Computed Tomographic Imaging Features of COVID-19 Pneumonia Caused by the Delta (B.1.617.2) and Omicron (B.1.1.529) Variant in a German Nested Cohort Pilot Study Group
Abstract
:1. Introduction
2. Materials and Methods
2.1. Study Design and Study Population
2.2. Vaccination Status
2.3. Data Collection—Demographic and Clinical Laboratory Parameters
2.4. CT Examination
2.5. Radiological Analysis
2.6. Inter- and Intrareader Variability
2.7. Statistical Analysis
3. Results
3.1. Clinical Parameters According to Virus Variants
3.2. Qualitative Scoring, Pattern Distribution, Morphology, and Virus Variant
3.3. Semiquantitative Scoring and Virus Variant
3.4. Inter- and Intrareader Variability
4. Discussion
5. Conclusions
Author Contributions
Funding
Institutional Review Board Statement
Informed Consent Statement
Data Availability Statement
Acknowledgments
Conflicts of Interest
References
- Cucinotta, D.; Vanelli, M. WHO Declares COVID-19 a Pandemic. Acta Bio Med. Atenei Parm. 2020, 91, 157–160. [Google Scholar]
- Zhu, N.; Zhang, D.; Wang, W.; Li, X.; Yang, B.; Song, J.; Zhao, X.; Huang, B.; Shi, W.; Lu, R.; et al. A Novel Coronavirus from Patients with Pneumonia in China. N. Engl. J. Med. 2019, 382, 727–733. [Google Scholar] [CrossRef] [PubMed]
- Gralinski, L.E.; Menachery, V.D. Return of the Coronavirus: 2019-nCoV. Viruses 2020, 12, 135. [Google Scholar] [CrossRef]
- WHO. WHO Coronavirus (COVID-19) Dashboard. Available online: https://covid-19whoint (accessed on 7 September 2022).
- Malesza, M.; Wittmann, E. Acceptance and Intake of COVID-19 Vaccines among Older Germans. J. Clin. Med. 2021, 10, 1388. [Google Scholar] [CrossRef] [PubMed]
- Fernandes, Q.; Inchakalody, V.P.; Merhi, M.; Mestiri, S.; Taib, N.; El-Ella, D.M.A.; Bedhiafi, T.; Raza, A.; Al-Zaidan, L.; Mohsen, M.O.; et al. Emerging COVID-19 variants and their impact on SARS-CoV-2 diagnosis, therapeutics and vaccines. Ann. Med. 2022, 54, 524–540. [Google Scholar] [CrossRef]
- Tracking SARS-CoV-2 Variants. 2021. Available online: https://wwwwhoint/en/activities/tracking-SARS-CoV-2-variants/oV-2strains (accessed on 4 July 2022).
- CDC COVID-19: SARS-CoV-2 Variant Classifications and Definitions. 2021. Available online: https://wwwcdcgov/coronavirus/2019-ncov/variants/variant-classificationshtml (accessed on 5 July 2022).
- Lopez Bernal, J.; Andrews, N.; Gower, C.; Gallagher, E.; Simmons, R.; Thelwall, S.; Stowe, J.; Tessier, E.; Groves, N.; Dabrera, G.; et al. Effectiveness of Covid-19 Vaccines against the B.1.617.2 (Delta) Variant. N. Engl. J. Med. 2021, 385, 585–594. [Google Scholar] [CrossRef] [PubMed]
- Del Rio, C.; Malani, P.N.; Omer, S.B. Confronting the Delta Variant of SARS-CoV-2, Summer 2021. JAMA 2021, 326, 1001–1002. [Google Scholar] [CrossRef] [PubMed]
- Li, B.; Deng, A.; Li, K.; Hu, Y.; Li, Z.; Shi, Y.; Xiong, Q.; Liu, Z.; Guo, Q.; Zou, L.; et al. Viral infection and transmission in a large, well-traced outbreak caused by the SARS-CoV-2 Delta variant. Nat. Commun. 2022, 13, 460. [Google Scholar] [CrossRef]
- Iuliano, A.D.; Brunkard, J.M.; Boehmer, T.K.; Peterson, E.; Adjei, S.; Binder, A.M.; Cobb, S.; Graff, P.; Hidalgo, P.; Panaggio, M.J.; et al. Trends in Disease Severity and Health Care Utilization During the Early Omicron Variant Period Compared with Previous SARS-CoV-2 High Transmission Periods-United States, December 2020-January 2022. Morb. Mortal. Wkly. Rep. 2022, 71, 146–152. [Google Scholar] [CrossRef]
- Ulloa, A.C.; Buchan, S.A.; Daneman, N.; Brown, K.A. Estimates of SARS-CoV-2 Omicron Variant Severity in Ontario, Canada. JAMA 2022, 327, 1286–1288. [Google Scholar] [CrossRef]
- Wolter, N.; Jassat, W.; Walaza, S.; Welch, R.; Moultrie, H.; Groome, M.; Amoako, D.G.; Everatt, J.; Bhiman, J.N.; Scheepers, C.; et al. Early assessment of the clinical severity of the SARS-CoV-2 omicron variant in South Africa: A data linkage study. Lancet 2022, 399, 437–446. [Google Scholar] [CrossRef]
- Alsharif, W.; Qurashi, A. Effectiveness of COVID-19 diagnosis and management tools: A review. Radiography 2021, 27, 682–687. [Google Scholar] [CrossRef] [PubMed]
- Ulinici, M.; Covantev, S.; Wingfield-Digby, J.; Beloukas, A.; Mathioudakis, A.G.; Corlateanu, A. Screening, Diagnostic and Prognostic Tests for COVID-19: A Comprehensive Review. Life 2021, 11, 561. [Google Scholar] [CrossRef]
- Inui, S.; Gonoi, W.; Kurokawa, R.; Nakai, Y.; Watanabe, Y.; Sakurai, K.; Ishida, M.; Fujikawa, A.; Abe, O. The role of chest imaging in the diagnosis, management, and monitoring of coronavirus disease 2019 (COVID-19). Insights Imaging 2021, 12, 155. [Google Scholar] [CrossRef] [PubMed]
- Guarnera, A.; Podda, P.; Santini, E.; Paolantonio, P.; Laghi, A. Differential diagnoses of COVID-19 pneumonia: The current challenge for the radiologist-a pictorial essay. Insights Imaging 2021, 12, 34. [Google Scholar] [CrossRef] [PubMed]
- Rubin, G.D.; Ryerson, C.J.; Haramati, L.B.; Sverzellati, N.; Kanne, J.; Raoof, S.; Schluger, N.W.; Volpi, A.; Yim, J.-J.; Martin, I.B.K.; et al. The Role of Chest Imaging in Patient Management During the COVID-19 Pandemic: A Multinational Consensus Statement From the Fleischner Society. Chest 2020, 158, 106–116. [Google Scholar] [CrossRef] [PubMed]
- Kwee, T.C.; Kwee, R.M. Chest CT in COVID-19: What the Radiologist Needs to Know. Radiographics 2020, 40, 1848–1865. [Google Scholar] [CrossRef]
- Simpson, S.; Kay, F.U.; Abbara, S.; Bhalla, S.; Chung, J.H.; Chung, M.; Henry, T.S.; Kanne, J.P.; Kligerman, S.; Ko, J.P.; et al. Radiological Society of North America Expert Consensus Document on Reporting Chest CT Findings Related to COVID-19: Endorsed by the Society of Thoracic Radiology, the American College of Radiology, and RSNA. Radiol. Cardiothorac. Imaging 2020, 2, e200152. [Google Scholar] [CrossRef]
- Yoon, S.H.; Lee, J.H.; Kim, B.N. Chest CT Findings in Hospitalized Patients with SARS-CoV-2: Delta versus Omicron Variants. Radiology 2022, 220676. [Google Scholar] [CrossRef]
- Tsakok, M.T.; Watson, R.A.; Saujani, S.J.; Kong, M.; Xie, C.; Peschl, H.; Wing, L.; MacLeod, F.K.; Shine, B.; Talbot, N.P.; et al. Chest CT and Hospital Outcomes in Patients with Omicron Compared with Delta Variant SARS-CoV-2 Infection. Radiology 2022, 220533. [Google Scholar] [CrossRef]
- Bundesministerium Für Gesundheit. Aktuelle Informationen Zur COVID-19-Impfung. Available online: https://www.bundesgesundheitsministerium.de/coronavirus/faq-covid-19-impfung.html (accessed on 24 September 2022).
- Prokop, M.; van Everdingen, W.; van Rees Vellinga, T.; Quarles van Ufford, H.; Stöger, L.; Beenen, L.; Geurts, B.; Gietema, H.; Krdzalic, J.; Schaefer-Prokop, C.; et al. CO-RADS: A Categorical CT Assessment Scheme for Patients Suspected of Having COVID-19-Definition and Evaluation. Radiology 2020, 296, E97–E104. [Google Scholar] [CrossRef] [PubMed]
- Schulze-Hagen, M.; Hübel, C.; Meier-Schroers, M.; Yüksel, C.; Sander, A.; Sähn, M.; Kleines, M.; Isfort, P.; Cornelissen, C.; Lemmen, S.; et al. Low-Dose Chest CT for the Diagnosis of COVID-19—A Systematic, Prospective Comparison with PCR. Dtsch. Arztebl. Int. 2020, 117, 389–395. [Google Scholar] [PubMed]
- Zhou, S.; Wang, Y.; Zhu, T.; Xia, L. CT Features of Coronavirus Disease 2019 (COVID-19) Pneumonia in 62 Patients in Wuhan, China. AJR Am. J. Roentgenol. 2020, 214, 1287–1294. [Google Scholar] [CrossRef] [PubMed]
- R Core Team. R: A Language and Environment for Statistical Computing. R Foundation Statistical Computing, Vienna, Austria. 2020. Available online: http://www.R-project.org/ (accessed on 28 August 2022).
- Hui, K.P.Y.; Ho, J.C.W.; Cheung, M.C.; Ng, K.; Ching, R.H.H.; Lai, K.L.; Kam, T.T.; Gu, H.; Sit, K.Y.; Hsin, M.K.Y.; et al. SARS-CoV-2 Omicron variant replication in human bronchus and lung ex vivo. Nature 2022, 603, 715–720. [Google Scholar] [CrossRef] [PubMed]
- Cao, Y.; Wang, J.; Jian, F.; Xiao, T.; Song, W.; Yisimayi, A.; Huang, W.; Li, Q.; Wang, P.; An, R.; et al. Omicron escapes the majority of existing SARS-CoV-2 neutralizing antibodies. Nature 2022, 602, 657–663. [Google Scholar] [CrossRef] [PubMed]




| Virus Variant | ||||
|---|---|---|---|---|
| All | Delta (n = 43) | Omicron (n = 17) | p-value | |
| General Information | ||||
| age (years) (n = 60) sex (n = 60) male female | 62.53 ± 17.3 42 (70.00%) 18 (30.00%) | 61.79 ± 16.01 29 (67.44%) 14 (32.56%) | 64.41 ± 20.63 13 (76.47%) 4 (23.53%) | 0.601 * 0.550 |
| vaccination status (n = 60) | ||||
| nonvaccinated vaccinated | 26 (43.33%) 34 (56.66%) | 23 (53.49%) 20 (46.51%) | 3 (17.5%) 14 (82.38%) | 0.019 |
| Symptoms | ||||
| dyspnea (n = 60) cough (n = 57) fever (n = 58) | 45 (75.00%) 29 (50.88%) 32 (55.17%) | 34 (79.07%) 22 (55.00%) 24 (58.54%) | 11 (64.71%) 7 (41.18%) 8 (47.06%) | 0.324 0.395 0.563 |
| Pre-existing Conditions | ||||
| BMI (n = 52) | ||||
| <25 kg/m2 ≥25 kg/m2 pre-existing disease (n = 60) | 21 (40.38%) 31 (59.62%) 52 (86.67%) | 14 (35.9%) 25 (64.1%) 36 (83.72%) | 7 (53.85%) 6 (46.15%) 16 (94.12%) | 0.333 0.420 |
| Treatment of COVID-19-Infection | ||||
| oxygen therapy (n = 53) intensive therapy (n = 60) | 40 (75.47%) 13 (21.67%) | 31 (79.49%) 12 (27.91%) | 9 (64.29%) 1 (5.88%) | 0.292 0.086 |
| Complications | ||||
| pulmonary superinfection (n = 58) pulmonary artery embolism (n = 57) exitus letalis (n = 59) | 19 (32.76%) 7 (12.28%) 6 (10.16%) | 15 (36.59%) 2 (5.00%) 5 (11.9%) | 4 (23.53%) 5 (29.41%) 1 (5.88%) | 0.378 0.020 0.662 |
| Virus Variant | ||||
|---|---|---|---|---|
| All (n = 60) | Delta (n = 43) | Omicron (n = 17) | p-value | |
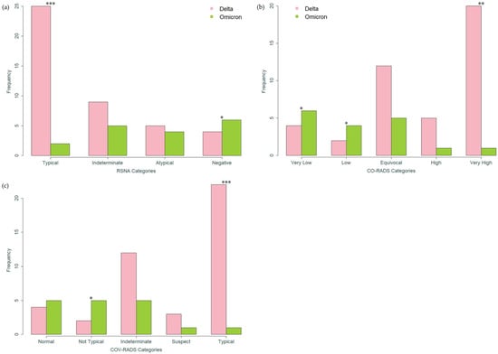
| RSNA categories | 0.003 | |||
| typical appearance indeterminate appearance atypical appearance negative for pneumonia | 27 (45.00%) 14 (23.33%) 9 (15.00%) 10 (16.67%) | 25 (58.14%) 9 (20.93%) 5 (11.63%) 4 (9.30%) | 2 (11.76%) 5 (29.41%) 4 (23.53%) 6 (35.29%) | 0.001 0.511 0.256 0.024 |
| CO-RADS | 0.002 | |||
| very low low equivocal high very high | 10 (16.67%) 6 (10.00%) 17 (28.33%) 6 (10.00%) 21 (35.00%) | 4 (9.30%) 2 (4.65%) 12 (27.91%) 5 (11.63%) 20 (46.51%) | 6 (35.29%) 4 (23.53%) 5 (29.41%) 1 (5.88%) 1 (5.88%) | 0.024 0.048 1 0.665 0.003 |
| COV-RADS | 0.001 | |||
| normal lung pathological, but not typical for Covid indeterminate suspect of Covid typical | 9 (15.00%) 7 (11.66%) 17 (28.33%) 4 (6.67%) 23 (38.34%) | 4 (9.30%) 2 (4.65%) 12 (27.91%) 3 (6.98%) 22 (51.16%) | 5 (29.41%) 5 (29.41%) 5 (29.41%) 1 (5.88%) 1 (5.88%) | 0.101 0.016 1 1 0.001 |
| Distribution and Pattern Predominance | ||||
| lung involvement | 0.041 | |||
| no lung involvement single lobe unilateral multilobar bilateral | 11 (18.33%) 1 (1.67%) 2 (3.33%) 46 (76.67%) | 5 (11.63%) 0 (0%) 2 (4.65%) 36 (83.72%) | 6 (35.29%) 1 (5.88%) 0 (0%) 10 (58.82%) | 0.059 0.283 1 0.087 |
| axial distribution | 0.053 | |||
| no predominant distribution peripheral distribution central distribution diffuse distribution | 11 (18.33%) 27 (45.00%) 4 (6.66%) 18 (30.00%) | 5 (11.63%) 23 (53.49%) 2 (4.65%) 13 (30.23%) | 6 (35.29%) 4 (23.53%) 2 (11.76%) 5 (29.41%) | 0.059 0.046 0.317 1 |
| craniocaudal distribution | 0.080 | |||
| no predominant distribution upper lobe predominant lower lobe predominant diffuse | 10 (16.67%) 4 (6.67%) 18 (30.00%) 28 (46.67%) | 4 (9.30%) 4 (9.30%) 13 (30.23%) 22 (51.16%) | 6 (35.29%) 0 (0%) 5 (29.41%) 6 (35.29%) | 0.024 0.570 1 0.390 |
| Pattern Morphology | ||||
| GGO morphology GGO absent subpleural rounded nonrounded, nonperipheral | 15 (25.00%) 28 (46.67%) 2 (3.33%) 15 (25.00%) | 8 (18.60%) 25 (58.14%) 2 (4.65%) 8 (18.60%) | 7 (41.18%) 3 (17.65%) 0 (0%) 7 (41.18%) | 0.014 0.099 0.009 1 0.099 |
| GGO/consolidation | 0.049 | |||
| morphology | ||||
| GGO/consolidation absent predominant extensive predominant nodular GGO/consolidation mixed | 10 (16.67%) 38 (63.33%) 8 (13.33%) 4 (6.67%) | 4 (9.30%) 30 (69.77%) 5 (11.63%) 4 (9.30%) | 6 (35.29%) 8 (47.06%) 3 (17.65%) 0 (0%) | 0.024 0.139 0.676 0.570 |
| Other Pulmonary Findings | ||||
| crazy paving reticulation bronchiectasis bronchial wall thickening tree-in-bud bronchoaerogram vacuolar sign reverse halo sign COP pattern | 15 (25%) 15 (25%) 10 (16.67%) 16 (26.67%) 5 (8.34%) 14 (23.34%) 24 (40.00%) 4 (6.67%) 13 (21.66%) | 14 (32.56%) 10 (23.26%) 6 (13.95%) 9 (20.93%) 4 (9.3%) 13 (30.23%) 23 (53.49%) 4 (9.3%) 11 (25.58%) | 1 (5.88%) 5 (29.41%) 4 (23.53%) 7 (41.18%) 1 (5.88%) 1 (5.88%) 1 (5.88%) 0 (0%) 2 (11.76%) | 0.046 0.743 0.448 0.193 1 0.050 0.001 0.570 0.314 |
| Virus Variant | |||||
|---|---|---|---|---|---|
| OUTCOME | Delta | Omicron | |||
| OR | 95%CI | OR | 95%CI | p-value | |
| Model 1: Association of CT-graphic pulmonary manifestations and virus variant, adjusted for vaccination status | |||||
| RSNA Categories | |||||
| typical appearance vs. all other categories negative for pneumonia vs. all other categories | 8.25 0.15 | [1.90, 57.93] [0.03, 0.71] | 0.12 6.64 | [0.02, 0.53] [1.41, 39.07] | 0.011 0.022 |
| CO-RADS Categories | |||||
| very high vs. all other categories very low vs. all other categories | 10.98 0.15 | [1.86, 210.25] [0.03, 0.71] | 0.09 6.64 | [0.00, 0.54] [1.41, 39.07] | 0.028 0.022 |
| COV-RADS Categories | |||||
| typical vs. all other categories pathological, but not typical for Covid vs. all other categories | 11.72 0.16 | [1.94, 226.52] [0.02, 0.89] | 0.09 6.35 | [0.00, 0.52] [1.12, 51.25] | 0.025 0.048 |
| crazy paving | 4.41 | [0.65; 87.78] | 0.23 | [0.01; 1.54] | 0.190 |
| vacuolar sign | 15.5 | [2.66; 296.64] | 0.06 | [0.003; 0.38] | 0.012 |
| Model 2: Model 1 + adjusted for stage of infection | |||||
| RSNA Categories | |||||
| typical appearance vs. all other categories negative for pneumonia vs. all other categories | 8.08 0.18 | [1.58, 63.94] [0.03, 0.89] | 0.12 5.66 | [0.02, 0.63] [1.12, 35.41] | 0.021 0.043 |
| CO-RADS Categories | |||||
| very high vs. all other categories very low vs. all other categories | 9.32 0.18 | [1.44, 184.47] [0.03, 0.89] | 0.11 5.66 | [0.01, 0.69] [1.12, 35.41] | 0.047 0.043 |
| COV-RADS Categories | |||||
| typical vs. all other categories pathological, but not typical for Covid vs. all other categories | 10.91 0.22 | [1.58, 225.43] [0.02, 1.47] | 0.09 4.49 | [0.00, 0.63] [0.68, 40.01] | 0.039 0.132 |
| crazy-paving | 4.49 | [0.65; 90.28] | 0.22 | [0.01; 1.55] | 0.188 |
| vacuolar sign | 14.74 | [2.32; 2094.7] | 0.07 | [0.003; 0.43] | 0.017 |
| Virus Variant | ||||
|---|---|---|---|---|
| All (n = 60) | Delta (n = 43) | Omicron (n = 17) | p-value | |
| Total Distribution | ||||
| semiquantitative scoring (mean ± SD) | 5.4 ± 3.69 | 6.3 ± 3.5 | 3.12 ± 3.2 | 0.002 * |
| Distribution right upper lobe | 0.002 | |||
| absent | 20 (33.33%) | 8 (18.6%) | 12 (70.59%) | 0.0002 |
| <1/3 | 26 (43.34%) | 22 (51.16%) | 4 (23.53%) | 0.082 |
| 1/3–2/3 | 10 (16.67%) | 9 (20.93%) | 1 (5.88%) | 0.255 |
| >2/3 | 4 (6.67%) | 4 (9.30%) | 0 (0%) | 0.570 |
| Distribution right middle lobe | 0.080 | |||
| absent | 20 (33.34%) | 10 (23.26%) | 10 (58.82%) | 0.014 |
| <1/3 | 27 (45.00%) | 22 (51.16%) | 5 (29.41%) | 0.158 |
| 1/3–2/3 | 11 (18.33%) | 9 (20.93%) | 2 (11.76%) | 0.712 |
| >2/3 | 2 (3.33%) | 2 (4.65%) | 0 (0%) | 1 |
| Distribution right lower lobe | 0.152 | |||
| absent | 13 (21.67%) | 6 (13.95%) | 7 (41.18%) | 0.035 |
| <1/3 | 25 (41.66%) | 20 (46.51%) | 5 (29.41%) | 0.260 |
| 1/3–2/3 | 18 (30.00%) | 14 (32.56%) | 4 (23.53%) | 0.550 |
| >2/3 | 4 (6.67%) | 3 (6.98%) | 1 (5.88%) | 1 |
| Distribution left upper lobe | 0.062 | |||
| absent | 17 (28.33%) | 9 (20.93%) | 8 (47.06%) | 0.059 |
| <1/3 | 21 (35.00%) | 14 (32.56%) | 7 (41.18%) | 0.560 |
| 1/3–2/3 | 16 (26.66%) | 14 (32.56%) | 2 (11.76%) | 0.120 |
| >2/3 | 6 (10.00%) | 6 (13.95%) | 0 (0%) | 0.170 |
| Distribution left lower lobe | 0.047 | |||
| absent | 14 (23.33%) | 6 (13.95%) | 8 (47.06%) | 0.015 |
| <1/3 | 29 (48.34%) | 22 (51.16%) | 7 (41.18%) | 0.573 |
| 1/3–2/3 | 13 (21.66%) | 11 (25.58%) | 2 (11.76%) | 0.314 |
| >2/3 | 4 (6.67%) | 4 (9.30%) | 0 (0%) | 0.570 |
| GGO Scoring | ||||
| semiquantitative scoring (mean ± SD) | 3.63 ± 3 | 4.23 ± 3.01 | 2.12 ± 2.47 | 0.017 ** |
| Consolidation Scoring | ||||
| semiquantitative scoring (mean ± SD) | 2.08 ± 2.37 | 2.49 ± 2.54 | 1.06 ± 1.48 | 0.034 ** |
| Predictor | Estimate (β) | 95%CI | p-Value |
|---|---|---|---|
| Model 1: Association of semiquantitative lung involvement and virus variant, adjusted for vaccination status. | |||
| Total Distribution | |||
| Delta (REF: Omicron) | 3.22 | [1.13, 5.31] | 0.003 |
| GGO Scoring | |||
| Delta (REF: Omicron) | 2.08 | [0.32, 3.84] | 0.021 |
| Consolidation Scoring | |||
| Delta (REF: Omicron) | 1.39 | [−0.02, 2.79] | 0.053 |
| Model 2: Model 1 + adjusted for stage of infection. | |||
| Total distribution | |||
| Delta (REF: Omicron) | 2.73 | [0.75, 4.71] | 0.008 |
| GGO Scoring | |||
| Delta (REF: Omicron) | 1.48 | [−1.15, 3.1] | 0.074 |
| Consolidation Scoring | |||
| Delta (REF: Omicron) | 1.37 | [−0.04, 2.78] | 0.057 |
Publisher’s Note: MDPI stays neutral with regard to jurisdictional claims in published maps and institutional affiliations. |
© 2022 by the authors. Licensee MDPI, Basel, Switzerland. This article is an open access article distributed under the terms and conditions of the Creative Commons Attribution (CC BY) license (https://creativecommons.org/licenses/by/4.0/).
Share and Cite
Askani, E.; Mueller-Peltzer, K.; Madrid, J.; Knoke, M.; Hasic, D.; Bamberg, F.; Schlett, C.L.; Agarwal, P. Computed Tomographic Imaging Features of COVID-19 Pneumonia Caused by the Delta (B.1.617.2) and Omicron (B.1.1.529) Variant in a German Nested Cohort Pilot Study Group. Tomography 2022, 8, 2435-2449. https://doi.org/10.3390/tomography8050202
Askani E, Mueller-Peltzer K, Madrid J, Knoke M, Hasic D, Bamberg F, Schlett CL, Agarwal P. Computed Tomographic Imaging Features of COVID-19 Pneumonia Caused by the Delta (B.1.617.2) and Omicron (B.1.1.529) Variant in a German Nested Cohort Pilot Study Group. Tomography. 2022; 8(5):2435-2449. https://doi.org/10.3390/tomography8050202
Chicago/Turabian StyleAskani, Esther, Katharina Mueller-Peltzer, Julian Madrid, Marvin Knoke, Dunja Hasic, Fabian Bamberg, Christopher L. Schlett, and Prerana Agarwal. 2022. "Computed Tomographic Imaging Features of COVID-19 Pneumonia Caused by the Delta (B.1.617.2) and Omicron (B.1.1.529) Variant in a German Nested Cohort Pilot Study Group" Tomography 8, no. 5: 2435-2449. https://doi.org/10.3390/tomography8050202
APA StyleAskani, E., Mueller-Peltzer, K., Madrid, J., Knoke, M., Hasic, D., Bamberg, F., Schlett, C. L., & Agarwal, P. (2022). Computed Tomographic Imaging Features of COVID-19 Pneumonia Caused by the Delta (B.1.617.2) and Omicron (B.1.1.529) Variant in a German Nested Cohort Pilot Study Group. Tomography, 8(5), 2435-2449. https://doi.org/10.3390/tomography8050202

