Anterior Esthetic Restorations with the Stratified Stamp Technique: A Case Report
Abstract
1. Introduction
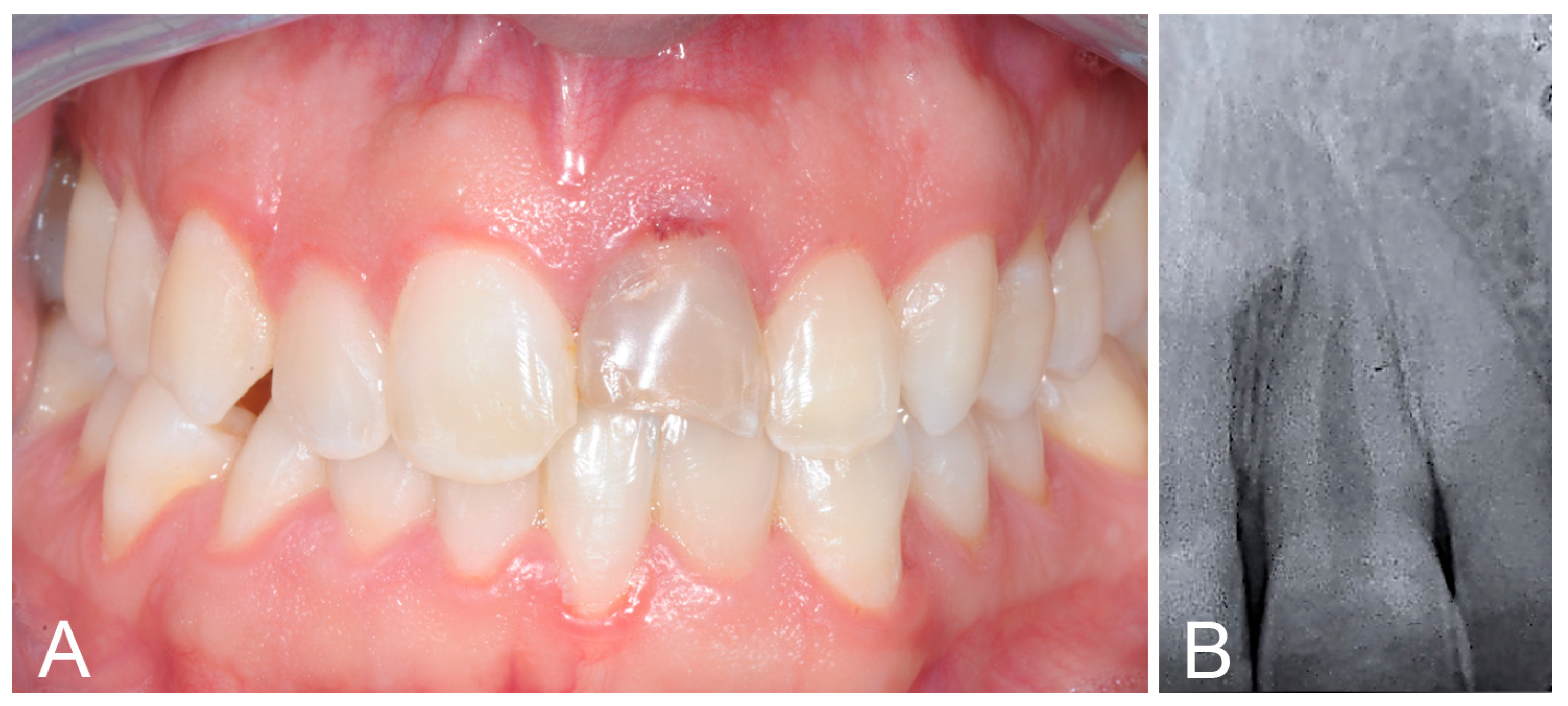
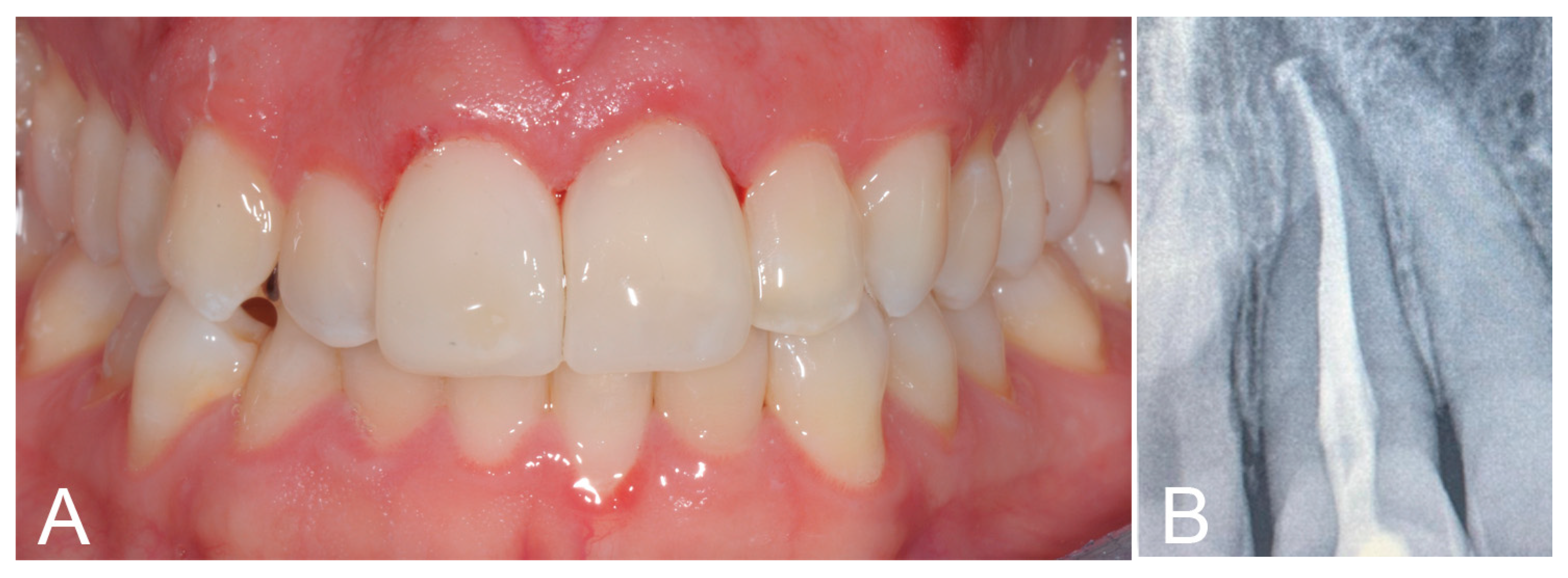
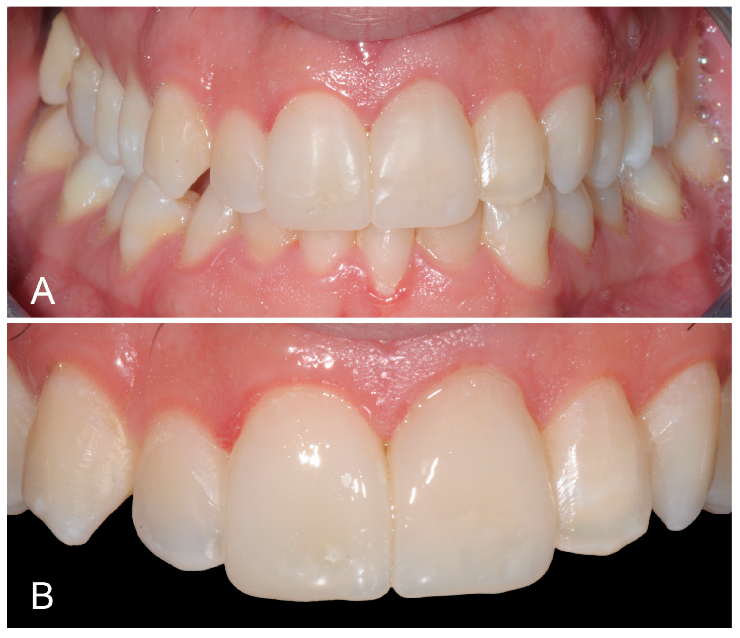
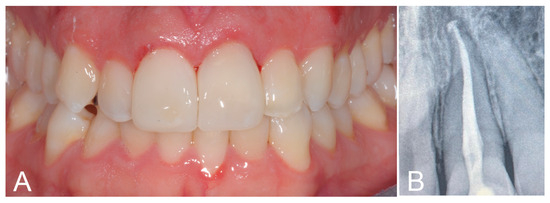
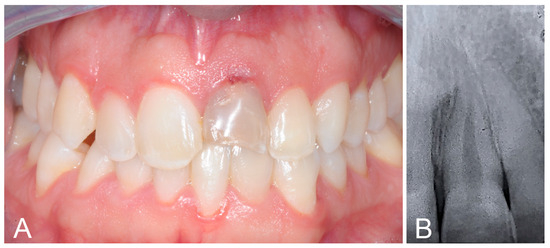
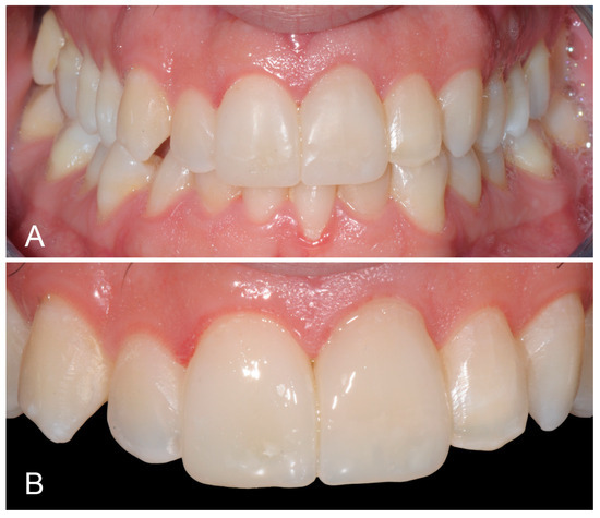
2. Case Report
3. Discussion
- -
- anterior teeth to be lengthened, widened, and/or re-shaped;
- -
- anterior crown fractures;
- -
- congenital tooth malformation;
- -
- enamel hypocalcification;
- -
- discolored vital teeth not responding to bleaching.
4. Conclusions
Supplementary Materials
Author Contributions
Funding
Institutional Review Board Statement
Data Availability Statement
Conflicts of Interest
References
- Romero, M.; Haddock, F.; Freites, A.; Brackett, W.; Brackett, M. Restorative Technique Selection in Class IV Direct Composite Restorations: A Simplified Method. Oper. Dent. 2016, 41, 243–248. [Google Scholar] [CrossRef] [PubMed]
- Betrisey, E.; Krejci, I.; Di Bella, E.; Ardu, S. The influence of stratification on color and appearance of resin composites. Odontology 2016, 104, 176–183. [Google Scholar] [CrossRef] [PubMed]
- De Angelis, F.; Vadini, M.; Buonvivere, M.; Valerio, A.; Di Cosola, M.; Piattelli, A.; Biferi, V.; D’Arcangelo, C. In Vitro Mechanical Properties of a Novel Graphene-Reinforced PMMA-Based Dental Restorative Material. Polymers 2023, 15, 622. [Google Scholar] [CrossRef] [PubMed]
- De Angelis, F.; D’Arcangelo, C.; Buonvivere, M.; Argentino, R.; Vadini, M. In Vitro Microleakage Evaluation of Bioceramic and Zinc-Eugenol Sealers with Two Obturation Techniques. Coatings 2021, 11, 727. [Google Scholar] [CrossRef]
- Vadini, M.; De Angelis, F.; D’Amario, M.; Marzo, G.; Baldi, M.; D’Arcangelo, C. Conservative restorations of endodontically compromised anterior teeth in paediatric patients: Physical and mechanical considerations. Eur. J. Paediatr. Dent. 2012, 13, 263–267. [Google Scholar] [PubMed]
- De Angelis, F.; Buonvivere, M.; Sorrentino, E.; Rondoni, G.D.; D’Arcangelo, C. Wear Properties of Conventional and High-Translucent Zirconia-Based Materials. Materials 2022, 15, 7324. [Google Scholar] [CrossRef]
- De Angelis, F.; D’Arcangelo, C.; Buonvivere, M.; Rondoni, G.D.; Vadini, M. Shear bond strength of glass ionomer and resin-based cements to different types of zirconia. J. Esthet. Restor. Dent. 2020, 32, 806–814. [Google Scholar] [CrossRef] [PubMed]
- Geštakovski, D. The injectable composite resin technique: Minimally invasive reconstruction of esthetics and function. Clinical case report with 2-year follow-up. Quintessence Int. 2019, 50, 712–719. [Google Scholar] [CrossRef]
- Ypei Gia, N.R.; Sampaio, C.S.; Higashi, C.; Sakamoto, A., Jr.; Hirata, R. The injectable resin composite restorative technique: A case report. J. Esthet. Restor. Dent. 2021, 33, 404–414. [Google Scholar] [CrossRef]
- Ammannato, R.; Rondoni, D.; Ferraris, F. Update on the ‘index technique’ in worn dentition: A no-prep restorative approach with a digital workflow. Int. J. Esthet. Dent. 2018, 13, 516–537. [Google Scholar]
- Vanini, L.; Mangani, F.M. Determination and communication of color using the five color dimensions of teeth. Pract. Periodontics Aesthet. Dent. 2001, 13, 19–26, quiz 28. [Google Scholar]
- Re, D.; De Angelis, F.; Augusti, G.; Augusti, D.; Caputi, S.; D’Amario, M.; D’Arcangelo, C. Mechanical Properties of Elastomeric Impression Materials: An In Vitro Comparison. Int. J. Dent. 2015, 2015, 428286. [Google Scholar] [CrossRef] [PubMed]
- D’Arcangelo, C.; Vadini, M.; D’Amario, M.; Chiavaroli, Z.; De Angelis, F. Protocol for a new concept of no-prep ultrathin ceramic veneers. J. Esthet. Restor. Dent. 2018, 30, 173–179. [Google Scholar] [CrossRef] [PubMed]
- Vadini, M.; D’Amario, M.; De Angelis, F.; Falco, A.; D’Arcangelo, C. No-Prep Rehabilitation of Fractured Maxillary Incisors with Partial Veneers. J. Esthet. Restor. Dent. 2016, 28, 351–358. [Google Scholar] [CrossRef] [PubMed]
- Notarantonio, A.; Seay, A. A system for reliable composite shade matching: Custom shade tabs and an intra-oral mockup. J. Esthet. Restor. Dent. 2023, 35, 787–795. [Google Scholar] [CrossRef] [PubMed]
- Philippi, A.G.; Sabatini, G.P.; Freitas, M.S.; Oshima, S.N.; Tango, R.N.; Gonçalves, T. Clinical Tooth Color Matching: In Vivo Comparisons of Digital Photocolorimetric and Spectrophotometric Analyses. Oper. Dent. 2023, 48, 490–499. [Google Scholar] [CrossRef] [PubMed]
- Gaviria-Martinez, A.; Castro-Ramirez, L.; Ladera-Castañeda, M.; Cervantes-Ganoza, L.; Cachay-Criado, H.; Alvino-Vales, M.; Garcia-Luna, G.; López-Gurreonero, C.; Cornejo-Pinto, A.; Cayo-Rojas, C.F. Surface roughness and oxygen inhibited layer control in bulk-fill and conventional nanohybrid resin composites with and without polishing: In vitro study. BMC Oral Health 2022, 22, 258. [Google Scholar] [CrossRef]
- D’Arcangelo, C.; De Angelis, F.; Vadini, M.; Carluccio, F.; Vitalone, L.M.; D’Amario, M. Influence of curing time, overlay material and thickness on three light-curing composites used for luting indirect composite restorations. J. Adhes. Dent. 2012, 14, 377–384. [Google Scholar] [CrossRef]
- Shaalan, O.O.; Abou-Auf, E.; El Zoghby, A.F. Clinical evaluation of flowable resin composite versus conventional resin composite in carious and noncarious lesions: Systematic review and meta-analysis. J. Conserv. Dent. 2017, 20, 380–385. [Google Scholar] [CrossRef]
- Szesz, A.; Parreiras, S.; Martini, E.; Reis, A.; Loguercio, A. Effect of flowable composites on the clinical performance of non-carious cervical lesions: A systematic review and meta-analysis. J. Dent. 2017, 65, 11–21. [Google Scholar] [CrossRef]
- Karadas, M. The effect of different beverages on the color and translucency of flowable composites. Scanning 2016, 38, 701–709. [Google Scholar] [CrossRef] [PubMed]
- Nair, S.R.; Niranjan, N.T.; Jayasheel, A.; Suryakanth, D.B. Comparative Evaluation of Colour Stability and Surface Hardness of Methacrylate Based Flowable and Packable Composite-In vitro Study. J. Clin. Diagn. Res. 2017, 11, ZC51–ZC54. [Google Scholar] [CrossRef] [PubMed]
- Choudhary, N.; Kamat, S.; Mangala, T.; Thomas, M. Effect of pre-heating composite resin on gap formation at three different temperatures. J. Conserv. Dent. 2011, 14, 191–195. [Google Scholar] [CrossRef] [PubMed]
- Daronch, M.; Rueggeberg, F.A.; De Goes, M.F. Monomer Conversion of Pre-heated Composite. J. Dent. Res. 2005, 84, 663–667. [Google Scholar] [CrossRef] [PubMed]
- Bhopatkar, J.; Ikhar, A.; Chandak, M.; Mankar, N.; Sedani, S. Composite Pre-heating: A Novel Approach in Restorative Dentistry. Cureus 2022, 14, e27151. [Google Scholar] [CrossRef]
- Kouri, V.; Moldovani, D.; Papazoglou, E. Accuracy of Direct Composite Veneers via Injectable Resin Composite and Silicone Matrices in Comparison to Diagnostic Wax-Up. J. Funct. Biomater. 2023, 14, 32. [Google Scholar] [CrossRef]





Disclaimer/Publisher’s Note: The statements, opinions and data contained in all publications are solely those of the individual author(s) and contributor(s) and not of MDPI and/or the editor(s). MDPI and/or the editor(s) disclaim responsibility for any injury to people or property resulting from any ideas, methods, instructions or products referred to in the content. |
© 2024 by the authors. Licensee MDPI, Basel, Switzerland. This article is an open access article distributed under the terms and conditions of the Creative Commons Attribution (CC BY) license (https://creativecommons.org/licenses/by/4.0/).
Share and Cite
D’Arcangelo, C.; Buonvivere, M.; De Angelis, F. Anterior Esthetic Restorations with the Stratified Stamp Technique: A Case Report. Biomimetics 2024, 9, 299. https://doi.org/10.3390/biomimetics9050299
D’Arcangelo C, Buonvivere M, De Angelis F. Anterior Esthetic Restorations with the Stratified Stamp Technique: A Case Report. Biomimetics. 2024; 9(5):299. https://doi.org/10.3390/biomimetics9050299
Chicago/Turabian StyleD’Arcangelo, Camillo, Matteo Buonvivere, and Francesco De Angelis. 2024. "Anterior Esthetic Restorations with the Stratified Stamp Technique: A Case Report" Biomimetics 9, no. 5: 299. https://doi.org/10.3390/biomimetics9050299
APA StyleD’Arcangelo, C., Buonvivere, M., & De Angelis, F. (2024). Anterior Esthetic Restorations with the Stratified Stamp Technique: A Case Report. Biomimetics, 9(5), 299. https://doi.org/10.3390/biomimetics9050299

