cyp19a1, and dmrt1 were characterized for the first time in A. tropicus. Dmrt1 and cyp19a1 were identified as sexing biomarkers of A. tropicus adults.

1. Introduction

Tropical gar (Atractosteus tropicus), a fish considered a living fossil, holds immense ecological importance and is extensively exploited in its natural habitats [1]. Its high commercial value in southeastern Mexico underscores its significance [2]. However, anthropogenic pressures and habitat loss have led to genetic isolation, reducing the gene flow among populations (stasis) and endangering the species due to the loss of gene richness [3]. Thus, a gradual reduction in wild populations has been detected where A. tropicus production has dropped by around 50% between 1984 and the present, which is why its state of conservation is considered deteriorated, and aquaculture activity is the only viable alternative for managing and preserving the species [1]. Developing strategies to protect this species is crucial, with its culture emerging as a sustainable conservation alternative [4,5,6]. Molecular studies on sex-linked genes in fish, particularly Lepisosteids, are paramount as they provide insights into reproductive processes and facilitate the development of protocols for sex identification in species without sexual dimorphism [7].
The sexual determination and differentiation in A. tropicus, which lacks differentiated sex chromosomes [8], is genotypic and is governed by a monophyletic ancestral system associated with autosomal genes [9]. The Hypothalamic-Pituitary-Gonadal (HPG) reproductive axis is regulated by a feedback system in which neuroendocrine factors play a significant role [7]. This system, which involves the hypothalamus and the pituitary, coordinates morphological and physiological changes in the fate of sexual structures in the germinal and somatic compartments. These changes are maintained through a pathway of silencing or regulation of neuroendocrine factors that involve hormonal elements (kisspeptin, dopamine, gonadotropin release hormone factor GnRH), gonadotropins (FSH and LH), and steroids, gonadal 17β-estradiol (E2), and testosterone (T). The complexity of these molecular mechanisms, as evidenced by the extensive list of references [8,9,10,11,12,13,14], underscores the scientific challenge of understanding the process.
These molecular mechanisms are comprised of genes such as sry, my, amhy, dmrt1by, sox3y, dmrt1, sox9, foxl2, cyp17a1, and cyp19a1, which exhibit similar functions among diverse taxa [7,15]. However, some pathways have been modified due to genome duplication, although many of these genes have retained the same functions. One such gene is the dmrt1, found in many fish species as dirt 1bY and identified in mammals as SRY on the Y chromosome [16].
However, this condition is not generalized, given that some genes have different functions among nearby species; for example, sox9 expression is involved in craniofacial, skeletal, and neuronal development and the maintenance of stem cell phenotype in fish [6,11]. Foxl2 is predominantly observed in the ovaries and correlates with aromatase levels [17,18]. In Nile tilapia, cyp17a1 expression is essential for estradiol production and critical for female sex determination and differentiation [19]. Cyp19a1a are genes responsible for the synthesis of enzymes that catalyze the aromatization of androgens to estrogens during neurogenesis and are related to the control of the HPG pathway that regulates growth, sex change, and reproduction [20]. In the sturgeon Acipenser gueldenstaedtii, the genes foxl2, hsd17b1, gsdf, and cyp19a1a are determinants of sex regulation. Still, when contrasted with a nearby species, Acipenser schrenckii, sex is controlled by doublesex and mab-3, sharing a gene present in mammalian vertebrates foxl2 [21,22,23].
The diversity and dynamics of these genes between species complicate the identification of sexual molecular mechanisms, which is increased when somatic cell activity can generate control in sex maintenance, given that their development can regulate the Leydig cell (Lc) population and differentiation by controlling testosterone production [24]. The above suggests that reproductive studies require a comprehensive morphological, physiological, and gene analysis of tissues to understand the relationships between cellular changes as a feedback system between the parts. Thus, establishing a general sexual model in fish is a profoundly complex task, given the diversity of reproductive systems, strategies, and arrangements (hermaphroditism, sexual reversions, etc.), mainly in primitive organisms as is the case of A. tropicus, with reproductive characteristics that do not present in current Teleostean as an ovarian cavity (cyst ovaries), adipose tissue in the ovarian stroma, and the arrangement of a ciliated germinal epithelium with secretory cells with a motor function in the movement of the oocytes. [25]. Therefore, understanding the gene pathway that controls the maintenance of reproductive characteristics in adult fish is essential. In this research, we aimed to identify the genes related to phenotypic sex (foxl2, sox9, dmrt1, cyp17a1, and cyp19a1) expressed in reproductive (ovaries and testes) and somatic tissues (brain, muscle, and liver) and to understand their relationship with the pattern of morphological changes in adult females and males of A. tropicus. This understanding not only allows the generation of new criteria on reproductive control, the generation of protocols for sex identification, and monosexual culture but also holds the promise of significantly improving the health of aquatic systems and the economic resources of southeastern Mexico.

2. Materials and Methods

2.1. Sample Collection

Four adult females and five adult males of A. tropicus were captured between May 2020 and August 2021, with a minimum total length of 32.5 cm, established as first sexual maturity [20] in the Pomposú Lagoon (altitude 1 m ASL, 28 °C average water temperature, relative humidity 80%, pH 7.4, and dissolved oxygen < 3.2 mg/L), municipality of Jalpa de Méndez (18°19′59″ N–93°01′12″ W), Tabasco, Mexico. The fish were transported in 156 L plastic coolers to the Laboratory of Physiology in Aquatic Resources (LAFIRA) of the Academic Division of Biological Sciences (DACBiol), Universidad Juárez Autónoma de Tabasco (UJAT). The fish were anesthetized with 0.1 mL of clove oil/kg of fish and sampled. All procedures were performed according to the Official Mexican Norm (NOM-062 ZOO-1999) [26] of Animal Welfare and with the Declaration of Helsinki. The total weight (TW), total length (TL), standard length (SL), liver weight (LW), and gonad weight (W) were obtained from each fish with an analytical balance (Ohaus HH120, precision 120 + 0.01 g, Shenzhen, China) (Table 1).
Table 1. Morphometric measurements and organ weights of adult male and female Atractosteus tropicus.
The fish were dissected, and the brain, gonad, liver, and muscle were extracted and deep-frozen at −80 °C (Ultra freezer Lexicon II ultra-low freezer, Singapore), preserved in RNAlater (RNAlater solution, Ambion, Norristown, PA, USA) for molecular analysis. In addition, one of the gonads from each fish was fixed in the Bouin and Davison solution for histological processing.

2.2. Sequence Analysis

The partial sequences were obtained, edited, and analyzed from the transcriptome analysis [22] bio project NCBI: PRJNA395289, using the reliable ExPASy translation (https://web.expasy.org/translate/ (accessed on 23 May 2022)) software to search for the open reading frame (ORF). Once the ORF was identified, it was translated to amino acid (AA) sequences using standard genetic codes. The nucleotide sequence was compared with DNA sequences from other fish available in the GenBank database network service at NCBI (https://blast.ncbi.nlm.nih.gov/Blast.cgi accessed on 23 May 2022). Protein sequence alignments were performed by the trusted multiple sequence alignment software BioEdit 7.2 (www.mbio.ncsu.edu/bioedit/bioedit.html accessed on 15 July 2023). A phylogenetic tree was generated using the neighbor-joining (NJ) methods based on the AA sequence using the well-established MEGA 7.0 software.

2.3. RNA Extraction, cDNA Synthesis, and Gene Expression

The organs were suspended in Trizol (Invitrogen, Waltham, MA, USA) to obtain total RNA, according to the manufacturer; the concentration and purity were evaluated by absorbance ratio at 260 and 280 nm in a spectrophotometer (Jenway GenovaNano, Cole-Parmer, Staffordshire, UK). In the thermal cycler (Mastercycle nexus GSX1, Eppendorf, Hamburg, Germany), one microgram of RNA was transcribed to cDNA using a reverse transcription kit with 20 μL volume (Maxima First Strand cDNA Synthesis Kit for RT-qPCR, ThermoScientific, Waltham, MA, USA).
The specific oligonucleotide design (Table 2) was obtained from the A. tropicus transcriptome (NCBI: PRJNA395289) National Center of Biotechnology Information (https://www.ncbi.nlm.nih.gov/tools/primer-blast/ accessed on 12 September 2023) [27,28]. Melting curves were performed to evaluate the presence of dimers using Web-based LinRegPCR [24]. The qPCR reactions were performed with 10 µL of Eva Green supermix (Bio-Rad, Hercules, CA, USA), 9 µL of cDNA (5 ng µL−1) and 1 µL of primer mix in 20 µL volume, with the negative control replacing the cDNA template with sterile water; the primer efficiency curves were generated with five dilutions per gene (100 to 0.1 ng of DNA), using β-actin as the reference gene. CFX96TM real-time thermal cycler (BioRad, Hercules, CA, USA) was used with a 10 min denaturation cycle at 95 °C, 40 cycles of 15 s at 95 °C, and 1 min at 60 °C. Gene expression was calculated using the ΔΔCt method [29,30].
Table 2. Expression of foxl2, cyp17a1, sox9, cyp19a1, dmrt1, and β-actin primers sequences for qPCR in A. tropicus.

2.4. Processing by Histological Techniques

The previously fixed gonads were dehydrated in 50, 70, 80, 96, and 100% ethyl alcohol and rinsed in OH 100%-xylol (sol. 1:1) and xylol, kerosene-xylol (sol. 1:1), and kerosene 1 and 2, and included in kerosene blocks, and transverse and longitudinal sections of 7 μm thickness were made using microtome (Reichert-Jung, model Hn40, Deer Park, IL, USA) and stained with hematoxylin–eosin (H-E) [31,32,33]. A Zeiss microscope (Axiostar Plus, Oberkochen, Germany) with a digitizing camera (Zeiss model Axiocam MRc 5, Oberkochen, Germany) and Zen V. 2.3 morphometry software (Blue edition) were used.

2.5. Statistical Analysis

The reproductive morphological changes of adults proposed by [34,35] were characterized; germ cells (“ep” spermatogonia and “oc” oocyte) and cells in somatic differentiation (Leydig cells “Lc” and Sertoli cells “Sc”) were identified, establishing the stages of sexual differentiation. According to the changes observed in the germ epithelium of males and females, reproductive classes were identified. For the comparative analysis of gonadal morphology, normality and homogeneity of variance tests were performed (Kolmogorov–Smirnov and Levine tests), and differences in gene and tissue expression between sexes were evaluated by ANOVA and a Tukey post hoc test using STATISTICA v 7.0 software with a significance value of 0.05.

3. Results

3.1. Sequence Analysis and Phylogenetics

The partial sequences were obtained from the transcriptome analysis bio project NCBI: PRJNA395289 from different types of organs of A. tropicus for foxl2 1689 pb encoding 547 AA, cyp17a1 1482 pb encoding 489 AA, sox9 3131 pb encoding 1010 AA, cyp19a1 2703 pb encoding 883 AA, and dmrt1 648 pb encoding 214 AA (Figures S1–S5). The alignment of A. tropicus AA concerning other species of fishes’ identical amino acids is presented in black, and the high- and less-conserved amino acids are given in gray and period, respectively. (Figures S6–S10). Phylogenetic analysis showed Atractosteus tropicus sequences grouped in the five genes; we obtained phylogenetic trees in the foxl2 AA sequence groups together with A. tropicus and Lepisosteus oculatus showing a bootstrap value of 40%, cyp17a1 AA sequence groups together with A. tropicus and Amia calva showing a bootstrap value of 35%, sox9 AA sequence groups together with A. tropicus and Lepisosteus oculatus showing a bootstrap value of 61%, cyp19a1 AA sequence groups together with A. tropicus and Amia calva showing a bootstrap value of 38%, and dmrt1 AA sequence groups together with A. tropicus and Gouania willdenowi showing a bootstrap value of 21% (Figure 1A–E).
Figure 1. Phylogenetic tree based on the amino acid sequence of (A) foxl2, (B) cyp17a1, (C) sox9, (D) cyp19a1, and (E) dmrt1 from A. tropicus and other teleosts using the neighbor-joining (NJ) method. Values at branch points represent percentage frequencies for tree topology after 1000 iterations.

3.2. Gene Expression Analysis

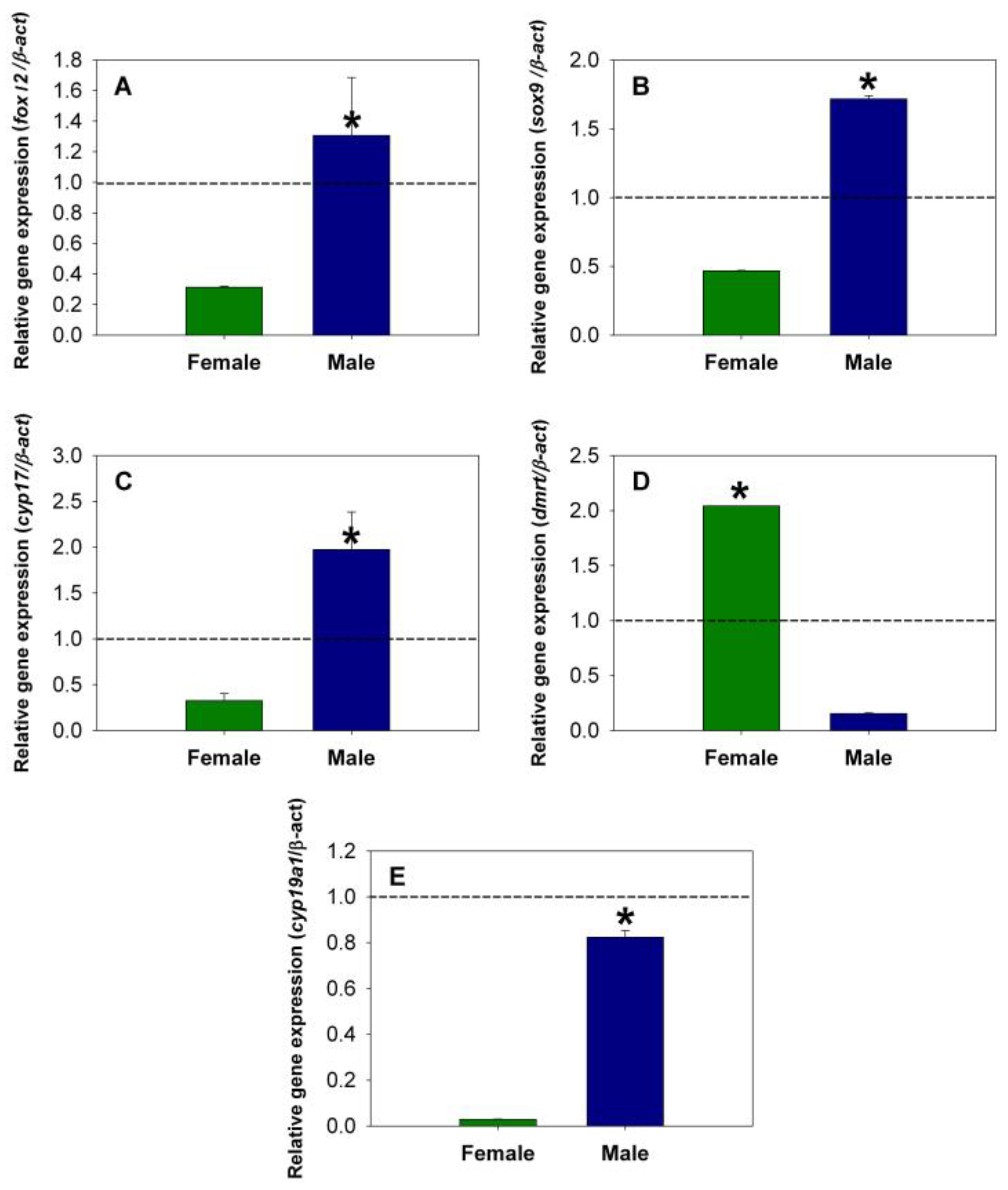
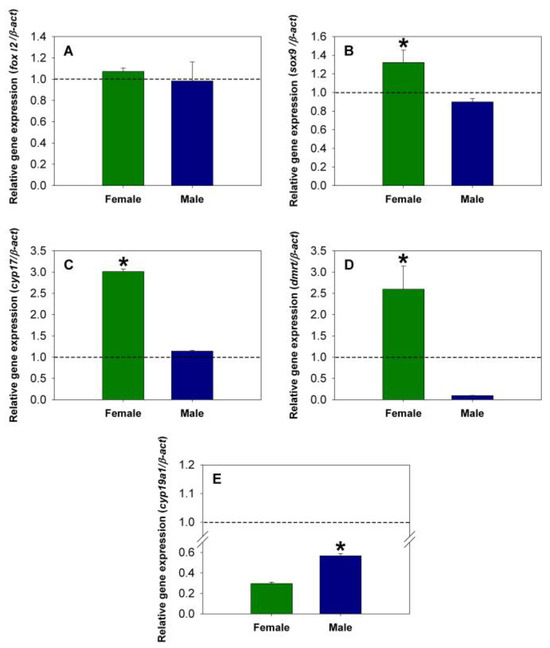
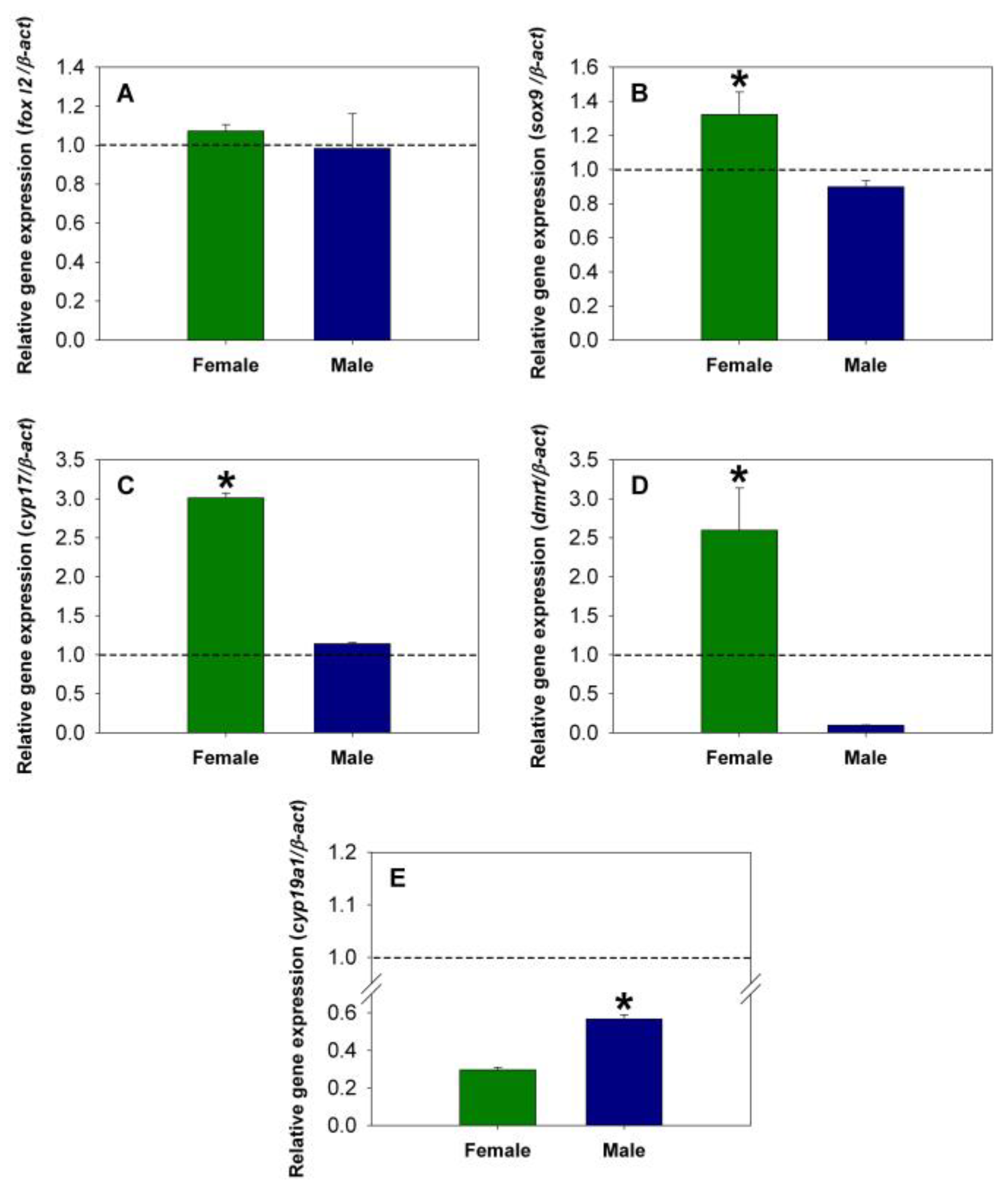
In gonads, the foxl2, sox9, cyp17a1, dmrt1, and cyp19a1, levels were approximately five-, seven-, three-, and two-fold higher in females compared to males (Figure 2A–E). While in liver fox9, soxl2, cyp17a1, dmrt1, and cyp19a1, levels were approximately one-, one-, three-, 12-, and 0.5-fold higher in females compared to males (Figure 3A–E). In the case of the brain, the genes foxl2, sox9, cyp17a1, and cyp19a1 levels were approximately four-, five-, six-, and eight-fold higher in males than females (Figure 4A–E). Finally, the dmrt1 gene level was approximately 20-fold higher in females compared to males (Figure 4D). Significant differences were also found in the relative expressions of the different tissues in both sexes’ values (p < 0.05).
Figure 2. Expression of (A) foxl2, (B) sox9, (C) cyp17a1, (D) dmrt1, and (E) cyp19a1 transcripts in the gonad of adult A. tropicus (median ± 10% percentile). Relative quantification was performed by normalization of the relative values concerning those of the constitutive β-actin gene expressed in muscle tissue. Significant differences among sexes are indicated by the asterisk (p < 0.05). The dotted line represents normalized expression using the b-actin gene and is represented by number one.
Figure 3. Expression of (A) foxl2, (B) sox9, (C) cyp17a1, (D) dmrt1, and (E) cyp19a1 transcripts in the liver of adult A. tropicus (median ± 10% percentile). Relative quantification was performed by normalization of the relative values concerning those of the constitutive β-actin gene expressed in muscle tissue. Significant differences among sexes are indicated by the asterisk (p < 0.05). The dotted line represents normalized expression using the b-actin gene and is represented by number one.
Figure 4. Expression of (A) foxl2, (B) sox9, (C) cyp17a1, (D) dmrt1, and (E) cyp19a1 transcripts in the brain of adult A. tropicus (median ± 10% percentile). Relative quantification was performed by normalization of the relative values concerning those of the constitutive β-actin gene expressed in muscle tissue. Significant differences among sexes are indicated by the asterisk (p < 0.05). The dotted line represents normalized expression using the b-actin gene and is represented by number one.

3.3. Morphological Characterization of Adult Testes and Ovaries

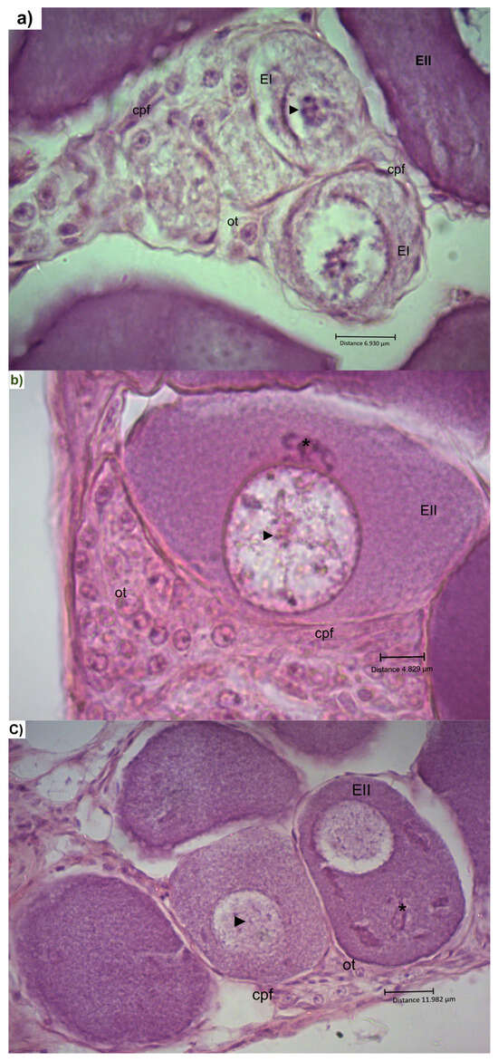
The morphological characterization of the testes of adult males of A. tropicus reveals fascinating details. They are whitish, oval-paired organs formed by a network of anastomosed tubules. These tubules consist of interstitial compartments (fibroblasts and Leydig cells) and the germinal compartment formed by spermatocytes, spermatids, spermatozoa, and Sertoli cells, which form sperm cysts (Figure 5). On the other hand, the ovaries in A. tropicus are oval and elongated, with the right one cephalic and the left one caudal. They exhibit a creamy-yellow to translucent pink coloration and consist of three distinct morphological structures: the interstitial compartment (connective tissue and blood vessels), the germinal epithelium (perifollicular cells and oocytes), and the ovarian lamellae that fold to form the ovarian cavity (Figure 6). This detailed description provides a clear picture of the reproductive organs, aiding in the understanding of their function and role in sexual morphology.
Figure 5. Morphology of testes. Class III. Intermediate maturity. (a) Tubules in the distal zone of the testis (10× H-E. Reference bar 44.605 µm), (b) details of tubules (40× H-E. Reference bar 12.073 µm), (c) tubules with continuous germinal epithelium (100× H-E. Reference bar 5.160 µm): fibroblasts (f), Leydig cells (Lc), primary spermatocytes (ep), secondary spermatocytes (s), spermatids (et), spermatozoa (ez), interstitial tissue (►), Sertoli cells (Sc).
Figure 6. Morphology of ovaries in previtellogenesis. (a) Germ cell nest with EI (chromatin nucleolus) and EII (early perinucleolus) stage oocytes (H-E 100X. Reference bar 6.93 µm), (b) germinal nest with early oocytes and EII stage (H-E 100X. Reference bar 4.829 µm), (c) germinal nest with EII oocyte (H-E 100X. Reference bar = 11.982 µm): perifollicular cells (cpf), early oocytes (ot), chromatin (►).
The testes were in reproductive class III (intermediate maturity), with an average tubule diameter of 125.02 µm, where spermatogonia and spermatids present morphological changes that increase the number of sperm. The ovaries were in the reproductive period of previtellogenesis in stage II with an average oocyte diameter of 2.05 µm and stage III with an average diameter of 3.07 µm, which was detected before the yolk formation [25]. This finding shows that the organisms studied were in the early stages of vitellogenesis and spermatogenesis. Importantly, our research shows that the expression patterns of sexual genes do not influence the spermatogenic development cycle (Table 3).
Table 3. Adult biometrics of A. tropicus females and males: total gonads’ weight (TGW), right gonad weight (RGW), left gonad weight (LGW), tubules (T), and oocyte diameter (Oo).

4. Discussion

This study revealed the expression of sex genes in different organs of A. tropicus adults, which belong to a sex-related network. In the primitive fish Latimeria chalumnae, the presence of the dmrt1 gene suggests that it is essential in the evolutionary context as a sex regulator, explained by the constant presence of various isoforms that have been identified in teleost fishes [8]. In this species, the expression profiles of their reproductive genes are like those of current teleosts because they present sexual chromosomes, unlike the fish A. tropicus, which does not present heteromorphic sexual chromosomes, and its genetic profile is closer to the tetrapod than the teleost [7]. Thus, in organisms without sex chromosomes, sex is determined by a cascade of genes or the coordination of several genes [7,9,15,24,36,37]. In this sense, the multiple alignment analysis of the sequences and phylogenetic trees of the reproductive genes fox9, soxl2, cyp17a1, dmrt1, and cyp19a1 of Atractosteus tropicus with other fish species showed a remarkable similarity with Lepisosteus oculatus and Amia calva. This is possible because they are ancestral species, demonstrating that they present a fundamental link with tetrapods and other vertebrates that has significantly enabled our understanding of the evolution of specific traits of vertebrates, such as adaptive immunity, mineralized tissues, and the regulation of gene expression in aspects of reproduction [38,39].
The identification of the genes evaluated in this investigation (fox9, soxl2, cyp17a1, dmrt1, and cyp19a1) agreed with the studies of Nagahama et al. [7], where sex determined in adult vertebrates is maintained by the active physiology of their sexual structures, which avoids the change in sex as in protandry or hermaphrodite organisms, which is achieved by the molecular mechanisms that act in a gene network that regulates the metabolic routes in the central nervous system (CNS) and is associated with other organs (liver, gonads, thyroid, and adrenal glands), where various hormones are generated, such as somatotropin, thyrotropin, corticotropin, lactotropin, and gonadotropin [40,41,42], as is the case in the primitive fish Acipenser baerii, where dmrt1 and sox9 regulate and establish sex [15].
In tropical gar, the brain–liver–gonad (BLG) reproductive axis was characterized based on the identification of sex genes in these organs, including the liver as part of the reproductive axis that maintains the active sex of adults, as in L. chalumnae and Cyprinodon variegatus, where the liver contributes to establishing sexual identity by steroid (Star) and estrogen (Esr1) regulatory genes [9,40], a condition present in A. tropicus, where the liver shows the expression of sex genes (foxl2, sox9, cyp17a1, dmrt1, and cyp19a1) identified in primitive and teleost fish in an expression pattern that suggests it is responsible for the maintenance of adult sex. The integration of these sex genes forms a complex network or feedback system (SCGSP) in the BLG axis of the tropical gar, explaining the maintenance of adult morphology and reproductive physiology. In that sense, the brain of A. tropicus is presented as the main organ of control of the BLG axis, followed by the liver, where the activity of the SCGSP starts with the stimulation of brain tissue, translating transcription factors that regulate the synthesis of steroids in the gonad and liver controlling the maintenance of sex.
Based on Nagahama et al. [7], the fact that sex genes regulate adult sex maintenance supports the finding that high dmrt1 values conserve the morphology of tropical gar ovaries in the brain and liver that regulate the activity of the sex genes cyp19a1 in ovaries from cyp17a1 expression and sox9 knockdown and foxl2, where the CYP19 or P450 aromatase family are molecules responsible for catalyzing the aromatization of androgens to estrogens during neurogenesis, which regulates growth, sex change, and reproduction [36,43,44,45,46].
In males, the low values of dmrt1 and the expression of sox9, foxl2, and cyp17a1 suggest inhibition of its expression in the testes, highlighting the presence of a germinal epithelium with spermatogonia and spermatids, suggesting that these genes have no control of spermatogenesis during the FSH (follicle stimulating hormone) synthesis pathway. In addition, the lack of cyp19a1 expression in the testes indicates that it is an androgen deficiency regulated by cyp17a1; however, the brain and liver show the activity of all genes. By contrast, in Oreochromis niloticus fry the tCYP19b isoform has been detected in the brain and gonad of females and males, but tCYP19a isoform was only found in the ovary [47]. These patterns suggest that brain aromatase is essential in producing androgens that regulate testes’ development. In the liver, a pattern of expression like the brain is observed, forming a feedback system between them, generating a negative stimulus in the testes, and inhibiting the expression of sex genes.
In females, the control of dmrt1 in somatic cells is marked in a cascade of positive stimulations of cyp17a1 and cyp19a1, as in O. niloticus where neuro-estrogens in the brain control the aromatase genes in the gonads [47]. It is noteworthy that between these two species and A. tropicus, two aromatases cyp19a found in ovaries and cyp19b in brain and testis with different isoforms were identified, which explains that masculinization is the result of the inhibition of cyp19a1 and cyp19b hormones by estrogen depletion preventing ovary formation and hypermethylation of cyp19a1a blocking masculinizing enzymes [7,14,15,23,48,49,50,51,52].
These systems require knowledge of the relationship between the gene expression and the morphology, where foxl2, sox9, and dmrt1 are involved in the somatic and germline sex differentiation of primitive fish by steroid synthesis, crucial for sexual maintenance through dmrt1 and the repression of foxl2 [15,24]. However, these may have different functions or participate in other metabolic pathways, such as Danio rerio dmrt1, which is found in both sexes during spermatogenesis and vitellogenesis. In A. sturio, sox9 is sequenced in males and females with potential activity in masculinization, and cyp17a1 is a marker in teleosts that converts progesterone to androgens in larvae, which is controversial, since androgens are related to adult spermatogenesis and not to testicular differentiation. This suggests that conserved genes may not all regulate sex, given those androgens are not required in the development of some organisms, as shown by mouse fetal gonads, where the expression of dmrt1 results in sex reversal and the development of secondary sexual characteristics [10,37,53,54,55,56,57].
The role of these genes in hormonal control is clear; however, in adult individuals of A. tropicus, the expression of the genes evaluated suggests no influence on the characterization of the reproductive cycle or reproductive period, as the gonads only presented maintenance and nutritional activity when the testes were in reproductive class “III” (intermediate maturity) with a tubule diameter average of 125.02 µm, with spermatogonia and spermatids in development increasing the number of spermatozoa. The ovaries were in previtellogenesis stages II and III with oocyte diameters of 2.05 and 3.07 µm, respectively, indicating that the organisms studied were in the early stages of vitellogenesis. Given that these values are low, according to the characterization of the reproductive cycle of A. tropicus reported in [25,58], this suggests that the expression pattern of the sex genes is not related to the synthesis of hormones that control the gonadal maturity cycle that has been detected in spotted gar (Lepisosteus oculatus) [59].
Finally, the biometric values of A. tropicus breeders show that females have greater weights and total lengths than males. This aspect has already been reported by Marquez-Couturier and Vázquez-Navarrete [1], who point out that the size difference can indicate sexual dimorphism. This has been corroborated by Méndez et al. [25,58] through macroscopic and histological morphological analysis in wild adults. These differences in the morphological characteristics of A. tropicus adults are like those reported in the Chinese soft-shell turtle (Pelodiscus sinensis), where sexual dimorphism occurs from increased body mass, with males larger than females, which was corroborated with the expression of the growth gene, as an essential indicator for determining sex [60]. However, the growth hormone A. tropicus expression has not been evaluated in adults, so it is necessary to investigate other molecular mechanisms related to the growth gene and its relationship with sexual dimorphism in the reproductive season (May–October). This future research will allow us to understand better the seasonal variation in the genetic expression of A. tropicus adults.

5. Conclusions

In general, the relative quantification of the transcripts foxl2, sox9, cyp17a1, dmrt1, cyp19a1, and cyp19a2 allows us to suggest that the maintenance of the sex characteristics of adults of A. tropicus is supported by the expression pattern of these autosomal genes in the organs evaluated (brain, gonad, and liver). In fish, different protocols for the characterization of sex have been generated; however, they have not been efficient in identifying an expression pattern. dmrt1 and cyp19a1 suggest that they could function as a sexual biomarker and may be a robust further proposal for a sexing protocol for adults of A. tropicus. These results provide new ideas for generating sex protocols in tropical fish.

Supplementary Materials

The following supporting information can be downloaded at: https://www.mdpi.com/article/10.3390/fishes10030094/s1, Figure S1: Sequence of Fox12 in Atractosteus tropicus; Figure S2: Sequence of Cyp17a1 in Atractosteus tropicus; Figure S3: Sequence of Sox9 in Atractosteus tropicus; Figure S4: Sequence of Cyp19a1 (Cyp450v2) in Atractosteus tropicus; Figure S5: Sequence of Dmtr1 in Atractosteus tropicus; Figures S6–S10: Alligment of A. tropicus reproductive genes.

Author Contributions

Conceptualization, O.M.-M., M.d.L.J.-B. and C.A.A.-G.; methodology, G.G.A.-A., L.D.J.-M., C.S.Á.-V., G.M.P.-J. and V.E.A.-F.; formal analysis, G.G.A.-A., R.M.-G., T.M.-B., G.M.P.-J. and L.D.J.-M.; investigation, O.M.-M., M.d.L.J.-B., G.G.-C., T.M.-B. and C.A.A.-G.; resources, R.M.-G. and C.A.A.-G.; writing—original draft preparation, O.M.-M., G.G.A.-A., G.G.-C., C.A.A.-G., L.D.J.-M., C.S.Á.-V., U.R.-E., T.M.-B., G.M.P.-J. and R.M.-G.; writing—review and editing, O.M.-M., G.G.A.-A., R.M.-G., V.E.A.-F., U.R.-E. and C.A.A.-G.; visualization, O.M.-M., G.G.A.-A., R.M.-G., U.R.-E., G.M.P.-J. and C.A.A.-G.; super-vision, M.d.L.J.-B. and C.A.A.-G.; project administration, R.M.-G. and C.A.A.-G.; funding acquisition, R.M.-G. and C.A.A.-G. All authors have read and agreed to the published version of the manuscript.

Funding

This research was partially funded by the Consejo Nacional de Humanidades, Ciencias, y Tecnología (CONAHCyT) in Mexico, grant number CB-2016-01-282765.

Institutional Review Board Statement

All procedures were performed according to the Official Mexican Norm (NOM-062 ZOO-1999) [21] of Animal Welfare and the Declaration of Helsinki. This research was approved by the Ethical Research Committee of the Universidad Juárez Autónoma de Tabasco, with the code UJAT-CIEI-2025-003.

Data Availability Statement

The data supporting this study’s findings are available upon request from the authors.

Acknowledgments

The author thanks the permission granted by Universidad Juárez Autónoma de Tabasco and the Programa Institucional de Superación Académica. Funding was provided by Consejo Nacional de Humanidades, Ciencias, y Tecnología (CONAHCYT).

Conflicts of Interest

The authors declare no conflicts of interest.

References

  1. Márquez-Couturier, G.; Vázquez-Navarrete, C.J. State of the art of biology and breeding of tropical gar (Atractosteus tropicus). AgroProductividad 2015, 8, 44–51. Available online: https://www.revista-agroproductividad.org/index.php/agroproductividad/article/view/660 (accessed on 11 January 2025).
  2. Márquez-Couturier, G.; Vázquez-Navarrete, C.J.; Contreras-Sánchez, W.M.; Álvarez-González, C.A. Acuicultura Tropical Sustentable: Una Estrategia para la Producción y Conservación del Pejelagarto (Atractosteus Tropicus) en Tabasco, México, 2nd ed.; Universidad Juárez Autónoma de Tabasco: Villahermosa, Tabasco, México, 2015. [Google Scholar] [CrossRef]
  3. Barrientos-Villalobos, J.; Espinosa, M.A. Genetic variation and recent population history of the tropical gar Atractosteus tropicus Gill (Pisces: Lepisosteidae). J. Fish. Biol. 2008, 73, 1919–1936. [Google Scholar] [CrossRef]
  4. Brighton, N.C.; Dai-Mingshu, U.; Mustapha, F.; Li, X.; Liu, L.; Huang, H.; Li, G.; Chen, H. Current research and future perspectives of GH and IGFs family genes in somatic growth and reproduction of teleost fish. Aquac. Rep. 2022, 26, 101289. [Google Scholar] [CrossRef]
  5. Lu, G.; Luo, M. Genomes of major fishes in world fisheries and aquaculture: Status, application and perspective. Aqua Fish. 2020, 5, 163–173. [Google Scholar] [CrossRef]
  6. Navarro-Martín, L.; Galay-Burgos, M.; Piferrer, F.; Sweeney, G. Characterisation and expression during sex differentiation of Sox19 from the sea bass Dicentrarchus labrax. Comp. Biochem. Physiol. B Biochem. Mol. Biol. 2012, 163, 316–323. [Google Scholar] [CrossRef] [PubMed]
  7. Nagahama, Y.; Chakraborty, T.; Paul-Prasanth, B.; Ohta, K.; Nakamura, M. Sex determination, gonadal sex differentiation, and plasticity in vertebrate species. Physiol. Rev. 2021, 101, 1237–1308. [Google Scholar] [CrossRef]
  8. Arias-Rodríguez, L.; Páramo-Delgadillo, S.; Contreras-Sánchez, W.M.; Álvarez-González, C.A. Cariotipo del pejelagarto tropical Atractosteus tropicus (Lepisosteiformes: Lepisosteidae) y variación cromosómica en sus larvas y adultos. Rev. Biol. Trop. 2009, 57, 529–539. [Google Scholar] [CrossRef]
  9. Forconi, M.; Canapa, A.; Barucca, M.; Biscotti, M.A.; Capriglione, T. Characterization of sex determination and sex differentiation genes in Latimeria. PLoS ONE 2013, 8, e56006. [Google Scholar] [CrossRef]
  10. Rodríguez-Pulido, J.A.; Mira-López, T.M.; Cruz-Casallas, P.E. Determinación, diferenciación sexual y pubertad en peces. Orinoquia 2018, 22, 80–91. [Google Scholar] [CrossRef]
  11. Sharma, P.; Purohit, S.; Kothiyal, S.; Negi, S.; Bhattacharya, I. Sex specific transcriptional regulation of gonadal steroidogenesis in teleost fishes. Front. Endocrinol. 2022, 13, 820241. [Google Scholar] [CrossRef]
  12. Shoemaker, C.; Ramsey, M.; Queen, J.; Crews, D. Expression of Sox9, Mis, and Dmrt1 in the gonad of a species with temperature-dependent sex determination. Dev. Dyn. 2007, 236, 1055–1063. [Google Scholar] [CrossRef] [PubMed]
  13. Sun, F.; Liu, S.; Gao, X.; Jiang, Y.; Perera, D. Male-biased genes in catfish as revealed by RNA-seq analysis of the testis transcriptome. PLoS ONE 2013, 8, 7. [Google Scholar] [CrossRef] [PubMed]
  14. Tang, X.; Jiang, S.; Wang, H.; Zhou, Y.; Peng, F.; Zhang, X.; Zhou, Y.; Guo, S.; You, Y. Transcriptome sequencing analysis reveals dynamic changes in major biological functions during the early development of clearhead icefish, Protosalanx chinensis. Fishes 2022, 7, 115. [Google Scholar] [CrossRef]
  15. Berbejillo, J.; Bengochea-Martinez, A.; Bedo, G.; Brunet, F.; Volff, J.N.; Vizziano-Cantonnet, D. Expression and phylogeny of candidate genes for sex differentiation in a primitive fish species, the Siberian sturgeon, Acipenser baerii. Mol. Reprod. Develop. 2012, 79, 504–516. [Google Scholar] [CrossRef] [PubMed]
  16. Braasch, I.; Schartl, M.; Volff, J.N. Evolution of pigment synthesis pathways by gene and genome duplication in fish. BMC Evol. Biol. 2007, 7, 74. [Google Scholar] [CrossRef]
  17. Baron, D.; Cocquet, J.; Xia, X.; Fellous, M.; Guiguen, Y.; Veitia, R.A. An evolutionary and functional analysis of FoxL2 in rainbow trout gonad differentiation. J. Mol. Endocrinol. 2004, 33, 705–715. [Google Scholar] [CrossRef] [PubMed]
  18. Crespo, B.; Lan-Chow-Wing, O.; Rocha, A.; Zanuy, S.; Gómez, A. Foxl2 and foxl3 are two ancient paralogs that remain fully functional in teleosts. Gen. Comp. Endocrinol. 2013, 194, 81–93. [Google Scholar] [CrossRef] [PubMed]
  19. Yang, L.; Zhang, X.; Liu, S.; Zhao, C.; Miao, Y.; Jin, L.; Wang, D.; Zhou, L. Cyp17a1 is required for female sex determination and male fertility by regulating sex steroid biosynthesis in fish. Endocrinology 2021, 162, 12. [Google Scholar] [CrossRef]
  20. Zhang, W.; Lu, H.; Jiang, H.; Li, M.; Zhang, S.; Liu, Q.; Zhang, L. Isolation and characterization of cyp19a1a and cyp19a1b promoters in the protogynous hermaphrodite orange-spotted grouper (Epinephelus coioides). Gen. Comp. Endocrinol. 2012, 175, 473–487. [Google Scholar] [CrossRef]
  21. Hagihara, R.; Yamashita, S.; Yamamoto, M.; Ishihara, T.A.; Ljiri, S.; Adachi, S. Identification of genes involved in gonadal sex differentiation and the dimorphic expression pattern in undifferentiated gonads of Russian sturgeon Acipenser gueldenstaedtii Brandt & Ratzeburg 1833. J. Appl. Ichthyol. 2014, 30, 1557–1564. [Google Scholar] [CrossRef]
  22. Okada, H.; Seishi, H.; Katsumasa, Y.; Shigeho, L.; Shinji, A. Expression pattern of foxl2 and dmrt1 in gonad of Amur sturgeon Acipenser schrenckii in relation to sex differentiation. Aquaculture 2017, 479, 712–720. [Google Scholar] [CrossRef]
  23. Kobayashi, T.; Kajiura-Kobayashi, H.; Guan, G.; Nagahama, Y. Sexual dimorphic expression of DMRT1 and Sox9a during gonadal differentiation and hormone-induced sex reversal in the teleost fish Nile tilapia (Oreochromis niloticus). Dev. Dyn. 2008, 237, 297–306. [Google Scholar] [CrossRef]
  24. Bertho, S.; Pasquier, J.; Pan, Q.; Le Trionnaire, G.; Bobe, J.; Postlethwait, J.H.; Pailhoux, E.; Schartl, M.; Herpin, A.; Guiguen, Y. Foxl2 and its relatives are evolutionary conserved players in gonadal sex differentiation. Sex. Dev. 2016, 10, 111–129. [Google Scholar] [CrossRef] [PubMed]
  25. Méndez-Marín, O.; Hernández-Franyuti, A.A.; Álvarez-González, C.A.; Contreras-Sánchez, W.M.; Uribe, M.C. Histología del ciclo reproductor de hembras del pejelagarto Atractosteus tropicus (Lepisosteiformes: Lepisosteidae) en Tabasco, México. Rev. Biol. Trop. 2012, 60, 1857–1871. [Google Scholar] [CrossRef] [PubMed][Green Version]
  26. NOM-062-ZOO-1999. Norma Oficial Mexicana: Especificaciones Técnicas Para la Producción, Cuidado y Uso de los Animales de Laboratorio 2001. Available online: https://www.gob.mx/senasica/documentos/nom-062-zoo-1999 (accessed on 21 July 2023).
  27. Martínez-Burguete, T.; Peña-Marin, E.S.; García-Gasca, A.; Alvarez-González, C.A.; Llera-Herrera, R. Nutrigenomic marker discovery by de novo transcriptomic sequencing during early development of the tropical gar (Atractosteus tropicus). Aquac. Res. 2021, 52, 3829–3842. [Google Scholar] [CrossRef]
  28. Jiménez-Martínez, L.D.; Morales, G.V.; Frias-Quintana, C.A.; Castillo-Collado, A.C.; Asencio-Alcudia, G.G.; Alvarez-Villagomez, C.S.; Peña-Marín, E.S.; Concha-Frías, B.; Alvarez-Gonzalez, C.A. Quality Evaluation of Reference Gene Expression on Different Tissues in Adults of Tropical Gar Atractosteus tropicus. Pakistan J. Zool. 2021, 1, 10. [Google Scholar] [CrossRef]
  29. Untergasser, A.; Ruijter, J.M.; Benes, V.; van den Hoff, M.J.B. Web-based LinRegPCR: Application for the visualization and analysis of (RT)-qPCR amplification and melting data. BMC Bioinform. 2021, 22, 398. [Google Scholar] [CrossRef]
  30. Livak, K.J.; Schmittgen, T.D. Analysis of relative gene expression data using real-time quantitative PCR and the 2 (-Delta Delta C(T)). Methods 2001, 25, 402–408. [Google Scholar] [CrossRef] [PubMed]
  31. Aguilar, M.M.E. Manual General de Técnicas Histológicas y Citoquímicas; Las prensas de ciencias, Facultad de Ciencias; The Universidad Nacional Autónoma de México, Ed.; CDMX: Mexico City, Mexico, 1996; p. 130. [Google Scholar]
  32. Estrada, E.; Peralta, L.; Rivas, P. Manual de Técnicas Histológicas; AGT Editor S.A. CDMX: Mexico City, Mexico, 1996. [Google Scholar]
  33. Humason, G.L. Animal Tissue Techniques, 3rd ed.; W. H. Freeman and Co.: New York, NY, USA, 1979. [Google Scholar]
  34. Selman, K.; Wallace, A.R. Cellular aspect of oocyte growth in teleosts. Zool. Sci. 1989, 6, 211–231. Available online: https://api.semanticscholar.org/CorpusID:73663381 (accessed on 9 January 2025).
  35. Wallace, R.A.; Selman, K. Cellular and dynamic aspects of oocyte growth in teleosts. Amer. Zool. 1981, 21, 325–343. [Google Scholar] [CrossRef]
  36. Yamaguchi, T.; Yamaguchi, S.; Hirai, T.; Kitano, T. Follicle-stimulating hormone signaling and Foxl2 are involved in transcriptional regulation of aromatase gene during gonadal sex differentiation in Japanese flounder, Paralichthys olivaceus. Biochem. Biophys. Res. Commun. 2007, 359, 935–940. [Google Scholar] [CrossRef] [PubMed]
  37. Zuber, M.X.; Simpson, E.R.; Waterman, M.R. Expression of bovine 17 alpha-hydroxylase cytochrome P-450 cDNA in nonsteroidogenic (COS 1) cells. Science 1986, 234, 1258–1261. [Google Scholar] [CrossRef]
  38. Braasch, I.; Gehrke, A.R.; Smith, J.J.; Kawasaki, K.; Manousaki, T.; Pasquier, J.; Amores, A.; Desvignes, T.; Batzel, P.; Catchen, J.; et al. The spotted gar genome illuminates vertebrate evolution and facilitates human-teleost comparisons. Nat. Genet. 2016, 48, 427–437. [Google Scholar] [CrossRef] [PubMed]
  39. Ríos-Flores, A.J.; López-Flores, S.; Martínez-Moreno, J.A.; Falcón-Romero, K.Y.; Asencio-Alcudia, G.G.; Sepúlveda-Quiroz, C.A.; Martínez-García, R.; Rodríguez-Salazar, E.; Alvarez-González, C.A.; Maldonado, E. Regeneration of the caudal fin of the evolutionary ancient tropical gar Atractosteus tropicus. BMC Zool. 2024, 9, 26. [Google Scholar] [CrossRef] [PubMed]
  40. Bocka, S.L.; Chowa, I.M.; Forsgrenb, L.K.; Lemaa, C.S. Widespread alterations to hypothalamic-pituitary-gonadal (HPG) axis signaling underlie high temperature reproductive inhibition in the eurythermal sheepshead minnow (Cyprinodon variegatus). Mol. Cell. Endocrinol. 2021, 537, 111447. [Google Scholar] [CrossRef] [PubMed]
  41. Rauschemberger, M.B.; Polini, N.N.; Sola, M.O.; Bonacorsi, S.M.; Massheimer, V.L. Receptor de estrógenos: Variantes genéticas del ESR1 y parámetros bioquímicos de riesgo cardiovascular. Rev. Argent. Endocrinol. Metab. 2012, 49, 2. [Google Scholar]
  42. Vissio, G.P.; Di Yorio, P.M.; Pérez-Sirkin, D.; Somoza, M.G.; Tsutsui, K.; Sallemi, E.J. Developmental aspects of the hypothalamic-pituitary network related to reproduction in teleost fish. Front. Neuroendocrinol. 2021, 63, 100948. [Google Scholar] [CrossRef] [PubMed]
  43. Karube, M.; Fernandino, J.I.; Strobl–Mazzulla, P.; Strüssmann, C.A.; Yoshizaki, G.; Somoza, G.M.; Patiño, R. Characterization and expression profile of the ovarian cytochrome P-450 aromatase (cyp19A1) gene during thermolabile sex determination in pejerrey, Odontesthes bonariensis. J. Exp. Zool. A Ecol. Genet. Physiol. 2007, 307A, 625–636. [Google Scholar] [CrossRef] [PubMed]
  44. Leet, K.J.; Gallb, E.H.; Sepúlveda, S.M. A review of studies on androgen and estrogen exposure in fish early life stages: Effects on gene and hormonal control of sexual differentiation. J. Appl. Toxicol. 2011, 31, 379–398. [Google Scholar] [CrossRef]
  45. Sawyer, S.J.; Gerstner, K.A.; Callard, G.V. Real-time PCR analysis of cytochrome P450 aromatase expression in zebrafish: Gene specific tissue distribution, sex differences, developmental programming, and estrogen regulation. Gen. Comp. Endocrinol. 2006, 147, 108–117. [Google Scholar] [CrossRef]
  46. Uno, T.; Ishizukab, M.; Itakurac, T. Cytochrome P450 (CYP) in fish. Environ. Toxicol. Pharmacol. 2012, 34, 11–13. [Google Scholar] [CrossRef]
  47. Chang, X.; Kobayashi, T.; Senthilkumaran, B.; Kobayashi-Kajura, H.; Sudhakumari, C.; Nagahama, Y. Two types of aromatase with different encoding genes, tissue distribution and developmental expression in Nile tilapia (Oreochromis niloticus). Gen. Comp. Endocrinol. 2005, 141, 101–115. [Google Scholar] [CrossRef] [PubMed]
  48. Guan, G.; Kobayashi, T.; Nagahama, Y. Sexually dimorphic expression of two types of DM (Doublesex/Mab-3)-domain genes in a teleost fish, the tilapia (Oreochromis niloticus). Biochem. Biophys. Res. Commun. 2000, 272, 662–666. [Google Scholar] [CrossRef]
  49. Guo, Y.; Cheng, H.; Huang, X.; Gao, S.; Yu, H.; Zhou, R. Gene structure, multiple alternative splicing, and expression in gonads of zebrafish Dmrt1. Biochem. Biophys. Res. Commun. 2005, 330, 950–957. [Google Scholar] [CrossRef] [PubMed]
  50. Lynn, S.G.; Birge, W.J.; Shepherd, B.S. Molecular characterization and sex-specific tissue expression of estrogen receptor alpha (esr1), estrogen receptor beta (esr2a) and ovarian aromatase (cyp19a1a) in yellow perch (Perca flavescens). Comp. Biochem. Physiol B Biochem. Mol. Biol. 2008, 149, 126–147. [Google Scholar] [CrossRef]
  51. Herpin, A.; Schartl, M. Plasticity of gene-regulatory networks controlling sex determination: Of masters, slaves, usual suspects, newcomers, and usurpators. EMBO Rep. 2015, 16, 10. [Google Scholar] [CrossRef] [PubMed]
  52. Hett, A.K.; Pitra, C.; Jenneckens, I.; Ludwig, A. Characterization of Sox9 in European Atlantic Sturgeon (Acipenser sturio). J. Hered. 2005, 96, 150–154. [Google Scholar] [CrossRef] [PubMed][Green Version]
  53. Symonová, R.; Majtánová, Z.; Arias-Rodriguez, L.; Morkovský, L.; Korínková, T.; Cavin, L.; Pokorná, M.J.; Doležálková, M.; Flajšhans, M.; Normandeau, E.; et al. Genome compositional organization in gars shows more similarities to mammals than to other ray-finned fish. J. Exp. Zool (Mol. Dev. Evol) 2017, 328, 607–619. [Google Scholar] [CrossRef]
  54. Blanco, A.M. Hypothalamic and pituitary derived growth and reproductive hormones T and the control of energy balance in fish. Gen. Comp. Endocrinol. 2020, 287, 113322. [Google Scholar] [CrossRef]
  55. Matson, C.K.; Zarkower, D. Sex and the singular DM domain: Insights into sexual regulation, evolution and plasticity. Nat. Rev. Genet. 2012, 13, 163–174. [Google Scholar] [CrossRef] [PubMed]
  56. Ijiri, S.; Kaneko, H.; Kobayashi, T.; Wang, D.-S.; Sakai, F.; Paul-Prasanth, B.; Nakamura, M.; Nagahama, Y. Sexual dimorphic expression of genes in gonads during early differentiation of a teleost fish, the Nile tilapia Oreochromis niloticus. Biol. Reprod. 2008, 78, 333–341. [Google Scholar] [CrossRef] [PubMed]
  57. Barsoum, I.B.; Yao, H.C. Fetal Leydig cells: Progenitor cell maintenance and differentiation. J. Androl. 2010, 31, 11–15. [Google Scholar] [CrossRef] [PubMed]
  58. Méndez-Marín, O.; Hernández-Franyuti, A.A.; Álvarez-González, C.A.; Uribe, M.C.; Contreras-Sánchez, W.M. Permanent germinal epithelium and reproductive cycle of Atractosteus tropicus (Lepisosteiformes: Lepisosteidae) males, Tabasco, México. Rev. Biol. Trop. 2016, 64, 1597–1609. [Google Scholar] [CrossRef] [PubMed]
  59. Amores, A.; Catchen, J.; Ferrara, A.; Fontenot, Q.; Postlethwait, J.H. Genome evolution and meiotic maps by massively parallel DNA sequencing: Spotted Gar, an outgroup for the teleost genome duplication. Genetics 2011, 188, 799–808. [Google Scholar] [CrossRef]
  60. Chena, G.; Zhoua, T.; Caoa, J.; Zoua, G.; Lianga, H. Comparative transcriptome sequencing and weighted coexpression network analysis reveal growth-related hub genes and key pathways in the Chinese soft-shelled turtle (Pelodiscus sinensis). Water Biol. Secur. 2024, 3, 100286. [Google Scholar] [CrossRef]
Disclaimer/Publisher’s Note: The statements, opinions and data contained in all publications are solely those of the individual author(s) and contributor(s) and not of MDPI and/or the editor(s). MDPI and/or the editor(s) disclaim responsibility for any injury to people or property resulting from any ideas, methods, instructions or products referred to in the content.

Article Metrics

Citations

Article Access Statistics

Multiple requests from the same IP address are counted as one view.