Next Article in Journal
Biofunctional Characterization of Collagen from Orange-Spotted Grouper, Epinephelus coioides: Maintenance of Cartilage in Aged Zebrafish
Previous Article in Journal
Effects of Artificial Compound Feed for Live Fish Feed on Growth Performance, Nutrient Composition, Digestive Performance, and Gut Microbiota of Giant Salamander (Andrias davidianus)
 
 
Font Type:
Arial Georgia Verdana
Font Size:
Aa Aa Aa
Line Spacing:
Column Width:
Background:
Article

Effects of Carbonate Alkalinity on Antioxidants, Immunity and Intestinal Flora of Penaeus vannamei

1
Yingkou Enhancement and Experiment Station, Chinese Academy of Fishery Sciences, Yingkou 115000, China
2
Key Laboratory of Cold Water Fish Germplasm Resources and Multiplication and Cultivation of Heilongjiang Province, Heilongjiang River Fishery Research Institute, Chinese Academy of Fishery Sciences, Harbin 150070, China
3
Key Laboratory of Mariculture & Stock Enhancement in North China’s Sea Ministry of Agriculture and Rural Affairs, Dalian Ocean University, Dalian 116023, China
*
Author to whom correspondence should be addressed.
These authors contributed equally to this work.
Fishes 2025, 10(1), 12; https://doi.org/10.3390/fishes10010012
Submission received: 13 November 2024 / Revised: 26 December 2024 / Accepted: 27 December 2024 / Published: 30 December 2024

Abstract

:
The purpose of this study was to investigate the physiological and biochemical changes of the hepatopancreas and intestinal microbial structure of Penaeus vannamei under various levels of carbonate alkalinity stress. After Penaeus vannamei (body length 14.24 ± 2.13 cm, body weight 26.31 ± 3.26 g) was subjected to 96 h carbonate alkalinity stress, the alkalinity stress levels were E8 (8 mmol/L), E18 (18 mmol/L) and E28 (28 mmol/L), respectively. The activity of antioxidant enzymes was determined by enzyme markers, and then the intestinal microorganisms of Penaeus vannamei were analyzed by high-throughput sequencing technology. The results showed that, under the stress of high carbonate alkalinity, the mortality rate of Penaeus vannamei was as high as 75%, and hepatopancreas cells showed obvious deformation, abnormal nuclear shapes, and serious cell vacuolation. Under high carbonate alkalinity stress, superoxide dismutase activity, catalase activity and glutathione peroxidase activity in the Penaeus vannamei hepatopancreas were significantly lower than those in control group (p < 0.05), and malondialdehyde content was significantly lower than that in the control group (p < 0.05). Alkaline phosphatase activity in the experimental group was significantly different from that in the control group (p < 0.05). Moreover, the 16SrDNA high-throughput sequencing results showed that the intestinal abundance of Proteobacteria in Penaeus vannamei was significantly decreased (p < 0.05) under high carbonate alkalinity stress, and the abundance of Bacteroides was significantly increased (p < 0.05). At the genus level, the abundance of Chrysobacteria was significantly increased (p < 0.05). The functional prediction results of COG and KEGG showed that the functional abundance of RNA polymerase sigma-70 factor is direct bacterial or plastid core RNA polymerase and is specific to promoter elements that are situated 10 and 35 base-pairs upstream of transcription-initiation points—in the high carbonate alkalinity treatment group, this was higher than that in the control group. The functional abundance of signal transduction histidine kinase was lower than that of the control group. The results of this study not only indicated that Penaeus vannamei cell structure would change and mortality would increase under high carbonate alkalinity culture environment, but they also analyzed the changes of the intestinal microbial structure under carbonate alkalinity stress. This study could provide theoretical reference for Penaeus vannamei saline–alkali land culture.
Key Contribution: We analyzed the intestinal microbial structure of Penaeus vannamei under different levels of carbonate alkalinity stress, and the research results are helpful for screening the saline–alkali resistant strain Penaeus vannamei and preparing for the selection of saline–alkali acclimation, providing theoretical reference for the development of saline–alkali water culture.

1. Introduction

As a large country of saline–alkali land, China is one of the countries with the most severe soil salinization in the world, covering an area of 99.13 million hectares of alkaline land and 46 million hectares of saline–alkali water, which are distributed in Northeast China, North China, northwest inland areas and eastern coastal areas [1]. Because saline–alkali land and saline–alkali water cannot be directly used for agriculture, most of them are in a barren and idle state, which greatly restricts the development of the aquaculture industry. The development of saline–alkali land aquaculture is not only conducive to expanding the development space of fisheries—improving the development and utilization rate of land resources in saline–alkali areas can also restore saline–alkali soil and increase certain economic benefits [2]. Therefore, how to efficiently develop and utilize saline–alkali waters has become an important issue concerning people’s livelihood at present, as the regions with high soil salinization often have poor ecological environment and production conditions, weak economic foundations, and increasing secondary salinized soil [3,4,5], and it is also a huge challenge we are currently facing. Previously, a number of scholars have carried out relevant experiments on shrimp culture in saline–alkali waters along the coast, among which the research on saline–alkali waters culture of Penaeus vannamei is relatively complete. Penaeus vannamei is native to the coastal waters of the west Pacific Ocean. Since it was introduced to China in 1988, because of its fast growth rate, strong adaptability to the water environment, rich nutrition and delicious taste, Penaeus vannamei, as one of the three kinds of fine shrimp species with the highest production in the world, has become one of the most important coastal aquaculture shrimp species in China. According to the China Fishery Statistical Yearbook, China’s Penaeus vannamei mariculture area increased from 89,000 hectares in 2003 to 178,000 hectares in 2020. Aquaculture output increased from 605,000 tons in 2003 to 1.863 million tons in 2020, which greatly promoted the development of China’s aquaculture industry. This makes Penaeus vannamei an important economic species, and it has now become the pillar industry of prawn breeding in China [6,7,8].
Studies have shown that Penaeus vannamei has a certain tolerance to saline–alkali water environments and is one of the main aquatic animals that can be cultured in saline–alkali water bodies. In recent years, breeding in saline–alkali water bodies has developed rapidly [8]. Yang et al. [6] showed that by adding natural saline–alkali water to desalinated shrimp pond water to improve the level of domestication, the comprehensive adaptability of young shrimp to a saline–alkali water environment could be enhanced. However, the long-term exposure of Penaeus vannamei to an environment with high carbonate alkalinity will change its metabolic pattern, especially the functions of ABC transporters, protein digestion and absorption, amino acid biosynthesis and metabolism, resulting in damage to the body’s immune system and a series of adverse reactions [9]. Liu et al. [8] showed that the survival, growth, metabolism and enzyme activity of Penaeus vannamei were the best when the salinity of aquaculture water was 15 mmol/L. Under this salinity condition, Na/K remained at 40 and 50 (natural seawater Na+/K+ is 26.15). The survival, growth, metabolism and enzyme activities of Penaeus vannamei are high, which indicates that water seepage from saline–alkali soil can be used for Penaeus vannamei culture after proper allocation. Liu et al. found that the content of unsaturated fatty acids in the muscles of Penaeus vannamei cultured in salt–alkali water was higher than that in fresh water. Meanwhile, the nutritional quality grade evaluation of freshwater-, salt–alkali water- and marine-raised prawns showed that salt–alkali water was higher than seawater [10], but in water bodies with an alkalinity of 3 mmol/L and 10 mmol/L, the basic nutrients (moisture, ash, crude protein and crude fat) in Penaeus vannamei muscle had no significant differences, but there was a greater impact on the content and composition of free amino acids in the muscle. This indicates that Penaeus vannamei can cope with the osmotic pressure of high alkalinity in the environment by regulating the content and composition of free amino acids in muscle [2]. When the alkalinity is too high, the immune function of Penaeus vannamei will also be inhibited, including increased oxygen consumption, DNA damage, decreased SOD and other immunoenzyme-related activities, and decreased disease resistance [11,12]. At the same time, the acid–base balance was regulated by increasing ion regulation, so as to cope with the stress of high carbonate alkalinity. Through the transcriptomic analysis of Penaeus vannamei under carbonate alkalinity stress, Mo et al. [13] showed that CA and NKA-α genes played key roles in the regulation of adaptive ions with high carbonate alkalinity. Moreover, studies have found that Penaeus vannamei can transform sugars in the body into lipids and other substances for use as energy sources through the process of glycolysis, thus participating in acid–base regulation in the body [14]. Huang et al. applied double-enzyme cut site-related DNA sequencing technology to genotype the parents and progeny of white Penaeus vannamei cultured with high carbonate alkalinity. By constructing gene maps and accurately locating the high-alkaline discomfort and growth quantitative trait locus, this was conducive to the smooth development of molecular marker breeding [15].
To sum up, Penaeus vannamei has basically been cultured in saline–alkali waters, and there are abundant studies on its nutritional composition and gene expression at the molecular level [16]. However, few reports have been produced on its intestinal microecology under high alkalinity stress. Based on this, 16S rDNA high-throughput sequencing technology was used in this study to analyze the intestinal flora structure of Penaeus vannamei under high, medium and low carbonate alkalinity stress, aiming to reveal the salt–alkali tolerance mechanism of Penaeus vannamei. This provides reference data for breeding Penaeus vannamei in saline–alkali land and a theoretical basis for breeding saline–alkali-tolerant strains.

2. Materials and Methods

2.1. Sample Collection

Penaeus vannamei was taken from Yingkou Breeding Station, Chinese Academy of Fishery Sciences. Shrimp with good vitality and relatively consistent specifications were selected for the experiment, with a body length of 14.24 ± 2.13 cm and a body weight of 26.31 ± 3.26 g. A control group (C) was subjected to normal aquaculture water with an alkalinity of 4 mmol/L, and there were three alkalinity treatment groups (8 mmol/L, 18 mmol/L, 28 mmol/L. The treatment groups set up in the experiment, referred to as E8, E18, and E28, each included three replicates (sixteen Penaeus vannamei were placed in each repeated treatment group). The water in the experimental group was configured by adding an appropriate amount of sodium bicarbonate (for group E8, we added about 100.8 g sodium bicarbonate; for group E18, we added about 226.8 g sodium bicarbonate; and for group E28, we added about 352.8 g sodium bicarbonate). The alkaline titration method was used to determine the alkalinity [17]. Shrimp in each group were cultured in a 300 L square tank. During the experiment, the light was 12 h, the darkness was 12 h, one-third of the water was changed every day, the average water temperature was 26 °C, the dissolved oxygen content in the water was 6.8 mg/L, the ammonia content in the water was 0.7 mg/L, the PH of the control group was 7.7, the PH of the E8 group was 8.2, the PH of the E18 group was 8.5, and the PH of the E28 group was 8.9. The alkalinity was measured by acid–base neutralization titration every 6 h, and the fixed concentration of the stock solution was adjusted to the target—this ensured stable alkalinity. The experiment lasted for 96 h. After the end of the culture, six tail shrimp from each group were dissected, part of the hepatopancreas tissues were taken out and soaked in paraformaldehyde solution for fixation, and the remaining intestines and hepatopancreas tissues were frozen at −80 °C.

2.2. Observation of Hepatopancreas Tissue Section

The Penaeus vannamei hepatopancreas tissue was removed from the fixed solution (4% polyformaldehyde), repaired and smoothed with a scalpel in the ventilator and placed in the embedding frame. Dehydration was carried out with different concentrations of alcohol (75% alcohol 4 h, 85% alcohol 2 h, 90% alcohol 2 h, 95% alcohol 1 h). The wax-soaked tissue was embedded in the embedding machine and cooled at −20° after the wax block solidified. After the wax solidified, the wax block was removed from the embedding frame and trimmed, and the trimmed wax block was placed in the paraffin microtome for slicing, then sectioned (5–6 μm thickness) using an HM 325 microtome (MICROM, Munich, Germany) and dyed with hematoxylin/eosindyes. The tissue structure was observed under a microscope.

2.3. Enzyme Activity Determination

SOD (A001-2-2), CAT (A007-2-1), GSH-Px (H545-1-2), AKP (A059-2-2) and MDA (A003-1-1) were detected using kits purchased from Nanjing Jiancheng Bioengineering Institute (Nanjing, China). Liver samples were homogenized and diluted with cold physiological saline at a ratio of 1:9 (w:v). After centrifugation at 3000 rpm/s for 10 min at 4 °C, the supernatant was collected. Enzyme activities were measured following the kit manufacturer’s instructions. Optical density (OD) values were determined using an absorbance microplate reader (SpectraMax Plus 384, Molecular Devices, San Jose, CA, USA) at 550 nm (SOD), 405 nm (CAT), 412 nm (GSH-Px), 520 nm (AKP), and 532 nm (MDA), respectively. Based on the TP concentrations in each sample, the contents for each physiological indicator were calculated according to the corresponding formulas. TP concentrations were measured using the Coomassie brilliant blue G-250 method.

2.4. DNA Extraction

The total intestinal DNA of Penaeus vannamei was extracted by an OMEGA Soil DNA kit (Omega Bio-Tek Inc., Norcross, GA, USA), and the concentration, purity and integrity of the extracted DNA were detected by a NanoDrop 2000 ultramicro spectrophotometer (Thermo Corporation, Waltham, MA, USA) and 1% agarose gel electrophoresis.

2.5. PCR Amplification and High-Throughput Sequencing

The total DNA extracted from the above samples was amplified by PCR using priors 341F (5′-CCTAYGGGRBGCASCAG-3′) and 805R (5′-CGACTACNNGGGTATCTAAT-3′) [18] of the V3-V4 fragment of the bacterial 16Sr RNA gene. Amplification products were sent to the illumina NovaSeq sequencing platform for high-throughput sequencing.

2.6. Data Analysis

We classified the sequence data using Flash (Version 1.2.11) software; classified and filtered the original sequence data to obtain the complete sequence; classified the sequence by species annotation using the QIIME2 classify-sklearn algorithm; and used PICRUST2 software to predict the microbial gene function. The T-test statistical method was used to test the difference between the samples (p < 0.05).

3. Results

3.1. Effects of Alkalinity Stress on Mortality of Penaeus vannamei

The cumulative mortality trend of Penaeus vannamei under alkalinity stress is shown in Figure 1. With the increase in carbonate alkalinity stress time, the mortality rate of the experimental group gradually increased, while the cumulative mortality rate of Penaeus vannamei in the control group was 6.25%, and the highest cumulative mortality rate of group E28 was 75%. The cumulative mortality was 43.75% in group E18 and 31.25% in group E8.

3.2. Tissue Section Observation

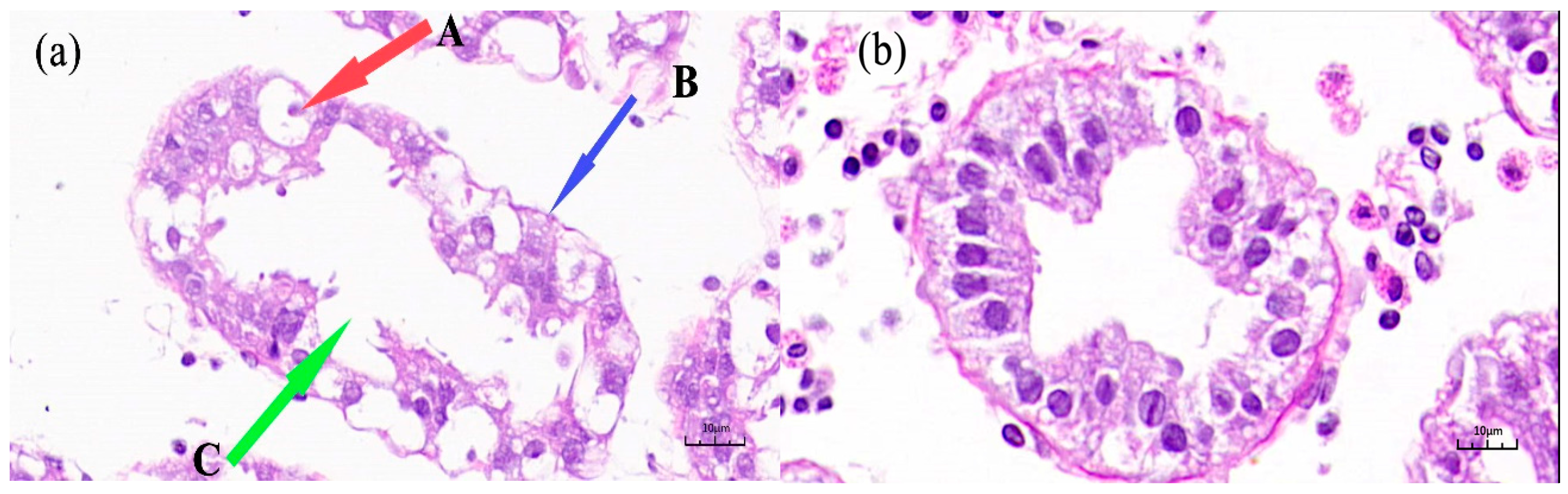
The results of the Penaeus vannamei hepatopancreas tissue section showed that the nucleus shape was abnormal and cell vacuolation was serious in the E28 group (Figure 2a), while the nucleus shape was intact and the cell tissue was normal and invisible (Figure 2b).

3.3. Changes of Enzyme Activity Indexes of Penaeus vannamei Under Different Alkalinity Stress

In the three alkalinity stress groups, with the increase in carbonate basicity, the activities of Penaeus vannamei superoxide dismutase SOD, catalase CAT and alkaline phosphatase AKP first increased and then decreased, while the activities of glutathione peroxidase GSH-PX gradually decreased. The SOD activity, GSH-PX activity and CAT activity of the experimental group were significantly lower than those of the control group (p < 0.05). In the experimental groups, the MDA content in the other two groups was significantly decreased compared with the control group, except the E18 group (p < 0.05), and AKP activity of the experimental groups was significantly different from that of the control group (p < 0.05) (Figure 3).

3.4. High-Throughput Sequencing Results

We carried out the quality control and reading splicing of the original data, as well as the chimeric filtering of the splicing data, to obtain valid data for subsequent analysis. According to the Wynn diagram (Figure 4), 78 identical OTUs were found in different alkalinity treatment groups, among which 119, 407, 501 and 280 unique OTUs were found in the high-, medium-, and low-alkalinity and control groups, respectively.

3.5. Alpha and Beta Diversity Index Analysis

With the increase in carbonate alkalinity, the Shannon index and Simpson index in the experimental group showed a trend of first increasing and then decreasing, but the difference among all groups was not significant (p > 0.05). However, the Chao1 index in the experimental group showed a trend of declining, with no significant difference among all groups (p > 0.05). The proportion of indexes in each group is shown in Table 1 below. The results showed that the intestinal wall cells of Penaeus vannamei in group E18 were destroyed, a large number of microorganisms in the intestine were released, and the diversity index increased. In group E28, due to the high carbonate alkalinity, a large number of microorganisms died, and the diversity index decreased.
Principal coordinates analysis (PCoA) was used to evaluate the differences in intestinal flora diversity of Penaeus vannamei. As shown in Figure 5, the control group and the E8 group are mainly distributed in the fourth quadrant, while groups E18 and E28 are mainly distributed in the second quadrant. These results indicated that there were certain differences in the intestinal flora of Penaeus vannamei treated with different levels of alkalinity.

3.6. Microflora Structure and Cluster Analysis at Gate Level

Bacteroidota (59.42%) and Proteobacteria were the main groups in the intestinal flora of group E28 (Figure 6a,b). Based on the analysis of the flora structure at the phylum level, Bacteroidota (59.42%) and Proteobacteria (38.72%) were the main groups, while Firmicutes was less present (1.24%). In the intestinal flora of the E18 group, the main categories are Bacteroidota (46.01%), Proteobacteria (43.28%), Firmicutes (8.11%) and Actinobacteriota. However, there were two less-significant categories: Desulfobacterota (0.59%) and Patescibacteria (0.48%). Among the intestinal bacteria in group E8, the main categories were Bacteroidota (49.48%), Proteobacteria (36.74%), Thermotogota (5.25%) and Actinobacteriota (3.94%). In the control group, the main intestinal flora were Proteobacteria (47.81%), Bacteroidota (47.72%) and Firmicutes (2.18%).

3.7. Microflora Structure and Cluster Analysis Based on Genus Level

Based on the analysis of the bacterial community structure at the genus level, the column chart of bacterial abundance of samples in each group was obtained (Figure 7a,b). Chryseobacterium was the main bacteria in the intestinal tract of Penaeus vannamei of group E28 (59.20%), while Stenotrophomonas (29.80%) and Photobacterium (2.41%) were also present. The main bacteria genera in the gut of Penaeus vannamei in the E18 group were Chryseobacterium (40.93%), Vibrio (17.96%) and Stenotrophomonas (15.92%). The main bacteria in the intestinal tract of Penaeus vannamei in group E8 were Chryseobacterium (42.90%) and Stenotrophomonas (20.65%). The main bacteria in the intestinal tract of Penaeus vannamei in the control group were Chryseobacterium (45.91%) and Stenotrophomonas (24.80%).

3.8. COG Functional Annotation Analysis

As can be seen from Figure 8a,b (a functional abundance heat map based on COG), Penaeus vannamei in the control group and the treatment groups with different levels of alkalinity was mainly enriched by NAD(P)-dependent dehydrogenase; the short-chain alcohol dehydrogenase family; signal transduction histidine kinase; DNA-binding response regulator; the OmpR family, which contains REC and a winged-helix (wHTH) domain; predicted arabinose efflux permease; and the MFS family. Due to the high proportion of other metabolites (more than 90% in both the experimental group and the control group) affecting the data analysis, the top 10 metabolites were selected for mapping after the removal of the others.

3.9. KEGG Function Annotation Analysis

Based on the KEGG database (Figure 9a,b), the top 10 metabolites enriched in Penaeus vannamei (in addition to others) in the control group and the treatment groups with different levels of alkalinity mainly annotated the RNA polymerase sigma-70 factor pathway, a complex outer-membrane receptor protein, an ABC-2 type transport system ATP-binding protein, and an ABC-2 type transport system permease protein.

4. Discussion

Under normal environmental conditions, aquatic animals will produce free radicals during life activities such as life metabolism, but the production of free radicals is in a dynamic balance with the body’s antioxidants [19]. However, when stimulated by the external environment (a sudden rise in alkalinity), this balance will be disrupted, resulting in an increase in the content of free radicals in animals. Peroxide substances and reactive oxygen metabolites (ROS) are produced [20], while antioxidant enzymes such as SOD, CAT and GSH-PX play a role in the antioxidant defense mechanism of organisms, clearing reactive oxygen molecules and enhancing the defense ability of phagocytes and the immune capacity of the body [21]. Therefore, after Penaeus vannamei was subjected to alkalinity stress, resulting in a stress reaction, the section results showed that the nucleus shape was abnormal and the cell vacuolation was serious, The reason for this phenomenon may be that high carbonate alkalinity stress will cause damage to the tissue structure of the gill and intestine, affect the respiratory metabolism, digestion and absorption capacity of the body, and lead to a slower growth rate [22]. Salt and alkali stress would break the hepatopancreas structure of Penaeus vannamei, swelling its internal structure and leading to the deformation of the hepatopancreas nucleus. At the same time, the activity of antioxidant enzymes increased within a certain range but tended to decrease after reaching a certain intensity [23]. In this study, with the increase in alkalinity concentration, the SOD, CAT, and GSH-PX activities and MDA contents in group E8 were significantly lower than those in the control group, suggesting that Penaeus vannamei may have an appropriate alkalinity survival range that is higher than that of the control group (3 mmol/L) [24]. MDA has the same variation rule, which further validates our speculation that the breeding-water alkalinity of Penaeus vannamei should be appropriately increased during breeding. Moreover, our results show that an alkalinity of 8 mmol/L is the most suitable for the survival of shrimp, which is also consistent with the alkalinity range recommended by China for the breeding of euryhaline shrimp [25]. Compared with the E8 group, the MDA content in the Penaeus vannamei hepatopancreas was significantly increased due to the high alkalinity stress in E28 [26,27].
According to the clustering analysis, at the phylum level, the main categories in the intestinal tract of Penaeus vannamei in different treatment groups were Proteobacteria, Bacteroides and Firmicutes. Proteobacteria is a common group in the intestinal tract of aquatic animals. It is also an important component of Penaeus vannamei intestinal microorganisms [28]. For example, Sun et al. [29] found that Proteobacteria and Firmicutes were the dominant phyla in the lower intestinal microorganisms of the South American white couple based on sequencing results of the 16SrRNA gene. Yu et al. [30] sequenced the intestinal microorganisms of healthy and diseased Penaeus vannamei, and the results showed that Proteobacteria and Firmicutes were the dominant bacteria in Penaeus vannamei. Mente et al. [31] studied the gut microbes of Macrobrachium rosenbergii at different stages of molting and found that the main microbial categories in the gut were gamma-Proteobacteria, followed by Firmicutes. Tzeng et al. [32] studied the intestinal microorganisms of Macrobrachium nipponense growing in different environments and found that the main flora were Proteobacteria and Firmicutes, respectively. Chen, using macro-genome sequencing technology on Eriocheir sinensis gut microbes, found an advantage of intestinal bacteria for Tenericutes, Bacteroidetes, Proteobacteria and Firmicutes [33]. Proteobacteria, as the dominant microphyla in the gut of many aquatic animals, plays an important role in stabilizing carbon and nitrogen cycling, energy conversion and ammonia nitrogen degradation in organisms [34,35]. In this study, Proteobacteria abundance in the gut of Penaeus vannamei in different alkalinity treatment groups was significantly lower than that in the control group. Under external environmental stress, the content of Proteobacteria will decrease, thus affecting both the metabolic and digestive functions of animals [36], even inducing changes in the functions of Proteobacteria under multiple stresses [37]. Bacteroidetes, as one of the dominant phyla in this study, are an important part of marine plankton bacteria, which can live in seawater and have rich genetic and metabolic diversity. They can decompose polysaccharides through fermentation and produce extracellular hydrolase to degrade biological macromolecules, such as chitin, AGAR, DNA, etc. They constitute an important functional group in the carbon cycle [38,39,40]. Bacteroides are often found in the gut of humans, fish, shrimp and other animals, and these bacteria are considered to be inherent indigenous bacteria in the gut and have a complex relationship to the host, but they usually have a probiotic effect [37]. At the same time, studies have found that Bacteroidetes have antibacterial diversity, and when external pathogens invade, Bacteroidetes can provide a certain degree of protection against pathogen invasion [41]. The results of this study showed that the abundance of Bacteroides in the gut of Penaeus vannamei in group E28 was significantly higher than that in the control group, indicating that when Penaeus vannamei was subjected to high carbonate alkalinity stress, the types of intestinal microbiota changed in response to changes in the external environment. Firmicutes, as one of the most indispensable and important categories during the development of Penaeus vannamei, are candidate probiotics in the gut, which can maintain the body’s energy metabolism and help degrade nitrogen-containing organic matter [42,43]. In this experiment, the proportion of Firmicutes is lower than that of Proteobacteria and Bacteroidetes. The presence of Penaeus vannamei suggests that it may have some influence on the metabolic activity of Penaeus vannamei.
At the genus level, the main bacteria genera in Penaeus vannamei’s gut were Chrysobacillus, Stenotrophomonas and Vibrio. Chrysobacterium is an aerobic Gram-negative bacterium with a rod-shaped, golden-yellow colony. It is found everywhere in nature, mostly in soil and water, and most settles on taps or water pipes [44]. Studies have shown that Chrysobacterium has a certain pathogenicity, but the probability is low, and some strains of this bacterium encode proteins related to transcription and translation, which are essential for the transfer of DNA bound to bacteria [45]. Prakash Victor et al. [46] isolated this bacterium from Tetraodon cutcutia, and based on the phylogenetic tree, it has been shown that C. Chrysobacillus may have virulence factors affecting somatic cell reproduction, immune response and cell membrane stability. The results of this study showed that the abundance of Chrysobacterium in the intestines of Penaeus vannamei under high alkalinity stress was significantly higher than that of the control group, indicating that when exposed to external environmental stress, the abundance of Chrysobacterium in organisms increased and the risk of disease increased. This also verified that Penaeus vannamei in the high-concentration treatment group had the highest death rate after the end of the experiment, but the Chrysobacillus in the intestine of the other two treatment groups was also of a dominant genera, indicating that both genera had the versatility to adapt to different environments. Moreover, both genera are currently confirmed to have drug resistance [45,47]. In addition to Chrysobacterium, as one of the dominant bacteria in the intestinal tract of Penaeus vannamei in this study, Stenotrophomonas has important functions, such as the activity of hydrolyzed proteins, lipids and chitinase in organisms, among which chitinase may be involved in the regulation of the immune system [48]. At present, Stenotrophomonas has been confirmed to participate in the biological control mechanism, mainly including the production of antibiotics and the activity of extracellular enzymes [49]. However, at the same time, it has been found that Stenotrophomonas is also a kind of pathogenic bacteria originating from the natural environment with a certain probability of causing disease to organisms [50], but it often occurs in hosts in poor states or with low immunity. This was rarely found in healthy individuals [51]. Maqbool et al. [52] sampled and analyzed the kidneys of the cultured rainbow trout Oncorhynchus mykiss from India, where infectious diseases were prevalent, and isolated Stenotrophomonas, a mobile aerobic non-fermentive bacterium with multi-drug resistance [53]. At present, there exist a variety of research experiments on the death of Stenotrophomonas on fish. When the abundance of Stenotrophomonas flora in fish increases to a certain level, the fish will not eat or even die [54,55]. Moreover, some studies have shown that when external environmental conditions, such as food, change, and when culture density increases and temperature changes, the fish will not eat. This will greatly increase the abundance of Stenotrophomonas in fish and lead to a significant increase in mortality [56]. The results of this study showed that the abundance of Stenotrophomonas in the intestinal tract of Penaeus vannamei in the group with the highest carbonate alkalinity was significantly higher than that in the control group, indicating that when the alkalinity of aquaculture water changes, Penaeus vannamei has a risk of disease. This directly led to the highest mortality in group E28, which is consistent with the results of this study.
The microbial function prediction results showed that the functional abundance of the RNA polymerase sigma-70 factor and the ECF subfamily in the high carbonate alkalinity treatment group was higher than that in the control group. Bacterial sigma is an important component of RNA polymerase. Substituting one sigma factor for another sigma factor can redirect part or all of the RNA polymerase in the cell. Studies have shown that sigma is released when stimulated by the external environment and combines with RNA polymerase for transcription process [57]. In this study, under the stress of high carbonate alkalinity, it was speculated that the intestinal structure of Penaeus vannamei was changed and the probability of bacterial invasion was increased, which led to the increase in the RNA polymerase sigma-70 factor and the functional abundance of the ECF subfamily. In most cases, when an animal senses changes in the external environment, the stimulus is sensed by the histidine kinase and transmitted to the response regulator, which binds to DNA and mediates the cellular response, thus enabling the body to respond to, sense and adapt to environmental changes [58]. In this study, the variation of the functional abundance of the signal transduction of histidine kinase also confirms this view.

5. Conclusions

Under the environmental stress of high carbonate alkalinity, Penaeus vannamei displayed increased mortality, an abnormal nucleus shape, and serious cell vacuolation, which affected the normal metabolic activities of the body. Meanwhile, the 16S rDNA high-throughput sequencing results showed that the abundance of pathogenic bacteria in the gut of Penaeus vannamei under the stress of high carbonate alkalinity increased; the perception rate of histidine kinase decreased; and the body could not make timely adjustments to adapt to changes in the external environment, resulting in increased mortality. Therefore, this study suggests that a levels of carbonate alkalinity above 18 mmol/L is unfavorable to Penaeus vannamei culturing. In the future, our next research direction will be to explore the alkalinity range to which Penaeus vannamei is best adapted and the mechanism under alkalinity stress, and we intend to carry out the breeding of saline–alkali-tolerant strains of Penaeus vannamei and investigate breeding in saline–alkali waters. This study aims to analyze the saline–alkali tolerance mechanism of Penaeus vannamei and provide reference materials for saline–alkali soil culture.

Author Contributions

Conceptualization, C.G.; Methodology, W.Z. and R.Z.; Software, C.G. and C.R.; Validation, C.G., J.L., M.C. and C.R.; Resources, Z.L.; Data curation, C.G. and Z.C.; Original draft preparation, C.G.; Review and editing, B.M. and Z.L.; Visualization, X.S., B.M. and W.Z.; Supervision, S.L. and Z.L.; Project administration, S.L.; Funding acquisition, S.L. All authors have read and agreed to the published version of the manuscript.

Funding

This work was supported by the Central Public-interest Scientific Institution Basal Research Fund CAFS (Project No. 2023TD68).

Institutional Review Board Statement

This study was conducted in accordance with animal care laws and guidelines (Directive 2010(63)EU); all procedures were approved by the Laboratory Animal Ethics Committee of Yingkou Enhancement and Experiment Station Institute. (Protocol number: 20240308-001, Approval date: 8 March 2024).

Data Availability Statement

Data are contained within the article.

Conflicts of Interest

The authors declare no conflicts of interest.

References

  1. Green Development of Saline-Alkali Land Aquaculture, Shanghai, China, 27 September 2021; pp. 46–47.
  2. Huang, Y.Q.; Yang, X.; Zhou, K.; Lu, J.X.; Sun, Z.; Mo, Z.L.; Gao, P.C.; Lai, Q.F. Analysis of muscle nutrient composition and free amino acid composition of Litopenaeus vannamei cultured with two different carbonate alkalinity. Fish. Inf. Strategy 2019, 38, 213–221. [Google Scholar]
  3. Fang, W.H.; Wang, H.; Lai, Q. Toxicity effects of carbonate alkalinity and pH on juvenile Penaeus chinensis. Chin. J. Aquat. Sci. 2000, 7, 78–81. [Google Scholar]
  4. Gu, C.; Shi, W.J.; Zhu, J.Q.; Zhu, Y.J.; Li, H.; Wang, L.B.; Wan, X.H. Effects of sulfate stress on tissue damage and physiological function of Litopenaeus vannamei. Chin. J. Aquat. Sci. 2019, 31, 910–925. [Google Scholar]
  5. Yang, F.Y.; Sun, L.M.; Yang, X.Q. Toxic effects of carbonate alkalinity on juvenile Litopenaeus vannamei. Fish. Sci. 2004, 23, 3–6. [Google Scholar]
  6. Yang, F.Y.; Li, X.J.; Sun, L.M.; Yang, X.Q. Adaptation of Litopenaeus vannamei to saline water in western Jilin. Chin. J. Appl. Ecol. 2006, 17, 315–319. [Google Scholar]
  7. Teng, D.; Gao, W.X.; Li, X. Development status of global shrimp industry and countermeasures to improve export competitiveness. In Proceedings of the 2014 International Conference of the Forum on Cooperation and Development of Emerging Economies, Guangzhou, China, 28 December 2014. (In Chinese). [Google Scholar]
  8. Liu, C.Q.; Wang, J.X.; Zhang, Y.J.; Liu, L.J. Effects of osmotic salinity and ratio of sodium to potassium on growth of Litopenaeus vannamei in saline-alkali soil. Chin. J. Appl. Ecol. 2008, 19, 1337–1342. [Google Scholar]
  9. Duan, Y.F.; Xing, Y.F.; Zhu, X.Y.; Li, H.; Wang, Y.; Nan, Y.X. Integration of transcriptomic and metabolomic reveals carbonate alkalinity stress responses in the hepatopancreas of Litopenaeus vannamei. Aquat. Toxicol. 2023, 260, 106569. [Google Scholar] [CrossRef]
  10. Li, L.; Yu, Y.L.; Mu, Y.C.; Xu, J.H.; Yang, Z.; Lu, X.R.; Zhang, X.F.; Sun, H.W.; Qiao, W. Nutrient composition analysis and quality evaluation system construction of Litopenaeus vannamei from different aquaculture water environments. Food Res. 2024, 5, 100661. [Google Scholar] [CrossRef]
  11. Wang, W.N.; Zhou, J.; Wang, P.; Tian, T.T.; Zheng, Y.; Liu, Y.; Mai, W.J.; Wang, A.L. Oxidative stress, DNA damage and antioxidant enzyme gene expression in the Pacific white shrimp, Litopenaeus vannamei when exposed to acute pH stress. Comp. Biochem. Physiol. Part C Toxicol. Pharmacol. 2009, 150, 428–435. [Google Scholar] [CrossRef] [PubMed]
  12. Li, C.C.; Chen, J.C. The immune response of white shrimp Litopenaeus vannamei and its susceptibility to Vibrio alginolyticus under low and high pH stress. Fish Shellfish Immunol. 2008, 25, 701–709. [Google Scholar] [CrossRef] [PubMed]
  13. Me, Z.L.; Ying, C.Q.; Zhou, K.; Wang, H.; Lai, Q.F. Differential gene expression of Litopenaeus vannamei under carbonate alkalinity stress. Chin. J. Fish. Sci. 2012, 19, 1–12. [Google Scholar]
  14. Racotta, I.S.; Hernandez-Herrera, R. Metabolic responses of the white shrimp, Penaeus vannamei, to ambient ammonia. Comp. Biochem. Phys. A 2000, 125, 437–443. [Google Scholar] [CrossRef] [PubMed]
  15. Huang, W.; Cheng, C.; Liu, L.; Zhang, X.; Ren, C.; Jiang, X.; Chen, T.; Cheng, K.; Li, H.; Hu, C. Fine mapping of the high-pH tolerance and growth trait-related quantitative trait loci (QTLs) and identification of the candidate genes in Pacific white shrimp (Litopenaeus vannamei). Mar. Biotechnol. 2020, 22, 1–18. [Google Scholar] [CrossRef] [PubMed]
  16. Wang, X.J.; Me, Z.L.; Lai, Q.F.; Yu, M.C.; Li, X.C.; Gao, P.C.; Zhou, K.; Cui, Q.M.; Liu, Y.M.; Sun, Z.; et al. Study on gene expression difference of Litopenaeus vannamei under long-term high alkaline stress. Adv. Fish. Sci. 2022, 43, 22–32. [Google Scholar]
  17. Ru, J. Application of automatic potentiometric titration in the determination of total alkalinity of water. Shanxi Water Resources 2023, 05, 48–50. [Google Scholar]
  18. Xia, X.L.; Wang, L.; Zhou, Y.Q.; Tan, B.M.; Dong, C.K.; Zhang, Y.M.; Pei, H.L.; Ding, J. Effects of norfloxacin on structure and function of intestinal flora of Stistius japonicus. Chin. J. EcoToxicol. 2019, 19, 12–26. [Google Scholar]
  19. Sun, P.; Yin, F.; Peng, S.M.; Shi, Z.H. Effects of salinity on the activity of antioxidant enzymes in liver of Juvenile rock fish. Mar. Fish. 2010, 32, 154–159. [Google Scholar]
  20. Charmantier, G.U.Y. Ontogeny of osmoregulation in crustaceans: A review. Invertebr. Reprod. Dev. 1998, 33, 177–190. [Google Scholar] [CrossRef]
  21. Jiang, X.; Li, T.; Jiang, Y.L.; Peng, W.Z.; Yao, Z.L.; Chen, B.H.; Jiang, L.K.; Feng, J.Y.; Ji, P.F.; Liu, G.M.; et al. Genomic Basis of Adaptive Evolution: The Survival of Amur Ide (Leuciscu s waleckii) in an Extremely Alkaline Environment. Mol. Biol. Evol. 2017, 34, 145–159. [Google Scholar]
  22. Ge, Q.Q.; Wang, J.J.; Li, J.T.; Li, J. Effect of high alkalinity on shrimp gills: Histopathological alternations and cell specific responses. Ecotoxicol. Environ. Saf. 2023, 256, 114902. [Google Scholar] [CrossRef]
  23. Hu, G.F.; Li, Z.; Liang, H.W.; Wang, C.Z.; Wu, Q.Z.; Luo, X.Z.; Zou, G.W. Effect of cadmium on SOD and CAT in hepatopancreas, antennarygland and gill of Procambarus clarkia. Agro-Env. Sci. 2009, 28, 1806–1811. [Google Scholar]
  24. Shukry, M.; Abd El-Kader, M.F.; Hendam, B.M.; Dawood, M.A.O.; Farrag, F.A.; Aboelenin, S.M.; Soliman, M.M.; Abdel-Latif, H.M.R. Dietary Aspergillus oryzae Modulates Serum Biochemical Indices, Immune Responses, Oxidative Stress, and Transcription of HSP70 and Cytokine Genes in Nile tilapia Exposed to Salinity Stress. Animals 2021, 11, 1621. [Google Scholar] [CrossRef]
  25. GB/T 43563-2023; Water Quality for Aquaculture in Saline-Alkaline Land. East China Sea Fisheries Research Institute, Chinese Academy of Fishery Sciences: Beijing, China, 2023.
  26. Li, X.F. Study on Tolerance of Juvenile Coregonus ussuriensis Berg Under Sodium Bicarbonate Stress; Harbin Normal University: Harbin, China, 2023; p. 469. [Google Scholar]
  27. Fan, D.; Wu, D.; Zhang, Y.Y.; Li, J.N.; Xu, Q.Y.; Wang, L.S. Carbonate Aikalinity and Dietary Protein Leveis Afected Growth Performance, Intestinal lmmune Responses and Intestinal Microflora in Songpu mirror carp (Cyprinus carpio Songpu). Aquaculture 2021, 545, 737135. [Google Scholar] [CrossRef]
  28. Li, E.C.; Xu, C.; Wang, X.D.; Wang, S.F.; Zhao, Q.; Zhang, M.L.; Qin, J.G.; Chen, L.Q. Gut Microbiota and its Modulation for Healthy Farming of Pacific White Shrimp Litopenaeus vannamei. Rev. Fish. Sci. Aquac. 2018, 26, 381–399. [Google Scholar] [CrossRef]
  29. Sun, Z.L.; Xuan, Y.M.; Zhang, H.; Jiang, M.; Pan, Y.S.; Zhang, Y.M.; Gong, Y.P.; Lu, X.P.; Yu, D.S.; Xue, R.Y.; et al. Analysis of culture environment and intestinal bacterial diversity of Litopenaeus vannamei. Chin. Fish. Sci. 2016, 23, 594–605. [Google Scholar]
  30. Yu, W.N.; Dai, W.F.; Tao, Z.; Xiong, J.B. Study on the Difference of intestinal flora structure and function between healthy and diseased Litopenaeus vannamei. J. Fish. China 2018, 42, 399–409. [Google Scholar]
  31. Mente, E.; Gannon, A.T.; Nikouli, E.; Hammer, H.; Kormas, K.A. Gut microbial communities associated with the molting stages of the giant freshwater prawn Macrobrachium rosenbergii. Aquaculture 2016, 463, 181–188. [Google Scholar] [CrossRef]
  32. Tzeng, T.D.; Pao, Y.Y.; Chen, P.C.; Weng, F.C.H.; Jean, W.D.; Wang, D. Effects of hostphylogeny and habitats on gut microbiomes of orientalriver prawn (Macrobrachium nipponense). PLoS ONE 2015, 10, e0132860. [Google Scholar] [CrossRef]
  33. Chen, X.B. Preliminary Study on Intestinal Core Flora of Chinese eriocheir Crab; Shanghai Ocean University: Shanghai, China, 2015. [Google Scholar]
  34. Luan, Y.Y.; Li, M.; Zhou, W.; Yao, Y.Y.; Yang, Y.L.; Zhang, Z.; Ring, E.; Olsen, R.E.; Clarke, J.L.; Xie, L.Q.; et al. Research progress and potential application of fish intestinal flora. Engineering 2023, 29, 137–146. (In English) [Google Scholar] [CrossRef]
  35. Duan, Y.F.; Xiong, D.L.; Wang, Y.; Li, H.; Dong, H.B.; Zhang, J. Toxic effects of ammonia and thermal stress on the intestinal microbiota and transcriptomic and metabolomic responses of Litopenaeus vannamei. Sci. Total Environ. 2021, 754, 141867. [Google Scholar] [CrossRef] [PubMed]
  36. Guo, K.; Run, G.L.; Fan, W.H.; Fang, L.; Wang, Q.; Luo, M.Z.; Yi, T.L. The effect of nitrite and sulfide onthe antioxidant capacity and microbial composition of the intestines of red swampcrayfish, Procambarus clarkii. Fish Shellfish Immunol. 2020, 96, 290–296. [Google Scholar] [CrossRef] [PubMed]
  37. Wexler, H.M. Bacteroides: The good, the bad, and the nitty-gritty. Clin. Microbiol. Rev. 2007, 20, 593–621. [Google Scholar] [CrossRef]
  38. Cheng, A.C.; Yeh, S.P.; Hu, S.Y.; Lin, H.L.; Liu, C.H. Intestinal microbiota of white shrimp, Litopenaeus vannamei, fed diets containing Bacillus subtilis E20-fermented soybean meal (FSBM) or an antimicrobial peptide derived from B. subtilis E20-FSBM. Aquac. Res. 2020, 51, 41–50. [Google Scholar] [CrossRef]
  39. Zafar, H.; Saier, J.M.H. Gut Bacteroides species in health and disease. Gut Microbes 2021, 13, 1848158. [Google Scholar] [CrossRef] [PubMed]
  40. Larsbrink, J.; Zhu, Y.; Kharade, S.S.; Kwiatkowski, K.T.; Eijsink, V.G.H.; Kwiatkowski, N.M.; Mcbride, M.J.; Pope, P.B. A polysaccharide utilization locus from Flavobacterium johnsoniae enables conversion of recalcitrant chitin. Biotechnol. Biofuels 2016, 9, 260. [Google Scholar] [CrossRef] [PubMed]
  41. Liu, H.Z.; Zheng, F.R.; Sun, X.Q.; Hong, X.G.; Dong, S.L.; Wang, B.; Tang, X.X.; Wang, Y.Q. Identification of the pathogens associated with skin ulceration and peristome tumescence in cultured sea cucumbers Apostichopus japonicus (Selenka). J. Invertebr. Pathol. 2010, 105, 236–242. [Google Scholar] [CrossRef] [PubMed]
  42. Sutanti, S.; Sukenda, S.; Widanarni, W.; Alimuddin, A.; Aliah, R.S. Novel indigenous probiotic isolated from healthy Pacific White shrimp Litopenaeus vannamei intestine in differing stages based on metagenomic and screening approach. Fish Shellfish Immunol. 2024, 151, 109678. [Google Scholar] [CrossRef]
  43. Zhou, Z.Z.; Wen, M.Y.; Xiang, L.P.; Shen, H.; Jiang, G.; Cheng, J.; Hu, Y.D.; Qian, Y. Segmental variations in intestinal microbiota composition and functional capacity along the digestive tract of Litopenaeus vannamei. Aquac. Rep. 2024, 34, 101922. [Google Scholar] [CrossRef]
  44. Kirby, J.T.; Sader, H.S.; Walsh, T.R.; Jones, R.N. Antimicrobial susceptibility and epidemiology of a worldwide collection of Chryseobacterium spp.: Report from the SENTRY Antimicrobial Surveillance Program (1997–2001). J. Clin. Microbiol. 2004, 42, 445–448. [Google Scholar] [CrossRef]
  45. Satcolu, I.B.; Ay, H.; Altun, S.; Duman, M. Genomic insight into Chryseobacterium turcicum sp. nov. and Chryseobacterium muglaense sp. nov. isolated from farmed rainbow trout in Turkey. Syst. Appl. Microbiol. 2022, 46, 126385. [Google Scholar]
  46. Victor, M.P.; Kujur, R.R.A.; Das, L.; Das, S.K. Genome analysis deciphered Chryseobacterium indicum is a distinct species associated with freshwater pufferfish. Infect. Genet. Evol. 2024, 118, 105561. [Google Scholar] [CrossRef]
  47. Saticioglu, I.B.; Duman, M.; Altun, S. Genome analysis and antimicrobial resistance characteristics of Chryseobacterium aquaticum isolated from farmed salmonids. Aquaculture 2021, 535, 736364. [Google Scholar] [CrossRef]
  48. Santoso, I.; Fadhilah, Q.G.; Maryanto, A.E.; Yuniata, R.P.; Aulia, S.; Tamrela, H.; Sugiyanto, A.; Sigar, I.M. Stenotrophomonas maltophilia G17: Potential antifungal agent isolated from the gut of black soldier fly larvae against Ganoderma boninense. Kuwait J. Sci. 2025, 52, 100309. [Google Scholar] [CrossRef]
  49. Kobayashi, D.Y.; Reedy, R.M.; Bick, J.; Oudemans, P.V. Characterization of a Chitinase Gene from Stenotrophomonas maltophilia Strain 34S1 and Its Involvement in Biological Control. Environ. Microbiol. 2002, 68, 1047–1054. [Google Scholar] [CrossRef] [PubMed]
  50. Lira, F.; Berg, G.; Martinez, J.L. Double-face meets the bacterial world: The opportunistic pathogen Stenotrophomonas maltophilia. Front Microbiol. 2017, 8, 2190. [Google Scholar] [CrossRef] [PubMed]
  51. Berg, G.; Martinez, J.L. Friends or foes: Can we make a distinction between beneficial and harmful strains of the Stenotrophomonas maltophilia complex? Front. Microbiol. 2015, 6, 241. [Google Scholar] [CrossRef] [PubMed]
  52. Maqbool, N.; Khurshid, I.; Shah, I.M.; Ahmad, F. Isolation and characterisation of Stenotrophomonas maltophilia, a multidrug resistant opportunistic pathogen from cultured Rainbow trout (Oncorhynchus mykiss, walbaum, 1792) in India. Next Res. 2024, 1, 100006. [Google Scholar] [CrossRef]
  53. Looney, W.J.; Narita, M.; Mühlemann, K. Stenotrophomonas maltophilia: An emerging opportunist human pathogen. Lancet Infect. Dis. 2009, 9, 312–323. [Google Scholar] [CrossRef] [PubMed]
  54. Abraham, T.J.; Paul, P.; Adikesavalu, H.; Patra, A.; Banerjee, S. Stenotrophomonas maltophilia as an opportunistic pathogen in cultured African catfish Clarias gariepinus (Burchell, 1822). Aquaculture 2016, 450, 168–172. [Google Scholar] [CrossRef]
  55. Geng, Y.; Wang, K.; Chen, D.; Huang, X.L.; He, M.; Yin, Z.Q. Stenotrophomonas maltophilia, an emerging opportunist pathogen for cultured channel catfish, Ictalurus punctatus, in China. Aquaculture 2010, 308, 132–135. [Google Scholar] [CrossRef]
  56. Harris, N.B.; Rogers, D.G. Septicemia associated with Stenotrophomonas maltophilia in a West African dwarf crocodile (Osteolaemus tetraspis subsp. tetraspis). J. Vet. Diagn. Investig. 2001, 13, 255–258. [Google Scholar] [CrossRef] [PubMed]
  57. John, D. Helmann, The extracytoplasmic function (ECF) sigma factors. Adv. Microb. Physiol. 2002, 46, 47–110. [Google Scholar]
  58. Bhate, M.P.; Molnar, K.S.; Goulian, M.; DeGrado, W.F. Signal transduction in histidine kinases: Insights from new structures. Structure 2015, 23, 981–994. [Google Scholar] [CrossRef] [PubMed]
Figure 1. With the increase in time, the mortality of Penaeus vannamei under different levels of carbonate alkalinity stress.
Figure 1. With the increase in time, the mortality of Penaeus vannamei under different levels of carbonate alkalinity stress.
Fishes 10 00012 g001
Figure 2. Penaeus vannamei hepatopancreas biopsy results. (a) E28 group, (A) cell nucleus, (B) basilar membrane, (C) cavity, (b) control group.
Figure 2. Penaeus vannamei hepatopancreas biopsy results. (a) E28 group, (A) cell nucleus, (B) basilar membrane, (C) cavity, (b) control group.
Fishes 10 00012 g002
Figure 3. Changes of enzyme activity indexes of Penaeus vannamei under different levels of alkalinity stress. (a) Changes of SOD activity under different levels of carbonate alkalinity stress, (b) Changes of CAT activity under different levels of carbonate alkalinity stress, (c) Changes of GSH-PX activity under different levels of carbonate alkalinity stress, (d) Changes of MDA content under different levels of carbonate alkalinity stress, (e) Changes of AKP activity under different levels of carbonate alkalinity stress. Different letters above the figure indicate significant differences (p < 0.05).
Figure 3. Changes of enzyme activity indexes of Penaeus vannamei under different levels of alkalinity stress. (a) Changes of SOD activity under different levels of carbonate alkalinity stress, (b) Changes of CAT activity under different levels of carbonate alkalinity stress, (c) Changes of GSH-PX activity under different levels of carbonate alkalinity stress, (d) Changes of MDA content under different levels of carbonate alkalinity stress, (e) Changes of AKP activity under different levels of carbonate alkalinity stress. Different letters above the figure indicate significant differences (p < 0.05).
Fishes 10 00012 g003
Figure 4. OTU analysis of intestinal microbes of Penaeus vannamei.
Figure 4. OTU analysis of intestinal microbes of Penaeus vannamei.
Fishes 10 00012 g004
Figure 5. PCoA analysis of intestinal microbes of Penaeus vannamei.
Figure 5. PCoA analysis of intestinal microbes of Penaeus vannamei.
Fishes 10 00012 g005
Figure 6. Based on phylum-level microflora structure and cluster analysis. (a) Based on the abundances of each sample at the phylum level, (b) Based on the proportion abundance map of each group at the phylum level.
Figure 6. Based on phylum-level microflora structure and cluster analysis. (a) Based on the abundances of each sample at the phylum level, (b) Based on the proportion abundance map of each group at the phylum level.
Fishes 10 00012 g006
Figure 7. Based on genus-level microflora structure and cluster analysis. (a) Based on the abundances of each sample at the genus level, (b) Based on the proportion abundance map of each group at the genus level.
Figure 7. Based on genus-level microflora structure and cluster analysis. (a) Based on the abundances of each sample at the genus level, (b) Based on the proportion abundance map of each group at the genus level.
Fishes 10 00012 g007
Figure 8. COG functional annotation analysis. (a) Each sample was analyzed based on COG functional annotation, (b) Each group was analyzed based on COG functional annotation.
Figure 8. COG functional annotation analysis. (a) Each sample was analyzed based on COG functional annotation, (b) Each group was analyzed based on COG functional annotation.
Fishes 10 00012 g008
Figure 9. KEGG functional annotation analysis. (a) Each sample was analyzed based on KEGG functional annotation, (b) Each group was analyzed based on KEGG functional annotation.
Figure 9. KEGG functional annotation analysis. (a) Each sample was analyzed based on KEGG functional annotation, (b) Each group was analyzed based on KEGG functional annotation.
Fishes 10 00012 g009
Table 1. Alpha diversity index of microbial community in the sample.
Table 1. Alpha diversity index of microbial community in the sample.
Sample NameChao1ShannonSimpson
C23.67%95.96%25.30%
E831.67%1.36%24.90%
E1829.22%1.74%28.01%
E2815.44%0.95%21.79%
Note: C: control group, E8: 8 mmol/L group, E18; 18 mmol/L group, E28; 28 mmol/L group.
Disclaimer/Publisher’s Note: The statements, opinions and data contained in all publications are solely those of the individual author(s) and contributor(s) and not of MDPI and/or the editor(s). MDPI and/or the editor(s) disclaim responsibility for any injury to people or property resulting from any ideas, methods, instructions or products referred to in the content.

Share and Cite

MDPI and ACS Style

Gao, C.; Li, Z.; Ma, B.; Zuo, R.; Shen, X.; Chen, M.; Ren, C.; Zheng, W.; Cai, Z.; Li, J.; et al. Effects of Carbonate Alkalinity on Antioxidants, Immunity and Intestinal Flora of Penaeus vannamei. Fishes 2025, 10, 12. https://doi.org/10.3390/fishes10010012

AMA Style

Gao C, Li Z, Ma B, Zuo R, Shen X, Chen M, Ren C, Zheng W, Cai Z, Li J, et al. Effects of Carbonate Alkalinity on Antioxidants, Immunity and Intestinal Flora of Penaeus vannamei. Fishes. 2025; 10(1):12. https://doi.org/10.3390/fishes10010012

Chicago/Turabian Style

Gao, Chuang, Zhonghong Li, Bo Ma, Rantao Zuo, Xudong Shen, Mingkang Chen, Chuanqi Ren, Wenjun Zheng, Zhonglu Cai, Jiaxing Li, and et al. 2025. "Effects of Carbonate Alkalinity on Antioxidants, Immunity and Intestinal Flora of Penaeus vannamei" Fishes 10, no. 1: 12. https://doi.org/10.3390/fishes10010012

APA Style

Gao, C., Li, Z., Ma, B., Zuo, R., Shen, X., Chen, M., Ren, C., Zheng, W., Cai, Z., Li, J., & Li, S. (2025). Effects of Carbonate Alkalinity on Antioxidants, Immunity and Intestinal Flora of Penaeus vannamei. Fishes, 10(1), 12. https://doi.org/10.3390/fishes10010012

Article Metrics

Back to TopTop