Long-Term Changes in Adipose Tissue in the Newly Formed Bone Induced by Recombinant Human BMP-2 In Vivo
Abstract
1. Introduction
2. Materials and Methods
2.1. Animals and Materials
2.2. Surgical Intervention and Experimental Design
2.3. µ-CT Analysis
2.4. Histological Examination
2.5. Immunohistochemical Examination of Osteogenic Marker
2.6. Statistical Analysis
3. Results
3.1. μ-CT Analysis of BV, BMD, TbTh, and TbSp
3.2. Changes in Adipose Tissue in the Newly Formed Bone
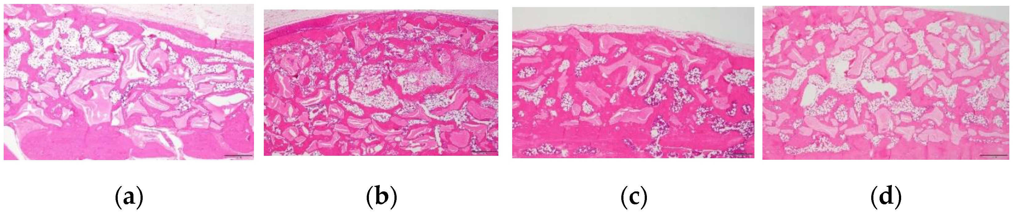
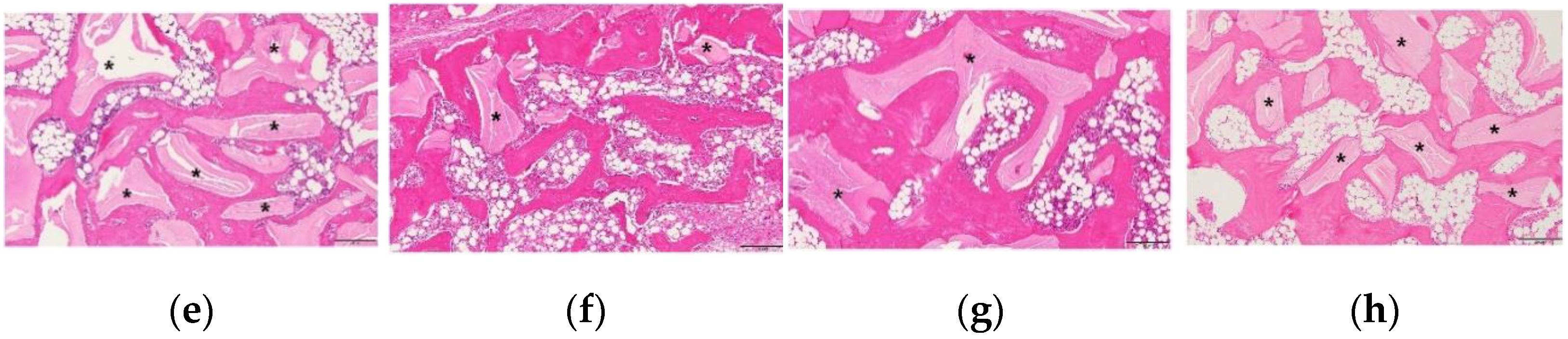
3.3. Histological Examination of the Changes in the Newly Formed Bone and Adipose Tissue
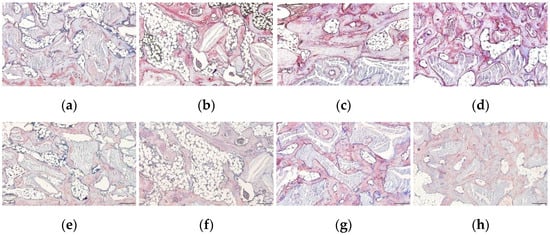
3.4. Immunohistochemical Examination of Osteogenic Marker Expression
4. Discussion
Author Contributions
Funding
Institutional Review Board Statement
Informed Consent Statement
Data Availability Statement
Conflicts of Interest
References
- Wikesjö, U.M.; Huang, Y.-H.; Polimeni, G.; Qahash, M. Bone morphogenetic proteins: A realistic alternative to bone grafting for alveolar reconstruction. Oral Maxillofac. Surg. Clin. N. Am. 2007, 19, 535–551. [Google Scholar] [CrossRef] [PubMed]
 - Wozney, J.M. The bone morphogenetic protein family and osteogenesis. Mol. Reprod. Dev. 1992, 32, 160–167. [Google Scholar] [CrossRef] [PubMed]
 - Wozney, J.M.; Rosen, V. Bone morphogenetic protein and bone morphogenetic protein gene family in bone formation and repair. Clin. Orthop. Relat. Res. 1998, 346, 26–37. [Google Scholar] [CrossRef]
 - Boyne, P.J.; Lilly, L.C.; Marx, R.E.; Moy, P.K.; Nevins, M.; Spagnoli, D.B.; Triplett, R.G. De novo bone induction by recombinant human bone morphogenetic protein-2 (rhBMP-2) in maxillary sinus floor augmentation. J. Oral Maxillofac. Surg. 2005, 63, 1693–1707. [Google Scholar] [CrossRef]
 - James, A.W.; LaChaud, G.; Shen, J.; Asatrian, G.; Nguyen, V.; Zhang, X.; Ting, K.; Soo, C. A review of the clinical side effects of bone morphogenetic protein-2. Tissue Eng. Part B Rev. 2016, 22, 284–297. [Google Scholar] [CrossRef] [PubMed]
 - Kim, H.; Chung, J.; Shin, S.; Shin, S.; Kye, S.; Kim, N.; Kwon, T.; Paeng, J.; Kim, J.; Oh, O. Efficacy of rhBMP-2/hydroxyapatite on sinus floor augmentation: A multicenter, randomized controlled clinical trial. J. Dent. Res. 2015, 94, 158S–165S. [Google Scholar] [CrossRef]
 - Misch, C.M.; Jensen, O.T.; Pikos, M.A.; Malmquist, J.P. Vertical bone augmentation using recombinant bone morphogenetic protein, mineralized bone allograft, and titanium mesh: A retrospective cone beam computed tomography study. Int. J. Oral Maxillofac. Implant. 2015, 30, 202–207. [Google Scholar] [CrossRef]
 - Takada, I.; Yogiashi, Y.; Kato, S. Signaling crosstalk between PPARγ and BMP2 in mesenchymal stem cells. PPAR Res. 2012, 2012, 607141. [Google Scholar] [CrossRef]
 - Chen, D.; Ji, X.; Harris, M.; Feng, J.; Karsenty, G.; Celeste, A.; Rosen, V.; Mundy, G.; Harris, S. Differential roles for bone morphogenetic protein (BMP) receptor type IB and IA in differentiation and specification of mesenchymal precursor cells to osteoblast and adipocyte lineages. J. Cell Biol. 1998, 142, 295–305. [Google Scholar] [CrossRef]
 - McArdle, A.; Chung, M.T.; Paik, K.J.; Duldulao, C.; Chan, C.; Rennert, R.; Walmsley, G.G.; Senarath-Yapa, K.; Hu, M.; Seo, E. Positive selection for bone morphogenetic protein receptor type-IB promotes differentiation and specification of human adipose-derived stromal cells toward an osteogenic lineage. Tissue Eng. Part A 2014, 20, 3031–3040. [Google Scholar] [CrossRef]
 - Mishina, Y.; Starbuck, M.W.; Gentile, M.A.; Fukuda, T.; Kasparcova, V.; Seedor, J.G.; Hanks, M.C.; Amling, M.; Pinero, G.J.; Harada, S.-I. Bone morphogenetic protein type IA receptor signaling regulates postnatal osteoblast function and bone remodeling. J. Biol. Chem. 2004, 279, 27560–27566. [Google Scholar] [CrossRef] [PubMed]
 - Zara, J.N.; Siu, R.K.; Zhang, X.; Shen, J.; Ngo, R.; Lee, M.; Li, W.; Chiang, M.; Chung, J.; Kwak, J. High doses of bone morphogenetic protein 2 induce structurally abnormal bone and inflammation in vivo. Tissue Eng. Part A 2011, 17, 1389–1399. [Google Scholar] [CrossRef] [PubMed]
 - Park, J.C.; Kim, J.; Kim, B.K.; Cho, K.S.; Im, G.I.; Kim, B.S.; Kim, C.S. Dose- and time-dependent effects of recombinant human bone morphogenetic protein-2 on the osteogenic and adipogenic potentials of alveolar bone-derived stromal cells. J. Periodontal Res. 2012, 47, 645–654. [Google Scholar] [CrossRef]
 - Yang, H.J.; Hwang, S.J. Void space and long-term volumetric changes of maxillary sinus floor augmentation with comparison between hydroxyapatite soaked with bone morphogenetic protein 2 and anorganic bovine xenograft alone. J. Craniomaxillofac. Surg. 2019, 47, 1626–1632. [Google Scholar] [CrossRef] [PubMed]
 - Seok, H.; Kim, H.-Y.; Kang, D.-C.; Park, J.-H.; Park, J.H. Comparison of Bone Regeneration in Different Forms of Bovine Bone Scaffolds with Recombinant Human Bone Morphogenetic Protein-2. Int. J. Mol. Sci. 2021, 22, 11121. [Google Scholar] [CrossRef] [PubMed]
 - Israel, D.I.; Nove, J.; Kerns, K.M.; Moutsatsos, I.K.; Kaufman, R.J. Expression and characterization of bone morphogenetic protein-2 in Chinese hamster ovary cells. Growth Factors 1992, 7, 139–150. [Google Scholar] [CrossRef] [PubMed]
 - Qin, P.; Sumin, C.; Nanchun, C. Expression of recombinant mature peptide of human bone morphogenetic protein-2 in Escherichia coli. J. Fourth Mil. Med. Univ. 1998, 19, 8–11. [Google Scholar]
 - Ong, K.L.; Villarraga, M.L.; Lau, E.; Carreon, L.Y.; Kurtz, S.M.; Glassman, S.D. Off-label use of bone morphogenetic proteins in the United States using administrative data. Spine 2010, 35, 1794–1800. [Google Scholar] [CrossRef]
 - McKay, B.; Sandhu, H.S. Use of recombinant human bone morphogenetic protein-2 in spinal fusion applications. Spine 2002, 27, S66–S85. [Google Scholar] [CrossRef]
 - Kim, B.-J.; Kim, S.-K.; Lee, J.-H. Bone regeneration of demineralized dentin matrix with platelet-rich fibrin and recombinant human bone morphogenetic protein-2 on the bone defects in rabbit calvaria. Maxillofac. Plast. Reconstr. Surg. 2021, 43, 34. [Google Scholar] [CrossRef]
 - Park, J.-H.; Kim, J.-W.; Kim, S.-J. Does the addition of bone morphogenetic protein 2 to platelet-rich fibrin improve healing after treatment for medication-related osteonecrosis of the jaw? J. Oral Maxillofac. Surg. 2017, 75, 1176–1184. [Google Scholar] [CrossRef] [PubMed]
 - Kim, H.-S.; Park, J.-C.; Yun, P.-Y.; Kim, Y.-K. Evaluation of bone healing using rhBMP-2 soaked hydroxyapatite in ridge augmentation: A prospective observational study. Maxillofac. Plast. Reconstr. Surg. 2017, 39, 40. [Google Scholar] [CrossRef] [PubMed]
 - Han, J.J.; Chang, A.; Ahn, J.; Jung, S.; Hong, J.; Oh, H.-K.; Hwang, S.J. Efficacy and safety of rhBMP/β-TCP in alveolar ridge preservation: A multicenter, randomized, open-label, comparative, investigator-blinded clinical trial. Maxillofac. Plast. Reconstr. Surg. 2021, 43, 42. [Google Scholar] [CrossRef] [PubMed]
 - Katagiri, T.; Watabe, T. Bone morphogenetic proteins. Cold Spring Harb. Perspect. Biol. 2016, 8, a021899. [Google Scholar] [CrossRef]
 - Kang, Q.; Song, W.-X.; Luo, Q.; Tang, N.; Luo, J.; Luo, X.; Chen, J.; Bi, Y.; He, B.-C.; Park, J.K. A comprehensive analysis of the dual roles of BMPs in regulating adipogenic and osteogenic differentiation of mesenchymal progenitor cells. Stem Cells Dev. 2009, 18, 545–558. [Google Scholar] [CrossRef]
 - Lee, J.-H.; Kim, C.-S.; Choi, K.-H.; Jung, U.-W.; Yun, J.-H.; Choi, S.-H.; Cho, K.-S. The induction of bone formation in rat calvarial defects and subcutaneous tissues by recombinant human BMP-2, produced in Escherichia coli. Biomaterials 2010, 31, 3512–3519. [Google Scholar] [CrossRef]
 - Jang, E.; Lee, J.-Y.; Lee, E.-Y.; Seok, H. Evaluation of the bone regeneration effect of recombinant human bone morphogenic protein-2 on subperiosteal bone graft in the rat calvarial model. Materials 2019, 12, 1613. [Google Scholar] [CrossRef]
 - Kang, H.-J.; Jun, C.-M.; Yun, J.-H. Radiographic and Histologic Evaluation of a Bone Void that Formed After Recombinant Human Bone Morphogenetic Protein-2-Mediated Sinus Graft Augmentation: A Case Report. Int. J. Periodontics Restor. Dent. 2016, 36, s151–s158. [Google Scholar] [CrossRef]
 - Stuckensen, K.; Lamo-Espinosa, J.M.; Muiños-López, E.; Ripalda-Cemboráin, P.; López-Martínez, T.; Iglesias, E.; Abizanda, G.; Andreu, I.; Flandes-Iparraguirre, M.; Pons-Villanueva, J. Anisotropic cryostructured collagen scaffolds for efficient delivery of RhBMP–2 and enhanced bone regeneration. Materials 2019, 12, 3105. [Google Scholar] [CrossRef]
 - Kim, H.Y.; Park, J.H.; Byun, J.-H.; Lee, J.H.; Oh, S.H. BMP-2-immobilized porous matrix with leaf-stacked structure as a bioactive GBR membrane. ACS Appl. Mater. Interfaces 2018, 10, 30115–30124. [Google Scholar] [CrossRef]
 - Scheyer, E.T.; Heard, R.; Janakievski, J.; Mandelaris, G.; Nevins, M.L.; Pickering, S.R.; Richardson, C.R.; Pope, B.; Toback, G.; Velásquez, D. A randomized, controlled, multicentre clinical trial of post-extraction alveolar ridge preservation. J. Clin. Periodontol. 2016, 43, 1188–1199. [Google Scholar] [CrossRef] [PubMed]
 - Sculean, A.; Chiantella, G.C.; Windisch, P.; Arweiler, N.B.; Brecx, M.; Gera, I. Healing of intra-bony defects following treatment with a composite bovine-derived xenograft (Bio-Oss Collagen) in combination with a collagen membrane (Bio-Gide PERIO). J. Clin. Periodontol. 2005, 32, 720–724. [Google Scholar] [CrossRef] [PubMed]
 - Zhang, C.; Zhang, H.; Yue, Z.; Miao, L.; Han, Y.; Liu, K.; Hou, J. Modified minimally invasive surgical technique plus Bio-Oss Collagen for regenerative therapy of isolated interdental intrabony defects: Study protocol for a randomised controlled trial. BMJ Open 2020, 10, e040046. [Google Scholar] [CrossRef] [PubMed]
 - Fisher, L.; McBride, O.; Termine, J.; Young, M. Human bone sialoprotein. Deduced protein sequence and chromosomal localization. J. Biol. Chem. 1990, 265, 2347–2351. [Google Scholar] [CrossRef]
 - Hauschka, P.V.; Reid, M.L. Timed appearance of a calcium-binding protein containing γ-carboxyglutamic acid in developing chick bone. Dev. Biol. 1978, 65, 426–434. [Google Scholar] [CrossRef]
 - Lee, N.K.; Sowa, H.; Hinoi, E.; Ferron, M.; Ahn, J.D.; Confavreux, C.; Dacquin, R.; Mee, P.J.; McKee, M.D.; Jung, D.Y. Endocrine regulation of energy metabolism by the skeleton. Cell 2007, 130, 456–469. [Google Scholar] [CrossRef] [PubMed]
 - Kim, M.-G.; Lee, J.-H.; Kim, G.-C.; Hwang, D.-S.; Kim, C.-H.; Kim, B.-J.; Kim, J.-H.; Kim, U.-K. The effect of autogenous tooth bone graft material without organic matter and type I collagen treatment on bone regeneration. Maxillofac. Plast. Reconstr. Surg. 2021, 43, 17. [Google Scholar] [CrossRef]
 - Hwang, D.Y.; On, S.W.; Song, S.I. Bone regenerative effect of recombinant human bone morphogenetic protein-2 after cyst enucleation. Maxillofac. Plast. Reconstr. Surg. 2016, 38, 22. [Google Scholar] [CrossRef]
 - Hong, J.Y.; Kim, M.S.; Lim, H.C.; Lee, J.S.; Choi, S.H.; Jung, U.W. A high concentration of recombinant human bone morphogenetic protein-2 induces low-efficacy bone regeneration in sinus augmentation: A histomorphometric analysis in rabbits. Clin. Oral Implant. Res. 2016, 27, e199–e205. [Google Scholar] [CrossRef]
 







Disclaimer/Publisher’s Note: The statements, opinions and data contained in all publications are solely those of the individual author(s) and contributor(s) and not of MDPI and/or the editor(s). MDPI and/or the editor(s) disclaim responsibility for any injury to people or property resulting from any ideas, methods, instructions or products referred to in the content.  | 
© 2023 by the authors. Licensee MDPI, Basel, Switzerland. This article is an open access article distributed under the terms and conditions of the Creative Commons Attribution (CC BY) license (https://creativecommons.org/licenses/by/4.0/).
Share and Cite
Jee, H.-K.; Jeon, W.-Y.; Kwak, H.-W.; Seok, H. Long-Term Changes in Adipose Tissue in the Newly Formed Bone Induced by Recombinant Human BMP-2 In Vivo. Biomimetics 2023, 8, 33. https://doi.org/10.3390/biomimetics8010033
Jee H-K, Jeon W-Y, Kwak H-W, Seok H. Long-Term Changes in Adipose Tissue in the Newly Formed Bone Induced by Recombinant Human BMP-2 In Vivo. Biomimetics. 2023; 8(1):33. https://doi.org/10.3390/biomimetics8010033
Chicago/Turabian StyleJee, Hyouk-Keun, Woo-Young Jeon, Han-Wool Kwak, and Hyun Seok. 2023. "Long-Term Changes in Adipose Tissue in the Newly Formed Bone Induced by Recombinant Human BMP-2 In Vivo" Biomimetics 8, no. 1: 33. https://doi.org/10.3390/biomimetics8010033
APA StyleJee, H.-K., Jeon, W.-Y., Kwak, H.-W., & Seok, H. (2023). Long-Term Changes in Adipose Tissue in the Newly Formed Bone Induced by Recombinant Human BMP-2 In Vivo. Biomimetics, 8(1), 33. https://doi.org/10.3390/biomimetics8010033
        
